Logo AVEPA

Clínica Veterinaria de Pequeños Animales

Revista oficial de AVEPA

  • Inicio
  • Último número
  • Archivo
  • Artículos
  • Para autores
  • Contacto
Cursos Junio-Septiembre 2026
ANUNCIO

Clínica Veterinaria de Pequeños Animales

Revista oficial de AVEPA

  • Inicio
  • Último número
  • Archivo
  • Artículos
  • Para autores
  • Contacto
Curso Oftalmología 2026
ANUNCIO
Clin Vet Peq Anim Vol. 36 • Nº 1 • marzo 2016

Caso clínico de medicina felina

Caso Clínico de...

R. Santiago

Hospital Clínico Veterinario. Departamento de Medicina Animal. Universidad de Extremadura

F. J. Duque

Hospital Clínico Veterinario. Departamento de Medicina Animal. Universidad de Extremadura

A. Basler

Hospital Clínico Veterinario. Departamento de Medicina Animal. Universidad de Extremadura

R. Barrera

Hospital Clínico Veterinario. Departamento de Medicina Animal. Universidad de Extremadura

P. Ruiz

Hospital Clínico Veterinario. Departamento de Medicina Animal. Universidad de Extremadura

Contacto: rstostado@gmail.com
Descargar artículo

Historia clínica

Se presentó en la consulta de Medicina Interna del Hospital Clínico Veterinario de la UEx, un gato Común Europeo, macho castrado de 8 años de edad, correctamente vacunado y desparasitado, que vive en un piso sin salida al exterior y convive con un perro y tres gatos, todos ellos sanos. El propietario refiere que desde hace una semana el paciente muestra pérdida de peso, poliuria y polidipsia, ataxia, temblores musculares y ventroflexión del cuello y dificultad respiratoria.

El gato, de 4 kg de peso, con una condición corporal de 4/6, a la exploración física presentaba las mucosas sonrosadas y una temperatura rectal de 38,1ºC. La frecuencia cardiaca era de 188 ppm, pulso fuerte y ritmo regular, patrón respiratorio abdominal con una frecuencia 60 rpm; a la auscultación en el hemitórax izquierdo se detectó un soplo cardíaco de grado III/VI y crepitaciones a la auscultación pulmonar. La presión arterial sistólica (PAS) fue medida mediante método Doppler, el animal se encontraba tranquilo, se escogió el manguito que correspondía al 40% de la longitud de la extremidad anterior, se rasuró el pelo a nivel de la arteria digital palmar común de la extremidad anterior derecha y se realizaron 5 medidas consecutivas, descartándose los valores superior e inferior y se calculó el valor medio de las tres restantes, se obtuvo un valor de 165 mmHg, considerándose hipertensión moderada según los valores de referencia (Hipertensión leve ≥150 mmHg; moderada ≥160 mmHg; Grave ≥180 mmHg ) establecidos en gatos.[ Brown S, Atkins C, Bagley R, Carr A, et al. Guidelines for the Identification, Evaluation, and Management of Systemic Hypertension in Dogs and Cats. J Vet Intern Med 2007; 21:542-558. [PubMed] ]

Se realizó análisis de sangre que incluyó hemograma completo con recuento diferencial de leucocitos y bioquímica sanguínea. Los resultados revelaron una marcada hipokalemia (1,9 mmol/l; valores de referencia 4,4-5,7 mmol/l). El resto de los parámetros evaluados fueron normales, así como el análisis de orina.

Con los datos disponibles se realizó un diagnóstico presuntivo de edema pulmonar e hipokalemia severa. Se procedió a la estabilización del paciente, administrado oxigenoterapia, fluidoterapia con una solución de Ringer Lactato suplementado con 40 miliequivalentes de cloruro potásico administrado vía intravenosa para suplementar la hipokalemia severa, pudiendo administrar así de forma más segura furosemida a 2 mg/kg administrado vía intravenosa.

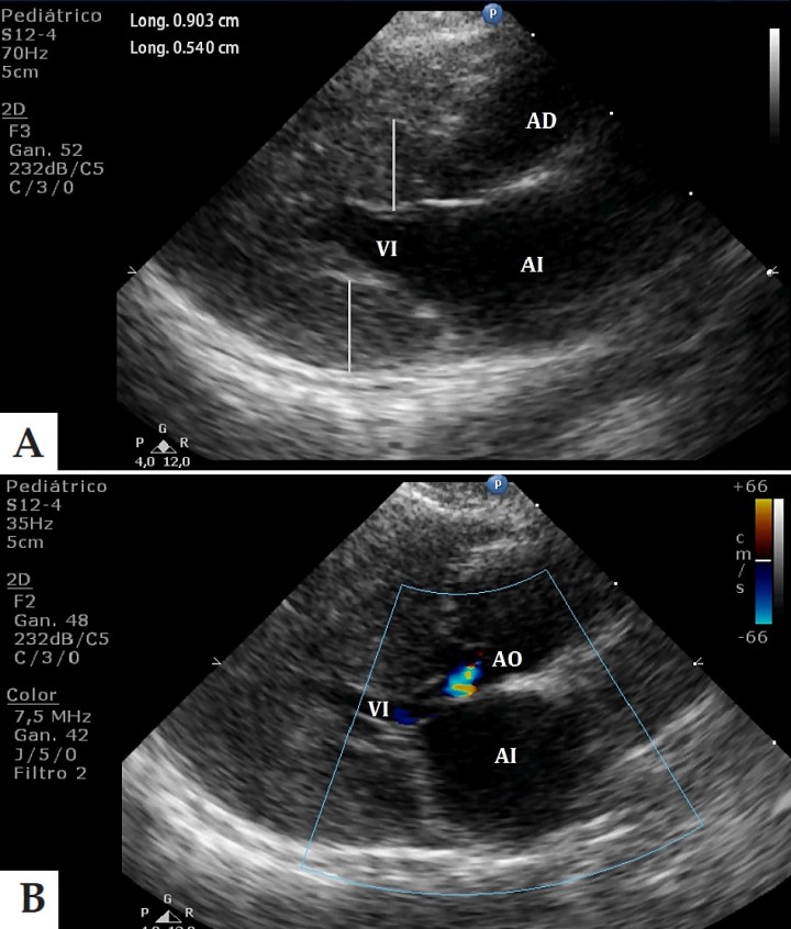
Una vez el patrón respiratorio del paciente cambió, disminuyendo las rpm hasta 24, se realizaron radiografías de tórax, donde se visualizó un leve aumento de la silueta cardíaca, con un índice vertebral cardíaco de 9,5 (siendo normal en gatos hasta un valor de 8), así como edema intersticial perihiliar moderado. Tras estos hallazgos y la presencia del soplo cardíaco, se decidió realizar una ecocardiografía, donde se observó en el ventrículo izquierdo, una hipertrofia concéntrica que afectaba tanto al septo interventricular como a la pared libre, así como una dilatación de la aorta ascendente. El Doppler color mostró un flujo turbulento en el tracto de salida del ventrículo izquierdo y un flujo de regurgitación aórtico (Fig. 1).

<p>A: Imagen ecocardiográfica en un corte paraesternal derecho en eje largo donde se aprecia la hipertrofia de las paredes del ventrículo izquierdo (AI: aurícula izquierda; VI: ventrículo izquierdo; AO: aorta). B: Imagen ecocardiográfica en modo Doppler color en un corte paraesternal derecho en eje largo donde se observa regurgitación en la válvula aórtica debida a la hipertensión sistémica (AI: aurícula izquierda; VI: ventrículo izquierdo; AD: aurícula derecha).</p>
Figura 1

A: Imagen ecocardiográfica en un corte paraesternal derecho en eje largo donde se aprecia la hipertrofia de las paredes del ventrículo izquierdo (AI: aurícula izquierda; VI: ventrículo izquierdo; AO: aorta). B: Imagen ecocardiográfica en modo Doppler color en un corte paraesternal derecho en eje largo donde se observa regurgitación en la válvula aórtica debida a la hipertensión sistémica (AI: aurícula izquierda; VI: ventrículo izquierdo; AD: aurícula derecha).

¿Cuáles son los diagnósticos diferenciales más probables?

Entre los diagnósticos diferenciales que incluyen hipokalemia e hipertensión sistémica en gatos se encuentran la insuficiencia renal, por la activación del eje renina-angiotensina-aldosterona, que incrementa los niveles de aldosterona, contribuyendo a la disminución del potasio y el aumento de la presión arterial sistémica. Enfermedades endocrinas, como hiperaldosteronismo primario (HAP) que provoca también una disminución de la concentración de potasio en sangre debido al incremento de aldosterona e hipertensión, diabetes mellitus por la translocación intracelular del potasio en situaciones de alcalemia e hipertiroidismo que puede crear situaciones de hipokalemia, por la liberación de catecolaminas así como por la activación del eje renina-angiotensina-aldosterona e hipertensión en el 5 al 22% de los gatos.[ Reusch CE, Schellenberg S, Wenger M. Endocrine hypertension in small animals. Vet Clin North Am Small Anim Pract 2010; 40:335-52. [PubMed] ]

¿Qué pruebas complementarias estarían indicadas para llegar a un diagnóstico definitivo en este caso?

En el presente caso clínico se descartó la insuficiencia renal, ya que el resto de los valores bioquímicos eran normales; así como la diabetes mellitus, dado que no existía hiperglucemia ni glucosuria.

Si bien no se puede descartar la hipertrofia ventricular izquierda debida a hipertensión con una miocardiopatía hipertrófica concurrente, dándose esta situación con cierta frecuencia en el gato, el resto de hallazgos clínicos hacen pensar que al menos en parte la hipertrofia pueda estar causada por la hipertensión arterial sistémica.[ Cot E, MacDonald KA, Meurs K. Sleeper, MM. Systemic Hypertension. En Cotê, E., MacDonald, K.A., Meurs,K. and Sleeper, M.M., eds. Feline Cardiology. Oxford, Wiley-Blackwell; 2011:325-339. ]

Se realizaron las mediciones de tiroxina (T4= 9,88 ng/ml, Valor de referencia= 7,8-42,7 ng/ml) cuyos valores estaban dentro del rango de referencia, descartando así el hipertiroidismo, quedando como hipótesis principal el HAP.

El diagnóstico de HAP se basa en la sintomatología clínica del animal, la presencia de hipokalemia, hipertensión y aumento de los valores de aldosterona en sangre; en el presente caso clínico, la aldosterona tenía un valor en plasma de 870,01 µg/ml, muy superior al rango de referencia ofrecido por el laboratorio (70-139 µg/ml).

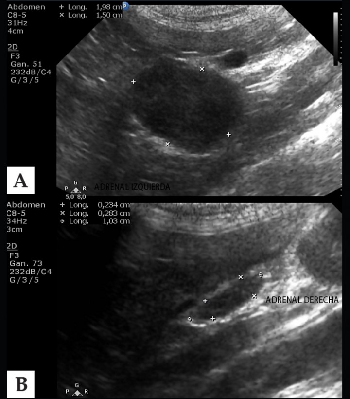
Las pruebas de diagnóstico por imagen, tales como la ecografía son fundamentales en el diagnóstico del HAP ya que permiten valorar la presencia de masas adrenales. En el presente caso clínico, se visualizó mediante ecografía abdominal, la presencia de una masa en la glándula adrenal izquierda de 1,98 por 1,5 cm de diámetro (Fig. 2). Otras técnicas de diagnóstico por imagen como la tomografía computarizada y la resonancia magnética pueden ayudarnos a definir de forma más precisa la extensión de la masa, así como la invasión o ausencia de la misma de la vena cava caudal.[ Schulman RL. Feline primary hyperaldosteronism. Vet Clin North Am Small Anim Pract 2010; 40:353-9. [PubMed] ] Se confirmó el diagnóstico de HAP por la sintomatología clínica que presentaba el animal, la hipokalemia, la hipertensión sistémica, el aumento de los valores de aldosterona y la visualización de una masa adrenal mediante ecografía.

<p>A: Imagen ecográfica de la glándula adrenal izquierda que refleja aumento de tamaño con aspecto neoplásico. B: Imagen ecográfica de la adrenal derecha de tamaño y aspecto normal.</p>
Figura 2

A: Imagen ecográfica de la glándula adrenal izquierda que refleja aumento de tamaño con aspecto neoplásico. B: Imagen ecográfica de la adrenal derecha de tamaño y aspecto normal.

¿Qué tratamiento instaurarías?

El HAP, tanto en humanos como en gatos, puede estar causado por un tumor adrenal unilateral, que suelen ser adenomas o adenocarcinomas, o por una hiperplasia bilateral de las glándulas adrenales.[ Schulman RL. Feline primary hyperaldosteronism. Vet Clin North Am Small Anim Pract 2010; 40:353-9. [PubMed] , Lo AJ, Holt DE, Brown DC, Schlicksup MD, Orsher RJ, Agnello KA. Treatment of aldosterone-secreting adrenocortical tumors in cats by unilateral adrenalectomy: 10 181 cases (2002-2012). J Vet Intern Med 2014;28:137-43. [PubMed] ] En el caso de una afectación adrenal unilateral, en la que no exista invasión de la vena cava caudal, el tratamiento recomendado es la resección quirúrgica de la glándula adrenal afectada, ya que parece ser un tratamiento resolutivo.

En determinadas ocasiones, como tumores no resecables, presencia de metástasis, hiperplasia adrenal bilateral, enfermedades concurrentes o limitaciones por parte de los propietarios, se puede instaurar un tratamiento médico de sostén, basado en la administración de espironolactona como antagonista de la aldosterona a una dosis de 2,5 mg/kg/12 horas, suplementación de los niveles de potasio mediante la administración de gluconato potásico vía oral a una dosis de 2 a 6 mEq/12-24 horas, y la inclusión de un tratamiento hipotensivo como amlodipino a una dosis de 0,125 mg / kg /24 horas, de forma indefinida.[ Chiaramonte D, Greco DS. Feline adrenal disorders. Clin Tech Small Anim Pract 2007; 22:26-31. [PubMed] ] En nuestro caso, por petición del propietario se instauró el tratamiento médico indicado anteriormente. En la última revisión realizada el animal no presentaba sintomatología clínica relacionada con la enfermedad, si bien los valores de potasio seguían por debajo de los valores de referencia (2,76 mmol/l; valores de referencia 4,4-5,7 mmol/l), coincidiendo con lo descrito por Chiaramonte et al,[ Chiaramonte D, Greco DS. Feline adrenal disorders. Clin Tech Small Anim Pract 2007; 22:26-31. [PubMed] ] en que los animales con tratamiento médico no normalizan los niveles de potasio. Un mes después, la masa adrenal había aumentado hasta una dimensión de 2,18 x 1,72 cm de diámetro. La PAS fue medida mediante método Doppler encontrándose dentro del rango de referencia normal (130 mmHg). Se repitió la ecocardiografía con el fin de valorar la hipertrofia del ventrículo izquierdo, la cual había disminuido, pasando la medida del septo interventricular de 0,74 cm a 0,65 cm en diástole y la pared libre del ventrículo izquierdo de 0,69 a 0,53 cm en diástole. El animal sigue en tratamiento sin presentar sintomatología asociada a la enfermedad hasta día de hoy, 150 días tras el diagnóstico.

Discusión

El HAP es una patología de origen endocrino que se caracteriza por una producción excesiva de mineralocorticoides, principalmente aldosterona, por parte de la zona glomerulosa de la corteza adrenal. También es conocida como enfermedad de Conn’s. Fue descrita por primera vez en la especie humana en 1955 y en la felina en 1983; desde entonces se han comunicado algunos casos de forma esporádica, pensándose que puede ser una enfermedad infradiagnosticada, ya que la aldosterona no se mide de forma rutinaria en gatos con hipertensión.[ Schulman RL. Feline primary hyperaldosteronism. Vet Clin North Am Small Anim Pract 2010; 40:353-9. [PubMed] ]

Las neoplasias primarias adrenales representan un 0,2% de los procesos tumorales en gatos. En el HAP la mayor parte de los casos en medicina felina están causados por adenomas o carcinomas unilaterales adrenales.[ Lo AJ, Holt DE, Brown DC, Schlicksup MD, Orsher RJ, Agnello KA. Treatment of aldosterone-secreting adrenocortical tumors in cats by unilateral adrenalectomy: 10 181 cases (2002-2012). J Vet Intern Med 2014;28:137-43. [PubMed] ] El HAP suele presentarse en gatos geriátricos, sin predisposición racial ni sexual, siendo los signos clínicos más frecuentes los temblores musculares y la ventroflexión cervical, seguido por los síntomas derivados de la hipertensión sistémica tales como hemorragias intraoculares, desprendimiento de retina, daño renal e hipertrofia miocárdica. Otros síntomas menos comunes son poliuria y polidipsia, diarrea, anorexia, pérdida de peso y polifagia.[ Schulman RL. Feline primary hyperaldosteronism. Vet Clin North Am Small Anim Pract 2010; 40:353-9. [PubMed] ]

El diagnóstico del HAP se realiza en base a los hallazgos laboratoriales. En cuanto a la hematología sanguínea no suelen encontrarse cambios; a nivel bioquímico, existe hipokalemia, pudiendo también aparecer en algunos casos aumento en la creatinin kinasa (CK) por la miopatía hipokalémica, hipernatremia, azotemia y aumento de los valores de aldosterona en sangre. En medicina humana la prueba diagnóstica de elección es el ratio aldosterona: renina; el inconveniente en medicina veterinaria es que la medición de renina requiere un protocolo estricto de extracción y almacenamiento de las muestras, considerándose por el momento una técnica poco práctica.[ Lo AJ, Holt DE, Brown DC, Schlicksup MD, Orsher RJ, Agnello KA. Treatment of aldosterone-secreting adrenocortical tumors in cats by unilateral adrenalectomy: 10 181 cases (2002-2012). J Vet Intern Med 2014;28:137-43. [PubMed] ] Se han realizado estudios sobre el test de supresión con fludrocortisona como diagnóstico del HAP, sin embargo no ha sido validado en la población felina debido al alto número de falsos negativos que se obtienen.[ McKenzie TJ, Lillegard JB, Young WF. Aldosteronomas-state of the art. Surg Clin North Am 2009;89:1241-1253. [PubMed] ] Como ya se mencionó anteriormente, las pruebas de diagnóstico por imagen también desempeñan un papel fundamental en el diagnóstico del HAP.[ Schulman RL. Feline primary hyperaldosteronism. Vet Clin North Am Small Anim Pract 2010; 40:353-9. [PubMed] ]

El tratamiento de elección cuando sólo hay afectación de una glándula adrenal es la adrenalectomía unilateral, siendo ésta resolutiva. Sin embargo, es una cirugía que puede conllevar serias complicaciones, intra y perioperatorias, En un estudio donde se realizó adrenalectomía unilateral a 10 gatos diagnosticados de HAP, 8 de los 10 animales sobrevivieron al periodo postoperatorio, en los cuales se normalizaron los valores de potasio en sangre y la presión arterial volvió a límites normales, no necesitando tratamiento médico. El periodo medio de supervivencia de estos animales fue de 1.297 días, no encontrándose diferencias significativas entre adenomas y adenocarcinoma.[ Lo AJ, Holt DE, Brown DC, Schlicksup MD, Orsher RJ, Agnello KA. Treatment of aldosterone-secreting adrenocortical tumors in cats by unilateral adrenalectomy: 10 181 cases (2002-2012). J Vet Intern Med 2014;28:137-43. [PubMed] ] No obstante, es una cirugía de riesgo elevado, con lo cual se debe informar al propietario de ello. Las complicaciones intraoperatorias más frecuentes son hipotensión, hemorragias abdominales y tromboembolismo. En el periodo postoperatorio las complicaciones que se han observado son periodos de hipotensión sostenida, letargia, vómitos y anorexia, seguida de lipidosis hepática. Por esto, algunos propietarios optan por el tratamiento médico, basado en la administración de espironolactona, gluconato potásico y amlodipino, siendo la tasa de supervivencia con dicho tratamiento desde meses hasta varios años.[ Schulman RL. Feline primary hyperaldosteronism. Vet Clin North Am Small Anim Pract 2010; 40:353-9. [PubMed] ]

En el presente caso clínico existe la limitación de no haber realizado medición de los niveles de renina; actualmente algunos autores,[ Lo AJ, Holt DE, Brown DC, Schlicksup MD, Orsher RJ, Agnello KA. Treatment of aldosterone-secreting adrenocortical tumors in cats by unilateral adrenalectomy: 10 181 cases (2002-2012). J Vet Intern Med 2014;28:137-43. [PubMed] ] por la dificultad que se presenta en la medición de este parámetro, concluyen un diagnóstico de HAP con los hallazgos clínicos, cambios analíticos, ecografía de abdomen y medición de aldosterona.

Como conclusión se puede decir que la medición de la presión arterial es una prueba complementaria de gran importancia en la clínica diaria, así como la valoración de la aldosterona en sangre, no siendo ésta una prueba diagnóstica de rutina en gatos. El HAP puede tratarse de una patología felina infradiagnosticada, y debe ser incluida en el diagnóstico diferencial de animales que presenten hipokalemia e hipertensión.

 

Fuente de financiación: Este trabajo no se ha realizado con fondos comerciales, públicos o del sector privado.

Conflicto de intereses: El autor declara que no existe conflicto de intereses.

Bibliografía

  1. [1] Brown S, Atkins C, Bagley R, Carr A, et al. Guidelines for the Identification, Evaluation, and Management of Systemic Hypertension in Dogs and Cats. J Vet Intern Med 2007; 21:542-558. [PubMed]
  2. [2] Reusch CE, Schellenberg S, Wenger M. Endocrine hypertension in small animals. Vet Clin North Am Small Anim Pract 2010; 40:335-52. [PubMed]
  3. [3] Cot E, MacDonald KA, Meurs K. Sleeper, MM. Systemic Hypertension. En Cotê, E., MacDonald, K.A., Meurs,K. and Sleeper, M.M., eds. Feline Cardiology. Oxford, Wiley-Blackwell; 2011:325-339.
  4. [4] Schulman RL. Feline primary hyperaldosteronism. Vet Clin North Am Small Anim Pract 2010; 40:353-9. [PubMed]
  5. [5] Lo AJ, Holt DE, Brown DC, Schlicksup MD, Orsher RJ, Agnello KA. Treatment of aldosterone-secreting adrenocortical tumors in cats by unilateral adrenalectomy: 10 181 cases (2002-2012). J Vet Intern Med 2014;28:137-43. [PubMed]
  6. [6] Chiaramonte D, Greco DS. Feline adrenal disorders. Clin Tech Small Anim Pract 2007; 22:26-31. [PubMed]
  7. [7] McKenzie TJ, Lillegard JB, Young WF. Aldosteronomas-state of the art. Surg Clin North Am 2009;89:1241-1253. [PubMed]

Artículos recomendados

Estas recomendaciones se ofrecen de forma automática.

  • Caso clínico de… Urgencias

    I. Sunyer
    Clin Vet Peq Anim Vol. 45 - Nº 2 · JUN 2025 · Caso Clínico de...
  • Caso clínico de… Cirugía de tejidos blandos

    N. Jurado, L. Fresno, L. Santos
    Clin Vet Peq Anim Vol. 44 - Nº 1 · MAR 2024 · Caso Clínico de...
  • Caso clínico de… Urgencias

    M. Solana, C. Gómez-Ullate, J.L. Puchol, et al.
    Clin Vet Peq Anim Vol. 43 - Nº 4 · DIC 2023 · Caso Clínico de...
  • Inicio
  • Historia clínica
  • ¿Cuáles son los diagnósticos diferenciales más probables?
  • ¿Qué pruebas complementarias estarían indicadas para llegar a un diagnóstico definitivo en este caso?
  • ¿Qué tratamiento instaurarías?
  • Discusión
  • Bibliografía
Artículo anterior Índice de la revista Artículo siguiente
ANUNCIO
Próximos cursos ATVs Elearning
Índice
Inicio Historia clínica ¿Cuáles son los diagnósticos diferenciales más probables? ¿Qué pruebas complementarias estarían indicadas para llegar a un diagnóstico definitivo en este caso? ¿Qué tratamiento instaurarías? Discusión Bibliografía
Hill's - Reco Start
ANUNCIO

¿No eres socio de AVEPA y quieres recibir comunicación de las nuevas ediciones en tu correo?

Suscríbete

Suscríbete y te avisaremos cuando publiquemos un nuevo número

Suscribirme

Enlaces rápidos

  • Inicio
  • Último número
  • Archivo
  • Artículos

Información

  • Comité editorial
  • Política de cookies
  • Política de privacidad
  • Términos y condiciones

Contacto

  • info@imaginice.com
  • Envíanos tu artículo
© 2026 Ice Salud Vet SL. Todos los derechos reservados.

Usamos cookies para mejorar tu experiencia. Selecciona cuáles aceptas: