Logo AVEPA

Clínica Veterinaria de Pequeños Animales

Revista oficial de AVEPA

  • Inicio
  • Último número
  • Archivo
  • Artículos
  • Para autores
  • Contacto
Cursos Junio-Septiembre 2026
ANUNCIO

Clínica Veterinaria de Pequeños Animales

Revista oficial de AVEPA

  • Inicio
  • Último número
  • Archivo
  • Artículos
  • Para autores
  • Contacto
Curso Oftalmología 2026
ANUNCIO
Clin Vet Peq Anim Vol. 42 • Nº 2 • junio 2022

Caso clínico de Anestesia

Caso Clínico de...

M. Alamán

Hospital Veterinario Anicura Valencia Sur. Av. de Picassent 28. 46460 Silla (Valencia). Departamento de Patología Animal, Facultad de Veterinaria, Universidad de Zaragoza. c/ Miguel Servet 177. 50013 Zaragoza.

C. Lorente

Hospital Veterinario Anicura Valencia Sur. Av. de Picassent 28. 46460 Silla (Valencia).

A. Laborda

Departamento de Patología Animal, Facultad de Veterinaria, Universidad de Zaragoza. c/ Miguel Servet 177. 50013 Zaragoza.

A. Costas

Hospital Veterinario Anicura Valencia Sur. Av. de Picassent 28. 46460 Silla (Valencia).

C. Bonastre

Departamento de Patología Animal, Facultad de Veterinaria, Universidad de Zaragoza. c/ Miguel Servet 177. 50013 Zaragoza.

Contacto: malamanv@gmail.com
Descargar artículo

Historia clínica

Se remite al servicio de cirugía de nuestro hospital veterinario un perro macho mestizo de 13 años de edad y 8,8 kg, por la presencia de una masa de gran tamaño en la pared abdominal izquierda de varios meses de evolución. A la palpación, la lesión infiltraba la musculatura adyacente, era de consistencia blanda y no dolorosa. Las mucosas presentaban un aspecto rosado, el tiempo de relleno capilar era inferior a 2 segundos y el pulso femoral era fuerte, regular, bilateral y sincrónico. En la auscultación cardíaca y pulmonar no hubo hallazgos reseñables, la frecuencia cardíaca fue de 84 lpm y la frecuencia respiratoria de 24 rpm. No se observó dolor a la palpación del abdomen. Se realizaron múltiples punciones de la masa para su posterior estudio citológico siendo el resultado compatible con un lipoma. No se observaron células con criterios de malignidad.

Dado el gran tamaño de la masa, se realizó una tomografía computarizada (TC) con el objetivo de evaluar los límites de la lesión y descartar la posible invasión de la cavidad abdominal. Se realizó una valoración preanestésica previa a la TC que incluyó como pruebas complementarias un hemograma y perfil bioquímico completos, donde no se observaron alteraciones reseñables. Los hallazgos observados tras la TC fueron compatibles con un lipoma infiltrativo (11,5 cm de largo, por 8 cm de ancho y 4,5 cm de altura) que se extendía desde el área de proyección de T12 hasta L6, entre los músculos oblicuo interno y transverso del abdomen (Fig. 1). En el mismo estudio se observaron, de forma accidental, una neoplasia gástrica (Fig. 2) y una lesión hepática, de aspecto quístico y 2,8 cm de diámetro en el lóbulo medial izquierdo. Dados los resultados obtenidos, se amplió el estudio de TC a la región torácica donde no se observaron alteraciones reseñables. Se realizaron citologías de las lesiones hepática y gástrica en las que se obtuvo un resultado compatible con hiperplasia nodular para la lesión en hígado y con leiomioma como diagnóstico más probable en estómago. Se planteó la resección quirúrgica de las lesiones localizadas en pared abdominal y estómago y la toma de biopsias de la lesión hepática. El paciente fue clasificado como ASA III en el momento de la TC y cirugía.

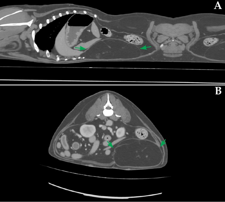
<p>Imagen postcontraste sagital (<strong>A</strong>) y axial (<strong>B</strong>) de TC, en ventana tejido blando, donde se observa una masa ovalada de radiopacidad grasa (flechas) localizada en el flanco izquierdo, entre el músculo oblicuo interno y transverso, y que desplaza algunas vísceras abdominales.</p>
Figura 1

Imagen postcontraste sagital (A) y axial (B) de TC, en ventana tejido blando, donde se observa una masa ovalada de radiopacidad grasa (flechas) localizada en el flanco izquierdo, entre el músculo oblicuo interno y transverso, y que desplaza algunas vísceras abdominales.

<div class=\"Basic-Text-Frame\">
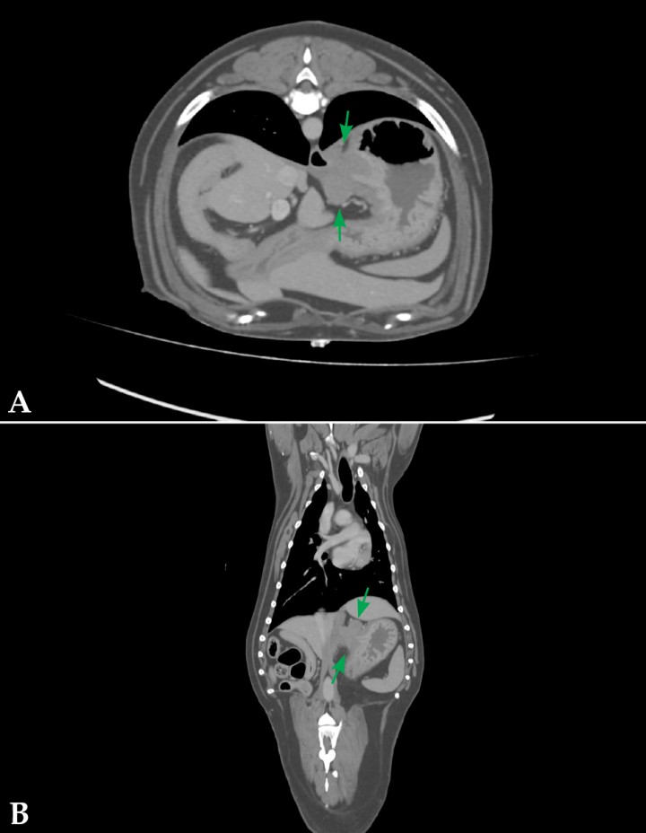
<p>Imagen postcontraste axial (<strong>A</strong>) y dorsal (<strong>B</strong>) de TC, en ventana tejido blando, donde se observa una masa excéntrica (flechas), bien delimitada, que parte de la capa muscular del estómago, caudal y medial al cardias.</p>
</div>
Figura 2

Imagen postcontraste axial (A) y dorsal (B) de TC, en ventana tejido blando, donde se observa una masa excéntrica (flechas), bien delimitada, que parte de la capa muscular del estómago, caudal y medial al cardias.

¿Cuál sería tu planteamiento anestésico para la cirugía del caso descrito?

En el caso presentado, la premedicación consistió en la administración intravenosa (IV) de 0,2 mg/kg de metadona (Senfortan, Dechra, AE Bladel). Previamente a la inducción anestésica, el paciente fue preoxigenado durante 5 minutos con un flujo de oxígeno al 100 % de 200 mL/kg/min. Después de la inducción, llevada a cabo con propofol (3 mg/kg; Propofol lipuro, B. Braun, Melsungen) y midazolam (0,3 mg/kg; Midazolam B. Braun, B. Braun, Melsungen) IV, se realizó la intubación orotraqueal del paciente con un tubo endotraqueal de 9 mm de diámetro interno. El mantenimiento anestésico se realizó con isoflurano (Isoflo, Zoetis, Louvain-la-Nouve) y un flujo de gases frescos de 20 mL/kg/min. La FiO2 se mantuvo en 0,4 durante todo el procedimiento anestésico, manteniéndose una SpO2 superior al 97 %. Se estableció una pauta de fluidoterapia con Ringer lactato y un ritmo de infusión de 5 mL/kg/h. El paciente fue ventilado mecánicamente en modo volumen control con un volumen Tidal de 15 mL/kg y una frecuencia respiratoria de 14-18 rpm, lo que permitió mantener unos niveles de EtCO2 entre 35 y 45 mm Hg, y se instauró una PEEP de 4 cm de H20. La “driving pressure” se mantuvo entre 10 y 12 cm H20 durante todo el procedimiento. Como parte de un planteamiento anestésico multimodal, se realizó un bloqueo bilateral del plano del músculo cuadrado lumbar a nivel de L1. La monitorización anestésica incluyó frecuencia cardiaca (FC), frecuencia respiratoria (FR), presión arterial invasiva (PA) mediante cateterización de una arteria pedal dorsal, SpO2, EtISO y EtCO2. Estos parámetros fueron registrados inmediatamente antes de comenzar el estímulo quirúrgico y, una vez comenzada la cirugía, cada 5 minutos. El registro anestésico se dividió en las siguientes fases: incisión cutánea, extirpación de la masa abdominal, extirpación de la masa gástrica, hepatectomía parcial y síntesis de la laparotomía. Se estableció que, con el paciente en un plano de inconsciencia adecuado, un incremento del 20 % de la FC, FR y/o PA media respecto a los niveles preincisionales supondría la administración de analgesia de rescate con fentanilo (Fentanest, Kern Pharma, Terrassa) IV (3 µg/kg).

Durante la cirugía, la FC se mantuvo en valores comprendidos entre 120 y 127 lpm, la FR entre 14 y 18 rpm y la PA media entre 77 y 91 mmHg. No fue necesaria la administración de fentanilo durante la cirugía. Los niveles de EtISO se mantuvieron entre 0,88 y 1,01 %. El tiempo anestésico fue de aproximadamente 1 hora, mientras que la cirugía se prolongó 45 minutos.

¿Qué técnicas de anestesia locorregional podrían ser aplicadas en el caso descrito?

En cirugía abdominal se ha descrito el empleo de técnicas neuroaxiales, como la anestesia epidural, y de bloqueos fasciales, tales como el del plano del cuadrado lumbar, el bloqueo paravertebral torácico, el bloqueo del plano transverso del abdomen y el bloqueo del plano erector espinal. En este caso se realizó un bloqueo guiado por ecografía (Mindray M9 Vet, Mindray Bio-Medical Electronics Co., China) del plano dorsal del cuadrado lumbar (D-QLP) 20 minutos antes de comenzar el procedimiento quirúrgico. Para ello, con el paciente en decúbito lateral y el transductor (14-6 MHz, L14 – 6Ns, Mindray Bio-Medical Electronics Co., Shenzhen, China) posicionado caudal y paralelo a la última costilla y el marcador orientado dorsalmente, se avanzó una aguja espinal (22 G y 63 mm) siguiendo una dirección ventrodorsal mediante una técnica “in plane”, hasta situar la punta de esta en el plano comprendido entre el cuerpo vertebral de L1, su proceso transverso y el aspecto dorsal del músculo cuadrado lumbar. El bloqueo se realizó de forma bilateral inyectando 0,5 mL/kg de bupivacaína al 0,25 % (Bupivacaina B. Braun, B. Braun, Melsungen) a nivel de L1 (Figs. 3 y 4).

<p>Abordaje ecoguiado del plano dorsal del músculo cuadrado lumbar a nivel de la vértebra L1. El transductor fue posicionado paralelo y caudal a la última costilla, con el marcador localizado dorsalmente, y ligeramente orientado en dirección ventrodorsal. La flecha blanca indica la dirección de la aguja empleando una técnica “en plano”. Cr: craneal; Ca: caudal; D: dorsal; V: ventral. La línea blanca discontinua indica la posición de la última costilla.</p>
Figura 3

Abordaje ecoguiado del plano dorsal del músculo cuadrado lumbar a nivel de la vértebra L1. El transductor fue posicionado paralelo y caudal a la última costilla, con el marcador localizado dorsalmente, y ligeramente orientado en dirección ventrodorsal. La flecha blanca indica la dirección de la aguja empleando una técnica “en plano”. Cr: craneal; Ca: caudal; D: dorsal; V: ventral. La línea blanca discontinua indica la posición de la última costilla.

<p>Imagen ecográfica de la aguja con la punta posicionada en el plano dorsal del músculo cuadrado lumbar, adyacente al cuerpo vertebral y proceso transverso de L1. CL: cuadrado lumbar; CV: cuerpo vertebral; D: dorsal; EE: erector espinal; FT: fascia transversal; FTL: fascia toracolumbar; L: lateral; M: medial; OE: oblicuo externo; OI: oblicuo interno; PA: punta de la aguja; PM: psoas menor; PT: proceso transversal; V: ventral.</p>
Figura 4

Imagen ecográfica de la aguja con la punta posicionada en el plano dorsal del músculo cuadrado lumbar, adyacente al cuerpo vertebral y proceso transverso de L1. CL: cuadrado lumbar; CV: cuerpo vertebral; D: dorsal; EE: erector espinal; FT: fascia transversal; FTL: fascia toracolumbar; L: lateral; M: medial; OE: oblicuo externo; OI: oblicuo interno; PA: punta de la aguja; PM: psoas menor; PT: proceso transversal; V: ventral.

¿Cuál es el objetivo del bloqueo del plano del cuadrado lumbar?

El bloqueo del cuadrado lumbar consiste en la inyección de anestésico local en un plano fascial adyacente al músculo cuadrado lumbar (QL), con el objetivo de desensibilizar los nervios espinales toracolumbares y el tronco simpático y proporcionar analgesia somática y visceral al abdomen.[ Elsharkawy H, El-Boghdadly K, Barrington M: Quadratus lumborum block: anatomical concepts, mechanisms, and techniques. Anesthesiology 2019; 130: 322-335. [PubMed] ] Se trata de una técnica eficaz para el control del dolor perioperatorio en seres humanos sometidos a cirugía abdominal y ortopédica,[ Elsharkawy H, El-Boghdadly K, Barrington M: Quadratus lumborum block: anatomical concepts, mechanisms, and techniques. Anesthesiology 2019; 130: 322-335. [PubMed] , Kim SH, Kim N, Lee B et al.: Effectiveness of quadratus lumborum block for postoperative pain: a systematic review and meta-analysis. Minerva Anesthesiol 2020: 86: 554-564. [PubMed] ] postulándose como alternativa a la anestesia epidural y al bloqueo del plano transverso del abdomen (TAP), con menos complicaciones y un control del dolor superior, respectivamente.[ İpek CB, Kara D, Yılmaz S et al.: Comparison of ultrasound-guided transversus abdominis plane block, quadratus lumborum block, and caudal epidural block for perioperative analgesia in pediatric lower abdominal surgery. Turk J Med Sci 2019; 49: 1395-1402. [PubMed] ]

¿Qué abordajes ecoguiados conoces para la realización del bloqueo del plano del cuadrado lumbar en perros?

Se han descrito múltiples abordajes guiados por ecografía para el bloqueo del plano del cuadrado lumbar (QLP) en humanos.[ Elsharkawy H, El-Boghdadly K, Barrington M: Quadratus lumborum block: anatomical concepts, mechanisms, and techniques. Anesthesiology 2019; 130: 322-335. [PubMed] ] En la especie canina se han descrito dos abordajes ecoguiados en estudios cadavéricos que permiten la inyección de una solución inyectable en el plano transmuscular comprendido entre los músculos QL y psoas menor (T-QLP);[ Garbin M, Portela DA, Bertolizio G et al.: Description of ultrasound-guided quadratus lumborum block technique and evaluation of injectate spread in canine cadavers. Vet Anaesth Analg 2020a; 47: 249-258. [PubMed] , Viscasillas J, Terrado J, Marti-Scharfhausen R et al.: A modified approach for the ultrasound-guided quadratus lumborum block in dogs: a cadaveric study. Animals 2021; 11(10): 2945. [PubMed] ] dos abordajes (sagital y transversal) para acceder al plano comprendido entre el aspecto lateral del músculo QL y la fascia toracolumbar;[ Garbin M, Portela DA, Bertolizio G et al.: A novel ultrasound-guided lateral quadratus lumborum block in dogs: a comparative cadaveric study of two approaches. Vet Anaesth Analg 2020b; 47: 810-818. [PubMed] ] y un abordaje para llevar a cabo la inyección de una solución en el plano dorsal del QL (D-QLP), en un punto comprendido entre el QL, el cuerpo vertebral y el proceso transverso (Fig. 5).[ Alaman M, Bonastre C, De Blas I et al.: Description of a novel ultrasound-guided approach for a dorsal quadratus lumborum block: a canine cadaver study. Vet Anaesth Analg 2021; 49:118-125. [PubMed] ] Se han reportado diferencias en el patrón de distribución de la solución inyectable y de las estructuras nerviosas afectadas entre los diferentes abordajes descritos, tanto en humanos[ Elsharkawy H, El-Boghdadly K, Barrington M: Quadratus lumborum block: anatomical concepts, mechanisms, and techniques. Anesthesiology 2019; 130: 322-335. [PubMed] ] como en perros.[ Garbin M, Portela DA, Bertolizio G et al.: Description of ultrasound-guided quadratus lumborum block technique and evaluation of injectate spread in canine cadavers. Vet Anaesth Analg 2020a; 47: 249-258. [PubMed] , Viscasillas J, Terrado J, Marti-Scharfhausen R et al.: A modified approach for the ultrasound-guided quadratus lumborum block in dogs: a cadaveric study. Animals 2021; 11(10): 2945. [PubMed] , Garbin M, Portela DA, Bertolizio G et al.: A novel ultrasound-guided lateral quadratus lumborum block in dogs: a comparative cadaveric study of two approaches. Vet Anaesth Analg 2020b; 47: 810-818. [PubMed] , Alaman M, Bonastre C, De Blas I et al.: Description of a novel ultrasound-guided approach for a dorsal quadratus lumborum block: a canine cadaver study. Vet Anaesth Analg 2021; 49:118-125. [PubMed] ]

<p>Ilustración esquemática de la sección axial abdominal a nivel de la primera vértebra lumbar, donde se muestran las estructuras involucradas en los distintos abordajes descritos para el bloqueo del plano del cuadrado lumbar en perros. La estrella azul corresponde al plano lateral del músculo cuadrado lumbar, la estrella negra al plano dorsal y la estrella blanca al plano comprendido entre los músculos cuadrado lumbar y psoas menor.</p>
Figura 5

Ilustración esquemática de la sección axial abdominal a nivel de la primera vértebra lumbar, donde se muestran las estructuras involucradas en los distintos abordajes descritos para el bloqueo del plano del cuadrado lumbar en perros. La estrella azul corresponde al plano lateral del músculo cuadrado lumbar, la estrella negra al plano dorsal y la estrella blanca al plano comprendido entre los músculos cuadrado lumbar y psoas menor.

¿Cuál sería tu protocolo analgésico para el control del dolor perioperatorio?

En el caso descrito se administró, inmediatamente después de la cirugía, meloxicam subcutáneo (0,2 mg/kg; Meloxicam, Aristo Pharma Iberia, Torrejón de Ardoz) y se monitorizó el dolor postoperatorio mediante el formulario abreviado de la Escala de Glasgow, realizando evaluaciones seriadas a las 1, 2, 3, 6, 8, 12, 16, 20 y 24 horas postoperatorias. En el caso de obtener una valoración superior a 5, se pautó la administración de buprenorfina (Buprecare 0,3 mg/mL, Ecuphar, Oostkamp) IV (15 µg/kg). Durante las primeras 24 horas de hospitalización, el paciente no requirió de la administración de buprenorfina y las constantes vitales permanecieron dentro de los rangos normales.

Discusión

Aunque los opioides se han utilizado tradicionalmente para controlar el dolor perioperatorio asociado a cirugía abdominal, la anestesia locorregional se ha descrito como una alternativa eficaz a los opioides, disminuyendo su consumo, sus efectos secundarios y mejorando la recuperación. Tanto en la literatura humana como veterinaria, se han descrito múltiples técnicas de anestesia locorregional eficaces en el control del dolor perioperatorio asociado a estos procedimientos. Entre ellas destacan técnicas neuroaxiales, así como el bloqueo del plano del cuadrado lumbar, el bloqueo del plano transverso del abdomen y el bloqueo del plano erector espinal. En este caso clínico se describe el empleo del abordaje D-QLP en un paciente al que se realizó la exéresis quirúrgica de una masa de gran tamaño en la pared abdominal, una gastrectomía y una hepatectomía parcial. El empleo de opioides perioperatorios fue mínimo tanto en la cirugía como en las siguientes 24 horas postoperatorias, reduciéndose a la administración de metadona en la premedicación anestésica.

En medicina humana se ha demostrado la eficacia en el control del dolor perioperatorio de los diferentes abordajes para el bloqueo del QLP.[ Elsharkawy H, El-Boghdadly K, Barrington M: Quadratus lumborum block: anatomical concepts, mechanisms, and techniques. Anesthesiology 2019; 130: 322-335. [PubMed] , Kim SH, Kim N, Lee B et al.: Effectiveness of quadratus lumborum block for postoperative pain: a systematic review and meta-analysis. Minerva Anesthesiol 2020: 86: 554-564. [PubMed] ] El abordaje posterior, con un punto de inyección similar al descrito para el D-QLP, se ha asociado con un menor requerimiento de analgésicos de rescate y puntuaciones de dolor más bajas en personas sometidas a cesárea, cirugía laparoscópica del tracto genital y/o cirugía abdominal inferior en comparación con el bloqueo del TAP.[ İpek CB, Kara D, Yılmaz S et al.: Comparison of ultrasound-guided transversus abdominis plane block, quadratus lumborum block, and caudal epidural block for perioperative analgesia in pediatric lower abdominal surgery. Turk J Med Sci 2019; 49: 1395-1402. [PubMed] ] Recientemente, se ha reportado un estudio clínico realizado en la especie canina donde se concluye que el bloqueo del cuadrado lumbar es seguro y eficaz proporcionando analgesia a perras sometidas a ovariohisterectomía.[ Viscasillas J, Sanchis-Mora S, Burillo P et al.: Evaluation of Quadratus Lumborum Block as Part of an Opioid-Free Anaesthesia for Canine Ovariohysterectomy. Animals 2021; 11:3424 [PubMed] ]

Las ramas ventrales de los nervios espinales de T9 a L3 son las responsables de la sensibilidad de la pared abdominal en los perros.[ Evans HE, de Lahunta A: The Muscular System. En Carioto L (ed): Miller’s Anatomy of the Dog, Elsevier, St. Louis, Missuri. 1993; 224-228. ] Por otro lado, las vísceras abdominales están inervadas por los nervios esplácnicos mayor, menor y lumbares, que surgen del tronco simpático a nivel de T13 y de los segmentos vertebrales lumbares.[ Evans HE, de Lahunta A: The Autonomic Nervous System. En Carioto L (ed): Miller’s Anatomy of the Dog, Elsevier, St. Louis, Missuri. 1993; 582-583. ] En un reciente estudio cadavérico desarrollado en perros, el abordaje D-QLP y la administración de 0,5 mL/kg de una solución de azul de metileno demostró su eficacia para la tinción de las ramas ventrales de los nervios espinales comprendidos entre T12 y L4, mostrando una tinción consistente de T13, L1, L2 y L3. De igual forma, el abordaje D-QLP demostró una tinción extensa y consistente del tronco simpático en los segmentos vertebrales comprendidos entre T13 y L3. Los resultados observados sugirieron la eficacia de la técnica para proporcionar analgesia somática y visceral al abdomen, si bien la desensibilización del aspecto craneal de la pared abdominal podría no ser la adecuada dada la pobre tinción observada en los nervios torácicos implicados.[ Alaman M, Bonastre C, De Blas I et al.: Description of a novel ultrasound-guided approach for a dorsal quadratus lumborum block: a canine cadaver study. Vet Anaesth Analg 2021; 49:118-125. [PubMed] ] En el caso clínico descrito, y a pesar de que se realizó una laparotomía amplia que afectaba al abdomen craneal, no se observó ninguna respuesta neuroendocrina ante los estímulos nociceptivos generados durante la cirugía ni fue necesario administrar analgésicos de rescate durante el periodo postoperatorio. Si bien los hallazgos observados podrían sugerir la eficacia del abordaje D-QLP para proporcionar analgesia somatovisceral al abdomen, incluida la pared abdominal craneal, sería necesario el desarrollo de estudios clínicos que confirmaran esta hipótesis.

Los estudios en humanos aún no han establecido el volumen adecuado de solución anestésica que debe administrarse ni su relación con la extensión alcanzada. Se han comunicado volúmenes de inyección de 20 ml por persona o de 0,2 y 0,4 mL/kg en adultos y de 0,5 mL/kg en pacientes pediátricos.[ İpek CB, Kara D, Yılmaz S et al.: Comparison of ultrasound-guided transversus abdominis plane block, quadratus lumborum block, and caudal epidural block for perioperative analgesia in pediatric lower abdominal surgery. Turk J Med Sci 2019; 49: 1395-1402. [PubMed] ] En la literatura veterinaria se ha reportado el empleo de 0,15; 0,2; 0,3 y 0,5 mL/kg de solución inyectable.[ Garbin M, Portela DA, Bertolizio G et al.: Description of ultrasound-guided quadratus lumborum block technique and evaluation of injectate spread in canine cadavers. Vet Anaesth Analg 2020a; 47: 249-258. [PubMed] , Viscasillas J, Terrado J, Marti-Scharfhausen R et al.: A modified approach for the ultrasound-guided quadratus lumborum block in dogs: a cadaveric study. Animals 2021; 11(10): 2945. [PubMed] , Garbin M, Portela DA, Bertolizio G et al.: A novel ultrasound-guided lateral quadratus lumborum block in dogs: a comparative cadaveric study of two approaches. Vet Anaesth Analg 2020b; 47: 810-818. [PubMed] , Alaman M, Bonastre C, De Blas I et al.: Description of a novel ultrasound-guided approach for a dorsal quadratus lumborum block: a canine cadaver study. Vet Anaesth Analg 2021; 49:118-125. [PubMed] ] Garbin et al. (2020a) evaluaron la propagación de dos volúmenes de colorante (0,15 y 0,3 mL/kg) realizada mediante una inyección en T-QLP en cadáveres caninos. Aunque observaron un aumento en el número de nervios espinales teñidos usando el volumen mayor, la asociación del volumen inyectable y el número de nervios teñidos no fue estadísticamente significativa. En otro estudio, se demostró que la inyección de un volumen de solución colorante de 0,5 mL/kg mediante el abordaje D-QLP era más eficaz para la tinción de las estructuras nerviosas estudiadas que cuando se empleaba un volumen de 0,3 mL/kg. Los autores concluyeron que la inyección de 0,5 mL/kg de solución anestésica mediante el abordaje D-QLP podría ser una técnica potencial para bloquear los segmentos simpáticos toracolumbares y los nervios espinales encargados de la inervación visceral y de la pared abdominal.[ Alaman M, Bonastre C, De Blas I et al.: Description of a novel ultrasound-guided approach for a dorsal quadratus lumborum block: a canine cadaver study. Vet Anaesth Analg 2021; 49:118-125. [PubMed] ] Los hallazgos observados en el caso clínico descrito apoyan el empleo de 0,5 mL/kg como volumen de la solución inyectable.

En el caso clínico presentado, el paciente pudo permanecer sin analgésicos de rescate durante las siguientes 24 horas tras la cirugía. Este hallazgo podría ser debido a una mayor duración del bloqueo D-QLP de la prevista, lo cual podría estar asociado a una permanencia mayor de la esperada del anestésico local en los planos fasciales adyacentes al músculo QL, así como a los efectos sistémicos del anestésico local. Por el contrario, los hallazgos observados por Viscasillas et al. (2021) limitan la duración del bloqueo del cuadrado lumbar con bupivacaína 0,25 %, realizado en el plano fascial comprendido entre los músculos QL y psoas menor, a las 4 horas siguientes a someter a pacientes caninos a una ovariohisterectomía. Serían necesarios nuevos estudios clínicos para evaluar la duración del bloqueo del cuadrado lumbar mediante su abordaje dorsal y su eficacia para el control del dolor asociado a otros procedimientos quirúrgicos.

En conclusión, la administración de 0,5 mL/kg mediante el abordaje D-QLP podría ser una técnica eficaz para proporcionar analgesia tanto a la pared como a las vísceras abdominales y reducir el consumo de opioides durante el periodo perioperatorio.

 

Fuente de financiación: este trabajo no se ha realizado con fondos comerciales, públicos o del sector privado.

Conflicto de intereses: los autores declaran que no existe conflicto de intereses.

Bibliografía

  1. [1] Elsharkawy H, El-Boghdadly K, Barrington M: Quadratus lumborum block: anatomical concepts, mechanisms, and techniques. Anesthesiology 2019; 130: 322-335. [PubMed]
  2. [2] Kim SH, Kim N, Lee B et al.: Effectiveness of quadratus lumborum block for postoperative pain: a systematic review and meta-analysis. Minerva Anesthesiol 2020: 86: 554-564. [PubMed]
  3. [3] İpek CB, Kara D, Yılmaz S et al.: Comparison of ultrasound-guided transversus abdominis plane block, quadratus lumborum block, and caudal epidural block for perioperative analgesia in pediatric lower abdominal surgery. Turk J Med Sci 2019; 49: 1395-1402. [PubMed]
  4. [4] Garbin M, Portela DA, Bertolizio G et al.: Description of ultrasound-guided quadratus lumborum block technique and evaluation of injectate spread in canine cadavers. Vet Anaesth Analg 2020a; 47: 249-258. [PubMed]
  5. [5] Viscasillas J, Terrado J, Marti-Scharfhausen R et al.: A modified approach for the ultrasound-guided quadratus lumborum block in dogs: a cadaveric study. Animals 2021; 11(10): 2945. [PubMed]
  6. [6] Garbin M, Portela DA, Bertolizio G et al.: A novel ultrasound-guided lateral quadratus lumborum block in dogs: a comparative cadaveric study of two approaches. Vet Anaesth Analg 2020b; 47: 810-818. [PubMed]
  7. [7] Alaman M, Bonastre C, De Blas I et al.: Description of a novel ultrasound-guided approach for a dorsal quadratus lumborum block: a canine cadaver study. Vet Anaesth Analg 2021; 49:118-125. [PubMed]
  8. [8] Viscasillas J, Sanchis-Mora S, Burillo P et al.: Evaluation of Quadratus Lumborum Block as Part of an Opioid-Free Anaesthesia for Canine Ovariohysterectomy. Animals 2021; 11:3424 [PubMed]
  9. [9] Evans HE, de Lahunta A: The Muscular System. En Carioto L (ed): Miller’s Anatomy of the Dog, Elsevier, St. Louis, Missuri. 1993; 224-228.
  10. [10] Evans HE, de Lahunta A: The Autonomic Nervous System. En Carioto L (ed): Miller’s Anatomy of the Dog, Elsevier, St. Louis, Missuri. 1993; 582-583.

Artículos recomendados

Estas recomendaciones se ofrecen de forma automática.

  • Caso clínico de… Urgencias

    I. Sunyer
    Clin Vet Peq Anim Vol. 45 - Nº 2 · JUN 2025 · Caso Clínico de...
  • Caso clínico de… Cirugía de tejidos blandos

    N. Jurado, L. Fresno, L. Santos
    Clin Vet Peq Anim Vol. 44 - Nº 1 · MAR 2024 · Caso Clínico de...
  • Caso clínico de… Urgencias

    M. Solana, C. Gómez-Ullate, J.L. Puchol, et al.
    Clin Vet Peq Anim Vol. 43 - Nº 4 · DIC 2023 · Caso Clínico de...
  • Inicio
  • Historia clínica
  • ¿Cuál sería tu planteamiento anestésico para la cirugía del caso descrito?
  • ¿Qué técnicas de anestesia locorregional podrían ser aplicadas en el caso descrito?
  • ¿Cuál es el objetivo del bloqueo del plano del cuadrado lumbar?
  • ¿Qué abordajes ecoguiados conoces para la realización del bloqueo del plano del cuadrado lumbar en perros?
  • ¿Cuál sería tu protocolo analgésico para el control del dolor perioperatorio?
  • Discusión
  • Bibliografía
Artículo anterior Índice de la revista Artículo siguiente
ANUNCIO
Próximos cursos ATVs Elearning
Índice
Inicio Historia clínica ¿Cuál sería tu planteamiento anestésico para la cirugía del caso descrito? ¿Qué técnicas de anestesia locorregional podrían ser aplicadas en el caso descrito? ¿Cuál es el objetivo del bloqueo del plano del cuadrado lumbar? ¿Qué abordajes ecoguiados conoces para la realización del bloqueo del plano del cuadrado lumbar en perros? ¿Cuál sería tu protocolo analgésico para el control del dolor perioperatorio? Discusión Bibliografía
Purina Calming Care
ANUNCIO

¿No eres socio de AVEPA y quieres recibir comunicación de las nuevas ediciones en tu correo?

Suscríbete

Suscríbete y te avisaremos cuando publiquemos un nuevo número

Suscribirme

Enlaces rápidos

  • Inicio
  • Último número
  • Archivo
  • Artículos

Información

  • Comité editorial
  • Política de cookies
  • Política de privacidad
  • Términos y condiciones

Contacto

  • info@imaginice.com
  • Envíanos tu artículo
© 2026 Ice Salud Vet SL. Todos los derechos reservados.

Usamos cookies para mejorar tu experiencia. Selecciona cuáles aceptas: