Logo AVEPA

Clínica Veterinaria de Pequeños Animales

Revista oficial de AVEPA

  • Inicio
  • Último número
  • Archivo
  • Artículos
  • Para autores
  • Contacto
Cursos Junio-Septiembre 2026
ANUNCIO

Clínica Veterinaria de Pequeños Animales

Revista oficial de AVEPA

  • Inicio
  • Último número
  • Archivo
  • Artículos
  • Para autores
  • Contacto
Curso Oftalmología 2026
ANUNCIO
Clin Vet Peq Anim Vol. 36 • Nº 4 • diciembre 2016

Hallazgos ecográficos, clínicos y laboratoriales del mucocele biliar en el perro: 37 casos

Ultrasonography, clinical and laboratory findings in 37 dogs with biliary mucocele

Artículo original referido a múltiples casos clínicos

M. Soler

Hospital Clínico Veterinario. Departamento de Medicina y Cirugía Animal. Universidad de Murcia

Otros artículos de M. Soler:
  • ¿Cuál es tu diagnóstico?
    Clin Vet Peq Anim Vol. 35 • Nº 3 • septiembre 2015
  • ¿Cuál es tu diagnóstico?
    Clin Vet Peq Anim Vol. 35 • Nº 4 • diciembre 2015

A. Agut

Hospital Clínico Veterinario. Departamento de Medicina y Cirugía Animal. Universidad de Murcia

Otros artículos de A. Agut:
  • ¿Cuál es tu diagnóstico?
    Clin Vet Peq Anim Vol. 35 • Nº 3 • septiembre 2015
  • ¿Cuál es tu diagnóstico?
    Clin Vet Peq Anim Vol. 35 • Nº 4 • diciembre 2015
  • Caso clínico de Cirugía

    Clin Vet Peq Anim Vol. 37 • Nº 1 • marzo 2017
  • ¿Cuál es tu diagnóstico?

    Clin Vet Peq Anim Vol. 40 • Nº 3 • septiembre 2020

A. Reyes

Hospital Clínico Veterinario. Departamento de Medicina y Cirugía Animal. Universidad de Murcia

Otros artículos de A. Reyes:
  • ¿Cuál es tu diagnóstico?
    Clin Vet Peq Anim Vol. 35 • Nº 4 • diciembre 2015

M. Martínez

Hospital Clínico Veterinario. Departamento de Medicina y Cirugía Animal. Universidad de Murcia

Otros artículos de M. Martínez:
  • ¿Cuál es tu diagnóstico?
    Clin Vet Peq Anim Vol. 35 • Nº 4 • diciembre 2015
  • Caso clínico de Anestesia

    Clin Vet Peq Anim Vol. 37 • Nº 2 • junio 2017

J. D. Carrillo

Hospital Clínico Veterinario FUVEUM. Universidad de Murcia (UM). Campus de Espinardo. Murcia.

Otros artículos de J. D. Carrillo:
  • Síndrome de dilatación-vólvulo gástrico (DVG)
    Clin Vet Peq Anim Vol. 36 • Nº 3 • septiembre 2016
  • Caso clínico de Cirugía

    Clin Vet Peq Anim Vol. 37 • Nº 1 • marzo 2017

J.J. Cerón

Fundación Clínica Veterinaria. Departamento de Medicina y Cirugía Animal. Universidad de Murcia.

J.D. Martínez

Fundación Clínica Veterinaria. Departamento de Medicina y Cirugía Animal. Universidad de Murcia.

Contacto: mtasoler@um.es
Palabras clave: Mucocele biliar, Patrones ecográficos, Pronóstico, Perro.
Keywords: Gallbladder mucocele, Ultrasonographic patterns, Prognosis, Dog.
Clin. Vet. Peq. Anim, 2016, 36 (4): 265 - 272
Descargar artículo

Resumen

El mucocele biliar es una acumulación anormal de bilis espesa y moco en el interior de la vesícula biliar. El objetivo de este estudio fue describir el aspecto ecográfico del mucocele biliar en perros y relacionarlo con los signos clínicos y alteraciones sanguíneas. En el estudio fueron incluidos aquellos perros a los que desde el año 2010 al 2014 se les diagnosticó mucocele biliar mediante ecografía. El mucocele se clasificó según la apariencia ecográfica del contenido de la vesícula biliar en 5 modelos: Tipo I (contenido ecogénico inmóvil), Tipo II (estriado), Tipo III (estrellado), Tipo IV (estrellado-kiwi), Tipo V (kiwi). Se incluyeron un total de 37 perros y la frecuencia de cada modelo fue 22/37, 10/37, 1/37, 2/37 y 2/37, respectivamente. Los síntomas clínicos que aparecieron con mayor frecuencia fueron los vómitos y el dolor abdominal. Los hallazgos laboratoriales más comunes fueron aumento de la fosfatasa alcalina y leucocitosis con desviación a la izquierda. El modelo ecogénico inmóvil (Tipo I) fue el patrón más observado y el más leve, mientras que los modelos estrellado-kiwi (Tipo IV) y kiwi (Tipo V) fueron los más graves.

Abstract

The gallbladder mucocele is an abnormal accumulation of dense bile and mucus, inside the gallbladder. The aim of this study was to describe the ultrasonographic appearance of gallbladder mucoceles in dogs and to correlate it with the clinical signs and blood test results. Dogs included in this study were those diagnosed with gallbladder mucocele ultrasonographically from 2010 to 2014. Mucoceles were classified according to the ultrasonographic appearance of the gallbladder content into: Type I (immobile echogenic bile), Type II (striated bile), Type III (stellate), Type IV (stellate-kiwi) and Type V (kiwi). The frequency of each pattern was: 22/37, 10/37, 1/37, 2/37 and 2/37, respectively. Vomits and abdominal pain were the most common clinical signs. The most frequent alterations on the blood test results were leukocytosis with left shift and increased ALKP. Type I pattern was the most common and mildest, while patterns IV and V were the most severe.

AVEPA Elearning

La presencia de este logo en un artículo de la revista indica que se publicará un examen sobre el mismo en la plataforma AVEPA Elearning. Su resolución aporta 0,15 créditos dentro del sistema de acreditaciones de especialidades veterinarias de AVEPA.

Introducción

El mucocele biliar es una acumulación anormal de bilis espesa y moco en el interior de la vesícula biliar que frecuentemente produce la distensión de ésta.[ Kook PH, Schellenberg S, Rentsch KM, Reusch CE, Glaus TM: Effects of iatrogenic hypercortisolism on gallbladder sludge formation and biochemical bile constituents in dogs. Vet J, 2012; 191: 225-230. [PubMed] ] Esta patología se presenta con mayor frecuencia en perros adultos de talla media, como el Cocker Spaniel[ Besso JG, Wrigley RH, Gliatto JM, Webster CRL: Ultrasonographic appearance and clinical fidings in 14 dogs with mucocele. Vet Radiol & Ultrasound, 2000; 41: 261-271. [PubMed] ] y el Shetland Sheepdog,[ Mealey KL, Minch JD, White NS, Snekvik KR, Mattoon SJ: An insertion mutation in ABCB4 is associated with gallbladder mucocele formation in dogs. Comp Hepatol, 2010; 9:6. [PubMed] ] no habiéndose descrito predisposición por sexo. Se desconoce la causa de la formación de mucocele biliar en el perro, pero probablemente su etiología sea multifactorial.[ Besso JG, Wrigley RH, Gliatto JM, Webster CRL: Ultrasonographic appearance and clinical fidings in 14 dogs with mucocele. Vet Radiol & Ultrasound, 2000; 41: 261-271. [PubMed] ] Se ha asociado con enfermedades endocrinas como hipotiroidismo[ Mesich MLL, Mayhew PD, Paek M, Holt DE, Brown DC: Gall bladder mucoceles and their association with endocrinopathies in dogs: a restrospective case-control study. J Small Anim Pract, 2009; 50: 630-635. [PubMed] ] y Cushing.[ Kook PH, Schellenberg S, Rentsch KM, Reusch CE, Glaus TM: Effects of iatrogenic hypercortisolism on gallbladder sludge formation and biochemical bile constituents in dogs. Vet J, 2012; 191: 225-230. [PubMed] , Besso JG, Wrigley RH, Gliatto JM, Webster CRL: Ultrasonographic appearance and clinical fidings in 14 dogs with mucocele. Vet Radiol & Ultrasound, 2000; 41: 261-271. [PubMed] , Mesich MLL, Mayhew PD, Paek M, Holt DE, Brown DC: Gall bladder mucoceles and their association with endocrinopathies in dogs: a restrospective case-control study. J Small Anim Pract, 2009; 50: 630-635. [PubMed] ] Los síntomas clínicos de esta patología varían desde episodios de vómitos, anorexia, letargia, dolor abdominal e ictericia, hasta llegar a shock y muerte del animal cuando se produce una peritonitis por rotura de la vesícula biliar como consecuencia del mucocele.[ Besso JG, Wrigley RH, Gliatto JM, Webster CRL: Ultrasonographic appearance and clinical fidings in 14 dogs with mucocele. Vet Radiol & Ultrasound, 2000; 41: 261-271. [PubMed] , Choi J, Kim A, Keh S, Oh J, Kim H, Yoon J. Comparison between ultrasonographic and clinical fidings in 43 dogs with gallbladder mucoceles. Vet Radiol & Ultrasound, 2014; 55:202-207. [PubMed] ] Sin embargo, en otras ocasiones, puede observarse como un hallazgo incidental en el examen ecográfico,[ Besso JG, Wrigley RH, Gliatto JM, Webster CRL: Ultrasonographic appearance and clinical fidings in 14 dogs with mucocele. Vet Radiol & Ultrasound, 2000; 41: 261-271. [PubMed] , Choi J, Kim A, Keh S, Oh J, Kim H, Yoon J. Comparison between ultrasonographic and clinical fidings in 43 dogs with gallbladder mucoceles. Vet Radiol & Ultrasound, 2014; 55:202-207. [PubMed] , Walter R, Dunn EM, d’Anjou MA, Lécuyer M. Nonsurgical resolution of gallbladder mucocele in two dogs. J Am Vet Med Assoc, 2008; 232:1688-1692. [PubMed] ] no manifestando ninguna sintomatología hepatobiliar.[ Besso JG, Wrigley RH, Gliatto JM, Webster CRL: Ultrasonographic appearance and clinical fidings in 14 dogs with mucocele. Vet Radiol & Ultrasound, 2000; 41: 261-271. [PubMed] , Choi J, Kim A, Keh S, Oh J, Kim H, Yoon J. Comparison between ultrasonographic and clinical fidings in 43 dogs with gallbladder mucoceles. Vet Radiol & Ultrasound, 2014; 55:202-207. [PubMed] ]

El principal hallazgo ecográfico que se observa en el mucocele biliar es la presencia de contenido inmóvil en el interior de la vesícula, que puede estar distendida y con la pared engrosada.[ Besso JG, Wrigley RH, Gliatto JM, Webster CRL: Ultrasonographic appearance and clinical fidings in 14 dogs with mucocele. Vet Radiol & Ultrasound, 2000; 41: 261-271. [PubMed] , Choi J, Kim A, Keh S, Oh J, Kim H, Yoon J. Comparison between ultrasonographic and clinical fidings in 43 dogs with gallbladder mucoceles. Vet Radiol & Ultrasound, 2014; 55:202-207. [PubMed] , Walter R, Dunn EM, d’Anjou MA, Lécuyer M. Nonsurgical resolution of gallbladder mucocele in two dogs. J Am Vet Med Assoc, 2008; 232:1688-1692. [PubMed] ] Según las características ecográficas del contenido del mucocele,[ Besso JG, Wrigley RH, Gliatto JM, Webster CRL: Ultrasonographic appearance and clinical fidings in 14 dogs with mucocele. Vet Radiol & Ultrasound, 2000; 41: 261-271. [PubMed] , Choi J, Kim A, Keh S, Oh J, Kim H, Yoon J. Comparison between ultrasonographic and clinical fidings in 43 dogs with gallbladder mucoceles. Vet Radiol & Ultrasound, 2014; 55:202-207. [PubMed] ] se ha clasificado en patrón de bilis ecogénica, patrón estrellado, estrellado kiwi, kiwi con centro residual y modelo kiwi completo. Posteriormente, se han descrito según la apariencia del contenido en ecogénico inmóvil, estrellado incompleto, estrellado, estrellado-kiwi, kiwi con centro residual y kiwi completo.[ Choi J, Kim A, Keh S, Oh J, Kim H, Yoon J. Comparison between ultrasonographic and clinical fidings in 43 dogs with gallbladder mucoceles. Vet Radiol & Ultrasound, 2014; 55:202-207. [PubMed] ] El diagnóstico de mucocele biliar se realiza en base al aspecto ecográfico descrito previamente.[ Besso JG, Wrigley RH, Gliatto JM, Webster CRL: Ultrasonographic appearance and clinical fidings in 14 dogs with mucocele. Vet Radiol & Ultrasound, 2000; 41: 261-271. [PubMed] , Choi J, Kim A, Keh S, Oh J, Kim H, Yoon J. Comparison between ultrasonographic and clinical fidings in 43 dogs with gallbladder mucoceles. Vet Radiol & Ultrasound, 2014; 55:202-207. [PubMed] , Walter R, Dunn EM, d’Anjou MA, Lécuyer M. Nonsurgical resolution of gallbladder mucocele in two dogs. J Am Vet Med Assoc, 2008; 232:1688-1692. [PubMed] ]

Se puede estimar la gravedad del mucocele no solo valorando en el examen ecográfico el aspecto del contenido biliar, sino, además, examinando la integridad y el grosor de la pared, la ecogenicidad del tejido hepático circundante, la del peritoneo y la presencia o ausencia de líquido libre abdominal.[ Besso JG, Wrigley RH, Gliatto JM, Webster CRL: Ultrasonographic appearance and clinical fidings in 14 dogs with mucocele. Vet Radiol & Ultrasound, 2000; 41: 261-271. [PubMed] ]

El objetivo de este estudio fue describir el aspecto ecográfico del mucocele de la vesícula biliar en perros, así como los signos clínicos y alteraciones sanguíneas que presentaban según el modelo ecográfico observado.

Material y métodos

Este es un estudio retrospectivo realizado en un hospital de referencia desde el año 2010 al 2014. Los animales incluidos en el estudio fueron aquellos perros que, al realizar la ecografía abdominal, presentaron un contenido ecogénico inmóvil en la vesícula biliar. Se recogieron todos los datos del paciente en cuanto a raza, edad, sexo, sintomatología clínica (motivo de la consulta, síntomas y duración de estos), examen físico (las alteraciones que presentaban en la exploración general y por sistemas), alteraciones sanguíneas en la bioquímica sérica (fosfatasa alcalina (FAL), alanina-aminotransferasa (ALT), gamma-glutamiltranspeptidasa (GGT), aspartato-aminotransferasa (AST), creatina-quinasa (CK) y colesterol) y en el hemograma, si el tratamiento fue médico y/o quirúrgico y la evolución del animal (favorable/desfavorable).

Se realizó un estudio ecográfico el día de la admisión y otro de evolución entre el mes y los tres meses posteriores al inicio el tratamiento, y se consideró que la evolución era favorable cuando hubo una mejoría en la sintomatología clínica (cesaron los síntomas clínicos) y en las alteraciones analíticas (disminuyó la concentración de los parámetros alterados analizados con respecto al primer examen laboratorial) y ecográficas (visualización de menor o ninguna alteración ecográfica de enfermedad hepatobiliar con respecto al primer estudio ecográfico).

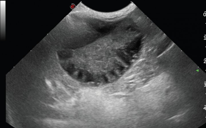
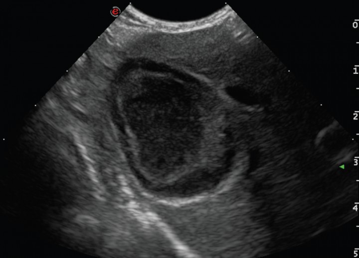
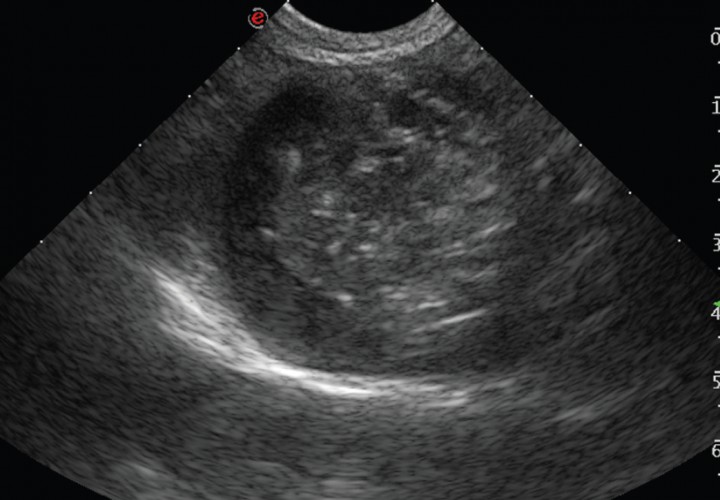
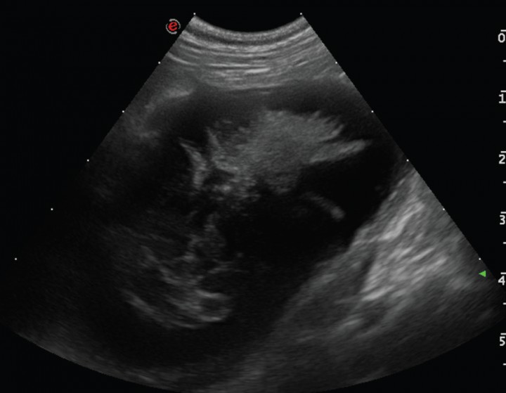
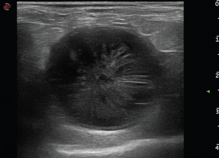
El examen ecográfico fue realizado con sondas semiconvex (3-9 MHz) o lineales (4-13 MHz) (Esaote, Mylab 70, Barcelona, España) según el tamaño del paciente; los animales se posicionaban en decúbito lateral, supino o en estación para confirmar que el contenido de la vesícula biliar era inmóvil. En el examen ecográfico se evaluó el modelo del contenido biliar, grosor de la pared (normal < 3 mm),[ Spaulding KA. Ultrasound corner: Gallbladder Wall thickness. Vet Radiol & Ultrasound 1993; 34:270-272. ] aspecto del tejido adyacente a la vesícula, ecogenicidad del hígado (normal, hiperecogénico, hipoecogénico, o heterogéneo), si existía efusión peritoneal y alteraciones ecográficas en otros órganos. El grado de distensión de la vesícula biliar se evaluó en corte longitudinal (valores de referencia: longitud 3–7,8 cm y profundidad 1,4–4,3 cm) y en corte transversal (valores de referencia: anchura 1,8–4,9 cm y profundidad 1,5–4,1 cm).[ Atalan G, Barr FJ, Holt PE: Estimation of the volumen of the gall bladder of 32 dogs from linear ultrasonographic measurements. Vet Rec, 2007;160: 118-122. [PubMed] ] El modelo del contenido de la vesícula biliar se dividió en 5 tipos (clasificación modificada de JG Besso[ Besso JG, Wrigley RH, Gliatto JM, Webster CRL: Ultrasonographic appearance and clinical fidings in 14 dogs with mucocele. Vet Radiol & Ultrasound, 2000; 41: 261-271. [PubMed] ] y J Choi[ Choi J, Kim A, Keh S, Oh J, Kim H, Yoon J. Comparison between ultrasonographic and clinical fidings in 43 dogs with gallbladder mucoceles. Vet Radiol & Ultrasound, 2014; 55:202-207. [PubMed] ]): Tipo I, sedimento ecogénico inmóvil (Fig. 1); Tipo II, patrón estriado (sedimento ecogénico inmóvil en el que se visualizan estriaciones hipoecogénicas finas y mal definidas desde el interior hacia la pared de la vesícula; Fig. 2); Tipo III, en forma de estrella (material ecogénico en el centro de la luz vesical que emite prolongaciones hipoecogénicas hacia la periferia presentando forma de estrella; Fig. 3); Tipo IV, combinación de patrón de kiwi-estrella (sedimento ecogénico ocupando la zona central de la vesícula biliar en donde se producen prolongaciones con finas estriaciones hacia la periferia; Fig. 4), Tipo V, modelo de kiwi (material ecogénico inmóvil con finas estriaciones hipoecogénicas atravesándolo y ocupando el centro de la luz vesical; Fig. 5).

<p>Imagen ecográfica de la vesícula biliar en corte transversal. Modelo de mucocele biliar de Tipo I: se observa la vesícula biliar distendida con gran cantidad de contenido ecogénico inmóvil en su interior.</p>
Figura 1

Imagen ecográfica de la vesícula biliar en corte transversal. Modelo de mucocele biliar de Tipo I: se observa la vesícula biliar distendida con gran cantidad de contenido ecogénico inmóvil en su interior.

<p>Imagen ecográfica de la vesícular biliar en corte longitudinal. Modelo de mucocele biliar de Tipo II: se visualiza contenido en la vesícula biliar ecogénico inmóvil adherido a la pared y una moderada cantidad de sedimento móvil.</p>
Figura 2

Imagen ecográfica de la vesícular biliar en corte longitudinal. Modelo de mucocele biliar de Tipo II: se visualiza contenido en la vesícula biliar ecogénico inmóvil adherido a la pared y una moderada cantidad de sedimento móvil.

<p>Imagen ecográfica de la vesícula biliar en corte transversal. Modelo de mucocele biliar de Tipo III: la vesícula biliar se observa distendida con contenido ecogénico inmóvil en su interior adherido a la pared y material ecogénico en el centro que emite prolongaciones hipoecogénicas hacia la periferia presentando una forma de estrella.</p>
Figura 3

Imagen ecográfica de la vesícula biliar en corte transversal. Modelo de mucocele biliar de Tipo III: la vesícula biliar se observa distendida con contenido ecogénico inmóvil en su interior adherido a la pared y material ecogénico en el centro que emite prolongaciones hipoecogénicas hacia la periferia presentando una forma de estrella.

<p>Imagen ecográfica de la vesícula biliar en corte longitudinal. Modelo de mucocele biliar de Tipo IV: en el interior de la vesícula biliar se aprecian dos tipos de sedimentos inmóviles; uno ocupando la zona central con estriaciones hacia la periferia y otro de aspecto más amorfo sin estriaciones hacia la periferia.</p>
Figura 4

Imagen ecográfica de la vesícula biliar en corte longitudinal. Modelo de mucocele biliar de Tipo IV: en el interior de la vesícula biliar se aprecian dos tipos de sedimentos inmóviles; uno ocupando la zona central con estriaciones hacia la periferia y otro de aspecto más amorfo sin estriaciones hacia la periferia.

<p>Imagen ecográfica de la vesícula biliar en corte transversal. Modelo de mucocele biliar de Tipo V: el contenido de la vesícula biliar es ecogénico e inmóvil en forma de estriaciones hacia la periferia produciendo aspecto de kiwi.</p>
Figura 5

Imagen ecográfica de la vesícula biliar en corte transversal. Modelo de mucocele biliar de Tipo V: el contenido de la vesícula biliar es ecogénico e inmóvil en forma de estriaciones hacia la periferia produciendo aspecto de kiwi.

En aquellos casos donde se optó por el tratamiento quirúrgico (colecistectomía), se recogieron las complicaciones que hubo derivadas de la cirugía y los resultados del estudio histopatológico de la vesícula biliar, así como los datos del cultivo biliar.

Se realizó un estudio estadístico descriptivo (media, rango y porcentaje) de los parámetros analíticos, signos clínicos y hallazgos ecográficos.

Resultados

En este estudio se incluyeron 37 perros, con una media de edad de 9,7 años (rango de 1,5 a 15 años), divididos en 22 hembras y 15 machos, de 16 razas diferentes (Tabla 1). El 78,37 % (29/37) de los animales fueron sintomáticos. Los síntomas más frecuentes fueron vómito y dolor abdominal, seguidos por anorexia, diarrea e ictericia (Fig. 6). El resto de animales [21,6 % (8/37)] no presentó sintomatología relacionada con el mucocele biliar, y éste fue un hallazgo incidental al realizar el examen ecográfico de la cavidad abdominal. Estos ocho pacientes acudieron al hospital con diversos síntomas como poliuria-polidipsia, secreción vulvar, disuria, incontinencia urinaria, síncopes, disnea, letargia y diarrea.

Image
Tabla 1
<p>Porcentaje de animales con mucocele biliar según los síntomas clínicos.</p>
Figura 6

Porcentaje de animales con mucocele biliar según los síntomas clínicos.

Con respecto a las alteraciones en el hemograma, la única alteración que se observó fue leucocitosis con desviación a la izquierda en el 56,8 % (21/37) de los casos. En la bioquímica sérica, las alteraciones que se evidenciaron de mayor a menor frecuencia fueron: aumento de la FAL con un rango de 141 a 5110 UI/l (valor de referencia de 30-120 UI/l); de la ALT con un rango de 52 a 1968 UI/l (valor de referencia < 50 UI/l); de la GGT con un rango de 8 a 123,2 UI/l (valor de referencia de 1-6,5 UI/l); de la AST con un rango de 52 a 188 UI/l (valor de referencia de < 50 UI/l), del colesterol con un rango de 355 a 845 mg/dl (valor de referencia de 120 a 300 mg/dl) y de la CK con un rango de 208 a 582 UI/l (valor de referencia de 40 a 200 UI/l) (Fig. 7). En 7/8 perros asintomáticos hubo alteraciones de algún parámetro del perfil hepático.

<p>Porcentaje de animales con mucocele biliar que presentaron elevación de los parámetros sanguíneos: FAL (fosfatasa alcalina), ALT (alanina-aminotransferasa), GGT (gamma-glutamiltranspeptidasa), AST (aspartato-aminotransferasa), CK (creatina-quinasa).</p>
Figura 7

Porcentaje de animales con mucocele biliar que presentaron elevación de los parámetros sanguíneos: FAL (fosfatasa alcalina), ALT (alanina-aminotransferasa), GGT (gamma-glutamiltranspeptidasa), AST (aspartato-aminotransferasa), CK (creatina-quinasa).

El modelo ecográfico más frecuentemente visualizado respecto a su contenido fue el ecogénico inmóvil (Tipo I; 22/37), seguido del patrón estriado (Tipo II; 10/37); en dos casos se visualizó el patrón estrellado combinado con kiwi (Tipo IV), en otros dos casos se observó el modelo kiwi (Tipo V) y en un caso se apreció el patrón estrellado (Tipo III) (Fig. 8). En cuanto al grosor de la pared de la vesícula biliar, fue normal en el 70,3 % (26/37) de los casos y estaba engrosada en el 29,7 % (11/37), con un valor medio de 4,06 mm (rango de 3,40 a 4,6 mm). En un caso del Tipo IV y Tipo V (2/37 casos, 5,4 %), se observaron signos compatibles con rotura de la pared de la vesícula biliar. El tejido adyacente a la vesícula biliar fue normal en el 62,2 % de los casos (23/37), y en el 37,8 % (14/37) se encontraba hiperecogénico.

<p>Porcentaje de animales que presentaron cada modelo ecográfico de mucocele biliar: Tipo I (sedimento inmóvil), Tipo II (estriado), Tipo III (estrellado), Tipo IV (estrellado-kiwi), Tipo V (kiwi).</p>
Figura 8

Porcentaje de animales que presentaron cada modelo ecográfico de mucocele biliar: Tipo I (sedimento inmóvil), Tipo II (estriado), Tipo III (estrellado), Tipo IV (estrellado-kiwi), Tipo V (kiwi).

La ecogenicidad del parénquima hepático fue normal en la mayoría de los casos [58,8 % (21/37)], se visualizó hipoecogénico de manera difusa en el 18,9 % (7/37), hiperecogénico en el 13,5 % (5/37) y heterogéneo en el 10,8% (4/37). Se apreció una ligera efusión peritoneal en 4/37 casos (10,8%) y el peritoneo se encontraba aumentado de ecogenicidad en 4/37 casos (10,8 %); los dos casos de rotura de pared biliar (Fig. 9) presentaban ambas alteraciones, correspondiéndose la efusión peritoneal con un exudado.

<p>Imagen ecográfica de la vesícula biliar en corte transversal de un Chihuahua hembra de 5 años que presentaba vómitos, letargia y dolor abdominal. (A) Se visualiza la vesícula biliar aumentada de tamaño, con la pared irregular y engrosada, con contenido ecogénico inmóvil (mucocele biliar de Tipo IV). (B) Además se observaba el peritoneo adyacente hiperecogénico y presencia de líquido libre, siendo el diagnóstico definitivo rotura de la pared de la vesícula biliar y peritonitis focal.</p>
Figura 9

Imagen ecográfica de la vesícula biliar en corte transversal de un Chihuahua hembra de 5 años que presentaba vómitos, letargia y dolor abdominal. (A) Se visualiza la vesícula biliar aumentada de tamaño, con la pared irregular y engrosada, con contenido ecogénico inmóvil (mucocele biliar de Tipo IV). (B) Además se observaba el peritoneo adyacente hiperecogénico y presencia de líquido libre, siendo el diagnóstico definitivo rotura de la pared de la vesícula biliar y peritonitis focal.

Se observaron alteraciones ecográficas en otros órganos en un 75,67 % (28/37) de animales. El porcentaje de alteraciones observadas en otros órganos, así como el tipo de lesión visualizada ecográficamente, queda reflejado en las Tablas 2 y 3.

<p>n= número de animales.</p>
Tabla 2

n= número de animales.

<p>n= número de animales.</p>
Tabla 3

n= número de animales.

La relación entre la sintomatología clínica y el modelo de mucocele se observa en la Tabla 4. De los 8 animales que no presentaron sintomatología clínica, hubo 6 en los que se observó mucocele de Tipo I y los dos restantes presentaron el modelo estriado (Tipo II).

El porcentaje de perros con leucocitosis y FAL elevada fue más bajo en los casos de mucocele de Tipo I que en el resto de modelos ecográficos (Tabla 4). El 70 % de los perros con mucocele de Tipo II mostraban un incremento de la FAL y el 50 % leucocitosis. El caso de mucocele de Tipo III tenia FAL elevada y leucocitosis, y todos los animales que presentaron el modelo Tipo IV y V tenían leucocitosis y FAL elevada. La GGT, en general, aumentó en un menor porcentaje de animales en comparación con la FAL, y en los tipos III y V no se apreció incremento en ningún animal.

<p>FAL (fosfatasa alcalina), ALT (alanina-aminotransferasa), GGT (gamma-glutamiltranspeptidasa), AST (aspartato-aminotransferasa), CK (creatina-quinasa).</p>
Tabla 4

FAL (fosfatasa alcalina), ALT (alanina-aminotransferasa), GGT (gamma-glutamiltranspeptidasa), AST (aspartato-aminotransferasa), CK (creatina-quinasa).

Al relacionar los valores de FAL respecto al modelo de mucocele biliar (Tabla 5), se apreció que los animales con valores más altos presentaban mucocele biliar de Tipo IV y V.

<p>n= número de animales.</p>
Tabla 5

n= número de animales.

El tratamiento médico se instauró en 23/37 casos (62,2 %), en 6/37 animales (16,2 %) se realizó un tratamiento quirúrgico y en 8/37 casos (21,6 %) se desconoció el tratamiento instaurado. El tratamiento médico varió en función de la analítica y la sintomatología, combinándose los siguientes fármacos: ácido ursodeoxicólico (10 mg/kg/12h), omeprazol (0,7 mg/kg/24h), s-adenosil metionina (20 mg/kg/24h), metronidazol (15 mg/kg/12h) y metoclopramida (0,5 mg/kg/8-12h). La evolución del tratamiento médico fue favorable en 15/23 pacientes, desfavorable en 3/23 y hubo 5 pacientes de los que no se obtuvo información sobre la evolución del tratamiento administrado. El tratamiento quirúrgico consistió en la realización de una colecistectomía, teniendo todos ellos una evolución favorable.

El estudio histopatológico de la vesícula biliar se llevó a cabo en cinco animales, observándose en todos los casos una hiperplasia quística mucinosa. El resultado del cultivo bacteriológico, realizado en cuatro animales, fue negativo en tres casos y en un perro fue positivo a Streptococcus sp.

Discusión

El diagnóstico de mucocele biliar se realiza principalmente por su aspecto ecográfico, pudiendo presentar manifestaciones clínicas y laboratoriales que nos ayudan a establecer su pronóstico.[ Besso JG, Wrigley RH, Gliatto JM, Webster CRL: Ultrasonographic appearance and clinical fidings in 14 dogs with mucocele. Vet Radiol & Ultrasound, 2000; 41: 261-271. [PubMed] , Choi J, Kim A, Keh S, Oh J, Kim H, Yoon J. Comparison between ultrasonographic and clinical fidings in 43 dogs with gallbladder mucoceles. Vet Radiol & Ultrasound, 2014; 55:202-207. [PubMed] ] El objetivo de este estudio fue describir el aspecto ecográfico del mucocele biliar y asociarlo con las alteraciones sanguíneas y signos clínicos que presentaban los pacientes.

En nuestro estudio las razas que predominaron fueron las mestizas, seguidas de Schnauzer, Chihuahua, Yorkshire Terrier y West Highland White Terrier. La raza en la cual se ha descrito con mayor frecuencia esta patología ha sido el Cocker Spaniel[ Besso JG, Wrigley RH, Gliatto JM, Webster CRL: Ultrasonographic appearance and clinical fidings in 14 dogs with mucocele. Vet Radiol & Ultrasound, 2000; 41: 261-271. [PubMed] , Choi J, Kim A, Keh S, Oh J, Kim H, Yoon J. Comparison between ultrasonographic and clinical fidings in 43 dogs with gallbladder mucoceles. Vet Radiol & Ultrasound, 2014; 55:202-207. [PubMed] ] que no estuvo presente en este estudio. Sin embargo, en uno de los estudios previos, una de las razas más representada fue el Chihuahua,[ Choi J, Kim A, Keh S, Oh J, Kim H, Yoon J. Comparison between ultrasonographic and clinical fidings in 43 dogs with gallbladder mucoceles. Vet Radiol & Ultrasound, 2014; 55:202-207. [PubMed] ] y, en otro, el Schnauzer,[ Besso JG, Wrigley RH, Gliatto JM, Webster CRL: Ultrasonographic appearance and clinical fidings in 14 dogs with mucocele. Vet Radiol & Ultrasound, 2000; 41: 261-271. [PubMed] ] encontrándose ambas razas presentes en nuestro estudio.

Los hallazgos clínicos que se presentaron con más frecuencia fueron el dolor abdominal y los vómitos.[ Besso JG, Wrigley RH, Gliatto JM, Webster CRL: Ultrasonographic appearance and clinical fidings in 14 dogs with mucocele. Vet Radiol & Ultrasound, 2000; 41: 261-271. [PubMed] , Choi J, Kim A, Keh S, Oh J, Kim H, Yoon J. Comparison between ultrasonographic and clinical fidings in 43 dogs with gallbladder mucoceles. Vet Radiol & Ultrasound, 2014; 55:202-207. [PubMed] ] Estos síntomas clínicos también pueden estar presentes en patologías concomitantes que se observaron al mismo tiempo, por lo cual no se puede asegurar que fueran debidos al mucocele; no obstante, han sido también los más observados por otros autores.[ Besso JG, Wrigley RH, Gliatto JM, Webster CRL: Ultrasonographic appearance and clinical fidings in 14 dogs with mucocele. Vet Radiol & Ultrasound, 2000; 41: 261-271. [PubMed] , Choi J, Kim A, Keh S, Oh J, Kim H, Yoon J. Comparison between ultrasonographic and clinical fidings in 43 dogs with gallbladder mucoceles. Vet Radiol & Ultrasound, 2014; 55:202-207. [PubMed] ] Sin embargo, en 8 casos, el mucocele biliar fue un hallazgo incidental.[ Choi J, Kim A, Keh S, Oh J, Kim H, Yoon J. Comparison between ultrasonographic and clinical fidings in 43 dogs with gallbladder mucoceles. Vet Radiol & Ultrasound, 2014; 55:202-207. [PubMed] ]

Las alteraciones en la analítica sanguínea que se evidenciaron con más frecuencia fueron leucocitosis con desviación a la izquierda y elevación de la FAL.[ Besso JG, Wrigley RH, Gliatto JM, Webster CRL: Ultrasonographic appearance and clinical fidings in 14 dogs with mucocele. Vet Radiol & Ultrasound, 2000; 41: 261-271. [PubMed] , Choi J, Kim A, Keh S, Oh J, Kim H, Yoon J. Comparison between ultrasonographic and clinical fidings in 43 dogs with gallbladder mucoceles. Vet Radiol & Ultrasound, 2014; 55:202-207. [PubMed] ] Hubo menos animales con estas alteraciones en los casos de modelo ecográfico ecogénico inmóvil (Tipo I) que en el resto de modelos ecográficos. Todos los perros con modelo de mucocele biliar estrellado-kiwi (Tipo IV) y kiwi (Tipo V) evidenciaban alteraciones sanguíneas, presentando los valores más altos de FAL, así como vómitos y dolor abdominal. Además en dos casos de estos dos modelos se produjo la rotura de la vesícula biliar. Estos hallazgos nos pueden indicar que el patrón ecogénico inmóvil puede representar una fase inicial del mucocele biliar, mientras que los modelos estrellado-kiwi y kiwi representan un estadío más avanzado de la enfermedad.[ Besso JG, Wrigley RH, Gliatto JM, Webster CRL: Ultrasonographic appearance and clinical fidings in 14 dogs with mucocele. Vet Radiol & Ultrasound, 2000; 41: 261-271. [PubMed] ] La GGT, aunque es también considerada como una enzima que aumenta en situaciones de colestasis, no aumentó en tantos casos de mucocele como la FAL, lo que indicaría que es menos sensible para detectar este proceso.

En el 36,6 % de los animales en los que se observó el modelo ecográfico ecogénico inmóvil (Tipo I) se hallaron alteraciones ecográficas en las glándulas adrenales (compatible con hiperplasia de las mismas en un 75 % de los casos). Se ha descrito una relación del mucocele biliar con desórdenes endocrinos, tales como el hiperadrenocorticismo, ya que esta enfermedad se ha asociado con cambios en la composición de la bilis,[ Kook PH, Schellenberg S, Rentsch KM, Reusch CE, Glaus TM: Effects of iatrogenic hypercortisolism on gallbladder sludge formation and biochemical bile constituents in dogs. Vet J, 2012; 191: 225-230. [PubMed] , Mesich MLL, Mayhew PD, Paek M, Holt DE, Brown DC: Gall bladder mucoceles and their association with endocrinopathies in dogs: a restrospective case-control study. J Small Anim Pract, 2009; 50: 630-635. [PubMed] ] relacionándose con un incremento en la conversión de colesterol en ácidos biliares, lo que provocaría que la bilis tuviese una composición más agresiva con el epitelio biliar.[ Kook PH, Schellenberg S, Rentsch KM, Reusch CE, Glaus TM: Effects of iatrogenic hypercortisolism on gallbladder sludge formation and biochemical bile constituents in dogs. Vet J, 2012; 191: 225-230. [PubMed] ] Otros estudios apuntan a que podría disminuir la motilidad de la vesícula biliar, produciéndose un retraso en el vaciado, prologando así la exposición de las células del epitelio a la acción de los ácidos biliares[ Spaulding KA. Ultrasound corner: Gallbladder Wall thickness. Vet Radiol & Ultrasound 1993; 34:270-272. ] y, como respuesta fisiológica al daño epitelial, se desencadenaría una estimulación de la secreción de mucina.[ Kook PH, Schellenberg S, Rentsch KM, Reusch CE, Glaus TM: Effects of iatrogenic hypercortisolism on gallbladder sludge formation and biochemical bile constituents in dogs. Vet J, 2012; 191: 225-230. [PubMed] , Mesich MLL, Mayhew PD, Paek M, Holt DE, Brown DC: Gall bladder mucoceles and their association with endocrinopathies in dogs: a restrospective case-control study. J Small Anim Pract, 2009; 50: 630-635. [PubMed] , Tsukagoshi T, et al. Decreased gallbladder emptying in dogs with biliary sludge or gallbladder mucocele. Vet Radiol & Ultrasound 2012; 53: 84-91. [PubMed] ] En el presente estudio no se pudo confirmar el diagnóstico laboratorial definitivo de hiperadrenocorticismo en todos los casos donde se observó una alteración ecográfica de las glándulas adrenales.

Un 31,81 % de los casos con modelo ecográfico ecogénico inmóvil y todos los perros que presentaban los modelos estrellado-kiwi y kiwi no manifestaron otras alteraciones en el examen ecográfico. Esto podría ser debido a que la etiología del mucocele biliar en el perro es multifactorial y, entre otras, se ha descrito que la deficiencia en la expresión del gen ABCB4 en algunos animales podría contribuir a la predisposición particular de estos perros al mucocele biliar.[ Cullen JM, Willson CJ, Minch JD, Kimbrough CL, Mealey KL. Lack of association of ABCB4 insertion mutation with gallbladder mucoceles in dogs. J Vet Diagn Invest 2014; 26: 434-436. [PubMed] ] Este gen se expresa en la membrana de los canalículos de los hepatocitos produciendo la translocación de la fosfatidilcolina (la cual es fundamental para la protección del epitelio biliar) al interior de los canalículos biliares; así la deficiencia en el gen ABCB4 puede conllevar una alteración en la homeostasis hepatobiliar que produciría una colecistitis crónica.[ Mealey KL, Minch JD, White NS, Snekvik KR, Mattoon SJ: An insertion mutation in ABCB4 is associated with gallbladder mucocele formation in dogs. Comp Hepatol, 2010; 9:6. [PubMed] ] No obstante, en estos casos no pudimos demostrar esta relación.

El tratamiento de elección del mucocele biliar, en aquellos casos en los que existe obstrucción del conducto biliar,[ Walter R, Dunn EM, d’Anjou MA, Lécuyer M. Nonsurgical resolution of gallbladder mucocele in two dogs. J Am Vet Med Assoc, 2008; 232:1688-1692. [PubMed] , Malek A, Sinclair E, Hosgood G, Moens NMM, Baily T, Boston SE. Clinical findings and prognostic factors for dogs undergoing cholecystectomy for gall bladder mucocele. Vet Surg 2013; 42: 418-426. [PubMed] ] es la colescistectomía y el pronóstico en ese caso es favorable si el animal sobrevive al periodo postoperatorio.[ Malek A, Sinclair E, Hosgood G, Moens NMM, Baily T, Boston SE. Clinical findings and prognostic factors for dogs undergoing cholecystectomy for gall bladder mucocele. Vet Surg 2013; 42: 418-426. [PubMed] ] Existen estudios recientes en los que se describe la elevación de los niveles séricos de lactato y la hipotensión postoperatoria como factores pronóstico de la supervivencia post-colescistectomía.[ Malek A, Sinclair E, Hosgood G, Moens NMM, Baily T, Boston SE. Clinical findings and prognostic factors for dogs undergoing cholecystectomy for gall bladder mucocele. Vet Surg 2013; 42: 418-426. [PubMed] ] Algunos casos se pueden resolver solo con terapia médica; sin embargo, no es el tratamiento de elección para esta patología.[ Walter R, Dunn EM, d’Anjou MA, Lécuyer M. Nonsurgical resolution of gallbladder mucocele in two dogs. J Am Vet Med Assoc, 2008; 232:1688-1692. [PubMed] ] En nuestro estudio, se optó por el tratamiento quirúrgico (colecistectomía)[ Walter R, Dunn EM, d’Anjou MA, Lécuyer M. Nonsurgical resolution of gallbladder mucocele in two dogs. J Am Vet Med Assoc, 2008; 232:1688-1692. [PubMed] , Malek A, Sinclair E, Hosgood G, Moens NMM, Baily T, Boston SE. Clinical findings and prognostic factors for dogs undergoing cholecystectomy for gall bladder mucocele. Vet Surg 2013; 42: 418-426. [PubMed] ] en 6/37 animales; todos ellos tuvieron una evolución favorable y el estudio histopatológico de la vesícula biliar reveló una hiperplasia quística mucinosa en todos los casos.[ Choi J, Kim A, Keh S, Oh J, Kim H, Yoon J. Comparison between ultrasonographic and clinical fidings in 43 dogs with gallbladder mucoceles. Vet Radiol & Ultrasound, 2014; 55:202-207. [PubMed] , Crews LJ, Feeney DA, Jessen CR, Rose ND, Matise I. Clinical, ultrasonographic, and laboratory findings associated with gallbladder disease and ruptura in dogs: 45 cases (1997-2007). J Am Vet Med Assoc 2009; 234 (3):359-366. [PubMed] ]

Una limitación del presente estudio es el bajo número de casos de los modelos ecográficos de Tipo III, Tipo IV y Tipo V, además de la escasa cantidad de perros a los cuales se les realizó el estudio histopatológico y el cultivo del contenido de la vesícula biliar. Otra limitación es la falta de seguimiento de los animales en los que se instauró un tratamiento médico; esto puede deberse a que nuestro centro es un hospital de referencia y la evolución suele realizarla el veterinario ordinario. Por esta misma razón, en determinados casos tampoco se pudo alcanzar el diagnóstico definitivo.

Conclusión

En conclusión, según los resultados de este estudio, los signos clínicos que aparecieron con mayor frecuencia en los perros que presentaban mucocele biliar fueron el dolor abdominal y los vómitos, y las alteraciones sanguíneas observadas en la mayoría de los animales fueron elevación de la FAL y leucocitosis. El modelo ecogénico inmóvil (Tipo I) fue el patrón más observado y el más leve, mientras que los modelos estrellado-kiwi (Tipo IV) y kiwi (Tipo V) fueron los más graves. Sin embargo, se necesitarían más estudios con una mayor casuística en estos últimos modelos.

 

Fuente de financiación: esta investigación no se realizó con fondos comerciales, públicos o del sector privado.

Conflicto de intereses: los autores declaran que no existe conflicto de intereses.

Bibliografía

  1. [1] Kook PH, Schellenberg S, Rentsch KM, Reusch CE, Glaus TM: Effects of iatrogenic hypercortisolism on gallbladder sludge formation and biochemical bile constituents in dogs. Vet J, 2012; 191: 225-230. [PubMed]
  2. [2] Besso JG, Wrigley RH, Gliatto JM, Webster CRL: Ultrasonographic appearance and clinical fidings in 14 dogs with mucocele. Vet Radiol & Ultrasound, 2000; 41: 261-271. [PubMed]
  3. [3] Mealey KL, Minch JD, White NS, Snekvik KR, Mattoon SJ: An insertion mutation in ABCB4 is associated with gallbladder mucocele formation in dogs. Comp Hepatol, 2010; 9:6. [PubMed]
  4. [4] Mesich MLL, Mayhew PD, Paek M, Holt DE, Brown DC: Gall bladder mucoceles and their association with endocrinopathies in dogs: a restrospective case-control study. J Small Anim Pract, 2009; 50: 630-635. [PubMed]
  5. [5] Choi J, Kim A, Keh S, Oh J, Kim H, Yoon J. Comparison between ultrasonographic and clinical fidings in 43 dogs with gallbladder mucoceles. Vet Radiol & Ultrasound, 2014; 55:202-207. [PubMed]
  6. [6] Walter R, Dunn EM, d’Anjou MA, Lécuyer M. Nonsurgical resolution of gallbladder mucocele in two dogs. J Am Vet Med Assoc, 2008; 232:1688-1692. [PubMed]
  7. [7] Spaulding KA. Ultrasound corner: Gallbladder Wall thickness. Vet Radiol & Ultrasound 1993; 34:270-272.
  8. [8] Atalan G, Barr FJ, Holt PE: Estimation of the volumen of the gall bladder of 32 dogs from linear ultrasonographic measurements. Vet Rec, 2007;160: 118-122. [PubMed]
  9. [9] Tsukagoshi T, et al. Decreased gallbladder emptying in dogs with biliary sludge or gallbladder mucocele. Vet Radiol & Ultrasound 2012; 53: 84-91. [PubMed]
  10. [10] Cullen JM, Willson CJ, Minch JD, Kimbrough CL, Mealey KL. Lack of association of ABCB4 insertion mutation with gallbladder mucoceles in dogs. J Vet Diagn Invest 2014; 26: 434-436. [PubMed]
  11. [11] Malek A, Sinclair E, Hosgood G, Moens NMM, Baily T, Boston SE. Clinical findings and prognostic factors for dogs undergoing cholecystectomy for gall bladder mucocele. Vet Surg 2013; 42: 418-426. [PubMed]
  12. [12] Crews LJ, Feeney DA, Jessen CR, Rose ND, Matise I. Clinical, ultrasonographic, and laboratory findings associated with gallbladder disease and ruptura in dogs: 45 cases (1997-2007). J Am Vet Med Assoc 2009; 234 (3):359-366. [PubMed]

Artículos recomendados

Estas recomendaciones se ofrecen de forma automática.

  • Síndrome faloidiano por intoxicación con Lepiota brunneoincarnata en un perro

    P. Álvarez, I. Vigueras, C. Torrente
    Clin Vet Peq Anim Vol. 37 - Nº 1 · MAR 2017 · Artículo original referido a un solo caso clínico
  • Osteosarcoma maxilar en un perro
    M. Blanco-Nieto, S. Reina de Blas
    Clin Vet Peq Anim Vol. 36 - Nº 4 · DIC 2016 · Artículo original referido a un solo caso clínico
  • Resultados del test intradérmico en perros con dermatitis atópica: estudio retrospectivo de 176 casos en Andalucía
    M. Pérez-Aranda, B. Blanco, E. Hernández, et al.
    Clin Vet Peq Anim Vol. 36 - Nº 4 · DIC 2016 · Artículo original referido a múltiples casos clínicos
  • Inicio
  • Introducción
  • Material y métodos
  • Resultados
  • Discusión
  • Conclusión
  • Bibliografía
Artículo anterior Índice de la revista Artículo siguiente
ANUNCIO
Próximos cursos ATVs Elearning
Índice
Inicio Introducción Material y métodos Resultados Discusión Conclusión Bibliografía
Milbeprazin
ANUNCIO

¿No eres socio de AVEPA y quieres recibir comunicación de las nuevas ediciones en tu correo?

Suscríbete

Suscríbete y te avisaremos cuando publiquemos un nuevo número

Suscribirme

Enlaces rápidos

  • Inicio
  • Último número
  • Archivo
  • Artículos

Información

  • Comité editorial
  • Política de cookies
  • Política de privacidad
  • Términos y condiciones

Contacto

  • info@imaginice.com
  • Envíanos tu artículo
© 2026 Ice Salud Vet SL. Todos los derechos reservados.

Usamos cookies para mejorar tu experiencia. Selecciona cuáles aceptas: