Logo AVEPA

Clínica Veterinaria de Pequeños Animales

Revista oficial de AVEPA

  • Inicio
  • Último número
  • Archivo
  • Artículos
  • Para autores
  • Contacto
Cursos Junio-Septiembre 2026
ANUNCIO

Clínica Veterinaria de Pequeños Animales

Revista oficial de AVEPA

  • Inicio
  • Último número
  • Archivo
  • Artículos
  • Para autores
  • Contacto
Curso Oftalmología 2026
ANUNCIO
Clin Vet Peq Anim Vol. 35 • Nº 4 • diciembre 2015

¿Cuál es tu diagnóstico?

¿Cuál es tu diagnóstico?

M. Soler

Hospital Clínico Veterinario. Departamento de Medicina y Cirugía Animal. Universidad de Murcia

Otros artículos de M. Soler:
  • ¿Cuál es tu diagnóstico?
    Clin Vet Peq Anim Vol. 35 • Nº 3 • septiembre 2015
  • Hallazgos ecográficos, clínicos y laboratoriales del mucocele biliar en el perro: 37 casos
    Clin Vet Peq Anim Vol. 36 • Nº 4 • diciembre 2016

A. Agut

Hospital Clínico Veterinario. Departamento de Medicina y Cirugía Animal. Universidad de Murcia

Otros artículos de A. Agut:
  • ¿Cuál es tu diagnóstico?
    Clin Vet Peq Anim Vol. 35 • Nº 3 • septiembre 2015
  • Hallazgos ecográficos, clínicos y laboratoriales del mucocele biliar en el perro: 37 casos
    Clin Vet Peq Anim Vol. 36 • Nº 4 • diciembre 2016
  • Caso clínico de Cirugía

    Clin Vet Peq Anim Vol. 37 • Nº 1 • marzo 2017
  • ¿Cuál es tu diagnóstico?

    Clin Vet Peq Anim Vol. 40 • Nº 3 • septiembre 2020

A. Reyes

Hospital Clínico Veterinario. Departamento de Medicina y Cirugía Animal. Universidad de Murcia

Otros artículos de A. Reyes:
  • Hallazgos ecográficos, clínicos y laboratoriales del mucocele biliar en el perro: 37 casos
    Clin Vet Peq Anim Vol. 36 • Nº 4 • diciembre 2016

A. García-Fernández

Hospital Clínico Veterinario. Departamento de Medicina y Cirugía Animal. Universidad de Murcia

M. Martínez

Hospital Clínico Veterinario. Departamento de Medicina y Cirugía Animal. Universidad de Murcia

Otros artículos de M. Martínez:
  • Hallazgos ecográficos, clínicos y laboratoriales del mucocele biliar en el perro: 37 casos
    Clin Vet Peq Anim Vol. 36 • Nº 4 • diciembre 2016
  • Caso clínico de Anestesia

    Clin Vet Peq Anim Vol. 37 • Nº 2 • junio 2017

J. Talavera

Servicio de Terapia Celular. Hospital Veterinario de la Universidad de Murcia. Campus Universitario de Espinardo. Murcia. Grupo de Investigación de Trasplante Hematopoyético y Terapia Celular. Instituto Murciano de Investigación Biosanitaria (IMIB)-Arrixaca, Universidad de Murcia. Red de Terapia Celular (TerCel).

Otros artículos de J. Talavera:
  • Terapia con células madre en medicina veterinaria: conceptos generales y evidencias clínicas

    Clin Vet Peq Anim Vol. 37 • Nº 2 • junio 2017
Contacto: anagf@um.es
Descargar artículo

Historia clínica

Se presentó en la consulta un perro macho mestizo entero de 5 años de edad y 57 Kg de peso con anorexia, letargia y taquipnea de 3 días de evolución. En la exploración física, se evidenció abdomen distendido y doloroso, taquipnea, mucosas pálidas, tiempo de relleno capilar disminuido, deshidratación y taquicardia. Las alteraciones observadas en la analítica sanguínea fueron anemia (32%, valor de referencia 37-55%) y leucocitosis (22,13 x103/mm3, valor de referencia 5,5-16.9 x103/mm3) con desviación a la izquierda. En la bioquímica sérica se observó un aumento de la fosfatasa alcalina (234 UI/l, valor de referencia 30-120 UI/l), amilasa (2246 UI/l, valor de referencia 250-1300 UI/l) y urea (128 mg/dl, valor de referencia 43-108 mg/dl). Se realizaron radiografías de la cavidad abdominal (Fig. 1).

<div>
<p>Proyección lateral derecha de la zona craneal (A) y caudal (B) y ventrodorsal (C) del abdomen de un perro que se presenta con anorexia, letargia y taquipnea de 3 días de evolución.</p>
</div>
Figura 1

Proyección lateral derecha de la zona craneal (A) y caudal (B) y ventrodorsal (C) del abdomen de un perro que se presenta con anorexia, letargia y taquipnea de 3 días de evolución.

Describe las anormalidades radiológicas que se observan.

Se observa pérdida de visualización de serosas y una masa localizada en el abdomen craneoventral tanto en el lado derecho como en el izquierdo, con bordes mal definidos, de opacidad tejido blando conteniendo en su interior múltiples focos radiotransparentes irregulares de pequeño tamaño. Las asas de intestino delgado se visualizan desplazadas caudalmente (Fig. 2).

<p>Mismas imágenes que la Fig 1. Se observa pérdida de visualización de serosas y una masa localizada en el abdomen craneoventral (A y B), tanto en el lado derecho como izquierdo (C), con bordes mal definidos, de opacidad tejido blando conteniendo en su interior múltiples focos radiotransparentes irregulares de pequeño tamaño (flechas) desplazando las asas intestinales caudalmente.</p>
Figura 2

Mismas imágenes que la Fig 1. Se observa pérdida de visualización de serosas y una masa localizada en el abdomen craneoventral (A y B), tanto en el lado derecho como izquierdo (C), con bordes mal definidos, de opacidad tejido blando conteniendo en su interior múltiples focos radiotransparentes irregulares de pequeño tamaño (flechas) desplazando las asas intestinales caudalmente.

¿Cuáles son los diagnósticos diferenciales con estos signos radiológicos?

Una masa localizada en el abdomen craneoventral y en ambos lados, lo más probable es que sea una masa esplénica. Los diagnósticos diferenciales incluyen torsión esplénica, esplenitis y neoplasia. Las áreas radiolúcidas observadas podrían deberse, o bien a una torsión esplénica enfisematosa, o a una infección con bacterias formadoras gas. La pérdida de visualización de serosas sería compatible con líquido libre. En base a todos los hallazgos radiográficos se realizó un diagnóstico presuntivo de torsión esplénica enfisematosa o infección con bacterias productoras de gas.

¿Qué otras técnicas realizarías para alcanzar el diagnóstico definitivo?

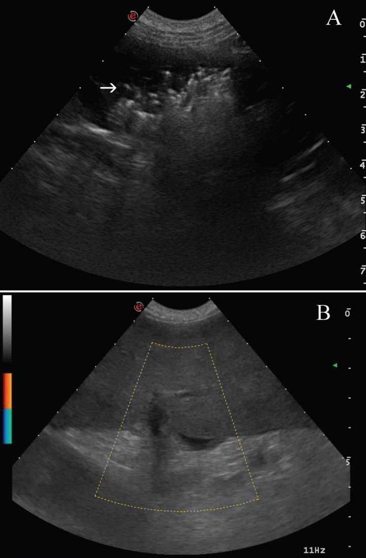
Se realizó un examen ecográfico de la cavidad abdominal observándose el bazo aumentado de tamaño e hipoecogénico, con áreas hiperecogénicas asociadas al artefacto de reverberación sugiriendo la presencia de gas intraparenquimatoso (Fig. 3A). El estudio con Doppler-color, reveló la ausencia de vascularización en el hilio esplénico y en el parénquima (Fig. 3B). También se visualizó líquido libre. Los hallazgos ecográficos corroboraron el diagnóstico presuntivo de torsión esplénica enfisematosa.

<p>Imagen ecográfica del bazo. (A) Se visualiza hipoecogénico con áreas hiperecogénicas asociadas al artefacto de reverberación sugiriendo la presencia de gas intraparenquimatoso. (B) Al aplicar el Doppler-color, no se aprecia vascularización.</p>
Figura 3

Imagen ecográfica del bazo. (A) Se visualiza hipoecogénico con áreas hiperecogénicas asociadas al artefacto de reverberación sugiriendo la presencia de gas intraparenquimatoso. (B) Al aplicar el Doppler-color, no se aprecia vascularización.

Comentario

La torsión esplénica primaria o aislada es una patología poco frecuente que generalmente ocurre en perros de razas grandes y tórax profundo.[ Patsikas MN, Rallis T, Kladakis SE et al.: Computed tomography diagnosis of isolated splenic torsion in a dog. Vet Radiol & Ultrasound 2001, 42: 235-237. [PubMed] ] Las razas más frecuentemente representadas son el Pastor Alemán y el Dogo Alemán,[ Simeonova G, Simeonov R, Roussenov A: Uncommon cause of acute abdomen in a dog: Torsion of the spleen – Case report and review. Trakia J Sc 2007, 5: 3-4. ] aunque también se han descrito en razas medianas.[ Haller JM, Fabiani MH; What is your diagnosis? Ischemia of the spleen. J Am Vet Med Assoc 2013, 242: 1481-1483. [PubMed] ]

La torsión esplénica puede producirse de forma conjunta con el síndrome de vólvulo-dilatación gástrico, pero también puede darse independientemente de este síndrome.[ Simeonova G, Simeonov R, Roussenov A: Uncommon cause of acute abdomen in a dog: Torsion of the spleen – Case report and review. Trakia J Sc 2007, 5: 3-4. ] La sintomatología varía dependiendo de si la presentación es aguda o crónica. Los perros con torsión esplénica aguda suelen manifestar vómitos, dolor abdominal, diarrea, anorexia y letargia.[ Patsikas MN, Rallis T, Kladakis SE et al.: Computed tomography diagnosis of isolated splenic torsion in a dog. Vet Radiol & Ultrasound 2001, 42: 235-237. [PubMed] , Simeonova G, Simeonov R, Roussenov A: Uncommon cause of acute abdomen in a dog: Torsion of the spleen – Case report and review. Trakia J Sc 2007, 5: 3-4. , Haller JM, Fabiani MH; What is your diagnosis? Ischemia of the spleen. J Am Vet Med Assoc 2013, 242: 1481-1483. [PubMed] ] En los casos en los que se presenta la condición crónica los síntomas son más inespecíficos, siendo los más frecuentes la distensión abdominal, la anorexia, los vómitos intermitentes y poliuria-polidipsia.[ Patsikas MN, Rallis T, Kladakis SE et al.: Computed tomography diagnosis of isolated splenic torsion in a dog. Vet Radiol & Ultrasound 2001, 42: 235-237. [PubMed] , Simeonova G, Simeonov R, Roussenov A: Uncommon cause of acute abdomen in a dog: Torsion of the spleen – Case report and review. Trakia J Sc 2007, 5: 3-4. , Haller JM, Fabiani MH; What is your diagnosis? Ischemia of the spleen. J Am Vet Med Assoc 2013, 242: 1481-1483. [PubMed] ] En nuestro caso, el paciente se presentó con un cuadro subagudo de anorexia, letargia y taquipnea de tres días de duración. Y en la analítica sanguínea se pudo observar ligera anemia, leucocitosis con desviación a la izquierda,[ Simeonova G, Simeonov R, Roussenov A: Uncommon cause of acute abdomen in a dog: Torsion of the spleen – Case report and review. Trakia J Sc 2007, 5: 3-4. ] y aumento de la fosfatasa alcalina, amilasa y urea.

Los signos radiográficos observados en el caso que presentamos aquí coinciden con los descritos en una torsión esplénica, incluyendo el desplazamiento del tracto gastrointestinal y la pérdida de definición de serosas.[ Simeonova G, Simeonov R, Roussenov A: Uncommon cause of acute abdomen in a dog: Torsion of the spleen – Case report and review. Trakia J Sc 2007, 5: 3-4. ] Además, en nuestro caso, el bazo se observó aumentado de tamaño y con múltiples focos de opacidad gas en el interior del parénquima (enfisema esplénico),[ Haller JM, Fabiani MH; What is your diagnosis? Ischemia of the spleen. J Am Vet Med Assoc 2013, 242: 1481-1483. [PubMed] , Jaeger GH, Maher E, Simmons T: What is your diagnosis? Splenic torsion J Am Vet Med Assoc 2006, 229, 501-502. [PubMed] ] también descritos como patrón espumoso[ Patsikas MN, Rallis T, Kladakis SE et al.: Computed tomography diagnosis of isolated splenic torsion in a dog. Vet Radiol & Ultrasound 2001, 42: 235-237. [PubMed] ] o bolsillos de gas. Se piensa que dicha acumulación de gas se debe al crecimiento de bacterias formadoras de gas en el sistema portal, y que éste asciende por la circulación afectando al hígado y al bazo. La causa de la colonización del sistema porto-mesentérico por estas bacterias productoras de gas (Clostridium spp.)[ Gaschen L, Kircher P, Venzin C et al.: Imaging Diagnosis: The abdominal air-vasculogram in a dog with splenic torsion and clostridial infection. Vet Radiol & Ultrasound 2003, 44: 553-555. [PubMed] ] no se conoce con exactitud, pero puede ser debido a alteraciones de la pared intestinal, sepsis intraabdominal y/o isquemia mesentérica.[ Gaschen L, Kircher P, Venzin C et al.: Imaging Diagnosis: The abdominal air-vasculogram in a dog with splenic torsion and clostridial infection. Vet Radiol & Ultrasound 2003, 44: 553-555. [PubMed] ] Sin embargo, otros autores piensan que es de origen no infeccioso y que se debe a la infartación esplénica secundaria, producida por la descomposición de la oxihemoglobina o la liberación de CO2 de los reticulocitos del tejido necrótico sometidos a metabolismo anaerobio, aunque esta última teoría no explicaría el crecimiento positivo a Clostridium spp en algunos cultivos de parénquima esplénico.[ Haller JM, Fabiani MH; What is your diagnosis? Ischemia of the spleen. J Am Vet Med Assoc 2013, 242: 1481-1483. [PubMed] ] En nuestro caso no se realizó ningún cultivo, con lo cual no podemos corroborar ninguna de las teorías descritas previamente.

En la evaluación ecográfica, se evidencia esplenomegalia con áreas difusas hipo o anecógenas debido a los vasos sinusoides congestivos, y múltiples líneas ecogénicas procedentes de los vasos dilatados, imagen descrita como un patrón típico de cielo estrellado.[ Patsikas MN, Rallis T, Kladakis SE et al.: Computed tomography diagnosis of isolated splenic torsion in a dog. Vet Radiol & Ultrasound 2001, 42: 235-237. [PubMed] , Haller JM, Fabiani MH; What is your diagnosis? Ischemia of the spleen. J Am Vet Med Assoc 2013, 242: 1481-1483. [PubMed] , Jaeger GH, Maher E, Simmons T: What is your diagnosis? Splenic torsion J Am Vet Med Assoc 2006, 229, 501-502. [PubMed] ] En los casos que exista enfisema esplénico, además se visualizarán pequeños puntos ecogénicos con reverberación en el parénquima esplénico de forma focal o difusa.[ Simeonova G, Simeonov R, Roussenov A: Uncommon cause of acute abdomen in a dog: Torsion of the spleen – Case report and review. Trakia J Sc 2007, 5: 3-4. ] Si se utiliza la ecografía Doppler, no se detectará el flujo sanguíneo de las venas esplénicas.[ Patsikas MN, Rallis T, Kladakis SE et al.: Computed tomography diagnosis of isolated splenic torsion in a dog. Vet Radiol & Ultrasound 2001, 42: 235-237. [PubMed] , Simeonova G, Simeonov R, Roussenov A: Uncommon cause of acute abdomen in a dog: Torsion of the spleen – Case report and review. Trakia J Sc 2007, 5: 3-4. , Haller JM, Fabiani MH; What is your diagnosis? Ischemia of the spleen. J Am Vet Med Assoc 2013, 242: 1481-1483. [PubMed] , Jaeger GH, Maher E, Simmons T: What is your diagnosis? Splenic torsion J Am Vet Med Assoc 2006, 229, 501-502. [PubMed] ] En nuestro caso los hallazgos ecográficos coincidieron con los descritos anteriormente. Aunque la ecografía es una técnica no invasiva y precisa, también se puede utilizar la tomografía computarizada, observándose esplenomegalia, el pedículo esplénico en forma de espiral y el bazo en forma de C en torsiones mayores a 180º.[ Simeonova G, Simeonov R, Roussenov A: Uncommon cause of acute abdomen in a dog: Torsion of the spleen – Case report and review. Trakia J Sc 2007, 5: 3-4. ]

El tratamiento recomendado en torsiones esplénicas es la esplenectomía con gastropexia,[ Haller JM, Fabiani MH; What is your diagnosis? Ischemia of the spleen. J Am Vet Med Assoc 2013, 242: 1481-1483. [PubMed] , Jaeger GH, Maher E, Simmons T: What is your diagnosis? Splenic torsion J Am Vet Med Assoc 2006, 229, 501-502. [PubMed] ] siendo la tasa de supervivencia del 79%. En los casos de enfisema esplénico se recomienda tratamiento médico con antibióticos durante los 5 días siguientes a la cirugía.

En nuestro paciente se realizó la esplenectomía, falleciendo en el postoperatorio. No se realizó estudio histopatológico del bazo.

En conclusión, la torsión primaria de bazo no es una patología muy frecuente, pero hay que tenerla presente en el diagnóstico diferencial cuando nos encontramos con masas en abdomen craneal de opacidad tejido blando y gas en su interior, con pérdida de visualización de serosas.

 

Fuente de financiación: Esta investigación no se realizó con fondos comerciales, públicos o del sector privado.

Conflicto de intereses: Los autores declaran que no existe conflicto de intereses.

Bibliografía

  1. [1] Patsikas MN, Rallis T, Kladakis SE et al.: Computed tomography diagnosis of isolated splenic torsion in a dog. Vet Radiol & Ultrasound 2001, 42: 235-237. [PubMed]
  2. [2] Simeonova G, Simeonov R, Roussenov A: Uncommon cause of acute abdomen in a dog: Torsion of the spleen – Case report and review. Trakia J Sc 2007, 5: 3-4.
  3. [3] Haller JM, Fabiani MH; What is your diagnosis? Ischemia of the spleen. J Am Vet Med Assoc 2013, 242: 1481-1483. [PubMed]
  4. [4] Jaeger GH, Maher E, Simmons T: What is your diagnosis? Splenic torsion J Am Vet Med Assoc 2006, 229, 501-502. [PubMed]
  5. [5] Gaschen L, Kircher P, Venzin C et al.: Imaging Diagnosis: The abdominal air-vasculogram in a dog with splenic torsion and clostridial infection. Vet Radiol & Ultrasound 2003, 44: 553-555. [PubMed]

Artículos recomendados

Estas recomendaciones se ofrecen de forma automática.

  • ¿Cuál es tu diagnóstico?

    A. Agut, B. Mena-Moros, M. Soler, et al.
    Clin Vet Peq Anim Vol. 40 - Nº 3 · SEP 2020 · ¿Cuál es tu diagnóstico?
  • Caso clínico de Anestesia

    E. Belda, M. Martínez, J.D. Carrillo, et al.
    Clin Vet Peq Anim Vol. 37 - Nº 2 · JUN 2017 · Caso Clínico de...
  • Terapia con células madre en medicina veterinaria: conceptos generales y evidencias clínicas

    J. Talavera, J.I. Gil-Chinchilla, D. García, et al.
    Clin Vet Peq Anim Vol. 37 - Nº 2 · JUN 2017 · Artículos de Revisión
  • Inicio
  • Historia clínica
  • Describe las anormalidades radiológicas que se observan.
  • ¿Cuáles son los diagnósticos diferenciales con estos signos radiológicos?
  • ¿Qué otras técnicas realizarías para alcanzar el diagnóstico definitivo?
  • Comentario
  • Bibliografía
Artículo anterior Índice de la revista Artículo siguiente
ANUNCIO
Próximos cursos ATVs Elearning
Índice
Inicio Historia clínica Describe las anormalidades radiológicas que se observan. ¿Cuáles son los diagnósticos diferenciales con estos signos radiológicos? ¿Qué otras técnicas realizarías para alcanzar el diagnóstico definitivo? Comentario Bibliografía
Boehringer - NexGard
ANUNCIO

¿No eres socio de AVEPA y quieres recibir comunicación de las nuevas ediciones en tu correo?

Suscríbete

Suscríbete y te avisaremos cuando publiquemos un nuevo número

Suscribirme

Enlaces rápidos

  • Inicio
  • Último número
  • Archivo
  • Artículos

Información

  • Comité editorial
  • Política de cookies
  • Política de privacidad
  • Términos y condiciones

Contacto

  • info@imaginice.com
  • Envíanos tu artículo
© 2026 Ice Salud Vet SL. Todos los derechos reservados.

Usamos cookies para mejorar tu experiencia. Selecciona cuáles aceptas: