Logo AVEPA

Clínica Veterinaria de Pequeños Animales

Revista oficial de AVEPA

  • Inicio
  • Último número
  • Archivo
  • Artículos
  • Para autores
  • Contacto
Cursos Junio-Septiembre 2026
ANUNCIO

Clínica Veterinaria de Pequeños Animales

Revista oficial de AVEPA

  • Inicio
  • Último número
  • Archivo
  • Artículos
  • Para autores
  • Contacto
Curso Oftalmología 2026
ANUNCIO
Clin Vet Peq Anim Vol. 39 • Nº 4 • diciembre 2019

Fístula colecisto-cutánea espontánea: a propósito de dos casos clínicos

Spontaneous cholecysto-cutaneous fistula: two case reports

Artículo original referido a múltiples casos clínicos

J.D. Carrillo

Hospital Clínico Veterinario Universidad de Murcia. Departamento de Medicina y Cirugía Animal. Universidad de Murcia. 30100 Espinardo (Murcia)

F.G. Laredo

Hospital Clínico Veterinario Universidad de Murcia. Departamento de Medicina y Cirugía Animal. Universidad de Murcia. 30100 Espinardo (Murcia)

M. Soler

Hospital Clínico Veterinario Universidad de Murcia. Departamento de Medicina y Cirugía Animal. Universidad de Murcia. 30100 Espinardo (Murcia)

J. Murciano

Hospital Clínico Veterinario Universidad de Murcia. Departamento de Medicina y Cirugía Animal. Universidad de Murcia. 30100 Espinardo (Murcia)

A. Bernabé

Hospital Clínico Veterinario Universidad de Murcia. Departamento de Anatomía y Anatomía Patológica. Campus de Espinardo. Universidad de Murcia. 30100 Espinardo (Murcia)

M.A. Gómez-Sánchez

Hospital Clínico Veterinario Universidad de Murcia. Departamento de Anatomía y Anatomía Patológica. Campus de Espinardo. Universidad de Murcia. 30100 Espinardo (Murcia)

A. Agut

Hospital Clínico Veterinario Universidad de Murcia. Departamento de Medicina y Cirugía Animal. Universidad de Murcia. 30100 Espinardo (Murcia)

Contacto: juanacs@um.es
Palabras clave: fístula, colecisto-cutánea, perro, vesícula biliar.
Keywords: fistula, cholecysto-cutaneous, dog, gallbladder.

Clin Vet Peq Anim 2019, 39 (4): 221- 226

Descargar artículo

Resumen

En este artículo se presentan dos casos clínicos con fístula colecisto-cutánea espóntanea (FCCE) en un Bull Terrier macho y una York Shire Terrier hembra. Se describen sus características de presentación, las pruebas diagnósticas realizadas, el tratamiento instaurado y su evolución. En el conocimiento de los autores, solamente han sido descritos tres casos clínicos de esta patología en el perro.

Abstract

Two clinical cases with spontaneous cholecysto-cutaneous fistula (SCCF) in a male Bull Terrier and a female York Shire Terrier are presented. We describe its manifestation, the diagnostic tests performed, the treatment and its outcome. To the author´s knowledge, only three clinical cases of SCCF have been described in the canine species.

AVEPA Elearning

La presencia de este logo en un artículo de la revista indica que se publicará un examen sobre el mismo en la plataforma AVEPA Elearning. Su resolución aporta 0,15 créditos dentro del sistema de acreditaciones de especialidades veterinarias de AVEPA.

Introducción

La fístula colecisto-cutánea espontánea (FCCE) es una patología infrecuente en medicina humana[ Gupta V, Benerjee S, Garg H, Vyas S. Spontaeous cholecysto-antral-cutaneous fistula: a consequence of neglected calculus cholecystitis. Singapore Med J, 2012;53:e201-3. [PubMed] ] y veterinaria.[ Fabbi M, Volta A, Quintavalla F, Zubin E, Manfredi S, Martini FM, et al. Cholecystocutaneous fistula containing multiple galls stones in a dog. Can Vet J, 2014;55:1163-6. [PubMed] , Marquardt SA, Rochat MC, Johnson-Neitman JL. Spontaneous cholecytocutaneous fistula in a dog. J Am Anim Hosp Assoc, 2012;48:43-9. [PubMed] , Kligman KC, Jehn CT, Davis KM, Taylor DP, Conway JA. Spontaneous external biliary fistula in a dog. J Am Vet Med Anim, 2007;231:919-23. [PubMed] ] Fue descrita por primera vez en el hombre en 1670[ Hoffman L, Beaton H, Wantz G. Spontaneous cholecystocutaneous fistula: a complication of neglected biliary tract disease. J Am Geriatr Soc, 1982; 30: 632-4. [PubMed] ] y en el perro en 2012.[ Marquardt SA, Rochat MC, Johnson-Neitman JL. Spontaneous cholecytocutaneous fistula in a dog. J Am Anim Hosp Assoc, 2012;48:43-9. [PubMed] ]

En medicina humana se origina como consecuencia de roturas de la vesícula biliar, que terminan adheridas a la pared abdominal con formación de un trayecto fistuloso que conecta la vesícula biliar con la piel.[ Ioanndis O, Paraskevas G, Kotronis A et al. Spontaneous cholecystocutaneous fistula draining from an abdominal scar from previous surgical drainage. Ann Ital Chir, 2012; 83: 67-9. [PubMed] ] Se asocia a enfermedades de la vesícula biliar (sobre todo litiasis biliar), traumatismos, cirugías abdominales y, con menos frecuencia, a la presencia de neoplasias biliares.[ Gupta V, Benerjee S, Garg H, Vyas S. Spontaeous cholecysto-antral-cutaneous fistula: a consequence of neglected calculus cholecystitis. Singapore Med J, 2012;53:e201-3. [PubMed] , Ioanndis O, Paraskevas G, Kotronis A et al. Spontaneous cholecystocutaneous fistula draining from an abdominal scar from previous surgical drainage. Ann Ital Chir, 2012; 83: 67-9. [PubMed] , Sodhi K, Athar M, Kumar V, Sharma ID, Husain N. Spontaneous cholecysto-cutaneous fistula complicating carcinoma of the gallbladder: a case report. Indian J Surg, 2012; 74: 191-3. [PubMed] ]

En conocimiento de los autores solamente se han descrito tres casos de FCCE en el perro[ Fabbi M, Volta A, Quintavalla F, Zubin E, Manfredi S, Martini FM, et al. Cholecystocutaneous fistula containing multiple galls stones in a dog. Can Vet J, 2014;55:1163-6. [PubMed] , Marquardt SA, Rochat MC, Johnson-Neitman JL. Spontaneous cholecytocutaneous fistula in a dog. J Am Anim Hosp Assoc, 2012;48:43-9. [PubMed] , Galliano A, Belmudes A, Bacon NJ. Cholecystocutaneous fistula and associated cholelithiasis in an eight-year-old dachshund. Vet Red Case Rep 2019; 7: 1-5. ] y un caso de fístula biliar externa,[ Kligman KC, Jehn CT, Davis KM, Taylor DP, Conway JA. Spontaneous external biliary fistula in a dog. J Am Vet Med Anim, 2007;231:919-23. [PubMed] ] en los cuales la localización de la fístula se observó en la zona ventrolateral derecha de la pared torácica.

El objetivo de este trabajo es describir las características de presentación, el diagnóstico, el tratamiento y la evolución de dos casos de FCCE en la especie canina, en los que la zona de desembocadura de la fístula se encontraba en localizaciones diferentes a las descritas en la bibliografía.

Casos clínicos

Caso 1

Se presenta en consulta un macho de raza Bull Terrier, de 9 años de edad, remitido por un historial de fístula con secreción purulenta, localizada en la zona media del abdomen craneal, bajo la apófisis xifoides y con cronicidad de un año (Fig. 1).

<p>Aspecto de la fístula del Caso 1, localizada en la zona caudal a la apófisis xifoides y lateralizada ligeramente hacia la derecha con una supuración continua. Cr: Craneal. Cd: Caudal.</p>
Figura 1

Aspecto de la fístula del Caso 1, localizada en la zona caudal a la apófisis xifoides y lateralizada ligeramente hacia la derecha con una supuración continua. Cr: Craneal. Cd: Caudal.

Se le habían realizado, sin éxito, tres intervenciones quirúrgicas a fin de resolver la fístula, aunque a los pocos días de la cirugía volvía a recidivar.

En el examen clínico, lo destacable era la presencia de una abertura en la piel con una supuración blanquecino rojiza, debajo de la apófisis xifoides, que no había llegado a cerrar en ningún momento. El análisis sanguíneo no revelaba alteraciones relevantes.

El examen ecográfico evidenció un engrosamiento de la pared abdominal en la zona de la fístula con ecogenicidad mixta, que contenía numerosos pequeños ecos en el interior de una estructura tubular, compatible con un trayecto fistuloso que desde la apófisis xifoides se dirigía en profundidad hacia el lateral derecho, sin llegar a observarse el lugar de su finalización.

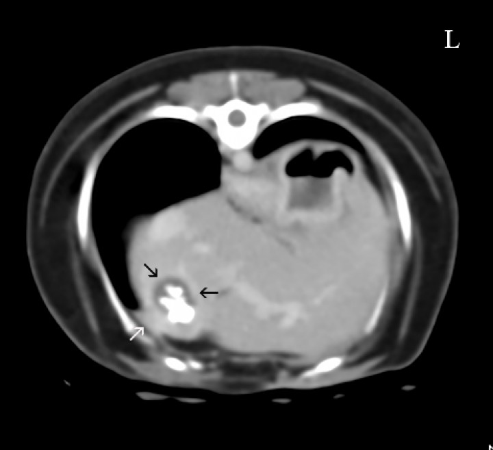
Con el objetivo de localizar el origen de la fístula y poder planificar la cirugía, se realizó una tomografía computarizada (TC) de la cavidad abdominal (Fig. 2) en la que se observó la pared de la vesícula biliar engrosada e irregular y con pequeñas estructuras hiperdensas como contenido. La vesícula biliar se localizaba en posición anómala, en situación ventromedial, y presentaba adherencias a una estructura isodensa respecto a la musculatura abdominal, que se extendía hacia la pared abdominal. Tras la administración del contraste, dicha estructura realzaba en anillo, lo que resultaba compatible con un trayecto fistuloso. La fistulografía en TC reveló una acumulación irregular del contraste en el tejido subcutáneo de la pared abdominal en el área ventrolateral, aunque no se visualizó en la vesícula biliar, el hígado o el tracto biliar.

<p>Caso 1. Imágenes de Tomografía Computarizada (TC) en ventana de tejido blando, post-contraste. (<strong>A</strong>) Plano transversal. (<strong>B</strong>) Plano sagital. Se visualiza un engrosamiento de la pared abdominal; en su interior se observa una estructura tubular y tortuosa con un realce periférico homogéneo (109 UH) con un centro hipoatenuante que se corresponde a un trayecto fistuloso (flechas), el cual se origina caudal a la apófisis xifoides a nivel de la línea alba, y se extiende craneal y dorsal hasta el interior de la cavidad abdominal (flechas) para terminar adyacente a la vesícula biliar (*) que presenta la pared engrosada e irregular. L: Izquierdo.</p>
Figura 2

Caso 1. Imágenes de Tomografía Computarizada (TC) en ventana de tejido blando, post-contraste. (A) Plano transversal. (B) Plano sagital. Se visualiza un engrosamiento de la pared abdominal; en su interior se observa una estructura tubular y tortuosa con un realce periférico homogéneo (109 UH) con un centro hipoatenuante que se corresponde a un trayecto fistuloso (flechas), el cual se origina caudal a la apófisis xifoides a nivel de la línea alba, y se extiende craneal y dorsal hasta el interior de la cavidad abdominal (flechas) para terminar adyacente a la vesícula biliar (*) que presenta la pared engrosada e irregular. L: Izquierdo.

El diagnóstico presuntivo fue de colecistitis y presencia de un trayecto fistuloso que comunicaba la piel y la zona de la vesícula biliar, que se encontraba alterada, sospechándose que la colecistitis podía ser el origen de la fístula cutánea.

En base a lo evidenciado con las pruebas diagnósticas, se planificó la cirugía y se estableció un protocolo anestésico y analgésico adecuado al paciente (Tabla 1). La intervención quirúrgica consistió en la realización de una resección quirúrgica de la zona de la fístula percutánea, continuando su trayecto fistuloso a través de la musculatura abdominal, encontrándose adherencias al pilar derecho del diafragma y finalizando en una estructura endurecida y rojiza localizada ventromedialmente (vesícula biliar) que presentaba una marcada adhesión a la pared abdominal, al pilar diafragmático, al parénquima hepático y al omento. Se realizó la escisión de dicha estructura que, tras ser extraída e incidida, se identificó como la vesícula biliar al tener su interior forma de saco y contener bilis con aglomeraciones en forma de pequeñas bolas gelificadas.

<div class=\"Basic-Text-Frame\">
<p>*Medicación administrada combinada en una sola jeringuilla. i.m.: intramuscular; i.v.: intravenoso; CAM: concentración alveolar mínima.</p>
</div>
Tabla 1

*Medicación administrada combinada en una sola jeringuilla. i.m.: intramuscular; i.v.: intravenoso; CAM: concentración alveolar mínima.

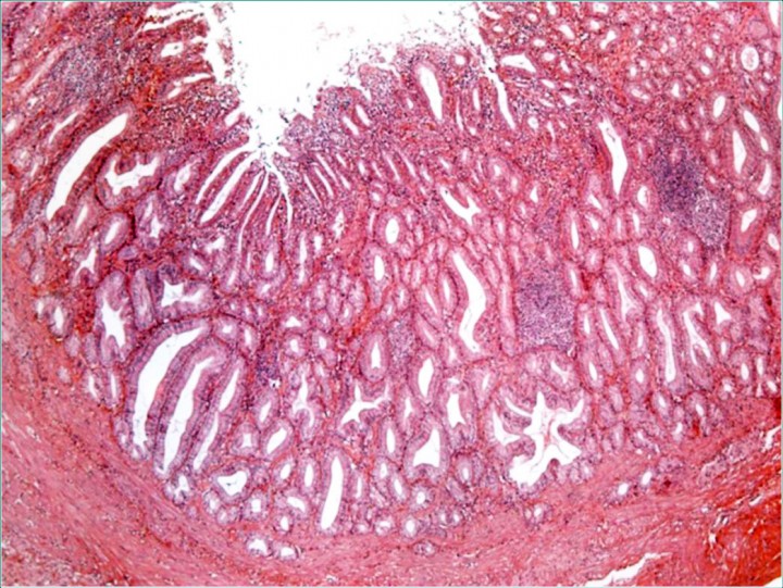
Se remitió la vesícula biliar para su estudio histopatológico (Fig. 3), que evidenció un engrosamiento de su mucosa con pérdida del epitelio superficial y proliferación de células epiteliales a modo de criptas, entre fascículos de fibras musculares lisas con un fuerte infiltrado de células plasmáticas y algunos neutrófilos. Se observaba también una extensa proliferación de tejido de granulación, áreas de necrosis y hemorragias focales con presencia de un pigmento de coloración amarillenta e hipertrofia de la túnica muscular. La serosa de la vesícula biliar presentaba un infiltrado moderado de la misma naturaleza que la mucosa, encontrándose muy vascularizada. El diagnóstico histopatológico era de colecistitis hiperplásica crónica.

<p>Estudio histopatológico. Se evidencia un engrosamiento de la mucosa de la vesícula biliar con pérdida focal del epitelio superficial y proliferación de glándulas tubulares en la lámina propia con agregados foliculares linfoides. La túnica muscular estaba hipertrofiada y se observó fibrosis severa de la serosa con un infiltrado moderado, similar a la mucosa. Hematoxilina-Eosina, x50.</p>
Figura 3

Estudio histopatológico. Se evidencia un engrosamiento de la mucosa de la vesícula biliar con pérdida focal del epitelio superficial y proliferación de glándulas tubulares en la lámina propia con agregados foliculares linfoides. La túnica muscular estaba hipertrofiada y se observó fibrosis severa de la serosa con un infiltrado moderado, similar a la mucosa. Hematoxilina-Eosina, x50.

Se tomó una mues­tra con un hisopo estéril del interior de la vesícula biliar para realizar un cultivo y un antibiograma del contenido biliar, en el que se aisló Escherichia coli.

El paciente se mantuvo hospitalizado durante tres días para su monitorización y control del dolor, con un protocolo analgésico basado en metadona (0,2 mg/kg/4 h) (Metasedin 10 mg/ml, Esteve, Barcelona) en las primeras 12 horas tras la cirugía y pasando, posteriormente, a buprenorfina (0,02 mg/kg/8 h) (Buprex 0,3 mg solución inyectable, RB Pharmaceuticals Limited, Reino Unido) hasta el momento del alta. El paciente se recuperó sin complicaciones. En el momento del alta hospitalaria se continuó en el domicilio durante una semana más con el tratamiento antibiótico con cefalexina (20 mg/kg/12 h) (Rilexine comprimidos masticables, Virbac, Carros). No se ha observado recidiva hasta la actualidad.

 

Caso 2

Hembra de raza York Shire Terrier, de 9 años de edad, con una fístula con secreción purulenta de manifestación intermitente desde hacía un año y medio en el flanco derecho del abdomen craneal, caudal a la penúltima costilla.

El tratamiento recibido había sido antibióticos de amplio espectro, sin que se observase mejora del proceso clínico.

El examen físico era normal, salvo por la presencia de una pequeña fístula en el costado derecho, con secreción continua blanquecina, y una abertura del tamaño de una cabeza de alfiler que, según la propietaria, en ocasiones se cerraba y al poco tiempo se volvía a abrir. El análisis sanguíneo no reveló ninguna alteración remarcable.

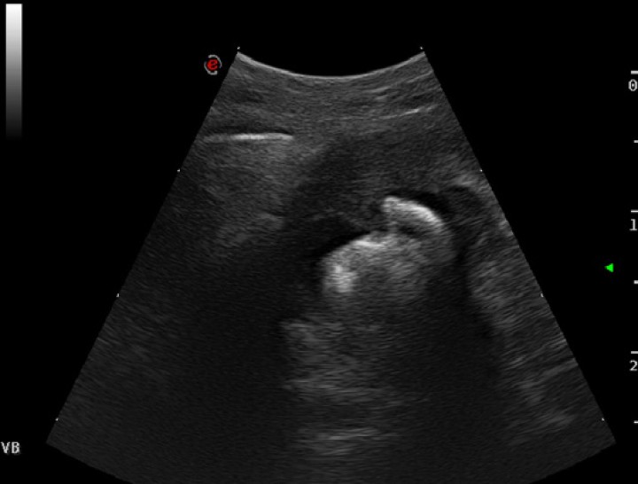
Al realizar una ecografía en la zona de la fístula, se evidenció que el trayecto fistuloso se dirigía en profundidad hacia la zona de la vesícula biliar, encontrándose la pared de la misma aumentada de grosor y con su interior ocupado por estructuras minerales que emitían sombra acústica (Fig. 4).

<p>Imagen ecográfica de la vesícula biliar. Se visualiza la pared engrosada con cálculos en su interior.</p>
Figura 4

Imagen ecográfica de la vesícula biliar. Se visualiza la pared engrosada con cálculos en su interior.

Se realizó una TC para caracterizar la fístula (Fig. 5) en la que se observaron cálculos en el interior de la vesícula biliar que ocupaban prácticamente toda la luz. Su pared estaba engrosada presentando adherencia al lóbulo hepático con la pared costal. Además, se apreció un nódulo en el lóbulo izquierdo y cálculos a nivel de la pelvis renal izquierda.

<p>Imagen de Tomografía Computarizada en ventana de tejido blando, post-contraste en plano transversal. Se visualizan cálculos en la vesícula biliar que ocupan prácticamente toda la luz y la pared engrosada (flechas negras); el lóbulo hepático presenta adherencias con la pared costal (fecha blanca). L: Izquierdo.</p>
Figura 5

Imagen de Tomografía Computarizada en ventana de tejido blando, post-contraste en plano transversal. Se visualizan cálculos en la vesícula biliar que ocupan prácticamente toda la luz y la pared engrosada (flechas negras); el lóbulo hepático presenta adherencias con la pared costal (fecha blanca). L: Izquierdo.

En base a los resultados encontrados en las pruebas de imagen, se hizo un diagnóstico presuntivo de colecistitis y colelitiasis que podrían ser el origen del trayecto fistuloso que iba desde la piel hacia la zona de la vesícula biliar.

Se planificó la realización de una laparotomía exploratoria media craneal, para la que se estableció el protocolo anestésico y analgésico indicado en la Tabla 1. Durante la cirugía se localizó la vesícula biliar en su posición anatómica, aunque tenía un aspecto rojo marronáceo y consistencia endurecida, con intensas adherencias al lóbulo hepático adyacente, la pared abdominal derecha y la serosa del duodeno proximal (Fig. 6). Tras la liberación de la vesícula biliar mediante disección roma de todas estas adherencias, se realizó una colecistectomía. Tras la intervención, al incidir la vesícula biliar, se observó un marcado engrosamiento de su pared y presencia de varios cálculos biliares (Fig. 7).

<p>Imagen durante la cirugía del Caso 2, en la que al localizar la zona de la vesícula biliar (VB), no es posible distinguirla debido a las adherencias que presenta a la pared abdominal craneal (asterisco), duodeno (D) y parénquima hepático (H).</p>
Figura 6

Imagen durante la cirugía del Caso 2, en la que al localizar la zona de la vesícula biliar (VB), no es posible distinguirla debido a las adherencias que presenta a la pared abdominal craneal (asterisco), duodeno (D) y parénquima hepático (H).

<p>Imágenes de la vesícula biliar tras la colescitectomía del Caso 2. (<strong>A</strong>) Se aprecia su coloración y consistencia anormal. (<strong>B</strong> y <strong>C</strong>) Incisión de la vesícula biliar. Se observa su pared engrosada y la presencia de cálculos en su interior.</p>
Figura 7

Imágenes de la vesícula biliar tras la colescitectomía del Caso 2. (A) Se aprecia su coloración y consistencia anormal. (B y C) Incisión de la vesícula biliar. Se observa su pared engrosada y la presencia de cálculos en su interior.

El estudio histopatológico mostró en la vesícula biliar los mismos cambios descritos en el Caso 1, siendo también el diagnóstico de colecistitis hiperplásica crónica.

Se hizo cultivo y antibiograma de una muestra tomada del contenido de la vesícula biliar y, como en el Caso 1, la bacteria aislada fue Escherichia coli.

El paciente quedó hospitalizado durante tres días para asegurar una recuperación adecuada y libre de dolor, manteniéndose un protocolo analgésico basado en metadona (0,2 mg/kg/4 h) (Metasedin 10 mg/ml, Esteve, Barcelona) en las primeras 12 horas tras la cirugía y pasando, posteriormente, a buprenorfina (0,02 mg/kg/8 h) (Buprex 0,3 mg solución inyectable, RB Pharmaceuticals Limited, Reino Unido) hasta el momento del alta. Al igual que en el primer caso, tras el alta hospitalaria se continuó durante una semana más el tratamiento antibiótico con cefalexina (20 mg/kg/12 h) (Rilexine comprimidos masticables, Virbac, Carros). El paciente tuvo una adecuada recuperación y no ha presentado recidiva hasta la fecha.

Discusión

La fístula colecisto-cutánea espontánea originada tras la perforación de la vesícula biliar es un proceso con muy baja incidencia en veterinaria, donde solamente se han descrito tres casos:[ Fabbi M, Volta A, Quintavalla F, Zubin E, Manfredi S, Martini FM, et al. Cholecystocutaneous fistula containing multiple galls stones in a dog. Can Vet J, 2014;55:1163-6. [PubMed] , Marquardt SA, Rochat MC, Johnson-Neitman JL. Spontaneous cholecytocutaneous fistula in a dog. J Am Anim Hosp Assoc, 2012;48:43-9. [PubMed] , Galliano A, Belmudes A, Bacon NJ. Cholecystocutaneous fistula and associated cholelithiasis in an eight-year-old dachshund. Vet Red Case Rep 2019; 7: 1-5. ] uno de etiología desconocida[ Marquardt SA, Rochat MC, Johnson-Neitman JL. Spontaneous cholecytocutaneous fistula in a dog. J Am Anim Hosp Assoc, 2012;48:43-9. [PubMed] ] y los otros dos secundarios a la presencia de múltiples cálculos biliares.[ Fabbi M, Volta A, Quintavalla F, Zubin E, Manfredi S, Martini FM, et al. Cholecystocutaneous fistula containing multiple galls stones in a dog. Can Vet J, 2014;55:1163-6. [PubMed] , Galliano A, Belmudes A, Bacon NJ. Cholecystocutaneous fistula and associated cholelithiasis in an eight-year-old dachshund. Vet Red Case Rep 2019; 7: 1-5. ] En medicina humana, se describe que la FCCE puede ser secundaria a un episodio agudo o crónico de inflamación en la vesícula biliar,[ Gupta V, Benerjee S, Garg H, Vyas S. Spontaeous cholecysto-antral-cutaneous fistula: a consequence of neglected calculus cholecystitis. Singapore Med J, 2012;53:e201-3. [PubMed] ] así como deberse a la presencia crónica de cálculos biliares, traumatismo o cirugía abdominal,[ Gupta V, Benerjee S, Garg H, Vyas S. Spontaeous cholecysto-antral-cutaneous fistula: a consequence of neglected calculus cholecystitis. Singapore Med J, 2012;53:e201-3. [PubMed] , Hoffman L, Beaton H, Wantz G. Spontaneous cholecystocutaneous fistula: a complication of neglected biliary tract disease. J Am Geriatr Soc, 1982; 30: 632-4. [PubMed] , Ioanndis O, Paraskevas G, Kotronis A et al. Spontaneous cholecystocutaneous fistula draining from an abdominal scar from previous surgical drainage. Ann Ital Chir, 2012; 83: 67-9. [PubMed] ] aunque también se han descrito con menor incidencia casos asociados a carcinoma de la vesícula biliar.[ Sodhi K, Athar M, Kumar V, Sharma ID, Husain N. Spontaneous cholecysto-cutaneous fistula complicating carcinoma of the gallbladder: a case report. Indian J Surg, 2012; 74: 191-3. [PubMed] ] En los casos descritos en este trabajo, no se encontró una causa clara en el primer paciente, mientras que en el segundo caso la presencia de cálculos biliares hace sospechar que pudieran ser la causa del proceso.

La fisiopatogenia de esta enfermedad se caracteriza por la predisposición a la formación de adherencias debidas al estado inflamatorio y la distensión de la vesícula biliar, como consecuencia del desarrollo de colecistitis y/o colelitiasis.[ Marquardt SA, Rochat MC, Johnson-Neitman JL. Spontaneous cholecytocutaneous fistula in a dog. J Am Anim Hosp Assoc, 2012;48:43-9. [PubMed] ] Estas adherencias, con frecuencia, se inician en la zona del fondo de la vesícula biliar e involucran al peritoneo, el parénquima hepático y la pared abdominal. La formación de la fístula suele ser secundaria a la rotura de dicha vesícula biliar y normalmente presenta un único trayecto, que en el ser humano se abre en la piel de la zona del cuadrante craneoventral del abdomen (48 % de los casos) o en el ombligo (27 % de los casos); ocasionalmente, puede localizarse en otros lugares como la ingle, el dorso o la pared torácica.[ Birch BRP, Cox SJ. Spontaneous external biliary fistula uncomplicated by gallstones. Postgrad Med J, 1991; 67: 391-2. [PubMed] ] En los casos descritos en el perro, la fístula drena mediante una abertura en la piel a nivel de la pared torácica derecha, ventrolateralmente,[ Fabbi M, Volta A, Quintavalla F, Zubin E, Manfredi S, Martini FM, et al. Cholecystocutaneous fistula containing multiple galls stones in a dog. Can Vet J, 2014;55:1163-6. [PubMed] , Marquardt SA, Rochat MC, Johnson-Neitman JL. Spontaneous cholecytocutaneous fistula in a dog. J Am Anim Hosp Assoc, 2012;48:43-9. [PubMed] , Kligman KC, Jehn CT, Davis KM, Taylor DP, Conway JA. Spontaneous external biliary fistula in a dog. J Am Vet Med Anim, 2007;231:919-23. [PubMed] ] y en un caso se localizaba en la zona craneoventral del abdomen caudal, caudal al xifoides,[ Galliano A, Belmudes A, Bacon NJ. Cholecystocutaneous fistula and associated cholelithiasis in an eight-year-old dachshund. Vet Red Case Rep 2019; 7: 1-5. ] como observamos en uno de los casos descritos (Caso 1), mientras que en el Caso 2, se localizó en la pared abdominal ligeramente lateralizada a la derecha y caudal a la penúltima costilla del lado derecho.

La descarga fistulosa suele ser eventual o constante y de naturaleza líquida purulenta, biliosa o una mezcla de ambas, e infrecuentemente pueden aparecer restos o fragmentos de cálculos biliares.[ Marquardt SA, Rochat MC, Johnson-Neitman JL. Spontaneous cholecytocutaneous fistula in a dog. J Am Anim Hosp Assoc, 2012;48:43-9. [PubMed] ] En nuestros casos, ambos presentaron una supuración purulenta de color blanquecino hemorrágico, de carácter continuo o intermitente en el primer y el segundo caso, respectivamente.

El diagnóstico de la FCCE tiene como dificultad la ausencia de sintomatología clínica o laboratorial, al margen de la presencia de la descarga fistulosa, tal y como ocurrió en nuestros casos, en consonancia con lo descrito por otros autores.[ Fabbi M, Volta A, Quintavalla F, Zubin E, Manfredi S, Martini FM, et al. Cholecystocutaneous fistula containing multiple galls stones in a dog. Can Vet J, 2014;55:1163-6. [PubMed] , Marquardt SA, Rochat MC, Johnson-Neitman JL. Spontaneous cholecytocutaneous fistula in a dog. J Am Anim Hosp Assoc, 2012;48:43-9. [PubMed] ] La evidencia de la apertura fistulosa en piel puede tener un diagnóstico diferencial con otros procesos como granuloma piogénico o quiste epidérmico infectado.[ Hoffman L, Beaton H, Wantz G. Spontaneous cholecystocutaneous fistula: a complication of neglected biliary tract disease. J Am Geriatr Soc, 1982; 30: 632-4. [PubMed] ] Es por ello que las pruebas de imagen son muy importantes para llegar al diagnóstico definitivo o, al menos, altamente presuntivo. El examen ecográfico es una técnica adecuada para valorar la vesícula biliar e identificar el trayecto fistuloso, aunque su utilidad es limitada para la evaluación completa de la fístula. Por otra parte y a pesar de que la resonancia magnética con colangiopancreatografía es útil en el diagnóstico de estos procesos, la TC con fistulografía se considera la prueba de imagen con mayor valor diagnóstico, ya que posibilita la confirmación de la comunicación entre la fístula y la vesícula biliar.[ Fabbi M, Volta A, Quintavalla F, Zubin E, Manfredi S, Martini FM, et al. Cholecystocutaneous fistula containing multiple galls stones in a dog. Can Vet J, 2014;55:1163-6. [PubMed] , Birch BRP, Cox SJ. Spontaneous external biliary fistula uncomplicated by gallstones. Postgrad Med J, 1991; 67: 391-2. [PubMed] , Surya M, Soni P, Nimkar K. Spontaneous cholecysto-cutaneous fistula draining through an old abdominal surgical scar. Pol J Radiol, 2016;81:498-501. [PubMed] ] En los dos casos presentados en este trabajo se hizo un examen ecográfico de la zona fistulosa y del abdomen, aunque la información más relevante se obtuvo mediante la TC, ya que evidenció signos compatibles con la presencia de colecistitis (Caso 1) y colelitiasis (Caso 2), lo que permitió presuponer que eran el origen de la fístula cutánea. Además, también se observaron adherencias a la pared abdominal.

El tratamiento de la FCCE consiste de forma primaria en la estabilización del paciente para evitar un posible estado de sepsis.[ Surya M, Soni P, Nimkar K. Spontaneous cholecysto-cutaneous fistula draining through an old abdominal surgical scar. Pol J Radiol, 2016;81:498-501. [PubMed] ] El tratamiento curativo es la colecistectomía con escisión del trayecto fistuloso, en los casos que sea posible, o incluso su omentalización.[ Fabbi M, Volta A, Quintavalla F, Zubin E, Manfredi S, Martini FM, et al. Cholecystocutaneous fistula containing multiple galls stones in a dog. Can Vet J, 2014;55:1163-6. [PubMed] , Marquardt SA, Rochat MC, Johnson-Neitman JL. Spontaneous cholecytocutaneous fistula in a dog. J Am Anim Hosp Assoc, 2012;48:43-9. [PubMed] , Kligman KC, Jehn CT, Davis KM, Taylor DP, Conway JA. Spontaneous external biliary fistula in a dog. J Am Vet Med Anim, 2007;231:919-23. [PubMed] , Galliano A, Belmudes A, Bacon NJ. Cholecystocutaneous fistula and associated cholelithiasis in an eight-year-old dachshund. Vet Red Case Rep 2019; 7: 1-5. ] En los dos casos presentados, se practicó colecistectomía y solamente se consideró necesario resecar el trayecto fistuloso en el primer caso.

En ambos casos, el cultivo del contenido biliar fue positivo, aislándose Escherichia coli, lo que coincide con descripciones previas en medicina humana[ Fabbi M, Volta A, Quintavalla F, Zubin E, Manfredi S, Martini FM, et al. Cholecystocutaneous fistula containing multiple galls stones in a dog. Can Vet J, 2014;55:1163-6. [PubMed] , Marquardt SA, Rochat MC, Johnson-Neitman JL. Spontaneous cholecytocutaneous fistula in a dog. J Am Anim Hosp Assoc, 2012;48:43-9. [PubMed] ] y veterinaria, donde las bacterias aisladas con mayor frecuencia en perros afectados de colangitis y colecistitis son Escherichia coli, Enterococcus spp. y Clostridium spp.[ Tamborini A, Jahns H, McAllister H et al. Bacterial cholangitis, cholecystitis or both in dogs. Vet Intern Med, 2016;30:1046-55. [PubMed] ]

La cefalexina es uno de los antibióticos con mayor eficacia frente a E. coli; por ello constituyó la antibioterapia elegida para el tratamiento postoperatorio y domiciliario en ambos casos.

El tratamiento combinado de antibioterapia y cirugía se considera curativo, siendo el pronóstico favorable[ Fabbi M, Volta A, Quintavalla F, Zubin E, Manfredi S, Martini FM, et al. Cholecystocutaneous fistula containing multiple galls stones in a dog. Can Vet J, 2014;55:1163-6. [PubMed] , Marquardt SA, Rochat MC, Johnson-Neitman JL. Spontaneous cholecytocutaneous fistula in a dog. J Am Anim Hosp Assoc, 2012;48:43-9. [PubMed] , Surya M, Soni P, Nimkar K. Spontaneous cholecysto-cutaneous fistula draining through an old abdominal surgical scar. Pol J Radiol, 2016;81:498-501. [PubMed] ] en la mayoría de casos dependiendo de la etiología primaria, como ocurrió en nuestros casos.

Como conclusión, la FCCE, a pesar de ser una patología de baja incidencia en veterinaria, debería ser considerada dentro del diagnóstico diferencial en aquellos casos en los que se presente una fístula localizada en la pared abdominal o torácica en su porción craneal-media derecha o ventrolateral derecha en el perro.

 

Fuente de financiación: este trabajo no se realizó con fondos comerciales, públicos o del sector privado.
Conflicto de intereses: los autores declaran que no existe conflicto de interés en los datos publicados.

Bibliografía

  1. [1] Gupta V, Benerjee S, Garg H, Vyas S. Spontaeous cholecysto-antral-cutaneous fistula: a consequence of neglected calculus cholecystitis. Singapore Med J, 2012;53:e201-3. [PubMed]
  2. [2] Fabbi M, Volta A, Quintavalla F, Zubin E, Manfredi S, Martini FM, et al. Cholecystocutaneous fistula containing multiple galls stones in a dog. Can Vet J, 2014;55:1163-6. [PubMed]
  3. [3] Marquardt SA, Rochat MC, Johnson-Neitman JL. Spontaneous cholecytocutaneous fistula in a dog. J Am Anim Hosp Assoc, 2012;48:43-9. [PubMed]
  4. [4] Kligman KC, Jehn CT, Davis KM, Taylor DP, Conway JA. Spontaneous external biliary fistula in a dog. J Am Vet Med Anim, 2007;231:919-23. [PubMed]
  5. [5] Hoffman L, Beaton H, Wantz G. Spontaneous cholecystocutaneous fistula: a complication of neglected biliary tract disease. J Am Geriatr Soc, 1982; 30: 632-4. [PubMed]
  6. [6] Ioanndis O, Paraskevas G, Kotronis A et al. Spontaneous cholecystocutaneous fistula draining from an abdominal scar from previous surgical drainage. Ann Ital Chir, 2012; 83: 67-9. [PubMed]
  7. [7] Sodhi K, Athar M, Kumar V, Sharma ID, Husain N. Spontaneous cholecysto-cutaneous fistula complicating carcinoma of the gallbladder: a case report. Indian J Surg, 2012; 74: 191-3. [PubMed]
  8. [8] Galliano A, Belmudes A, Bacon NJ. Cholecystocutaneous fistula and associated cholelithiasis in an eight-year-old dachshund. Vet Red Case Rep 2019; 7: 1-5.
  9. [9] Birch BRP, Cox SJ. Spontaneous external biliary fistula uncomplicated by gallstones. Postgrad Med J, 1991; 67: 391-2. [PubMed]
  10. [10] Surya M, Soni P, Nimkar K. Spontaneous cholecysto-cutaneous fistula draining through an old abdominal surgical scar. Pol J Radiol, 2016;81:498-501. [PubMed]
  11. [11] Tamborini A, Jahns H, McAllister H et al. Bacterial cholangitis, cholecystitis or both in dogs. Vet Intern Med, 2016;30:1046-55. [PubMed]

Artículos recomendados

Estas recomendaciones se ofrecen de forma automática.

  • Fallo hepático en un perro tras intoxicación por ingestión de semillas de Cycas revoluta

    C. García, A. Segarra, N. Bedía, et al.
    Clin Vet Peq Anim Vol. 45 - Nº 3 · SEP 2025 · Artículo original referido a un solo caso clínico
  • Pseudoaneurisma venoso de presunto origen yatrogénico causado al realizar una biopsia ósea

    F. Osorio, L. Feo, J. Puig
    Clin Vet Peq Anim Vol. 45 - Nº 1 · MAR 2025 · Artículo original referido a un solo caso clínico
  • Concordancia entre IDEXX SediVue Dx y el cultivo de orina en perros y gatos

    L. Di Filippo, I. Frías, R. Santiago
    Clin Vet Peq Anim Vol. 44 - Nº 1 · MAR 2024 · Artículo original referido a múltiples casos clínicos
  • Inicio
  • Introducción
  • Casos clínicos
  • Discusión
  • Bibliografía
Artículo anterior Índice de la revista Artículo siguiente
ANUNCIO
Próximos cursos ATVs Elearning
Índice
Inicio Introducción Casos clínicos Discusión Bibliografía
Suscripción AVEPA Elearning
ANUNCIO

¿No eres socio de AVEPA y quieres recibir comunicación de las nuevas ediciones en tu correo?

Suscríbete

Suscríbete y te avisaremos cuando publiquemos un nuevo número

Suscribirme

Enlaces rápidos

  • Inicio
  • Último número
  • Archivo
  • Artículos

Información

  • Comité editorial
  • Política de cookies
  • Política de privacidad
  • Términos y condiciones

Contacto

  • info@imaginice.com
  • Envíanos tu artículo
© 2026 Ice Salud Vet SL. Todos los derechos reservados.

Usamos cookies para mejorar tu experiencia. Selecciona cuáles aceptas: