Logo AVEPA

Clínica Veterinaria de Pequeños Animales

Revista oficial de AVEPA

  • Inicio
  • Último número
  • Archivo
  • Artículos
  • Para autores
  • Contacto
Cursos Junio-Septiembre 2026
ANUNCIO

Clínica Veterinaria de Pequeños Animales

Revista oficial de AVEPA

  • Inicio
  • Último número
  • Archivo
  • Artículos
  • Para autores
  • Contacto
Curso Oftalmología 2026
ANUNCIO
Clin Vet Peq Anim Vol. 39 • Nº 4 • diciembre 2019

Tumores cardiacos en el perro

Cardiac tumours in dogs

Artículos de Revisión

P. M. García-Ortells

Hospital Veterinario Albeitar. Av. Mendavia 37. 26009 Logroño (La Rioja)

Contacto: pedromanuelvet@googlemail.com
Palabras clave: neoplasia cardiaca, hemangiosarcoma, quemodectoma, mesotelioma, TAC, pericardio, pericardiectomía.
Keywords: cardiac neoplasia, hemangiosarcoma, chemodectoma, mesothelioma, CT, pericardium, pericardiectomy.

Clin Vet Peq Anim 2019, 39 (4): 207-217

Descargar artículo

Resumen

Este artículo de revisión recoge la información disponible en la bibliografía sobre neoplasias cardiacas en el perro aportando las últimas publicaciones a fin de ofrecer una revisión los más exhaustiva posible. En él se revisan los tumores cardiacos más frecuentes, así como sus síntomas, diagnóstico, tratamiento y pronóstico. Se incluyen, además, los últimos avances en técnicas de diagnóstico por imagen, como TAC, y los tratamientos tanto quimioterápicos como quirúrgicos más recientes.

Abstract

The following review article gathers the information available in the literature on cardiac neoplasms in dogs providing the latest publications to make a review as exhaustive as possible. We examine the most frequent cardiac tumors and its symptoms, diagnosis, treatment and prognosis. We also provide the latest advances in diagnostic imaging (CT) and the most recent chemotherapy and surgical treatments.

AVEPA Elearning

La presencia de este logo en un artículo de la revista indica que se publicará un examen sobre el mismo en la plataforma AVEPA Elearning. Su resolución aporta 0,15 créditos dentro del sistema de acreditaciones de especialidades veterinarias de AVEPA.

Introducción

La frecuencia de los tumores cardiacos es baja, siendo su incidencia del 0,19 % según el estudio de Ware y Hopper.[ Ware WA, Hopper DL: Cardiac tumors in dogs: 1982-1995. J Vet Intern 1999; 13: 95-103. [PubMed] ] Su edad de presentación en perros oscila entre 7 y 15 años de edad, con la excepción del linfoma que puede afectar a perros jóvenes.[ Ware WA, Hopper DL: Cardiac tumors in dogs: 1982-1995. J Vet Intern 1999; 13: 95-103. [PubMed] ]

El tumor cardiaco más frecuente es el hemangiosarcoma (HSA, 69 %)[ Ware WA, Hopper DL: Cardiac tumors in dogs: 1982-1995. J Vet Intern 1999; 13: 95-103. [PubMed] , Walter JH, Rudolph R: Systemic, Metastatic, eu- and heterotope tumours of the heart in necropsied dogs. Zentralbl Veterinarmed A 1996; 43: 31-45. [PubMed] ] seguido de tumores de cuerpo aórtico (quemodectoma y paraganglioma),[ Walter JH, Rudolph R: Systemic, Metastatic, eu- and heterotope tumours of the heart in necropsied dogs. Zentralbl Veterinarmed A 1996; 43: 31-45. [PubMed] , Szczech GM, Blevins WE, Carlton WW, Cutlan GR: Chemodectoma with metastasis to bone in a dog. J Am Vet Med Assoc 1973; 162: 376-378. [PubMed] ] linfoma[ MacGregor JM, Faria ML, Moore AS, Tobias AH, Brown DJ, Morais HS: Cardiac lymphoma and pericardial effusion in dogs: 12 cases (1994-2004). J Am Vet Med Assoc. 2005; 227: 1449-1453. [PubMed] ] y carcinoma tiroideo ectópico.[ Ware WA, Hopper DL: Cardiac tumors in dogs: 1982-1995. J Vet Intern 1999; 13: 95-103. [PubMed] , Aupperle H, Marz I, Ellenberger C, Buschatz S, Reischauer A, Schoon HA: Primary and secondary heart tumours in dogs and cats. J Comp Pathol 2007; 136: 18-26. [PubMed] , Bracha S, Caron I, Holmberg DL, et al: Ectopic thyroid carcinoma causing right ventricular outflow tract obstruction in a dog. J Am Vet Med 2009; 45: 138-141. [PubMed] ]

Las razas más afectadas son Pastor Alemán, Golden Retriever, Boxer, Bulldog, Boston Terrier, Scottish Terrier, English Setter, Galgo Afgano, Flat Coated Retriever, Irish Water Spaniel, Bulldog Francés y Saluki.[ Szczech GM, Blevins WE, Carlton WW, Cutlan GR: Chemodectoma with metastasis to bone in a dog. J Am Vet Med Assoc 1973; 162: 376-378. [PubMed] ]

Los tumores cardiacos pueden ser benignos o malignos y/o primarios o secundarios. Existe controversia respecto a qué tipo de tumor es más frecuente.[ Treggiari E, Pedro B, Dukes-McEwan J, Gelzer AR, Blackwood L. A descriptive review of cardiac tumours in dogs and cats. Vet Comp Oncol 2017 Jun;15(2):273-288. [PubMed] ] Por una parte, según el estudio de Ware y Hopper,[ Ware WA, Hopper DL: Cardiac tumors in dogs: 1982-1995. J Vet Intern 1999; 13: 95-103. [PubMed] ] el 84 % de los tumores cardiacos son primarios y el 16 % son secundarios a metástasis. Sin embargo, en el estudio más reciente de 2007 de Aupperle et al, el 69 % de los tumores fueron secundarios a metástasis y el 31 % primarios.[ Aupperle H, Marz I, Ellenberger C, Buschatz S, Reischauer A, Schoon HA: Primary and secondary heart tumours in dogs and cats. J Comp Pathol 2007; 136: 18-26. [PubMed] ] Estos últimos datos coinciden con los datos de medicina humana que indican que las metástasis cardiacas son más comunes que los tumores primarios. El primer estudio está basado en casos de bases de datos en los que sólo dos tercios de los casos tenían resultados de anatomía patológica. En el segundo estudio, realizado en base a estudios de necropsias, se buscaban pacientes con masas cardiacas si existían metástasis asociadas.

La localización más frecuente de los tumores cardiacos primarios es el atrio derecho (63 %), seguido de base cardiaca (18 %) y ventrículo izquierdo (9 %).[ Aupperle H, Marz I, Ellenberger C, Buschatz S, Reischauer A, Schoon HA: Primary and secondary heart tumours in dogs and cats. J Comp Pathol 2007; 136: 18-26. [PubMed] ]

El objetivo de esta revisión es agrupar de una manera completa toda la información disponible sobre tumores cardiacos en el perro incorporando los últimos avances científicos, tanto en diagnóstico por imagen como en tratamiento.

Neoplasias más frecuentes en la especie canina

Hemangiosarcoma

El hemangiosarcoma es el tumor más frecuente hallado en la especie canina (69 %)[ Ware WA, Hopper DL: Cardiac tumors in dogs: 1982-1995. J Vet Intern 1999; 13: 95-103. [PubMed] , Walter JH, Rudolph R: Systemic, Metastatic, eu- and heterotope tumours of the heart in necropsied dogs. Zentralbl Veterinarmed A 1996; 43: 31-45. [PubMed] ] siendo su localización más habitual la orejuela del atrio derecho (Fig. 1A). Además, pueden encontrarse en la pared del atrio izquierdo cerca o por encima del surco auriculoventricular o surco coronario. Puede presentarse de manera solitaria o junto con una masa esplénica; el grado de correlación entre las dos masas varía entre un 8,7 % y un 25 %.[ Boston SE, Higginson G, Monteith G: Concurrent splenic and right atrial mass at presentation in dogs with HSA: a retrospective study. J Am Anim Hosp Assoc 2011; 47: 336-341. [PubMed] , Waters DJ, Caywood DD, Hayden DW, Klausner JS: Metastatic pattern in dogs with splenic hemangiosarcoma– clinical implications. J Small Anim Pract 1988; 29: 805 814. ]

<p>Imágenes macroscópicas de tumores cardiacos <em>post mortem</em>. (<strong>A</strong>) Hemangiosarcoma. (<strong>B</strong>) Quemodectoma. (<strong>C</strong>) Mesotelioma.</p>
Figura 1

Imágenes macroscópicas de tumores cardiacos post mortem. (A) Hemangiosarcoma. (B) Quemodectoma. (C) Mesotelioma.

Posee una elevada malignidad procediendo de células endoteliales y puede originarse en cualquier sitio vascularizado. Son tumores muy friables que producen frecuentemente hemorragias y derrame pericárdico. Representan del 60 al 75 % de todas las neoplasias con derrame percicárdico.[ Ware W, Hopper D: Cardiac tumors in dogs: 1982-1995. J Vet Intern Med 1999; 12:95-103. [PubMed] , Berg R, Wingfield W: Pericardial effusion in the dog: a review of 42 cases. J Am Anim Hosp Assoc 1984; 20:721-730. [PMC] ] Su tratamiento quirúrgico y quimioterápico de manera coadyuvante es el más eficaz.

El Pastor Alemán y el Golden Retriever son razas predispuestas a hemangiosarcoma de atrio derecho.[ Berg R, Wingfield W: Pericardial effusion in the dog: a review of 42 cases. J Am Anim Hosp Assoc 1984; 20:721-730. [PMC] , Brown N, Patnaik A, Macewen E: Canine hemangiosarcoma: retrospective analysis of 104 cases. J Am Vet Med Assoc 1985; 186:56-58. [PubMed] ]

Los hemangiosarcomas cardiacos en el momento del diagnóstico tienen virtualmente un índice metastático del 100 %.[ Berg R, Wingfield W: Pericardial effusion in the dog: a review of 42 cases. J Am Anim Hosp Assoc 1984; 20:721-730. [PMC] ]

 

Tumores de cuerpo aórtico

El más frecuente de este tipo de tumores, llamados así por su localización, es el quemodectoma (Fig. 1B). Se originan a partir de las células quimiorreceptoras de la base del corazón y son tumores no funcionales con un bajo potencial metastásico.

Las razas más predispuestas son las braquicefálicas (Boston Terrier, Bulldog Inglés, Bóxer), lo que sugiere que una hipoxia crónica puede inducir inicialmente una hiperplasia y el posterior desarrollo de tumores de células quimiorreceptoras.

Pueden producir derrame pericárdico, suponiendo un 10 % de las causas tumorales de derrames pericárdicos.[ Berg R, Wingfield W: Pericardial effusion in the dog: a review of 42 cases. J Am Anim Hosp Assoc 1984; 20:721-730. [PMC] , Brown N, Patnaik A, Macewen E: Canine hemangiosarcoma: retrospective analysis of 104 cases. J Am Vet Med Assoc 1985; 186:56-58. [PubMed] ]

 

Linfoma

El linfoma primario es poco frecuente en medicina veterinaria. Al igual que otros tumores cardiacos más frecuentes (como hemangiosarcoma, quemodectoma y mesotelioma) presenta efusión pleural. Afortunadamente en este caso, y al contrario que en otros tumores, podemos realizar un diagnóstico citológico a partir del líquido pericárdico.

Según la Organización Mundial de la Salud se clasifica como un tumor en estadio V (extranodal en otro órgano diferente del hígado y bazo) subestadio B (con síntomas clínicos). Esta clasificación indica que nos enfrentamos a perros con un mal pronóstico. Sin embargo, son potencialmente tratables. En un estudio varios perros con linfoma primario fueron tratados mediante quimioterapia, pericardiocentesis y pericardiectomía siendo su vida media de 157 días.[ MacGregor JM, Faria ML, Moore AS, Tobias AH, Brown DJ, Morais HS: Cardiac lymphoma and pericardial effusion in dogs: 12 cases (1994-2004). J Am Vet Med Assoc. 2005; 227: 1449-1453. [PubMed] ]

Cabe señalar que el linfoma es el tumor más frecuente en la especie felina. En el estudio de Aupperle H et al se vio que de 14 gatos con linfoma 4 de ellos fueron positivos para leucemia felina.[ Aupperle H, Marz I, Ellenberger C, Buschatz S, Reischauer A, Schoon HA: Primary and secondary heart tumours in dogs and cats. J Comp Pathol 2007; 136: 18-26. [PubMed] ]

 

Rabdomioma y rabdiomiosarcoma

El rabdomioma es un tumor infrecuente y su clasificación histológica es controvertida.[ Benvenuti LA, Aiello VD, Fukasawa S, Higuchi ML: Cardiac rhabdomyomas exhibit a fetal pattern of atrial natriuretic peptide immunoreactivity. Exp Mol Pathol 2001; 70: 65-69. [PubMed] ] Está descrito en pacientes jóvenes con signos inespecíficos o quilotórax. En la bibliografía se describe un caso en un Beagle de 6 meses de edad encontrado de manera incidental en su necropsia.[ Radi ZA, Metz A: Canine cardiac rhabdomyoma. Toxicol Pathol 2009; 37: 348-350. [PubMed] ] En otro caso clínico se señala como el causante de quilotórax en un perro de 6 años.[ Mansfield CS, Callanan JJ, McAllister H: Intra-atrial rhabdomyoma causing Chyloperciardium and right sided congestive heart failure in a dog. Vet Record 2000; 147: 264-267. ]

También se ha descrito que el rabdiomiosarcoma produce en el perro fallo congestivo derecho y derrame pleural. Esta neoplasia posee la capacidad de generar metástasis como se ha recogido en un caso de un Gran Danés, donde se demostró metástasis en pulmones, diafragma, hígado y riñones.[ Perez J, Perez-Rivero A, Montoya A, Martin MP, Mozos E: Right-sided heart failure in a dog with primary cardiac rhabdomyosarcoma. J Am Anim Hosp Assoc 1998; 34: 208-211. [PubMed] , Gonin-Jmaa D, Paulsen DB, Taboada J: Pericardial effusion in a dog with rhabdomyosarcoma in the right ventricular wall. J Small Anim Pract 1996; 37:193-196. [PubMed] , Akkoc A, Ozyigit MO, Yilmaz R, Alasonyalilar A, Cangul IT: Cardiac metastasising rhabdomyosarcoma in a great Dane. Vet Record 2006; 158: 803-804. [PubMed] ]

 

Mesotelioma

No es de los tumores más frecuentes pero suponen el 5 % de las neoplasias que causan derrame pericárdico.[ Ware W, Hopper D: Cardiac tumors in dogs: 1982-1995. J Vet Intern Med 1999; 12:95-103. [PubMed] , Berg R, Wingfield W: Pericardial effusion in the dog: a review of 42 cases. J Am Anim Hosp Assoc 1984; 20:721-730. [PMC] ] Los signos clínicos que presenta suelen ser consecuencia del acúmulo de un gran volumen de derrame. La implicación pericárdica puede ocurrir de forma aislada o afectando también a otras superficies mesoteliales (pleura) (Fig. 1C).

Se ha observado cierta predisposición en machos para el desarrollo de mesoteliomas y son más frecuentes en perros de raza pequeña o media. Está descrito un caso en un perro de raza Yorkshire de 8 años en el cual se encontró derrame pericárdico en la ecografía junto a áreas hiperecogénicas en el pericardio. En la necropsia se pudo confirmar un mesotelioma con diferenciación ósea, siendo el primer caso descrito con esta diferenciación ósea.[ Yamamoto S, Fukushima R, Kobayashi M, Machida N: Mixed form of pericardial mesothelioma with osseous differentiation in a dog. J Comp Pathol 2013 149: 229-232. [PubMed] ]

 

Carcinoma tiroideo ectópico

Es una neoplasia muy poco frecuente en la clínica veterinaria representando un 1 % y siendo frecuentemente diagnosticado post mortem.

Sin embargo, en la bibliografía encontramos la resección en un perro de 9 años de raza Boyero de Flandes. El paciente presentaba quilotórax y masa en el ventrículo derecho. El tumor pudo ser extirpado y el paciente fue eutanasiado 11 meses después de la cirugía.[ Bracha S, Caron I, Holmberg DL, et al: Ectopic thyroid carcinoma causing right ventricular outflow tract obstruction in a dog. J Am Vet Med 2009; 45: 138-141. [PubMed] ]

Signos clínicos

Los signos clínicos producidos por los tumores cardiacos están más relacionados con su localización anatómica que con su tipo histológico.[ Withrow S, Vail D: Oncología clínica de pequeños animales. 4 ed, Barcelona: Multimédica ediciones veterinarias; 2009. ]

Sin embargo, a veces los tumores cardiacos pueden estar presentes sin producir sintomatología debido a su pequeño tamaño o a que su localización no afecta a la función cardiaca.

En general, los signos resultan de:

1) La presencia física del tumor que causa obstrucción del flujo sanguíneo dentro o fuera del corazón.

2) La compresión externa del corazón que impide el llenado (p. ej., efusión pericárdica y el resultante taponamiento cardiaco).

3) La alteración del ritmo cardiaco o la contractibilidad si hay infiltración o se desarrolla isquemia.[ Withrow S, Vail D: Oncología clínica de pequeños animales. 4 ed, Barcelona: Multimédica ediciones veterinarias; 2009. ]

En la Tabla 1 se muestran los síntomas más comunes por la localización del tumor cardiaco y los tumores más frecuentes.[ Sidley JA, Atkins CE, Keene BW, De Francesco TC: Percutaneous balloon pericadiotomy as a treatment for recurrent pericardial effusion in 6 dogs. J Vet Intern Med 2002; 16(5): 541-6. [PubMed] , Santana A, García R: Neoplasias cardiacas en el perro. Clincardiovet 2016; 2: 2-10. , Actavetscand (Internet): Denmark: Acta Veterinaria Scandinavica 2016 (actualizado 22 Jun 2016; citado 13 Feb 2019) Disponible en: https://actavetscand.biomedcentral.com/articles/10.1186/s13028-016-0222-7. ] Aunque, como se ha indicado anteriormente, los síntomas están más relacionados con la localización del tumor, otros elementos marcan también la sintomatología como, por ejemplo, tumores que afecten a la actividad eléctrica del corazón (rabdomiosarcoma, linfoma) o tumores que tienden a sangrar con más facilidad debido a que son muy friables, como el hemangiosarcoma, que tienden a producir derrames pericárdicos.

<div class=\"Basic-Text-Frame\">
<p>*El quemodectoma es un tumor que se localiza en el cuerpo aórtico, por lo que también se puede clasificar en los tumores de base cardiaca, pudiendo presentar síntomas del síndrome de vena cava craneal o los descritos en las celdas superiores tales como edema, ascitis, tos y pérdida de peso.</p>
</div>
Tabla 1

*El quemodectoma es un tumor que se localiza en el cuerpo aórtico, por lo que también se puede clasificar en los tumores de base cardiaca, pudiendo presentar síntomas del síndrome de vena cava craneal o los descritos en las celdas superiores tales como edema, ascitis, tos y pérdida de peso.

Diagnóstico

El diagnóstico de neoplasia cardiaca se suele basar en la historia clínica, el examen físico y los hallazgos radiográficos y ecocardiográficos.

En la mayoría de los casos, la confirmación citológica o histológica se obtiene post mortem; sin embargo, se puede obtener una aspiración con aguja fina o biopsia cuando está indicada o es técnicamente factible.

 

Radiografía

La radiografía es una de las primeras pruebas realizadas que nos harán tener una primera sospecha de neoplasia cardiaca. Observaremos signos de aumento de tamaño de la silueta cardiaca, siendo importante valorar la coexistencia de masas pulmonares.

Los hallazgos que podemos encontrar son:

- Aumento de tamaño de la aurícula izquierda (Fig. 2). La aurícula izquierda se sitúa ventral al bronquio principal izquierdo. En el aumento de tamaño de la aurícula izquierda observaremos una desviación dorsal del bronquio en la proyección lateral. En la imagen ventrodorsal veremos un aumento de separación entre los bronquios principales y una desviación hacia las dos de la orejuela izquierda.[ García MI: Atlas de interpretación radiográfica en pequeños animales. Zaragoza: Ed Servet; 2014. ]

<p>Radiografías de la cavidad torácica de un paciente con un tumor en la aurícula izquierda. (<strong>A</strong>) Lateral. (<strong>B</strong>) Ventrodorsal.</p>
Figura 2

Radiografías de la cavidad torácica de un paciente con un tumor en la aurícula izquierda. (A) Lateral. (B) Ventrodorsal.

- Aumento de tamaño del ventrículo izquierdo: suele producir un desplazamiento dorsal de la tráquea en la zona de la carina en la proyección lateral.

- Aumento de tamaño de la aurícula derecha (Fig. 3): produce un desplazamiento dorsal de la tráquea craneal a la carina sin afectar a esta en la proyección lateral.

<p>Radiografías de la cavidad torácica de un paciente con un tumor en la aurícula derecha. (<strong>A</strong>) Lateral. (<strong>B</strong>) Ventrodorsal.</p>
Figura 3

Radiografías de la cavidad torácica de un paciente con un tumor en la aurícula derecha. (A) Lateral. (B) Ventrodorsal.

- Aumento de tamaño del ventrículo derecho: en la proyección lateral se produce un aumento del contacto esternal debido a que el ventrículo derecho suele crecer en anchura. En la vista ventrodorsal se produce una imagen de “D invertida”.

- Derrame pericárdico (Fig. 4): produce una imagen globosa del corazón con desplazamiento dorsal de la tráquea e hipoperfusión pulmonar.

<p>Radiografías de la cavidad torácica de un paciente con derrame pericárdico. (<strong>A</strong>) Lateral. (<strong>B</strong>) Ventrodorsal.</p>
Figura 4

Radiografías de la cavidad torácica de un paciente con derrame pericárdico. (A) Lateral. (B) Ventrodorsal.

- Aumento de tamaño de base cardiaca (Fig. 5): se observa un desplazamiento dorsal de tráquea y aumento de tamaño en la proyección dorsoventral.

<div class=\"Basic-Text-Frame\">
<p>Radiografías de la cavidad torácica de un paciente con tumor de base cardiaca. (<strong>A</strong>) Lateral. (<strong>B</strong>) Ventrodorsal.</p>
</div>
Figura 5

Radiografías de la cavidad torácica de un paciente con tumor de base cardiaca. (A) Lateral. (B) Ventrodorsal.

 

Electrocardiograma

El electrocardiograma puede ser normal o, quizás, presente arritmias, en ocasiones relacionadas con la localización de la masa cardiaca.

Las alteraciones electrocardiográficas más frecuentes son:

- Menor amplitud de los complejos QRS y alternancia eléctrica (derrame pericárdico) (onda R < 1 mV).

- Taquicardias por presencia de masas que afectan al tejido de conducción (Fig. 6A).

- Bloqueos por presencia de masas que afectan al tejido de conducción (Fig. 6B).

<p>(<strong>A</strong>) Taquicardia por alteración de la conducción eléctrica. (<strong>B</strong>) Bloqueo auriculoventricular por alteración de la conducción eléctrica.</p>
Figura 6

(A) Taquicardia por alteración de la conducción eléctrica. (B) Bloqueo auriculoventricular por alteración de la conducción eléctrica.

 

Ecocardiografía

La ecocardiografía tiene una alta especificidad (100 %) y sensibilidad (82 %) para el diagnóstico de masas cardiacas y derrames pericárdicos.[ MacDonald KA, Cagney O, Magne ML: Echocardiographic and clinicopathologic characterization of pericardial effusion in dogs: 107 cases (1985-2006). J Am Vet Med Assoc 2009; 235:1456-1461. [PubMed] ]

Tanto el tamaño como la localización puede ayudar al diagnóstico, siendo siempre necesario la citología o la toma de biopsias para la confirmación del diagnóstico.[ Rajagopalan V, Jesty SA, Craig LE, Gompf R: Comparison of presuntive echocardiografic and definitive diagnosis of cardiac tumours in dogs. J Vet Intern Med 2013;27(5):1092-6. [PubMed] ] Las masas cardiacas pueden tener cualquier localización cardiaca (Fig. 7).

<div class=\"Basic-Text-Frame\">
<p>(<strong>A</strong>) Ecocardiografía en corte paraesternal derecho, eje largo, cuatro cámaras. Imagen compatible con masa en atrio derecho (entre flechas). (<strong>B</strong>) Imagen macroscópica donde se aprecia la visualización de masa en aurícula izquierda <em>post mortem</em>.</p>
</div>

<div>
<div class=\"frame-2\"> </div>
</div>
Figura 7

(A) Ecocardiografía en corte paraesternal derecho, eje largo, cuatro cámaras. Imagen compatible con masa en atrio derecho (entre flechas). (B) Imagen macroscópica donde se aprecia la visualización de masa en aurícula izquierda post mortem.

 

Los hallazgos más comunes son:

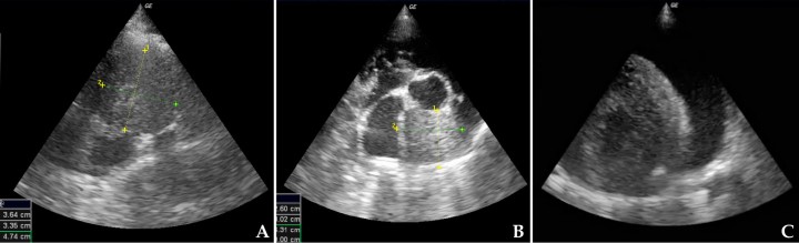
  1. Masas heterogéneas redondeadas en aurícula derecha (p. ej., hemangiosarcoma) (Fig. 8A).
  2. Tumores de base cardiaca (p. ej., quemodectoma), que son de aspecto más homogéneo y se suelen encontrar en el cayado de la aorta o localizados entre el tronco pulmonar y la aorta, observándose sobrecarga de volumen ventricular derecha por colapso de las venas pulmonares (Fig. 8B).
  3. Derrame pericárdico con/sin signos de taponamiento cardiaco. En el taponamiento cardiaco observamos colapso de la pared libre del atrio y/o del ventrículo derecho. Un taponamiento grave puede producir una reducción del volumen del ventrículo izquierdo apreciándose una pseudohipertrofia de ventrículo izquierdo (Fig. 8C).
  4. Los mesoteliomas o tumores de pequeño tamaño pueden ser más difíciles de visualizar. Sin embargo, ocasionalmente se puede observar, además de derrame pericárdico, pequeños filamentos que surgen del ventrículo izquierdo (Fig. 9).
<p>(<strong>A</strong>) Ecocardiografía en corte paraesternal derecho eje corto, base cardiaca-aorta compatible con masa en atrio derecho. (<strong>B</strong>) Ecocardiografía en corte paraesternal derecho eje corto, base cardiaca-aorta compatible con tumor de base cardiaca. (<strong>C</strong>) Ecocardiografía en corte paraesternal derecho eje corto, ventrículo izquierdo compatible con derrame pericárdico.</p>
Figura 8

(A) Ecocardiografía en corte paraesternal derecho eje corto, base cardiaca-aorta compatible con masa en atrio derecho. (B) Ecocardiografía en corte paraesternal derecho eje corto, base cardiaca-aorta compatible con tumor de base cardiaca. (C) Ecocardiografía en corte paraesternal derecho eje corto, ventrículo izquierdo compatible con derrame pericárdico.

<p>(<strong>A</strong>) Ecocardiografía en eje paraesternal derecho, eje corto, ventrículo izquierdo, compatible con derrame pericárdico y mesotelioma. (<strong>B</strong>) Detalle <em>post mortem</em> de mesotelioma.</p>
Figura 9

(A) Ecocardiografía en eje paraesternal derecho, eje corto, ventrículo izquierdo, compatible con derrame pericárdico y mesotelioma. (B) Detalle post mortem de mesotelioma.

Tomografía computarizada

La Tomografía Computarizada (TAC) es una herramienta cada día más accesible a los propietarios debido a precios razonables y localizaciones cercanas a sus domicilios.

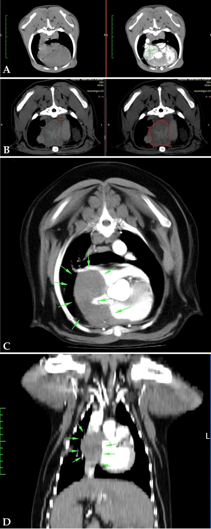
El TAC, como toda técnica diagnóstica, presenta inconvenientes como el coste o la anestesia, pero también ventajas. Algunas de sus ventajas son: localización más precisa de la masa cardiaca y, por tanto, una mejora en la planificación quirúrgica (Fig. 10).

<p>Imágenes de TAC. (<strong>A</strong>) Plano transversal tórax ventana tejido blando, precontraste (izquierda) y postcontraste (derecha). Imagen compatible con tumor de base cardiaca (entre flechas) con captación de contraste. (<strong>B</strong>) Plano transversal tórax ventana tejido blando, postcontraste (izquierda) y precontraste (derecha). Imagen compatible con tumor de base cardiaca (silueta roja) sin captación de contraste. (<strong>C</strong>) Plano transversal tórax ventana tejido blando, postcontraste. Imagen compatible con tumor de atrio derecho (entre flechas) sin captación de contraste. (<strong>D</strong>) Mismo paciente que imagen C pero en un plano dorsal. Imagen compatible con tumor de atrio derecho sin captación de contraste.</p>
Figura 10

Imágenes de TAC. (A) Plano transversal tórax ventana tejido blando, precontraste (izquierda) y postcontraste (derecha). Imagen compatible con tumor de base cardiaca (entre flechas) con captación de contraste. (B) Plano transversal tórax ventana tejido blando, postcontraste (izquierda) y precontraste (derecha). Imagen compatible con tumor de base cardiaca (silueta roja) sin captación de contraste. (C) Plano transversal tórax ventana tejido blando, postcontraste. Imagen compatible con tumor de atrio derecho (entre flechas) sin captación de contraste. (D) Mismo paciente que imagen C pero en un plano dorsal. Imagen compatible con tumor de atrio derecho sin captación de contraste.

El TAC no ha mostrado ser más preciso en la detección de masas cardiacas que la ecografía, pero sí aporta ventajas para la detección de masas pulmonares concomitantes.[ Scollan KF, Bottorff B, Stieger-Vanegas S, Nemanic S Sisson D: Use of multidetector computed tomography in the assessment of dogs with pericardial effusion. J Vet Intern Med 2014; 29: 79-87. [PubMed] ]

En el caso de que las masas cardiacas no sean extirpables, puede realizarse una medición del volumen de la masa y realizar comparaciones pre y posquimioterapia para evaluar la eficacia del tratamiento teniendo datos mucho más objetivos y precisos que las mediciones en imágenes en 2D. Estas técnicas de software llamadas volume rendering se aplican en medicina humana de manera rutinaria (Fig. 11).[ Uchiyima Y: Changes in the Submandibular Gland in Patients with Head and Neck Cancer After Radiation Therapy: A Preliminary Study. Anticancer Res 2017; 37(6):3239-3242. [PubMed] ]

<p>Reconstrucción volumétrica de neoplasia cardiaca mediante <em>volume rendering</em> que permite calcular el volumen de la masa.</p>
Figura 11

Reconstrucción volumétrica de neoplasia cardiaca mediante volume rendering que permite calcular el volumen de la masa.

 

Pruebas laboratoriales (citología y troponinas)

La medición en plasma de troponina I puede ser útil para sospechar de un proceso neoplásico cardiaco y es una primera prueba de cribado para ayudarnos en nuestro protocolo diagnóstico. En el estudio de Chun et al,[ Chun R, Kellihan HB, Henik RA Stepien RL: Comparison of plasma cardiac troponin I concentrations among dogs with cardiac hemangiosarcoma, noncardiac hemangiosarcoma, other neoplasms, and pericardial effusion of nonhemangiosarcoma origin. J Am Vet Med Assoc 2010; 237: 806-811. [PubMed] ] se demostró una sensibilidad del 78 % y una especificidad del 71 %. La medición de troponina no solo permite diferenciar entre tumores cardiacos y extracardiacos, sino que, además, se observó que la troponina I puede ser útil para diferenciar entre efusión pericárdica por hemangiosarcoma y efusión pericárdica idiopática.[ Chun R, Kellihan HB, Henik RA Stepien RL: Comparison of plasma cardiac troponin I concentrations among dogs with cardiac hemangiosarcoma, noncardiac hemangiosarcoma, other neoplasms, and pericardial effusion of nonhemangiosarcoma origin. J Am Vet Med Assoc 2010; 237: 806-811. [PubMed] , Shaw SP, Rozanski EA, Rush JE: Cardiac troponins I and T in dogs with pericardial effusion. J Vet Intern Med 2004; 18: 322-324. [PubMed] ] Sin embargo, no se obtuvieron diferencias de medición con la troponina T en pacientes con hemangiosarcoma y con efusión pericárdica idiopática.[ Shaw SP, Rozanski EA, Rush JE: Cardiac troponins I and T in dogs with pericardial effusion. J Vet Intern Med 2004; 18: 322-324. [PubMed] ] También se ha medido la concentración de troponina I en la efusión pericárdica, pero no permite diferenciar entre etiologías.[ Linde A, Summerfield NJ, Sleeper MM, Wright FB, Clifford CA, Melgarejo T, et al: Pilot study on cardiac troponin I levels in dogs with pericardial effusion. J Vet Cardiol 2006;8:19-23. [PubMed] ]

La citología puede ser una herramienta útil para la ayuda al diagnóstico, pero sin duda con limitaciones. El estudio del líquido del derrame pericárdico puede contribuir a diferenciar entre una causa inflamatoria, tumoral o una alteración metabólica (Fig. 12A). Desgraciadamente, la mayoría de los tumores exfolian un bajo número de células (hemangiosarcoma y tumor de base cardiaca), pudiendo obtener falsos positivos y un alto número de falsos negativos (77 %).[ Sisson D, Thomas WP, Ruehl WW, Zinkl JG: Diagnostic value of pericardial fluid analysis in the dog. J Am Vet Med Assoc 1984; 184: 51-55. [PubMed] ] Con todo, podemos tener más suerte en derrames pericárdicos producidos por un linfoma (Fig. 12B), ya que estos exfolian células con mayor facilidad y son menos hemorrágicos.[ MacGregor JM, Faria ML, Moore AS, Tobias AH, Brown DJ, Morais HS: Cardiac lymphoma and pericardial effusion in dogs: 12 cases (1994-2004). J Am Vet Med Assoc. 2005; 227: 1449-1453. [PubMed] ] Las patologías que afectan al pericardio que desarrollan derrame a menudo provocan una gran proliferación mesotelial, con gran exfoliación de células mesoteliales reactivas que son indistinguibles de tumores malignos como mesoteliomas (Fig. 12C).

<div>
<p>(<strong>A</strong>) Citología de líquido pericárdico en una gata con carcinomatosis. (<strong>B</strong>) Citología de líquido pericárdico compatible con linfoma. (<strong>C</strong>) Citología de líquido pericárdico compatible con mesotelioma (confirmado con anatomía patológica). En las tres imágenes: tinción May-GrünWald Giemsa. 400X.</p>
</div>
Figura 12

(A) Citología de líquido pericárdico en una gata con carcinomatosis. (B) Citología de líquido pericárdico compatible con linfoma. (C) Citología de líquido pericárdico compatible con mesotelioma (confirmado con anatomía patológica). En las tres imágenes: tinción May-GrünWald Giemsa. 400X.

El diagnóstico citológico mediante aguja fina guiado por ecografía puede conllevar riesgos como arritmias y derrames pericárdicos. Sin embargo, en un estudio realizado en 6 perros apenas se produjeron complicaciones, salvo un leve derrame pericárdico en uno de ellos. Además, en este mismo estudio se pudo obtener un diagnóstico citológico que permitió planificar el tratamiento quirúrgico o quimioterápico de una manera más precisa.[ Pedro B, Linney C, Navarro-Cubas X, Stephenson H, Dukes-McEwan J, Gelzer AR, Kraus MS. Cytological diagnosis of cardiac masses with ultrasound guided fine needle aspirates. J Vet Cardiol 2016;18(1):47-56. [PubMed] ]

Sin duda, el uso de histología mediante biopsia supera al uso de la citología, pero, a menudo, su empleo puede estar limitado por ser un método más agresivo. Sin embargo, gracias al uso más generalizado de la toracoscopia, estos riesgos disminuyen y hacen de ella una opción válida y menos agresiva.

Tratamiento y pronóstico

Tratamiento quirúrgico

Las técnicas quirúrgicas pueden tener una dificultad técnica, pero su uso cada vez está más generalizado. A continuación, describimos algunas de las técnicas más empleadas.

 

Pericardiocentesis

El pericardio se puede drenar por vía percutánea empleando una aguja o un catéter. Es preferible el uso de un catéter dado que de esta manera se puede extraer más líquido pericárdico evitando múltiples punciones pericárdicas que pueden conllevar sangrado iatrogénico con taponamientos cardiacos agudos. Es recomendable hacerlas por el lado derecho, para evitar las arterias coronarias, y bajo control ecográfico a nivel del quinto espacio intercostal. La pericardiocentesis suele ser un procedimiento de urgencia que mejora la frecuencia cardiaca, el pulso arterial y la perfusión periférica.[ Rodriguez J, Martinez MJ, Graus J: Cirugía en la clínica de pequeños animales. Tórax. Zaragoza: Ed Servet; 2014. ] Es fundamental realizar esta técnica antes de cualquier intervención quirúrgica para estabilizar al paciente.

 

Pericardiectomía

La pericardiectomía se realiza con el fin de impedir la acumulación de líquido o sangre en el pericardio y, por tanto, evitar la insuficiencia cardiaca congestiva derecha y el bajo gasto cardiaco.[ Rodriguez J, Martinez MJ, Graus J: Cirugía en la clínica de pequeños animales. Tórax. Zaragoza: Ed Servet; 2014. ] En un estudio de 25 perros con tumores en la base del corazón, la supervivencia media de los pacientes tratados médicamente fue de 129 días, mientras que cuando se realizó la pericardiectomía este periodo fue de 661 días.[ Erin, D. Vicari, D.C Holt. D.E. Brockman, D.J.. Survival times of and prognostic indicators for dogs with heart base masses: 25 cases (1986-1999), J Am Vet Med Assoc 2001; 219 (4): 285-287. [PubMed] ]

Actualmente se realiza la pericardiectomía subtotal por debajo del nervio frénico. Esta técnica se puede efectuar mediante una toracotomía o una toracoscopia.

La pericardiectomía subtotal subfrénica es recomendable en los pacientes que se van a someter a una exploración de las estructuras cardíacas o en los que se ha planteado una intervención quirúrgica con la finalidad de eliminar la neoplasia (Fig. 13).[ Santana A, García R: Neoplasias cardiacas en el perro. Clincardiovet 2016; 2: 2-10. ]

<p>Imagen intraquirúrgica de una pericardiectomía.</p>
Figura 13

Imagen intraquirúrgica de una pericardiectomía.

Sin embargo, es más recomendable la pericardiectomía asistida por toracoscopia cuando el fin es paliar los síntomas por acumulación de líquido, pues se disminuyen los tiempos del postoperatorio y no hay que someter al paciente a una toracotomía (Fig. 14).[ Santana A, García R: Neoplasias cardiacas en el perro. Clincardiovet 2016; 2: 2-10. ]

<p>Pericardiectomía por toracoscopia.</p>
Figura 14

Pericardiectomía por toracoscopia.

Por último, hay que recalcar que es aconsejable realizar la pericardiectomía bajo electrocauterizador para evitar sangrados, sobre todo a la hora de ligar o electrocauterizar el ligamento esternopericárdico que es altamente sangrable.[ Santana A, García R: Neoplasias cardiacas en el perro. Clincardiovet 2016; 2: 2-10. ]

Actualmente existen otras técnicas como la pericardiectomía a través de un balón percutáneo, que permite de una manera poco invasiva generar una ventana para evitar la acumulación de líquido.[ Sidley JA, Atkins CE, Keene BW, De Francesco TC: Percutaneous balloon pericadiotomy as a treatment for recurrent pericardial effusion in 6 dogs. J Vet Intern Med 2002; 16(5): 541-6. [PubMed] ]

 

Técnica de oclusión vascular de entrada. Oclusión total del retorno venoso.

La oclusión vascular de entrada es una técnica que se emplea en cirugía cardiaca abierta con el fin de interrumpir la entrada de sangre al corazón y evitar el sangrado al corazón y mientras se accede al interior del mismo. El tiempo de isquemia no debe ser superior a cuatro minutos, aunque puede llegar a los seis minutos si el paciente está en hipotermia leve (temperatura corporal entre 30 ºC y 34 ºC). Esta técnica permite interrumpir la entrada de sangre al corazón ocluyendo las venas cavas craneal y caudal, así como la vena ácigos empleando clamps vasculares o torniquetes de Rumel (Fig. 15).[ Rodriguez J, Martinez MJ, Graus J: Cirugía en la clínica de pequeños animales. Tórax. Zaragoza: Ed Servet; 2014. ]

 

Excisión quirúrgica

La excisión quirúrgica es la técnica de elección para el hemangiosarcoma canino. La resección de la aurícula se puede realizar con el corazón latiendo cuando la neoplasia está bien delimitada o, cuando el tumor es infiltrante, tras el bloqueo del flujo de las venas cava usando torniquetes de Rumel.[ Rodriguez J, Martinez MJ, Graus J: Cirugía en la clínica de pequeños animales. Tórax. Zaragoza: Ed Servet; 2014. ] En el caso del hemangiosarcoma localizado, se clampa el apéndice de la aurícula y se reseca el tumor. A continuación, se cierra el defecto con una sutura continua de puntos recurrentes en U que atraviesa todo el espesor auricular y, posteriormente, se refuerza con otra sutura continua simple del borde seccionado. Si la neoplasia no se puede disecar y extirpar, se puede realizar un bypass vascular para evitar el flujo sanguíneo por esta zona.[ Rodriguez J, Martinez MJ, Graus J: Cirugía en la clínica de pequeños animales. Tórax. Zaragoza: Ed Servet; 2014. ] También se ha descrito el uso de grapadoras o clips vasculares por los que muchos autores optan en vez de las suturas tradicionales debido al menor tiempo quirúrgico.

Los quemodectomas resultan más complejos de eliminar quirúrgicamente debido a la invasión de estructuras adyacentes; deben ser extirpados en su mayor parte con disección roma o electrobisturí. Se recomienda el uso de TAC previo con contraste para una buena planificación quirúrgica.[ Santana A, García R: Neoplasias cardiacas en el perro. Clincardiovet 2016; 2: 2-10. ]

Respecto a los mesoteliomas la extirpación quirúrgica es imposible por lo que se recomienda el uso de la toracoscopia asistida para la toma de muestras y realización de ventana para impedir taponamientos cardiacos.[ Santana A, García R: Neoplasias cardiacas en el perro. Clincardiovet 2016; 2: 2-10. ]

 

Quimioterapia

La quimioterapia supone un tratamiento fundamental pues la bibliografía consultada evidencia el aumento de supervivencia de los pacientes tanto en tratamiento único como en combinación con pericardiocentesis, pericardiectomía o excisión quirúrgica. El protocolo quimioterápico dependerá del tipo de neoplasia específica.

En la Tabla 2 se describe el protocolo para el hemangiosarcoma, ya que suele ser uno de los más frecuentes.[ Couto G, Moreno N: Oncología canina y felina de la teoría a la práctica. Zaragoza: Ed. Servet; 2013. ]

<div class=\"Basic-Text-Frame\">
<p>VAC: protocolo con vincristina, doxorrubicina, ciclofosfamida; AC; protocolo con doxorrubicina, ciclofosfamida; v.o.: vía oral; i.v. intravenosa.</p>
</div>
Tabla 2

VAC: protocolo con vincristina, doxorrubicina, ciclofosfamida; AC; protocolo con doxorrubicina, ciclofosfamida; v.o.: vía oral; i.v. intravenosa.

En un estudio retrospectivo con 28 perros con tumores de cuerpo aórtico, se les administró como tratamiento único toceranib fosfato. La supervivencia media de los perros fue de 823 días (rango 68-1190 días) con una tasa de respuesta del 10 % y en los perros con metástasis, de 532 días (rango 77-679 días) con una tasa de respuesta 28,5%. De los pacientes que mostraron sintomatología al inicio del estudio, el 90 % mejoró y en un 80 % desaparecieron por completo sus síntomas.[ Lew FH, McQuown B, Borrego J, Cunningham S, Burgess KE : Retrospective evaluation of canine heart base tumours treated with toceranib phosphate (Palladia): 2011-2018. Vet Comp Oncol 2019; 17(4): 465- 471. [PubMed] ]

 

Radioterapia

Un estudio administró radioterapia a 6 perros con tumores de base cardiaca observando una reducción de entre el 30-70 %. Las posibles complicaciones postratamiento fueron: tos, taquiarritmias y fallo congestivo. Dos perros fallecieron de forma súbita a los 150 días y 294 días. Otros tres vivieron entre 408 y 751 días tras el tratamiento. Otro de ellos vivió 1228 días después del tratamiento y murió por enfermedad no relacionada con el tumor.[ Yamamoto S, Hoshi K, Hirakawa A, Chimura S, Kobayashi M, Machida N. Epidemiological, clinical and pathological features of primary cardiac hemangiosarcoma in dogs: a review of 51 cases. J Vet Med Sci 2013; 75: 1433-1441. [PubMed] ] El autor recomienda más estudios para conocer la seguridad y la eficacia de la radioterapia en perros.

 

Pronóstico

Los diferentes estudios parecen probar que la supervivencia aumenta al aplicar combinaciones quimioterápicas con cirugía. En un estudio de 52 perros se observó que el grupo de perros tratado con pericardiectomía más resección de hemangiosarcoma presentaba un tiempo medio de supervivencia de 86 días, mientras que en otro grupo tratado con pericardiectomía, resección de hemangiosarcoma y quimioterapia la supervivencia fue de 189 días. Los días de supervivencia sin tratamiento quirúrgico fueron 27 días para perros que recibieron únicamente tratamiento médico o quimioterápico, y 7 días para aquellos a los que solo se les aplicó pericardiocentesis.[

Magestro LM, Gieger TL, Nolan MW: Stereotactic body radiation therapy for heart- base tumors in six dogs. J Vet Cardiol 2018; 20 (3): 186-197.
[PubMed] ]

En otro estudio de 25 perros con tumores de base cardiaca, la supervivencia media de los pacientes tratados médicamente fue de 129 días, mientras que cuando se realizó la pericardiectomía este periodo fue de 661 días.[ Erin, D. Vicari, D.C Holt. D.E. Brockman, D.J.. Survival times of and prognostic indicators for dogs with heart base masses: 25 cases (1986-1999), J Am Vet Med Assoc 2001; 219 (4): 285-287. [PubMed] ]

Conclusión

El tumor cardiaco más frecuente en la especie canina es el hemagiosarcoma (69 %) seguido de tumores del cuerpo aórtico (quemodectoma y paraganglioma), linfoma y carcinoma tiroideo ectópico. La ecocardiografía presenta una alta especificidad del 100 % y una sensibilidad del 85 % para el diagnóstico de masas cardiacas y derrames pericárdicos. El TAC no ha demostrado ser más preciso para la detección de masas cardiacas que la ecocardiografía, pero sí para detectar masas pulmonares concomitantes. La supervivencia aumenta con la combinación de tratamientos quirúrgicos y quimioterápicos.

Agradecimientos

El autor desea agradecer la colaboración de compañeros en la cesión de imágenes de anatomía patológica como el Dr. Germán Santamaría (decano de la Facultad de Veterinaria de Lugo), Pablo Cigüenza de la empresa Onkos por la cesión de imágenes citológicas, Alexis Santana de Albea veterinarios por la cesión de imágenes quirúrgicas y Diego L. Casas del Centro de Mínima Invasión de Canarias. También desea agradecer a Álvaro Lamas de Imacardio por su asesoramiento científico y, por supuesto, a mi amigo y tutor César Bezos, que trabaja codo con codo para la acreditación de AVEPA. Por último, agradecer a todos mis compañeros de trabajo del Hospital Albeitar de Logroño por su ayuda incondicional y a la doctora en farmacia Rebeca Peñalva Sobrón por su asesoramiento científico.

 

Fuente de financiación: este trabajo no se realizó con fondos comerciales, públicos o del sector privado.

Conflicto de intereses: el autor declara que no existe conflicto de intereses.

Bibliografía

  1. [1] Ware WA, Hopper DL: Cardiac tumors in dogs: 1982-1995. J Vet Intern 1999; 13: 95-103. [PubMed]
  2. [2] Walter JH, Rudolph R: Systemic, Metastatic, eu- and heterotope tumours of the heart in necropsied dogs. Zentralbl Veterinarmed A 1996; 43: 31-45. [PubMed]
  3. [3] Szczech GM, Blevins WE, Carlton WW, Cutlan GR: Chemodectoma with metastasis to bone in a dog. J Am Vet Med Assoc 1973; 162: 376-378. [PubMed]
  4. [4] MacGregor JM, Faria ML, Moore AS, Tobias AH, Brown DJ, Morais HS: Cardiac lymphoma and pericardial effusion in dogs: 12 cases (1994-2004). J Am Vet Med Assoc. 2005; 227: 1449-1453. [PubMed]
  5. [5] Aupperle H, Marz I, Ellenberger C, Buschatz S, Reischauer A, Schoon HA: Primary and secondary heart tumours in dogs and cats. J Comp Pathol 2007; 136: 18-26. [PubMed]
  6. [6] Bracha S, Caron I, Holmberg DL, et al: Ectopic thyroid carcinoma causing right ventricular outflow tract obstruction in a dog. J Am Vet Med 2009; 45: 138-141. [PubMed]
  7. [7] Treggiari E, Pedro B, Dukes-McEwan J, Gelzer AR, Blackwood L. A descriptive review of cardiac tumours in dogs and cats. Vet Comp Oncol 2017 Jun;15(2):273-288. [PubMed]
  8. [8] Aupperle H, Marz I, Ellenberger C, Buschatz S, Reischauer A, Schoon HA: Primary and secondary heart tumours in dogs and cats. J Comp Pathol 2007; 136: 18-26. [PubMed]
  9. [9] Boston SE, Higginson G, Monteith G: Concurrent splenic and right atrial mass at presentation in dogs with HSA: a retrospective study. J Am Anim Hosp Assoc 2011; 47: 336-341. [PubMed]
  10. [10] Waters DJ, Caywood DD, Hayden DW, Klausner JS: Metastatic pattern in dogs with splenic hemangiosarcoma– clinical implications. J Small Anim Pract 1988; 29: 805 814.
  11. [11] Ware W, Hopper D: Cardiac tumors in dogs: 1982-1995. J Vet Intern Med 1999; 12:95-103. [PubMed]
  12. [12] Berg R, Wingfield W: Pericardial effusion in the dog: a review of 42 cases. J Am Anim Hosp Assoc 1984; 20:721-730. [PMC]
  13. [13] Brown N, Patnaik A, Macewen E: Canine hemangiosarcoma: retrospective analysis of 104 cases. J Am Vet Med Assoc 1985; 186:56-58. [PubMed]
  14. [14] Benvenuti LA, Aiello VD, Fukasawa S, Higuchi ML: Cardiac rhabdomyomas exhibit a fetal pattern of atrial natriuretic peptide immunoreactivity. Exp Mol Pathol 2001; 70: 65-69. [PubMed]
  15. [15] Radi ZA, Metz A: Canine cardiac rhabdomyoma. Toxicol Pathol 2009; 37: 348-350. [PubMed]
  16. [16] Mansfield CS, Callanan JJ, McAllister H: Intra-atrial rhabdomyoma causing Chyloperciardium and right sided congestive heart failure in a dog. Vet Record 2000; 147: 264-267.
  17. [17] Perez J, Perez-Rivero A, Montoya A, Martin MP, Mozos E: Right-sided heart failure in a dog with primary cardiac rhabdomyosarcoma. J Am Anim Hosp Assoc 1998; 34: 208-211. [PubMed]
  18. [18] Gonin-Jmaa D, Paulsen DB, Taboada J: Pericardial effusion in a dog with rhabdomyosarcoma in the right ventricular wall. J Small Anim Pract 1996; 37:193-196. [PubMed]
  19. [19] Akkoc A, Ozyigit MO, Yilmaz R, Alasonyalilar A, Cangul IT: Cardiac metastasising rhabdomyosarcoma in a great Dane. Vet Record 2006; 158: 803-804. [PubMed]
  20. [20] Yamamoto S, Fukushima R, Kobayashi M, Machida N: Mixed form of pericardial mesothelioma with osseous differentiation in a dog. J Comp Pathol 2013 149: 229-232. [PubMed]
  21. [21] Withrow S, Vail D: Oncología clínica de pequeños animales. 4 ed, Barcelona: Multimédica ediciones veterinarias; 2009.
  22. [22] Sidley JA, Atkins CE, Keene BW, De Francesco TC: Percutaneous balloon pericadiotomy as a treatment for recurrent pericardial effusion in 6 dogs. J Vet Intern Med 2002; 16(5): 541-6. [PubMed]
  23. [23] Santana A, García R: Neoplasias cardiacas en el perro. Clincardiovet 2016; 2: 2-10.
  24. [24] Actavetscand (Internet): Denmark: Acta Veterinaria Scandinavica 2016 (actualizado 22 Jun 2016; citado 13 Feb 2019) Disponible en: https://actavetscand.biomedcentral.com/articles/10.1186/s13028-016-0222-7.
  25. [25] García MI: Atlas de interpretación radiográfica en pequeños animales. Zaragoza: Ed Servet; 2014.
  26. [26] MacDonald KA, Cagney O, Magne ML: Echocardiographic and clinicopathologic characterization of pericardial effusion in dogs: 107 cases (1985-2006). J Am Vet Med Assoc 2009; 235:1456-1461. [PubMed]
  27. [27] Rajagopalan V, Jesty SA, Craig LE, Gompf R: Comparison of presuntive echocardiografic and definitive diagnosis of cardiac tumours in dogs. J Vet Intern Med 2013;27(5):1092-6. [PubMed]
  28. [28] Scollan KF, Bottorff B, Stieger-Vanegas S, Nemanic S Sisson D: Use of multidetector computed tomography in the assessment of dogs with pericardial effusion. J Vet Intern Med 2014; 29: 79-87. [PubMed]
  29. [29] Uchiyima Y: Changes in the Submandibular Gland in Patients with Head and Neck Cancer After Radiation Therapy: A Preliminary Study. Anticancer Res 2017; 37(6):3239-3242. [PubMed]
  30. [30] Chun R, Kellihan HB, Henik RA Stepien RL: Comparison of plasma cardiac troponin I concentrations among dogs with cardiac hemangiosarcoma, noncardiac hemangiosarcoma, other neoplasms, and pericardial effusion of nonhemangiosarcoma origin. J Am Vet Med Assoc 2010; 237: 806-811. [PubMed]
  31. [31] Shaw SP, Rozanski EA, Rush JE: Cardiac troponins I and T in dogs with pericardial effusion. J Vet Intern Med 2004; 18: 322-324. [PubMed]
  32. [32] Linde A, Summerfield NJ, Sleeper MM, Wright FB, Clifford CA, Melgarejo T, et al: Pilot study on cardiac troponin I levels in dogs with pericardial effusion. J Vet Cardiol 2006;8:19-23. [PubMed]
  33. [33] Sisson D, Thomas WP, Ruehl WW, Zinkl JG: Diagnostic value of pericardial fluid analysis in the dog. J Am Vet Med Assoc 1984; 184: 51-55. [PubMed]
  34. [34] Pedro B, Linney C, Navarro-Cubas X, Stephenson H, Dukes-McEwan J, Gelzer AR, Kraus MS. Cytological diagnosis of cardiac masses with ultrasound guided fine needle aspirates. J Vet Cardiol 2016;18(1):47-56. [PubMed]
  35. [35] Rodriguez J, Martinez MJ, Graus J: Cirugía en la clínica de pequeños animales. Tórax. Zaragoza: Ed Servet; 2014.
  36. [36] Erin, D. Vicari, D.C Holt. D.E. Brockman, D.J.. Survival times of and prognostic indicators for dogs with heart base masses: 25 cases (1986-1999), J Am Vet Med Assoc 2001; 219 (4): 285-287. [PubMed]
  37. [37] Couto G, Moreno N: Oncología canina y felina de la teoría a la práctica. Zaragoza: Ed. Servet; 2013.
  38. [38] Lew FH, McQuown B, Borrego J, Cunningham S, Burgess KE : Retrospective evaluation of canine heart base tumours treated with toceranib phosphate (Palladia): 2011-2018. Vet Comp Oncol 2019; 17(4): 465- 471. [PubMed]
  39. [39] Yamamoto S, Hoshi K, Hirakawa A, Chimura S, Kobayashi M, Machida N. Epidemiological, clinical and pathological features of primary cardiac hemangiosarcoma in dogs: a review of 51 cases. J Vet Med Sci 2013; 75: 1433-1441. [PubMed]
  40. [40] Magestro LM, Gieger TL, Nolan MW: Stereotactic body radiation therapy for heart- base tumors in six dogs. J Vet Cardiol 2018; 20 (3): 186-197. [PubMed]

Artículos recomendados

Estas recomendaciones se ofrecen de forma automática.

  • Aportación de la tomografía computarizada al estudio de la displasia de codo en el perro

    M. Novales-Durán, M. Tovar-Escriche, B. Blanco-Navas, et al.
    Clin Vet Peq Anim Vol. 41 - Nº 1 · MAR 2021 · Artículo original referido a múltiples casos clínicos
  • Claves para interpretar y comprender la tomografía computarizada del codo normal del perro

    M. Novales-Durán, R. Lucena-Solís, M. Tovar-Escriche, et al.
    Clin Vet Peq Anim Vol. 40 - Nº 3 · SEP 2020 · Artículo original referido a múltiples casos clínicos
  • Hallazgos tomográficos y tratamiento de un absceso retrobulbar asociado a una sialodenitis cigomática en un perro
    N. Miño-Fariña, A. González-Cantalapiedra, M. Vila-Pastor, et al.
    Clin Vet Peq Anim Vol. 36 - Nº 1 · MAR 2016 · Artículo original referido a un solo caso clínico
  • Inicio
  • Introducción
  • Neoplasias más frecuentes en la especie canina
  • Signos clínicos
  • Diagnóstico
  • Tratamiento y pronóstico
  • Conclusión
  • Agradecimientos
  • Bibliografía
Artículo anterior Índice de la revista Artículo siguiente
ANUNCIO
Próximos cursos ATVs Elearning
Índice
Inicio Introducción Neoplasias más frecuentes en la especie canina Signos clínicos Diagnóstico Tratamiento y pronóstico Conclusión Agradecimientos Bibliografía
Virbac - Movoflex
ANUNCIO

¿No eres socio de AVEPA y quieres recibir comunicación de las nuevas ediciones en tu correo?

Suscríbete

Suscríbete y te avisaremos cuando publiquemos un nuevo número

Suscribirme

Enlaces rápidos

  • Inicio
  • Último número
  • Archivo
  • Artículos

Información

  • Comité editorial
  • Política de cookies
  • Política de privacidad
  • Términos y condiciones

Contacto

  • info@imaginice.com
  • Envíanos tu artículo
© 2026 Ice Salud Vet SL. Todos los derechos reservados.

Usamos cookies para mejorar tu experiencia. Selecciona cuáles aceptas: