Logo AVEPA

Clínica Veterinaria de Pequeños Animales

Revista oficial de AVEPA

  • Inicio
  • Último número
  • Archivo
  • Artículos
  • Para autores
  • Contacto
Cursos Junio-Septiembre 2026
ANUNCIO

Clínica Veterinaria de Pequeños Animales

Revista oficial de AVEPA

  • Inicio
  • Último número
  • Archivo
  • Artículos
  • Para autores
  • Contacto
Curso Oftalmología 2026
ANUNCIO
Clin Vet Peq Anim Vol. 43 • Nº 2 • junio 2023

¿Cuál es tu diagnóstico?

¿Cuál es tu diagnóstico?

V. Maújo-de Luis Conti

Hospital Veterinario Puchol. c/ Sauceda 8. 28050 Madrid.

J. Meana-Pereira

Hospital Veterinario Puchol. c/ Sauceda 8. 28050 Madrid.

G. García-Alonso

Hospital Veterinario Puchol. c/ Sauceda 8. 28050 Madrid.

A. Segarra-Larrazabal

Hospital Veterinario Puchol. c/ Sauceda 8. 28050 Madrid.

Contacto: victoriamaujodelc@hotmail
Descargar artículo

Historia clínica

Se presenta en consulta de urgencias un pastor Alemán de 5 años, macho y 30 kg de peso por apatía, decaimiento y dolor abdominal agudo.

Como antecedentes, siendo cachorro superó una parvovirosis y hacía cinco meses el paciente había sido operado de dilatación-torsión gástrica con esplenectomía preventiva.

En la exploración física, destaca taquicardia y taquipnea, mucosas congestivas y secas, marcado dolor abdominal, hipotensión y pulso femoral débil.

En el análisis sanguíneo se evidencia una leve leucocitosis neutrofílica y un lactato en 6 mmol/l (RN: 0,3-2,5 mmol/l).

Se realiza un estudio radiológico de abdomen, en proyecciones lateral derecha y ventrodorsal (Fig. 1)

<p>Imagen radiográfica lateral derecha (<strong>A</strong>) y ventrodorsal (<strong>B</strong>) de la cavidad abdominal.</p>
Figura 1

Imagen radiográfica lateral derecha (A) y ventrodorsal (B) de la cavidad abdominal.

Describe las alteraciones radiográficas observadas

El estómago mantiene una posición normal, con presencia de contenido gas en su interior (flechas violetas; Fig. 2). Se aprecia distensión generalizada de las asas intestinales, con disposición en paralelo de algunas de ellas (flechas azules; Fig. 2). Además, se observa pérdida de definición de serosas en toda la cavidad abdominal (flechas rojas; Fig. 2).

<p>Imagen radiográfica lateral derecha (<strong>A</strong>) y ventrodorsal (<strong>B</strong>) de la cavidad abdominal. En ambas imágenes se observa distensión generalizada del intestino delgado, con contenido gas en su interior y disposición en paralelo de algunas asas (flechas azules), junto con una pérdida de diferenciación de serosas (flechas rojas). Además, se aprecia pérdida de diferenciación de serosas (flechas rojas). El estómago se encuentra en posición anatómica normal (flecha violeta).</p>
Figura 2

Imagen radiográfica lateral derecha (A) y ventrodorsal (B) de la cavidad abdominal. En ambas imágenes se observa distensión generalizada del intestino delgado, con contenido gas en su interior y disposición en paralelo de algunas asas (flechas azules), junto con una pérdida de diferenciación de serosas (flechas rojas). Además, se aprecia pérdida de diferenciación de serosas (flechas rojas). El estómago se encuentra en posición anatómica normal (flecha violeta).

Diagnósticos diferenciales compatibles con los signos radiográficos observados

Los diagnósticos diferenciales más probables de una dilatación generalizada de las asas intestinales son obstrucción distal del intestino delgado, pseudoobstrucción intestinal (secundaria a la atrofia de la túnica muscular o fibrosis), íleo funcional, compromiso vascular (torsión mesentérica) y neoplasia difusa.[ Dennis, R, Kirberger, RM, Barr, F, Wrigley, RH: Gastrointestinal tract. En Dennis, R, Kirberger, RM, Barr, F, Wrigley, RH (ed): Handbook of Small Animal Radiology and Ultrasound, Croydon (UK), Elsevier, 2010; 267-295. ]

Con respecto a la pérdida de diferenciación de serosas, los diagnósticos diferenciales son la presencia de efusión abdominal, peritonitis y carcinomatosis.[ Dennis, R, Kirberger, RM, Barr, F, Wrigley, RH: Gastrointestinal tract. En Dennis, R, Kirberger, RM, Barr, F, Wrigley, RH (ed): Handbook of Small Animal Radiology and Ultrasound, Croydon (UK), Elsevier, 2010; 267-295. ]

Otras pruebas que podrían realizarse para alcanzar un diagnóstico definitivo

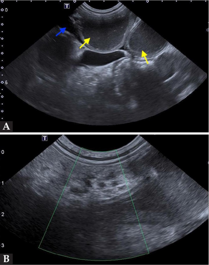
Se realizó una ecografía abdominal, en la que se visualizaron todas las asas intestinales muy dilatadas (flechas amarillas; Fig. 3A). Los vasos mesentéricos se encontraban distendidos, apreciándose cambios en la dirección de su trayectoria de manera abrupta. Dichos vasos carecían de flujo sanguíneo al emplear el modo Doppler color, siendo este el hallazgo más significativo (Fig. 3B).

<p>Imágenes ecográficas de la cavidad abdominal. (<strong>A</strong>) Se puede observar las asas intestinales dilatadas con contenido líquido en su interior (flechas amarillas) y líquido libre abdominal (flecha azul). (<strong>B</strong>) Se muestra la ausencia de señal Doppler color en los vasos mesentéricos.</p>
Figura 3

Imágenes ecográficas de la cavidad abdominal. (A) Se puede observar las asas intestinales dilatadas con contenido líquido en su interior (flechas amarillas) y líquido libre abdominal (flecha azul). (B) Se muestra la ausencia de señal Doppler color en los vasos mesentéricos.

Por otro lado, se visualizó una moderada cantidad de líquido libre abdominal, del que se tomó muestra para análisis. Este confirmó que se trataba de un exudado séptico, con glucosa de 40 mg/dl en el mismo, siendo la glucosa sanguínea de 100 mg/dl (RN: 70-150 mg/dl). En el estudio citológico se identificaron bacterias intra y extracelulares.

En función de los hallazgos hallados en las pruebas de imagen, laboratoriales y la exploración física, el diagnóstico presuntivo fue de torsión mesentérica. Es importante destacar que el método diagnóstico definitivo en esta patología es la tomografía computarizada (TC) con contraste intravenoso. Sin embargo, en muchas ocasiones debido a la gravedad del cuadro clínico, se procede a realizar laparotomía exploratoria.

En este caso se procedió a la estabilización del paciente con una fluidoterapia agresiva intravenosa (dos bolos de cristaloide isotónico Ringer Lactato a 15 ml/kg en 15 minutos seguidos de un porcentaje de deshidratación del 10 % administrándose la mitad en las primeras 4 horas). Además, se instauró tratamiento analgésico con metadona a 0,2 mg/kg por vía intravenosa cada 4 horas (Semfortan®, Dechra, Bladel) y CRI de lidocaína (Lidocaína, Normon, Madrid) a 3 mg/kg/h en infusión continua vía intravenosa; y terapia antimicrobiana con amoxicilina-clavulánico (Amoxicilina-Ácido clavulánico, Normon, Madrid) a 22 mg/kg por vía intravenosa BID y marbofloxacino (Marbocyl 2%, Vetoquinol, Madrid) a 3 mg/kg por vía intravenosa SID. Tras la estabilización del paciente, se decidió realizar una laparotomía exploratoria (Fig. 4).

<p>Imagen macroscópica obtenida durante la laparotomía exploratoria realizada al paciente donde se puede observar, de forma generalizada, la necrosis de todo el tracto intestinal.</p>
Figura 4

Imagen macroscópica obtenida durante la laparotomía exploratoria realizada al paciente donde se puede observar, de forma generalizada, la necrosis de todo el tracto intestinal.

Lamentablemente, debido al estado necrótico de todo el tracto digestivo y el mal pronóstico del paciente, se decidió la eutanasia humanitaria intraquirúrgica del mismo.

Comentario

La torsión mesentérica consiste en una rotación del intestino sobre el eje mesentérico. Es una situación de urgencia, que pone en riesgo la vida del paciente, por lo que una estabilización e intervención quirúrgica temprana son indispensables para su supervivencia.[ Rautala E, Björkenheim P, Laitinen M: Radiographic and ultrasonographic findings in three surgically confirmed cases of small intestinal ischemia related to mesenteric volvulus or intestinal torsión in dogs. Open J Vet Med 2017; 7: 99-110. ]

La isquemia intestinal está causada por la oclusión de la vasculatura mesentérica craneal, lo que causa acúmulo de gas y líquido en el lumen intestinal, así como necrosis de su pared, erosión de la mucosa y posterior liberación de toxinas y translocación bacteriana, lo que provoca peritonitis séptica y shock.[ Junius G, Appeldoorn AM, Schrauwen E: Mesenteric volvulus in the dog: a retrospective study of 12 cases. J Small Anim Pract 2004; 45(2): 104-107. [PubMed] ]

Los signos clínicos más habituales son vómitos, hematoquecia, intenso dolor abdominal y signos de shock séptico. Existe una predisposición racial en razas grandes como el pastor alemán.[ Rautala E, Björkenheim P, Laitinen M: Radiographic and ultrasonographic findings in three surgically confirmed cases of small intestinal ischemia related to mesenteric volvulus or intestinal torsión in dogs. Open J Vet Med 2017; 7: 99-110. ] En la mayoría de los casos, la causa es idiopática, pero muy a menudo sucede en pacientes que padecen o han padecido enfermedades como insuficiencia pancreática exocrina, enteritis linfoplasmocitaria, intususcepción, parvovirus, dilatación/torsión gástrica o cuerpos extraños gastrointestinales, así como tras realizar ejercicio muy intenso.[ Rautala E, Björkenheim P, Laitinen M: Radiographic and ultrasonographic findings in three surgically confirmed cases of small intestinal ischemia related to mesenteric volvulus or intestinal torsión in dogs. Open J Vet Med 2017; 7: 99-110. , Junius G, Appeldoorn AM, Schrauwen E: Mesenteric volvulus in the dog: a retrospective study of 12 cases. J Small Anim Pract 2004; 45(2): 104-107. [PubMed] , Carbonell Rosello G, Gallach RG, Jimenez Pelaez M: CT diagnosis and management of mesenteric torsión in a dog. Vet Rec Case Rep 2020; 8(3): e001102. ] En el caso que se presenta, el paciente había manifestado una dilatación-torsión gástrica pocos meses antes, así como parvovirosis de cachorro.

Con el examen radiográfico, podemos obtener un diagnóstico presuntivo cuyos hallazgos más significativos son una distensión generalizada de todas las asas intestinales de manera uniforme y pérdida de diferenciación de serosas, siendo estos compatibles con una obstrucción mecánica o un íleo funcional. La pérdida de diferenciación de serosas se debe a la reacción peritoneal y a la presencia de líquido libre dentro de la cavidad, pero sobre todo al líquido libre que en muchos casos resulta de la perforación intestinal.[ Dennis, R, Kirberger, RM, Barr, F, Wrigley, RH: Gastrointestinal tract. En Dennis, R, Kirberger, RM, Barr, F, Wrigley, RH (ed): Handbook of Small Animal Radiology and Ultrasound, Croydon (UK), Elsevier, 2010; 267-295. , Rautala E, Björkenheim P, Laitinen M: Radiographic and ultrasonographic findings in three surgically confirmed cases of small intestinal ischemia related to mesenteric volvulus or intestinal torsión in dogs. Open J Vet Med 2017; 7: 99-110. , Carbonell Rosello G, Gallach RG, Jimenez Pelaez M: CT diagnosis and management of mesenteric torsión in a dog. Vet Rec Case Rep 2020; 8(3): e001102. ]

En el examen ecográfico de la cavidad abdominal se suele identificar marcada distensión intestinal, con acumulación de contenido líquido y gaseoso intraluminal, y un peristaltismo muy reducido o incluso ausente. Lo más destacable es que al emplear el modo Doppler color no se detecta flujo sanguíneo en los vasos que irrigan los tramos intestinales afectados. En ocasiones, se puede observar una moderada cantidad de líquido libre y el omento hiperecoico y reactivo.[ Dennis, R, Kirberger, RM, Barr, F, Wrigley, RH: Gastrointestinal tract. En Dennis, R, Kirberger, RM, Barr, F, Wrigley, RH (ed): Handbook of Small Animal Radiology and Ultrasound, Croydon (UK), Elsevier, 2010; 267-295. , Rautala E, Björkenheim P, Laitinen M: Radiographic and ultrasonographic findings in three surgically confirmed cases of small intestinal ischemia related to mesenteric volvulus or intestinal torsión in dogs. Open J Vet Med 2017; 7: 99-110. ]

La técnica de diagnóstico por imagen más precisa para identificar una torsión mesentérica es la TC con contraste intravenoso que es, de hecho, la técnica de elección en medicina humana. No obstante, la urgencia que exige la situación de nuestros pacientes en medicina veterinaria hace que en muchos casos se realice un diagnóstico presuntivo con el examen radiográfico y ecográfico y se proceda a hacer una laparotomía exploratoria.[ Carbonell Rosello G, Gallach RG, Jimenez Pelaez M: CT diagnosis and management of mesenteric torsión in a dog. Vet Rec Case Rep 2020; 8(3): e001102. , Chow KE, Stent AW, Milne, M, et al. Imaging diagnosis-Use of multiphasic contrast-enhanced computed tomography for diagnosis of mesenteric volvulus in a dog. Vet Radiol Ultrasound 2014; 55 (1): 74-78. [PubMed] ] En la TC, es muy característico visualizar el denominado “whirl sign” o signo de remolino, que tiene lugar cuando las asas intestinales rotan sobre sí mismas junto con los vasos y la grasa mesentérica, adquiriendo morfología similar a la de una espiral o remolino. Es importante destacar que este signo es indicativo de torsión mesentérica o vólvulo intestinal, aunque no específico de esta patología, ya que también puede ser observado en casos de neoplasias y hernias abdominales, entre otras.[ Chow KE, Stent AW, Milne, M, et al. Imaging diagnosis-Use of multiphasic contrast-enhanced computed tomography for diagnosis of mesenteric volvulus in a dog. Vet Radiol Ultrasound 2014; 55 (1): 74-78. [PubMed] ]

En conclusión, aunque poco frecuente, la torsión mesentérica debe considerarse dentro del diagnóstico diferencial en pacientes con dolor abdominal agudo e imagen radiográfica de sobredistensión generalizada del tracto intestinal, recomendándose la realización de una laparotomía exploratoria de urgencia, con un pronóstico de reservado a desfavorable.

Fuente de financiación: este trabajo no se ha realizado con fondos comerciales, públicos o del sector privado.
Conflicto de intereses: el autor declara que no existe conflicto de intereses.

Bibliografía

  1. [1] Dennis, R, Kirberger, RM, Barr, F, Wrigley, RH: Gastrointestinal tract. En Dennis, R, Kirberger, RM, Barr, F, Wrigley, RH (ed): Handbook of Small Animal Radiology and Ultrasound, Croydon (UK), Elsevier, 2010; 267-295.
  2. [2] Rautala E, Björkenheim P, Laitinen M: Radiographic and ultrasonographic findings in three surgically confirmed cases of small intestinal ischemia related to mesenteric volvulus or intestinal torsión in dogs. Open J Vet Med 2017; 7: 99-110.
  3. [3] Junius G, Appeldoorn AM, Schrauwen E: Mesenteric volvulus in the dog: a retrospective study of 12 cases. J Small Anim Pract 2004; 45(2): 104-107. [PubMed]
  4. [4] Carbonell Rosello G, Gallach RG, Jimenez Pelaez M: CT diagnosis and management of mesenteric torsión in a dog. Vet Rec Case Rep 2020; 8(3): e001102.
  5. [5] Chow KE, Stent AW, Milne, M, et al. Imaging diagnosis-Use of multiphasic contrast-enhanced computed tomography for diagnosis of mesenteric volvulus in a dog. Vet Radiol Ultrasound 2014; 55 (1): 74-78. [PubMed]

Artículos recomendados

Estas recomendaciones se ofrecen de forma automática.

  • ¿Cuál es tu diagnóstico?
    L. Martín-Carrasco, E. Mínguez-Pereira, R. Salgüero-Fernández, et al.
    Clin Vet Peq Anim Vol. 46 - Nº 1 · MAR 2026 · ¿Cuál es tu diagnóstico?
  • ¿Cuál es tu diagnóstico?
    D. Marbella, A.M. Hernández-Guerra, L. Montalvà-Minguet
    Clin Vet Peq Anim Vol. 45 - Nº 4 · DIC 2025 · ¿Cuál es tu diagnóstico?
  • ¿Cuál es tu diagnóstico?

    J.D. Carrillo, M. Soler, M.S. Echalecu, et al.
    Clin Vet Peq Anim Vol. 45 - Nº 3 · SEP 2025 · ¿Cuál es tu diagnóstico?
  • Inicio
  • Historia clínica
  • Describe las alteraciones radiográficas observadas
  • Diagnósticos diferenciales compatibles con los signos radiográficos observados
  • Otras pruebas que podrían realizarse para alcanzar un diagnóstico definitivo
  • Comentario
  • Bibliografía
Artículo anterior Índice de la revista Artículo siguiente
ANUNCIO
Próximos cursos ATVs Elearning
Índice
Inicio Historia clínica Describe las alteraciones radiográficas observadas Diagnósticos diferenciales compatibles con los signos radiográficos observados Otras pruebas que podrían realizarse para alcanzar un diagnóstico definitivo Comentario Bibliografía
Purina Calming Care
ANUNCIO

¿No eres socio de AVEPA y quieres recibir comunicación de las nuevas ediciones en tu correo?

Suscríbete

Suscríbete y te avisaremos cuando publiquemos un nuevo número

Suscribirme

Enlaces rápidos

  • Inicio
  • Último número
  • Archivo
  • Artículos

Información

  • Comité editorial
  • Política de cookies
  • Política de privacidad
  • Términos y condiciones

Contacto

  • info@imaginice.com
  • Envíanos tu artículo
© 2026 Ice Salud Vet SL. Todos los derechos reservados.

Usamos cookies para mejorar tu experiencia. Selecciona cuáles aceptas: