Logo AVEPA

Clínica Veterinaria de Pequeños Animales

Revista oficial de AVEPA

  • Inicio
  • Último número
  • Archivo
  • Artículos
  • Para autores
  • Contacto
Cursos Junio-Septiembre 2026
ANUNCIO

Clínica Veterinaria de Pequeños Animales

Revista oficial de AVEPA

  • Inicio
  • Último número
  • Archivo
  • Artículos
  • Para autores
  • Contacto
Curso Oftalmología 2026
ANUNCIO
Clin Vet Peq Anim Vol. 42 • Nº 2 • junio 2022

A-FAST y T-FAST (Parte II) – Ecografía abdominal y torácica en urgencias

A-FAST & T-FAST (PART II) - Abdominal & Thoracic Focussed Assessment with Sonography for Trauma in Emergencies

Artículos de Revisión

N. Aguilar-Gallego

Servicio de Diagnóstico por Imagen. Hospital Clínico Veterinario UCH-CEU. c/ Santiago Ramón y Cajal s/n. 46115 Alfara del Patriarca (Valencia).

A. García-Fernández

Servicio de Diagnóstico por Imagen. Hospital Clínico Veterinario UCH-CEU. c/ Santiago Ramón y Cajal s/n. 46115 Alfara del Patriarca (Valencia).

Contacto: natagallegoo@me.com
Palabras clave: ecografía, T-FAST, tórax, distrés respiratorio, urgencia.
Keywords: ultrasound, T-FAST, thorax, respiratory distress, emergency.

Clin Vet Peq Anim 2022, 42 (2): 83-88

Descargar artículo

Resumen

La ecografía torácica de urgencias o T-FAST (acrónimo del inglés “Focussed Assessment with Sonography for Trauma”) es una valoración rápida de posibles alteraciones torácicas que conlleven un riesgo vital. El objetivo es que alguien no especialista en diagnóstico por imagen pueda llevar a cabo una valoración de urgencia de las estructuras torácicas, no solo tras un traumatismo, sino como método de triaje y monitorización de pacientes no traumatizados. La técnica de la T-FAST consiste en la valoración rápida de cinco puntos estandarizados del tórax (caudodorsal bilateral, perihiliar bilateral y hepatodiafragmático) a través de los cuales se pueden detectar de forma temprana alteraciones como contusiones pulmonares, edema de pulmón (de origen cardiogénico o no cardiogénico), efusiones pleurales o pericárdicas, y neumotórax. La pronta detección de dichas alteraciones permite iniciar la terapia o los procedimientos pertinentes para contribuir a la estabilización del paciente lo antes posible, así como aproximar el diagnóstico definitivo. El objetivo de este tipo de examen es permitir que alguien no experto en diagnóstico por imagen pueda realizar una evaluación de emergencia de las estructuras torácicas, no solo después de un evento traumático.

Abstract

Emergency thoracic ultrasound or T-FAST (Focussed Assessment with Sonography for Trauma) is a rapid assessment of potentially life-threatening thoracic abnormalities. The aim is to enable a non-expert clinician to carry out an emergency assessment of the thoracic structures, not only after trauma, but also as a method of triage and monitoring of non-trauma patients. The T-FAST technique consists of the rapid assessment of five standardised points of the chest (bilateral caudo-dorsal, bilateral perihilar and hepato-diaphragmatic) through which alterations such as pulmonary contusions, lung oedema (cardiogenic origin or non-cardiogenic), pleural or pericardial effusions, and pneumothorax can be detected as soon as possible. The detection of these disorders allows the initiation of the relevant therapy or procedure to contribute to early stabilisation of the patient and obtain a definitive diagnosis. The aim of this type of examination, is to enable or allow someone who is not an expert in diagnostic imaging to carry out an emergency assessment of the thoracic structures, not only after a traumatic event.

AVEPA Elearning

La presencia de este logo en un artículo de la revista indica que se publicará un examen sobre el mismo en la plataforma AVEPA Elearning. Su resolución aporta 0,15 créditos dentro del sistema de acreditaciones de especialidades veterinarias de AVEPA.

Introducción

El objetivo principal del desarrollo de la T-FAST fue determinar la precisión, sensibilidad y especificidad de su uso para la detección rápida de neumotórax.[ Lisciandro G: Abdominal and thoracic focused assessment with sonography for trauma, triage, and monitoring in small animals. J Vet Emerg Crit Care 2011; 21(2): 104-122. [PubMed] , Boysen S, Lisciandro G: The Use of ultrasound for dogs and cats in the emergency room. AFAST and TFAST. Vet Clin Small Anim 2013; 43: 773-797. [PubMed] , Lisciandro GR: The abdominal FAST (AFAST) exam. En Lisciandro GR (ed): Focused ultrasound techniques for the small animal practitioner, Oxford, Wiley Blackwell, 2014; 17-43. ] Sin embargo, la T-FAST proporciona mucha más información, por lo que se pueden detectar otro tipo de patologías pulmonares tales como contusiones, edema cardiogénico y no cardiogénico, síndrome de distrés respiratorio agudo, neumonía, y tromboembolismo pulmonar.[ Lisciandro G: Abdominal and thoracic focused assessment with sonography for trauma, triage, and monitoring in small animals. J Vet Emerg Crit Care 2011; 21(2): 104-122. [PubMed] , Boysen S, Lisciandro G: The Use of ultrasound for dogs and cats in the emergency room. AFAST and TFAST. Vet Clin Small Anim 2013; 43: 773-797. [PubMed] , Lisciandro GR: The abdominal FAST (AFAST) exam. En Lisciandro GR (ed): Focused ultrasound techniques for the small animal practitioner, Oxford, Wiley Blackwell, 2014; 17-43. ]

En medicina humana, se ha reportado que la ecografía pulmonar tiene mayor sensibilidad y especificidad que la auscultación y la radiografía de tórax, en decúbito supino, a la hora de detectar neumotórax, efusión pleural, consolidación pulmonar y síndrome intersticial.[ Boysen S, Lisciandro G: The Use of ultrasound for dogs and cats in the emergency room. AFAST and TFAST. Vet Clin Small Anim 2013; 43: 773-797. [PubMed] ]

Una de las mayores ventajas de los protocolos FAST es la rapidez con la que se llevan a cabo.[ Lisciandro G: Abdominal and thoracic focused assessment with sonography for trauma, triage, and monitoring in small animals. J Vet Emerg Crit Care 2011; 21(2): 104-122. [PubMed] , Lisciandro GR: The abdominal FAST (AFAST) exam. En Lisciandro GR (ed): Focused ultrasound techniques for the small animal practitioner, Oxford, Wiley Blackwell, 2014; 17-43. , L. Cole, M. Pivetta, K. Humm: Diagnostic accuracy of a lung ultrasound protocol (Vet BLUE) for detection of pleural fluid, pneumothorax and lung pathology in dogs and cats. Journal of Small Animal Practice 2021; 62: 178-186. [PubMed] ] En los estudios realizados tanto en humana como en veterinaria, no deben excederse los 3 minutos.[ Lisciandro G: Abdominal and thoracic focused assessment with sonography for trauma, triage, and monitoring in small animals. J Vet Emerg Crit Care 2011; 21(2): 104-122. [PubMed] ] Además, puede realizarse por personal no experto en diagnóstico por imagen, es económica, no invasiva, libre de radiación y puede llevarse a cabo mientras se realizan otras maniobras para estabilizar al paciente, así como mientras se oxigena si se considera necesario.[ Lisciandro G: Abdominal and thoracic focused assessment with sonography for trauma, triage, and monitoring in small animals. J Vet Emerg Crit Care 2011; 21(2): 104-122. [PubMed] , Boysen S, Lisciandro G: The Use of ultrasound for dogs and cats in the emergency room. AFAST and TFAST. Vet Clin Small Anim 2013; 43: 773-797. [PubMed] , Lisciandro GR: The abdominal FAST (AFAST) exam. En Lisciandro GR (ed): Focused ultrasound techniques for the small animal practitioner, Oxford, Wiley Blackwell, 2014; 17-43. , L. Cole, M. Pivetta, K. Humm: Diagnostic accuracy of a lung ultrasound protocol (Vet BLUE) for detection of pleural fluid, pneumothorax and lung pathology in dogs and cats. Journal of Small Animal Practice 2021; 62: 178-186. [PubMed] ]

El objetivo de este artículo es describir cómo se realiza una T-FAST, sus diferentes usos y el método de toracentesis, procedimientos que pueden ser empleados en urgencias en pacientes inestables.

¿Cuándo se debe realizar una T-FAST?

La ecografía torácica puede utilizarse como prueba de primera elección en pacientes que hayan sufrido traumatismos severos o penetrantes.[ Boysen S, Lisciandro G: The Use of ultrasound for dogs and cats in the emergency room. AFAST and TFAST. Vet Clin Small Anim 2013; 43: 773-797. [PubMed] ]

En animales, los traumatismos tienen una tasa de mortalidad del 10 %. Los más frecuentes son los debidos a atropellos o caídas de ciertas alturas, y la región más afectada es el tórax, ocasionando contusiones pulmonares, neumotórax y/o hemotórax.[ Andrea M, Walters A, O’Brien MA, Selmic LE, et al.: Evaluation of the agreement between focused assessment with sonography for trauma (AFAST/TFAST) and computed tomography in dogs and cats with recent trauma. J Vet Emerg Crit Care 2018: 1-7. [PubMed] ]

Por otro lado, el uso de la T-FAST se ha extendido más allá de pacientes traumatizados, pudiéndose utilizar como una ampliación de la exploración física en pacientes graves. Permite monitorizar afecciones pulmonares en pacientes de riesgo, así como detectar rápidamente lesiones y complicaciones postquirúrgicas en determinados pacientes.[ Boysen S, Lisciandro G: The Use of ultrasound for dogs and cats in the emergency room. AFAST and TFAST. Vet Clin Small Anim 2013; 43: 773-797. [PubMed] ]

Técnica de T-FAST

El examen T-FAST consiste en la evaluación de cinco puntos estandarizados que se describen a continuación. La técnica puede llevarse a cabo en decúbito lateral (preferiblemente derecho para evaluación cardíaca) o esternal, siendo este último de elección para pacientes con distrés respiratorio.[ Lisciandro G: Abdominal and thoracic focused assessment with sonography for trauma, triage, and monitoring in small animals. J Vet Emerg Crit Care 2011; 21(2): 104-122. [PubMed] , Boysen S, Lisciandro G: The Use of ultrasound for dogs and cats in the emergency room. AFAST and TFAST. Vet Clin Small Anim 2013; 43: 773-797. [PubMed] , Lisciandro GR: The abdominal FAST (AFAST) exam. En Lisciandro GR (ed): Focused ultrasound techniques for the small animal practitioner, Oxford, Wiley Blackwell, 2014; 17-43. ] El decúbito dorsal no debe ser empleado para realizar una T-FAST por el estrés que supone para los pacientes, sobre todo si están hemodinámicamente inestables o presentan distrés respiratorio.[ Lisciandro GR: The abdominal FAST (AFAST) exam. En Lisciandro GR (ed): Focused ultrasound techniques for the small animal practitioner, Oxford, Wiley Blackwell, 2014; 17-43. ] Para mejorar el contacto del transductor con la piel del paciente se pueden rasurar los cuadrantes de exploración y emplear alcohol o gel de ecografía. No se debe usar alcohol en caso de que se vaya a utilizar un desfibrilador eléctrico.[ Lisciandro G: Abdominal and thoracic focused assessment with sonography for trauma, triage, and monitoring in small animals. J Vet Emerg Crit Care 2011; 21(2): 104-122. [PubMed] ]

Los cinco puntos estandarizados son:

- Dorsocaudal (DC) bilateral: El transductor debe colocarse horizontalmente entre el 7º y 8º espacio intercostal de ambos hemitórax en su tercio dorsal (Fig. 1).[ Lisciandro G: Abdominal and thoracic focused assessment with sonography for trauma, triage, and monitoring in small animals. J Vet Emerg Crit Care 2011; 21(2): 104-122. [PubMed] ] Se examina de forma estática, colocando la sonda con el haz en plano longitudinal al paciente (transversal a las costillas) para maximizar el contacto del transductor con el borde pulmonar. Son los cuadrantes de elección para detectar neumotórax y patología pulmonar.[ Lisciandro G: Abdominal and thoracic focused assessment with sonography for trauma, triage, and monitoring in small animals. J Vet Emerg Crit Care 2011; 21(2): 104-122. [PubMed] , Boysen S, Lisciandro G: The Use of ultrasound for dogs and cats in the emergency room. AFAST and TFAST. Vet Clin Small Anim 2013; 43: 773-797. [PubMed] ]

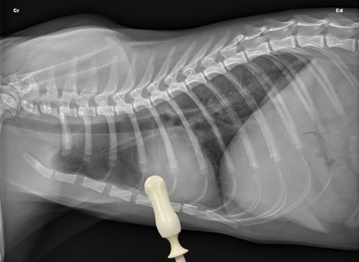
<div class=\"Basic-Text-Frame\">
<p>Radiografía lateral derecha de un gato sano en la que se observa la posición del transductor para valorar el cuadrante dorsocaudal (DC) de la T-FAST. Cr: craneal; Cd: caudal.</p>
</div>
Figura 1

Radiografía lateral derecha de un gato sano en la que se observa la posición del transductor para valorar el cuadrante dorsocaudal (DC) de la T-FAST. Cr: craneal; Cd: caudal.

- Perihiliar (PH) bilateral (Fig. 2): Para la correcta valoración de este cuadrante, el transductor debe colocarse entre los espacios intercostales de la región perihiliar de ambos hemitórax y desplazarse entre ellos de forma dinámica. Se emplean para detectar la presencia de efusión pleural y pericárdica, así como valorar la volemia del paciente y descartar fallo cardíaco izquierdo mediante el ratio atrio izquierdo/aorta en el cuadrante PH derecho (menor a 1,6).[ Lisciandro G: Abdominal and thoracic focused assessment with sonography for trauma, triage, and monitoring in small animals. J Vet Emerg Crit Care 2011; 21(2): 104-122. [PubMed] , Boysen S, Lisciandro G: The Use of ultrasound for dogs and cats in the emergency room. AFAST and TFAST. Vet Clin Small Anim 2013; 43: 773-797. [PubMed] ]

<div class=\"Basic-Text-Frame\">
<p>Radiografía lateral derecha de un gato sano en la que se observa la posición del transductor para valorar el cuadrante perihiliar (PH) de la T-FAST. Cr: craneal; Cd: caudal.</p>
</div>
Figura 2

Radiografía lateral derecha de un gato sano en la que se observa la posición del transductor para valorar el cuadrante perihiliar (PH) de la T-FAST. Cr: craneal; Cd: caudal.

- Hepatodiafragmática (HD) (Fig. 3): Este cuadrante es el único común a la FAST abdominal (A-FAST).[ Lisciandro G: The use of the diaphragmatico-hepatic (DH) views of the abdominal and thoracic focused assessment with sonography for triage (AFAST/TFAST) examinations for the detection of pericardial effusion in 24 dogs (2011–2012). J Vet Emerg Crit Care 2016; 26(1): 125-131. [PubMed] ] En este caso, el transductor se coloca bajo la apófisis xifoides, dejando caudalmente el hígado y el diafragma e inclinando la sonda hacia craneal para valorar el tórax caudal. Este cuadrante se considera también dinámico tanto en medicina humana como veterinaria, y es de elección para detectar efusión pleural y pericárdica, ya que tiene mayor sensibilidad y especificidad que la radiografía para su detección.[ Lisciandro G: Abdominal and thoracic focused assessment with sonography for trauma, triage, and monitoring in small animals. J Vet Emerg Crit Care 2011; 21(2): 104-122. [PubMed] , Boysen S, Lisciandro G: The Use of ultrasound for dogs and cats in the emergency room. AFAST and TFAST. Vet Clin Small Anim 2013; 43: 773-797. [PubMed] , Lisciandro GR: The abdominal FAST (AFAST) exam. En Lisciandro GR (ed): Focused ultrasound techniques for the small animal practitioner, Oxford, Wiley Blackwell, 2014; 17-43. , Andrea M, Walters A, O’Brien MA, Selmic LE, et al.: Evaluation of the agreement between focused assessment with sonography for trauma (AFAST/TFAST) and computed tomography in dogs and cats with recent trauma. J Vet Emerg Crit Care 2018: 1-7. [PubMed] , Lisciandro G: The use of the diaphragmatico-hepatic (DH) views of the abdominal and thoracic focused assessment with sonography for triage (AFAST/TFAST) examinations for the detection of pericardial effusion in 24 dogs (2011–2012). J Vet Emerg Crit Care 2016; 26(1): 125-131. [PubMed] ]

<p>Radiografía lateral derecha de un gato sano en la que se observa la posición del transductor para valorar el cuadrante hepatodiafragmático (HD) de la T-FAST. Cr: craneal; Cd: caudal.</p>
Figura 3

Radiografía lateral derecha de un gato sano en la que se observa la posición del transductor para valorar el cuadrante hepatodiafragmático (HD) de la T-FAST. Cr: craneal; Cd: caudal.

Para poder diferenciar la efusión pleural de la pericárdica, se recomienda realizar al menos ambas proyecciones, la PH y la HD.[ Boysen S, Lisciandro G: The Use of ultrasound for dogs and cats in the emergency room. AFAST and TFAST. Vet Clin Small Anim 2013; 43: 773-797. [PubMed] ] En medicina humana, una de las principales limitaciones de la T-FAST es la dificultad en diferenciar la efusión pleural de la pericárdica por personal no especialista en diagnóstico por imagen.[ Lisciandro G: Abdominal and thoracic focused assessment with sonography for trauma, triage, and monitoring in small animals. J Vet Emerg Crit Care 2011; 21(2): 104-122. [PubMed] ]

En cuanto a los hallazgos de la T-FAST, en condiciones normales en ambas proyecciones DC debemos observar las denominadas líneas A, aquellas líneas horizontales hiperecoicas paralelas a la interfase pleura-pulmón o línea PP, resultantes de la reverberación del aire contenido en el borde pulmonar (Fig. 4).[ Boysen S, Lisciandro G: The Use of ultrasound for dogs and cats in the emergency room. AFAST and TFAST. Vet Clin Small Anim 2013; 43: 773-797. [PubMed] ] Por el contrario, si visualizamos las líneas B, que son líneas hiperecoicas verticales fácilmente reconocibles, estaremos ante un pulmón con patología, ya que están presentes en el denominado pulmón húmedo o síndrome intersticial. Las líneas B se extienden desde la línea PP hasta el final de la pantalla, no se atenúan y oscilan como un péndulo con el movimiento respiratorio (Fig. 5).[ Lisciandro G: Abdominal and thoracic focused assessment with sonography for trauma, triage, and monitoring in small animals. J Vet Emerg Crit Care 2011; 21(2): 104-122. [PubMed] , Boysen S, Lisciandro G: The Use of ultrasound for dogs and cats in the emergency room. AFAST and TFAST. Vet Clin Small Anim 2013; 43: 773-797. [PubMed] , Andrea M, Walters A, O’Brien MA, Selmic LE, et al.: Evaluation of the agreement between focused assessment with sonography for trauma (AFAST/TFAST) and computed tomography in dogs and cats with recent trauma. J Vet Emerg Crit Care 2018: 1-7. [PubMed] ] Entre los principales diagnósticos diferenciales que se plantean una vez identificadas, cabe destacar el edema pulmonar (de origen cardiogénico o no), inflamación supurativa o contusión pulmonar en caso de pacientes traumatizados.[ Lisciandro G: Abdominal and thoracic focused assessment with sonography for trauma, triage, and monitoring in small animals. J Vet Emerg Crit Care 2011; 21(2): 104-122. [PubMed] , Boysen S, Lisciandro G: The Use of ultrasound for dogs and cats in the emergency room. AFAST and TFAST. Vet Clin Small Anim 2013; 43: 773-797. [PubMed] ]

<p>Imagen ecográfica de pulmón de un paciente sano en la que se observa la línea PP (interfase pleura-pulmón) como una fina línea hiperecoica (flecha blanca), así como líneas A hiperecoicas y paralelas entre sí (flecha azul) y la sombra acústica generada por una costilla (asterisco). Cr: craneal; Cd: caudal.</p>
Figura 4

Imagen ecográfica de pulmón de un paciente sano en la que se observa la línea PP (interfase pleura-pulmón) como una fina línea hiperecoica (flecha blanca), así como líneas A hiperecoicas y paralelas entre sí (flecha azul) y la sombra acústica generada por una costilla (asterisco). Cr: craneal; Cd: caudal.

<div class=\"Basic-Text-Frame\">
<p>(<strong>A</strong>) Radiografía lateral derecha de un gato con edema pulmonar no cardiogénico, con la colocación de la sonda ecográfica en el punto de valoración del cuadrante DC. (<strong>B</strong>) Imagen ecográfica del cuadrante DC del mismo paciente, donde se aprecian líneas B o pulmón húmedo (flecha blanca), líneas A o pulmón sano (flecha amarilla) y línea PP (flecha azul). (<strong>C</strong>) Radiografía lateral derecha del mismo paciente con la colocación de la sonda ecográfica en el punto de valoración del cuadrante PH. (<strong>D</strong>) Imagen ecográfica del cuadrante PH, donde se puede observar la presencia de una línea B ancha (flecha roja), así como parte del parénquima pulmonar consolidado (P), generando como consecuencia el signo de escalón (asteriscos). Cr: craneal; Cd: caudal.</p>
</div>

<div>
<div class=\"frame-2\"> </div>
</div>
Figura 5

(A) Radiografía lateral derecha de un gato con edema pulmonar no cardiogénico, con la colocación de la sonda ecográfica en el punto de valoración del cuadrante DC. (B) Imagen ecográfica del cuadrante DC del mismo paciente, donde se aprecian líneas B o pulmón húmedo (flecha blanca), líneas A o pulmón sano (flecha amarilla) y línea PP (flecha azul). (C) Radiografía lateral derecha del mismo paciente con la colocación de la sonda ecográfica en el punto de valoración del cuadrante PH. (D) Imagen ecográfica del cuadrante PH, donde se puede observar la presencia de una línea B ancha (flecha roja), así como parte del parénquima pulmonar consolidado (P), generando como consecuencia el signo de escalón (asteriscos). Cr: craneal; Cd: caudal.

 

Respecto a la interfase pleura-pulmón (o línea PP), hace referencia al contacto de la pleura con el borde pulmonar (Fig. 5B), donde se debe observar el signo de deslizamiento.[ Lisciandro G: Abdominal and thoracic focused assessment with sonography for trauma, triage, and monitoring in small animals. J Vet Emerg Crit Care 2011; 21(2): 104-122. [PubMed] , Boysen S, Lisciandro G: The Use of ultrasound for dogs and cats in the emergency room. AFAST and TFAST. Vet Clin Small Anim 2013; 43: 773-797. [PubMed] , Andrea M, Walters A, O’Brien MA, Selmic LE, et al.: Evaluation of the agreement between focused assessment with sonography for trauma (AFAST/TFAST) and computed tomography in dogs and cats with recent trauma. J Vet Emerg Crit Care 2018: 1-7. [PubMed] ] Este signo consiste en el movimiento normal de ida y vuelta del pulmón deslizándose a lo largo de la pared torácica.[ Boysen S, Lisciandro G: The Use of ultrasound for dogs and cats in the emergency room. AFAST and TFAST. Vet Clin Small Anim 2013; 43: 773-797. [PubMed] ] Se observa en tórax sanos en ausencia de patología pulmonar del espacio pleural o de la pared torácica, y el no apreciar dicho signo es indicativo de neumotórax.[ Lisciandro G: Abdominal and thoracic focused assessment with sonography for trauma, triage, and monitoring in small animals. J Vet Emerg Crit Care 2011; 21(2): 104-122. [PubMed] , Boysen S, Lisciandro G: The Use of ultrasound for dogs and cats in the emergency room. AFAST and TFAST. Vet Clin Small Anim 2013; 43: 773-797. [PubMed] ] Ecográficamente, el neumotórax genera líneas A idénticas a las que se observan en un pulmón sano; por este motivo, el hecho de ver líneas B junto con el signo de deslizamiento descarta de forma inmediata la presencia de neumotórax.[ Lisciandro G: Abdominal and thoracic focused assessment with sonography for trauma, triage, and monitoring in small animals. J Vet Emerg Crit Care 2011; 21(2): 104-122. [PubMed] , Boysen S, Lisciandro G: The Use of ultrasound for dogs and cats in the emergency room. AFAST and TFAST. Vet Clin Small Anim 2013; 43: 773-797. [PubMed] , Lisciandro GR: The abdominal FAST (AFAST) exam. En Lisciandro GR (ed): Focused ultrasound techniques for the small animal practitioner, Oxford, Wiley Blackwell, 2014; 17-43. ] En cuanto al diagnóstico ecográfico del neumotórax, se han descrito ciertas limitaciones tales como no poder identificar el grado de severidad del mismo, y que en pacientes con taquipnea o distrés respiratorio puede resultar complejo determinar la presencia del signo de deslizamiento y, por lo tanto, descartarlo con seguridad.[ Lisciandro G: Abdominal and thoracic focused assessment with sonography for trauma, triage, and monitoring in small animals. J Vet Emerg Crit Care 2011; 21(2): 104-122. [PubMed] ] Según el estudio realizado por Andrea M. et al. en 2018, a diferencia de la medicina humana, la T-FAST en medicina veterinaria no ha demostrado ser una técnica útil en el diagnóstico de neumotórax.[ Andrea M, Walters A, O’Brien MA, Selmic LE, et al.: Evaluation of the agreement between focused assessment with sonography for trauma (AFAST/TFAST) and computed tomography in dogs and cats with recent trauma. J Vet Emerg Crit Care 2018: 1-7. [PubMed] ] Aun así, tiene mayor sensibilidad y especificidad que la radiografía.[ Lisciandro G: Abdominal and thoracic focused assessment with sonography for trauma, triage, and monitoring in small animals. J Vet Emerg Crit Care 2011; 21(2): 104-122. [PubMed] ]

Otra de las alteraciones que podemos identificar al realizar una T-FAST es la presencia de líquido libre entre ambas pleuras (efusión pleural), que se determina con la visualización de contenido anecoico alrededor de las estructuras torácicas entre la pared costal y el borde pulmonar (Fig. 6).[ Nicolaou S, Talsky A, Khashoggi K, et al.: Ultrasound-guided interventional radiology in critical care. Crit Care Med 2007: 35 (5): S186-S197. [PubMed] ] En ocasiones, puede resultar difícil determinar el origen del fluido, por lo que se deben realizar ecografías de revisión tras drenar el tórax, así como diferenciar bien entre efusión pleural y pericárdica.[ Lisciandro G: Abdominal and thoracic focused assessment with sonography for trauma, triage, and monitoring in small animals. J Vet Emerg Crit Care 2011; 21(2): 104-122. [PubMed] ]

<p>(<strong>A</strong>) Radiografía de un gato con linfoma multicéntrico y efusión pleural severa, con la colocación de la sonda ecográfica en el punto de valoración del cuadrante PH. (<strong>B</strong>) Imagen ecográfica del mismo gato valorando el cuadrante PH, donde se puede observar un nódulo linfático esternal moderadamente aumentado de tamaño (NL), así como abundante contenido anecoico entre ambas pleuras, confirmando la presencia de efusión pleural (EP) y la presencia de fibrina fluctuando en el líquido pleural (flecha blanca). Cr: craneal; Cd: caudal.</p>
Figura 6

(A) Radiografía de un gato con linfoma multicéntrico y efusión pleural severa, con la colocación de la sonda ecográfica en el punto de valoración del cuadrante PH. (B) Imagen ecográfica del mismo gato valorando el cuadrante PH, donde se puede observar un nódulo linfático esternal moderadamente aumentado de tamaño (NL), así como abundante contenido anecoico entre ambas pleuras, confirmando la presencia de efusión pleural (EP) y la presencia de fibrina fluctuando en el líquido pleural (flecha blanca). Cr: craneal; Cd: caudal.

Por último, otra patología fácilmente reconocible en una ecografía torácica de urgencias es la consolidación pulmonar; la cual se define como pulmón con ecogenicidad y ecotextura similar al hígado (pulmón hepatizado).[ L. Cole, M. Pivetta, K. Humm: Diagnostic accuracy of a lung ultrasound protocol (Vet BLUE) for detection of pleural fluid, pneumothorax and lung pathology in dogs and cats. Journal of Small Animal Practice 2021; 62: 178-186. [PubMed] ] Un hallazgo ecográfico es el denominado “signo de escalón”, el cual se define como la discontinuidad de la línea hiperecoica que genera la línea PP (Fig. 7).[ Lisciandro G: Abdominal and thoracic focused assessment with sonography for trauma, triage, and monitoring in small animals. J Vet Emerg Crit Care 2011; 21(2): 104-122. [PubMed] , Lisciandro GR: The abdominal FAST (AFAST) exam. En Lisciandro GR (ed): Focused ultrasound techniques for the small animal practitioner, Oxford, Wiley Blackwell, 2014; 17-43. ] Este también puede deberse a desgarros intercostales, fracturas costales, hematomas y hemotórax en pacientes traumatizados, así como a efusión pleural o masas en pacientes no traumatizados.[ Lisciandro G: Abdominal and thoracic focused assessment with sonography for trauma, triage, and monitoring in small animals. J Vet Emerg Crit Care 2011; 21(2): 104-122. [PubMed] , Lisciandro GR: The abdominal FAST (AFAST) exam. En Lisciandro GR (ed): Focused ultrasound techniques for the small animal practitioner, Oxford, Wiley Blackwell, 2014; 17-43. ] Entre los diagnósticos diferenciales más probables de consolidación pulmonar cabe destacar la presencia de un foco neumónico, hemorragia pulmonar, neoplasia o atelectasia.[ Lisciandro GR: The abdominal FAST (AFAST) exam. En Lisciandro GR (ed): Focused ultrasound techniques for the small animal practitioner, Oxford, Wiley Blackwell, 2014; 17-43. ]

<p>Imagen ecográfica de un paciente con efusión pleural (EP) severa y consolidación pulmonar (flecha blanca) secundaria a la presión ejercida por el líquido sobre el lóbulo pulmonar. Cr: craneal.</p>
Figura 7

Imagen ecográfica de un paciente con efusión pleural (EP) severa y consolidación pulmonar (flecha blanca) secundaria a la presión ejercida por el líquido sobre el lóbulo pulmonar. Cr: craneal.

Técnica de toracocentesis

El principal objetivo de la toracocentesis es la retirada del gas o líquido en el espacio pleural en pacientes críticos con neumotórax o efusión pleural, respectivamente, y contribuir a una rápida estabilización.[ Lisciandro GR: The abdominal FAST (AFAST) exam. En Lisciandro GR (ed): Focused ultrasound techniques for the small animal practitioner, Oxford, Wiley Blackwell, 2014; 17-43. ] Por otro lado, en pacientes estables permite la obtención de muestras para su posterior análisis y aproximación al diagnóstico definitivo.[ Nicolaou S, Talsky A, Khashoggi K, et al.: Ultrasound-guided interventional radiology in critical care. Crit Care Med 2007: 35 (5): S186-S197. [PubMed] ]

Aunque la toracocentesis ecoguiada conlleva riesgos, varios estudios han demostrado que tiene menor tasa de complicaciones que la realizada a ciegas.[ Lisciandro GR: The abdominal FAST (AFAST) exam. En Lisciandro GR (ed): Focused ultrasound techniques for the small animal practitioner, Oxford, Wiley Blackwell, 2014; 17-43. ] Entre otras ventajas, permite la visualización de estructuras vitales como el corazón y los grandes vasos, y evita puncionarlos cuando tratamos de obtener las muestras de áreas adyacentes a estos.[ Nicolaou S, Talsky A, Khashoggi K, et al.: Ultrasound-guided interventional radiology in critical care. Crit Care Med 2007: 35 (5): S186-S197. [PubMed] ]

La técnica debe realizarse preferiblemente en decúbito esternal de forma aséptica, tras haber descartado previamente coagulopatías (excepto en pacientes con distrés respiratorio severo, en los cuales se llevará a cabo una toracocentesis de urgencia).[ Lisciandro GR: The abdominal FAST (AFAST) exam. En Lisciandro GR (ed): Focused ultrasound techniques for the small animal practitioner, Oxford, Wiley Blackwell, 2014; 17-43. , Nicolaou S, Talsky A, Khashoggi K, et al.: Ultrasound-guided interventional radiology in critical care. Crit Care Med 2007: 35 (5): S186-S197. [PubMed] ] La sonda ecográfica se debe colocar perpendicular a las costillas (de forma bilateral), generalmente entre el 6º, 7º y 8º espacio intercostal, en el tercio ventral del tórax, y se desplaza craneal y caudalmente hasta encontrar la colección de líquido a la que se desea llegar con la aguja; se debe puncionar siempre craneal a las costillas, minimizando así el riesgo de lacerar los vasos que discurren por el borde caudal de las mismas (Fig. 8).[ Lisciandro GR: The abdominal FAST (AFAST) exam. En Lisciandro GR (ed): Focused ultrasound techniques for the small animal practitioner, Oxford, Wiley Blackwell, 2014; 17-43. , Nicolaou S, Talsky A, Khashoggi K, et al.: Ultrasound-guided interventional radiology in critical care. Crit Care Med 2007: 35 (5): S186-S197. [PubMed] ]

<p>(<strong>A</strong>) Colocación del transductor y de la aguja para la realización de un procedimiento de toracocentesis mediante el acceso caudal, en una técnica estéril para la obtención de líquido pleural. (<strong>B</strong>) Imagen ecográfica del procedimiento de toracocentesis mediante el acceso caudal, en la que se observa el trayecto de la aguja (flechas rojas) y la punta de la misma (círculo rojo) situada en el líquido a extraer. Cr: craneal; Cd: caudal.</p>
Figura 8

(A) Colocación del transductor y de la aguja para la realización de un procedimiento de toracocentesis mediante el acceso caudal, en una técnica estéril para la obtención de líquido pleural. (B) Imagen ecográfica del procedimiento de toracocentesis mediante el acceso caudal, en la que se observa el trayecto de la aguja (flechas rojas) y la punta de la misma (círculo rojo) situada en el líquido a extraer. Cr: craneal; Cd: caudal.

T-FAST vs. TC

La T-FAST es un método muy útil para el diagnóstico de contusiones pulmonares, edema pulmonar cardiogénico y no cardiogénico, síndrome de distrés respiratorio agudo, neumonía y tromboembolismo pulmonar.[ Lisciandro G: Abdominal and thoracic focused assessment with sonography for trauma, triage, and monitoring in small animals. J Vet Emerg Crit Care 2011; 21(2): 104-122. [PubMed] ] Sin embargo, la Tomografía Computarizada (TC) es la técnica de referencia para detectar patologías torácicas.[ L. Cole, M. Pivetta, K. Humm: Diagnostic accuracy of a lung ultrasound protocol (Vet BLUE) for detection of pleural fluid, pneumothorax and lung pathology in dogs and cats. Journal of Small Animal Practice 2021; 62: 178-186. [PubMed] , Andrea M, Walters A, O’Brien MA, Selmic LE, et al.: Evaluation of the agreement between focused assessment with sonography for trauma (AFAST/TFAST) and computed tomography in dogs and cats with recent trauma. J Vet Emerg Crit Care 2018: 1-7. [PubMed] ] La T-FAST no ha demostrado ser un método diagnóstico útil de neumotórax en pacientes traumatizados en comparación con la TC.[ Andrea M, Walters A, O’Brien MA, Selmic LE, et al.: Evaluation of the agreement between focused assessment with sonography for trauma (AFAST/TFAST) and computed tomography in dogs and cats with recent trauma. J Vet Emerg Crit Care 2018: 1-7. [PubMed] ] Por otro lado, a pesar de que la TC es una técnica de elección para detectar líquido libre, gas y daño en parénquima pulmonar, tiene ciertas desventajas en pacientes de urgencias, como, por ejemplo, el hecho de que en la mayoría de ocasiones son pacientes hemodinámicamente inestables y esta técnica, a diferencia de la ecografía, requiere sedación o incluso anestesia para llevarse a cabo en la mayoría de los casos.

Conclusión

La T-FAST es una técnica sencilla, rápida, poco invasiva y de gran utilidad para la detección de patologías que conllevan un riesgo vital en pacientes críticos. Por otro lado, permite monitorizar pacientes de riesgo con patologías ya identificadas, así como postquirúrgicos graves. Se ha demostrado que, además de determinar la presencia de neumotórax, presenta una elevada sensibilidad y especificidad en la detección de otras alteraciones, tales como contusiones pulmonares o efusión pleural y pericárdica, así como edema de pulmón.

 

Fuente de financiación: este trabajo no se realizó con fondos comerciales, públicos o del sector privado.

Conflicto de intereses: los autores declaran la inexistencia de conflicto de intereses.

Bibliografía

  1. [1] Lisciandro G: Abdominal and thoracic focused assessment with sonography for trauma, triage, and monitoring in small animals. J Vet Emerg Crit Care 2011; 21(2): 104-122. [PubMed]
  2. [2] Boysen S, Lisciandro G: The Use of ultrasound for dogs and cats in the emergency room. AFAST and TFAST. Vet Clin Small Anim 2013; 43: 773-797. [PubMed]
  3. [3] Lisciandro GR: The abdominal FAST (AFAST) exam. En Lisciandro GR (ed): Focused ultrasound techniques for the small animal practitioner, Oxford, Wiley Blackwell, 2014; 17-43.
  4. [4] L. Cole, M. Pivetta, K. Humm: Diagnostic accuracy of a lung ultrasound protocol (Vet BLUE) for detection of pleural fluid, pneumothorax and lung pathology in dogs and cats. Journal of Small Animal Practice 2021; 62: 178-186. [PubMed]
  5. [5] Andrea M, Walters A, O’Brien MA, Selmic LE, et al.: Evaluation of the agreement between focused assessment with sonography for trauma (AFAST/TFAST) and computed tomography in dogs and cats with recent trauma. J Vet Emerg Crit Care 2018: 1-7. [PubMed]
  6. [6] Lisciandro G: The use of the diaphragmatico-hepatic (DH) views of the abdominal and thoracic focused assessment with sonography for triage (AFAST/TFAST) examinations for the detection of pericardial effusion in 24 dogs (2011–2012). J Vet Emerg Crit Care 2016; 26(1): 125-131. [PubMed]
  7. [7] Nicolaou S, Talsky A, Khashoggi K, et al.: Ultrasound-guided interventional radiology in critical care. Crit Care Med 2007: 35 (5): S186-S197. [PubMed]

Artículos recomendados

Estas recomendaciones se ofrecen de forma automática.

  • Evaluación de la ratio volumen atrio izquierdo/peso mediante el método sumatorio de discos en el corte paraesternal derecho 4 cámaras, en 205 pacientes

    Ó. Monge-Utrilla
    Clin Vet Peq Anim Vol. 44 - Nº 3 · SEP 2024 · Artículo original referido a múltiples casos clínicos
  • Pérdida de consciencia en consulta de un paciente canino secundaria a rotura del atrio izquierdo

    O. Monge-Utrilla, N. de Andrés-Fernández
    Clin Vet Peq Anim Vol. 44 - Nº 1 · MAR 2024 · Artículo original referido a un solo caso clínico
  • A-FAST y T-FAST (Parte I) – Ecografía abdominal y torácica en urgencias

    A. García-Fernández, N. Aguilar-Gallego
    Clin Vet Peq Anim Vol. 42 - Nº 1 · MAR 2022 · Artículos de Revisión
  • Inicio
  • Introducción
  • ¿Cuándo se debe realizar una T-FAST?
  • Técnica de T-FAST
  • Técnica de toracocentesis
  • T-FAST vs. TC
  • Conclusión
  • Bibliografía
Artículo anterior Índice de la revista Artículo siguiente
ANUNCIO
Próximos cursos ATVs Elearning
Índice
Inicio Introducción ¿Cuándo se debe realizar una T-FAST? Técnica de T-FAST Técnica de toracocentesis T-FAST vs. TC Conclusión Bibliografía
Milbeprazin
ANUNCIO

¿No eres socio de AVEPA y quieres recibir comunicación de las nuevas ediciones en tu correo?

Suscríbete

Suscríbete y te avisaremos cuando publiquemos un nuevo número

Suscribirme

Enlaces rápidos

  • Inicio
  • Último número
  • Archivo
  • Artículos

Información

  • Comité editorial
  • Política de cookies
  • Política de privacidad
  • Términos y condiciones

Contacto

  • info@imaginice.com
  • Envíanos tu artículo
© 2026 Ice Salud Vet SL. Todos los derechos reservados.

Usamos cookies para mejorar tu experiencia. Selecciona cuáles aceptas: