Logo AVEPA

Clínica Veterinaria de Pequeños Animales

Revista oficial de AVEPA

  • Inicio
  • Último número
  • Archivo
  • Artículos
  • Para autores
  • Contacto
Cursos Junio-Septiembre 2026
ANUNCIO

Clínica Veterinaria de Pequeños Animales

Revista oficial de AVEPA

  • Inicio
  • Último número
  • Archivo
  • Artículos
  • Para autores
  • Contacto
Curso Oftalmología 2026
ANUNCIO
Clin Vet Peq Anim Vol. 36 • Nº 4 • diciembre 2016

Osteosarcoma apendicular canino: ¿qué opciones tenemos?

Canine appendicular osteosarcoma: what options do we have?

Artículos de Revisión

P. Lafuente

Queen Mother Hospital for Animals, Royal Veterinary College, Hatfield, UK

B. Belda

Canadian Veterinary Hospital, Doha (Qatar)

A. Lara

Queen Mother Hospital for Animals, Royal Veterinary College, London (UK)

Contacto: beabelda_5@hotmail.com
Palabras clave: Osteosarcoma, Tumor apendicular, Amputación, Cirugía con preservación del miembro.
Keywords: Osteosarcoma, Appendicular tumor, Amputation, Limb-sparing surgery.
Clin. Vet. Peq. Anim, 2016, 36 (4): 241 - 255
Descargar artículo

Resumen

El proceso de toma de decisiones asociado al diagnóstico y tratamiento del osteosarcoma apendicular canino a menudo puede ser un reto. El objetivo de este artículo de revisión es recapitular y actualizar las distintas técnicas de diagnóstico y poner de manifiesto las diferentes alternativas terapéuticas, dependiendo del estadio del paciente, la disposición del propietario y el pronóstico.

Abstract

The decision-making process regarding the diagnosis and treatment of canine appendicular osteosarcoma can often be a challenge. The aim of this article is to review and give an update about the different techniques to diagnose and treat this condition, considering patient’s status, owner’s involvement and prognosis.

AVEPA Elearning

La presencia de este logo en un artículo de la revista indica que se publicará un examen sobre el mismo en la plataforma AVEPA Elearning. Su resolución aporta 0,15 créditos dentro del sistema de acreditaciones de especialidades veterinarias de AVEPA.

Introducción

El osteosarcoma es el tumor primario en hueso más común en perros. Representa el 85 % de los tumores primarios del esqueleto y un 75 % está presente en el esqueleto apendicular.[ Boston S. Musculoskeletal neoplasia and Limp-Sparing Surgery. En Tobias KM, Spencer AJ (ed): Veterinary Surgery: Small Animal. St Louis, Missouri. El Sevier Saunders. 2012. (1159-117). , Ehrhart NP, Stewart DR, Fan TM. Tumors of the skeletal system. En: Small Animal Clinical Oncology. Withrow & MacEwen’s. St Louis, Missouri. El Sevier Saunders. 2013. (464-495). ] Otras neoplasias primarias de hueso incluyen el condrosarcoma, fibrosarcoma, hemangiosarcoma, sarcoma histiocítico y osteocondrosarcoma multilobular. A veces pueden observarse lesiones óseas malignas relacionadas con tumores no primarios de hueso, ya sea en forma de metástasis óseas (con más frecuencia en carcinomas uroteliales, prostáticos o mamarios) o como parte de un proceso sistémico, como en el mieloma múltiple, el linfoma o la histiocitosis maligna diseminada.[ Boston S. Musculoskeletal neoplasia and Limp-Sparing Surgery. En Tobias KM, Spencer AJ (ed): Veterinary Surgery: Small Animal. St Louis, Missouri. El Sevier Saunders. 2012. (1159-117). , Ehrhart NP, Stewart DR, Fan TM. Tumors of the skeletal system. En: Small Animal Clinical Oncology. Withrow & MacEwen’s. St Louis, Missouri. El Sevier Saunders. 2013. (464-495). ]

El objetivo de este artículo de revisión es recapitular y actualizar las distintas técnicas de diagnóstico y poner de manifiesto las diferentes alternativas terapéuticas dependiendo del estadio del paciente, disposición del propietario y pronóstico.

Etiología y prevalencia

La etiología del osteosarcoma es actualmente desconocida.[ Ehrhart NP, Stewart DR, Fan TM. Tumors of the skeletal system. En: Small Animal Clinical Oncology. Withrow & MacEwen’s. St Louis, Missouri. El Sevier Saunders. 2013. (464-495). ] Existe una creciente evidencia de herencia de OSA asociada a la raza, especialmente en el Lebrel Escocés (Scottish Deerhound), Rottweiler, Galgos (sobre todo los perros de carreras jubilados),[ Caro JT, Marín LM, Lazbik MC, Zaldivar-López S, Borghese H, Couto CG. Markers of iron metabolism in retired racing Greyhounds with and without osteosarcoma. Vet Clin Pathol. 2013;42(3):360-3. [PubMed] ] San Bernardo o Lobero Irlandés (Irish Wolfhound). Muchas razas de perros tienen una diversidad genética limitada como consecuencia de la práctica de cría selectiva, lo que ha ayudado a dilucidar con mayor claridad la heredabilidad del OSA en perros. Particularmente, para el Lebrel Escocés, se ha demostrado una incidencia de OSA del 15 %[ Phillips JC, Lembcke L, Chamberlin T: A novel locus for canine osteosarcoma (OSA1) maps to CFA34, the canine orthologue of human 3q26. Genomics, 2010. 96:220–227. [PubMed] , Phillips JC, Stephenson B, Hauck M, et al: Heritability and segregation analysis of osteosarcoma in the Scottish deerhound. Genomics 2007. 90:354–363. [PubMed] ] y un riesgo de heredabilidad del 69 % con herencia mendeliana dominante.[ Phillips JC, Stephenson B, Hauck M, et al: Heritability and segregation analysis of osteosarcoma in the Scottish deerhound. Genomics 2007. 90:354–363. [PubMed] ] Se ha descrito una mayor incidencia en machos y hembras intactos[ Ru G, Terracini B, Glickman LT: Host related risk factors for canine osteosarcoma. Vet J, 1998. 156:31-39. [PubMed] ] aunque, por otra parte, un estudio en Rottweilers ha demostrado una relación inversa entre el tiempo de exposición a hormonas gonadales y el riesgo de desarrollo de osteosarcoma, lo que sugiere un riesgo mayor en Rottweilers con castración u ovariohisterectomías tempranas.[ Ru G, Terracini B, Glickman LT: Host related risk factors for canine osteosarcoma. Vet J, 1998. 156:31-39. [PubMed] , Cooley DM, Beranek BC, Schlittler DL, et al: Endogenous gonadal hormone exposure and bone sarcoma risk. Cancer Epidemiol Biomarkers Prev, 2002. 11:1434. [PubMed] ] Adicionalmente, se ha descrito una edad de presentación bimodal con dos picos de incidencia de osteosarcoma: un pico menor de perros diagnosticados entre 18 y 24 meses de edad y un pico de incidencia mayor de perros diagnosticados entre 7 y 9 años de edad.[ Boston S. Musculoskeletal neoplasia and Limp-Sparing Surgery. En Tobias KM, Spencer AJ (ed): Veterinary Surgery: Small Animal. St Louis, Missouri. El Sevier Saunders. 2012. (1159-117). , Ehrhart NP, Stewart DR, Fan TM. Tumors of the skeletal system. En: Small Animal Clinical Oncology. Withrow & MacEwen’s. St Louis, Missouri. El Sevier Saunders. 2013. (464-495). , Ru G, Terracini B, Glickman LT: Host related risk factors for canine osteosarcoma. Vet J, 1998. 156:31-39. [PubMed] ]

Como factores físicos se ha especulado que el OSA aparece en los huesos que soportan más peso, adyacentes a las placas fisarias que más tarde se cierran. Se ha observado también asociado a implantes metálicos específicos usados para la reparación de fracturas y estabilización de osteotomías, osteomielitis crónicas e incluso en fracturas en las que no se ha utilizado un implante interno.[ Patnaik AK: Canine extraskeletal osteosarcoma and chondrosarcoma: a clinicopathological study of 14 cases, Vet Pathol, 1990. 27: 46-55. [PubMed] , Owen LN: Transplantation of canine osteosarcoma. Eur J Cancer 5:615-620, 1969. [PubMed] , Knecht CD, Priester WA: Osteosarcoma in dogs: a study of previous trauma, fracture and fracture fixation, J Am Anim Hosp Assoc, 1978. 14:82-84. , Vasseur PB, Stevenson S: Osteosarcoma at the site of a cortical bone allograft in a dog, Vet Surg 1987.16:70-74. [PubMed] ]

La tasa de metástasis en osteosarcoma canino es alta (sobre un 90 %), con metástasis más frecuentes en pulmón, hueso y tejidos blandos. Sin embargo, menos de un 15 % de los pacientes muestran evidencia de metástasis ósea o pulmonar radiográficamente visible en el momento del diagnóstico. Las metástasis aparecen tempranamente en el curso de la enfermedad, pero normalmente son subclínicas. Aproximadamente un 90 % de estos pacientes mueren a causa de las metástasis (la mayoría pulmonares).[ Ehrhart NP, Stewart DR, Fan TM. Tumors of the skeletal system. En: Small Animal Clinical Oncology. Withrow & MacEwen’s. St Louis, Missouri. El Sevier Saunders. 2013. (464-495). ]

Presentación clínica

La historia clínica de estos pacientes es variable, pero hay patrones comunes que se repiten: cojera crónica y progresiva que puede responder o no a antiinflamatorios no esteroideos, dolor y atrofia muscular. Se pueden observar áreas de inflamación localizada o incluso claramente una masa, especialmente en localizaciones donde el hueso está cubierto por poco tejido blando, tales como la porción distal del radio o de la tibia. Un pequeño porcentaje de pacientes con osteosarcoma apendicular se presentan con fractura patológica.[ Boston S. Musculoskeletal neoplasia and Limp-Sparing Surgery. En Tobias KM, Spencer AJ (ed): Veterinary Surgery: Small Animal. St Louis, Missouri. El Sevier Saunders. 2012. (1159-117). ] Radiográficamente puede o no observarse dicha fractura o colapso óseo, aunque el clínico puede tener un índice de sospecha alto si se encuentra ante una raza grande o gigante, con historia de cojera anterior a la fractura y sin historia de trauma conocida. Debe realizarse una evaluación radiográfica apropiada y un estadiaje de tumor si se sospecha de fractura patológica. Un estudio mostró que cerca de un 60 % de los perros con fractura patológica sufrían alguna cojera previa a la fractura.[ Bhandal J, Boston SE. Pathologic fracture in dogs with suspected or confirmed osteosarcoma. Vet Surg. 2011;40(4):423-30. [PubMed] ]

Aunque el osteosarcoma puede darse en cualquier porción del hueso, muestra una alta predilección por las regiones metafisarias de los huesos largos. Las zonas más frecuentemente afectadas son las regiones metafisarias del húmero proximal y el radio distal (“lejos del codo”), el fémur distal y la tibia proximal (“cerca de la rodilla”) y distal, siendo las dos primeras las más comúnmente descritas.[ Knecht CD, Priester WA: Musculoskeletal tumors in dogs, J Am Vet Med Assoc 1978;172:72-74. [PubMed] ]

Factores pronóstico

Diversos estudios han indicado que ciertos factores parecen estar asociados a un peor pronóstico. Por ejemplo, el aumento de tamaño del tumor,[ Misdorp W, Hart AA: Some prognostic and epidemiologic factors in canine osteosarcoma, J Natl Cancer Inst 1979;62:537–545. [PubMed] , Bergman PJ, MacEwen EG, Kurzman ID, et al: Amputation and carboplatin for treatment of dogs with osteosarcoma: 48 cases (1991 to 1993). J Vet Intern Med 1996;10:76–81. [PubMed] , Cho WH, Song WS, Jeon DG, et al: Differential presentations, clinical courses, and survivals of osteosarcomas of the proximalhumerus over other extremity locations. Ann Surg Oncol 2010;17:702–708. [PubMed] ] el alto grado y alto índice mitótico[ Kirpensteijn J, Kik M, Rutteman GR, et al: Prognostic significance of a new histologic grading system for canine osteosarcoma. Vet Pathol 2002;39:240–246. [PubMed] ] o la localización anatómica,[ Kuntz CA, Asselin TL, Dernell WS, et al: Limb salvage surgery for osteosarcoma of the proximal humerus: outcome in 17 dogs. Vet Surg 1998;27:417–422. [PubMed] ] teniendo un peor pronóstico los localizados a nivel humeral. La edad está asociada a una mayor mortalidad, pero no a un mayor riesgo de sufrir metástasis.[ Schmidt AF, Nielen M, Klungel OH, Hoes AW, de Boer A, Groenwold RH, Kirpensteijn J. Prognostic factors of early metastasis and mortality in dogs with appendicular osteosarcoma after receiving surgery: an individual patient data meta-analysis. Prev Vet Med. 2013;112(3-4):414-22. [PubMed] ] La supervivencia en perros con osteosarcoma distal a la articulación antebraquiocarpiana o tarsocrural es generalmente más larga (media de 466 días), frente a los OSA que aparecen en los sitios más comunes, ya que estos últimos aparecen con una marcada agresividad del tumor y con un alto potencial de metástasis.[ Gamblin RM, Straw RC, Powers BE, et al: Primary osteosarcoma distal to the antebrachiocarpal and tarsocrural joints in nine dogs (1980-1992). J Am Anim Hosp Assoc 1995;31:86–91. [PubMed] ]

Los perros que presentan metástasis en el momento del diagnóstico (estadio III) tienen el peor pronóstico, aunque puede ser variable y, obviamente, va a haber diferencias dependiendo de dónde esté localizada la metástasis y de si se realiza algún tipo de terapia o no. En 90 perros con estadio III en el momento de la presentación, el tiempo medio de supervivencia fue de 76 días, con un rango de 0 a 1583.[ Boston SE, Ehrhart NP, Dernell WS, et al: Evaluation of survival time in dogs with stage III osteosarcoma that undergo treatment: 90 cases (1985-2004). J Am Vet Med Assoc 2006;228:1905–1908. [PubMed] ] No se observaron diferencias significativas en los tiempos de supervivencia en función de la edad, el sexo, la raza o la localización del tumor primario. Los perros con metástasis en hueso presentaron una mayor supervivencia media (132 días) que los que presentaron metástasis en pulmón (59 días) u otro tejido blando (19 días). Los perros con afectación del nódulo linfático tuvieron tiempos de supervivencia más cortos, con una media de 57 a 59 días, comparada con los 318 días de los perros sin afectación nodal. Los perros con estadio III tratados paliativamente con radioterapia y quimioterapia tuvieron un tiempo de supervivencia significativamente mayor (130 días) que aquellos que fueron tratados con cirugía.[ Boston SE, Ehrhart NP, Dernell WS, et al: Evaluation of survival time in dogs with stage III osteosarcoma that undergo treatment: 90 cases (1985-2004). J Am Vet Med Assoc 2006;228:1905–1908. [PubMed] ]

Uno de los factores pronóstico más conocidos para el osteosarcoma es la fosfatasa alcalina sérica (FAS). La elevación de la FAS está claramente asociada con un peor pronóstico en perros con osteosarcoma apendicular.[ Hillers KR, Dernell WS, Lafferty MH, et al: Incidence and prognostic importance of lymph node metastases in dogs with appendicular osteosarcoma: 228 cases (1986-2003). J Am Vet Med Assoc 2005; 226:1364–1367. [PubMed] , Ehrhart N, Dernell WS, Hoffmann WE, et al: Prognostic importance of alkaline phosphatase activity in serum from dogs with appendicular osteosarcoma: 75 cases (1990-1996). J Am Vet Med 1998;213:1002–1006. [PubMed] ] Una elevación de la fosfatasa alcalina total (sérica) o de la isoenzima ósea (> 110 U/l o > 23 U/l, respectivamente) está asociada a menor tiempo libre de enfermedad y menor tiempo de supervivencia. Igualmente, en perros con valores elevados preoperatoriamente que no vuelven a la normalidad alrededor de 40 días después de la extirpación del tumor primario, se ha observado un desarrollo temprano de metástasis frente a aquellos en los que disminuye el valor de fosfatasa alcalina en ese periodo de tiempo.

Genética y molecularmente se ha observado que la expresión de varias proteínas moleculares, incluyendo ezrin, Ron, survivin, VEGF y COX-2, tiene una influencia importante en el tiempo libre de enfermedad y en la supervivencia en perros con osteosarcoma,[ Khanna C, Wan X, Bose S, et al: The membrane-cytoskeleton linker ezrin is necessary for osteosarcoma metastasis, Nat Med 2004. 10:182–186. [PubMed] , Mullins MN, Lana SE, Dernell WS, et al: Cyclooxygenase-2 expression in canine appendicular osteosarcomas. J Vet Intern Med, 2004. 18:859–865. [PubMed] , Shoeneman JK, Ehrhart EJ 3rd, Eickhoff JC, et al: Expression and function of survivin in canine osteosarcoma. Cancer Res 2012;72:249–259. [PubMed] ] pero por el momento la determinación de estas proteínas no está disponible de forma rutinaria.

Técnicas de diagnóstico y seguimiento

El diagnóstico presuntivo de osteosarcoma se basa en la localización de la lesión ósea, las características de la misma en las pruebas de diagnóstico por imagen realizadas y en la existencia de factores de predisposición en el paciente. A menudo se obtiene un diagnóstico de neoplasia mesenquimal por medio de la citología de la lesión y será la evaluación histopatológica la que confirme el diagnóstico específico de osteosarcoma.[ Boston S. Musculoskeletal neoplasia and Limp-Sparing Surgery. En Tobias KM, Spencer AJ (ed): Veterinary Surgery: Small Animal. St Louis, Missouri. El Sevier Saunders. 2012. (1159-117). ]

 

Diagnóstico por imagen del tumor primario

Al realizar radiografías del miembro afectado, se deben realizar dos proyecciones ortogonales de la lesión primaria y tres proyecciones para el estudio de metástasis pulmonares. Las lesiones provocadas por los osteosarcomas apendiculares son, la mayoría de las veces, monostóticas (afección de un solo hueso) y típicamente se localizan a nivel de la metáfisis ósea. Clásicamente estas lesiones muestran características óseas agresivas tales como una lisis cortical moteada o apolillada, con márgenes irregulares y pobremente definidos, con una zona de transición amplia entre la sección de hueso sano y el patológico, reacciones periósticas de lisas a irregulares y, en ocasiones, nueva formación anárquica de osteoide que se extiende hacia los tejidos blandos adyacentes (osteolisis y osteoproliferación) (Tabla 1).[ Thrall DE. Radiographic features of bone tumors and bone infections. En: Textbook of Veterinary Diagnostic Radiology. ElSevier. St Louis, Missouri, 2013. 307-317. ] Debido a la lisis ósea algunos individuos se presentan con fracturas patológicas.[ Bhandal J, Boston SE. Pathologic fracture in dogs with suspected or confirmed osteosarcoma. Vet Surg. 2011;40(4):423-30. [PubMed] , Thrall DE. Radiographic features of bone tumors and bone infections. En: Textbook of Veterinary Diagnostic Radiology. ElSevier. St Louis, Missouri, 2013. 307-317. ] (Figs. 1 y 2).

Image
Tabla 1
<p>Radiografías lateral (A) y caudo-craneal (B) de miembro torácico izquierdo de un Labrador de 9 años con historia de cojera crónica del miembro torácico izquierdo. Se observa una osteolisis moteada en la metáfisis proximal del húmero, con márgenes mal diferenciados e irregulares y zona de transición larga con respecto a la diáfisis proximal. La reacción perióstica es irregular, asociada a una inflamación moderada de los tejidos blandos circundantes y atrofia muscular. No se observan signos de fractura patológica.</p>
Figura 1

Radiografías lateral (A) y caudo-craneal (B) de miembro torácico izquierdo de un Labrador de 9 años con historia de cojera crónica del miembro torácico izquierdo. Se observa una osteolisis moteada en la metáfisis proximal del húmero, con márgenes mal diferenciados e irregulares y zona de transición larga con respecto a la diáfisis proximal. La reacción perióstica es irregular, asociada a una inflamación moderada de los tejidos blandos circundantes y atrofia muscular. No se observan signos de fractura patológica.

<p>Radiografíaslateral (A) y cráneo-caudal (B) de miembro pélvico izquierdo de un San Bernardo de 9 años de edad que se presentó con historia de cojera detectada 2 semanas antes. Obsérvese la zona de lisis apolillada con márgenes irregulares y una zona extensa de transición en la metáfisis distal del fémur.</p>
Figura 2

Radiografíaslateral (A) y cráneo-caudal (B) de miembro pélvico izquierdo de un San Bernardo de 9 años de edad que se presentó con historia de cojera detectada 2 semanas antes. Obsérvese la zona de lisis apolillada con márgenes irregulares y una zona extensa de transición en la metáfisis distal del fémur.

 

Citología

Una alternativa a la biopsia, comúnmente usada en el diagnóstico de neoplasias óseas, es la evaluación citológica de una muestra obtenida por aspiración con aguja fina (Fig. 3). Esta técnica es rápida, no invasiva, de coste limitado y proporciona resultados en un tiempo corto, menor que para la biopsia ósea que, a menudo, requiere más tiempo que una biopsia de tejido blando si se necesita decalcificación de la muestra. La precisión del diagnóstico descrita oscila entre un 71 % y un 92 %.[ Berzina I, Sharkey LC, Matise I, et al: Correlation between cytologic and histopathologic diagnoses of bone lesions in dogs: a study of the diagnostic accuracy of bone cytology. Vet Clin Pathol 2008;37:332. [PubMed] ] Esta técnica se usa, junto con la ecografía, para la mejora del rendimiento diagnóstico, aunque también puede realizarse sin ecografía, especialmente en aquellos casos con un componente de tejido blando tumoral evidente. La ecografía se utiliza para identificar la discontinuidad de la cortical en la zona de la lesión y la muestra se toma con una aguja hipodérmica de 20G. Estudios recientes afirman que la citología de aspirados con aguja fina, asociada a la tinción de fosfatasa alcalina, muestra alta precisión y es mínimamente invasiva para el diagnóstico de osteosarcoma en perros, evitando la morbilidad asociada a la biopsia ósea y acortando el tiempo de espera para obtener un diagnóstico.[ Britt T, Clifford C, Barger A, et al: Diagnosing appendicular osteosarcoma with ultrasound-guided fine-needle aspiration: 36 cases. J Small Anim Pract 2007; 48:145. [PubMed] , Neihaus SA, Locke JE, Barger AM, Borst LB, Goring RL. A novel method of core aspirate cytology compared to fine-needle aspiration for diagnosing canine osteosarcoma. J Am Anim Hosp Assoc 2011; 47(5):317-23. [PubMed] ]

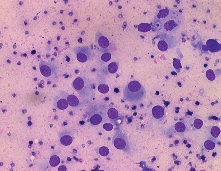
<p>Imagen citológica de osteosarcoma. Se observan células desde redondeadas u ovaladas a fusiformes. Pleomorfismo nuclear y vacuolización moderados. Obsérvese célula binucleada. Tinción Wright (100x).</p>
Figura 3

Imagen citológica de osteosarcoma. Se observan células desde redondeadas u ovaladas a fusiformes. Pleomorfismo nuclear y vacuolización moderados. Obsérvese célula binucleada. Tinción Wright (100x).

 

Biopsia ósea

Como se ha comentado anteriormente, el diagnóstico se hace principalmente con estudio radiológico y citología. En los casos en los que existen lesiones atípicas, o en localizaciones poco comunes, se realiza una biopsia ósea (y no de manera rutinaria). Sin embargo, si se realiza la extirpación quirúrgica del tumor (local o amputación), es indispensable la evaluación histológica del hueso y la confirmación de osteosarcoma (Fig. 3).

La muestra puede obtenerse mediante biopsia cerrada, abierta o excisional. La biopsia de hueso se realiza en la mayoría de los casos mediante biopsia cerrada. La mayoría de muestras se toma usando una aguja “Michele Trephine” o una aguja de “Jamshidi”. Michele Trephine es un instrumento que proporciona una muestra de gran tamaño (por lo que se recomienda tomar una sola muestra) y un 93 % de precisión en el diagnóstico. La desventaja de esta técnica incluye un mayor riesgo de fractura durante el procedimiento. La técnica con aguja de “Jamshidi” se considera menos invasiva; requiere una incisión más pequeña para introducir el dispositivo y el riesgo de fractura es menor. Se deben tomar varias muestras y la precisión del diagnóstico es del 92 %.[ Power BE, LaRue SM, Withrow SJ. Jamshidi needle biopsy for diagnosis of bone lesions in small animals. J Am Vet Med Assoc, 1988;193:205-210. [PubMed] ] Esta precisión puede disminuir cuando se trata de lesiones atípicas, pequeñas o con limitada destrucción ósea (Fig. 4).

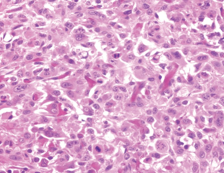
<p>Imagen histopatológica de osteosarcoma. Obsérvese población densa de células fusiformes mostrando atipia nuclear y producción de osteoide. Tinción hematoxilina-eosina (40x).</p>
Figura 4

Imagen histopatológica de osteosarcoma. Obsérvese población densa de células fusiformes mostrando atipia nuclear y producción de osteoide. Tinción hematoxilina-eosina (40x).

La biopsia ósea conlleva el riesgo de exacerbación de la cojera y de fractura durante y después del procedimiento. También existe el riesgo de tomar una muestra que no sea diagnóstica, lo que requeriría repetir el procedimiento o pasar directamente a la resección quirúrgica completa. La elección del sitio de biopsia es importante. A diferencia de los tumores de tejidos blandos, en los que normalmente la biopsia se obtiene de la periferia evitando el centro de la lesión porque suele ser una zona necrótica, en la toma de biopsias de tumores óseos es preferible, radiográficamente hablando, el centro de la lesión, ya que existe una amplia zona de reacción perióstica periférica a la lesión, por lo que las muestras de esa zona no son representativas ni suelen ser diagnósticas.[ Liptak JM, Dernell WS, Eherhart N, et al. Canine appendicular osteosarcoma: Diganosis and palliative treatment. Comp Cont Educ Pract, 2004; 26:172-183. ] Si se dispone de uno, el fluoroscopio es una herramienta que puede utilizarse para guiarse en la toma de muestras. Para la planificación de la biopsia, es importante saber las opciones de tratamiento que vamos a considerar. El tracto de biopsia se considera contaminado con células tumorales y debe ser retirado en la cirugía definitiva. Esto es particularmente importante si la opción es la cirugía con intento de preservación del miembro.[ Ehrhart N, Culp WTN. Principles of surgical oncology. En:Veterinary Surgical Oncology. Kuding ST, Séguin B. Ed Willey Blackwell. West Essex, UK. 2012.3-13. ]

 

Evaluación del paciente y determinación del estadio

Es de vital importancia realizar un riguroso examen físico, incluyendo un examen ortopédico, para evidenciar cualquier anomalía (posible metástasis ósea o cualquier enfermedad ortopédica concomitante), así como un examen neurológico, especialmente si se plantea el tratamiento mediante amputación de la extremidad. Además, se recomienda la realización de hematología, bioquímica sérica (incluyendo fosfatasa alcalina ósea) y urianálisis para la determinación del estado general del paciente.

Dado que el osteosarcoma apendicular canino presenta una alta tasa de metástasis y su presencia afecta el tiempo de supervivencia esperado, se debe determinar si existe diseminación de la enfermedad previamente al tratamiento local. Aunque con baja prevalencia, parénquima pulmonar (10 %) y ganglios linfáticos (4,4 %), seguido de lesiones en otros huesos (7,8 %), son los lugares más comúnmente afectados por metástasis durante el diagnóstico.[ Ehrhart NP, Stewart DR, Fan TM. Tumors of the skeletal system. En: Small Animal Clinical Oncology. Withrow & MacEwen’s. St Louis, Missouri. El Sevier Saunders. 2013. (464-495). ] Se recomienda que los ganglios linfáticos periféricos regionales sean palpados y aspirados previamente a la realización de la cirugía. Los ganglios regionales a considerar son el axilar y preescapular para el miembro torácico; y el poplíteo e inguinal para el miembro pélvico. Si se realiza amputación, del ganglio periférico al hueso afectado (al menos el poplíteo o el preescapular) debe ser extirpado para su análisis histopatológico. La incidencia de metástasis regional en los nódulos linfáticos, que se ha descrito en un 4,4 % de los casos, acorta la supervivencia media tras amputación y quimioterapia.[ Heyman SJ, Diefenderfer DL, Goldschmidt MH, et al: Canine axial skeletal osteosarcoma: a retrospective study of 116 cases. Vet Surg, 1992;21:304. [PubMed] ] La evaluación del parénquima pulmonar se realiza o bien con radiografías torácicas, o bien con tomografía computerizada, a menudo al mismo tiempo que se evalúa la lesión primaria. La evaluación de metástasis en otros huesos se efectúa tradicionalmente con escintigrafía nuclear solo cuando hay sintomatología que lleva a esta sospecha, ya que en general la prevalencia es baja. Si se realiza el estadiaje con tomografía computerizada se debe prestar atención a lesiones en huesos distintos del tumor primario incluidos en el estudio.

 

Tomografía computerizada (TC)

El TC es una herramienta diagnóstica muy útil debido a la rápida adquisición de las imágenes y al menor coste relativo respecto a la resonancia magnética (RM). Además, ofrece una calidad superior en cuanto a la obtención de imágenes de hueso y una mayor sensibilidad para la detección de nódulos pulmonares (nódulos a partir de 1 mm), en comparación con la radiología torácica (nódulos a partir de 7-9 mm).[ Nemanic S, London CA, Wisner ER Comparison of thoracic radiographs and single breath-hold helical CT for detection of pulmonary nodules in dogs with metastatic neoplasia. J Vet Intern Med. 2006;20(3):508-15. [PubMed] ] En cuanto a la valoración de metástasis ósea, un estudio reciente concluye que estas lesiones se identifican mejor con escintigrafía, aunque en ausencia de ésta, el TC es de gran utilidad como modalidad diagnóstica adicional.[ Oblak ML, Boston SE, Woods JP, Nykamp S. Comparison of concurrent imaging modalities for staging of dogs with appendicular primary bone tumours. Vet Comp Oncol. 2015;13(1):28-39. [PubMed] ]

 

Ecografía abdominal

En principio no está recomendada, dada la baja tasa de metástasis en órganos abdominales. Un estudio reciente en 107 perros diagnosticados de OSA encontró metástasis con ecografía abdominal solamente en 3 casos (2,5 %). Los órganos afectados fueron riñón, hígado y ganglio linfático ilíaco.[ Sacornrattana O, Dervisis NG, McNiel EA. Abdominal ultrasonographic findings at diagnosis of osteosarcoma in dogs and association with treatment outcome. Vet Comp Oncol. 2013;11(3):199-207. [PubMed] ]

 

Escintigrafía

Si hay sospecha de lesiones secundarias en otros huesos, la escintigrafía nuclear es la técnica más sensible para la evaluación de la enfermedad metastásica ósea. El tecnecio-99m es un isómero nuclear que se administra por vía intravenosa y se adhiere a las áreas de hueso con metabolismo activo (“hot spots”). Estas áreas son visibles a la cámara gamma que capta los rayos gamma que este isómero genera. Es un método altamente sensible pero no específico, ya que no diferencia entre tumor óseo, infección, fractura u otra condición ortopédica. Sin embargo, en conjunción con el resto de pruebas de diagnóstico por imagen, es posible determinar la probabilidad de enfermedad metastásica de las áreas donde hay un incremento de captación del radiofármaco (Figs. 5 A y B).[ Jankowski MK, Steyn PF, Lana SE, et al: Nuclear scanning with 99mTc-HDP for the initial evaluation of osseous metastasis in canine osteosarcoma. Vet Comp Oncol, 2003;1:152. [PubMed] ]

<p>(A) Imágenes obtenidas mediante escintigrafía en las que se observan áreas de acumulación de tecnecio-99m. (B) Sala de gammagrafía.</p>
Figura 5

(A) Imágenes obtenidas mediante escintigrafía en las que se observan áreas de acumulación de tecnecio-99m. (B) Sala de gammagrafía.

Tratamiento

Las opciones de tratamiento dependerán del estadio en el que se encuentre el paciente y el grado de colaboración del propietario, observando distintos tiempos de supervivencia según una opción u otra (Tabla 2).

Image
Tabla 2

 

Tratamiento paliativo

Analgésicos

En perros con osteosarcoma es necesario tener un plan analgésico efectivo y realizar una monitorización frecuente desde el diagnóstico hasta que se realice la terapia local definitiva. En aquellos casos en los que no se realice cirugía, la analgesia cobra una importancia crucial, ya que será requerida durante prácticamente todo el curso de la enfermedad. Para el dolor secundario a la destrucción ósea, en general se recomienda un plan analgésico multimodal. Si el paciente va a recibir en breve tratamiento local, una combinación de AINEs (como el carprofeno o firocoxib) y derivados opiáceos (como el tramadol) o un dispositivo de liberación transdérmica de fentanilo pueden ser efectivos temporalmente. Si el paciente está hospitalizado, los opiáceos inyectables de mayor potencia están indicados, y si se anticipa un mayor grado de dolor, como es el caso de las fracturas patológicas, se deberían considerar además procedimientos más efectivos y avanzados, como técnicas de anestesia regional, tales como catéteres epidurales o de plexos nerviosos.

En aquellos casos en los que se ha declinado la cirugía como tratamiento local, es importante ser consciente de que el dolor asociado a la destrucción ósea es uno de los más insoportables, de acuerdo con los datos obtenidos en medicina humana. La combinación de AINEs y opiáceos, aunque proveen cierto grado de cobertura analgésica, no es 100 % eficiente, lo cual puede ser cuantificado con exámenes ortopédicos o evaluaciones seriadas con escalas para el dolor. En este escenario, la radiación hipofraccionada o paliativa se convierte en el método más eficaz de control rápido del dolor, ya que actúa rápidamente sobre los osteoclastos y disminuye la inflamación asociada al tumor así como la liberación sostenida de mediadores químicos del dolor, además de ralentizar la progresión de la enfermedad. Simplemente una o dos dosis de 8 Gy (una dosis a la semana) son suficientes en muchos casos para observar una disminución cuantificable del dolor en el examen ortopédico o incluso la resolución de la cojera. Habitualmente estos pacientes, además de recibir un máximo de 4 dosis de radiación (dosis total de 32 Gy), se mantienen con AINEs, opiáceos sintéticos, gabapentina o amantadina e idealmente bifosfonatos para incrementar la densidad ósea. Si este manejo analgésico fuera insuficiente, especialmente con la progresión de la enfermedad, se debe considerar el uso de otros fármacos con efecto analgésico, tales como paracetamol-codeína o productos de liberación transdérmica de fentanilo (Tabla 3).[ Fan TM. Pain management in veterinary patients with cancer. Vet Clin North Am Small Anim Pract. 2014;44(5):989-1001. [PubMed] ]

Image
Tabla 3

Estos pacientes deben ser monitorizados para determinar si el plan analgésico tiene que ser modificado o no y para detectar posibles efectos secundarios gastrointestinales de estos fármacos (se pueden utilizar protectores gástricos) o una elevación potencial de los valores renales (se deben monitorizar dichos parámetros).

Bifosfonatos

Esta clase de fármacos inhibe la actividad de los osteoclastos, por lo que suprimen la reabsorción ósea, incrementando así la densidad ósea. Anecdóticamente, pueden tener cierto efecto analgésico en lesiones osteolíticas malignas caninas, pero la evidencia es débil.[ Fan TM1, de Lorimier LP, O’Dell-Anderson K, Lacoste HI, Charney SC. Single-agent pamidronate for palliative therapy of canine appendicular osteosarcoma bone pain. J Vet Intern Med. 2007;21(3):431-9. [PubMed] ] Los efectos paliativos de estos fármacos se han observado hasta en un 30 % de los pacientes cuando se usa como terapia única, aumentando un 18 % la densidad ósea.[ Fan TM1, de Lorimier LP, O’Dell-Anderson K, Lacoste HI, Charney SC. Single-agent pamidronate for palliative therapy of canine appendicular osteosarcoma bone pain. J Vet Intern Med. 2007;21(3):431-9. [PubMed] ] En medicina veterinaria se recomienda el pamidronato con dosis de 1 a 2 mg/kg en infusión intravenosa con suero salino de al menos una hora, una vez al mes.[ Fan TM1, de Lorimier LP, O’Dell-Anderson K, Lacoste HI, Charney SC. Single-agent pamidronate for palliative therapy of canine appendicular osteosarcoma bone pain. J Vet Intern Med. 2007;21(3):431-9. [PubMed] ] Existen bifosfonatos de administración oral, pero la biodisponibilidad por esta vía es menor. El más común es el alendronato a dosis de 10 mg/perro en ayunas por las mañanas, seguido de una comida a los 30 minutos. Los efectos adversos de los bifosfonatos son poco comunes en perros. Se ha observado que los bifosfonatos inhiben el crecimiento de cultivos celulares de osteosarcoma canino, aunque se desconocen aún esos efectos in vivo.[ Ashton JA, Farese JP, Milner RJ, Lee-Ambrose LM, van Gilder JM. Investigation of the effect of pamidronate disodium on the in vitro viability of osteosarcoma cells from dogs. Am J Vet Res. 2005;66(5):885-91. [PubMed] ] Un estudio reciente afirma que su uso tras una amputación y junto con el carboplatino no tiene efectos secundarios, pero tampoco incrementa la eficacia del quimioterápico.[ Kozicki AR, Robat C, Chun R, Kurzman ID. Adjuvant therapy with carboplatin and pamidronate for canine appendicular osteosarcoma. Vet Comp Oncol. 2015;13(3):229-36. [PubMed] ]

Radiación

La radioterapia es el único método paliativo que puede controlar el dolor asociado a la lesión lítica maligna (secundaria al osteosarcoma, otros tumores óseos o metástasis en hueso) de forma efectiva, y por eso está recomendada en aquellos casos de OSA en los que no se realiza la cirugía (pacientes que no son candidatos a cirugía o si el propietario declina esta terapia). Mecánicamente, los efectos analgésicos a medio o largo plazo de la radiación son atribuidos a la inducción de la apoptosis en los osteoblastos malignos y a la reabsorción de osteoclastos. El objetivo de la radiación paliativa es eliminar los signos específicos, tales como el dolor y la cojera, con los mínimos efectos adversos inducidos por la radiación. Esta terapia está disponible en localizaciones limitadas (Córdoba, Lugo, Francia e Italia como lugares cercanos en los que es posible la terapia). El protocolo más utilizado (hipofraccionado) requiere una sesión semanal con un total de 4 sesiones (dosis de 8-10 Gy en cada sesión). Cada sesión se realiza bajo anestesia general de corta duración.[ Mueller F, Poirier V, Melzer K, Nitzl D, Roos M, Kaser-Hotz B. Palliative radiotherapy with electrons of appendicular osteosarcoma in 54 dogs. In Vivo. 2005;19(4):713-6. [PubMed] ] Se ha descrito una respuesta de un 50-92 % siendo ésta a los 2-14 días del inicio de la terapia y con una duración de la respuesta de 53-130 días.[ Ramirez O, Dodge RK, Page RL, Price GS, Hauck ML, LaDue TA, Nutter F, Thrall DE. Palliative radiotherapy of appendicular osteosarcoma in 95 dogs. Vet Radiol Ultrasound. 1999;40(5):517-22. [PubMed] , Knapp-Hoch HM, Fidel JL, Sellon RK, Gavin PR. An expedited palliative radiation protocol for lytic or proliferative lesions of appendicular bone in dogs. J Am Anim Hosp Assoc. 2009;45(1):24-32. [PubMed] ] Altas dosis acumulativas de 57 Gy, con protocolos de múltiples dosis por semana (hiperfraccionados), o 70 Gy con radiación intraoperatoria extracorpórea en combinación con quimioterápicos, aumentan la respuesta media a 209-274 días.[ Ehrhart NP, Stewart DR, Fan TM. Tumors of the skeletal system. En: Small Animal Clinical Oncology. Withrow & MacEwen’s. St Louis, Missouri. El Sevier Saunders. 2013. (464-495). , Ramirez O, Dodge RK, Page RL, Price GS, Hauck ML, LaDue TA, Nutter F, Thrall DE. Palliative radiotherapy of appendicular osteosarcoma in 95 dogs. Vet Radiol Ultrasound. 1999;40(5):517-22. [PubMed] , Coomer A, Farese J, Milner R, Liptak J, Bacon N, Lurie D. Radiation therapy for canine appendicular osteosarcoma. Vet Comp Oncol. 2009;7(1):15-27. [PubMed] , Oblak ML, Boston SE, Higginson G, Patten SG, Monteith GJ, Woods JP. The impact of pamidronate and chemotherapy on survival times in dogs with appendicular primary bone tumors treated with palliative radiation therapy. Vet Surg. 2012;41(3):430-5. [PubMed] ] Los efectos secundarios y/o tardíos son raros y el tiempo medio de supervivencia descrito es de 122 a 313 días con protocolos hipofraccionados o de 209 a 598 días con protocolos hiperfraccionados o intraoperativos.[ Knapp-Hoch HM, Fidel JL, Sellon RK, Gavin PR. An expedited palliative radiation protocol for lytic or proliferative lesions of appendicular bone in dogs. J Am Anim Hosp Assoc. 2009;45(1):24-32. [PubMed] , Coomer A, Farese J, Milner R, Liptak J, Bacon N, Lurie D. Radiation therapy for canine appendicular osteosarcoma. Vet Comp Oncol. 2009;7(1):15-27. [PubMed] ] Como terapia primaria se ha descrito un tiempo medio de supervivencia de 209 días en 14 perros con OSA apendicular tratados con un protocolo hiperfraccionado (media de 52 Gy) en el tumor primario y la administración de quimioterapia sistémica para micrometástasis.[ Walter CU, Dernell WS, LaRue SM, et al: Curative-intent radiation therapy as a treatment modality for appendicular and axial osteosarcoma: a preliminary retrospective evaluation of 14 dogs with the disease. Vet Comp Oncol, 2005; 3:1–7. [PubMed] ] Estudios actuales demuestran que la combinación de quimioterapia y radioterapia es actualmente un camino muy efectivo para el tratamiento del osteosarcoma apendicular canino aunque con limitación del control del dolor y de la enfermedad local en comparación con la cirugía.[ Szewczyk M, Lechowski R, Zabielska K. What do we know about canine osteosarcoma treatment? Review. Vet Res Commun. 2015;39(1):61-7. [PubMed] ]

Tratamiento quirúrgico

La cirugía (tanto si es amputación como con preservación del miembro) es el método de elección para el tratamiento del OSA.

 

Amputación

El principal objetivo del tratamiento quirúrgico es la completa resección del tumor primario (miembro afectado) para conseguir el control local y eliminar la fuente de dolor del paciente, mejorando así la calidad de vida. Secundariamente, se busca limitar el proceso de metástasis al frenar la vehiculación de células del tumor primario hacia otras localizaciones anatómicas. Para el osteosarcoma en el miembro torácico se recomienda la amputación completa del cuarto delantero, incluyendo la escápula, ya que se evita así la posterior apariencia atrófica de la musculatura escapular (Fig. 6). Se recomienda la amputación entera del miembro mediante resección en bloque del acetábulo para tumores del fémur proximal. Para tumores en tibia, fémur distal o medio se recomienda la amputación mediante desarticulación de la articulación coxofemoral.[ Boston S. Musculoskeletal neoplasia and Limp-Sparing Surgery. En Tobias KM, Spencer AJ (ed): Veterinary Surgery: Small Animal. St Louis, Missouri. El Sevier Saunders. 2012. (1159-117). , Liptak JM, Dernell WS, Farese JP, Worley DR. Musculosdeletal system. En:Veterinary Surgical Oncology. Kuding ST, Séguin B. Ed Willey Blackwell. West Essex, UK. 2012.491-560. ]

<p>Amputación del miembro tóracico derecho incluyendo la escápula. Obsérvese la escápula sujetada por las pinzas de Backhaus.</p>
Figura 6

Amputación del miembro tóracico derecho incluyendo la escápula. Obsérvese la escápula sujetada por las pinzas de Backhaus.

En la mayoría de los casos, previamente a la cirugía, el apoyo de peso sobre la extremidad afectada ya está disminuido por lo que el paciente se acostumbra rápidamente en el postoperatorio a caminar sobre los tres miembros restantes. El tiempo medio máximo de adaptación es de 4 semanas y el índice de satisfacción de los propietarios tras la cirugía es muy alto.[ Kirpensteijn J, van den Bos R, Endenburg N. Adaptation of dogs to the amputation of a limb and their owners’ satisfaction with the procedure. Vet Rec. 1999;144(5):115-8. [PubMed] ] La mayoría de los pacientes son ambulatorios a las 24 horas tras la cirugía (Fig. 7 A y B).[ Liptak JM, Dernell WS, Farese JP, Worley DR. Musculosdeletal system. En:Veterinary Surgical Oncology. Kuding ST, Séguin B. Ed Willey Blackwell. West Essex, UK. 2012.491-560. , Kirpensteijn J, van den Bos R, Endenburg N. Adaptation of dogs to the amputation of a limb and their owners’ satisfaction with the procedure. Vet Rec. 1999;144(5):115-8. [PubMed] ] La velocidad de adaptación no se ve afectada por el peso, la edad o la amputación del miembro torácico o pélvico.[ Kirpensteijn J, van den Bos R, Endenburg N. Adaptation of dogs to the amputation of a limb and their owners’ satisfaction with the procedure. Vet Rec. 1999;144(5):115-8. [PubMed] ] Se debe realizar fisioterapia postoperatoria en perros con sobrepeso y en aquellos con alguna enfermedad ortopédica tal como osteoartritis (aunque en casos significativamente afectados preoperatoriamente, la amputación estaría contraindicada).

<p>La amputación de las extremidades es una cirugía bien tolerada, incluso en razas grandes. Un paciente 5 días tras la cirugía (A) y 1 día tras la cirugía (B).</p>
Figura 7

La amputación de las extremidades es una cirugía bien tolerada, incluso en razas grandes. Un paciente 5 días tras la cirugía (A) y 1 día tras la cirugía (B).

Las complicaciones más comunes de la amputación son hemorragia intraoperatoria y seroma postoperatorio, siendo posibles otras complicaciones (pero infrecuentes) tales como el émbolo gaseoso intraoperatorio, la penetración iatrogénica de la cavidad torácica durante la amputación de dicho miembro y el síndrome del miembro fantasma.[ Wigel, JP. Amputations. En: Textbook of Small Animal Surgery. Slatter DH, ed. Saunders. Philadelphia 2013. 2180-2190. ] Se han descrito cambios comportamentales tras la amputación tales como aumento del miedo, agresión, ansiedad o reducción de la dominancia en algunos casos.[ Kirpensteijn J, Straw RC, Pardo AD, et al: Partial and total scapulectomy in the dog. J Am Anim Hosp Assoc, 1994;30:313 ] Los autores administran gabapentina postoperatoriamente (en combinación con AINEs ± tramadol) con objeto de disminuir potencialmente el riesgo de aparición de dolor fantasma.

El osteosarcoma escapular es poco común. Puede ser tratado mediante amputación del miembro torácico o con una escapulectomía parcial o subtotal, lo que permite la preservación del miembro. Una escapulectomía parcial se realiza mediante la resección de la escápula proximal, preservando el acromion, la cabeza acromial del músculo deltoides y la porción distal de los músculos infraespinoso y supraespinoso. Ello permite una mayor estabilidad del hombro comparada con la escapulectomía total. Para la escapulectomía subtotal se resecciona gran parte de la escápula, preservando la articulación glenohumeral. Se recomienda la evaluación mediante RM o TC para la planificación de esta cirugía. Sus candidatos son pacientes con el tumor localizado en la escápula proximal, sin afección de tejidos blandos circundantes y en los que pueda reseccionarse la escápula con 2 o 3 cm de margen distal libre de tumor, preservando la articulación glenohumeral.[ Boston S. Musculoskeletal neoplasia and Limp-Sparing Surgery. En Tobias KM, Spencer AJ (ed): Veterinary Surgery: Small Animal. St Louis, Missouri. El Sevier Saunders. 2012. (1159-117). , Liptak JM, Dernell WS, Farese JP, Worley DR. Musculosdeletal system. En:Veterinary Surgical Oncology. Kuding ST, Séguin B. Ed Willey Blackwell. West Essex, UK. 2012.491-560. ] Si se ha realizado una biopsia, se debe retirar el tracto biopsiado en la cirugía. Post-operatoriamente el uso del miembro no es totalmente normal pero se ha demostrado que la ambulación está libre de dolor; se trata de cojeras mecánicas.[ Kirpensteijn J, Straw RC, Pardo AD, et al: Partial and total scapulectomy in the dog. J Am Anim Hosp Assoc, 1994;30:313 ]

 

Cirugía con preservación del miembro

La cirugía con preservación del miembro es un procedimiento en el cual se resecciona el tumor, sin la necesidad de amputar el miembro, y se reconstruye el segmento de hueso reseccionado. La función del miembro se preserva en más del 80 % de los perros sometidos a este procedimiento, pero las complicaciones, tales como infecciones (30-50 %) o fallos del implante (20-40 %), son relativamente comunes. Además, se ha descrito la recurrencia del tumor en el 15-25 % de los casos.[ Szewczyk M, Lechowski R, Zabielska K. What do we know about canine osteosarcoma treatment? Review. Vet Res Commun. 2015;39(1):61-7. [PubMed] ] Por otro lado, la presencia de infección postoperatoria se ha asociado a mayores tiempos de supervivencia. La hipótesis que se ha planteado es que la respuesta del sistema inmune a la infección aumenta inadvertidamente su capacidad para reconocer las células cancerosas como una amenaza, prolongando de este modo la supervivencia.[ Culp WT, Olea-Popelka F, Sefton J, Aldridge CF, Withrow SJ, Lafferty MH, et al. Evaluation of outcome and prognostic factors for dogs living greater than one year after diagnosis of osteosarcoma: 90 cases (1997-2008). J Am Vet Med Assoc. 2014; 15:1141-6 [PubMed] ]

La técnica se recomienda en pacientes con alguna condición neurológica u ortopédica concomitante, con amputación previa de otro miembro y cuando los propietarios se muestran reacios a la amputación. Hay que considerar que el cuidado postoperatorio requerido en la cirugía con preservación del miembro y las potenciales complicaciones tendrán un impacto en la calidad de vida de estos pacientes, que de por sí tienen una supervivencia limitada por el desarrollo posterior de enfermedad distante.[ Boston S. Musculoskeletal neoplasia and Limp-Sparing Surgery. En Tobias KM, Spencer AJ (ed): Veterinary Surgery: Small Animal. St Louis, Missouri. El Sevier Saunders. 2012. (1159-117). , Liptak JM, Dernell WS, Farese JP, Worley DR. Musculosdeletal system. En:Veterinary Surgical Oncology. Kuding ST, Séguin B. Ed Willey Blackwell. West Essex, UK. 2012.491-560. ]

Para optimizar las posibilidades de éxito al realizar este tipo de cirugía el paciente debe cumplir una serie de requisitos específicos. Los candidatos para este procedimiento deben tener el tumor localizado en radio o cúbito distal, ya que la función del miembro tras la resección y la artrodesis carpal es buena, mientras que la artrodesis en otras articulaciones conlleva una función moderada o pobre de la extremidad. Se debe realizar una evaluación completa del paciente y demostrar que no existe enfermedad macroscópica evidente en otra localización y que no presenta otras enfermedades concurrentes. El tumor debe ser menor del 50 % del tamaño del radio, para facilitar la colocación del implante y disminuir el riesgo de complicaciones.[ Boston S. Musculoskeletal neoplasia and Limp-Sparing Surgery. En Tobias KM, Spencer AJ (ed): Veterinary Surgery: Small Animal. St Louis, Missouri. El Sevier Saunders. 2012. (1159-117). ] No son buenos candidatos los perros con fractura patológica o infiltración del tumor en toda la circunferencia de los tejidos blandos del miembro o con lesiones edematosas, ya que tienen un alto riesgo de recurrencia local.[ Boston S. Musculoskeletal neoplasia and Limp-Sparing Surgery. En Tobias KM, Spencer AJ (ed): Veterinary Surgery: Small Animal. St Louis, Missouri. El Sevier Saunders. 2012. (1159-117). , Liptak JM, Dernell WS, Farese JP, Worley DR. Musculosdeletal system. En:Veterinary Surgical Oncology. Kuding ST, Séguin B. Ed Willey Blackwell. West Essex, UK. 2012.491-560. ]

Hay muchas técnicas quirúrgicas descritas para esta condición: aloinjerto cortical, autoinjerto pasteurizado, transporte óseo, radiación extracorpórea intraoperatoria, endoprótesis, transposición cubital vascularizada o radiocirugía estereotáctica. Con excepción de la radiación intraoperatoria y la radiocirugía estereotáctica, estas técnicas incluyen la resección de la parte distal del radio con márgenes amplios y el reemplazo del defecto por autotransplantes, aloinjertos, prótesis o técnicas de regeneración ósea (osteogénesis por distracción).[ Boston S. Musculoskeletal neoplasia and Limp-Sparing Surgery. En Tobias KM, Spencer AJ (ed): Veterinary Surgery: Small Animal. St Louis, Missouri. El Sevier Saunders. 2012. (1159-117). ] Actualmente la endoprótesis es la técnica más usada por los cirujanos oncológicos.[ Boston S. Musculoskeletal neoplasia and Limp-Sparing Surgery. En Tobias KM, Spencer AJ (ed): Veterinary Surgery: Small Animal. St Louis, Missouri. El Sevier Saunders. 2012. (1159-117). , Liptak JM, Dernell WS, Farese JP, Worley DR. Musculosdeletal system. En:Veterinary Surgical Oncology. Kuding ST, Séguin B. Ed Willey Blackwell. West Essex, UK. 2012.491-560. ]

Este tipo de cirugías tiene un coste elevado y un porcentaje alto de complicaciones, por lo que se debe informar adecuadamente a los propietarios sobre estos procedimientos, previamente a la cirugía, de forma que se creen unas expectativas realistas. Los propietarios deben tener el tiempo y los recursos suficientes para el manejo de estas posibles complicaciones.

Técnica de resección distal del radio

Esta técnica es idéntica para endoprótesis, autoinjertos o aloinjertos en cirugía con preservación del miembro. En la resección del tumor debe incluirse el tracto de las biopsias previamente realizadas. El radio distal se resecciona con márgenes de 3 cm al borde proximal del tumor. Puede o no preservarse el cúbito; un estudio en cadáveres demostró que no hay ventajas biomecánicas en preservarlo cuando se realizan cirugías con aloinjertos y endoprótesis.[ Liptak JM, Ehrhart N, Santoni BG, et al: Cortical bone graft and endoprosthesis in the distal radius of dogs: a biomechanical comparison of two different limb-sparing techniques. Vet Surg, 2006; 35:150. [PubMed] ] Una vez se ha retirado la pieza ósea, se debe realizar una radiografía para evaluar los márgenes y continuar con la reconstrucción. La pieza ósea debe marcarse en su borde proximal con tinta y enviarse para estudio histopatológico para la confirmación del diagnóstico y la evaluación de los márgenes.[ Boston S. Musculoskeletal neoplasia and Limp-Sparing Surgery. En Tobias KM, Spencer AJ (ed): Veterinary Surgery: Small Animal. St Louis, Missouri. El Sevier Saunders. 2012. (1159-117). ]

Aloinjerto cortical

Fue la primera técnica descrita para cirugía con preservación del miembro en 1989. Esta técnica fue la más utilizada durante años y, por tanto, la más conocida, siendo objeto de numerosas modificaciones para mejorar y disminuir el riesgo de complicaciones. Utiliza aloinjerto cortical fresco congelado, preparado o comercial. Se corta el injerto a la medida del hueso y se fija mediante una placa ósea de compresión dinámica o bloqueada. La cavidad medular del aloinjerto se rellena de cemento óseo impregnado con antibiótico. La principal desventaja es que requiere el mantenimiento de un banco de huesos o la compra de aloinjerto congelado, lo que aumenta el tiempo del procedimiento, ya que la preparación de los mismos consume gran parte del tiempo de cirugía. Estas desventajas y complicaciones han conducido al desarrollo de otras técnicas de cirugía con preservación del miembro.[ Boston S. Musculoskeletal neoplasia and Limp-Sparing Surgery. En Tobias KM, Spencer AJ (ed): Veterinary Surgery: Small Animal. St Louis, Missouri. El Sevier Saunders. 2012. (1159-117). , Liptak JM, Dernell WS, Farese JP, Worley DR. Musculosdeletal system. En:Veterinary Surgical Oncology. Kuding ST, Séguin B. Ed Willey Blackwell. West Essex, UK. 2012.491-560. ]

Endoprótesis

Esta técnica utiliza una endoprótesis de acero inoxidable 316L en forma de barra de 98 o 122 mm comercialmente disponible, con el extremo distal ensanchado y dos orificios para tornillos para la fijación de la placa (Fig. 8 A y B). No hay diferencias significativas en las tasas de infección, tiempo quirúrgico, uso del miembro, fallo del implante o pronóstico comparado con las otras técnicas de cirugía con preservación de miembro. Las endoprótesis cortas y el uso de tornillos bloqueados ayudan a disminuir el fallo del implante. La ventaja principal incluye la disponibilidad comercial del implante que elimina la necesidad de prepararlo.[ Boston S. Musculoskeletal neoplasia and Limp-Sparing Surgery. En Tobias KM, Spencer AJ (ed): Veterinary Surgery: Small Animal. St Louis, Missouri. El Sevier Saunders. 2012. (1159-117). , Liptak JM, Dernell WS, Farese JP, Worley DR. Musculosdeletal system. En:Veterinary Surgical Oncology. Kuding ST, Séguin B. Ed Willey Blackwell. West Essex, UK. 2012.491-560. , Liptak JM, Ehrhart N, Santoni BG, et al: Cortical bone graft and endoprosthesis in the distal radius of dogs: a biomechanical comparison of two different limb-sparing techniques. Vet Surg, 2006; 35:150. [PubMed] ]

<p>Radiografías cráneo-caudal (A) y lateral (B) tras la realización de cirugía con preservación del miembro mediante la técnica de endoprótesis.</p>
Figura 8

Radiografías cráneo-caudal (A) y lateral (B) tras la realización de cirugía con preservación del miembro mediante la técnica de endoprótesis.

Autoinjerto pasteurizado

Evita tener que mantener un banco óseo de aloinjerto. En esta técnica se retira el segmento distal del radio y se eliminan los tejidos blandos circundantes. Las células tumorales se eliminan mediante pasteurización en suero salino estéril a 65 °C durante 40 minutos. Una vez realizada la pasteurización, la colocación del autoinjerto se realiza de la misma manera que el aloinjerto cortical. Las complicaciones descritas son similares al aloinjerto, pero el riesgo de fallo del implante podría ser mayor debido a que no se rellena con cemento óseo. La mayor ventaja es el mejor ajuste entre injerto y defecto.[ Boston S. Musculoskeletal neoplasia and Limp-Sparing Surgery. En Tobias KM, Spencer AJ (ed): Veterinary Surgery: Small Animal. St Louis, Missouri. El Sevier Saunders. 2012. (1159-117). , Liptak JM, Dernell WS, Farese JP, Worley DR. Musculosdeletal system. En:Veterinary Surgical Oncology. Kuding ST, Séguin B. Ed Willey Blackwell. West Essex, UK. 2012.491-560. ]

Transposición cubital vascularizada (autoinjerto)

Esta técnica utiliza el cúbito distal ipsilateral como injerto vascular que reemplaza el defecto del radio distal después de la escisión del tumor.[ Liptak JM, Dernell WS, Farese JP, Worley DR. Musculosdeletal system. En:Veterinary Surgical Oncology. Kuding ST, Séguin B. Ed Willey Blackwell. West Essex, UK. 2012.491-560. , Seguin B, Walsh PJ, Mason DR, et al: Use of an ipsilateral vascularized ulnar transposition autograft for limbsparing surgery of the distal radius in dogs: an anatomic and clinical study. Vet Surg, 2003; 32:69. [PubMed] ] Finalmente se coloca la placa ósea para la estabilización del autoinjerto. Al utilizar un autoinjerto vascularizado es más resistente a infecciones y hay más probabilidad de que éste sane y se hipertrofie, aunque algunos autores lo ven como una desventaja puesto que el tamaño del autoinjerto es menor. Aunque sin significancia clínica, puede acortar el miembro.[ Seguin B, Walsh PJ, Mason DR, et al: Use of an ipsilateral vascularized ulnar transposition autograft for limbsparing surgery of the distal radius in dogs: an anatomic and clinical study. Vet Surg, 2003; 32:69. [PubMed] ]

Distracción por osteogénesis (Bone transport osteogenesis, BTO)

BTO es una técnica novedosa basada en el reemplazo gradual del radio reseccionado con hueso regenerado mediante un proceso llamado “osteogénesis por distracción” (distraction osteogenesis). Se trata de un proceso de regeneración tisular en el cual el nuevo hueso se remodela en hueso lamelar. Gracias a un fijador externo, la distracción se realiza diaria y progresivamente hasta que el segmento transportado está a unos 5 mm del hueso carporradial. En este momento se inserta un injerto de esponjosa en el sitio de acoplamiento (tiempo medio de 205 días).[ Jehn CT, Lewis DD, Farese JP, Ferrell EA, Conley WG, Ehrhart N. Transverse ulnar bone transport osteogenesis: a new technique for limb salvage for the treatment of distal radial osteosarcoma in dogs. Vet Surg. 2007;36(4):324-34. [PubMed] ] La principal ventaja es que el hueso es autógeno, es más resistente a infecciones y no requiere implantes permanentes. El inconveniente es que requiere un trabajo intensivo por parte del cirujano y del propietario, además de ser un proceso largo de coste elevado.[ Liptak JM, Dernell WS, Farese JP, Worley DR. Musculosdeletal system. En:Veterinary Surgical Oncology. Kuding ST, Séguin B. Ed Willey Blackwell. West Essex, UK. 2012.491-560. , Jehn CT, Lewis DD, Farese JP, Ferrell EA, Conley WG, Ehrhart N. Transverse ulnar bone transport osteogenesis: a new technique for limb salvage for the treatment of distal radial osteosarcoma in dogs. Vet Surg. 2007;36(4):324-34. [PubMed] ] Una opción alternativa que se ha descrito es la realización de una osteotomía longitudinal en el cúbito y distracción en dirección transversal.[ Jehn CT, Lewis DD, Farese JP, Ferrell EA, Conley WG, Ehrhart N. Transverse ulnar bone transport osteogenesis: a new technique for limb salvage for the treatment of distal radial osteosarcoma in dogs. Vet Surg. 2007;36(4):324-34. [PubMed] ]

Radiación extracorpórea intraoperatoria

Esta técnica requiere un protocolo de una sola dosis (70 Gy) en el segmento de tumor óseo previamente aislado y exteriorizado. El efecto biológico de una dosis de radiación extracorpórea equivale a 2 o 4 veces la misma dosis de irradiación con los protocolos fraccionados de radiación externa.[ Coomer A, Farese J, Milner R, Liptak J, Bacon N, Lurie D. Radiation therapy for canine appendicular osteosarcoma. Vet Comp Oncol. 2009;7(1):15-27. [PubMed] ] La principal ventaja es que el paciente mantiene el hueso autólogo con una preservación anatómica buena. Las complicaciones son las mismas que las descritas para las anteriores técnicas con similar incidencia. Se requiere una selección estricta de los casos para minimizar complicaciones, tales como buena cobertura de tejidos blandos para permitir la revascularización y casos con menos del 50 % del hueso afectado.[ Liptak JM, Dernell WS, Farese JP, Worley DR. Musculosdeletal system. En:Veterinary Surgical Oncology. Kuding ST, Séguin B. Ed Willey Blackwell. West Essex, UK. 2012.491-560. , Coomer A, Farese J, Milner R, Liptak J, Bacon N, Lurie D. Radiation therapy for canine appendicular osteosarcoma. Vet Comp Oncol. 2009;7(1):15-27. [PubMed] ]

Cirugía estereotáctica

La radioterapia convencional se basa en el uso de protocolos fraccionados para minimizar la afección de los tejidos sanos que rodean la lesión.[ Farese JP, Milner R, Thompson MS, Lester N, Cooke K, Fox L, Hester J, Bova FJ. Stereotactic radiosurgery for treatment of osteosarcomas involving the distal portions of the limbs in dogs. J Am Vet Med Assoc. 2004;15:1567-72, 1548. [PubMed] ] La cirugía estereotáctica, por el contrario, implica la creación de un marco alrededor del tumor que fija estereotácticamente una posición precisa para la administración de una única dosis alta de radiación (30 Gy) (Figs. 9 A y B). Esta técnica, que requiere un equipo de radiación específico, minimiza la radiación de tejidos circundantes (ya que la mayor dosis se envía al tumor) y establece un gradiente de dosis escalonado hacia los tejidos circundantes. La ventaja de esta técnica es un efecto biológico mayor en el tejido tumoral con una sola dosis de radiación de esta magnitud.[ Farese JP, Milner R, Thompson MS, Lester N, Cooke K, Fox L, Hester J, Bova FJ. Stereotactic radiosurgery for treatment of osteosarcomas involving the distal portions of the limbs in dogs. J Am Vet Med Assoc. 2004;15:1567-72, 1548. [PubMed] ] La escasa disponibilidad, ya que solo se realiza en centros de referencia de Estados Unidos, así como la alta incidencia de fractura patológica tras la misma, hacen que no sea demasiado factible.

<p>Cirugía estereotáctica. (A) Colocación del paciente con anclaje oral para realización de TAC. (B) Imagen computerizada de la zona a irradiar.</p>
Figura 9

Cirugía estereotáctica. (A) Colocación del paciente con anclaje oral para realización de TAC. (B) Imagen computerizada de la zona a irradiar.

Otras opciones quirúrgicas

Otros métodos y localizaciones de cirugía con preservación del miembro son la ulnectomía, cuando el tumor está circunscrito al cúbito, y la prótesis intraósea transcutánea (amputación parcial) descrita en 2010 en una serie de 4 perros con neoplasias distales en el miembro.[ Fitzpatrick N, Ash K: Novel modular limb salvage endoprostheses for treatment of primary appendicular tumors in dogs. (abstract) Vet Surg, 2010;39 Suppl 1:E35. ] La prótesis consiste en dos partes: endoprótesis de localización intraósea y exoprótesis, que es la que soportará el peso. Esta técnica sigue siendo experimental, ya que se están modificando los dispositivos para que la integración ósea sea mayor y se produzcan menos complicaciones tales como fallo del implante o infecciones.[ Fitzpatrick N, Ash K: Novel modular limb salvage endoprostheses for treatment of primary appendicular tumors in dogs. (abstract) Vet Surg, 2010;39 Suppl 1:E35. ]

 

Cirugía en enfermedad metastásica

Tras amputación y quimioterapia adyuvante, la mayoría de perros con OSA apendicular desarrollan metástasis pulmonares. Existen algunos casos descritos de extirpación quirúrgica de metástasis pulmonares. Este abordaje terapéutico se puede considerar en circunstancias específicas: cuando el tumor primario se encuentra en remisión completa durante al menos 300 días, no hay más de 2 nódulos en el mismo lóbulo pulmonar, no hay evidencia de metástasis y tiempo de doblaje del tamaño de la masa tumoral de más de 30 días sin nuevas lesiones.[ Ehrhart NP, Stewart DR, Fan TM. Tumors of the skeletal system. En: Small Animal Clinical Oncology. Withrow & MacEwen’s. St Louis, Missouri. El Sevier Saunders. 2013. (464-495). , O’Brien MG, Straw RC, Withrow SJ, et al: Resection of pulmonary metastases in canine osteosarcoma: 36 cases (1983-1992), Vet Surg, 1993.;22:105–109. [PubMed] ]

Tratamiento quimioterápico

Tras el tratamiento local agresivo del osteosarcoma apendicular canino con amputación o cirugía con preservación del miembro, la causa más común de mortalidad es el desarrollo de metástasis. La terapia adyuvante con fármacos citotóxicos ha demostrado que prolonga el periodo de supervivencia postquirúrgica.[ Szewczyk M, Lechowski R, Zabielska K. What do we know about canine osteosarcoma treatment? Review. Vet Res Commun. 2015;39(1):61-7. [PubMed] ] Durante los últimos 25 años los fármacos más comúnmente usados han sido el cisplatino, el carboplatino y la doxorubicina (Tabla 4). El cisplatino, actualmente está en desuso debido a la nefrotoxicidad asociada y a la alta inducción de emesis. Los tiempos medios de supervivencia post-amputación seguida de quimioterapia adyuvante varían entre 104 y 413 días, sin diferencia significativa para doxorubicina versus carboplatino como agentes únicos, con tasas de supervivencia media al año de 34-50 %.[ Ehrhart NP, Stewart DR, Fan TM. Tumors of the skeletal system. En: Small Animal Clinical Oncology. Withrow & MacEwen’s. St Louis, Missouri. El Sevier Saunders. 2013. (464-495). , Moore AS, Dernell WS, Ogilvie GK, et al: Doxorubicin and BAY 12-9566 for treatment of osteosarcoma in dogs: a dandomized double-blind placebo-controlled study. J Vet Intern Med 2007; 21:783-790. [PubMed] , Bailey D, Erb H, Williams L, et al: Carboplatin and doxorubicin combination chemotherapy for the treatment of appendicular osteosarcoma in the dog. J Vet Intern Med, 2003;17:199–205. [PubMed] , Kent MS, Strom A, London CA, et al: Alternating carboplatin and doxorubicin as adjunctive chemotherapy to amputation or limb-sparing surgery in the treatment of appendicular osteosarcoma in dogs. J Vet Intern Med, 2004; 18:540–544. [PubMed] ] La tasa de supervivencia a los dos años es más alta con carboplatino (28 %). No hay diferencia en el tiempo de supervivencia si la quimioterapia se empieza preoperatoriamente, intraoperatoriamente o hasta 3 semanas después de la cirugía.[ Liptak JM, Dernell WS, Farese JP, Worley DR. Musculosdeletal system. En:Veterinary Surgical Oncology. Kuding ST, Séguin B. Ed Willey Blackwell. West Essex, UK. 2012.491-560. ] Por tanto la elección del fármaco a utilizar como terapia adyuvante se debería hacer en base al riesgo de efectos adversos y el coste. En general, la doxorubicina tiene una tasa más alta de efectos gastrointestinales que el carboplatino y, por consiguiente, un mayor riesgo de impacto en la calidad de vida. El coste de ambos fármacos varía dependiendo de los proveedores. Por lo general, a igual coste, el carboplatino es la opción con menor incidencia de efectos adversos.

Image
Tabla 4

 

Carboplatino

Se administra a una dosis de 300 mg/m2 IV q 21 días y se recomiendan de 5 a 6 dosis.[ Saam DE, Liptak JM, Stalker MJ, et al: Predictors of outcome in dogs treated with adjuvant carboplatin for appendicular osteosarcoma: 65 cases (1996-2006). J Am Vet Med Assoc, 2011;238: 195–206. [PubMed] ] Entre las ventajas de este protocolo se incluye una administración en bolo intravenoso lento durante unos minutos. La incidencia de efectos adversos gastrointestinales es menor del 20 %. Es un fármaco bastante inmunosupresivo y se debe monitorizar el nadir de neutrófilos a los 10-14 días post-administración. Hay que recordar que el carboplatino es excretado a través del sistema urinario, por lo que los pacientes con filtración glomerular disminuida pueden presentar una inmunosupresión retrasada con nadir a los 21 días (o más) debido a la eliminación más lenta del fármaco. En general, se recomienda realizar un perfil renal y urianálisis antes de empezar esta terapia, y monitorizar a estos pacientes cada 6 semanas. En perros con evidencia de filtración glomerular disminuida, idealmente se debería determinar su filtración glomerular para establecer la dosis más adecuada. Esta prueba está disponible en varios laboratorios europeos incluyendo el Royal Veterinary College en Inglaterra.

En la práctica, para evitar una inmunosupresión excesiva, a menudo se realiza una reducción empírica de esta dosis de entre un 10-25 % con monitorización seriada de hemogramas.

 

Doxorubicina

El protocolo más utilizado para este fármaco es de 30 mg/m2 IV q 14 días hasta completar 5 dosis.[ Moore AS, Dernell WS, Ogilvie GK, et al: Doxorubicin and BAY 12-9566 for treatment of osteosarcoma in dogs: a dandomized double-blind placebo-controlled study. J Vet Intern Med 2007; 21:783-790. [PubMed] ] En animales menores de 15 kg se utiliza una dosis de 1 mg/kg. Es un fármaco moderadamente inmunosupresivo y se debe monitorizar el nadir de neutrófilos a los 8 días post-administración. Este protocolo presenta supervivencias muy similares a los protocolos con cisplatino o carboplatino, siendo bastante más económico para el cliente. El principal efecto adverso de su utilización es la toxicidad gastrointestinal en un 40-60 % de los pacientes. Por ello, si se utiliza este protocolo, se recomienda el uso de protectores gastrointestinales. Por ejemplo, se pueden administrar antieméticos durante 3-4 días, incluido el día de la administración, y proporcionar al cliente metronidazol a una dosis de 10 mg/kg PO q 12h en caso de que se desarrolle diarrea (frecuentemente colitis), generalmente a los 3-4 días post-tratamiento. La doxorubicina puede tener cardiotoxicidad acumulativa por encima de 180 mg/m2 por lo que, en pacientes con una función cardiaca normal, no suele ser un problema, ya que la dosis total recomendada en terapia adyuvante para OSA es menor. En razas predispuestas a cardiomiopatía dilatada, se recomienda la evaluación de la función cardíaca antes de comenzar el tratamiento con ecocardiografía o simplemente utilizar carboplatino.

Hay que recordar que la doxorubicina es altamente vesicante. Se debe administrar en infusión continua, sobre unos 25 minutos, con monitorización constante durante ese periodo de tiempo. Los autores en la práctica, para minimizar al máximo el riesgo y potenciales consecuencias de extravasación, diluyen la cantidad de fármaco en una jeringuilla de 50 ml con suero salino o agua para inyecciones hasta alcanzar ese volumen, en una cabina de flujo laminar. La administración se realiza manualmente a través de un catéter intravenoso con un sistema de administración seguro para quimioterapia (tipo Phaseal®) en el periodo de tiempo sugerido (25 minutos) como un bolo intravenoso constante. Se recomienda retrotraer periódicamente el émbolo durante la infusión para confirmar que la sangre fluye fácilmente a través del acceso venoso. En caso de duda se desconecta el sistema, aspirando primero y luego administrando suero salino.

 

Combinaciones de agentes quimioterápicos

Se han estudiado combinaciones de carboplatino y doxorubicina alternadas, con resultados que no difieren a los obtenidos con protocolos con agentes únicos. La combinación de doxorubicina y carboplatino simultánea (a dosis más bajas) ha dado resultados similares sin diferencias significativas.[ Bailey D, Erb H, Williams L, et al: Carboplatin and doxorubicin combination chemotherapy for the treatment of appendicular osteosarcoma in the dog. J Vet Intern Med, 2003;17:199–205. [PubMed] , Kent MS, Strom A, London CA, et al: Alternating carboplatin and doxorubicin as adjunctive chemotherapy to amputation or limb-sparing surgery in the treatment of appendicular osteosarcoma in dogs. J Vet Intern Med, 2004; 18:540–544. [PubMed] ] Dada la ausencia de mejora de la supervivencia con combinaciones de estos fármacos, lo más común es usar agentes únicos.

 

Toceranib

Un estudio reciente demostró una actividad biológica del toceranib en tumores sólidos cuando es administrado a una dosis media de 2,7 mg/kg (PO) tres veces por semana (lunes, miércoles y viernes).[ London C1, Mathie T, Stingle N, Clifford C, Haney S, Klein MK, et al. Preliminary evidence for biologic activity of toceranib phosphate (Palladia(®)) in solid tumours. Vet Comp Oncol. 2012;10(3):194-205. [PubMed] ] En 23 pacientes afectados de OSA, con metástasis pulmonares desarrolladas tras la resección del tumor primario y posterior terapia adyuvante citotóxica, se observó respuesta en 11 de ellos, 10 con enfermedad estable y uno con respuesta parcial. Por otra parte, se realizó un estudio en pacientes con OSA apendicular sin metástasis diagnosticadas y tratados con amputación y 4 dosis de carboplatino seguidas de terapia metronómica, o bien con piroxicam y ciclofosfamida o bien con esos dos fármacos y toceranib. En este estudio no existió una diferencia significativa en el tiempo medio libre de enfermedad (215 versus 233 días) o en la tasa de supervivencia media al año (35 % versus 38 %) entre ambos grupos.[ London CA, Gardner HL, Mathie T, Stingle N, Portela R, Pennell ML, et al. Impact of Toceranib/Piroxicam/Cyclophosphamide Maintenance Therapy on Outcome of Dogs with Appendicular Osteosarcoma following Amputation and Carboplatin Chemotherapy: A Multi-Institutional Study. PLoS One. 2015 29;10(4). [PubMed] , London C1, Mathie T, Stingle N, Clifford C, Haney S, Klein MK, et al. Preliminary evidence for biologic activity of toceranib phosphate (Palladia(®)) in solid tumours. Vet Comp Oncol. 2012;10(3):194-205. [PubMed] ]

 

Fuente de financiación: este trabajo no se realizó con fondos comerciales, públicos o del sector privado.

Conflicto de intereses: los autores declaran que no existe conflicto de intereses.

Bibliografía

  1. [1] Boston S. Musculoskeletal neoplasia and Limp-Sparing Surgery. En Tobias KM, Spencer AJ (ed): Veterinary Surgery: Small Animal. St Louis, Missouri. El Sevier Saunders. 2012. (1159-117).
  2. [2] Ehrhart NP, Stewart DR, Fan TM. Tumors of the skeletal system. En: Small Animal Clinical Oncology. Withrow & MacEwen’s. St Louis, Missouri. El Sevier Saunders. 2013. (464-495).
  3. [3] Caro JT, Marín LM, Lazbik MC, Zaldivar-López S, Borghese H, Couto CG. Markers of iron metabolism in retired racing Greyhounds with and without osteosarcoma. Vet Clin Pathol. 2013;42(3):360-3. [PubMed]
  4. [4] Phillips JC, Lembcke L, Chamberlin T: A novel locus for canine osteosarcoma (OSA1) maps to CFA34, the canine orthologue of human 3q26. Genomics, 2010. 96:220–227. [PubMed]
  5. [5] Phillips JC, Stephenson B, Hauck M, et al: Heritability and segregation analysis of osteosarcoma in the Scottish deerhound. Genomics 2007. 90:354–363. [PubMed]
  6. [6] Ru G, Terracini B, Glickman LT: Host related risk factors for canine osteosarcoma. Vet J, 1998. 156:31-39. [PubMed]
  7. [7] Cooley DM, Beranek BC, Schlittler DL, et al: Endogenous gonadal hormone exposure and bone sarcoma risk. Cancer Epidemiol Biomarkers Prev, 2002. 11:1434. [PubMed]
  8. [8] Patnaik AK: Canine extraskeletal osteosarcoma and chondrosarcoma: a clinicopathological study of 14 cases, Vet Pathol, 1990. 27: 46-55. [PubMed]
  9. [9] Owen LN: Transplantation of canine osteosarcoma. Eur J Cancer 5:615-620, 1969. [PubMed]
  10. [10] Knecht CD, Priester WA: Osteosarcoma in dogs: a study of previous trauma, fracture and fracture fixation, J Am Anim Hosp Assoc, 1978. 14:82-84.
  11. [11] Vasseur PB, Stevenson S: Osteosarcoma at the site of a cortical bone allograft in a dog, Vet Surg 1987.16:70-74. [PubMed]
  12. [12] Bhandal J, Boston SE. Pathologic fracture in dogs with suspected or confirmed osteosarcoma. Vet Surg. 2011;40(4):423-30. [PubMed]
  13. [13] Knecht CD, Priester WA: Musculoskeletal tumors in dogs, J Am Vet Med Assoc 1978;172:72-74. [PubMed]
  14. [14] Misdorp W, Hart AA: Some prognostic and epidemiologic factors in canine osteosarcoma, J Natl Cancer Inst 1979;62:537–545. [PubMed]
  15. [15] Bergman PJ, MacEwen EG, Kurzman ID, et al: Amputation and carboplatin for treatment of dogs with osteosarcoma: 48 cases (1991 to 1993). J Vet Intern Med 1996;10:76–81. [PubMed]
  16. [16] Cho WH, Song WS, Jeon DG, et al: Differential presentations, clinical courses, and survivals of osteosarcomas of the proximalhumerus over other extremity locations. Ann Surg Oncol 2010;17:702–708. [PubMed]
  17. [17] Kirpensteijn J, Kik M, Rutteman GR, et al: Prognostic significance of a new histologic grading system for canine osteosarcoma. Vet Pathol 2002;39:240–246. [PubMed]
  18. [18] Kuntz CA, Asselin TL, Dernell WS, et al: Limb salvage surgery for osteosarcoma of the proximal humerus: outcome in 17 dogs. Vet Surg 1998;27:417–422. [PubMed]
  19. [19] Schmidt AF, Nielen M, Klungel OH, Hoes AW, de Boer A, Groenwold RH, Kirpensteijn J. Prognostic factors of early metastasis and mortality in dogs with appendicular osteosarcoma after receiving surgery: an individual patient data meta-analysis. Prev Vet Med. 2013;112(3-4):414-22. [PubMed]
  20. [20] Gamblin RM, Straw RC, Powers BE, et al: Primary osteosarcoma distal to the antebrachiocarpal and tarsocrural joints in nine dogs (1980-1992). J Am Anim Hosp Assoc 1995;31:86–91. [PubMed]
  21. [21] Boston SE, Ehrhart NP, Dernell WS, et al: Evaluation of survival time in dogs with stage III osteosarcoma that undergo treatment: 90 cases (1985-2004). J Am Vet Med Assoc 2006;228:1905–1908. [PubMed]
  22. [22] Hillers KR, Dernell WS, Lafferty MH, et al: Incidence and prognostic importance of lymph node metastases in dogs with appendicular osteosarcoma: 228 cases (1986-2003). J Am Vet Med Assoc 2005; 226:1364–1367. [PubMed]
  23. [23] Ehrhart N, Dernell WS, Hoffmann WE, et al: Prognostic importance of alkaline phosphatase activity in serum from dogs with appendicular osteosarcoma: 75 cases (1990-1996). J Am Vet Med 1998;213:1002–1006. [PubMed]
  24. [24] Khanna C, Wan X, Bose S, et al: The membrane-cytoskeleton linker ezrin is necessary for osteosarcoma metastasis, Nat Med 2004. 10:182–186. [PubMed]
  25. [25] Mullins MN, Lana SE, Dernell WS, et al: Cyclooxygenase-2 expression in canine appendicular osteosarcomas. J Vet Intern Med, 2004. 18:859–865. [PubMed]
  26. [26] Shoeneman JK, Ehrhart EJ 3rd, Eickhoff JC, et al: Expression and function of survivin in canine osteosarcoma. Cancer Res 2012;72:249–259. [PubMed]
  27. [27] Thrall DE. Radiographic features of bone tumors and bone infections. En: Textbook of Veterinary Diagnostic Radiology. ElSevier. St Louis, Missouri, 2013. 307-317.
  28. [28] Berzina I, Sharkey LC, Matise I, et al: Correlation between cytologic and histopathologic diagnoses of bone lesions in dogs: a study of the diagnostic accuracy of bone cytology. Vet Clin Pathol 2008;37:332. [PubMed]
  29. [29] Britt T, Clifford C, Barger A, et al: Diagnosing appendicular osteosarcoma with ultrasound-guided fine-needle aspiration: 36 cases. J Small Anim Pract 2007; 48:145. [PubMed]
  30. [30] Neihaus SA, Locke JE, Barger AM, Borst LB, Goring RL. A novel method of core aspirate cytology compared to fine-needle aspiration for diagnosing canine osteosarcoma. J Am Anim Hosp Assoc 2011; 47(5):317-23. [PubMed]
  31. [31] Power BE, LaRue SM, Withrow SJ. Jamshidi needle biopsy for diagnosis of bone lesions in small animals. J Am Vet Med Assoc, 1988;193:205-210. [PubMed]
  32. [32] Liptak JM, Dernell WS, Eherhart N, et al. Canine appendicular osteosarcoma: Diganosis and palliative treatment. Comp Cont Educ Pract, 2004; 26:172-183.
  33. [33] Ehrhart N, Culp WTN. Principles of surgical oncology. En:Veterinary Surgical Oncology. Kuding ST, Séguin B. Ed Willey Blackwell. West Essex, UK. 2012.3-13.
  34. [34] Heyman SJ, Diefenderfer DL, Goldschmidt MH, et al: Canine axial skeletal osteosarcoma: a retrospective study of 116 cases. Vet Surg, 1992;21:304. [PubMed]
  35. [35] Nemanic S, London CA, Wisner ER Comparison of thoracic radiographs and single breath-hold helical CT for detection of pulmonary nodules in dogs with metastatic neoplasia. J Vet Intern Med. 2006;20(3):508-15. [PubMed]
  36. [36] Oblak ML, Boston SE, Woods JP, Nykamp S. Comparison of concurrent imaging modalities for staging of dogs with appendicular primary bone tumours. Vet Comp Oncol. 2015;13(1):28-39. [PubMed]
  37. [37] Sacornrattana O, Dervisis NG, McNiel EA. Abdominal ultrasonographic findings at diagnosis of osteosarcoma in dogs and association with treatment outcome. Vet Comp Oncol. 2013;11(3):199-207. [PubMed]
  38. [38] Jankowski MK, Steyn PF, Lana SE, et al: Nuclear scanning with 99mTc-HDP for the initial evaluation of osseous metastasis in canine osteosarcoma. Vet Comp Oncol, 2003;1:152. [PubMed]
  39. [39] Fan TM. Pain management in veterinary patients with cancer. Vet Clin North Am Small Anim Pract. 2014;44(5):989-1001. [PubMed]
  40. [40] Fan TM1, de Lorimier LP, O’Dell-Anderson K, Lacoste HI, Charney SC. Single-agent pamidronate for palliative therapy of canine appendicular osteosarcoma bone pain. J Vet Intern Med. 2007;21(3):431-9. [PubMed]
  41. [41] Ashton JA, Farese JP, Milner RJ, Lee-Ambrose LM, van Gilder JM. Investigation of the effect of pamidronate disodium on the in vitro viability of osteosarcoma cells from dogs. Am J Vet Res. 2005;66(5):885-91. [PubMed]
  42. [42] Kozicki AR, Robat C, Chun R, Kurzman ID. Adjuvant therapy with carboplatin and pamidronate for canine appendicular osteosarcoma. Vet Comp Oncol. 2015;13(3):229-36. [PubMed]
  43. [43] Mueller F, Poirier V, Melzer K, Nitzl D, Roos M, Kaser-Hotz B. Palliative radiotherapy with electrons of appendicular osteosarcoma in 54 dogs. In Vivo. 2005;19(4):713-6. [PubMed]
  44. [44] Ramirez O, Dodge RK, Page RL, Price GS, Hauck ML, LaDue TA, Nutter F, Thrall DE. Palliative radiotherapy of appendicular osteosarcoma in 95 dogs. Vet Radiol Ultrasound. 1999;40(5):517-22. [PubMed]
  45. [45] Knapp-Hoch HM, Fidel JL, Sellon RK, Gavin PR. An expedited palliative radiation protocol for lytic or proliferative lesions of appendicular bone in dogs. J Am Anim Hosp Assoc. 2009;45(1):24-32. [PubMed]
  46. [46] Coomer A, Farese J, Milner R, Liptak J, Bacon N, Lurie D. Radiation therapy for canine appendicular osteosarcoma. Vet Comp Oncol. 2009;7(1):15-27. [PubMed]
  47. [47] Oblak ML, Boston SE, Higginson G, Patten SG, Monteith GJ, Woods JP. The impact of pamidronate and chemotherapy on survival times in dogs with appendicular primary bone tumors treated with palliative radiation therapy. Vet Surg. 2012;41(3):430-5. [PubMed]
  48. [48] Walter CU, Dernell WS, LaRue SM, et al: Curative-intent radiation therapy as a treatment modality for appendicular and axial osteosarcoma: a preliminary retrospective evaluation of 14 dogs with the disease. Vet Comp Oncol, 2005; 3:1–7. [PubMed]
  49. [49] Szewczyk M, Lechowski R, Zabielska K. What do we know about canine osteosarcoma treatment? Review. Vet Res Commun. 2015;39(1):61-7. [PubMed]
  50. [50] Liptak JM, Dernell WS, Farese JP, Worley DR. Musculosdeletal system. En:Veterinary Surgical Oncology. Kuding ST, Séguin B. Ed Willey Blackwell. West Essex, UK. 2012.491-560.
  51. [51] Kirpensteijn J, van den Bos R, Endenburg N. Adaptation of dogs to the amputation of a limb and their owners’ satisfaction with the procedure. Vet Rec. 1999;144(5):115-8. [PubMed]
  52. [52] Wigel, JP. Amputations. En: Textbook of Small Animal Surgery. Slatter DH, ed. Saunders. Philadelphia 2013. 2180-2190.
  53. [53] Kirpensteijn J, Straw RC, Pardo AD, et al: Partial and total scapulectomy in the dog. J Am Anim Hosp Assoc, 1994;30:313
  54. [54] Culp WT, Olea-Popelka F, Sefton J, Aldridge CF, Withrow SJ, Lafferty MH, et al. Evaluation of outcome and prognostic factors for dogs living greater than one year after diagnosis of osteosarcoma: 90 cases (1997-2008). J Am Vet Med Assoc. 2014; 15:1141-6 [PubMed]
  55. [55] Liptak JM, Ehrhart N, Santoni BG, et al: Cortical bone graft and endoprosthesis in the distal radius of dogs: a biomechanical comparison of two different limb-sparing techniques. Vet Surg, 2006; 35:150. [PubMed]
  56. [56] Seguin B, Walsh PJ, Mason DR, et al: Use of an ipsilateral vascularized ulnar transposition autograft for limbsparing surgery of the distal radius in dogs: an anatomic and clinical study. Vet Surg, 2003; 32:69. [PubMed]
  57. [57] Jehn CT, Lewis DD, Farese JP, Ferrell EA, Conley WG, Ehrhart N. Transverse ulnar bone transport osteogenesis: a new technique for limb salvage for the treatment of distal radial osteosarcoma in dogs. Vet Surg. 2007;36(4):324-34. [PubMed]
  58. [58] Farese JP, Milner R, Thompson MS, Lester N, Cooke K, Fox L, Hester J, Bova FJ. Stereotactic radiosurgery for treatment of osteosarcomas involving the distal portions of the limbs in dogs. J Am Vet Med Assoc. 2004;15:1567-72, 1548. [PubMed]
  59. [59] Fitzpatrick N, Ash K: Novel modular limb salvage endoprostheses for treatment of primary appendicular tumors in dogs. (abstract) Vet Surg, 2010;39 Suppl 1:E35.
  60. [60] O’Brien MG, Straw RC, Withrow SJ, et al: Resection of pulmonary metastases in canine osteosarcoma: 36 cases (1983-1992), Vet Surg, 1993.;22:105–109. [PubMed]
  61. [61] Saam DE, Liptak JM, Stalker MJ, et al: Predictors of outcome in dogs treated with adjuvant carboplatin for appendicular osteosarcoma: 65 cases (1996-2006). J Am Vet Med Assoc, 2011;238: 195–206. [PubMed]
  62. [62] Moore AS, Dernell WS, Ogilvie GK, et al: Doxorubicin and BAY 12-9566 for treatment of osteosarcoma in dogs: a dandomized double-blind placebo-controlled study. J Vet Intern Med 2007; 21:783-790. [PubMed]
  63. [63] Bailey D, Erb H, Williams L, et al: Carboplatin and doxorubicin combination chemotherapy for the treatment of appendicular osteosarcoma in the dog. J Vet Intern Med, 2003;17:199–205. [PubMed]
  64. [64] Kent MS, Strom A, London CA, et al: Alternating carboplatin and doxorubicin as adjunctive chemotherapy to amputation or limb-sparing surgery in the treatment of appendicular osteosarcoma in dogs. J Vet Intern Med, 2004; 18:540–544. [PubMed]
  65. [65] London CA, Gardner HL, Mathie T, Stingle N, Portela R, Pennell ML, et al. Impact of Toceranib/Piroxicam/Cyclophosphamide Maintenance Therapy on Outcome of Dogs with Appendicular Osteosarcoma following Amputation and Carboplatin Chemotherapy: A Multi-Institutional Study. PLoS One. 2015 29;10(4). [PubMed]
  66. [66] London C1, Mathie T, Stingle N, Clifford C, Haney S, Klein MK, et al. Preliminary evidence for biologic activity of toceranib phosphate (Palladia(®)) in solid tumours. Vet Comp Oncol. 2012;10(3):194-205. [PubMed]
  67. [67] Tobias KM, Spencer AJ: Veterinary Surgery: Small Animal. St Louis, Missouri. El Sevier Saunders. 2012. (1159-1170).

Artículos recomendados

Estas recomendaciones se ofrecen de forma automática.

  • Más allá de los antibióticos: el papel emergente de los antisépticos en oftalmología veterinaria
    M. Leiva, M.T. Peña, R. Vilao
    Clin Vet Peq Anim Vol. 46 - Nº 1 · MAR 2026 · Artículos de Revisión
  • Biomarcadores de daño y remodelación cardíaca, inflamación y estrés oxidativo en perros con cardiopatías. Parte III

    I. Miralles-Plaza, M. J. Fernández-del-Palacio
    Clin Vet Peq Anim Vol. 45 - Nº 3 · SEP 2025 · Artículos de Revisión
  • Osteosarcoma maxilar en un perro
    M. Blanco-Nieto, S. Reina de Blas
    Clin Vet Peq Anim Vol. 36 - Nº 4 · DIC 2016 · Artículo original referido a un solo caso clínico
  • Inicio
  • Introducción
  • Etiología y prevalencia
  • Presentación clínica
  • Factores pronóstico
  • Técnicas de diagnóstico y seguimiento
  • Tratamiento
  • Tratamiento quirúrgico
  • Tratamiento quimioterápico
  • Bibliografía
Artículo anterior Índice de la revista Artículo siguiente
ANUNCIO
Próximos cursos ATVs Elearning
Índice
Inicio Introducción Etiología y prevalencia Presentación clínica Factores pronóstico Técnicas de diagnóstico y seguimiento Tratamiento Tratamiento quirúrgico Tratamiento quimioterápico Bibliografía
Virbac - Movoflex
ANUNCIO

¿No eres socio de AVEPA y quieres recibir comunicación de las nuevas ediciones en tu correo?

Suscríbete

Suscríbete y te avisaremos cuando publiquemos un nuevo número

Suscribirme

Enlaces rápidos

  • Inicio
  • Último número
  • Archivo
  • Artículos

Información

  • Comité editorial
  • Política de cookies
  • Política de privacidad
  • Términos y condiciones

Contacto

  • info@imaginice.com
  • Envíanos tu artículo
© 2026 Ice Salud Vet SL. Todos los derechos reservados.

Usamos cookies para mejorar tu experiencia. Selecciona cuáles aceptas: