Historia clínica
Se remitió al hospital un perro mestizo, macho esterilizado de 4,5 años, por un cuadro agudo de vómitos de 24 horas de evolución. El paciente no presentaba historial de patologías o traumas previos a este cuadro clínico y se encontraba vacunado correctamente y desparasitado recientemente.
La exploración física mostró un estado mental alerta. Las mucosas estaban rosadas y húmedas. La auscultación cardiopulmonar no mostró alteraciones evidentes en el momento del estudio. No se encontró linfadenopatía periférica. No presentó dolor a la palpación abdominal. La temperatura se encontró dentro de los límites fisiológicos.
¿Cuáles son los diagnósticos más probables?
Entre los diagnósticos diferenciales asociados a vómitos agudos podemos encontrarnos con:
- Alteraciones gastrointestinales: presencia de cuerpos extraños, obstrucciones, enfermedades infecciosas, enfermedad inflamatoria, alteraciones de la motilidad, intolerancias, indiscreciones, alergias o neoplasias.
- Alteraciones abdominales: pancreatitis, peritonitis o neoplasias.
- Alteraciones metabólicas: alteraciones hepatobiliares o renales, intoxicaciones, hipoadrenocorticismo e hipertiroidismo.
¿Qué pruebas diagnósticas realizarías?
En base a los hallazgos en el examen físico se propuso la realización de un hemograma, una bioquímica completa y una ecografía abdominal.
El hemograma (Fig. 1) mostró leucocitosis leve con neutrofilia y monocitosis, mientras que el análisis bioquímico (Fig. 2) mostró elevación marcada de las enzimas hepáticas y de la bilirrubina. Los electrolitos sodio, potasio y cloro se encontraron en el límite inferior de los parámetros fisiológicos.
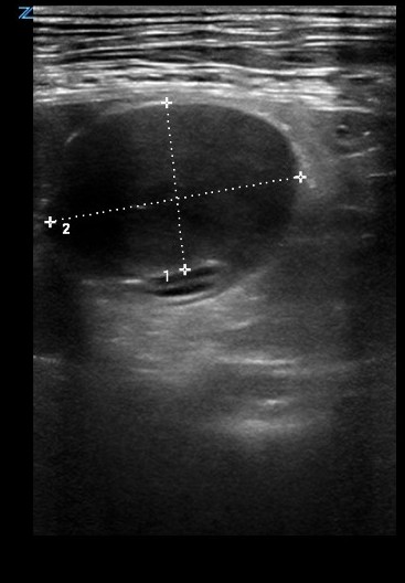
La ecografía abdominal (Resona7, Mindray, Shenzhen, China) evidenció una estructura de 4 cm de aspecto hipoecoico y bordes redondeados adherida a la capa serosa del duodeno, sin captación de señal Doppler. Los diagnósticos diferenciales compatibles con esta lesión son la neoplasia intestinal, el hematoma intramural intestinal o la presencia de un granuloma (Fig. 3 y Vídeo 1).

Vídeo 1
Vídeo ecográfico de la lesión duodenal. A través de este QR puedes visualizar la ecografía.
¿Cuál sería el tratamiento en este caso?
Se hospitalizó al paciente para administración de fluidoterapia intravenosa y tratamiento sintomático con metadona 0,2 mg/kg QID (Semfortan, Dechra, Bladel, Países Bajos) y maropitant 1 mg/kg SID (Cerenia, Zoetis, Louvain-la-Neuve, Bélgica), pero a pesar de este tratamiento, tras 24 horas, los vómitos continuaron y se recomendó la realización de una laparotomía exploratoria y toma de muestras para su estudio histopatológico.
Bajo anestesia inhalatoria general, se realizó una laparotomía media exploratoria. En la exploración de la cavidad peritoneal se localizó un engrosamiento de la pared intestinal de 6 cm de longitud y coloración rojiza, que se encontraba principalmente en el borde antimesentérico del duodeno proximal, pero cuya extensión llegaba incluso a abarcar la papila duodenal mayor (Fig. 4).
Se realizó una incisión en la serosa del borde antimesentérico hasta llegar a la causa del engrosamiento (Fig. 5). Este tenía un aspecto compatible con un hematoma. Se realizó un debulking de la masa, localizando una comunicación con la luz duodenal y se tomó muestra para su estudio histopatológico. Se procedió al cierre del defecto mediante patrón de puntos simples con polidioxanona 3-0 con aguja atraumática (Monoplus, Braun, Barcelona), sin cerrar la capa serosa, ya que estaba muy friable y con el debulking se retiró parte de la misma. Una vez realizado el cierre, se lavó la cavidad abdominal con abundante suero NaCl 0,9 % estéril y se omentalizó la zona de la serosa duodenal. El resto de la exploración abdominal no mostró alteraciones evidentes.
El informe de anatomía patológica reveló la presencia de intestino delgado con mucosa, submucosa y pared de músculo liso. Se observó un hematoma de gran tamaño con células leucocitarias, sobre todo neutrófilos y eritrocitos, entre las miofibras del músculo liso. En la porción más periférica de la hemorragia había edema intersticial con hiperemia. El diagnóstico histopatológico fue de hematoma mural intestinal con ligera enteritis linfoplasmocitaria y eosinofílica.
El paciente se hospitalizó para su control clínico y analgésico. El alta hospitalaria se realizó a las 48 horas de la cirugía con tratamiento sintomático oral a base de maropitant (1 mg/kg SID 4 días) (Cerenia, Zoetis, Louvain-la-Neuve, Bélgica), cefalexina (22 mg/kg BID 10 días) (Therios, CEVA, Barcelona, España) y tramadol (3 mg/kg SID 4 días) (Tralieve, Dechra, Blade, Países Bajos).
Discusión
Los hematomas intramurales intestinales están poco documentados en la literatura veterinaria. Han sido descritos en perros,[ Moore R, Carpenter J: Intramural intestinal hematoma causing obstruction in three dogs. J Am Vet Med Assoc. 1984; 184(2): 186-188. [PubMed] , Padalkar M, Savage M, Cohen EB: Small intestinal intramural hematoma secondary to a migrating wire foreign body in a dog. Vet Radiol Ultrasound. 2018; 59(6): E61-E65 . [PubMed] , Heng HG, Huang A, Baird DK, Mitsui I, Parnell NK: Imaging diagnosis—spontaneous intramural canine duodenal hematoma. Vet Radiol Ultrasound. 2010; 51(2): 178-181. [PubMed] , Niehues SM, Denecke T, Bassir C, Hamm B, Haas M: Intramural duodenal hematoma: clinical course and imaging findings. Acta Radiol Open. 2019; 8(4):2058460119836256. [PubMed] ] gatos,[ Hsu TC, Lin LS, Chung CS, et al: Colonic Intramural Hematoma in a Cat: A Case Report. Front Vet Sci. 2022; 9: 913862. [PubMed] ] y caballos.[ Moore R, Carpenter J: Intramural intestinal hematoma causing obstruction in three dogs. J Am Vet Med Assoc. 1984; 184(2): 186-188. [PubMed] , Pearson H, Waterman AE: Submucosal haematoma as a cause of obstruction of the small colon in the horse: a review of four cases. Equine Vet J. 1986; 18(4): 340-341. [PubMed] ] Pueden localizarse a lo largo de todo el intestino y, aunque el duodeno es la localización más frecuente, como en nuestro caso, también se ha descrito la presencia de hematomas intramurales de intestino grueso en la especie equina[ Moore R, Carpenter J: Intramural intestinal hematoma causing obstruction in three dogs. J Am Vet Med Assoc. 1984; 184(2): 186-188. [PubMed] , Pearson H, Waterman AE: Submucosal haematoma as a cause of obstruction of the small colon in the horse: a review of four cases. Equine Vet J. 1986; 18(4): 340-341. [PubMed] ] y felina.[ Hsu TC, Lin LS, Chung CS, et al: Colonic Intramural Hematoma in a Cat: A Case Report. Front Vet Sci. 2022; 9: 913862. [PubMed] ]
Las causas principales de esta enfermedad en personas son la enfermedad pancreática, el uso de tratamiento anticoagulante, la toma de biopsia endoscópica o traumatismos,[ Moore R, Carpenter J: Intramural intestinal hematoma causing obstruction in three dogs. J Am Vet Med Assoc. 1984; 184(2): 186-188. [PubMed] , Padalkar M, Savage M, Cohen EB: Small intestinal intramural hematoma secondary to a migrating wire foreign body in a dog. Vet Radiol Ultrasound. 2018; 59(6): E61-E65 . [PubMed] , Hsu TC, Lin LS, Chung CS, et al: Colonic Intramural Hematoma in a Cat: A Case Report. Front Vet Sci. 2022; 9: 913862. [PubMed] ] mientras que en veterinaria las causas descritas han sido en episodios de pancreatitis, por presencia de cuerpos extraños o parásitos.[ Moore R, Carpenter J: Intramural intestinal hematoma causing obstruction in three dogs. J Am Vet Med Assoc. 1984; 184(2): 186-188. [PubMed] , Padalkar M, Savage M, Cohen EB: Small intestinal intramural hematoma secondary to a migrating wire foreign body in a dog. Vet Radiol Ultrasound. 2018; 59(6): E61-E65 . [PubMed] , Heng HG, Huang A, Baird DK, Mitsui I, Parnell NK: Imaging diagnosis—spontaneous intramural canine duodenal hematoma. Vet Radiol Ultrasound. 2010; 51(2): 178-181. [PubMed] , Pearson H, Waterman AE: Submucosal haematoma as a cause of obstruction of the small colon in the horse: a review of four cases. Equine Vet J. 1986; 18(4): 340-341. [PubMed] ] En nuestro caso, no se encontró la causa y nuestro paciente no tomaba ninguna terapia anticoagulante y no se realizaron pruebas de coagulación. Tampoco se realizó un estudio coprológico, ya que había sido desparasitado recientemente.
Se sospecha que el duodeno es la porción más afectada por los hematomas duodenales debido a su posición, fijación[ Moore R, Carpenter J: Intramural intestinal hematoma causing obstruction in three dogs. J Am Vet Med Assoc. 1984; 184(2): 186-188. [PubMed] , Padalkar M, Savage M, Cohen EB: Small intestinal intramural hematoma secondary to a migrating wire foreign body in a dog. Vet Radiol Ultrasound. 2018; 59(6): E61-E65 . [PubMed] ] y aporte vascular.[ Padalkar M, Savage M, Cohen EB: Small intestinal intramural hematoma secondary to a migrating wire foreign body in a dog. Vet Radiol Ultrasound. 2018; 59(6): E61-E65 . [PubMed] ] En medicina humana, suele localizarse entre la capa mucosa y submucosa,[ Moore R, Carpenter J: Intramural intestinal hematoma causing obstruction in three dogs. J Am Vet Med Assoc. 1984; 184(2): 186-188. [PubMed] ] mientras que en medicina veterinaria solo se ha descrito entre las fibras de la capa muscular,[ Moore R, Carpenter J: Intramural intestinal hematoma causing obstruction in three dogs. J Am Vet Med Assoc. 1984; 184(2): 186-188. [PubMed] , Heng HG, Huang A, Baird DK, Mitsui I, Parnell NK: Imaging diagnosis—spontaneous intramural canine duodenal hematoma. Vet Radiol Ultrasound. 2010; 51(2): 178-181. [PubMed] ] como reveló la histopatología en el caso descrito.
El principal signo clínico de nuestro paciente fueron los vómitos, aunque se han descrito otros que suelen ser secundarios a la obstrucción intestinal y/o biliar, como, por ejemplo, hiporexia, dolor abdominal o ictericia.[ Moore R, Carpenter J: Intramural intestinal hematoma causing obstruction in three dogs. J Am Vet Med Assoc. 1984; 184(2): 186-188. [PubMed] , Padalkar M, Savage M, Cohen EB: Small intestinal intramural hematoma secondary to a migrating wire foreign body in a dog. Vet Radiol Ultrasound. 2018; 59(6): E61-E65 . [PubMed] , Heng HG, Huang A, Baird DK, Mitsui I, Parnell NK: Imaging diagnosis—spontaneous intramural canine duodenal hematoma. Vet Radiol Ultrasound. 2010; 51(2): 178-181. [PubMed] ]
Los hallazgos laboratoriales suelen ser inespecíficos. El diagnóstico presuntivo suele llevarse a cabo mediante técnicas de diagnóstico por imagen como la ecografía y la radiografía con contraste, ya que el diagnóstico definitivo es histopatológico. Aunque en medicina veterinaria estas técnicas aún no han sido descritas, en medicina humana se utilizan pruebas de imagen avanzadas como son la resonancia magnética o la tomografía computarizada.[ Moore R, Carpenter J: Intramural intestinal hematoma causing obstruction in three dogs. J Am Vet Med Assoc. 1984; 184(2): 186-188. [PubMed] , Hsu TC, Lin LS, Chung CS, et al: Colonic Intramural Hematoma in a Cat: A Case Report. Front Vet Sci. 2022; 9: 913862. [PubMed] ]
El manejo terapéutico es controvertido, ya que depende de la causa que lo haya provocado, la localización, el tamaño y el tratamiento actual del paciente.[ Moore R, Carpenter J: Intramural intestinal hematoma causing obstruction in three dogs. J Am Vet Med Assoc. 1984; 184(2): 186-188. [PubMed] , Padalkar M, Savage M, Cohen EB: Small intestinal intramural hematoma secondary to a migrating wire foreign body in a dog. Vet Radiol Ultrasound. 2018; 59(6): E61-E65 . [PubMed] ] Ante un cuadro obstructivo intestinal, como era nuestro caso, la opción quirúrgica parece ser la más indicada, ya que permitiría la resolución de la obstrucción. Esta puede ser mediante la realización de enterectomía de la porción afectada o incidiendo en la serosa de la porción afectada y evacuando la masa. En nuestro caso en concreto, no se optó por la enterectomía debido a que la localización involucraba la papila duodenal mayor. En cualquier caso, la toma de muestras deberá ser obligatoria para su estudio histopatológico. En medicina humana, suele valorarse el tratamiento sintomático, ya que el hematoma puede llegar a reabsorberse.
El pronóstico depende de la causa subyacente. En medicina humana la tasa de mortalidad puede llegar a ser hasta del 15 %.
Como conclusión, ante un cuadro obstructivo por una sospecha de masa, sobre todo localizada a nivel duodenal, deberíamos incluir en nuestro diagnóstico diferencial la posibilidad de que pueda tratarse de un hematoma intestinal intramural. El tratamiento de este dependerá de la sintomatología y la localización del mismo. El diagnóstico definitivo en medicina veterinaria se realizará mediante estudio histopatológico.
Fuente de financiación: este trabajo no se ha realizado con fondos comerciales, públicos o del sector privado.
Conflicto de interés: los autores declaran que no existe conflicto de intereses.
Bibliografía
- [1] Moore R, Carpenter J: Intramural intestinal hematoma causing obstruction in three dogs. J Am Vet Med Assoc. 1984; 184(2): 186-188. [PubMed]
- [2] Padalkar M, Savage M, Cohen EB: Small intestinal intramural hematoma secondary to a migrating wire foreign body in a dog. Vet Radiol Ultrasound. 2018; 59(6): E61-E65 . [PubMed]
- [3] Heng HG, Huang A, Baird DK, Mitsui I, Parnell NK: Imaging diagnosis—spontaneous intramural canine duodenal hematoma. Vet Radiol Ultrasound. 2010; 51(2): 178-181. [PubMed]
- [4] Niehues SM, Denecke T, Bassir C, Hamm B, Haas M: Intramural duodenal hematoma: clinical course and imaging findings. Acta Radiol Open. 2019; 8(4):2058460119836256. [PubMed]
- [5] Hsu TC, Lin LS, Chung CS, et al: Colonic Intramural Hematoma in a Cat: A Case Report. Front Vet Sci. 2022; 9: 913862. [PubMed]
- [6] Pearson H, Waterman AE: Submucosal haematoma as a cause of obstruction of the small colon in the horse: a review of four cases. Equine Vet J. 1986; 18(4): 340-341. [PubMed]
Artículos recomendados
Estas recomendaciones se ofrecen de forma automática.
-
Caso clínico de… Urgencias
I. SunyerClin Vet Peq Anim Vol. 45 - Nº 2 · JUN 2025 · Caso Clínico de... -
Caso clínico de… Cirugía de tejidos blandos
N. Jurado, L. Fresno, L. SantosClin Vet Peq Anim Vol. 44 - Nº 1 · MAR 2024 · Caso Clínico de... -
Caso clínico de… Urgencias
M. Solana, C. Gómez-Ullate, J.L. Puchol, et al.Clin Vet Peq Anim Vol. 43 - Nº 4 · DIC 2023 · Caso Clínico de...