Logo AVEPA

Clínica Veterinaria de Pequeños Animales

Revista oficial de AVEPA

  • Inicio
  • Último número
  • Archivo
  • Artículos
  • Para autores
  • Contacto
Cursos Junio-Septiembre 2026
ANUNCIO

Clínica Veterinaria de Pequeños Animales

Revista oficial de AVEPA

  • Inicio
  • Último número
  • Archivo
  • Artículos
  • Para autores
  • Contacto
Curso Oftalmología 2026
ANUNCIO
Clin Vet Peq Anim Vol. 36 • Nº 4 • diciembre 2016

Osteosarcoma maxilar en un perro

Maxillary osteosarcoma in a dog

Artículo original referido a un solo caso clínico

M. Blanco-Nieto

Clínica Veterinaria Reina Victoria. Avda. Reina Victoria, 17. Madrid.

S. Reina de Blas

Clínica Veterinaria Reina Victoria. Avda. Reina Victoria, 17. Madrid.

Contacto: veterinariareinavictoria@gmail.com
Palabras clave: Osteosarcoma, Maxilar, Perro, Maxilectomía.
Keywords: Osteosarcoma, Maxilla, Dog, Maxillectomy.
Clin. Vet. Peq. Anim, 2016, 36 (4): 257 - 261
Descargar artículo

Resumen

Se diagnosticó una neoplasia mesenquimatosa en el maxilar de un Rottweiler hembra mediante citología, y se determinó la extensión del tumor y la ausencia de metástasis mediante estudio TAC. Como tratamiento se realizó una maxilectomía lateral. El estudio anatomopatológico de la lesión una vez extirpada fue compatible con osteosarcoma osteoblástico. Se comprobó la curación clínica de la paciente mediante estudio TAC realizado a los 6 meses de la cirugía y de examen físico realizado a los 12 meses de la cirugía. El resultado funcional y estético fue satisfactorio.

Abstract

A mesenchymal tumour was diagnosed in the maxillary bone of a female Rottweiler by cytology. The extent of the tumor and the absence of metastases were determined through CT scan. A lateral maxillectomy technique was performed. The pathologic study of the injury once removed was compatible with osteoblastic osteosarcoma. The clinical evolution of the patient was verified by means of a TC scan performed 6 months after the surgery and of a physical examination 12 months after the surgery. The functional and aesthetic results were satisfactory.

Introducción

El osteosarcoma es la neoplasia ósea primaria más frecuente en el perro. Aproximadamente el 75 % de los osteosarcomas aparecen en el esqueleto apendicular y el resto en el esqueleto axial.[ Dernell WS, Ehrhart NP, Straw RC, Vail DM: Tumors of the skeletal system, in Withrow SJ, Vail DM: Small Animal Clinical Oncology (ed 4). St Louis, MO, Saunders/elsevier. 2007. ] En 116 casos de osteosarcoma canino primario axial, el 27 % se localizaron en la mandíbula, el 22 % en el maxilar, el 15 % en las vértebras, el 12 % en el cráneo, el 10 % en las costillas, el 9 % en la cavidad nasal y senos paranasales y el 5 % en la pelvis.[ Heyman SJ, Diefenderfer DL, Goldschmidt MH, Newton CD. Canine Axial Skeletal Osteosarcoma A Retrospective Study of 116 Cases (1986 to 1989). Vet Surg 1992; 21: 304–310. [PubMed] ] El comportamiento biológico del osteosarcoma no apendicular parece ser agresivo, a excepción del mandibular y posiblemente del resto del calvarium.[ Dernell WS, Ehrhart NP, Straw RC, Vail DM: Tumors of the skeletal system, in Withrow SJ, Vail DM: Small Animal Clinical Oncology (ed 4). St Louis, MO, Saunders/elsevier. 2007. ] No obstante el osteosarcoma maxilofacial en el perro, como ocurre en la especie humana, tiene un comportamiento menos agresivo que el apendicular.[ N. Farcas, B.Arzi and F. J.M. Verstraete Oral and maxillofacial osteosarcoma in dogs: a review. Vet Comp Oncology, 2012; 12:169–180. [PubMed] ] La resección quirúrgica amplia está recomendada para el tratamiento del osteosarcoma maxilar, mandibular o del cráneo.[ Beckwith K, Eickhoff J, Dernell W, et al. Osteosarcoma of the canine head: a retrospective analysis of 136 cases (1991–2008). S. Abstracts of 30th Annual VCS Conference, San Diego, CA, USA, 29 October–1 November 2010: Vet Comp Oncology 2010; 9: e11. ] En un estudio, después de realizar el tratamiento quirúrgico, el porcentaje de recurrencia fue del 66,7 %.[ Heyman SJ, Diefenderfer DL, Goldschmidt MH, Newton CD. Canine Axial Skeletal Osteosarcoma A Retrospective Study of 116 Cases (1986 to 1989). Vet Surg 1992; 21: 304–310. [PubMed] ] La mayoría de los perros (79,6 %) fallecieron o fueron eutanasiados por problemas asociados con el tumor primario.[ Heyman SJ, Diefenderfer DL, Goldschmidt MH, Newton CD. Canine Axial Skeletal Osteosarcoma A Retrospective Study of 116 Cases (1986 to 1989). Vet Surg 1992; 21: 304–310. [PubMed] ]

El objetivo de este trabajo fue describir el empleo de tratamiento quirúrgico curativo en un paciente canino diagnosticado de osteosarcoma axial.

Caso clínico

Fue atendido un Rottweiler, hembra, entera, de 7 años, de 35 kg de peso, debido a la aparición de una masa facial. El examen físico revelaba una lesión localizada en la región maxilar izquierda, semiesférica, de 5 x 4 cm de dimensiones, de consistencia muy dura, que producía elevación cutánea (Fig. 1). La paciente no presentaba historia previa de traumatismo ni de otros problemas médicos. No se detectaron más alteraciones durante la exploración física inicial.

<p>Imágenes de la primera visita. (A) Frontal (B) Lateral. Se aprecia asimetría facial debida a la presencia de tumefacción maxilar izquierda.</p>
Figura 1

Imágenes de la primera visita. (A) Frontal (B) Lateral. Se aprecia asimetría facial debida a la presencia de tumefacción maxilar izquierda.

Bajo protocolo de sedación consistente en la administración conjunta intramuscular de medetomidina 15 µg/kg (Sedin, Calier; Barcelona) y morfina 0,1 mg/kg (Cloruro Mórfico Braun, Braun; Barcelona) y, trascurridos 20 minutos, la administración endovenosa de alfaxalona 0,1 mg/kg (Alfaxan, Dechra; Barcelona), se procedió al examen de la cavidad oral (Fig. 2) y a la punción de la lesión para realizar estudio citológico, con resultado de proceso neoplásico de origen epitelial o mesenquimatoso con presencia de inflamación mixta secundaria.

<p>Imagen intraoral preoperatoria. Se observa la tumefacción maxilar entre las piezas dentarias 204 y 208.</p>
Figura 2

Imagen intraoral preoperatoria. Se observa la tumefacción maxilar entre las piezas dentarias 204 y 208.

Se remitió el paciente para la realización de un estudio por tomografía computarizada (TAC) craneal y torácica; los hallazgos observados fueron lesión nodular localizada, de 2,3 x 3,1 cm, en el maxilar izquierdo entre el borde caudal del canino hasta el borde craneal del primer molar, con bordes de densidad ósea y una región central de tejido blando que captaba el contraste radiológico de forma marcada, mostrando además inflamación moderada de los tejidos blandos periféricos. A nivel del maxilar se observó una osteolisis de moderada a marcada en las áreas radiculares de los premolares (Fig. 3).

<p>Imágenes de TAC precontraste en ventana de huesos. (A) Plano transversal. (B) Plano dorsal (C) 3D. Se aprecia lesión nodular en la región lateral derecha del hueso maxilar (imágenes cedidas por Diagnosfera).</p>
Figura 3

Imágenes de TAC precontraste en ventana de huesos. (A) Plano transversal. (B) Plano dorsal (C) 3D. Se aprecia lesión nodular en la región lateral derecha del hueso maxilar (imágenes cedidas por Diagnosfera).

Los nódulos linfáticos regionales presentaban morfología y tamaño dentro de la normalidad. No se observó ninguna alteración a nivel torácico.

La paciente fue sometida a tratamiento quirúrgico, practicándose maxilectomía lateral izquierda según la técnica descrita (Fig. 4A).[ Thompson KG, Pool RR: Malignant tunmors of bone, en Meuten DJ (ed) Tumors in Domestic Animals. 4ª ed. Iowa: Iowa State Press, 2002; 263-283. ] Se administró antibioterapia preoperatoria con cefovecina 8 mg/kg SC (Convenia, Zoetis; Madrid).

<p>(A) Imagen quirúrgica donde se aprecia la cavidad nasal después de extirpar el tumor del maxilar. (B) Imagen quirúrgica después del procedimiento de sutura.</p>
Figura 4

(A) Imagen quirúrgica donde se aprecia la cavidad nasal después de extirpar el tumor del maxilar. (B) Imagen quirúrgica después del procedimiento de sutura.

El protocolo anestésico – analgésico consistió en premedicación con medetomidina 10 µg/kg IM y cloruro mórfico 0,1 mg/kg IM. Transcurridos 20 minutos se administró medetomidina 5 µg/kg IV, alfaxalona 10 mg/kg IV y cloruro mórfico 0,3 mg/kg IM. La inducción a la anestesia general se realizó con la administración de propofol (Propovet, Abott; Barcelona) 1 mg/kg IV, se procedió a la intubación endotraqueal y se mantuvo la anestesia con una mezcla de isofluorano (Isoflo, Abott; Barcelona) al 1,5 % en oxígeno.

La monitorización anestésica consistió en pulsioximetría, electrocardiografía y tomas seriadas de presión arterial.

Mediante la técnica de resección en bloque, se extirpó una pieza anatómica de 6 cm x 4 cm que contenía las siguientes piezas dentarias: 204, 205, 206, 207 y 208 (Fig. 5). La escisión se suturó en un plano mediante patrón simple continuo con material de sutura polidioxanona 0 USP (MonoPlus, Braun; Barcelona) (Fig. 4B).

<p>Imagen macroscópica del tejido extirpado. (A) Vista oral. (B) Vista nasal.</p>
Figura 5

Imagen macroscópica del tejido extirpado. (A) Vista oral. (B) Vista nasal.

El protocolo analgésico consistió en la administración de buprenorfina (Buprex, Quintiles S.L.; Madrid) 0,015 mg/kg cada 8 horas VO durante 4 días y meloxicam (Metacam, Boehringer Ingelheim; España) 0,1 mg/kg cada 24 horas VO durante 4 días. No se utilizó ningún método físico para la protección de la incisión.

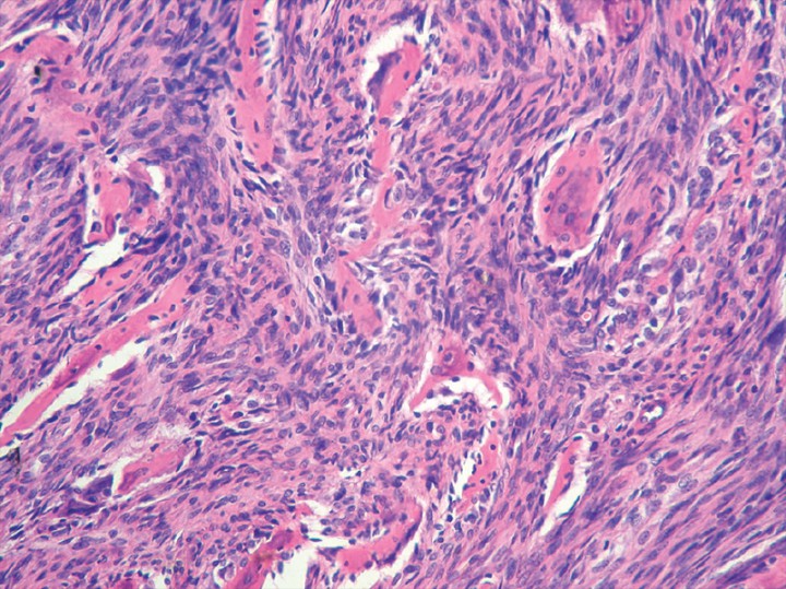
Se realizó estudio anatomopatológico de varias muestras de la pieza anatómica extirpada, diagnosticándose osteosarcoma osteoblástico de bajo grado histológico.[ Craig LE, Dittmer KE, Thompson KG: Bones and joints, en Maxie MG (ed) Jubb, Kennedy & Palmer’s Pathology of Domestic Animals. 6ª ed. St Louis: Elsevier, 2016; 110-115. , Selmic LE, Lafferty MH, Kamstock DA, Garner A, Worley DR, Withrow SJ, el al. Outcome and pronostic factors for osteosarcoma of the maxila, mandibule or calvarium in dogs: 183 cases (1986-2012). J Am Vet Med Assoc. 2014; 245: 930-938. [PubMed] ] Las muestras remitidas presentaban áreas de proliferación neoplásica mesenquimatosa, formadas por elementos de rasgos fusiformes y pleomórficos que, con un bajo índice mitótico, progresaban mostrando una marcada actividad osteosintética y generando escasa necrosis (Fig. 6).

<p>Imagen microscópica del tejido extirpado. Se observan áreas de proliferación neoplásica mesenquimatosa formadas por elementos de rasgos fusiformes y pleomórficos con bajo índice mitótico (Hematoxilina & Eosina x 200). Diagnóstico: osteosarcoma osteoblástico de bajo grado (imagen cedida por Histovet).</p>
Figura 6

Imagen microscópica del tejido extirpado. Se observan áreas de proliferación neoplásica mesenquimatosa formadas por elementos de rasgos fusiformes y pleomórficos con bajo índice mitótico (Hematoxilina & Eosina x 200). Diagnóstico: osteosarcoma osteoblástico de bajo grado (imagen cedida por Histovet).

Transcurridos 24 días de la intervención quirúrgica se procedió, bajo protocolo de sedación, a la inspección de la región intervenida verificando la curación clínica de la paciente (Fig. 7).

<p>Imagen intraoral 24 días después de la cirugía. Se advierte proceso favorable de cicatrización.</p>
Figura 7

Imagen intraoral 24 días después de la cirugía. Se advierte proceso favorable de cicatrización.

Transcurridos 6 meses de la intervención quirúrgica se realizó un estudio TAC craneal (Fig. 8) y torácico de seguimiento. En el área del maxilar izquierdo se apreció una buena evolución, sin presencia de bordes óseos irregulares ni crecimiento de tejidos blandos periféricos en la zona de intervención. La cavidad nasal no presentaba proceso de inflamación, secreciones anómalas o captación anómala de contraste en la secuencia post contraste. Los nódulos linfáticos regionales tenían un aspecto normal. En el tórax no se observaron alteraciones.

<p>Imágenes de TAC con ventana de huesos 6 meses después de la cirugía. (A) Plano transversal (B) Plano sagital (C) 3D. Se observa ausencia de neoformación ósea y/o tejidos blandos en la región intervenida (imágenes cedida por Diagnosfera).</p>
Figura 8

Imágenes de TAC con ventana de huesos 6 meses después de la cirugía. (A) Plano transversal (B) Plano sagital (C) 3D. Se observa ausencia de neoformación ósea y/o tejidos blandos en la región intervenida (imágenes cedida por Diagnosfera).

Transcurridos 12 meses desde el procedimiento quirúrgico, se realizó un examen físico completo e inspección local de la región intervenida, no advirtiéndose ningún signo de enfermedad ni de crecimiento de tejido compatible con recidiva (Fig. 9).

<p>Imágenes macroscópicas 365 días después de la cirugía. (A) Frontal (B) Lateral (C) Intraoral. Se aprecia buen resultado funcional y estético.</p>
Figura 9

Imágenes macroscópicas 365 días después de la cirugía. (A) Frontal (B) Lateral (C) Intraoral. Se aprecia buen resultado funcional y estético.

Discusión

El osteosarcoma maxilar canino es una lesión localmente agresiva. Sobre el comportamiento local de esta neoplasia maxilar, en un estudio se describió que solo el 6 % de los perros con osteosarcoma en la cabeza (mandíbula, maxilar y cráneo) tenían evidencia de metástasis en el momento del diagnóstico.[ Beckwith K, Eickhoff J, Dernell W, et al. Osteosarcoma of the canine head: a retrospective analysis of 136 cases (1991–2008). S. Abstracts of 30th Annual VCS Conference, San Diego, CA, USA, 29 October–1 November 2010: Vet Comp Oncology 2010; 9: e11. ] En otro estudio sobre osteosarcoma axial en el perro, en el 11,1 % de los casos fueron diagnosticadas metástasis pulmonares mediante radiografías.[ Heyman SJ, Diefenderfer DL, Goldschmidt MH, Newton CD. Canine Axial Skeletal Osteosarcoma A Retrospective Study of 116 Cases (1986 to 1989). Vet Surg 1992; 21: 304–310. [PubMed] ] En el estudio referenciado, con la muestra más numerosa de pacientes diagnosticados de osteosarcoma maxilar, mandibular o del calvarium (n = 183), las metástasis se detectaron raramente en el momento del diagnóstico (n = 7) representando el 3,8 % de los casos.[ Wallace J, Matthiesen DT and Patnaik AK. Hemimaxillectomy for the treatment of oral tumors in 69 dogs. Vet Surg 1992; 21: 341. [PubMed] ] Este carácter local del osteosarcoma axial permitiría instaurar un tratamiento quirúrgico potencialmente curativo en un buen número de casos clínicos.

El procedimiento quirúrgico consistente en la nodulectomía en bloque con márgenes de seguridad amplios conllevó la curación clínica de la paciente descrita, coincidiendo con las conclusiones del estudio referenciado, donde se recoge que la escisión de la tumoración con márgenes libres de neoplasia resultó en un mejor control local y en un tiempo de supervivencia más largo que otros tipos de tratamiento.[ Wallace J, Matthiesen DT and Patnaik AK. Hemimaxillectomy for the treatment of oral tumors in 69 dogs. Vet Surg 1992; 21: 341. [PubMed] ]

En el estudio referenciado se describió un porcentaje de recurrencia local del 27 %, no apareciendo recidiva en los casos con escisión quirúrgica completa, lo que subraya la importancia de la resección quirúrgica amplia.[ Wallace J, Matthiesen DT and Patnaik AK. Hemimaxillectomy for the treatment of oral tumors in 69 dogs. Vet Surg 1992; 21: 341. [PubMed] ] En los perros con osteosarcoma maxilar tratados quirúrgicamente (intentando lograr un margen libre del tumor de 1 cm), el tiempo medio de supervivencia fue de 4,6 meses, con el 17 % de los pacientes vivos al año.[ Kosovsky JK, Matthiesen DT, Marretta SM and Patnaik AK. Results of partial mandibulectomy for the treatment of oral tumors in 142 dogs. Vet Surg 1991; 20: 397–401. [PubMed] ] En los perros con osteosarcoma mandibular tratados con mandibulectomía parcial, el tiempo medio de supervivencia fue de 13,6 meses, con el 35 % de los pacientes vivos al año.[ Ehrhart NP, Ryan SD, Fan TM. Tumors of the skeletal system. En: Withrow SJ, Vail DM, Page RL, eds. Small animal clinical oncology. 5th ed. St Louis: Elsevier Saunders, 2013; 463–503. ] A la vista de estos datos deduciríamos que la presentación maxilar, en general, podría tener peor pronóstico para el paciente que la presentación mandibular.

En el caso clínico descrito no se procedió a ningún tratamiento coadyuvante a la extirpación quirúrgica (como quimioterapia o radioterapia). Según un estudio que describe 183 casos de osteosarcoma canino con localización maxilar, mandibular y craneal,[ Wallace J, Matthiesen DT and Patnaik AK. Hemimaxillectomy for the treatment of oral tumors in 69 dogs. Vet Surg 1992; 21: 341. [PubMed] ] la quimioterapia concurrente no resultó en una disminución significativa en la progresión de la enfermedad o el fallecimiento. Este hecho se podría explicar porque la recidiva o progresión local de la tumoración fue más común que la metástasis. Por otra parte, el porcentaje de metástasis diagnosticadas durante el seguimiento del tratamiento fue del 36,9 %, sensiblemente más bajo que el detectado en el seguimiento del tratamiento del osteosarcoma apendicular.[ Coyle VJ, Rassnick KM, Borst LB, et al. Biological behaviour of canine mandibular osteosarcoma. A retrospective study of 50 cases (1999–2007). Vet Comp Oncol. 2015;13:89-97. [PubMed] ] No obstante, un estudio sobre osteosarcoma mandibular describe tasas de metástasis más elevadas (58 %) e informa que la quimioterapia combinada con la cirugía incrementa el periodo libre de metástasis.[ Schwarz PD, Withrow SJ, Curtis CR et al. Parcial maxillary resection as a treatment for oral cancer in 61 dogs. J Am Anim Hosp Asoc. 1991; 27; 617. ]

En el caso clínico descrito, la realización del TAC prequirúrgico facilitó la planificación operatoria definiendo los límites de la tumoración en las tres dimensiones. En consecuencia se realizó maxilectomía teniendo en cuenta los límites referidos, incidiendo dorsolateral a la sutura nasomaxilar hasta la región palatina de las piezas dentales, incluyendo el margen de una pieza dental sana craneal y otra caudal a la lesión y extirpando la cortical maxilar nasal sin retirar tejido nasal pues, afortunadamente, la tumoración no parecía afectar a la cavidad nasal.

La realización del TAC posquirúrgico ayudó a demostrar la curación clínica de la paciente, pues se realizó 6 meses después de la intervención quirúrgica, cuando la aparición posterior de recidiva ya sería improbable. El resultado funcional y estético en este caso clínico fue muy satisfactorio.

Agradecimientos

A Diagnosfera por la realización de los estudios TAC.

A Histovet por el estudio citológico y anatomopatológico.

A Dª. Andrea Pernas Pleite, Lda. Veterinaria, por la realización de las fotografías quirúrgicas.

 

Fuente de financiación: este trabajo no se ha realizado con fondos comerciales, públicos o del sector privado.

Conflicto de intereses: los autores declaran que no existe conflicto de intereses.

Bibliografía

  1. [1] Dernell WS, Ehrhart NP, Straw RC, Vail DM: Tumors of the skeletal system, in Withrow SJ, Vail DM: Small Animal Clinical Oncology (ed 4). St Louis, MO, Saunders/elsevier. 2007.
  2. [2] Heyman SJ, Diefenderfer DL, Goldschmidt MH, Newton CD. Canine Axial Skeletal Osteosarcoma A Retrospective Study of 116 Cases (1986 to 1989). Vet Surg 1992; 21: 304–310. [PubMed]
  3. [3] N. Farcas, B.Arzi and F. J.M. Verstraete Oral and maxillofacial osteosarcoma in dogs: a review. Vet Comp Oncology, 2012; 12:169–180. [PubMed]
  4. [4] Beckwith K, Eickhoff J, Dernell W, et al. Osteosarcoma of the canine head: a retrospective analysis of 136 cases (1991–2008). S. Abstracts of 30th Annual VCS Conference, San Diego, CA, USA, 29 October–1 November 2010: Vet Comp Oncology 2010; 9: e11.
  5. [5] Thompson KG, Pool RR: Malignant tunmors of bone, en Meuten DJ (ed) Tumors in Domestic Animals. 4ª ed. Iowa: Iowa State Press, 2002; 263-283.
  6. [6] Craig LE, Dittmer KE, Thompson KG: Bones and joints, en Maxie MG (ed) Jubb, Kennedy & Palmer’s Pathology of Domestic Animals. 6ª ed. St Louis: Elsevier, 2016; 110-115.
  7. [7] Selmic LE, Lafferty MH, Kamstock DA, Garner A, Worley DR, Withrow SJ, el al. Outcome and pronostic factors for osteosarcoma of the maxila, mandibule or calvarium in dogs: 183 cases (1986-2012). J Am Vet Med Assoc. 2014; 245: 930-938. [PubMed]
  8. [8] Wallace J, Matthiesen DT and Patnaik AK. Hemimaxillectomy for the treatment of oral tumors in 69 dogs. Vet Surg 1992; 21: 341. [PubMed]
  9. [9] Kosovsky JK, Matthiesen DT, Marretta SM and Patnaik AK. Results of partial mandibulectomy for the treatment of oral tumors in 142 dogs. Vet Surg 1991; 20: 397–401. [PubMed]
  10. [10] Ehrhart NP, Ryan SD, Fan TM. Tumors of the skeletal system. En: Withrow SJ, Vail DM, Page RL, eds. Small animal clinical oncology. 5th ed. St Louis: Elsevier Saunders, 2013; 463–503.
  11. [11] Coyle VJ, Rassnick KM, Borst LB, et al. Biological behaviour of canine mandibular osteosarcoma. A retrospective study of 50 cases (1999–2007). Vet Comp Oncol. 2015;13:89-97. [PubMed]
  12. [12] Schwarz PD, Withrow SJ, Curtis CR et al. Parcial maxillary resection as a treatment for oral cancer in 61 dogs. J Am Anim Hosp Asoc. 1991; 27; 617.

Artículos recomendados

Estas recomendaciones se ofrecen de forma automática.

  • Síndrome faloidiano por intoxicación con Lepiota brunneoincarnata en un perro

    P. Álvarez, I. Vigueras, C. Torrente
    Clin Vet Peq Anim Vol. 37 - Nº 1 · MAR 2017 · Artículo original referido a un solo caso clínico
  • Osteosarcoma apendicular canino: ¿qué opciones tenemos?
    P. Lafuente, B. Belda, A. Lara
    Clin Vet Peq Anim Vol. 36 - Nº 4 · DIC 2016 · Artículos de Revisión
  • Resultados del test intradérmico en perros con dermatitis atópica: estudio retrospectivo de 176 casos en Andalucía
    M. Pérez-Aranda, B. Blanco, E. Hernández, et al.
    Clin Vet Peq Anim Vol. 36 - Nº 4 · DIC 2016 · Artículo original referido a múltiples casos clínicos
  • Inicio
  • Introducción
  • Caso clínico
  • Discusión
  • Agradecimientos
  • Bibliografía
Artículo anterior Índice de la revista Artículo siguiente
ANUNCIO
Próximos cursos ATVs Elearning
Índice
Inicio Introducción Caso clínico Discusión Agradecimientos Bibliografía
Virbac - Movoflex
ANUNCIO

¿No eres socio de AVEPA y quieres recibir comunicación de las nuevas ediciones en tu correo?

Suscríbete

Suscríbete y te avisaremos cuando publiquemos un nuevo número

Suscribirme

Enlaces rápidos

  • Inicio
  • Último número
  • Archivo
  • Artículos

Información

  • Comité editorial
  • Política de cookies
  • Política de privacidad
  • Términos y condiciones

Contacto

  • info@imaginice.com
  • Envíanos tu artículo
© 2026 Ice Salud Vet SL. Todos los derechos reservados.

Usamos cookies para mejorar tu experiencia. Selecciona cuáles aceptas: