Logo AVEPA

Clínica Veterinaria de Pequeños Animales

Revista oficial de AVEPA

  • Inicio
  • Último número
  • Archivo
  • Artículos
  • Para autores
  • Contacto
Cursos Junio-Septiembre 2026
ANUNCIO

Clínica Veterinaria de Pequeños Animales

Revista oficial de AVEPA

  • Inicio
  • Último número
  • Archivo
  • Artículos
  • Para autores
  • Contacto
Curso Oftalmología 2026
ANUNCIO
Clin Vet Peq Anim Vol. 42 • Nº 1 • marzo 2022

A-FAST y T-FAST (Parte I) – Ecografía abdominal y torácica en urgencias

A-FAST & T-FAST (PART I) - Abdominal & Thoracic Focussed Assessment with Sonography for Trauma in Emergencies

Artículos de Revisión

A. García-Fernández

Servicio de Diagnóstico por Imagen. Hospital Clínico Veterinario UCH-CEU. c/ Santiago Ramón y Cajal s/n. 46115 Alfara del Patriarca (Valencia).

N. Aguilar-Gallego

Servicio de Diagnóstico por Imagen. Hospital Clínico Veterinario UCH-CEU. c/ Santiago Ramón y Cajal s/n. 46115 Alfara del Patriarca (Valencia).

Contacto: ana.g.fdez@hotmail.com
Palabras clave: ecografía, A-FAST, abdomen, líquido libre, urgencia.
Keywords: ultrasound, A-FAST, abdomen, free fluid, emergency.

Clin Vet Peq Anim 2022, 42 (1): 7-13

Descargar artículo

Resumen

La evaluación focalizada con ecografía o FAST (acrónimo del inglés: “Focussed Assessment with Sonography for Trauma”) ha llegado a ser la prueba de elección en la detección de líquido libre, tanto en medicina humana como en veterinaria, en los pacientes inestables para el manejo y diagnóstico de lesiones intraabdominales. Debe realizarse a la vez que se están llevando a cabo otras terapias de soporte y diagnóstico, tanto en el servicio de urgencias como en las unidades de cuidados intensivos (UCI). Dicha técnica consiste en la detección de líquido libre mediante cuatro vistas ecográficas en el abdomen (hepatodiafragmática, esplenorrenal, cistocólica y hepatorrenal). Para un procedimiento más exhaustivo, se debe registrar la presencia o ausencia de líquido, obteniéndose la puntuación de fluido abdominal o AFS (“Abdominal Fluid Score”), que puede tenerse como referencia a la hora de valorar posibles sangrados activos. Se debe tener en cuenta que valores de AFS de 1 o 2 pueden ser considerados normales en animales cachorros o adultos sanos.

Abstract

Focussed Assessment with Sonography for Trauma or FAST has become the gold standard test for the detection of free fluid, in both human and veterinary medicine, in unstable patients for the management and diagnosis of intra-abdominal injuries. It should be performed at the same time as other supportive and diagnostic therapies, both in the emergency department and in the intensive care units. This technique consists of the detection of free fluid using four ultrasound views in the abdomen (hepato-diaphragmatic, spleno-renal, cysto-colic and hepato-renal). For an exhaustive technique, the presence or absence of fluid must be recorded, obtaining the abdominal fluid score or AFS, which can be used as a reference when assessing possible active bleeding. It should be noted that AFS values of 1 or 2 may be considered normal in healthy puppies or adults.

AVEPA Elearning

La presencia de este logo en un artículo de la revista indica que se publicará un examen sobre el mismo en la plataforma AVEPA Elearning. Su resolución aporta 0,15 créditos dentro del sistema de acreditaciones de especialidades veterinarias de AVEPA.

Introducción

Desde los años 90, en medicina humana, la evaluación focalizada con ecografía para los traumatismos (“Focussed Assessment with Sonography for Trauma” o FAST) ha sido ampliamente estudiada y ha llegado a ser una de las pruebas diagnósticas de elección para la determinación de la presencia de líquido libre en diferentes espacios, sobre todo en pacientes inestables.[ Boysen SR, Lisciandro GR: The Use of ultrasound for dogs and cats in the emergency room. AFAST and TFAST. Vet Clin Small Anim 2013; 43: 773-797. [PubMed] , Lisciandro GR, Fosgate GT, Romero LA, Hauke SM, Bridgeman CH: The expected frequency and amount of free peritoneal fluid estimated using the abdominal FAST-applied abdominal fluid scores in healthy adult and juvenile dogs. J Vet Emerg Crit Care 2021; 31(1): 43-51. [PubMed] , Lisciandro GR, Lagutchik MS, Mann KA et al. Evaluation of an abdominal fluid scoring system determined using abdominal focused assessment with sonography for trauma in 101 dogs with motor vehicle trauma. J Vet Emerg Crit Care 2009; 19 (5): 426-437. [PubMed] , Lisciandro GR: The abdominal FAST (AFAST) exam. En Lisciandro GR (ed): Focused ultrasound techniques for the small animal practitioner, Oxford, Wiley Blackwell, 2014; 17-43. , Lisciandro GR: Abdominal and thoracic focused assessment with sonography for trauma, triage, and monitoring in small animals. J Vet Emerg Crit Care 2011; 21 (2): 104-122. [PubMed] , Walters AM, O´Brien MA, Selmic LE et al. Evaluation of the agreement between focused assessment with sonography for trauma (AFAST/TFAST) and computed tomography in dogs and cats with recent trauma. J Vet Emerg Crit Care 2018; 28(5): 429-435. [PubMed] ] Para poder diferenciar la FAST torácica de la abdominal, las dos han sido nombradas como T-FAST y A-FAST, respectivamente.[ref=1,4 ]

En veterinaria, los estudios muestran que mayoritariamente la técnica FAST se usa en el diagnóstico y manejo de lesiones intraabdominales, especialmente cuando se realiza de manera seriada y para cuantificar la cantidad de líquido libre presente.[ Boysen SR, Lisciandro GR: The Use of ultrasound for dogs and cats in the emergency room. AFAST and TFAST. Vet Clin Small Anim 2013; 43: 773-797. [PubMed] , Lisciandro GR: Abdominal and thoracic focused assessment with sonography for trauma, triage, and monitoring in small animals. J Vet Emerg Crit Care 2011; 21 (2): 104-122. [PubMed] ]

Este tipo de examen es un test diagnóstico inicial ideal, no solo porque ayuda a detectar de una manera temprana la presencia de líquido peritoneal, sino porque sobre todo es un método rápido, no invasivo y seguro que puede ser repetido si el estado del paciente cambia y, además, se realiza con un ecógrafo que puede ser portátil.[ Boysen SR, Lisciandro GR: The Use of ultrasound for dogs and cats in the emergency room. AFAST and TFAST. Vet Clin Small Anim 2013; 43: 773-797. [PubMed] , Lisciandro GR, Lagutchik MS, Mann KA et al. Evaluation of an abdominal fluid scoring system determined using abdominal focused assessment with sonography for trauma in 101 dogs with motor vehicle trauma. J Vet Emerg Crit Care 2009; 19 (5): 426-437. [PubMed] , Lisciandro GR: Abdominal and thoracic focused assessment with sonography for trauma, triage, and monitoring in small animals. J Vet Emerg Crit Care 2011; 21 (2): 104-122. [PubMed] , Kinns J: Abdomen. En Barr F, Gaschen L (ed): BSAVA Manual of canine and feline ultrasonography, Gloucester, BSAVA, 2011; 72-84. ] También se ha visto que la sensibilidad y la especificidad del examen FAST sigue siendo bastante alta aun siendo realizada por personal no especialista en diagnóstico por imagen.[ Lisciandro GR, Lagutchik MS, Mann KA et al. Evaluation of an abdominal fluid scoring system determined using abdominal focused assessment with sonography for trauma in 101 dogs with motor vehicle trauma. J Vet Emerg Crit Care 2009; 19 (5): 426-437. [PubMed] , Walters AM, O´Brien MA, Selmic LE et al. Evaluation of the agreement between focused assessment with sonography for trauma (AFAST/TFAST) and computed tomography in dogs and cats with recent trauma. J Vet Emerg Crit Care 2018; 28(5): 429-435. [PubMed] , Kinns J: Abdomen. En Barr F, Gaschen L (ed): BSAVA Manual of canine and feline ultrasonography, Gloucester, BSAVA, 2011; 72-84. ]

El objetivo de este artículo es describir cómo se realiza una A-FAST, sus diferentes usos y una serie de técnicas diagnósticas útiles empleadas en urgencias en pacientes inestables.

¿Cuándo se debe realizar un A-FAST?

La realización de un examen A-FAST debería ser lo antes posible, a continuación del examen de triaje después de que el paciente haya entrado en la unidad de cuidados intensivos, a la vez que se están realizando otras terapias de soporte y de diagnóstico.[ Boysen SR, Lisciandro GR: The Use of ultrasound for dogs and cats in the emergency room. AFAST and TFAST. Vet Clin Small Anim 2013; 43: 773-797. [PubMed] , Lisciandro GR, Lagutchik MS, Mann KA et al. Evaluation of an abdominal fluid scoring system determined using abdominal focused assessment with sonography for trauma in 101 dogs with motor vehicle trauma. J Vet Emerg Crit Care 2009; 19 (5): 426-437. [PubMed] ]

Cualquier caso sospechoso de haber recibido un traumatismo, pacientes colapsados (recuperados o no) con hipotensión, taquicardia y alteración del estado mental sin causa justificada, casos anémicos y que no responden a tratamiento, cualquier animal postquirúrgico con riesgo de sangrado o peritonitis, y animales con sospecha de esta última son casos en los que está indicado realizar un A-FAST.[ Lisciandro GR: The abdominal FAST (AFAST) exam. En Lisciandro GR (ed): Focused ultrasound techniques for the small animal practitioner, Oxford, Wiley Blackwell, 2014; 17-43. ] Aunque se debe tener en cuenta que un A-FAST nunca debe ser sustituto de una ecografía abdominal propiamente dicha en pacientes que lo necesiten.

Cuando se tienen pacientes críticos, se ha visto que exámenes seriados A-FAST permiten la detección de líquido abdominal que no ha sido identificado en el estudio inicial y, sobre todo, permiten la detección de cambios en la cantidad de líquido a medida que trascurre el tiempo.[ Boysen SR, Lisciandro GR: The Use of ultrasound for dogs and cats in the emergency room. AFAST and TFAST. Vet Clin Small Anim 2013; 43: 773-797. [PubMed] , Lisciandro GR, Lagutchik MS, Mann KA et al. Evaluation of an abdominal fluid scoring system determined using abdominal focused assessment with sonography for trauma in 101 dogs with motor vehicle trauma. J Vet Emerg Crit Care 2009; 19 (5): 426-437. [PubMed] , Lisciandro GR: The abdominal FAST (AFAST) exam. En Lisciandro GR (ed): Focused ultrasound techniques for the small animal practitioner, Oxford, Wiley Blackwell, 2014; 17-43. ]

En el caso de un traumatismo penetrante, en medicina humana se ha visto que la técnica de A-FAST es menos sensible a la hora de detectar lesiones intraabdominales, ya que la técnica omite gran parte del abdomen y puede no detectarse una lesión muy localizada.[ Boysen SR, Lisciandro GR: The Use of ultrasound for dogs and cats in the emergency room. AFAST and TFAST. Vet Clin Small Anim 2013; 43: 773-797. [PubMed] , Lisciandro GR: The abdominal FAST (AFAST) exam. En Lisciandro GR (ed): Focused ultrasound techniques for the small animal practitioner, Oxford, Wiley Blackwell, 2014; 17-43. , Lisciandro GR: Abdominal and thoracic focused assessment with sonography for trauma, triage, and monitoring in small animals. J Vet Emerg Crit Care 2011; 21 (2): 104-122. [PubMed] ]

Técnica de A-FAST y AFS

La técnica de A-FAST consiste en la visualización del diafragma, el hígado con la vesícula biliar, el bazo, los riñones, el intestino y la vejiga para la detección de líquido libre, el cual en ecografía se observa anecoico y tiende a localizarse en las zonas más dependientes, como áreas triangulares rodeadas de órganos.[ref=1,2,4,7 ]

Este examen se basa en un protocolo de cuatro vistas evaluadas en el sentido horario, cuya realización ha sido validada tanto en decúbito lateral derecho como izquierdo y que no tarda en completarse más de unos 3-6 minutos de media.[ Boysen SR, Lisciandro GR: The Use of ultrasound for dogs and cats in the emergency room. AFAST and TFAST. Vet Clin Small Anim 2013; 43: 773-797. [PubMed] , Lisciandro GR: The abdominal FAST (AFAST) exam. En Lisciandro GR (ed): Focused ultrasound techniques for the small animal practitioner, Oxford, Wiley Blackwell, 2014; 17-43. , Lisciandro GR: Abdominal and thoracic focused assessment with sonography for trauma, triage, and monitoring in small animals. J Vet Emerg Crit Care 2011; 21 (2): 104-122. [PubMed] ]

Las vistas estándar son las siguientes:

- Vista subxifoidea (Fig. 1A): Permite una evaluación de la zona hepatodiafragmática (HD) y de la vesícula biliar (Fig. 1B).[ Boysen SR, Lisciandro GR: The Use of ultrasound for dogs and cats in the emergency room. AFAST and TFAST. Vet Clin Small Anim 2013; 43: 773-797. [PubMed] , Lisciandro GR: The abdominal FAST (AFAST) exam. En Lisciandro GR (ed): Focused ultrasound techniques for the small animal practitioner, Oxford, Wiley Blackwell, 2014; 17-43. , Kinns J: Abdomen. En Barr F, Gaschen L (ed): BSAVA Manual of canine and feline ultrasonography, Gloucester, BSAVA, 2011; 72-84. ] Aunque no está incluido en el A-FAST, si en esta vista se sitúa la sonda ecográfica en la zona del xifoides y se cambia la profundidad, se puede evaluar la zona distal del diafragma y parte del corazón (Fig. 1C). Esta maniobra permitirá, aparte de la detección de líquido libre en la zona HD, su posible visualización en el espacio pleural y pericárdico (Fig. 1D).[ Boysen SR, Lisciandro GR: The Use of ultrasound for dogs and cats in the emergency room. AFAST and TFAST. Vet Clin Small Anim 2013; 43: 773-797. [PubMed] , Lisciandro GR: The abdominal FAST (AFAST) exam. En Lisciandro GR (ed): Focused ultrasound techniques for the small animal practitioner, Oxford, Wiley Blackwell, 2014; 17-43. ]

<p>(<strong>A</strong>) Posicionamiento de la sonda de ecografía para obtener la vista subxifoidea. (<strong>B</strong>) Imagen ecográfica del área hepatodiafragmática (HD) de un perro sano en la que se observa el hígado (H) y la vesícula biliar (VB) en corte longitudinal y el diafragma (D). Cr: craneal; Cd: caudal. (<strong>C</strong>) Imagen ecográfica del área hepatodiafragmática (HD) de un perro sano a mayor profundidad, en la que se observa el corazón y la zona distal del diafragma (D), además del hígado (H) y de la vesícula biliar (VB) en corte longitudinal. Cr: craneal; Cd: caudal. (<strong>D</strong>) Imagen ecográfica del área hepatodiafragmática de un gato con linfoma multicéntrico, en la que se observa la presencia de líquido libre anecogénico (LL) entre el diafragma (D) y el hígado (H), además de en el espacio pleural (asterisco). Cr: craneal; Cd: caudal.</p>
Figura 1

(A) Posicionamiento de la sonda de ecografía para obtener la vista subxifoidea. (B) Imagen ecográfica del área hepatodiafragmática (HD) de un perro sano en la que se observa el hígado (H) y la vesícula biliar (VB) en corte longitudinal y el diafragma (D). Cr: craneal; Cd: caudal. (C) Imagen ecográfica del área hepatodiafragmática (HD) de un perro sano a mayor profundidad, en la que se observa el corazón y la zona distal del diafragma (D), además del hígado (H) y de la vesícula biliar (VB) en corte longitudinal. Cr: craneal; Cd: caudal. (D) Imagen ecográfica del área hepatodiafragmática de un gato con linfoma multicéntrico, en la que se observa la presencia de líquido libre anecogénico (LL) entre el diafragma (D) y el hígado (H), además de en el espacio pleural (asterisco). Cr: craneal; Cd: caudal.

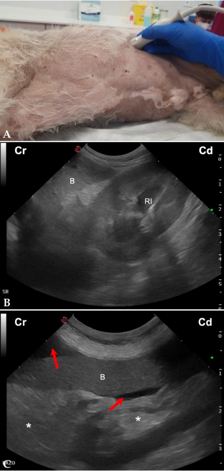
- Vista del flanco izquierdo (Fig. 2A): Permite una evaluación del área esplenorrenal (SR) y de la zona entre la pared abdominal y el bazo (Figs. 2B y 2C).[ Boysen SR, Lisciandro GR: The Use of ultrasound for dogs and cats in the emergency room. AFAST and TFAST. Vet Clin Small Anim 2013; 43: 773-797. [PubMed] , Lisciandro GR: The abdominal FAST (AFAST) exam. En Lisciandro GR (ed): Focused ultrasound techniques for the small animal practitioner, Oxford, Wiley Blackwell, 2014; 17-43. , Kinns J: Abdomen. En Barr F, Gaschen L (ed): BSAVA Manual of canine and feline ultrasonography, Gloucester, BSAVA, 2011; 72-84. ]

<p>(<strong>A</strong>) Posicionamiento de la sonda de ecografía para obtener la vista del flanco izquierdo. (<strong>B</strong>) Imagen ecográfica del área esplenorrenal (SR) de un perro sano, en la que se observa el bazo (B) y el riñón izquierdo (RI) en corte longitudinal. Cr: craneal; Cd: caudal. (<strong>C</strong>) Imagen ecográfica del área esplenorrenal (SR) de un perro con hemoabdomen, en la que se observa líquido libre anecogénico (flechas rojas) alrededor del bazo (B) y la grasa peritoneal ligeramente hiperecogénica (asteriscos). Cr: craneal; Cd: caudal.</p>
Figura 2

(A) Posicionamiento de la sonda de ecografía para obtener la vista del flanco izquierdo. (B) Imagen ecográfica del área esplenorrenal (SR) de un perro sano, en la que se observa el bazo (B) y el riñón izquierdo (RI) en corte longitudinal. Cr: craneal; Cd: caudal. (C) Imagen ecográfica del área esplenorrenal (SR) de un perro con hemoabdomen, en la que se observa líquido libre anecogénico (flechas rojas) alrededor del bazo (B) y la grasa peritoneal ligeramente hiperecogénica (asteriscos). Cr: craneal; Cd: caudal.

- Vista caudal (Fig. 3A): Permite un chequeo del área cistocólica (CC), evaluando el aspecto más craneal de la vejiga en una vista longitudinal de la misma (Figs. 3B y 3C).[ Boysen SR, Lisciandro GR: The Use of ultrasound for dogs and cats in the emergency room. AFAST and TFAST. Vet Clin Small Anim 2013; 43: 773-797. [PubMed] , Lisciandro GR: The abdominal FAST (AFAST) exam. En Lisciandro GR (ed): Focused ultrasound techniques for the small animal practitioner, Oxford, Wiley Blackwell, 2014; 17-43. , Kinns J: Abdomen. En Barr F, Gaschen L (ed): BSAVA Manual of canine and feline ultrasonography, Gloucester, BSAVA, 2011; 72-84. ]

<p>(<strong>A</strong>) Posicionamiento de la sonda de ecografía para obtener la vista caudal. (<strong>B</strong>) Imagen ecográfica del área cistocólica (CC) de un perro sano, en la que se observa la vejiga (V) y el colon en corte longitudinal. Cr: craneal; Cd: caudal. (<strong>C</strong>) Imagen ecográfica del área cistocólica (CC) de un perro con hemoabdomen, en la que se observa la presencia de líquido libre anecogénico (LL) cranealmente a la vejiga (V). Cr: craneal; Cd: caudal.</p>
Figura 3

(A) Posicionamiento de la sonda de ecografía para obtener la vista caudal. (B) Imagen ecográfica del área cistocólica (CC) de un perro sano, en la que se observa la vejiga (V) y el colon en corte longitudinal. Cr: craneal; Cd: caudal. (C) Imagen ecográfica del área cistocólica (CC) de un perro con hemoabdomen, en la que se observa la presencia de líquido libre anecogénico (LL) cranealmente a la vejiga (V). Cr: craneal; Cd: caudal.

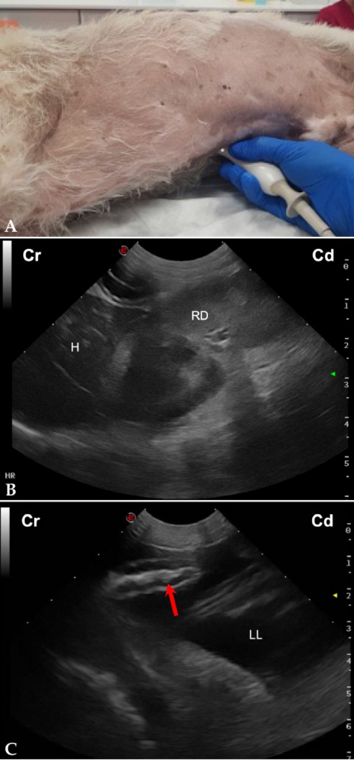
- Vista del flanco derecho (Fig. 4A): Permite la evaluación del área hepatorrenal (HR) y de la zona entre las asas intestinales, riñón derecho y pared abdominal (Figs. 4B y 4C).[ Boysen SR, Lisciandro GR: The Use of ultrasound for dogs and cats in the emergency room. AFAST and TFAST. Vet Clin Small Anim 2013; 43: 773-797. [PubMed] , Lisciandro GR: The abdominal FAST (AFAST) exam. En Lisciandro GR (ed): Focused ultrasound techniques for the small animal practitioner, Oxford, Wiley Blackwell, 2014; 17-43. , Kinns J: Abdomen. En Barr F, Gaschen L (ed): BSAVA Manual of canine and feline ultrasonography, Gloucester, BSAVA, 2011; 72-84. ]

<div>
<div class=\"Basic-Text-Frame\">
<p>(<strong>A</strong>) Posicionamiento de la sonda de ecografía para obtener la vista del flanco derecho. (<strong>B</strong>) Imagen ecográfica del área hepatorrenal (HR) de un perro sano, en la que se observa el hígado (H) y el riñón derecho (RD) en corte longitudinal. Cr: craneal; Cd: caudal. (<strong>C</strong>) Imagen ecográfica de asas de intestino delgado obtenida de un perro con hemoabdomen durante la realización de la vista hepatorrenal, en la que se observa la presencia de moderada cantidad de líquido libre anecogénico (LL) entre las mismas, además de su corrugación (flecha roja). Cr: craneal; Cd: caudal.</p>
</div>
</div>

<div>
<div class=\"frame-2\"> </div>
</div>
Figura 4

(A) Posicionamiento de la sonda de ecografía para obtener la vista del flanco derecho. (B) Imagen ecográfica del área hepatorrenal (HR) de un perro sano, en la que se observa el hígado (H) y el riñón derecho (RD) en corte longitudinal. Cr: craneal; Cd: caudal. (C) Imagen ecográfica de asas de intestino delgado obtenida de un perro con hemoabdomen durante la realización de la vista hepatorrenal, en la que se observa la presencia de moderada cantidad de líquido libre anecogénico (LL) entre las mismas, además de su corrugación (flecha roja). Cr: craneal; Cd: caudal.

 

Aunque se ha demostrado que la revisión de los órganos en cualquiera de estas vistas en un solo plano (longitudinal, normalmente) tiene un fuerte acuerdo en comparación con las dos vistas (tanto sagital como transversal), se recomienda realizarla en los dos planos, girando la sonda 90º para pasar de una a otra.[ Boysen SR, Lisciandro GR: The Use of ultrasound for dogs and cats in the emergency room. AFAST and TFAST. Vet Clin Small Anim 2013; 43: 773-797. [PubMed] , Lisciandro GR: The abdominal FAST (AFAST) exam. En Lisciandro GR (ed): Focused ultrasound techniques for the small animal practitioner, Oxford, Wiley Blackwell, 2014; 17-43. ]

A la hora de contabilizar la presencia de fluido abdominal, en medicina humana se utiliza un sistema semicuantitativo usando la A-FAST para conocer el grado de hemorragia intraabdominal, que a su vez fue desarrollado en un estudio realizado en 2009 por Lisciandro et al. en medicina veterinaria.[ Lisciandro GR, Lagutchik MS, Mann KA et al. Evaluation of an abdominal fluid scoring system determined using abdominal focused assessment with sonography for trauma in 101 dogs with motor vehicle trauma. J Vet Emerg Crit Care 2009; 19 (5): 426-437. [PubMed] ]

El sistema veterinario de puntuación de fluido abdominal (“Abdominal Fluid Score” o AFS) consiste en asignar una puntuación en función de si existe o no la presencia de líquido libre en cualquiera de las vistas realizadas durante el examen A-FAST, y de ir reevaluando de manera seriada cada 4 horas o de forma más frecuente si existe un deterioro hemodinámico del paciente, para monitorizar su posible evolución (Fig. 5).[ Boysen SR, Lisciandro GR: The Use of ultrasound for dogs and cats in the emergency room. AFAST and TFAST. Vet Clin Small Anim 2013; 43: 773-797. [PubMed] , Lisciandro GR, Lagutchik MS, Mann KA et al. Evaluation of an abdominal fluid scoring system determined using abdominal focused assessment with sonography for trauma in 101 dogs with motor vehicle trauma. J Vet Emerg Crit Care 2009; 19 (5): 426-437. [PubMed] , Lisciandro GR: The abdominal FAST (AFAST) exam. En Lisciandro GR (ed): Focused ultrasound techniques for the small animal practitioner, Oxford, Wiley Blackwell, 2014; 17-43. ]

<p>Imagen extraída del artículo “Evaluation of an abdominal fluid scoring system determined using abdominal focused assessment with sonography for trauma in 101 dogs with motor vehicle trauma” publicado por Lisciandro <em>et al</em>. en la que se muestra el diagrama del sistema de puntuación mediante el AFS.</p>
Figura 5

Imagen extraída del artículo “Evaluation of an abdominal fluid scoring system determined using abdominal focused assessment with sonography for trauma in 101 dogs with motor vehicle trauma” publicado por Lisciandro et al. en la que se muestra el diagrama del sistema de puntuación mediante el AFS.

De esta forma se obtendrían las siguientes puntuaciones:

- AFS 0: Si no existe presencia de líquido libre en ninguno de los 4 cuadrantes.

- AFS 1: Si hay evidencia de fluido en 1 de los 4 cuadrantes.

- AFS 2: Si se observa efusión peritoneal en 2 de los 4 cuadrantes.

- AFS 3: Si existe líquido libre en 3 de los 4 cuadrantes.

- AFS 4: Si hay fluido intraabdominal en los 4 cuadrantes.

Además, este sistema de puntuación también sirve como marcador para conocer el grado de daño intraabdominal si existen valores elevados de AFS, y se puede asociar con posibles disminuciones del hematocrito, la necesidad de transfusiones sanguíneas y elevaciones de ALT y lactato, lo que lleva a una mayor probabilidad de que sean pacientes que hayan recibido un traumatismo más severo.[ Boysen SR, Lisciandro GR: The Use of ultrasound for dogs and cats in the emergency room. AFAST and TFAST. Vet Clin Small Anim 2013; 43: 773-797. [PubMed] , Lisciandro GR, Lagutchik MS, Mann KA et al. Evaluation of an abdominal fluid scoring system determined using abdominal focused assessment with sonography for trauma in 101 dogs with motor vehicle trauma. J Vet Emerg Crit Care 2009; 19 (5): 426-437. [PubMed] , Lisciandro GR: The abdominal FAST (AFAST) exam. En Lisciandro GR (ed): Focused ultrasound techniques for the small animal practitioner, Oxford, Wiley Blackwell, 2014; 17-43. , Kinns J: Abdomen. En Barr F, Gaschen L (ed): BSAVA Manual of canine and feline ultrasonography, Gloucester, BSAVA, 2011; 72-84. ]

También se ha observado que valores de AFS que aumentan progresivamente en las A-FAST seriadas se corresponden con sangrados activos, por lo que a la hora de usar dosis de fluidoterapia para resucitación hemodinámica, esta puntuación también puede ayudar a tomar decisiones.[ Lisciandro GR, Lagutchik MS, Mann KA et al. Evaluation of an abdominal fluid scoring system determined using abdominal focused assessment with sonography for trauma in 101 dogs with motor vehicle trauma. J Vet Emerg Crit Care 2009; 19 (5): 426-437. [PubMed] , Lisciandro GR: The abdominal FAST (AFAST) exam. En Lisciandro GR (ed): Focused ultrasound techniques for the small animal practitioner, Oxford, Wiley Blackwell, 2014; 17-43. , Lisciandro GR: Abdominal and thoracic focused assessment with sonography for trauma, triage, and monitoring in small animals. J Vet Emerg Crit Care 2011; 21 (2): 104-122. [PubMed] ]

Por último, se debe tener en cuenta que pequeñas cantidades de líquido libre abdominal (AFS 1 o 2) en perros sanos o cachorros es normal, cuando presentan zonas con unas dimensiones máximas de 3 mm x 3 mm, y cuando son bandas a lo largo del diafragma de 3 mm de ancho; por lo que no se deben confundir con posibles efusiones peritoneales patológicas.[ Lisciandro GR, Fosgate GT, Romero LA, Hauke SM, Bridgeman CH: The expected frequency and amount of free peritoneal fluid estimated using the abdominal FAST-applied abdominal fluid scores in healthy adult and juvenile dogs. J Vet Emerg Crit Care 2021; 31(1): 43-51. [PubMed] ]

Determinar la causa de la lesión

El hemoabdomen y uroabdomen son dos de las alteraciones más frecuentes en perros tras un traumatismo abdominal. Ambos son fáciles de detectar en un A-FAST, pero para confirmarlos es necesario realizar una abdominocentesis y el análisis del líquido extraído si esta prueba resulta positiva, ya que no es posible diferenciar, mediante ecografía, la sangre de la orina u otros tipos de fluidos, como la bilis o contenido digestivo tras una rotura intestinal.[ Boysen SR, Lisciandro GR: The Use of ultrasound for dogs and cats in the emergency room. AFAST and TFAST. Vet Clin Small Anim 2013; 43: 773-797. [PubMed] , Lisciandro GR: The abdominal FAST (AFAST) exam. En Lisciandro GR (ed): Focused ultrasound techniques for the small animal practitioner, Oxford, Wiley Blackwell, 2014; 17-43. ]

En pequeños animales, los traumatismos hepáticos y esplénicos son las causas más comunes de hemorragias abdominales, y la sensibilidad para detectarlas ecográficamente varía mucho, desde un 41 % hasta un 80 %.[ Boysen SR, Lisciandro GR: The Use of ultrasound for dogs and cats in the emergency room. AFAST and TFAST. Vet Clin Small Anim 2013; 43: 773-797. [PubMed] ] En medicina humana se ha descrito que la administración de contraste ecográfico aumenta la habilidad de detectar lesiones en órganos sólidos, con una sensibilidad y especificidad de 96,4 % y 98 %, respectivamente. Sin embargo, en medicina veterinaria este método no ha sido estudiado, por lo que no se conocen los resultados.[ Boysen SR, Lisciandro GR: The Use of ultrasound for dogs and cats in the emergency room. AFAST and TFAST. Vet Clin Small Anim 2013; 43: 773-797. [PubMed] ]

La detección mediante ecografía de lesiones en órganos sólidos necesita de un personal con mayor experiencia y añade más tiempo a la evaluación detallada de los órganos.[ Boysen SR, Lisciandro GR: The Use of ultrasound for dogs and cats in the emergency room. AFAST and TFAST. Vet Clin Small Anim 2013; 43: 773-797. [PubMed] ]

Técnica de abdominocentesis

La ecografía se considera la modalidad de elección en imagen para guiar muchos procedimientos percutáneos, y está considerada como un método seguro y efectivo.[ Nicolaou S, Talsky A, Khashoggi K, Venu V: Ultrasound-guided interventional radiology in critical care. Crit Care Med 2007; 35: S186-S197. [PubMed] ] En el caso de pacientes con presencia de líquido libre, el éxito de realizar una abdominocentesis aumenta cuando se hace de manera ecoguiada, frente a la técnica “a ciegas”.[ Boysen SR, Lisciandro GR: The Use of ultrasound for dogs and cats in the emergency room. AFAST and TFAST. Vet Clin Small Anim 2013; 43: 773-797. [PubMed] ] Además, es un procedimiento sencillo y barato, que solo requiere de preparación aséptica de la zona, una aguja hipodérmica (20-22 G, normalmente) y una jeringa (3-5 ml).

Lo primero que se debe hacer antes de realizar la abdominocentesis es localizar la zona donde se colecciona el líquido libre y seleccionar la vía de entrada más segura, evitando atravesar órganos vitales o vasos sanguíneos.[ Nicolaou S, Talsky A, Khashoggi K, Venu V: Ultrasound-guided interventional radiology in critical care. Crit Care Med 2007; 35: S186-S197. [PubMed] ] Para la identificación de estos últimos, se puede hacer uso del Doppler.[ Nicolaou S, Talsky A, Khashoggi K, Venu V: Ultrasound-guided interventional radiology in critical care. Crit Care Med 2007; 35: S186-S197. [PubMed] ]

Una vez la zona de entrada ha sido seleccionada, se procede a limpiar la zona con alcohol.[ Nicolaou S, Talsky A, Khashoggi K, Venu V: Ultrasound-guided interventional radiology in critical care. Crit Care Med 2007; 35: S186-S197. [PubMed] ] Posteriormente, se posicionará la sonda ecográfica (normalmente una sonda microconvexa) lo más perpendicular posible a la piel, y con el bisel de la aguja hacia arriba, se introducirá con una angulación de unos 45º y a unos 0,5-1 cm de la sonda, por el borde que presenta el marcador (Fig. 6A) o por el lado opuesto, cuando realizamos un abordaje en plano longitudinal. Una vez la aguja esté parcialmente introducida, se debe visualizar en la pantalla sin seguir avanzando; para ello, en ocasiones habrá que mover la sonda ecográfica ligeramente y, cuando se haya identificado, se podrá proceder al avance de la misma y a la toma de la muestra mediante aspiración del líquido libre abdominal (Fig. 6B).

<p>(<strong>A</strong>) Imagen de acceso para toma de muestras por la parte craneal de la sonda ecográfica. (<strong>B</strong>) Imagen ecográfica de toma de muestra, donde se aprecia el trayecto de inserción de la aguja (flechas) y el extremo de la misma (círculo). Cr: craneal; Cd: caudal.</p>
Figura 6

(A) Imagen de acceso para toma de muestras por la parte craneal de la sonda ecográfica. (B) Imagen ecográfica de toma de muestra, donde se aprecia el trayecto de inserción de la aguja (flechas) y el extremo de la misma (círculo). Cr: craneal; Cd: caudal.

¿Cómo valorar el volumen de la vejiga en pacientes críticos?

El output de orina puede dar una información importante en los animales hospitalizados, ya que guiará la modificación del protocolo de fluidoterapia y aportará información sobre la función renal.[ Nicolaou S, Talsky A, Khashoggi K, Venu V: Ultrasound-guided interventional radiology in critical care. Crit Care Med 2007; 35: S186-S197. [PubMed] ] Dicha medición puede determinar si el paciente está produciendo volúmenes aceptables de orina o no.[ Lisciandro GR, Fosgate GT: Use of urinary bladder measurements from a point-of-care cysto-colic ultrasonographic view to estimate urinary bladder volume in dogs and cats. J Vet Emerg Crit Care 2017; 27(6): 713-717. [PubMed] ] En el estudio realizado en 2017 por Lisciandro et al. se desarrolló una fórmula para estimar el volumen de la vejiga urinaria basada en medidas que se adquirían durante la A-FAST en la unión cistocólica en perros y gatos machos.[ Lisciandro GR, Fosgate GT: Use of urinary bladder measurements from a point-of-care cysto-colic ultrasonographic view to estimate urinary bladder volume in dogs and cats. J Vet Emerg Crit Care 2017; 27(6): 713-717. [PubMed] ] Dicha fórmula consistía en obtener la longitud máxima y la altura de la vejiga urinaria, usando la orientación sagital de la sonda (corte sagital de la vejiga; Fig. 7A) y el ancho máximo rotando la sonda 90º (corte transversal; Fig. 7B):

Longitud (cm) x Ancho (cm) x Altura (cm) x 0,2 π9

<p>(<strong>A</strong>) Imagen longitudinal de la vejiga. La distancia entre los calipers marcados con un 1 mide la longitud de la vejiga (V), mientras que los marcados con un 2 muestran la altura de la misma. Cr: craneal; Cd: caudal. (<strong>B</strong>) Imagen transversal de la vejiga. La distancia entre ambos calipers mide el ancho de la vejiga (V). V: ventral; D: dorsal.</p>
Figura 7

(A) Imagen longitudinal de la vejiga. La distancia entre los calipers marcados con un 1 mide la longitud de la vejiga (V), mientras que los marcados con un 2 muestran la altura de la misma. Cr: craneal; Cd: caudal. (B) Imagen transversal de la vejiga. La distancia entre ambos calipers mide el ancho de la vejiga (V). V: ventral; D: dorsal.

Es importante tener en cuenta que esta fórmula tiende a subestimar los volúmenes de orina en vejigas con menos de un 10 % de llenado vesical. También presenta algunas limitaciones como, por ejemplo, su uso en vejigas con presencia de masas u otros procesos que alteren la forma de la misma, por lo que la estimación del volumen será menos preciso.[ Lisciandro GR, Fosgate GT: Use of urinary bladder measurements from a point-of-care cysto-colic ultrasonographic view to estimate urinary bladder volume in dogs and cats. J Vet Emerg Crit Care 2017; 27(6): 713-717. [PubMed] ] Esta fórmula es más exacta cuando se usa con tamaños normales de vejigas, pudiendo no ser muy precisa con vejigas pequeñas o muy distendidas.[ Lisciandro GR, Fosgate GT: Use of urinary bladder measurements from a point-of-care cysto-colic ultrasonographic view to estimate urinary bladder volume in dogs and cats. J Vet Emerg Crit Care 2017; 27(6): 713-717. [PubMed] ]

Conclusión

En conclusión, la técnica de A-FAST es el método de elección en los servicios de urgencias y en las UCI a la hora de detectar la presencia de líquido libre abdominal en pacientes traumatizados o inestables. Es un método rápido, no invasivo y seguro que puede ser repetido de manera seriada. Además, presenta también una alta sensibilidad y especificidad aun siendo realizada por personal no experto.

 

Fuente de financiación: este trabajo no se realizó con fondos comerciales, públicos o del sector privado.

Conflicto de intereses: los autores declaran la inexistencia de conflicto de intereses.

Bibliografía

  1. [1] Boysen SR, Lisciandro GR: The Use of ultrasound for dogs and cats in the emergency room. AFAST and TFAST. Vet Clin Small Anim 2013; 43: 773-797. [PubMed]
  2. [2] Lisciandro GR, Fosgate GT, Romero LA, Hauke SM, Bridgeman CH: The expected frequency and amount of free peritoneal fluid estimated using the abdominal FAST-applied abdominal fluid scores in healthy adult and juvenile dogs. J Vet Emerg Crit Care 2021; 31(1): 43-51. [PubMed]
  3. [3] Lisciandro GR, Lagutchik MS, Mann KA et al. Evaluation of an abdominal fluid scoring system determined using abdominal focused assessment with sonography for trauma in 101 dogs with motor vehicle trauma. J Vet Emerg Crit Care 2009; 19 (5): 426-437. [PubMed]
  4. [4] Lisciandro GR: The abdominal FAST (AFAST) exam. En Lisciandro GR (ed): Focused ultrasound techniques for the small animal practitioner, Oxford, Wiley Blackwell, 2014; 17-43.
  5. [5] Lisciandro GR: Abdominal and thoracic focused assessment with sonography for trauma, triage, and monitoring in small animals. J Vet Emerg Crit Care 2011; 21 (2): 104-122. [PubMed]
  6. [6] Walters AM, O´Brien MA, Selmic LE et al. Evaluation of the agreement between focused assessment with sonography for trauma (AFAST/TFAST) and computed tomography in dogs and cats with recent trauma. J Vet Emerg Crit Care 2018; 28(5): 429-435. [PubMed]
  7. [7] Kinns J: Abdomen. En Barr F, Gaschen L (ed): BSAVA Manual of canine and feline ultrasonography, Gloucester, BSAVA, 2011; 72-84.
  8. [8] Nicolaou S, Talsky A, Khashoggi K, Venu V: Ultrasound-guided interventional radiology in critical care. Crit Care Med 2007; 35: S186-S197. [PubMed]
  9. [9] Lisciandro GR, Fosgate GT: Use of urinary bladder measurements from a point-of-care cysto-colic ultrasonographic view to estimate urinary bladder volume in dogs and cats. J Vet Emerg Crit Care 2017; 27(6): 713-717. [PubMed]

Artículos recomendados

Estas recomendaciones se ofrecen de forma automática.

  • Evaluación de la ratio volumen atrio izquierdo/peso mediante el método sumatorio de discos en el corte paraesternal derecho 4 cámaras, en 205 pacientes

    Ó. Monge-Utrilla
    Clin Vet Peq Anim Vol. 44 - Nº 3 · SEP 2024 · Artículo original referido a múltiples casos clínicos
  • Pérdida de consciencia en consulta de un paciente canino secundaria a rotura del atrio izquierdo

    O. Monge-Utrilla, N. de Andrés-Fernández
    Clin Vet Peq Anim Vol. 44 - Nº 1 · MAR 2024 · Artículo original referido a un solo caso clínico
  • A-FAST y T-FAST (Parte II) – Ecografía abdominal y torácica en urgencias

    N. Aguilar-Gallego, A. García-Fernández
    Clin Vet Peq Anim Vol. 42 - Nº 2 · JUN 2022 · Artículos de Revisión
  • Inicio
  • Introducción
  • ¿Cuándo se debe realizar un A-FAST?
  • Técnica de A-FAST y AFS
  • Determinar la causa de la lesión
  • Técnica de abdominocentesis
  • ¿Cómo valorar el volumen de la vejiga en pacientes críticos?
  • Conclusión
  • Bibliografía
Artículo anterior Índice de la revista Artículo siguiente
ANUNCIO
Próximos cursos ATVs Elearning
Índice
Inicio Introducción ¿Cuándo se debe realizar un A-FAST? Técnica de A-FAST y AFS Determinar la causa de la lesión Técnica de abdominocentesis ¿Cómo valorar el volumen de la vejiga en pacientes críticos? Conclusión Bibliografía
Purina Calming Care
ANUNCIO

¿No eres socio de AVEPA y quieres recibir comunicación de las nuevas ediciones en tu correo?

Suscríbete

Suscríbete y te avisaremos cuando publiquemos un nuevo número

Suscribirme

Enlaces rápidos

  • Inicio
  • Último número
  • Archivo
  • Artículos

Información

  • Comité editorial
  • Política de cookies
  • Política de privacidad
  • Términos y condiciones

Contacto

  • info@imaginice.com
  • Envíanos tu artículo
© 2026 Ice Salud Vet SL. Todos los derechos reservados.

Usamos cookies para mejorar tu experiencia. Selecciona cuáles aceptas: