Logo AVEPA

Clínica Veterinaria de Pequeños Animales

Revista oficial de AVEPA

  • Inicio
  • Último número
  • Archivo
  • Artículos
  • Para autores
  • Contacto
Cursos Junio-Septiembre 2026
ANUNCIO

Clínica Veterinaria de Pequeños Animales

Revista oficial de AVEPA

  • Inicio
  • Último número
  • Archivo
  • Artículos
  • Para autores
  • Contacto
Curso Oftalmología 2026
ANUNCIO
Clin Vet Peq Anim Vol. 37 • Nº 2 • junio 2017

Estenosis nasofaríngea en un gato tratada mediante dilatación con balón

Nasopharyngeal stenosis in a cat treated by balloon dilatation

Artículo original referido a un solo caso clínico

S. García-Pérez de Ayala

Clínica Veterinaria Ginzo de Limia. C/ Ginzo de Limia, 33. 28029 Madrid.

N. Palacios-Quirós

Servicio Móvil de Endoscopia Veterinaria. Madrid.

Contacto: susgar11@yahoo.es
Palabras clave: gato, nasofaringe, estenosis, estertores, disnea, vías respiratorias altas, endoscopia en retroflexión, dilatación con balón.
Keywords: cat, nasopharynx, stenosis, crackles, dyspnea, upper airways, retroflexed endoscopy, balloon dilation.

Clin. Vet. Peq. Anim, 2017, 37 (2): 111 - 117

Descargar artículo

Resumen

Se presenta en consulta un gato adulto con historial de estertores, disnea inspiratoria e intolerancia al ejercicio de un año de duración. Ante la sospecha de una enfermedad nasofaríngea se realiza primero una tomografía computerizada que no es diagnóstica y, posteriormente, una endoscopia en retroflexión en la que se observa una estenosis nasofaríngea. Debido a la localización de la estenosis se procedió a realizar dilataciones con balón. Fueron necesarias un total de tres dilataciones, separadas entre sí una y dos semanas, seguidas de tratamiento con corticoides para controlar la inflamación y enlentecer y moderar la retracción cicatricial. El animal permanece asintomático después de 18 meses.

Abstract

An adult cat with a one-year clinical history of crackles, inspiratory dyspnea and exercise intolerance is presented. After suspicion of a nasopharyngeal disease, a computed tomography was performed which did not come up with a diagnosis. A retroflexed endoscopy was performed and a nasopharyngeal stenosis was observed. Due to the location of the stenosis, we performed a balloon dilatation. A total of three dilatations, one week and two weeks apart, were needed, followed by a treatment with corticosteroids to control the inflammation and to delay and reduce the scar retraction. After 18 months, the cat remains asymptomatic.

Introducción

La estenosis nasofaríngea (ENF) consiste en un estrechamiento del canal nasofaríngeo mediante un tejido cicatricial que forma una membrana y obstruye parcialmente el paso de aire. Su etiología no se conoce bien; las causas más probables pueden ser procesos inflamatorios de las vías respiratorias altas. Los signos clínicos más frecuentes son estertores, disnea inspiratoria, dificultad para tragar e intolerancia al ejercicio.[ Allen HS, Broussard J, Noone, K. Nasopharyngeal Disease in Cats: A retrospective Study 53 Cases (1991-1998). J Am Anim Hosp Assoc 1999; 35: 457-461. [PubMed] , Reed N, Gunn-Moore DG. Nasopharyngeal disease in cats. 1.Diagnostic investigation. 2. Specific conditions and their management. J Feline Med Surg, 2012; 14: 306-326. [PubMed] ] El diagnóstico definitivo se lleva a cabo mediante endoscopia en retroflexión o tomografía computerizada (TC). Los tratamientos propuestos incluyen resección quirúrgica,[ Mitten RW. 1998. Nasopharyngeal stenosis in four cats. J Small Anim Pract 1998; 29, 341-345. [PubMed] ] cirugía con avance de colgajo de mucosa,[ Griffon DJ, Tasker S. Use of a mucosal advancement flap for the treatment of nasopharyngeal stenosis in a cat. J Small Anim Pract 2000; 41: 71-73. [PubMed] ] dilatación con balón[ Glaus M, Tomsa K, Reusch CE. Ballon dilation for the treatment of chronic recurrent nasopharyngeal stenosis in a cat. J Small Anim Pract 2002; 43, 88–90. [PubMed] , Glaus M, Gerber B, Tomsa K, Keiser M, Unterer S. 2005. Reproducible and longlasting success of ballon dilation of nasopharyngeal stenosis in cats. Vet Rec 2005; 157: 257-259 [PubMed] , Boswood A, Lamb CR, Brockman J, Mantis P, Witt A. 2003. Ballon dilatation of nasopharyngeal stenosis in a cat. Vet Radiol Ultrasound 2003; 44(1):53-55. [PubMed] , Ruiz G, Decambron, A, Manassero, M. Sténose du nasopharynx traitée par dilatation par ballonnet chez un chat. Rev Vét Clin 2014; 49, 81—86. ] y colocación de stent.[ Novo RE, Kramer B. Surgical repair of nasopharyngeal stenosis in a cat using a stent. J Am Anim Hosp Assoc 1999; 35, 1432-1440. [PubMed] , Berent AC, Weisse C, Todd K, Rondeau M, Reiter A. 2008. Use of a ballonexpandable metallic stent for treatment of nasopharyngeal stenosis in dogs and cats: six cases (2005-2007). J Am Vet Med Assoc 233 2008; 1432-1440. [PubMed] , De Lorenzi D, Bertoncello D, Comastri S, Bottero E. Treatment of acquired nasopharyngeal stenosis using a removable silicone stent. J Feline Med and Surg, 2015; 17(2): 117-124. [PubMed] ]
Se describe un caso clínico de un gato diagnosticado de ENF mediante endoscopio flexible, al que previamente se le había realizado una tomografía computerizada (TC) que no fue diagnóstica, y al que se trató mediante dilataciones con balón obteniendo una completa resolución de los signos clínicos después de tres sesiones.

Caso clínico

Se presenta en consulta un gato, macho, Sphynx, de dos años de edad y 5 kilos de peso, con un cuadro de aumento de refuerzo inspiratorio, estertores e intolerancia al ejercicio. Fue adoptado hace un año y se sospecha que se dedicaba a la cría. En la casa de adopción vivía otra gata con signos de rinotraqueítis en ese momento.

Una semana después de su adopción presenta conjuntivitis bilateral, descarga nasal, estornudos, anorexia, ruidos respiratorios y decaimiento. En otro centro le prescriben tratamiento antibiótico y antiinflamatorio recuperándose en unos días pero manteniendo la disnea inspiratoria y los estertores, por lo que le diagnostican rinitis crónica y le mantienen con tratamiento con corticoides y antibióticos de forma intermitente. Su estado va empeorando progresivamente.

Se encuentra correctamente vacunado y desparasitado, esterilizado, alimentado con una dieta de gama alta, no sale al exterior y convive con otros tres gatos que, en el momento de nuestra consulta, no presentan ningún signo de enfermedad respiratoria.

Durante la exploración se observa disnea inspiratoria, estertores, temperatura corporal de 39º y decaimiento. La auscultación cardíaca revela soplo sistólico y taquicardia. El resto de datos de la exploración física general se encuentra dentro de lo normal.

Los problemas que presenta son disnea inspiratoria con estertores y soplo sistólico.

El patrón respiratorio característico de enfermedad de vías respiratorias superiores es el aumento del esfuerzo inspiratorio. La presencia de estertores orienta el diagnóstico hacía una patología nasofaríngea. El diagnóstico diferencial incluye las infecciones bacterianas, víricas y fúngicas como calicivirus, herpesvirus, Mycoplasma o Bordetella, entre otros, neoplasias, cuerpos extraños, traumatismos, procesos inflamatorios como rinitis crónica (linfoplasmocitaria, alérgica) o pólipos nasofaríngeos, y alteraciones anatómicas congénitas o adquiridas como la atresia de coanas, el paladar hendido, fístulas, síndrome braquiocefálico y ENF (Tabla 1).[ Allen HS, Broussard J, Noone, K. Nasopharyngeal Disease in Cats: A retrospective Study 53 Cases (1991-1998). J Am Anim Hosp Assoc 1999; 35: 457-461. [PubMed] , Reed N, Gunn-Moore DG. Nasopharyngeal disease in cats. 1.Diagnostic investigation. 2. Specific conditions and their management. J Feline Med Surg, 2012; 14: 306-326. [PubMed] , Weisse C, Berent A. Treating nasopharyngeal stenosis: a case Study. DVM 360. Acceso: mayo 2016. [DVM360] ]

Image
Tabla 1

Un soplo en un gato adulto puede estar provocado por cardiopatías, anemia o sobrecarga de volumen, o ser fisiológico.

Basándonos en la lista de problemas, se realizan radiografías laterales de la cavidad torácica, cabeza y cuello. En el tórax se observa un leve aumento de tamaño de la silueta cardíaca con un “vertebral heart score” (VHS) de 8 (valores normales: 7,5±0,3) (Fig. 1). En región nasofaríngea se observa una línea de opacidad tejido blando dorsal al paladar blando y una probable elongación del paladar (Fig. 2). Se realiza también un perfil básico que incluye hematología y bioquímica séricas, estando todos los valores en rango normal. Se efectúan, además, tests serológicos para leucemia (FeLV) e inmunodeficiencia (FIV) con resultado negativo.

<p>Radiografía LL del tórax en la que se observa leve cardiomegalia.</p>
Figura 1

Radiografía LL del tórax en la que se observa leve cardiomegalia.

<p>Radiografía LL de la cabeza en la que se observa una membrana dorsal al paladar (flecha blanca) y una elongación del paladar blando.</p>
Figura 2

Radiografía LL de la cabeza en la que se observa una membrana dorsal al paladar (flecha blanca) y una elongación del paladar blando.

Se propone a los cuidadores realizar técnicas de imagen y análisis complementarios. Al precisar anestesia y debido a la auscultación de un soplo se realiza una ecocardiografía y un ECG. Presenta una cardiomiopatía hipertrófica, el ritmo es sinusal con aumento de tamaño de onda R.

Por los resultados de las radiografías y para valorar al completo las vías respiratorias, localizar la lesión y el alcance de la misma, se realiza una TC. Se utiliza un TC GE-Brivo 325, helicoidal de 3ª generación, multicorte (2 cortes/rotación). El estudio de TC se lleva a cabo con el animal sedado con una combinación de midazolam (0,3 mg/kg i.m.) y dexmedetomidina (15 μg/kg i.m.). El estudio se realiza en secuencial con cortes de 1 mm y 1,5 mm entre cortes. El informe describe un escaso engrosamiento de mucosa nasal con imagen de paladar blando elongado, así como áreas pulmonares compatibles con restos de proceso neumónico. Se recomienda resección de parte del paladar blando. La figura 3A muestra la porción nasofaríngea de nuestro caso y la 3B cómo se observaría una estenosis nasofaríngea mediante TC. Se realiza un cultivo bacteriano y fúngico de los exudados respiratorios con resultado negativo.

<p>Imagen de TC en ventana de huesos y plano transversal. (A) En nuestro caso, se observa un área de la nasofaringe de diámetro normal (flecha). (B) En una TC diagnóstica, se observa un estrechamiento caudal a nivel de nasofaringe (Cortesía de Diagnosfera).</p>
Figura 3

Imagen de TC en ventana de huesos y plano transversal. (A) En nuestro caso, se observa un área de la nasofaringe de diámetro normal (flecha). (B) En una TC diagnóstica, se observa un estrechamiento caudal a nivel de nasofaringe (Cortesía de Diagnosfera).

Se procede a anestesiar al paciente para valorar la realización de cirugía del paladar blando y, si procede, realizar una rinoscopia y endoscopia en retroflexión para confirmar que no exista otra patología. Se premedica con dexmedetomidina 0,01 mg/kg i.m., midazolam 0,1 mg/kg i.m. y metadona 0,2 mg/kg i.m., se induce con propofol a dosis de 1 mg/kg (dosis-efecto), la intubación y el mantenimiento, con isoflurano y oxígeno. Una vez comprobado que el paladar no colapsa la vía aérea, se procede a realizar una rinoscopia rostral con endoscopio rígido (Fig. 4) y una endoscopia con endoscopio flexible Fujinon EVE 200-EPX 2200 (4,9 mm de diámetro externo y 600 mm de longitud) para valorar la nasofaringe (Fig. 5). Se visualiza que la fosa nasal izquierda es macroscópicamente normal y sin presencia de moco; la fosa nasal derecha presenta cornetes más finos y angulosos de lo normal compatibles con el padecimiento de un proceso nasal antiguo severo. Tampoco se observa mucosidad. Con el endoscopio flexible se observa una estenosis nasofaríngea casi completa por una membrana que deja un orificio de 1 mm aproximadamente (Fig. 6), localizada muy caudal, cerca del borde caudal del paladar blando en posición excéntrica.

<p>Rinoscopia rostral con endoscopio rígido.</p>
Figura 4

Rinoscopia rostral con endoscopio rígido.

<p>Endoscopia de la región nasofaríngea con endoscopio flexible.</p>
Figura 5

Endoscopia de la región nasofaríngea con endoscopio flexible.

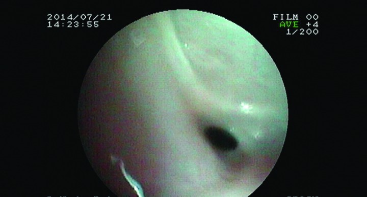
<p>Imagen endoscópica del estrechamiento por membrana a nivel de nasofaringe.</p>
Figura 6

Imagen endoscópica del estrechamiento por membrana a nivel de nasofaringe.

Se toman muestras de exudado respiratorio para proceder a la identificación por PCR (Polymerase Chain Reaction) de otros patógenos respiratorios, principalmente virus, no analizados en el procedimiento anterior.

En el mismo procedimiento diagnóstico, se introduce un catéter con balón dilatador Cristal Balloon 18 x 40/210 mm (18 mm diámetro y 40 mm longitud del balón, y 210 mm longitud del catéter) por la apertura nasal hasta la nasofaringe, atravesando la zona estenótica donde se coloca el balón y se dilata con suero fisiológico. Se realizan dos dilataciones manteniendo el balón en posición fija durante 1 minuto, bajo control endoscópico, repitiendo el mismo procedimiento y usando el mismo material ya descritos anteriormente, consiguiéndose un diámetro de 5 mm que es un tamaño que se considera aceptable en gatos[ August, JR 2011. Nasopharyngeal Diseases of Cats. Proceeding en primer congreso Gemfe de Medicina Felina. 2011. Granada, 28-30 de enero de 2011. [PubMed] ] (Figs. 7 y 8).

<p>(A) Introducción del catéter con balón por orificio nasal. (B) Una vez colocado el balón en nasofaringe, se procede a la dilatación.</p>
Figura 7

(A) Introducción del catéter con balón por orificio nasal. (B) Una vez colocado el balón en nasofaringe, se procede a la dilatación.

<p>Balón dilatador.</p>
Figura 8

Balón dilatador.

Se administra cefalexina (Rilexine® 75 mg, Virbac, Esplugues de Llobregat) 20 mg/kg/12 h para prevenir infecciones y metilprednisolona (Urbason® 4 mg, Sanofi-Aventis, Barcelona) 1 mg/kg/PO q12h/7 días y, a continuación, 1 mg/kg PO q24h/7 días con el fin de evitar la cicatrización de la zona dilatada.Se advierte a los cuidadores que es posible que se necesiten repetir dilataciones. Por motivos económicos, deciden no realizar evaluación de otros patógenos respiratorios. Se instaura un tratamiento para la patología cardíaca y se marcan las pautas de revisiones.

A partir de la dilatación, desaparece el estertor y la disnea inspiratoria, y el animal presenta más apetito y se muestra mucho más activo.

Seguimos un protocolo de revisión con endoscopia a la semana y a las dos semanas. A la semana siguiente ya presenta ruidos respiratorios marcados. La nasofaringe se ha estenosado reduciéndose la luz a 1 mm aproximadamente. Se realiza una única dilatación con balón, manteniendo el balón en posición fija durante 1 minuto, alcanzando un diámetro final de 5 mm. A las dos semanas la zona se ha estrechado con tejido fibroso, pero está blando y con tejido de granulación en la zona dorsal derecha. Se vuelve a realizar una dilatación con balón con la que se obtiene un diámetro de 8 mm (Fig. 9). Se administra posteriormente prednisolona en gotas (Estilsona® gotas, Laboratorios Sonphar, Barcelona) por la dificultad de administrar comprimidos, a dosis de 2 mg/kg/día/7 días y 1 mg/kg/día/7 días.

<p>Aspecto de la nasofaringe después de dos dilataciones con balón en la misma sesión.</p>
Figura 9

Aspecto de la nasofaringe después de dos dilataciones con balón en la misma sesión.

Después de 560 días desde la última dilatación, el animal no ha mostrado ningún signo de enfermedad de vías respiratorias, mantiene una buena calidad de vida y un alto nivel de actividad. Los cuidadores refieren un muy leve aumento de ruidos respiratorios cuando está dormido. Por motivos económicos no se ha repetido la endoscopia.

Discusión

No se conoce la causa exacta que provoca la ENF, pueden estar implicados procesos inflamatorios crónicos posteriores a infecciones del tracto respiratorio superior como parece ser nuestro caso, irritación secundaria a vómitos o regurgitación, o tratarse de un defecto congénito con la aparición de una malformación en la abertura de las coanas. Se forma un tejido cicatricial en forma de membrana, caudal a las coanas, que reduce el diámetro y obstruye el paso de aire. El ancho de la membrana es variable.[ Weisse C, Berent A. Treating nasopharyngeal stenosis: a case Study. DVM 360. Acceso: mayo 2016. [DVM360] ]

Se puede observar en gatos de cualquier raza o edad y tampoco se ha descrito predisposición sexual. No es una patología frecuente, pero también es probable que esté infradiagnosticada. Según un estudio,[ Henderson SM, Bradley K, Day MJ et al. Investigation of nasal disease in the cat – a retrospective study of 77 cases. J Feline Med and Surg, 2004;6: 245-257. [PubMed] ] solo un 6 % de gatos con enfermedad respiratoria de vías superiores presentaba ENF, pero debe incluirse en el diagnóstico diferencial en todos los gatos que presenten estertores respiratorios e incluso náuseas o dificultad para deglutir. Otros signos pueden ser intolerancia al ejercicio, disfonía, descarga nasal y, en casos graves, respiración con la boca abierta. No responden a los tratamientos convencionales con antibióticos y/o antiinflamatorios.

El diagnóstico diferencial incluye las infecciones bacterianas, víricas y fúngicas como calicivirus, herpesvirus, Mycoplasma o Bordetella, entre otros, neoplasias, cuerpos extraños, traumatismos, procesos inflamatorios como rinitis crónica (linfoplasmocitaria, alérgica) o pólipos nasofaríngeos, y alteraciones anatómicas congénitas o adquiridas como la atresia de coanas, el paladar hendido, fístulas, síndrome braquiocefálico y ENF.[ Allen HS, Broussard J, Noone, K. Nasopharyngeal Disease in Cats: A retrospective Study 53 Cases (1991-1998). J Am Anim Hosp Assoc 1999; 35: 457-461. [PubMed] , Reed N, Gunn-Moore DG. Nasopharyngeal disease in cats. 1.Diagnostic investigation. 2. Specific conditions and their management. J Feline Med Surg, 2012; 14: 306-326. [PubMed] , Weisse C, Berent A. Treating nasopharyngeal stenosis: a case Study. DVM 360. Acceso: mayo 2016. [DVM360] ] En un primer estudio con 53 gatos[ Allen HS, Broussard J, Noone, K. Nasopharyngeal Disease in Cats: A retrospective Study 53 Cases (1991-1998). J Am Anim Hosp Assoc 1999; 35: 457-461. [PubMed] ] se concluyó que el linfoma y los pólipos eran las patologías más frecuentes en la nasofaringe felina y, en un estudio posterior, se encontró que las patologías más frecuentes eran el linfoma y la rinitis crónica.[ Henderson SM, Bradley K, Day MJ et al. Investigation of nasal disease in the cat – a retrospective study of 77 cases. J Feline Med and Surg, 2004;6: 245-257. [PubMed] ] En este estudio no se observaron gatos con pólipos nasofaríngeos y los autores concluyen que podría ser debido a que estos casos no les eran remitidos por los veterinarios generalistas.

Por lo tanto, es importante obtener una historia completa, examinar todas las estructuras relacionadas anatómicamente, efectuar pruebas de laboratorio para descartar enfermedades concurrentes, FeLV-FIV y patógenos respiratorios y realizar un diagnóstico por imagen.

Se han descrito varios métodos para el diagnóstico de ENF. Se puede visualizar utilizando un espejo dental, retirando previamente el paladar blando, aunque no siempre es fácil. La radiografía, sobre todo en proyección lateral de la cabeza, nos puede mostrar un estrechamiento a nivel de la región nasofaríngea o una línea de membrana. Se ha descrito también la rinografía con contraste iodado.[ Boswood A, Lamb CR, Brockman J, Mantis P, Witt A. 2003. Ballon dilatation of nasopharyngeal stenosis in a cat. Vet Radiol Ultrasound 2003; 44(1):53-55. [PubMed] ]

La TC es una buena herramienta que nos ayuda a visualizar todas las estructuras, definir el diámetro de la estenosis, la longitud de la membrana y el aspecto rostral de la lesión. Es probable que en nuestro caso la resolución o los cortes no fueran adecuados. La separación entre cortes debe ser mínima, ya que, en ocasiones, la membrana es muy fina y puede pasar desapercibida.[ Weisse C, Berent A. Treating nasopharyngeal stenosis: a case Study. DVM 360. Acceso: mayo 2016. [DVM360] ]

Para visualizar directamente la nasofaringe se necesita un endoscopio flexible, con punta bidireccional de 3-5 mm[ Reed N, Gunn-Moore DG. Nasopharyngeal disease in cats. 1.Diagnostic investigation. 2. Specific conditions and their management. J Feline Med Surg, 2012; 14: 306-326. [PubMed] , Sobel, DS 2013. Upper respiratory tract endoscopy in the cat: a minimally invasive approach to diagnostics and therapeutics. J Feline Med and Surg, 2013; 15, 1007-1017. [PubMed] ] y que retroflexione 180º.[ Reed N, Gunn-Moore DG. Nasopharyngeal disease in cats. 1.Diagnostic investigation. 2. Specific conditions and their management. J Feline Med Surg, 2012; 14: 306-326. [PubMed] , Kuehn F. Chronic Rhinitis in Cats. Clin Tech in Small Anim Pract 2006; 21:69-75. [PubMed] ] Se introduce por cavidad oral y permite ver la parte caudal de las coanas una vez pasado el paladar blando.

El primer tratamiento descrito para la ENF fue mediante cirugía y consistía en la resección quirúrgica, accediendo a través de una incisión en paladar blando.[ Mitten RW. 1998. Nasopharyngeal stenosis in four cats. J Small Anim Pract 1998; 29, 341-345. [PubMed] ] Debido a la alta tasa de recurrencias descritas, se buscaron técnicas alternativas. Otras técnicas utilizadas han sido la resección quirúrgica y/o dilatación con balón seguida de la colocación de una endoprótesis permanente de acero inoxidable trenzado,[ Novo RE, Kramer B. Surgical repair of nasopharyngeal stenosis in a cat using a stent. J Am Anim Hosp Assoc 1999; 35, 1432-1440. [PubMed] ] romper la membrana con fórceps y luego realizar una reconstrucción de la superficie de la nasofaringe utilizando un colgajo de avance de mucosa,[ Griffon DJ, Tasker S. Use of a mucosal advancement flap for the treatment of nasopharyngeal stenosis in a cat. J Small Anim Pract 2000; 41: 71-73. [PubMed] ] dilatación con balón como único tratamiento,[ Glaus M, Tomsa K, Reusch CE. Ballon dilation for the treatment of chronic recurrent nasopharyngeal stenosis in a cat. J Small Anim Pract 2002; 43, 88–90. [PubMed] , Glaus M, Gerber B, Tomsa K, Keiser M, Unterer S. 2005. Reproducible and longlasting success of ballon dilation of nasopharyngeal stenosis in cats. Vet Rec 2005; 157: 257-259 [PubMed] , Boswood A, Lamb CR, Brockman J, Mantis P, Witt A. 2003. Ballon dilatation of nasopharyngeal stenosis in a cat. Vet Radiol Ultrasound 2003; 44(1):53-55. [PubMed] , Ruiz G, Decambron, A, Manassero, M. Sténose du nasopharynx traitée par dilatation par ballonnet chez un chat. Rev Vét Clin 2014; 49, 81—86. ] colocación de un stent metálico expandible mediante cirugía[ Novo RE, Kramer B. Surgical repair of nasopharyngeal stenosis in a cat using a stent. J Am Anim Hosp Assoc 1999; 35, 1432-1440. [PubMed] ] o mediante balón[ Berent AC, Weisse C, Todd K, Rondeau M, Reiter A. 2008. Use of a ballonexpandable metallic stent for treatment of nasopharyngeal stenosis in dogs and cats: six cases (2005-2007). J Am Vet Med Assoc 233 2008; 1432-1440. [PubMed] , Weisse C, Berent A. Treating nasopharyngeal stenosis: a case Study. DVM 360. Acceso: mayo 2016. [DVM360] ] y, la técnica más reciente descrita, dilatación seguida de la colocación de un stent temporal de silicona que se retira a las 3-4 semanas.[ De Lorenzi D, Bertoncello D, Comastri S, Bottero E. Treatment of acquired nasopharyngeal stenosis using a removable silicone stent. J Feline Med and Surg, 2015; 17(2): 117-124. [PubMed] ] En todos los casos, se administraron corticoides posteriormente con el fin de retrasar la cicatrización.

Prácticamente todos los tratamientos han tenido éxito a corto o largo plazo, pero presentan inconvenientes.[ Griffon DJ, Tasker S. Use of a mucosal advancement flap for the treatment of nasopharyngeal stenosis in a cat. J Small Anim Pract 2000; 41: 71-73. [PubMed] , Glaus M, Tomsa K, Reusch CE. Ballon dilation for the treatment of chronic recurrent nasopharyngeal stenosis in a cat. J Small Anim Pract 2002; 43, 88–90. [PubMed] , Glaus M, Gerber B, Tomsa K, Keiser M, Unterer S. 2005. Reproducible and longlasting success of ballon dilation of nasopharyngeal stenosis in cats. Vet Rec 2005; 157: 257-259 [PubMed] , Boswood A, Lamb CR, Brockman J, Mantis P, Witt A. 2003. Ballon dilatation of nasopharyngeal stenosis in a cat. Vet Radiol Ultrasound 2003; 44(1):53-55. [PubMed] , Ruiz G, Decambron, A, Manassero, M. Sténose du nasopharynx traitée par dilatation par ballonnet chez un chat. Rev Vét Clin 2014; 49, 81—86. , Novo RE, Kramer B. Surgical repair of nasopharyngeal stenosis in a cat using a stent. J Am Anim Hosp Assoc 1999; 35, 1432-1440. [PubMed] , Berent AC, Weisse C, Todd K, Rondeau M, Reiter A. 2008. Use of a ballonexpandable metallic stent for treatment of nasopharyngeal stenosis in dogs and cats: six cases (2005-2007). J Am Vet Med Assoc 233 2008; 1432-1440. [PubMed] , De Lorenzi D, Bertoncello D, Comastri S, Bottero E. Treatment of acquired nasopharyngeal stenosis using a removable silicone stent. J Feline Med and Surg, 2015; 17(2): 117-124. [PubMed] , Weisse C, Berent A. Treating nasopharyngeal stenosis: a case Study. DVM 360. Acceso: mayo 2016. [DVM360] ] La mayoría de los estudios solo describen casos individuales, la dilatación con balón presenta una alta tasa de recurrencia y la colocación de un stent puede provocar la formación de tejido de granulación o la presencia de movimientos deglutorios o náuseas si se coloca muy caudal. En la actualidad, la recomendación si la estenosis se encuentra muy caudal en la nasofaringe es realizar dilataciones seriadas con balón para evitar problemas de deglución o náuseas y, si la estenosis es más craneal o recurrente, la colocación de un stent.[ Ruiz G, Decambron, A, Manassero, M. Sténose du nasopharynx traitée par dilatation par ballonnet chez un chat. Rev Vét Clin 2014; 49, 81—86. , Berent AC, Weisse C, Todd K, Rondeau M, Reiter A. 2008. Use of a ballonexpandable metallic stent for treatment of nasopharyngeal stenosis in dogs and cats: six cases (2005-2007). J Am Vet Med Assoc 233 2008; 1432-1440. [PubMed] , De Lorenzi D, Bertoncello D, Comastri S, Bottero E. Treatment of acquired nasopharyngeal stenosis using a removable silicone stent. J Feline Med and Surg, 2015; 17(2): 117-124. [PubMed] ]

La dilatación con balón probablemente es la técnica más utilizada, es fácil de realizar y es la menos invasiva. Se puede hacer bajo visualización con endoscopia o fluoroscopia. Tiene dos inconvenientes: puede dar lugar a reestenosis en pocos días, semanas o meses que requieran nuevas dilataciones y no existe ningún protocolo sobre el tamaño de balón a utilizar, el objetivo de expansión de la nasofaringe, las dilataciones por sesión, el intervalo entre sesiones o los tratamientos adyuvantes.[ Ruiz G, Decambron, A, Manassero, M. Sténose du nasopharynx traitée par dilatation par ballonnet chez un chat. Rev Vét Clin 2014; 49, 81—86. ]

En el primer caso descrito[ Glaus M, Tomsa K, Reusch CE. Ballon dilation for the treatment of chronic recurrent nasopharyngeal stenosis in a cat. J Small Anim Pract 2002; 43, 88–90. [PubMed] ] fueron necesarias tres dilataciones, separadas entre sí varias semanas; en la primera, utilizaron un balón de 10 mm y prednisolona 2 mg/kg/24h tres días; las dos restantes se realizaron con un balón de 15 mm y tratamiento de seis semanas con prednisolona. En el siguiente caso[ Boswood A, Lamb CR, Brockman J, Mantis P, Witt A. 2003. Ballon dilatation of nasopharyngeal stenosis in a cat. Vet Radiol Ultrasound 2003; 44(1):53-55. [PubMed] ] se realizaron dos dilataciones con balón de 10 mm seguidas de tratamiento con prednisolona en dosis de 0,25 mg/kg/24h PO durante siete días. En un estudio posterior con seis gatos[ Glaus M, Gerber B, Tomsa K, Keiser M, Unterer S. 2005. Reproducible and longlasting success of ballon dilation of nasopharyngeal stenosis in cats. Vet Rec 2005; 157: 257-259 [PubMed] ] en el que se utilizó un balón de 15 mm, solo en un gato se produjo recurrencia y en los otros cinco no fue necesario volver a dilatar, aunque en tres se observó cierto grado de estenosis persistente. En el caso presentado más recientemente[ Ruiz G, Decambron, A, Manassero, M. Sténose du nasopharynx traitée par dilatation par ballonnet chez un chat. Rev Vét Clin 2014; 49, 81—86. ] se necesitó una segunda dilatación y sus autores sostienen que la probabilidad de estenosis es mayor cuanto más se lesione la mucosa o si el tamaño final del orificio es insuficiente. Según lo publicado, un 50 % de los gatos precisó de dos o más dilataciones.

Nosotros hemos utilizado un protocolo de revisión endoscópica a la semana y a las dos semanas, independientemente de la presencia o no de signos clínicos, y fueron necesarias tres dilataciones, a pesar de utilizar un balón de 18 mm, para conseguir un tamaño suficiente de orificio y tratamiento con metilprednisolona o prednisolona en dosis de 2 mg/kg/ PO q24h durante 7 días y 1 mg/kg/PO q24h durante 7 días. Es posible que con este balón la lesión en la mucosa fuera mayor y esto aumentara el índice de recurrencia. Se obtuvo inicialmente un diámetro de orificio de 5 mm que volvió a estenosarse y, en la última dilatación, se consiguió un diámetro de 8 mm que era el diámetro máximo a conseguir, debido a que los bordes de la línea de desgarro coincidían con la pared basal de la nasofaringe. No se produjeron más recurrencias.

Realizamos este tratamiento por ser un procedimiento poco invasivo, tenerlo a nuestro alcance y seguir las recomendaciones publicadas al encontrarse la estenosis localizada muy caudal. El resultado, igual que los descritos, se considera satisfactorio a largo plazo.

Conclusiones

Ante la presencia de disnea inspiratoria y estertores se deben investigar a fondo las vías respiratorias superiores incluyendo la nasofaringe. El diagnóstico definitivo debe ser mediante TC o endoscopia. La primera puede dar falsos negativos si las secciones entre cortes no son adecuadas, debiendo realizar otros métodos de diagnóstico por imagen si los signos clínicos persisten y no se ha encontrado la causa.
La dilatación con balón presenta recurrencias y son precisas varias intervenciones, por lo que debe informarse al propietario de esta posibilidad.
En cuanto al grado de recurrencia, no se ha encontrado relación con el tipo de corticoide usado, la dosis, la duración del tratamiento, el diámetro del balón o el protocolo de dilataciones. Serían precisos más estudios para establecer un protocolo de actuación.

 

Fuente de financiación: este trabajo no se realizó con fondos comerciales, públicos o del sector privado.
Conflicto de intereses: los autores declaran que no existen conflictos de intereses.

Bibliografía

  1. [1] Allen HS, Broussard J, Noone, K. Nasopharyngeal Disease in Cats: A retrospective Study 53 Cases (1991-1998). J Am Anim Hosp Assoc 1999; 35: 457-461. [PubMed]
  2. [2] Reed N, Gunn-Moore DG. Nasopharyngeal disease in cats. 1.Diagnostic investigation. 2. Specific conditions and their management. J Feline Med Surg, 2012; 14: 306-326. [PubMed]
  3. [3] Mitten RW. 1998. Nasopharyngeal stenosis in four cats. J Small Anim Pract 1998; 29, 341-345. [PubMed]
  4. [4] Griffon DJ, Tasker S. Use of a mucosal advancement flap for the treatment of nasopharyngeal stenosis in a cat. J Small Anim Pract 2000; 41: 71-73. [PubMed]
  5. [5] Glaus M, Tomsa K, Reusch CE. Ballon dilation for the treatment of chronic recurrent nasopharyngeal stenosis in a cat. J Small Anim Pract 2002; 43, 88–90. [PubMed]
  6. [6] Glaus M, Gerber B, Tomsa K, Keiser M, Unterer S. 2005. Reproducible and longlasting success of ballon dilation of nasopharyngeal stenosis in cats. Vet Rec 2005; 157: 257-259 [PubMed]
  7. [7] Boswood A, Lamb CR, Brockman J, Mantis P, Witt A. 2003. Ballon dilatation of nasopharyngeal stenosis in a cat. Vet Radiol Ultrasound 2003; 44(1):53-55. [PubMed]
  8. [8] Ruiz G, Decambron, A, Manassero, M. Sténose du nasopharynx traitée par dilatation par ballonnet chez un chat. Rev Vét Clin 2014; 49, 81—86.
  9. [9] Novo RE, Kramer B. Surgical repair of nasopharyngeal stenosis in a cat using a stent. J Am Anim Hosp Assoc 1999; 35, 1432-1440. [PubMed]
  10. [10] Berent AC, Weisse C, Todd K, Rondeau M, Reiter A. 2008. Use of a ballonexpandable metallic stent for treatment of nasopharyngeal stenosis in dogs and cats: six cases (2005-2007). J Am Vet Med Assoc 233 2008; 1432-1440. [PubMed]
  11. [11] De Lorenzi D, Bertoncello D, Comastri S, Bottero E. Treatment of acquired nasopharyngeal stenosis using a removable silicone stent. J Feline Med and Surg, 2015; 17(2): 117-124. [PubMed]
  12. [12] Weisse C, Berent A. Treating nasopharyngeal stenosis: a case Study. DVM 360. Acceso: mayo 2016. [DVM360]
  13. [13] Henderson SM, Bradley K, Day MJ et al. Investigation of nasal disease in the cat – a retrospective study of 77 cases. J Feline Med and Surg, 2004;6: 245-257. [PubMed]
  14. [14] Kuehn F. Chronic Rhinitis in Cats. Clin Tech in Small Anim Pract 2006; 21:69-75. [PubMed]
  15. [15] August, JR 2011. Nasopharyngeal Diseases of Cats. Proceeding en primer congreso Gemfe de Medicina Felina. 2011. Granada, 28-30 de enero de 2011. [PubMed]
  16. [16] Sobel, DS 2013. Upper respiratory tract endoscopy in the cat: a minimally invasive approach to diagnostics and therapeutics. J Feline Med and Surg, 2013; 15, 1007-1017. [PubMed]

Artículos recomendados

Estas recomendaciones se ofrecen de forma automática.

  • Evaluación de la ratio volumen atrio izquierdo/peso mediante el método sumatorio de discos en el corte paraesternal derecho 4 cámaras, en 205 pacientes

    Ó. Monge-Utrilla
    Clin Vet Peq Anim Vol. 44 - Nº 3 · SEP 2024 · Artículo original referido a múltiples casos clínicos
  • Concordancia entre IDEXX SediVue Dx y el cultivo de orina en perros y gatos

    L. Di Filippo, I. Frías, R. Santiago
    Clin Vet Peq Anim Vol. 44 - Nº 1 · MAR 2024 · Artículo original referido a múltiples casos clínicos
  • Mortalidad anestésica en gatos en España. Resultados del proyecto COMPLRED

    J. I. Redondo-García, R. Marti-Scharfhausen Sánchez, I. Bilbao-Castro, et al.
    Clin Vet Peq Anim Vol. 44 - Nº 1 · MAR 2024 · Artículo original referido a múltiples casos clínicos
  • Inicio
  • Introducción
  • Caso clínico
  • Discusión
  • Conclusiones
  • Bibliografía
Artículo anterior Índice de la revista Artículo siguiente
ANUNCIO
Próximos cursos ATVs Elearning
Índice
Inicio Introducción Caso clínico Discusión Conclusiones Bibliografía
Purina Calming Care
ANUNCIO

¿No eres socio de AVEPA y quieres recibir comunicación de las nuevas ediciones en tu correo?

Suscríbete

Suscríbete y te avisaremos cuando publiquemos un nuevo número

Suscribirme

Enlaces rápidos

  • Inicio
  • Último número
  • Archivo
  • Artículos

Información

  • Comité editorial
  • Política de cookies
  • Política de privacidad
  • Términos y condiciones

Contacto

  • info@imaginice.com
  • Envíanos tu artículo
© 2026 Ice Salud Vet SL. Todos los derechos reservados.

Usamos cookies para mejorar tu experiencia. Selecciona cuáles aceptas: