Logo AVEPA

Clínica Veterinaria de Pequeños Animales

Revista oficial de AVEPA

  • Inicio
  • Último número
  • Archivo
  • Artículos
  • Para autores
  • Contacto
Cursos Junio-Septiembre 2026
ANUNCIO

Clínica Veterinaria de Pequeños Animales

Revista oficial de AVEPA

  • Inicio
  • Último número
  • Archivo
  • Artículos
  • Para autores
  • Contacto
Curso Oftalmología 2026
ANUNCIO
Clin Vet Peq Anim Vol. 36 • Nº 1 • marzo 2016

Hallazgos tomográficos y tratamiento de un absceso retrobulbar asociado a una sialodenitis cigomática en un perro

Computed tomographic findings and treatment of a retrobulbar abscess associated with a zygomatic sialadenitis in a dog

Artículo original referido a un solo caso clínico

N. Miño-Fariña

Departamento de Ciencias Clínicas Veterinarias. Universidad de Santiago de Compostela. Hospital Clínico Veterinario Rof Codina s/n. 27002 Lugo

A. González-Cantalapiedra

Departamento de Ciencias Clínicas Veterinarias. Universidad de Santiago de Compostela. Hospital Clínico Veterinario Rof Codina s/n. 27002 Lugo

M. Vila-Pastor

Departamento de Ciencias Clínicas Veterinarias. Universidad de Santiago de Compostela. Hospital Clínico Veterinario Rof Codina s/n. 27002 Lugo

Otros artículos de M. Vila-Pastor:
  • ¿Cuál es tu diagnóstico?
    Clin Vet Peq Anim Vol. 36 • Nº 2 • junio 2016

L. Espino-López

Departamento de Ciencias Clínicas Veterinarias. Universidad de Santiago de Compostela. Hospital Clínico Veterinario Rof Codina s/n. 27002 Lugo

Contacto: natalia.mino@usc.es
Palabras clave: Sialodenitis cigomática, Absceso retrobulbar, Absceso subcutáneo, Perro, Tomografía computarizada.
Keywords: Zygomatic sialadenitis, Retrobulbar abscess, Subcutaneous abscess, Dog, CT.
Clin. Vet. Peq. Anim, 2016, 36 (1): 29-33
Descargar artículo

Resumen

Un perro adulto Pastor Alemán fue remitido a nuestro hospital por presentar un cuadro de dolor al abrir la boca, de tres semanas de duración. El examen físico reveló la presencia de una masa fluctuante en la región frontotemporal derecha y dolor a la retropropulsión del ojo derecho, así como atrofia bilateral de los músculos temporales y maseteros. En la hematología se observó una leucocitosis neutrofílica moderada y la ecografía puso de manifiesto la existencia de una lesión cavitaria en la zona frontotemporal, con un contenido anecóico de la que se obtuvo una muestra mediante punción ecoguiada. Su análisis citológico reveló la presencia de material con características compatibles con contenido salivar infectado. Para valorar la extensión y posible origen del absceso se realizó una tomografía computarizada (TC), que mostró una imagen compatible con una sialoadenitis cigomática asociada a un absceso que se extendía desde la región retrobulbar por el espacio subcutáneo hasta la región occipital. Se realizó un drenaje quirúrgico de la lesión, obteniendo una muestra para cultivo en la que se aisló Staphylococcus aureus. Durante el posoperatorio no se produjeron incidencias destacables y en la TC de revisión, realizada 4 semanas después de la cirugía, se confirmó la recuperación completa de la inflamación de la glándula cigomática y el absceso.

Abstract

An adult German Shepherd dog was evaluated in our hospital because of a three-week history of pain when opening the mouth. Physical examination revealed the presence of a fluctuating mass in the right frontotemporal region and pain to the retropulsion of the right eye as well as atrophy of the temporalis and masseter muscles. Hematology showed a moderate neutrophilic leukocytosis. A large-sized cavitary lesion with an anechoic content was observed in the frontotemporal area on ultrasonographic examination. A sample was obtained and the cytological analysis revealed purulent material mixed with saliva. A computed tomography (CT) study was performed to assess the extent and the possible origin of the abscess. The results showed an image compatible with a zygomatic sialadenitis associated with a retrobulbar abscess which extended subcutaneously up to the occipital region. Treatment consisted on surgical drainage of the lesion. A sample was obtained and bacterial culture produced a pure growth of Staphylococcus aureus. No significant complications occurred during the postoperative period. A CT study was repeated 4 weeks after the surgery and showed a complete resolution of the zygomatic sialadenitis and abscess.

Introducción

La sialoadenitis cigomática es una enfermedad poco común en la especie canina.[ Boland L, Gomes E, Payen G, Bouvy B, Poncet C: Zygomatic salivary gland diseases in the dog: three cases diagnosed by MRI. J Am Anim Hosp Assoc 2013; 49(5):333-7. [PubMed] , Cannon MS, Paglia D, Zwingenberger AL, et al.: Clinical and diagnostic imaging findings in dogs with zygomatic sialadenitis: 11 cases (1990-2009). J Am Vet Med Assoc 2011; 239 (9): 1211-1218. [PubMed] , Spangler WL, Culbertson MR: Salivary gland disease in dogs and cats: 245 cases (1985-1988). J Am Vet Med Assoc 1991; 198:465-469. [PubMed] ] Se define como la inflamación de la glándula salival cigomática, que causa aumento de tamaño y a menudo la formación de un sialocele. Su causa no se conoce, pero se proponen como posibles la presencia de traumas asociados, infecciones locales o sistémicas, enfermedades inmunomediadas o una respuesta secundaria a una inflamación regional. Su diagnóstico puede ser complicado por presentar una sintomatología muy poco específica.[ Boland L, Gomes E, Payen G, Bouvy B, Poncet C: Zygomatic salivary gland diseases in the dog: three cases diagnosed by MRI. J Am Anim Hosp Assoc 2013; 49(5):333-7. [PubMed] , Cannon MS, Paglia D, Zwingenberger AL, et al.: Clinical and diagnostic imaging findings in dogs with zygomatic sialadenitis: 11 cases (1990-2009). J Am Vet Med Assoc 2011; 239 (9): 1211-1218. [PubMed] , Spangler WL, Culbertson MR: Salivary gland disease in dogs and cats: 245 cases (1985-1988). J Am Vet Med Assoc 1991; 198:465-469. [PubMed] ] En este caso se describen los signos clínicos, hallazgos de pruebas complementarias y tratamiento de un perro con una sialoadenitis cigomática asociada con un absceso subcutáneo de grandes dimensiones que se extendía desde la región retrobulbar hasta el occipital.

Caso clínico

El paciente, un Pastor Alemán macho de 7 años de edad, fue atendido en nuestro hospital por un cuadro de dolor al abrir la boca y la aparición de una inflamación severa en el lado derecho de la cara. Según el propietario, los signos clínicos habían comenzado tres semanas antes. En ese momento presentaba únicamente exoftalmia unilateral, sin desviación del globo ocular, y dolor al abrir la boca. Sus propietarios lo llevaron a otro centro, en el cual llegaron al diagnóstico presuntivo de miositis masticatoria y comenzaron a tratarlo con glucocorticoides (1 mg/Kg una vez al día PO) y azatioprina (2 mg/Kg una vez al día PO), sin observar ninguna mejoría durante las tres semanas que duró la pauta de tratamiento.

Las anomalías detectadas en el examen físico se limitaron a las observadas en la exploración de la cabeza. El animal mostraba una marcada atrofia de la musculatura masticatoria bilateral, dolor severo al abrir la boca y presencia de una masa fluctuante en la región frontotemporal derecha. En la exploración bucal, realizada bajo sedación, se evidenció una zona enrojecida e inflamada en la zona caudal al último molar superior, sin anomalías en la fosa pterigopalatina. Con respecto al examen oftalmológico, se apreció inflamación periorbital, hiperemia conjuntival y exoftalmos leve en el ojo derecho, sin desviación del globo ocular. También se evidenció resistencia y dolor a la retropulsión del ojo de ese mismo lado, con movimientos oculocefálicos normales. Los hallazgos de la exploración eran indicativos de una lesión en el espacio retrobulbar derecho, siendo los principales diagnósticos diferenciales un absceso o una neoplasia retrobulbar. La atrofia de la musculatura masticatoria podía estar asociada con el uso prolongado de glucocorticoides, aunque dentro de los diferenciales también se debería incluir la presencia de una miositis masticatoria crónica. Otras patologías menos comunes que tendrían que añadirse a los posibles diagnósticos son la presencia de una hemorragia o un cuerpo extraño retrobulbar.

En la hematología y bioquímica se observó una leucocitosis (18,91 K/µL, valores de referencia: 5,05-16,76 K/µL) neutrofílica moderada y anemia no regenerativa leve, permaneciendo el resto de parámetros dentro de los rangos de referencia. Estos hallazgos son compatibles con la presencia de un proceso infeccioso crónico, si bien no se puede descartar la influencia de la terapia prolongada con corticoides que había recibido el paciente.

La ecografía de la región frontotemporal, témporo-occipital y ocular puso de manifiesto la existencia de una lesión cavitaria bien delimitada por una pared de bordes irregulares y con un contenido anecóico con material hiperecogénico en suspensión, características compatibles con la presencia de un absceso retrobulbar. Se obtuvo una muestra por aspiración ecoguiada que consistía en un material mucopurulento hemorrágico, revelando la citología la presencia de un fondo proteináceo con una elevada cantidad de neutrófilos y bacterias de forma cocoide y tinción Gram +, compatible con la presencia de contenido salivar infectado.

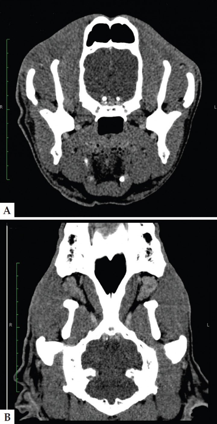
Para valorar la extensión y posible origen del absceso se realizó una TC bajo sedación profunda. En las imágenes post-contraste (contraste empleado: Iopramida, 2 ml/Kg/IV, Ultravist, 300 mg/ml, Bayer, España) se observó una masa quística con contenido líquido, localizada en tejido subcutáneo y comunicada en la porción rostral con la glándula cigomática derecha, extendiéndose caudalmente hasta la región occipital. La glándula cigomática aparecía hipodensa, aumentada de tamaño y con una captación de contraste moderada y heterogénea (Fig. 1). Estos hallazgos eran compatibles con la presencia de una sialoadenitis cigomática y un absceso retrobulbar asociado que se extendía por el espacio subcutáneo en la región frontotemporal derecha, pero en base a las características tomográficas no se podía descartar la presencia de una neoplasia glandular.

<p>Imagen de tomografía computarizada postcontraste el día de la visita (A. Axial; B. Dorsal; C. Parasagital) en la que se observa un aumento de tamaño de la glándula cigomática derecha (flecha) con captación de contraste marcada y heterogénea que se comunica con un acúmulo de material hipodenso subcutáneo bien encapsulado que se extiende desde la región frontal hasta la occipital (*). Ancho de ventana 142 UH. Centro de ventana 95 UH.</p>
Figura 1

Imagen de tomografía computarizada postcontraste el día de la visita (A. Axial; B. Dorsal; C. Parasagital) en la que se observa un aumento de tamaño de la glándula cigomática derecha (flecha) con captación de contraste marcada y heterogénea que se comunica con un acúmulo de material hipodenso subcutáneo bien encapsulado que se extiende desde la región frontal hasta la occipital (*). Ancho de ventana 142 UH. Centro de ventana 95 UH.

El tratamiento de elección fue la realización de un drenaje quirúrgico activo tras someter al animal a una anestesia general. Para ello, se rasuró ampliamente el área a abordar y se realizó una limpieza aséptica de la misma. Posteriormente se incidió la zona temporal derecha y se succionó el contenido del absceso, obteniendo una muestra para cultivo. A continuación se colocó un drenaje pasivo de Penrose desde la zona frontal, en su porción dorsal, hasta la temporal en su porción ventral y se cerró la incisión. El resultado del aislamiento determinó la presencia de Staphylococcus aureus resistente a ampicilina, con sensibilidad intermedia a sulfametoxazol+sulfatrimetropim y sensible al resto de los antibióticos testados, entre los que se incluía la cefalexina, que fue el antibiótico finalmente seleccionado para tratar al paciente.

Se realizó una TC de control tras la intervención, donde se vio que se había drenado la colección de líquido presente, pero la glándula continuaba aumentada de tamaño.

Durante el postoperatorio no se produjeron incidencias destacables. El tratamiento consistió en la administración de cefazolina, a dosis de 22 mg/Kg tres veces al día por vía intravenosa, durante los 5 días que el paciente permaneció hospitalizado. El manejo del dolor y la inflamación se realizó con la administración de meloxicam a dosis de 0,1 mg/Kg una vez al día. A los cinco días de la realización del tratamiento quirúrgico, la inflamación presente en la región frontotemporal derecha se había reducido considerablemente y el exoftalmos había desaparecido. Además, el paciente comenzó a comer con apetito y sin dificultad. Por otro lado, no había presencia de líquido en la zona de salida del drenaje de Penrose, por lo que fue retirado.

Se pasó a medicación oral y se dio el alta al paciente a los dos días de retirar el drenaje, con antibioterapia oral de cefalexina a dosis de 22 mg/Kg tres veces al día.

Se realizó una TC de revisión a las 4 semanas de la cirugía, en la que se confirmó la recuperación completa de la inflamación de la glándula cigomática y el absceso (Fig. 2).

<p>Imagen de tomografía computarizada con ventana de tejido blando en la revisión realizada un mes después de iniciar el tratamiento (A. Axial; B. Dorsal) en la que se puede observar la recuperación completa del absceso y sialoadenitis. Ancho de ventana 236 UH. Centro de ventana 100 UH.</p>
Figura 2

Imagen de tomografía computarizada con ventana de tejido blando en la revisión realizada un mes después de iniciar el tratamiento (A. Axial; B. Dorsal) en la que se puede observar la recuperación completa del absceso y sialoadenitis. Ancho de ventana 236 UH. Centro de ventana 100 UH.

Discusión

El caso aquí descrito presenta una complejidad de signos clínicos relacionados con una patología orbital secundaria a una enfermedad glandular primaria. Por ello, es importante incluir en este apartado una relación de las patologías frecuentes en ambos sistemas orgánicos.

Dentro de las patologías oculares, las enfermedades más comunes que debemos incluir son:

- Neoplasias retrobulbares, que aparecen con cierta frecuencia en animales de edad avanzada. Sus síntomas clínicos más frecuentes son exoftalmos, hiperemia conjuntival, protusión de la membrana nictitante, queratitis y anormalidades en la exploración del fondo del ojo. El pronóstico de estos tumores es muy malo, ya que el promedio de vida desde su diagnóstico es de 10 meses.[ Ronald C Riis: Orbital inflammations and neoplasms. En Small Animal Ophtalmology secrets, Philadelphia, Hanley and Belfus, INC, 2002; 301-308. , Gelatt Kirk N: Canine Orbit: Diseases and Surgery. En Essentials of Veterinary Ophtalmology, Ames, Iowa, Wiley-Blackwell Publishing, 3rd edition, 2014; 147-163. ]

- Miositis de la musculatura masticatoria, patología poco frecuente en la especie canina (1 de cada 2.500 casos) que se caracteriza por una inflamación de los músculos masticatorios que produce dificultad para abrir la boca, hipersalivación y dolor. Cuando el proceso cronifica, el paciente afectado presenta atrofia de la musculatura masticatoria y temporal asociada y, con frecuencia, también se aprecian los salientes óseos de la cabeza.[ Gelatt Kirk N: Canine Orbit: Diseases and Surgery. En Essentials of Veterinary Ophtalmology, Ames, Iowa, Wiley-Blackwell Publishing, 3rd edition, 2014; 147-163. ]

- Absceso o celulitis retrobulbar, normalmente secundaria a una mordedura en la zona periorbitaria, infección de una raíz dental o, de forma menos frecuente, infección de la glándula cigomática o neoplasia en esta zona. Clínicamente, los pacientes pueden presentar congestión severa de la conjuntiva, protusión del tercer párpado con secreción, exoftalmos y dolor al abrir la boca, asociados a la presencia de una masa llena de líquido en zona ventral de la órbita. No parece existir predisposición racial. Su tratamiento consiste en drenar el líquido existente y diagnosticar la causa primaria para tratarla y evitar recidivas.[ Gelatt Kirk N: Canine Orbit: Diseases and Surgery. En Essentials of Veterinary Ophtalmology, Ames, Iowa, Wiley-Blackwell Publishing, 3rd edition, 2014; 147-163. ]

Con respecto a las patologías glandulares, su incidencia en medicina veterinaria se sitúa en torno al 0,3%.[ Mc.Gill S, Lester N, McLachland A, Mansielfd C: Concurrent sialocele and necrotizing sialadenitis in a dog. J Small Anim Pract 2009; 50: 151-156. [PubMed] ] Dentro de estas enfermedades podemos destacar:

- Sialoceles, también denominados mucoceles salivares, que son colecciones quísticas de secreciones salivares a nivel de tejidos blandos, fuera de la glándula y de su conducto. Suelen presentarse en animales de entre dos y cuatro años. Clínicamente aparecen como una masa retrobulbar o una inflamación a nivel cervical, faríngeo o sublingual, dependiendo de la glándula afectada.[ Spreull JSA, Head KW: Cervical salivary cysts in the dog. J Small Anim Pract 1967; 8: 17-35. [PubMed] ] Su causa no llega a ser diagnosticada con frecuencia, pero las más comunes son la existencia de un traumatismo, cuerpo extraño, sialolitiasis u obstrucción del conducto debida a un proceso inflamatorio.

- Neoplasias, que a pesar de no ser frecuentes pueden aparecer en animales de edad avanzada. El tumor más común es el adenocarcinoma, caracterizado por su rápido crecimiento y tendencia a la metástasis en ganglios regionales y órganos lejanos como los pulmones.[ Seoane A, Antón J, Meilán I, Alonso V, Llano A: Sialocele de la glándula cigomática, secundario a neoplasia maligna indiferenciada en el maxilar, en un Akita Inu de 1 año de edad. Clin Vet Peq Anim 2013; 33: 247-251. [AVEPA] ]

- Sialoadenosis, patología muy poco frecuente y que consiste en una afectación pseudotumoral, bilateral, que suele aparecer en las glándulas parótidas, no debida a ningún proceso inflamatorio. Tiene carácter recidivante y se da en diferentes trastornos endocrino-metabólicos.[ Spangler WL, Culbertson MR: Salivary gland disease in dogs and cats: 245 cases (1985-1988). J Am Vet Med Assoc 1991; 198:465-469. [PubMed] ]

- Sialolitiasis: consiste en la obstrucción del conducto salivar debida a la formación de cálculos.[ Trumpatori BJ, Geissler K, Matthews KG: Parotid duct sialolithiasis in a dog. J Am Anim Hosp Assoc 2007; 43: 45-51. [PubMed] , Ryan T, Welsh E, McGorum I, Yool D: Sublingual salivary gland sialolithiasis in a dog. J Small Anim Pract 2008; 49: 254-256. [PubMed] ] Es una patología poco frecuente en perros y normalmente afecta a la glándula parótida. De hecho, hay muy pocos estudios donde aparezca descrita esta enfermedad en la glándula sublingual y mandibular. Su etiología es también desconocida y difícil de encontrar.

- Sialometaplasia, que también es una patología infrecuente en la especie canina, y que se caracteriza por una metaplasia escamosa de los conductos debida a una necrosis isquémica de la glándula.[ Pérez-Écija A, Estepa JC, Mendoza FJ: Granulomatous giant cell submandibular sialadenitis in a dog. Can Vet J 2012; 53: 1211-1213. [PubMed] ]

- Sialoadenitis, que es una enfermedad poco frecuente en la especie canina y que suele afectar a las glándulas parótida, mandibular y con menos frecuencia a la cigomática.[ Boland L, Gomes E, Payen G, Bouvy B, Poncet C: Zygomatic salivary gland diseases in the dog: three cases diagnosed by MRI. J Am Anim Hosp Assoc 2013; 49(5):333-7. [PubMed] ] Podemos decir que es una infección o inflamación aguda, crónica o recurrente que afecta a las glándulas salivares.[ Pérez-Écija A, Estepa JC, Mendoza FJ: Granulomatous giant cell submandibular sialadenitis in a dog. Can Vet J 2012; 53: 1211-1213. [PubMed] , Bradley PJ: Microbiology and management of sialadenitis. Curr Infect Dis Rep 2002; 4: 217-224. [PubMed] , Rocco Babisack V, Kutz Arruda V, Lopes Silva MC, Gomes Lourenço ML, Sousa Rocha N, Vulcano LC, Mamprim MJ: Suppurative sialadenitis in mandibular gland of a dog-ultrasonographic aspect. Vet e Zootec 2013; 42-46. [Vet e Zootec] ] Cuando las glándulas afectadas son la mandibular o parótida, los síntomas que nos encontramos con más frecuencia son dolor al comer, náuseas, vómitos o regurgitación.4 Su etiología se desconoce con exactitud y se sospecha que puede ser de origen traumático, infección local o sistémica, de carácter inmunomediado o secundaria a una inflamación regional.[ Boland L, Gomes E, Payen G, Bouvy B, Poncet C: Zygomatic salivary gland diseases in the dog: three cases diagnosed by MRI. J Am Anim Hosp Assoc 2013; 49(5):333-7. [PubMed] , Cannon MS, Paglia D, Zwingenberger AL, et al.: Clinical and diagnostic imaging findings in dogs with zygomatic sialadenitis: 11 cases (1990-2009). J Am Vet Med Assoc 2011; 239 (9): 1211-1218. [PubMed] , Spangler WL, Culbertson MR: Salivary gland disease in dogs and cats: 245 cases (1985-1988). J Am Vet Med Assoc 1991; 198:465-469. [PubMed] , Ronald C Riis: Orbital inflammations and neoplasms. En Small Animal Ophtalmology secrets, Philadelphia, Hanley and Belfus, INC, 2002; 301-308. , Gelatt Kirk N: Canine Orbit: Diseases and Surgery. En Essentials of Veterinary Ophtalmology, Ames, Iowa, Wiley-Blackwell Publishing, 3rd edition, 2014; 147-163. , Mc.Gill S, Lester N, McLachland A, Mansielfd C: Concurrent sialocele and necrotizing sialadenitis in a dog. J Small Anim Pract 2009; 50: 151-156. [PubMed] , Spreull JSA, Head KW: Cervical salivary cysts in the dog. J Small Anim Pract 1967; 8: 17-35. [PubMed] , Seoane A, Antón J, Meilán I, Alonso V, Llano A: Sialocele de la glándula cigomática, secundario a neoplasia maligna indiferenciada en el maxilar, en un Akita Inu de 1 año de edad. Clin Vet Peq Anim 2013; 33: 247-251. [AVEPA] , Trumpatori BJ, Geissler K, Matthews KG: Parotid duct sialolithiasis in a dog. J Am Anim Hosp Assoc 2007; 43: 45-51. [PubMed] , Ryan T, Welsh E, McGorum I, Yool D: Sublingual salivary gland sialolithiasis in a dog. J Small Anim Pract 2008; 49: 254-256. [PubMed] , Pérez-Écija A, Estepa JC, Mendoza FJ: Granulomatous giant cell submandibular sialadenitis in a dog. Can Vet J 2012; 53: 1211-1213. [PubMed] , Bradley PJ: Microbiology and management of sialadenitis. Curr Infect Dis Rep 2002; 4: 217-224. [PubMed] , Rocco Babisack V, Kutz Arruda V, Lopes Silva MC, Gomes Lourenço ML, Sousa Rocha N, Vulcano LC, Mamprim MJ: Suppurative sialadenitis in mandibular gland of a dog-ultrasonographic aspect. Vet e Zootec 2013; 42-46. [Vet e Zootec] , Sozmen M, Brown PJ, Whitbread TJ: Idiopathic salivary gland enlargement (sialadenosis) in dogs: a microscopic study. J Small Anim Pract 2000; 41: 243-247. [PubMed] ] Se ha descrito incluso su aparición como consecuencia de una náusea crónica, regurgitación o vómitos asociados a una enfermedad gastrointestinal primaria.[ Schroeder H, Berry WL: Salivary gland necrosis in dogs: a retrospective study of 19 cases. J Small Anim Pract 1998; 39: 121-125. [PubMed] ] El origen inmunomediado es la causa más común en el caso de la glándula mandibular y, por ello, suele aparecer respuesta clínica tras iniciar terapia con corticoesteroides.[ Ronald C Riis: Orbital inflammations and neoplasms. En Small Animal Ophtalmology secrets, Philadelphia, Hanley and Belfus, INC, 2002; 301-308. ] Por otro lado, y a pesar de que el posible origen infeccioso es una de las hipótesis más aceptadas, solamente en uno de los casos publicados con anterioridad se aisló un agente causal (Peptostreptococcus anaerobius).[ Pérez-Écija A, Estepa JC, Mendoza FJ: Granulomatous giant cell submandibular sialadenitis in a dog. Can Vet J 2012; 53: 1211-1213. [PubMed] ] Continuando con las posibles causas de la enfermedad, el origen inflamatorio es difícil de diagnosticar en la glándula cigomática mediante la realización de una citología (previo aspirado con aguja fina de la misma) debido a su localización, medial al arco cigomático, que hace costosa la realización de la punción. En la misma línea, la sospecha de que el origen de la sialodenitis sea traumático se hace complicada cuando hablamos de las glándulas mandibular y cigomática debido a que están protegidas por una firme y fibrosa cápsula. Profundizando en el estudio de la sialoadenitis cigomática, que es la patología de interés en el caso clínico aquí descrito, podemos decir que en un estudio retrospectivo previo, realizado en 11 pacientes, se detalla su aparición en perros de talla media a grande y de edad media a avanzada. Por otro lado, todos los pacientes del estudio eran machos.[ Cannon MS, Paglia D, Zwingenberger AL, et al.: Clinical and diagnostic imaging findings in dogs with zygomatic sialadenitis: 11 cases (1990-2009). J Am Vet Med Assoc 2011; 239 (9): 1211-1218. [PubMed] ] Dada su localización en el espacio orbital, la inflamación de esta glándula se suele acompañar de signos clínicos de una lesión retrobulbar.[ Simison, WG: Sialadenitis associated with periorbital disease in a dog. J Am Vet Med Assoc 1993; 202: 1983-1985. [PubMed] ] Las características de la sialoadenitis cigomática en TC sólo se han descrito en casos aislados y se han observado aumento de tamaño de la glándula, disminución de la densidad y resultados variables en la captación de contraste.[ Boroffka SAEB, Verbruggen A-N, Grinwis GCM, Voorhout G, Barthez PY: Assessment of ultrasonography and computed tomography for the evaluation of unilateral orbital disease in dogs. J Am Vet Med Assoc 2007; 230: 671-680. [PubMed] ] La formación de sialocele es una complicación habitual en la inflamación de esta glándula, y su aparición agrava el cuadro clínico y limita la respuesta al tratamiento médico.[ Cannon MS, Paglia D, Zwingenberger AL, et al.: Clinical and diagnostic imaging findings in dogs with zygomatic sialadenitis: 11 cases (1990-2009). J Am Vet Med Assoc 2011; 239 (9): 1211-1218. [PubMed] ] Sin embargo, la presencia de un absceso retrobulbar de gran tamaño asociado con una sialoadenitis cigomática no se ha descrito con anterioridad en el perro y, aunque lo más probable es que la inflamación de la glándula haya desarrollado como complicación un sialocele, y en nuestro caso un absceso, otros autores han descrito previamente inflamaciones de la glándula por extensión del absceso.[ Cannon MS, Paglia D, Zwingenberger AL, et al.: Clinical and diagnostic imaging findings in dogs with zygomatic sialadenitis: 11 cases (1990-2009). J Am Vet Med Assoc 2011; 239 (9): 1211-1218. [PubMed] ] Nuestro paciente tenía un diagnóstico presuntivo previo de miositis masticatoria; sin embargo, esta patología no se había confirmado, ya que no habían sido realizadas pruebas complementarias adecuadas, entre ellas la medición de anticuerpos frente a las fibras musculares tipo 2M o biopsia muscular. La inmunosupresión, asociada con el uso prolongado de glucocorticoides y azatioprina, es uno de los factores que podría explicar la progresión de la infección y la aparición de este cuadro anómalo.

Si bien la ecografía es de gran utilidad para valorar las patologías orbitarias, en algunos pacientes es necesario el empleo de resonancia magnética (RM) o TC, ya que permiten una mejor visualización de las estructuras anatómicas involucradas en la formación de la sialodenitis cigomática, así como de las estructuras que lo rodean, como el nervio óptico y los músculos masticatorios y extraoculares.[ Dennis R. Use of magnetic resonance imaging for the investigation of orbital disease in small animals. J Small Anim Pract 2000; 41: 145-155. [PubMed] , Hoyt L, Greenberg M, MacPhail C, Eichelberger B, Marolf A, Kraft S: Imaging diagnosis- Magnetic Resonance Imaging of an organizing abscess secondary to a retrobulbar grass awn. Vet Radiol and Ultrasound 2009; 50: 646-648. [PubMed] ] A pesar de que dentro de estas dos técnicas de imagen, la RM es más específica para la evaluación de la enfermedad orbitaria, en nuestro caso hemos seleccionado el TC debido a la imposibilidad de disponer de RM.

Aunque la sialodenitis cigomática es una patología infrecuente en el perro, se debería incluir en el diagnóstico diferencial de pacientes con dolor o dificultad al abrir y cerrar la boca, ya que un mal manejo en el tratamiento de esta patología puede llevar a la aparición de complicaciones como la aparición de abscesos de gran extensión, como el descrito en este caso clínico.

 

Fuente de financiación: Este trabajo no se ha realizado con fondos comerciales, públicos o del sector privado.

Conflicto de intereses: Los autores declaran que no existe conflicto de intereses.

Bibliografía

  1. [1] Boland L, Gomes E, Payen G, Bouvy B, Poncet C: Zygomatic salivary gland diseases in the dog: three cases diagnosed by MRI. J Am Anim Hosp Assoc 2013; 49(5):333-7. [PubMed]
  2. [2] Cannon MS, Paglia D, Zwingenberger AL, et al.: Clinical and diagnostic imaging findings in dogs with zygomatic sialadenitis: 11 cases (1990-2009). J Am Vet Med Assoc 2011; 239 (9): 1211-1218. [PubMed]
  3. [3] Spangler WL, Culbertson MR: Salivary gland disease in dogs and cats: 245 cases (1985-1988). J Am Vet Med Assoc 1991; 198:465-469. [PubMed]
  4. [4] Ronald C Riis: Orbital inflammations and neoplasms. En Small Animal Ophtalmology secrets, Philadelphia, Hanley and Belfus, INC, 2002; 301-308.
  5. [5] Gelatt Kirk N: Canine Orbit: Diseases and Surgery. En Essentials of Veterinary Ophtalmology, Ames, Iowa, Wiley-Blackwell Publishing, 3rd edition, 2014; 147-163.
  6. [6] Mc.Gill S, Lester N, McLachland A, Mansielfd C: Concurrent sialocele and necrotizing sialadenitis in a dog. J Small Anim Pract 2009; 50: 151-156. [PubMed]
  7. [7] Spreull JSA, Head KW: Cervical salivary cysts in the dog. J Small Anim Pract 1967; 8: 17-35. [PubMed]
  8. [8] Seoane A, Antón J, Meilán I, Alonso V, Llano A: Sialocele de la glándula cigomática, secundario a neoplasia maligna indiferenciada en el maxilar, en un Akita Inu de 1 año de edad. Clin Vet Peq Anim 2013; 33: 247-251. [AVEPA]
  9. [9] Trumpatori BJ, Geissler K, Matthews KG: Parotid duct sialolithiasis in a dog. J Am Anim Hosp Assoc 2007; 43: 45-51. [PubMed]
  10. [10] Ryan T, Welsh E, McGorum I, Yool D: Sublingual salivary gland sialolithiasis in a dog. J Small Anim Pract 2008; 49: 254-256. [PubMed]
  11. [11] Pérez-Écija A, Estepa JC, Mendoza FJ: Granulomatous giant cell submandibular sialadenitis in a dog. Can Vet J 2012; 53: 1211-1213. [PubMed]
  12. [12] Bradley PJ: Microbiology and management of sialadenitis. Curr Infect Dis Rep 2002; 4: 217-224. [PubMed]
  13. [13] Rocco Babisack V, Kutz Arruda V, Lopes Silva MC, Gomes Lourenço ML, Sousa Rocha N, Vulcano LC, Mamprim MJ: Suppurative sialadenitis in mandibular gland of a dog-ultrasonographic aspect. Vet e Zootec 2013; 42-46. [Vet e Zootec]
  14. [14] Sozmen M, Brown PJ, Whitbread TJ: Idiopathic salivary gland enlargement (sialadenosis) in dogs: a microscopic study. J Small Anim Pract 2000; 41: 243-247. [PubMed]
  15. [15] Schroeder H, Berry WL: Salivary gland necrosis in dogs: a retrospective study of 19 cases. J Small Anim Pract 1998; 39: 121-125. [PubMed]
  16. [16] Simison, WG: Sialadenitis associated with periorbital disease in a dog. J Am Vet Med Assoc 1993; 202: 1983-1985. [PubMed]
  17. [17] Boroffka SAEB, Verbruggen A-N, Grinwis GCM, Voorhout G, Barthez PY: Assessment of ultrasonography and computed tomography for the evaluation of unilateral orbital disease in dogs. J Am Vet Med Assoc 2007; 230: 671-680. [PubMed]
  18. [18] Dennis R. Use of magnetic resonance imaging for the investigation of orbital disease in small animals. J Small Anim Pract 2000; 41: 145-155. [PubMed]
  19. [19] Hoyt L, Greenberg M, MacPhail C, Eichelberger B, Marolf A, Kraft S: Imaging diagnosis- Magnetic Resonance Imaging of an organizing abscess secondary to a retrobulbar grass awn. Vet Radiol and Ultrasound 2009; 50: 646-648. [PubMed]

Artículos recomendados

Estas recomendaciones se ofrecen de forma automática.

  • Aportación de la tomografía computarizada al estudio de la displasia de codo en el perro

    M. Novales-Durán, M. Tovar-Escriche, B. Blanco-Navas, et al.
    Clin Vet Peq Anim Vol. 41 - Nº 1 · MAR 2021 · Artículo original referido a múltiples casos clínicos
  • Claves para interpretar y comprender la tomografía computarizada del codo normal del perro

    M. Novales-Durán, R. Lucena-Solís, M. Tovar-Escriche, et al.
    Clin Vet Peq Anim Vol. 40 - Nº 3 · SEP 2020 · Artículo original referido a múltiples casos clínicos
  • Tumores cardiacos en el perro

    P. M. García-Ortells
    Clin Vet Peq Anim Vol. 39 - Nº 4 · DIC 2019 · Artículos de Revisión
  • Inicio
  • Introducción
  • Caso clínico
  • Discusión
  • Bibliografía
Artículo anterior Índice de la revista Artículo siguiente
ANUNCIO
Próximos cursos ATVs Elearning
Índice
Inicio Introducción Caso clínico Discusión Bibliografía
Yumove Distrivet
ANUNCIO

¿No eres socio de AVEPA y quieres recibir comunicación de las nuevas ediciones en tu correo?

Suscríbete

Suscríbete y te avisaremos cuando publiquemos un nuevo número

Suscribirme

Enlaces rápidos

  • Inicio
  • Último número
  • Archivo
  • Artículos

Información

  • Comité editorial
  • Política de cookies
  • Política de privacidad
  • Términos y condiciones

Contacto

  • info@imaginice.com
  • Envíanos tu artículo
© 2026 Ice Salud Vet SL. Todos los derechos reservados.

Usamos cookies para mejorar tu experiencia. Selecciona cuáles aceptas: