Logo AVEPA

Clínica Veterinaria de Pequeños Animales

Revista oficial de AVEPA

  • Inicio
  • Último número
  • Archivo
  • Artículos
  • Para autores
  • Contacto
Cursos Junio-Septiembre 2026
ANUNCIO

Clínica Veterinaria de Pequeños Animales

Revista oficial de AVEPA

  • Inicio
  • Último número
  • Archivo
  • Artículos
  • Para autores
  • Contacto
Curso Oftalmología 2026
ANUNCIO
Clin Vet Peq Anim Vol. 42 • Nº 1 • marzo 2022

¿Cuál es tu diagnóstico?

¿Cuál es tu diagnóstico?

A. Guzmán

Hospital Veterinario Puchol. c/ Sauceda 8. 28050 Madrid.

P. Godinho

Hospital Veterinario Puchol. c/ Sauceda 8. 28050 Madrid.

A. Segarra

Hospital Veterinario Puchol. c/ Sauceda 8. 28050 Madrid.

Contacto: albagsvet@gmail.com
Descargar artículo

Historia clínica

Acudió a consulta una gata de 10 años castrada de raza Himalaya remitida de su clínica veterinaria habitual por un episodio de síncope. La exploración física general realizada en consulta fue compatible con la normalidad. Se realizó analítica sanguínea completa donde la bioquímica era normal; sin embargo, en el hemograma se observó leucocitosis linfocítica (leucocitos 23,24 K/µl, valor de referencia: 2,87-17,02 K/µl; linfocitos 14,83 K/µl, valor de referencia: 0,92-6,88 K/µl). Se realizaron radiografías de tórax en proyecciones laterolateral izquierda y ventrodorsal (Fig. 1).

<p>Radiografías de tórax. (<strong>A</strong>) Proyección laterolateral izquierda. (<strong>B</strong>) Proyección ventrodorsal.</p>
Figura 1

Radiografías de tórax. (A) Proyección laterolateral izquierda. (B) Proyección ventrodorsal.

Descripción de las alteraciones radiográficas observadas

Se aprecia una lesión de opacidad tejido blando situada en la zona craneoventral del tórax (Fig. 2). Esta es de gran tamaño y ocupa gran parte del hemitórax izquierdo. No se pueden delimitar correctamente los márgenes de dicha estructura por presencia de la silueta cardíaca. Esta lesión produce un efecto masa con desplazamiento del corazón dorsocaudalmente y hacia el lado derecho, así como desplazamiento de la tráquea dorsalmente y de la carina dorsocaudalmente.

<div class=\"Basic-Text-Frame\">
<p>Radiografías de la Figura 1. Se aprecia una lesión en el mediastino craneoventral que produce un efecto masa (flechas amarillas). L: izquierda.</p>
</div>
Figura 2

Radiografías de la Figura 1. Se aprecia una lesión en el mediastino craneoventral que produce un efecto masa (flechas amarillas). L: izquierda.

Diagnósticos compatibles con los signos radiográficos observados

Los hallazgos radiográficos observados sugieren la presencia de una masa en el mediastino craneoventral. El diagnóstico diferencial de la masa incluye, entre otros, neoplasia (timoma, linfoma o carcinoma ectópico de tiroides), quiste mediastínico, absceso, hematoma, granuloma y linfadenopatía.

¿Es necesario realizar otras técnicas de diagnóstico por imagen o pruebas para alcanzar el diagnóstico definitivo?

Las radiografías de tórax permiten evaluar la localización, el tamaño, la forma y la opacidad; sin embargo, no permiten llegar a un diagnóstico definitivo. Mediante la citología de la masa se alcanza en algunos casos un diagnóstico presuntivo, pero en ocasiones la muestra puede no ser representativa. La tomografía computarizada (TC) permite determinar de forma más precisa las características de la masa y el grado de invasión en tejidos adyacentes con el objetivo de planificar la cirugía.

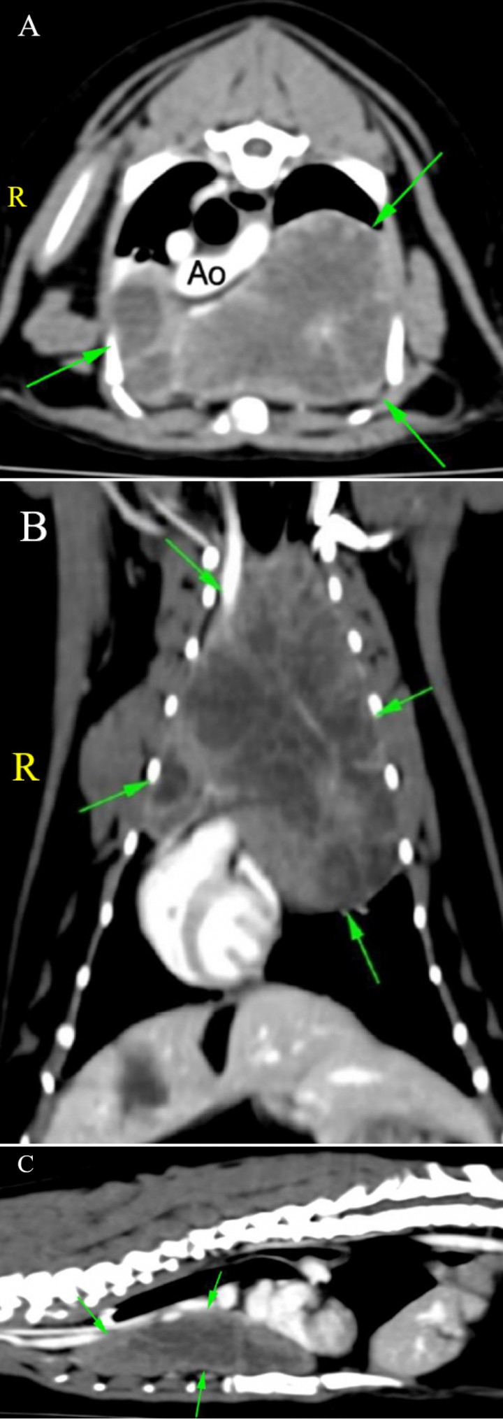
Se realizó TC de tórax y abdomen (Fig. 3). En el tórax se apreció una masa de grandes dimensiones (7,8 x 4 x 5 cm), hipodensa, que mostraba un realce heterogéneo tras la administración de contraste, localizada en el mediastino craneoventral y lateralizada a la izquierda. Esta producía un moderado efecto masa con desplazamiento de la tráquea y los vasos mediastínicos hacia dorsal y a la derecha, así como el corazón hacia caudal y a la derecha. No se observó evidencia de metástasis a nivel torácico ni abdominal.

<p>Imágenes de TC de tórax en ventana tejido blando postcontraste. (<strong>A</strong>) Plano transversal. (<strong>B</strong>) Plano dorsal. (<strong>C</strong>) Plano sagital. Se observa una masa en el mediastino craneoventral de grandes dimensiones (flechas verdes). (R: derecha). Ao: arteria aorta.</p>
Figura 3

Imágenes de TC de tórax en ventana tejido blando postcontraste. (A) Plano transversal. (B) Plano dorsal. (C) Plano sagital. Se observa una masa en el mediastino craneoventral de grandes dimensiones (flechas verdes). (R: derecha). Ao: arteria aorta.

El diagnóstico presuntivo fue una masa mediastínica craneoventral compatible con timoma, tal y como mostraba la citología previa realizada en su veterinario habitual. Otras causas menos probables eran linfoma y carcinoma ectópico de tiroides.

El tratamiento consistió en la extirpación quirúrgica de la masa mediante esternotomía media (Fig. 4). Se pudo preservar la esternebra caudal intacta facilitando el cierre posterior de la esternotomía. Se envió una muestra de la masa para biopsiar.

<p>Imagen de la masa mediastínica durante su extirpación quirúrgica.</p>
Figura 4

Imagen de la masa mediastínica durante su extirpación quirúrgica.

El resultado de la biopsia concluyó que se trataba de un timoma de tipo B1. El examen microscópico confirmó la presencia de una proliferación homogénea de linfocitos de pequeño tamaño con actividad mitótica y de áreas con células de mayor tamaño de tipo epitelial que se consideraron parte de un timoma. No se observaron células tumorales en los márgenes de la muestra, por lo que la resección fue completa (Fig. 5).

<p>Radiografías de tórax postquirúrgicas. (<strong>A</strong>) Proyección dorsoventral. (<strong>B</strong>) Proyección laterolateral derecha. Se observa la zona donde se localizaba el timoma con opacidad gas tras su extirpación quirúrgica (círculo amarillo).</p>
Figura 5

Radiografías de tórax postquirúrgicas. (A) Proyección dorsoventral. (B) Proyección laterolateral derecha. Se observa la zona donde se localizaba el timoma con opacidad gas tras su extirpación quirúrgica (círculo amarillo).

Comentario

Los timomas son neoplasias que se originan en el timo, la mayoría son benignas y no suelen metastatizar a otros órganos. Se localizan en el mediastino craneal, más frecuentemente en la zona ventral, dado el pequeño tamaño del mediastino en el gato. Los linfomas, al contrario que los timomas, se encuentran más comúnmente en la zona dorsal y pueden afectar tanto al timo como a los linfonodos mediastínicos y esternales.[ Nelson R: Approach to the Patient with a Mass. En: Nelson R, Couto G (ed): Small Animal Internal Medicine. Third Edition. Mosby, 2003; 1119-1120. ] El timoma es un tumor que aparece en pacientes de edad avanzada, siendo la edad media entre 8 y 12 años, a diferencia del linfoma que aparece en animales jóvenes.[ Nelson R: Approach to the Patient with a Mass. En: Nelson R, Couto G (ed): Small Animal Internal Medicine. Third Edition. Mosby, 2003; 1119-1120. , Radlinsky MG: Thoracic cavity. En Johnston S, Tobias K (ed): Veterinary Surgery Small Animal. Second Edition. Elsevier. 2017; 2044-2047. , Withrow SJ. Thymoma. In: Withrow SJ, MacEwan EG (ed): Small Animal Clinical Oncology, 3rd ed. Philadelphia (PA), WB Saunders, 2001; 646-651. ]

Los signos clínicos se caracterizan por debilidad, anorexia, letargia, disnea, taquipnea, tos, efusión pleural, vómitos, regurgitaciones, pérdida de peso, polidipsia, poliuria, síndrome de la vena cava craneal y enfermedades inmunomediadas secundarias como polimiositis, miastenia gravis y dermatitis.[ Radlinsky MG: Thoracic cavity. En Johnston S, Tobias K (ed): Veterinary Surgery Small Animal. Second Edition. Elsevier. 2017; 2044-2047. , Withrow SJ. Thymoma. In: Withrow SJ, MacEwan EG (ed): Small Animal Clinical Oncology, 3rd ed. Philadelphia (PA), WB Saunders, 2001; 646-651. ]

En cuanto a las pruebas complementarias necesarias, las radiografías de tórax son útiles para los diferenciales de tumores mediastínicos por su localización específica en el mediastino craneal. En la imagen radiológica se observa una lesión de opacidad tejido blando en el mediastino craneal, pérdida de definición de los márgenes de la silueta cardíaca y, en ocasiones, efusión pleural. La tomografía computerizada permite identificar metástasis, como nódulos pulmonares, y presencia de invasión de tejidos vasculares adyacentes, con el objetivo de determinar el pronóstico.[ Nelson R: Approach to the Patient with a Mass. En: Nelson R, Couto G (ed): Small Animal Internal Medicine. Third Edition. Mosby, 2003; 1119-1120. , Yoon J, Feeney D, Cronk D, Anderson K, Ziegler L. Computed tomographic evaluation of canine and feline mediastinal masses in 14 patients. Vet Radiol Ultrasound 2004; 45(6): 542-546. [PubMed] ]

La citología ecoguiada de la masa permite en algunas ocasiones llegar a un diagnóstico, aunque no siempre es posible. El diagnóstico definitivo se realiza mediante la biopsia de la masa, observando una población heterogénea compuesta principalmente por linfocitos de pequeño tamaño y ocasionalmente células epiteliales con forma predominantemente poligonal.[ Nelson R: Approach to the Patient with a Mass. En: Nelson R, Couto G (ed): Small Animal Internal Medicine. Third Edition. Mosby, 2003; 1119-1120. , Withrow SJ. Thymoma. In: Withrow SJ, MacEwan EG (ed): Small Animal Clinical Oncology, 3rd ed. Philadelphia (PA), WB Saunders, 2001; 646-651. ]

El tratamiento de elección es la extirpación quirúrgica del timoma mediante esternotomía media o, menos frecuentemente, toracotomía. En la mayoría de los casos se puede realizar una resección completa de la masa, siendo el tratamiento curativo. La supervivencia media después de la resección quirúrgica del timoma es de entre 1 y 3 años.[ Radlinsky MG: Thoracic cavity. En Johnston S, Tobias K (ed): Veterinary Surgery Small Animal. Second Edition. Elsevier. 2017; 2044-2047. , Zitz JC et al. Results of excision of thymoma in cats and dogs: 20 cases (1984-2005). J Am Vet Med Assoc 2008; 232(8): 1186-1192. [PubMed] ]

En aquellos pacientes en los que la extirpación quirúrgica completa no es posible, otros tratamientos alternativos son la quimioterapia o la radioterapia paliativas.[ Withrow SJ. Thymoma. In: Withrow SJ, MacEwan EG (ed): Small Animal Clinical Oncology, 3rd ed. Philadelphia (PA), WB Saunders, 2001; 646-651. ]

En conclusión, el timoma es una neoplasia que debe ser contemplada como diagnóstico diferencial cuando existe una masa mediastínica, sobre todo si está localizada en la zona craneoventral y se trata de un paciente de edad avanzada.

 

Fuente de financiación: este trabajo no se ha realizado con fondos comerciales, públicos o del sector privado.

Conflicto de intereses: los autores declaran que no existe conflicto de intereses.

Bibliografía

  1. [1] Nelson R: Approach to the Patient with a Mass. En: Nelson R, Couto G (ed): Small Animal Internal Medicine. Third Edition. Mosby, 2003; 1119-1120.
  2. [2] Radlinsky MG: Thoracic cavity. En Johnston S, Tobias K (ed): Veterinary Surgery Small Animal. Second Edition. Elsevier. 2017; 2044-2047.
  3. [3] Withrow SJ. Thymoma. In: Withrow SJ, MacEwan EG (ed): Small Animal Clinical Oncology, 3rd ed. Philadelphia (PA), WB Saunders, 2001; 646-651.
  4. [4] Yoon J, Feeney D, Cronk D, Anderson K, Ziegler L. Computed tomographic evaluation of canine and feline mediastinal masses in 14 patients. Vet Radiol Ultrasound 2004; 45(6): 542-546. [PubMed]
  5. [5] Zitz JC et al. Results of excision of thymoma in cats and dogs: 20 cases (1984-2005). J Am Vet Med Assoc 2008; 232(8): 1186-1192. [PubMed]

Artículos recomendados

Estas recomendaciones se ofrecen de forma automática.

  • ¿Cuál es tu diagnóstico?
    L. Martín-Carrasco, E. Mínguez-Pereira, R. Salgüero-Fernández, et al.
    Clin Vet Peq Anim Vol. 46 - Nº 1 · MAR 2026 · ¿Cuál es tu diagnóstico?
  • ¿Cuál es tu diagnóstico?
    D. Marbella, A.M. Hernández-Guerra, L. Montalvà-Minguet
    Clin Vet Peq Anim Vol. 45 - Nº 4 · DIC 2025 · ¿Cuál es tu diagnóstico?
  • ¿Cuál es tu diagnóstico?

    J.D. Carrillo, M. Soler, M.S. Echalecu, et al.
    Clin Vet Peq Anim Vol. 45 - Nº 3 · SEP 2025 · ¿Cuál es tu diagnóstico?
  • Inicio
  • Historia clínica
  • Descripción de las alteraciones radiográficas observadas
  • Diagnósticos compatibles con los signos radiográficos observados
  • ¿Es necesario realizar otras técnicas de diagnóstico por imagen o pruebas para alcanzar el diagnóstico definitivo?
  • Comentario
  • Bibliografía
Artículo anterior Índice de la revista Artículo siguiente
ANUNCIO
Próximos cursos ATVs Elearning
Índice
Inicio Historia clínica Descripción de las alteraciones radiográficas observadas Diagnósticos compatibles con los signos radiográficos observados ¿Es necesario realizar otras técnicas de diagnóstico por imagen o pruebas para alcanzar el diagnóstico definitivo? Comentario Bibliografía
Purina Calming Care
ANUNCIO

¿No eres socio de AVEPA y quieres recibir comunicación de las nuevas ediciones en tu correo?

Suscríbete

Suscríbete y te avisaremos cuando publiquemos un nuevo número

Suscribirme

Enlaces rápidos

  • Inicio
  • Último número
  • Archivo
  • Artículos

Información

  • Comité editorial
  • Política de cookies
  • Política de privacidad
  • Términos y condiciones

Contacto

  • info@imaginice.com
  • Envíanos tu artículo
© 2026 Ice Salud Vet SL. Todos los derechos reservados.

Usamos cookies para mejorar tu experiencia. Selecciona cuáles aceptas: