Logo AVEPA

Clínica Veterinaria de Pequeños Animales

Revista oficial de AVEPA

  • Inicio
  • Último número
  • Archivo
  • Artículos
  • Para autores
  • Contacto
Cursos Junio-Septiembre 2026
ANUNCIO

Clínica Veterinaria de Pequeños Animales

Revista oficial de AVEPA

  • Inicio
  • Último número
  • Archivo
  • Artículos
  • Para autores
  • Contacto
Curso Oftalmología 2026
ANUNCIO
Clin Vet Peq Anim Vol. 42 • Nº 1 • marzo 2022

Caso clínico de Cirugía

Caso Clínico de...

C. Rizkallal

Pride Veterinary Centre. Riverside Rd. Derby DE24 8HX (Reino Unido)

R. Vallefuoco

Pride Veterinary Centre. Riverside Rd. Derby DE24 8HX (Reino Unido)

Contacto: cristina.rizkallal@scarsdalevets.com
Descargar artículo

Historia clínica

Se presentó a consulta un perro Rhodesian Ridgeback, macho castrado de 9 años, remitido por su centro veterinario por cojera de dos semanas de evolución asociada a una lesión en el cuerpo del ilion derecho.

A la exploración física, el perro estaba alerta, con mucosas rosadas, tiempo de rellenado capilar inferior a 2 segundos, auscultación cardiopulmonar normal y palpación abdominal normal, sin linfadenomegalia periférica y nódulos subcutáneos multifocales.

El examen ortopédico reveló una cojera de la extremidad posterior derecha de 7/10. Se observó molestia a la palpación en la región pélvica derecha y leve atrofia muscular en la extremidad posterior derecha. El resto de la exploración ortopédica fue normal.

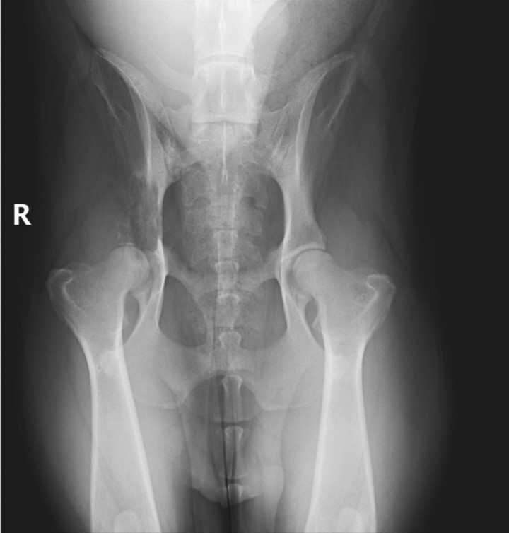
Se procedió a realizar una radiografía de pelvis. (Fig. 1)

<p>Radiografía ventrodorsal de pelvis.</p>
Figura 1

Radiografía ventrodorsal de pelvis.

¿Cuáles son las alteraciones observadas en la radiografía?

En la radiografía de pelvis se observó una lesión monostótica en el cuerpo del ilion derecho, con un patrón geográfico de osteólisis, pobremente delimitada con interrupción del córtex y reacción perióstica irregular.

Los principales diagnósticos diferenciales para una lesión osteolítica son:

- Neoplasia ósea primaria

- Metástasis óseas

-Tumor maligno de tejidos blandos invadiendo hueso

- Mieloma múltiple

- Infección/Osteomielitis

- Quiste óseo

¿Cuál podría ser el siguiente paso en este caso para lograr un diagnóstico?

Debido a la alta sospecha de malignidad en la pelvis, sería recomendable realizar diagnóstico por imagen avanzado para determinar mejor los cambios óseos, de tejido blando y su extensión, para una mejor planificación quirúrgica.

Asimismo, resultaría esencial realizar el estadiaje del paciente mediante tomografía computerizada (TC) de tórax y abdomen.

Por lo tanto, para el estadiaje se realizó un TC de tórax y abdomen debido al potencial metastásico de los tumores que afectan a la pelvis. En el tórax no se observaron anormalidades patológicas, solo atelectasia pulmonar ventral, probablemente relacionada con la anestesia, y focos minerales en los lóbulos pulmonares compatibles con osteomas.

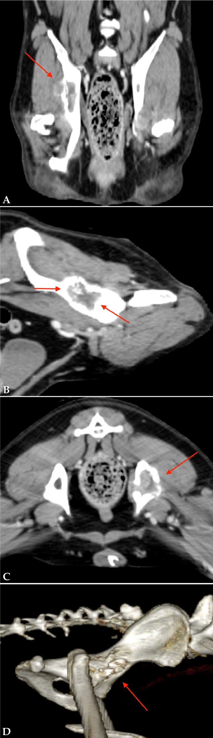
Se observó una lesión monostótica en el ilion, con afectación del acetábulo, compatible con neoplasia ósea primaria. Se visualizó también una lesión glútea profunda derecha compatible con invasión neoplásica, aunque no se podría excluir inflamación y/o edema (Fig. 2).

<p>(<strong>A</strong>) Imagen coronal del TC. (<strong>B</strong>) Imagen sagital del TC. (<strong>C</strong>) Imagen axial del TC. Se observa una lesión monostótica osteolítica y osteoproliferativa en el ilion, con afectación del acetábulo, compatible con neoplasia ósea primaria (flechas rojas). (<strong>D</strong>) Reconstrucción 3D de la lesión iliaca con afectación del acetábulo compatible con neoplasia ósea primaria.</p>
Figura 2

(A) Imagen coronal del TC. (B) Imagen sagital del TC. (C) Imagen axial del TC. Se observa una lesión monostótica osteolítica y osteoproliferativa en el ilion, con afectación del acetábulo, compatible con neoplasia ósea primaria (flechas rojas). (D) Reconstrucción 3D de la lesión iliaca con afectación del acetábulo compatible con neoplasia ósea primaria.

Según Barger et al. (2005), la citología es una herramienta con alta precisión para el diagnóstico de sarcomas y, en combinación con la tinción de fosfatasa alcalina, posee alta especificidad para apoyar el diagnóstico de osteosarcoma (OSA).[ Barger A, Graca R, Bailey K, et al: Use of alkaline phosphatase staining to differentiate canine osteosarcoma from other vimentin-positive tumors. Vet Pathol. 2005; 42(2): 161-165. [PubMed] ]

En los casos en que la citología es equívoca, el diagnóstico definitivo requiere de una evaluación histopatológica. La incisión en la piel/tracto para la biopsia debe ser pequeña y estar situada de forma que pueda extirparse por completo o incluirse con el tumor si se opta por la cirugía de salvamento de la extremidad o radioterapia.

La biopsia ósea puede realizarse de forma abierta mediante el uso del bisturí, tijeras y punch, o de forma cerrada/percutánea.

La ventaja de las técnicas abiertas es que se obtiene una muestra mayor de tejido, lo que presumiblemente mejora la probabilidad de establecer un diagnóstico histológico preciso. Desgraciadamente, esta ventaja puede verse contrarrestada por las desventajas de ser una intervención quirúrgica y el riesgo de complicaciones postquirúrgicas, como la formación de hematomas, dehiscencia de la incisión, infección, diseminación local del tumor y fractura patológica. Esto subraya algunas de las ventajas de una biopsia cerrada con una aguja de biopsia de médula ósea (Jamshidi) o un tipo de aguja similar.

En este caso, se realizaron aspiraciones con aguja fina del cuerpo del ilion y el informe citológico reportó un tumor maligno poco diferenciado con inflamación macrofágica y necrosis en el ilion derecho.

¿Cuál sería su plan terapéutico?

El paciente fue sometido a tratamiento quirúrgico que consistió en una hemipelvectomía craneal externa derecha y amputación de la extremidad posterior derecha, según la clasificación descrita por Bray (2014).[ Bray JP. Hemipelvectomy: modified surgical technique and clinical experiences from a retrospective study. Vet Surg. 2014; 43(1):19-26. [PubMed] ] Se realizó una incisión curvilínea desde la cresta ilíaca hasta un punto caudal al trocánter mayor del fémur. La incisión se extendió medialmente desde el pliegue inguinal hasta el isquion. Según Bray (2014), la técnica descrita para realizar una hemipelvectomía craneal externa consiste en la extirpación de la extremidad pélvica ipsilateral, el acetábulo y el ilion, extendiéndose hasta el nivel de la sínfisis púbica. Sin embargo, en este caso no se extendió hasta la sínfisis púbica, sino que se realizó una osteotomía en la región del pecten del pubis mediante el uso de una sierra oscilante. La osteotomía del isquion fue realizada con sierra oscilante y la articulación sacroilíaca fue desarticulada mediante el uso de martillo y osteotomo. Esta técnica permite preservar el lugar de origen de los músculos semimembranoso/semitendinoso, que pueden utilizarse para el cierre del defecto, los cuales fueron utilizados de esta forma en este caso. Posteriormente, se colocó un drenaje Jackson-Pratt y se procedió al cierre primario del defecto quirúrgico. Se realizó una radiografía ventrolateral de pelvis con propósito puramente académico. (Figs. 3 y 4).

<p>(<strong>A</strong>) Incisión curvilínea lateral y exposición de los músculos pélvicos laterales. (<strong>B</strong>) Incisión curvilínea medial desde el pliegue inguinal al isquion, uniéndose a la incisión lateral previa. (<strong>C</strong>) Exposición del pecten del pubis. (<strong>D</strong>) Exposición de la articulación sacroilíaca. (<strong>E</strong>) Defecto quirúrgico tras la hemipelvectomía craneal externa. (<strong>F</strong>) Los músculos semimembranoso y semitendinoso fueron preservados para cerrar el defecto. (<strong>G</strong>) Cierre quirúrgico y colocación de drenaje Jackson Pratt.</p>
Figura 3

(A) Incisión curvilínea lateral y exposición de los músculos pélvicos laterales. (B) Incisión curvilínea medial desde el pliegue inguinal al isquion, uniéndose a la incisión lateral previa. (C) Exposición del pecten del pubis. (D) Exposición de la articulación sacroilíaca. (E) Defecto quirúrgico tras la hemipelvectomía craneal externa. (F) Los músculos semimembranoso y semitendinoso fueron preservados para cerrar el defecto. (G) Cierre quirúrgico y colocación de drenaje Jackson Pratt.

<p>Radiografía postoperatorias de pelvis. (<strong>A</strong>) Ventrodorsal. (<strong>B</strong>) Mediolateral. Se observa la hemipelvectomía craneal externa derecha y amputación de la extremidad posterior derecha.</p>
Figura 4

Radiografía postoperatorias de pelvis. (A) Ventrodorsal. (B) Mediolateral. Se observa la hemipelvectomía craneal externa derecha y amputación de la extremidad posterior derecha.

Las muestras tomadas fueron enviadas al laboratorio para su análisis histológico.

El paciente se recuperó del procedimiento sin complicaciones y se mantuvo hospitalizado con analgesia: metadona (Comfortan® 10 mg/ml, Dechra, Norwich, Reino Unido) 0,2 mg/kg intravenosa (IV) cada 4 horas, ketamina (Anesketin® 100 mg/ml, Dechra, Norwich, Reino Unido) 5-10 µg/kg/min IV en infusión constante (CRI), paracetamol (Paracetamol B Braun® 10 mg/ml solución para infusión, Melsungem, Alemania) 10 mg/kg IV cada 8 horas, meloxicam (Metacam® 5 mg/ml, Boehringer Ingelheim, Ingelheim Rhein, Alemania) 0,2 mg/kg IV cada 24 horas dosis inicial y, posteriormente, a 0,1 mg/kg IV cada 24 horas, gabapentina (Gabapentin®, Tillomed Laboratories Ltd., Luton, Reino Unido) 10 mg/kg vía oral (PO) cada 12 horas, antibioterapia [cefuroxima (Zinacef®, GSK, Brentford, Reino Unido)] 20 mg/kg IV cada 8 horas; así como crioterapia, fluidoterapia (Aquafarm 11®, Animal care, York, Reino Unido) IV 2 ml/kg/h, y manejo del drenaje. El paciente permaneció hospitalizado con disponibilidad de una cama acolchada, y se utilizó un arnés de soporte (sling) para pasear durante 5 minutos 3-4 veces al día. El paciente fue dado de alta tras 4 días hospitalizado, con la siguiente medicación: antibioterapia con cefalexina (Rilexine® 600 mg Virbac, Suffolk, Reino Unido) 20 mg/kg PO cada 12 horas durante 1 semana y analgesia con meloxicam (Meloxicam® 1,5 mg/ml Boehringer Ingelheim, Ingelheim Rhein, Alemania) 0,1 mg/kg PO cada 24 horas durante 2 semanas, paracetamol (Paracetamol® 500 mg, Zentiva, London, Reino Unido) 10 mg/kg PO cada 12 horas durante 2 semanas y gabapentina (Gabapentin®, Tillomed Laboratories Ltd., Luton, Reino Unido) 10 mg/kg PO cada 12 horas durante 2 semanas (Fig. 5).

<p>El paciente en el postoperatorio inmediato en el que se observa una estética y funcionalidad adecuada y similar a una amputación de extremidad posterior.</p>
Figura 5

El paciente en el postoperatorio inmediato en el que se observa una estética y funcionalidad adecuada y similar a una amputación de extremidad posterior.

El diagnóstico histológico reportó una neoplasia poco diferenciada. Los diagnósticos diferenciales incluyeron: osteosarcoma poco diferenciado, fibrosarcoma o neoplasia de células redondas (menos probable). Los márgenes quirúrgicos no evidenciaron invasión tumoral.

Con objeto de intentar llegar a un diagnóstico más específico, se solicitó al laboratorio realizar inmunohistoquímica, pero resultó no concluyente debido a un fallo técnico en la fijación de la muestra. Sin embargo, se sugería un diagnóstico presuntivo de sarcoma debido al patrón de crecimiento y la morfología celular de la muestra.

Tras estos resultados, se recomendó quimioterapia adyuvante. Sin embargo, antes de comenzar este tratamiento quimioterápico se realizó una ecocardiografía, la cual reveló una leve reducción en la función sistólica, por lo que el tratamiento adyuvante consistió en 4 ciclos de carboplatino (Carboplatin® Hospira UK Ltd, Hurley, Reino Unido) a 300 mg/m2 IV. En la última sesión, se le ofreció al propietario realizar un reestadiaje (radiografías torácicas y ecografía abdominal), pero el propietario rechazó dichas pruebas. En general, el resultado quirúrgico fue excelente y el paciente se adaptó sin complicaciones a la marcha con 3 extremidades volviendo a su ejercicio regular tras completar el correspondiente reposo y recuperación postoperatorios. Además, no se reportaron efectos secundarios tras la administración de quimioterapia.

El seguimiento del paciente se detuvo a los 4 meses postquirúgicos debido a que el perro volvió a su veterinario referente para continuar con el seguimiento del caso.

Discusión

La hemipelvectomía puede ser un reto quirúrgico, ya que es una cirugía compleja y agresiva para el tratamiento de tumores malignos que afectan a la pelvis, el aspecto proximal de la extremidad pélvica, los tejidos blandos circundantes, los nervios periféricos adyacentes, o anomalías funcionales (por ejemplo, malunión o estenosis del canal pélvico). Además, requiere de un profundo conocimiento de la anatomía regional, una cuidadosa consideración de los aspectos ortopédicos, urinarios, intestinales, de la pared abdominal y tegumento, así como un amplio conocimiento de los principios de la cirugía oncológica.[ Kramer A, Walsh PJ, Seguin B. Hemipelvectomy in dogs and cats: technique overview, variations, and description. Vet Surg. 2008; 37(5): 413-419. [PubMed] , Hillman A, Hoffmann C, Gosheger G, et al: Tumors of the pelvis: complications after reconstruction. Arch Orthop Trauma Surg 2003; 123: 340-344. [PubMed] , Krijnen MR, Wuisman PI: Emergency hemipelvectomy as a result of uncontrolled infection after total hip arthroplasty: two case reports. J Arthroplast 2004; 19: 803-808. [PubMed] ]

Las variaciones de la hemipelvectomía se realizan en función del tipo de lesión y su localización. El término hemipelvectomía externa hace referencia al procedimiento que incluye la amputación, y cuando se preserva la extremidad es denominada hemipelvectomía interna, términos que se originaron en medicina humana.[ Bray JP. Hemipelvectomy: modified surgical technique and clinical experiences from a retrospective study. Vet Surg. 2014; 43(1):19-26. [PubMed] ]

Usando esta nomenclatura, pueden establecerse 6 categorías principales:

  1. Hemipelvectomía externa total
  2. Hemipelvectomía caudal externa
  3. Hemipelvectomía craneal externa
  4. Hemipelvectomía craneal interna (iliectomía)
  5. Hemipelvectomía caudal interna (isquiectomía)
  6. Hemipelvectomía media interna/externa (acetabulectomía)

Kramer et al. (2008) establecieron 4 categorías que permiten una planificación básica del procedimiento; sin embargo, puede ser necesario realizar variaciones debido a la condición específica del paciente.[ Kramer A, Walsh PJ, Seguin B. Hemipelvectomy in dogs and cats: technique overview, variations, and description. Vet Surg. 2008; 37(5): 413-419. [PubMed] ] Las 4 categorías descritas fueron las siguientes:

  1. Hemipelvectomía total
  2. Hemipelvectomía parcial central y caudal
  3. Hemipelvectomía parcial central y craneal
  4. Hemipelvectomía parcial caudal

Las complicaciones intraoperatorias suponen el mayor riesgo durante la hemipelvectomía debido a la complejidad de la anatomía regional.[ Barbur LA, Coleman KD, Schmiedt CW, Radlinsky MG. Description of the anatomy, surgical technique, and outcome of hemipelvectomy in 4 dogs and 5 cats. Vet Surg. 2015; 44(5): 613-626. [PubMed] ] La proximidad de la pelvis a las estructuras neurovasculares vitales se asocia con un mayor riesgo de hemorragia intraoperatoria y daño nervioso.

Las complicaciones postoperatorias tras las hemipelvectomías son poco frecuentes, pero incluyen la formación de hemorragias y hematomas, dehiscencia de la herida, hernia incisional, seroma, infección, estreñimiento, úlceras por presión, traumatismo o disfunción de la uretra y el recto, y la recurrencia del tumor. Cuando se toman las medidas de precaución adecuadas, los daños en el recto o la uretra son poco frecuentes. La recuperación postoperatoria es similar a la de las amputaciones de las extremidades pélvicas y se asocia a pocas complicaciones.[ Kramer A, Walsh PJ, Seguin B. Hemipelvectomy in dogs and cats: technique overview, variations, and description. Vet Surg. 2008; 37(5): 413-419. [PubMed] , Bray JP, Worley DR, Henderson RA, et al. Hemipelvectomy: outcome in 84 dogs and 16 cats. A veterinary society of surgical oncology retrospective study. Vet Surg. 2014; 43(1): 27-37. [PubMed] ]

La falta de información pronóstica dificulta el suministro de datos fiables a los clientes sobre las tasas de supervivencia esperadas después de la cirugía para los diferentes tipos de tumores, y el papel de la terapia adyuvante se ha determinado generalmente mediante la extrapolación de información sobre el comportamiento del tumor en diferentes lugares anatómicos.[ Bray JP, Worley DR, Henderson RA, et al. Hemipelvectomy: outcome in 84 dogs and 16 cats. A veterinary society of surgical oncology retrospective study. Vet Surg. 2014; 43(1): 27-37. [PubMed] ] La literatura sugiere que la tolerancia de la cirugía es buena, con resultados intraoperatorios y postoperatorios similares a los experimentados con la amputación.[ Barbur LA, Coleman KD, Schmiedt CW, Radlinsky MG. Description of the anatomy, surgical technique, and outcome of hemipelvectomy in 4 dogs and 5 cats. Vet Surg. 2015; 44(5): 613-626. [PubMed] ]

En resumen, la hemipelvectomía es un procedimiento quirúrgico viable para el tratamiento de una amplia variedad de tipos de tumores localizados en la pelvis o la musculatura pélvica. Los tumores en esta localización suelen ser muy grandes en el momento del diagnóstico y, a primera vista, puede parecer poco probable que se pueda lograr un tratamiento eficaz. La selección de casos para la cirugía es similar a la amputación de la extremidad pélvica, si se requiere el sacrificio de la extremidad. Una técnica de hemipelvectomía guiada por una disección anatómica precisa de la extremidad pélvica permite la resección compartimental de la mayoría de los tumores con márgenes quirúrgicos limpios y no suele asociarse a un alto grado de morbilidad intraoperatoria o postoperatoria.[ Bray JP. Hemipelvectomy: modified surgical technique and clinical experiences from a retrospective study. Vet Surg. 2014; 43(1):19-26. [PubMed] ]

 

Fuente de financiación: este trabajo no se realizó con fondos comerciales, públicos o del sector privado.

Conflicto de intereses: los autores declaran que no existe conflicto de intereses.

Bibliografía

  1. [1] Barger A, Graca R, Bailey K, et al: Use of alkaline phosphatase staining to differentiate canine osteosarcoma from other vimentin-positive tumors. Vet Pathol. 2005; 42(2): 161-165. [PubMed]
  2. [2] Bray JP. Hemipelvectomy: modified surgical technique and clinical experiences from a retrospective study. Vet Surg. 2014; 43(1):19-26. [PubMed]
  3. [3] Kramer A, Walsh PJ, Seguin B. Hemipelvectomy in dogs and cats: technique overview, variations, and description. Vet Surg. 2008; 37(5): 413-419. [PubMed]
  4. [4] Hillman A, Hoffmann C, Gosheger G, et al: Tumors of the pelvis: complications after reconstruction. Arch Orthop Trauma Surg 2003; 123: 340-344. [PubMed]
  5. [5] Krijnen MR, Wuisman PI: Emergency hemipelvectomy as a result of uncontrolled infection after total hip arthroplasty: two case reports. J Arthroplast 2004; 19: 803-808. [PubMed]
  6. [6] Barbur LA, Coleman KD, Schmiedt CW, Radlinsky MG. Description of the anatomy, surgical technique, and outcome of hemipelvectomy in 4 dogs and 5 cats. Vet Surg. 2015; 44(5): 613-626. [PubMed]
  7. [7] Bray JP, Worley DR, Henderson RA, et al. Hemipelvectomy: outcome in 84 dogs and 16 cats. A veterinary society of surgical oncology retrospective study. Vet Surg. 2014; 43(1): 27-37. [PubMed]

Artículos recomendados

Estas recomendaciones se ofrecen de forma automática.

  • Caso clínico de… Urgencias

    I. Sunyer
    Clin Vet Peq Anim Vol. 45 - Nº 2 · JUN 2025 · Caso Clínico de...
  • Caso clínico de… Cirugía de tejidos blandos

    N. Jurado, L. Fresno, L. Santos
    Clin Vet Peq Anim Vol. 44 - Nº 1 · MAR 2024 · Caso Clínico de...
  • Caso clínico de… Urgencias

    M. Solana, C. Gómez-Ullate, J.L. Puchol, et al.
    Clin Vet Peq Anim Vol. 43 - Nº 4 · DIC 2023 · Caso Clínico de...
  • Inicio
  • Historia clínica
  • ¿Cuáles son las alteraciones observadas en la radiografía?
  • ¿Cuál podría ser el siguiente paso en este caso para lograr un diagnóstico?
  • ¿Cuál sería su plan terapéutico?
  • Discusión
  • Bibliografía
Artículo anterior Índice de la revista Artículo siguiente
ANUNCIO
Próximos cursos ATVs Elearning
Índice
Inicio Historia clínica ¿Cuáles son las alteraciones observadas en la radiografía? ¿Cuál podría ser el siguiente paso en este caso para lograr un diagnóstico? ¿Cuál sería su plan terapéutico? Discusión Bibliografía
Purina Calming Care
ANUNCIO

¿No eres socio de AVEPA y quieres recibir comunicación de las nuevas ediciones en tu correo?

Suscríbete

Suscríbete y te avisaremos cuando publiquemos un nuevo número

Suscribirme

Enlaces rápidos

  • Inicio
  • Último número
  • Archivo
  • Artículos

Información

  • Comité editorial
  • Política de cookies
  • Política de privacidad
  • Términos y condiciones

Contacto

  • info@imaginice.com
  • Envíanos tu artículo
© 2026 Ice Salud Vet SL. Todos los derechos reservados.

Usamos cookies para mejorar tu experiencia. Selecciona cuáles aceptas: