Logo AVEPA

Clínica Veterinaria de Pequeños Animales

Revista oficial de AVEPA

  • Inicio
  • Último número
  • Archivo
  • Artículos
  • Para autores
  • Contacto
Cursos Junio-Septiembre 2026
ANUNCIO

Clínica Veterinaria de Pequeños Animales

Revista oficial de AVEPA

  • Inicio
  • Último número
  • Archivo
  • Artículos
  • Para autores
  • Contacto
Curso Oftalmología 2026
ANUNCIO
Clin Vet Peq Anim Vol. 42 • Nº 2 • junio 2022

¿Cuál es tu diagnóstico?

¿Cuál es tu diagnóstico?

J.D. Carrillo

Departamento de Medicina Veterinaria y Cirugía Animal.

J. Talavera

Departamento de Medicina Veterinaria y Cirugía Animal.

J. Seva

Departamento de Anatomía y Anatomía patológica comparadas. Universidad de Murcia. Campus Universitario de Espinardo. 30100 Murcia.

M. Soler

Departamento de Medicina Veterinaria y Cirugía Animal.

Contacto: juanacs@um.es
Descargar artículo

Historia clínica

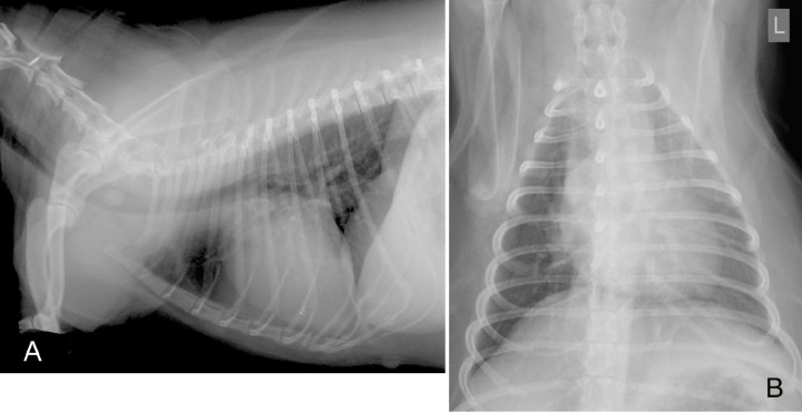
Se presenta en consulta una perra, hembra, mestiza, de 7 años y 11 kg de peso, con historia de crisis respiratorias (ahogos) de dos semanas de duración. Se había tratado a la paciente con prednisona, furosemida y benazepril, sin evidencia de mejoría. El examen físico mostraba obesidad (5/5) y leve disnea sin tos. En el análisis sanguíneo se observó neutrofilia con desviación a la izquierda (35 x103/μl; rango 3-12 x103/μl) e hiperglobulinemia (4,9 mg/dl; rango 2,6-3,8 mg/dl). Se realizaron radiografías de la cavidad torácica en proyecciones lateral derecha (Fig. 1A) y ventrodorsal (Fig. 1B).

<p>Radiografías de la cavidad torácica de una perra mestiza de 7 años. (<strong>A</strong>) Proyección lateral derecha. (<strong>B</strong>) Proyección ventrodorsal.</p>
Figura 1

Radiografías de la cavidad torácica de una perra mestiza de 7 años. (A) Proyección lateral derecha. (B) Proyección ventrodorsal.

Describe las alteraciones radiográficas observadas

En la proyección lateral se visualiza una estructura de opacidad tejido blando y morfología redondeada en el interior de la luz traqueal en contacto con la pared dorsal de la tráquea, ocupando un 90 % de su diámetro, a nivel del cuerpo vertebral de C6. Tanto en la proyección lateral como en la ventrodorsal, el resto de la tráquea y la silueta cardiaca no presentan alteraciones evidentes y a nivel del parénquima pulmonar se aprecia un leve patrón bronquial (Fig. 2).

<p>Radiografía de la cavidad torácica en proyección lateral derecha de una perra mestiza de 7 años, en la que se visualiza un leve patrón bronquial y una estructura redondeada de opacidad tejido blando en el interior de la tráquea (flechas), a nivel del cuerpo vertebral de C6.</p>
Figura 2

Radiografía de la cavidad torácica en proyección lateral derecha de una perra mestiza de 7 años, en la que se visualiza un leve patrón bronquial y una estructura redondeada de opacidad tejido blando en el interior de la tráquea (flechas), a nivel del cuerpo vertebral de C6.

¿Cuáles son los diagnósticos diferenciales compatibles con los signos radiográficos observados?

Ante la presencia de una estructura redondeada en el interior de la tráquea se incluyen como diagnósticos diferenciales, en orden de frecuencia de presentación, granuloma, proceso polipoide benigno, neoplasia o cuerpo extraño.

¿Qué otras pruebas recomendarías para alcanzar un diagnóstico definitivo?

Las técnicas diagnósticas que se pueden emplear para llegar al diagnóstico definitivo y que son de ayuda para planificar el tratamiento son el estudio por fluoroscopia, la realización de una traqueoscopia y la tomografía computarizada (TC).

La fluoroscopia es empleada en el perro principalmente en el estudio dinámico de las vías aéreas para poder valorar la forma y el tamaño traqueal y evaluar la presencia de colapso. En este caso, la fluoroscopia mostró que el diámetro traqueal era normal, con una buena adaptación seccional a las fases de la respiración y sin evidencia de colapso. Durante el estudio, el paciente presentó una crisis respiratoria obstructiva, momento en el que se observó el desarrollo de un colapso faringolaríngeo (Fig. 3).

<p>Imagen durante la fluoroscopia en inspiración en la que se evidencia el colapso faringolaríngeo dinámico. Nótese el estrechamiento (flechas) entre el paladar blando (asterisco) y la epiglotis (EP).</p>
Figura 3

Imagen durante la fluoroscopia en inspiración en la que se evidencia el colapso faringolaríngeo dinámico. Nótese el estrechamiento (flechas) entre el paladar blando (asterisco) y la epiglotis (EP).

El examen endoscópico en plano anestésico ligero permitió evidenciar una oclusión dinámica completa de glotis secundaria al desplazamiento caudal de la epiglotis, con deglución parcial de su extremo (Fig. 4). En plano más profundo se observó la laringe normal en estructura y funcionalidad, mostrando abducción enérgica sincronizada con inspiración. A nivel traqueal, el diámetro y la forma eran normales craneal y caudalmente a la presencia de una masa, de aspecto similar a la mucosa circundante (de superficie brillante y lisa) y que obstruía 2/3 de la luz traqueal (Fig. 5A). No se evidenciaron signos de colapso craneal ni caudal a la zona del nódulo, aunque se visualizó un colapso grado 4 (>75 % de la luz) del bronquio lobar craneal (Fig. 5B).

<p>Imágenes endoscópicas representativas del colapso laríngeo dinámico. (<strong>A</strong>) Faringolaringe normal con extremo del paladar blando (PB) apoyado sobre el extremo de la epiglotis (EP). (<strong>B</strong>) Faringolaringe durante inspiración máxima mostrando obstrucción completa de la glotis a consecuencia de desplazamiento caudal de la epiglotis (EP) cuyo extremo se introduce en el vestíbulo esofágico (VE). El paladar blando (PB) ha sido desplazado dorsalmente con ayuda de una pinza.</p>
Figura 4

Imágenes endoscópicas representativas del colapso laríngeo dinámico. (A) Faringolaringe normal con extremo del paladar blando (PB) apoyado sobre el extremo de la epiglotis (EP). (B) Faringolaringe durante inspiración máxima mostrando obstrucción completa de la glotis a consecuencia de desplazamiento caudal de la epiglotis (EP) cuyo extremo se introduce en el vestíbulo esofágico (VE). El paladar blando (PB) ha sido desplazado dorsalmente con ayuda de una pinza.

<p>Traqueobroncoscopia. (<strong>A</strong>) Imagen endoscópica de la tráquea en la que se puede observar una masa que ocluye 2/3 del lumen traqueal teniendo su mucosa una superficie lisa y brillante. (<strong>B</strong>) Vista del bronquio principal izquierdo donde se muestra colapso grado 4 (>75 % de la luz) del bronquio lobar craneal (BLCr). BLCd: bronquio lobar caudal.</p>
Figura 5

Traqueobroncoscopia. (A) Imagen endoscópica de la tráquea en la que se puede observar una masa que ocluye 2/3 del lumen traqueal teniendo su mucosa una superficie lisa y brillante. (B) Vista del bronquio principal izquierdo donde se muestra colapso grado 4 (>75 % de la luz) del bronquio lobar craneal (BLCr). BLCd: bronquio lobar caudal.

Posteriormente, se realizó una Tomografía Computarizada (TC) donde se evidenció que la masa visualizada previamente no solo protruía hacia el interior de la luz traqueal, ya que presentaba una pequeña extensión dorsalmente (Fig. 6). La masa era ligeramente hipoatenuada (50 UH) en relación con la musculatura paraespinal (62 UH) y sus dimensiones aproximadas eran de 0,9 cm (altura) x 0,75 cm (longitud) x 0,5 cm (anchura), no observándose evidencia de metástasis o invasión a estructuras adyacentes, y percibiendo los linfonodos y el parénquima pulmonar sin alteraciones evidentes. 

<p>Imágenes de tomografía computarizada (TC) en plano transversal (<strong>A</strong>) y reconstrucciones en planos sagital (<strong>B</strong>) y dorsal (<strong>C</strong>) en ventana de tejidos blandos del cuello del paciente, en las que se puede visualizar una estructura redondeada de atenuación tejido blando (50 UH), de base ancha (asterisco) que protruye hacia el exterior e interior de la luz de la tráquea desde la pared dorsal, a nivel del cuerpo vertebral de C5 (flechas).</p>
Figura 6

Imágenes de tomografía computarizada (TC) en plano transversal (A) y reconstrucciones en planos sagital (B) y dorsal (C) en ventana de tejidos blandos del cuello del paciente, en las que se puede visualizar una estructura redondeada de atenuación tejido blando (50 UH), de base ancha (asterisco) que protruye hacia el exterior e interior de la luz de la tráquea desde la pared dorsal, a nivel del cuerpo vertebral de C5 (flechas).

En función de los hallazgos visualizados el diagnóstico presuntivo fue de neoplasia traqueal.

El tratamiento realizado fue la resección quirúrgica mediante una traquectomía parcial. La incisión abarcó un par de anillos traqueales tanto craneal como caudalmente al nódulo traqueal (Fig. 7) y la sección de tráquea resecada fue remitida para su estudio histopatológico, el cual confirmó el diagnóstico de linfoma traqueal de bajo grado y ausencia de células tumorales en los bordes del segmento traqueal seccionado.

<p>Imágenes intraoperatorias de la traquectomía. (<strong>A</strong>) Se visualiza que, tras la disección del área afectada, el nódulo traqueal hace prominencia también hacia el exterior de la pared traqueal. (<strong>B</strong>) Imagen tras la resección de la zona tumoral tomando dos anillos traqueales sanos a ambos lados. (<strong>C</strong>) Anastomosis termino-terminal con puntos sueltos con material monofilamento reabsorbible.</p>
Figura 7

Imágenes intraoperatorias de la traquectomía. (A) Se visualiza que, tras la disección del área afectada, el nódulo traqueal hace prominencia también hacia el exterior de la pared traqueal. (B) Imagen tras la resección de la zona tumoral tomando dos anillos traqueales sanos a ambos lados. (C) Anastomosis termino-terminal con puntos sueltos con material monofilamento reabsorbible.

El paciente quedó hospitalizado durante cinco días, instaurándose un tratamiento con un corticoide a dosis antiinflamatorias (metilprednisolona 0,25 mg/kg/12h; Urbason 8 mg, Barcelona, Sanofi-Aventis SA, vía intravenosa) y una antibioterapia de cobertura (cefazolina 20 mg/kg/12h; Cefazolina Normon 1 g, Madrid, Laboratorios Normon SA, vía intravenosa). El tratamiento con corticoides se mantuvo durante una semana más tras el alta y, posteriormente, comenzó con una reducción paulatina de su dosis. A pesar de que la propietaria rehusó administrar tratamiento quimioterápico, la evolución fue favorable, ya que la sintomatología remitió, sin evidencia de recidiva. Cinco años después, el paciente falleció por motivos no relacionados con la patología descrita.

Comentario

La neoplasia traqueal es una patología muy poco frecuente en la clínica de pequeños animales, constituyendo menos del 1 % de los tumores que afectan al sistema respiratorio y en su mayoría se trata de procesos malignos.[ Piirainen KJ, Viitanen SJ, Lappalainen AK, Mölsä SH. Intraluminal tracheal lipoma as a rare cause of dyspnoea in a dog. Acta Vet Scand 2018; 60: 59-64. [PubMed] , Mahler SP, Mootoo FA, Reece JLM, Coopery JE. Surgical resection of a primary tracheal fibrosarcoma in a dog. J Small Anim Pract 2006; 47: 537-540. [PubMed] ] Suele presentarse en animales geriátricos, excepto el osteocondroma que puede aparecer en edad temprana (<2 años).[ Piirainen KJ, Viitanen SJ, Lappalainen AK, Mölsä SH. Intraluminal tracheal lipoma as a rare cause of dyspnoea in a dog. Acta Vet Scand 2018; 60: 59-64. [PubMed] , Mahler SP, Mootoo FA, Reece JLM, Coopery JE. Surgical resection of a primary tracheal fibrosarcoma in a dog. J Small Anim Pract 2006; 47: 537-540. [PubMed] ] Los tumores traqueales descritos pueden ser benignos (osteocondroma, condroma, leiomioma, adenoma)[ Ramírez GA, Altimira J, Vilafranca M. Cartilaginous tumors of the larynx and trachea in the dog: Literature review and 10 additional cases (1995-2014). Vet Pathol 2015; 52:1019-1026. [PubMed] , Brown R, Rogers K. Primary tracheal tumors in dogs and cats. Comp Cont Educ Pract 2003; 25: 854-860. , Carlise CH, Biery DN, Thrall DE. Tracheal and laryngeal tumors in the dog and cat: literature review and 13 additional patients. Veterinary Radiology 1991; 32: 229-235. ] o malignos (carcinoma de células escamosas, adenocarcinoma, carcinoma, sarcomas, rabdomiosarcoma, plasmocitoma extramedular, mastocitoma y linfoma),[ Ramírez GA, Altimira J, Vilafranca M. Cartilaginous tumors of the larynx and trachea in the dog: Literature review and 10 additional cases (1995-2014). Vet Pathol 2015; 52:1019-1026. [PubMed] , Brown R, Rogers K. Primary tracheal tumors in dogs and cats. Comp Cont Educ Pract 2003; 25: 854-860. , Carlise CH, Biery DN, Thrall DE. Tracheal and laryngeal tumors in the dog and cat: literature review and 13 additional patients. Veterinary Radiology 1991; 32: 229-235. ] observándose una mayor incidencia del linfoma traqueal principalmente en la especie felina.[ Brown MR, Rogers KS, Barton C. Primary intrachaqueal lymphosarcoma in four cats. J Am Anim Hosp Assoc 2003; 39: 468-472. [PubMed] , Dae-Yong K, Jcong-Rae K, Wayne T, Yong-Soon L. Primary extranodal lymphosarcoma of the trachea in a cat. J Vet Med Sci 1996; 58: 703-706. [PubMed] ]

La sintomatología típica en perros con obstrucción traqueal por presencia de una neoplasia incluye disnea inspiratoria, jadeo, tos, sibilancia o colapso.[ Piirainen KJ, Viitanen SJ, Lappalainen AK, Mölsä SH. Intraluminal tracheal lipoma as a rare cause of dyspnoea in a dog. Acta Vet Scand 2018; 60: 59-64. [PubMed] ] Los signos clínicos son más evidentes cuando el tumor ocluye más del 50 % del diámetro de la tráquea.[ Mahler SP, Mootoo FA, Reece JLM, Coopery JE. Surgical resection of a primary tracheal fibrosarcoma in a dog. J Small Anim Pract 2006; 47: 537-540. [PubMed] ] En nuestro paciente, la severa reducción del diámetro traqueal provocaba un aumento exponencial de la resistencia al flujo de aire, lo cual predispuso al colapso laríngeo. Además, en su caso particular se relacionaba con un desplazamiento caudal inusual de la epiglotis que llegaba a ocluir completamente la glotis, tal como fue evidenciado durante la endoscopia. Estos episodios de alta presión negativa sobre la vía aérea alta determinaron también la aparición de colapso faríngeo, que fue detectado en la fluoroscopia. En conjunto, la vida del paciente estaba severamente comprometida siendo necesaria la resección quirúrgica de la masa.

Una masa traqueal puede ser visualizada y valorada mediante radiografía simple de tórax y fluoroscopia, debido a que la presencia de aire que la rodea permite delimitar sus márgenes. Sin embargo, la TC y la traqueoscopia son las herramientas que más información aportan sobre el tamaño y las características morfológicas de la masa, aunque el diagnóstico definitivo solamente es posible mediante el estudio histopatológico.[ Ramírez GA, Altimira J, Vilafranca M. Cartilaginous tumors of the larynx and trachea in the dog: Literature review and 10 additional cases (1995-2014). Vet Pathol 2015; 52:1019-1026. [PubMed] ] La traqueoscopia ofrece la posibilidad de evaluar el grado de obstrucción de la luz traqueal y el aspecto de la masa, y permite la toma de una muestra para estudio citológico o histopatológico.[ Honings J, Gaissert H, Van der Heijden H, et al. Clinical aspects and treatment of primary tracheal malignancies. Acta Otolaryngol 2010; 130: 730-772. [PubMed] ] En este caso, no se tomó muestra vía endoscópica de la masa por el riesgo de edema/sangrado y complicaciones subsiguientes. Por otro lado, la TC es de gran ayuda para planificar la cirugía al aportar información sobre el grado de infiltración, la extensión de la masa y la posible presencia de metástasis locales y distantes.[ Honings J, Gaissert H, Van der Heijden H, et al. Clinical aspects and treatment of primary tracheal malignancies. Acta Otolaryngol 2010; 130: 730-772. [PubMed] ] En nuestro caso, las imágenes tomográficas evidenciaron un mayor volumen de la masa al poder observar un crecimiento de la misma extra e intraluminal, y constató la ausencia de metástasis tanto a nivel pulmonar como en estructuras adyacentes. Consideramos una limitación del estudio el no haber realizado un estudio postcontraste que hubiera mostrado el patrón de realce de la masa y quizás nos hubiera proporcionado un diagnóstico presuntivo más certero/aproximado, ya que una masa tipo pólipo presenta captación de contraste de manera periférica o “en anillo”, una neoplasia tipo carcinoma suele mostrar un realce heterogéneo y los linfomas, por lo general, tienen captación homogénea de contraste.[ Tanaka T, Akiyoshi H, Mie K, et al. Contrast-enhanced computed tomography may be helpful for characterizing and staging canine gastric tumors. Vet Radiol Ultrasound 2019; 60: 7-18. [PubMed] ]

Las opciones de tratamiento de los tumores traqueales, en perros y gatos, son la resección quirúrgica del fragmento afectado (si la extensión no es demasiado amplia), la resección endoscópica (en procesos polipoides o con el uso de láser) y la radioterapia.[ Ramírez GA, Altimira J, Vilafranca M. Cartilaginous tumors of the larynx and trachea in the dog: Literature review and 10 additional cases (1995-2014). Vet Pathol 2015; 52:1019-1026. [PubMed] ]

El pronóstico va a depender del tipo y tamaño de tumor, la posibilidad de tratamiento quirúrgico y la presencia o no de metástasis, siendo normalmente de reservado a desfavorable dada la alta incidencia de malignidad de los tumores traqueales.[ Ramírez GA, Altimira J, Vilafranca M. Cartilaginous tumors of the larynx and trachea in the dog: Literature review and 10 additional cases (1995-2014). Vet Pathol 2015; 52:1019-1026. [PubMed] ]

En conclusión, aunque en el conocimiento de los autores, este es el primer caso descrito de linfoma traqueal en un perro, esta patología debería incluirse en el diagnóstico diferencial en pacientes con crisis respiratorias, incidiendo en que las técnicas de imagen son herramientas imprescindibles para alcanzar un diagnóstico presuntivo y una ayuda en la planificación de la mejor opción terapéutica.

 

Fuente de financiación: este trabajo no se ha realizado con fondos comerciales, públicos o del sector privado.

Conflicto de intereses: los autores declaran que no existe conflicto de intereses.

Bibliografía

  1. [1] Piirainen KJ, Viitanen SJ, Lappalainen AK, Mölsä SH. Intraluminal tracheal lipoma as a rare cause of dyspnoea in a dog. Acta Vet Scand 2018; 60: 59-64. [PubMed]
  2. [2] Mahler SP, Mootoo FA, Reece JLM, Coopery JE. Surgical resection of a primary tracheal fibrosarcoma in a dog. J Small Anim Pract 2006; 47: 537-540. [PubMed]
  3. [3] Ramírez GA, Altimira J, Vilafranca M. Cartilaginous tumors of the larynx and trachea in the dog: Literature review and 10 additional cases (1995-2014). Vet Pathol 2015; 52:1019-1026. [PubMed]
  4. [4] Brown R, Rogers K. Primary tracheal tumors in dogs and cats. Comp Cont Educ Pract 2003; 25: 854-860.
  5. [5] Carlise CH, Biery DN, Thrall DE. Tracheal and laryngeal tumors in the dog and cat: literature review and 13 additional patients. Veterinary Radiology 1991; 32: 229-235.
  6. [6] Brown MR, Rogers KS, Barton C. Primary intrachaqueal lymphosarcoma in four cats. J Am Anim Hosp Assoc 2003; 39: 468-472. [PubMed]
  7. [7] Dae-Yong K, Jcong-Rae K, Wayne T, Yong-Soon L. Primary extranodal lymphosarcoma of the trachea in a cat. J Vet Med Sci 1996; 58: 703-706. [PubMed]
  8. [8] Honings J, Gaissert H, Van der Heijden H, et al. Clinical aspects and treatment of primary tracheal malignancies. Acta Otolaryngol 2010; 130: 730-772. [PubMed]
  9. [9] Tanaka T, Akiyoshi H, Mie K, et al. Contrast-enhanced computed tomography may be helpful for characterizing and staging canine gastric tumors. Vet Radiol Ultrasound 2019; 60: 7-18. [PubMed]

Artículos recomendados

Estas recomendaciones se ofrecen de forma automática.

  • ¿Cuál es tu diagnóstico?
    L. Martín-Carrasco, E. Mínguez-Pereira, R. Salgüero-Fernández, et al.
    Clin Vet Peq Anim Vol. 46 - Nº 1 · MAR 2026 · ¿Cuál es tu diagnóstico?
  • ¿Cuál es tu diagnóstico?
    D. Marbella, A.M. Hernández-Guerra, L. Montalvà-Minguet
    Clin Vet Peq Anim Vol. 45 - Nº 4 · DIC 2025 · ¿Cuál es tu diagnóstico?
  • ¿Cuál es tu diagnóstico?

    J.D. Carrillo, M. Soler, M.S. Echalecu, et al.
    Clin Vet Peq Anim Vol. 45 - Nº 3 · SEP 2025 · ¿Cuál es tu diagnóstico?
  • Inicio
  • Historia clínica
  • Describe las alteraciones radiográficas observadas
  • ¿Cuáles son los diagnósticos diferenciales compatibles con los signos radiográficos observados?
  • ¿Qué otras pruebas recomendarías para alcanzar un diagnóstico definitivo?
  • Comentario
  • Bibliografía
Artículo anterior Índice de la revista Artículo siguiente
ANUNCIO
Próximos cursos ATVs Elearning
Índice
Inicio Historia clínica Describe las alteraciones radiográficas observadas ¿Cuáles son los diagnósticos diferenciales compatibles con los signos radiográficos observados? ¿Qué otras pruebas recomendarías para alcanzar un diagnóstico definitivo? Comentario Bibliografía
Purina Calming Care
ANUNCIO

¿No eres socio de AVEPA y quieres recibir comunicación de las nuevas ediciones en tu correo?

Suscríbete

Suscríbete y te avisaremos cuando publiquemos un nuevo número

Suscribirme

Enlaces rápidos

  • Inicio
  • Último número
  • Archivo
  • Artículos

Información

  • Comité editorial
  • Política de cookies
  • Política de privacidad
  • Términos y condiciones

Contacto

  • info@imaginice.com
  • Envíanos tu artículo
© 2026 Ice Salud Vet SL. Todos los derechos reservados.

Usamos cookies para mejorar tu experiencia. Selecciona cuáles aceptas: