Logo AVEPA

Clínica Veterinaria de Pequeños Animales

Revista oficial de AVEPA

  • Inicio
  • Último número
  • Archivo
  • Artículos
  • Para autores
  • Contacto
Cursos Junio-Septiembre 2026
ANUNCIO

Clínica Veterinaria de Pequeños Animales

Revista oficial de AVEPA

  • Inicio
  • Último número
  • Archivo
  • Artículos
  • Para autores
  • Contacto
Curso Oftalmología 2026
ANUNCIO
Clin Vet Peq Anim Vol. 38 • Nº 1 • marzo 2018

Teratoma adrenal con inclusión renal en un hurón doméstico (Mustela putorius furo)

Adrenal teratoma with kidney inclusion in a domestic ferret (Mustela putorius furo)

Artículo original referido a un solo caso clínico

M. Ramos-Sánchez

Hispalvet Veterinarios. c/ José Luis Navarro, 14. 41940 Tomares (Sevilla).

A. Moya-Vázquez

Hispalvet Veterinarios. c/ José Luis Navarro, 14. 41940 Tomares (Sevilla).

A. Ramis-Salvá

Departament de Sanitat i d’Anatomia Animals – Anatomia Patològica. Facultat de Veterinària. Universitat Autònoma de Barcelona. Edifici V, Travessera dels Turons, 08193 Bellaterra (Barcelona).

A. Gorráiz-González

Hispalvet Veterinarios. c/ José Luis Navarro, 14. 41940 Tomares (Sevilla).

M.J. Gallinato-García

Hispalvet Veterinarios. c/ José Luis Navarro, 14. 41940 Tomares (Sevilla).

Contacto: info@hispalvet.com
Palabras clave: teratoma adrenal, hurón, neoplasia, histopatología.
Keywords: adrenal teratoma, ferret, neoplasia, histopathology.

Clin. Vet. Peq. Anim, 2018, 38 (1): 29 - 33

Descargar artículo

Resumen

Los teratomas son tumores poco frecuentes en animales domésticos. El objetivo de este trabajo es describir la presentación clínica, las pruebas diagnósticas y el tratamiento quirúrgico de un teratoma adrenal en un hurón hembra, no esterilizada, de 11 meses de edad. La paciente presentaba una masa de crecimiento rápido en abdomen que provocaba dificultad en la defecación. Las pruebas de diagnóstico por imagen realizadas (radiografía y ecografía abdominal) evidenciaron una masa de aspecto heterogéneo que ocupaba prácticamente la totalidad del abdomen. Esta masa envolvía el riñón izquierdo, comprimiéndolo. Se realizó laparotomía exploratoria y extirpación de la masa, junto con la nefrectomía del riñón afectado. El examen histopatológico concluyó un diagnóstico de teratoma adrenal.

Abstract

Teratomas are rare in pets. The aim of this paper is to describe the clinical signs, diagnostic tests, and surgical treatment of an adrenal teratoma in an entire 11-month-old jill. The patient was presented with an abdominal mass which caused difficulty to defecate. Abdominal radiographs and abdominal ultrasound showed a heterogeneous mass, which occupied almost the entire abdomen. The left kidney was surrounded and compressed by the mass. Exploratory laparotomy was performed, and both the mass and the left kidney were removed. Histopathology of the mass concluded an adrenal teratoma.

Introducción

Los teratomas son neoplasias complejas histológicamente, que se derivan de una o más líneas celulares germinales (ectodermo, mesodermo y endodermo). Aunque los casos descritos en humanos y en animales señalan a las gónadas como el origen más frecuente de esta neoplasia, en hurones la mayoría de casos describen un origen extragonadal (glándulas adrenales y medula espinal).[ Williams BH, Weiss CA: Neoplasia. En Carpenter JW, Quesenberry KE (ed): Ferrets, Rabbits and Rodents: Clinical medicine and surgery, Missouri, Saunders, 91-106. , Schoemaker NJ: Ferrets: endocrine and neoplastic disease. En Keeble E, Meredith A (ed): BSAVA Manual of rodents and ferrets, Gloucester, 2009, 320-329. , Williams BH, Yantis LD, Craig SL, Geske RS, Li X, Nye R: Adrenal teratoma in four domestic ferrets (Mustela putorius furo). Vet Pathol 2001; 38(3):328-331. [PubMed] ] La presentación clínica suele ser inespecífica, ocasionada principalmente por la compresión de órganos adyacentes. Las pruebas de imagen resultan de gran utilidad en el diagnóstico presuntivo de teratomas, aunque el diagnóstico definitivo requiere histopatología. El tratamiento de elección descrito en la mayoría de casos publicados (en humanos y animales domésticos) es la extirpación quirúrgica. La incidencia de teratomas diagnosticados en hurones es baja[ Williams BH, Yantis LD, Craig SL, Geske RS, Li X, Nye R: Adrenal teratoma in four domestic ferrets (Mustela putorius furo). Vet Pathol 2001; 38(3):328-331. [PubMed] ] y todos los casos publicados hasta la fecha de este artículo fueron diagnosticados post mortem, tras la eutanasia humanitaria de los pacientes.

En el presente artículo se describe la presentación clínica, el protocolo diagnóstico y el tratamiento quirúrgico de un teratoma en una hurona de 11 meses de edad.

Caso clínico

Se visitó en consulta un hurón hembra, no esterilizada, de 11 meses de edad, debido a que los propietarios habían detectado a la palpación una masa en abdomen y el animal mostraba dificultad en la defecación. Según ellos, la masa presentó un crecimiento muy rápido. El paciente estaba vacunado correctamente frente a moquillo y rabia.

En la exploración el animal se mostraba alerta y presentaba un buen estado corporal. La palpación abdominal reveló la presencia de una masa en abdomen medio, lateralizada hacia la izquierda, de consistencia sólida e irregular. El resto del examen resultó normal.

Se realizaron radiografías de abdomen, lateral y ventrodorsal (Fig. 1). En ambas proyecciones fue evidente la presencia de una masa que ocupaba prácticamente la totalidad del abdomen, lateralizada levemente hacia la izquierda. Dicha masa presentaba una opacidad tejido blando, con pequeñas áreas mineralizadas. Asimismo, existía una cantidad moderada de gas en asas intestinales.

<p>Radiografías de abdomen. (A) Proyección laterolateral. (B) Proyección ventrodorsal. Se observa la presencia de una masa (flechas negras) ocupando el abdomen casi en su totalidad y lateralizada hacia la izquierda. Se aprecian zonas de opacidad hueso (flechas rojas) en el interior de la masa. En intestino se observan zonas de opacidad gas (flechas amarillas).</p>
Figura 1

Radiografías de abdomen. (A) Proyección laterolateral. (B) Proyección ventrodorsal. Se observa la presencia de una masa (flechas negras) ocupando el abdomen casi en su totalidad y lateralizada hacia la izquierda. Se aprecian zonas de opacidad hueso (flechas rojas) en el interior de la masa. En intestino se observan zonas de opacidad gas (flechas amarillas).

Se procedió a la realización de un estudio ecográfico abdominal. Se observó la presencia de una masa de 4,2 x 6,1 cm de estructura heterogénea y un patrón de ecogenicidad mixto, rodeada por una cápsula, que envolvía el riñón izquierdo (Fig. 2). Este último se encontraba comprimido por la masa, aunque presentaba una estructura aparentemente normal salvo por la presencia de leve edema subcapsular. La zona craneal de la masa mostraba un parénquima hipoecoico sugestivo de contener líquido, dividido en varios compartimentos (Fig. 2C). Aunque el tamaño de la masa dificultaba el examen ecográfico, no se observaron alteraciones en el resto del abdomen.

<p>Imágenes de ecografía abdominal. (A) Se observa una masa de ecotextura heterogénea, bordes irregulares, sin aparente órgano-dependencia. Muestra zonas hiperecogénicas (flecha roja) de distribución aleatoria por el parénquima. Se aprecian, además, zonas hipoecoicas compatibles con contenido líquido (flechas amarillas). (B) Se aprecia el riñón izquierdo comprimido por la masa, y rodeado por la cápsula de la misma. Se puede observar edema subcapsular del riñón. (C) La zona craneal de la masa muestra un parénquima hipoecoico heterogéneo, sugestivo de consistencia líquida (zona superior), dividido en compartimentos por posible tejido fibroso. Se observan zonas que proyectan sombra acústica (flechas rojas) compatibles con calcificaciones.</p>
Figura 2

Imágenes de ecografía abdominal. (A) Se observa una masa de ecotextura heterogénea, bordes irregulares, sin aparente órgano-dependencia. Muestra zonas hiperecogénicas (flecha roja) de distribución aleatoria por el parénquima. Se aprecian, además, zonas hipoecoicas compatibles con contenido líquido (flechas amarillas). (B) Se aprecia el riñón izquierdo comprimido por la masa, y rodeado por la cápsula de la misma. Se puede observar edema subcapsular del riñón. (C) La zona craneal de la masa muestra un parénquima hipoecoico heterogéneo, sugestivo de consistencia líquida (zona superior), dividido en compartimentos por posible tejido fibroso. Se observan zonas que proyectan sombra acústica (flechas rojas) compatibles con calcificaciones.

Se realizó una analítica sanguínea completa (bioquímica y hemograma) que mostró leucocitosis (9,8, valores de referencia 3,5-8,6 x 103/mm3) granulocítica (7,3, valor de referencia 1,2-4,1 x 103/mm3) leve. El resto de parámetros bioquímicos y hematológicos resultaron dentro de rangos normales.

Dentro del diagnóstico diferencial de la masa abdominal se incluyó neoplasia (ovárica, renal, adrenal), procesos inflamatorios/infecciosos (granuloma) y gestación ectópica (entre otros).

Se recomendó a los propietarios la realización de pruebas de imagen avanzada (tomografía computarizada, resonancia magnética) para determinar el origen de la masa y posibles adherencias con órganos adyacentes. Los propietarios declinaron esta opción por motivos económicos.

Se decidió realizar laparotomía exploratoria para extirpación de la masa. El protocolo anestésico consistió en premedicación con combinación de midazolam (Midazolam, B.Braun Medical SA; Barcelona) 0,5 mg/kg y buprenorfina (Buprenodale, Dechra; Barcelona) 0,03 mg/kg IM. Para la inducción se empleó propofol (Propovet, Abott; Barcelona) 3 mg/kg IV, dosis efecto. Se procedió a la intubación endotraqueal y se mantuvo la anestesia con isoflurano (Isoflo, Esteve; Barcelona) al 1,5 % en oxígeno. En la exploración de la cavidad abdominal se observó que la masa estaba situada craneal e íntimamente ligada a ovario izquierdo. Debido a que la masa mostraba contenido de consistencia compatible con líquido en el examen ecográfico, se decidió no abrir la cápsula para liberar el riñón. Se diseccionó y se realizó la extirpación de la misma, así como nefrectomía de manera conjunta. Se decidió realizar ovariohisterectomía para facilitar la extirpación de la masa. Una vez retirada la masa se exploró el resto de abdomen. Los nódulos linfáticos regionales presentaban morfología y tamaño normales. No se observó ninguna otra alteración a nivel abdominal. Se procedió al cierre convencional de la cavidad abdominal. El animal se recuperó sin complicaciones del proceso quirúrgico y se mantuvo hospitalizado. A las 24 horas la paciente estaba estable y comía por sí sola. Se dio el alta ambulatoria con tratamiento médico consistente en marbofloxacino (Marfloquin, Virbac; Barcelona) 5 mg/kg PO q24h, meloxicam (Meloxidyl, Ceva; Libourne) 0,1 mg/kg PO q24h y tramadol (Tramadol Asta Medica gotas EFG, Meda; Madrid) 4 mg/kg PO q6h. Al día siguiente los propietarios comunicaron el fallecimiento del animal sin haber observado signos clínicos previos. No se autorizó la realización de necropsia.

Tras la cirugía, se procedió a la disección de la masa extirpada (Fig. 3A). Al abrir la cápsula que la envolvía, se liberó un líquido denso de coloración amarillenta que dejó ver dos zonas muy diferenciadas en su interior (Fig. 3B). Caudalmente se encontraba el riñón izquierdo, con apariencia externa e interna normales, pero con un tamaño menor al normal. Cranealmente a éste se localizaba una estructura desorganizada con diferentes tejidos, en la cual pudo determinarse la presencia de hueso, cartílago y pelo (Fig. 3C).

<p>(A) Imagen macroscópica de la masa extirpada con la cápsula. (B) Imagen macroscópica de la masa una vez decapsulada. Se observa caudalmente el riñón izquierdo (con morfología normal, pero menor tamaño) y cranealmente la estructura desorganizada que componía la neoplasia. Como se puede observar en la imagen, el ovario izquierdo estaba íntimamente ligado a la cápsula del tumor. (C) Se pueden observar zonas con presencia de pelo (flecha negra), tejido articular (flechas rojas) y hueso (flecha amarilla).</p>
Figura 3

(A) Imagen macroscópica de la masa extirpada con la cápsula. (B) Imagen macroscópica de la masa una vez decapsulada. Se observa caudalmente el riñón izquierdo (con morfología normal, pero menor tamaño) y cranealmente la estructura desorganizada que componía la neoplasia. Como se puede observar en la imagen, el ovario izquierdo estaba íntimamente ligado a la cápsula del tumor. (C) Se pueden observar zonas con presencia de pelo (flecha negra), tejido articular (flechas rojas) y hueso (flecha amarilla).

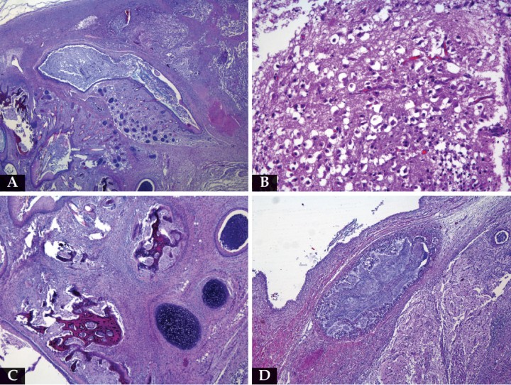
En el estudio histopatológico se observó una proliferación neoplásica multinodular que reemplazaba el 90 % del tejido glandular adrenal normal y que estaba constituida por un crecimiento densamente celular, mal delimitado y no encapsulado, compuesto por tejidos de las tres líneas celulares primordiales, dispuestos de forma aleatoria. Se observaron tejidos de origen ectodérmico como epidermis, glándulas sudoríparas, glándulas sebáceas, pelo, queratina (Fig. 4A) y tejido nervioso (Fig. 4B). También se identificaron tejidos de origen mesodérmico como haces de músculo liso, cartílago, hueso y fibras de colágeno (Fig. 4C). Por último, se observaron también tejidos de origen endodérmico (Fig. 4D) con múltiples cavidades quísticas tapizadas por epitelio pseudoestratificado columnar, con abundantes células caliciformes (epitelio respiratorio) y rellenas de material basofílico mucoso. Asimismo, también se observó epitelio transicional (epitelio urinario). Se diagnosticó un teratoma adrenal.

<p>Imágenes microscópicas. (A) Se puede observar que el tumor está constituido por tejido óseo (ángulo inferior izquierdo) y tejido cutáneo con abundantes acúmulos de queratina (área central), mientras que en los márgenes de la imagen se visualizan restos de tejido adrenal (HE x 2,5). (B) Se puede observar tejido nervioso. Se identifica un tejido muy desorganizado, constituido por neuronas y células gliales (HE x 20). (C) Algunas áreas del tumor están constituidas por tejido cartilaginoso y óseo (HE x 5). (D) En la parte central de la imagen se observa una estructura elipsoide con una luz central que aparece tapizada por epitelio simple cilíndrico con células caliciformes y que podría corresponder a intestino (HE x 5).</p>
Figura 4

Imágenes microscópicas. (A) Se puede observar que el tumor está constituido por tejido óseo (ángulo inferior izquierdo) y tejido cutáneo con abundantes acúmulos de queratina (área central), mientras que en los márgenes de la imagen se visualizan restos de tejido adrenal (HE x 2,5). (B) Se puede observar tejido nervioso. Se identifica un tejido muy desorganizado, constituido por neuronas y células gliales (HE x 20). (C) Algunas áreas del tumor están constituidas por tejido cartilaginoso y óseo (HE x 5). (D) En la parte central de la imagen se observa una estructura elipsoide con una luz central que aparece tapizada por epitelio simple cilíndrico con células caliciformes y que podría corresponder a intestino (HE x 5).

Discusión

Las neoplasias se consideran como uno de los principales motivos de consulta en hurones, junto con las endocrinopatías. Los adenomas o adenocarcinomas de glándulas adrenales, linfomas e insulinomas son las neoplasias más frecuentes, principalmente en hurones de entre 4 y 6 años.[ Williams BH, Weiss CA: Neoplasia. En Carpenter JW, Quesenberry KE (ed): Ferrets, Rabbits and Rodents: Clinical medicine and surgery, Missouri, Saunders, 91-106. , Schoemaker NJ: Ferrets: endocrine and neoplastic disease. En Keeble E, Meredith A (ed): BSAVA Manual of rodents and ferrets, Gloucester, 2009, 320-329. ] En hurones jóvenes las neoplasias son menos frecuentes, siendo el linfoma linfoblástico el principal tumor descrito.[ Williams BH, Weiss CA: Neoplasia. En Carpenter JW, Quesenberry KE (ed): Ferrets, Rabbits and Rodents: Clinical medicine and surgery, Missouri, Saunders, 91-106. , Schoemaker NJ: Ferrets: endocrine and neoplastic disease. En Keeble E, Meredith A (ed): BSAVA Manual of rodents and ferrets, Gloucester, 2009, 320-329. ]

Los teratomas son neoplasias de las células embrionarias, compuestos por múltiples tipos celulares o tejidos derivados de una o más de las tres líneas germinales. Se trata de neoplasias poco frecuentes, pero descritas en una gran variedad de especies incluyendo perros, gatos, roedores de laboratorio, conejos, ovejas, bueyes, aves, cerdos y primates.[ Williams BH, Yantis LD, Craig SL, Geske RS, Li X, Nye R: Adrenal teratoma in four domestic ferrets (Mustela putorius furo). Vet Pathol 2001; 38(3):328-331. [PubMed] ]

En humanos se describen dos tipos de teratomas, clasificados como inmaduros y maduros. La forma inmadura es la forma maligna y contiene estructuras indiferenciadas similares en composición al tejido embrionario. Suelen ser masas sólidas con cavidades quísticas. La forma madura es la forma benigna del tumor. Se compone principalmente de tejido maduro que se asemeja a tejidos provenientes de una o más líneas germinales embrionarias. Los teratomas más frecuentes encontrados en animales se corresponden con la forma madura y benigna.[ Williams BH, Yantis LD, Craig SL, Geske RS, Li X, Nye R: Adrenal teratoma in four domestic ferrets (Mustela putorius furo). Vet Pathol 2001; 38(3):328-331. [PubMed] ]

Existen pocas referencias bibliográficas de teratomas en hurones. Los artículos publicados describen un teratoma de origen ovárico,[ Rodríguez JL, Martín de las Mulas J, Espinosa de los Monteros A, Rodríguez F, Fernández A: Ovarian teratoma in a ferret (Mustela putorius furo): a morphological and inmunohistochemical study. J Zoo Wild Med 1994; 2:294-299. [JSTOR] ] uno con origen intramedular a nivel lumbosacro[ Keller DL, Schneider LK, Chamberlin T, Ellison M, Steiberg H: Intramedullary lumbosacral teratoma in a domestic ferret (Mustela putorius furo). J Vet Diagn Invest. 2012; 24(3):621-624. [ReserchGate] ] y cinco casos de teratomas adrenales.[ Williams BH, Yantis LD, Craig SL, Geske RS, Li X, Nye R: Adrenal teratoma in four domestic ferrets (Mustela putorius furo). Vet Pathol 2001; 38(3):328-331. [PubMed] , Oohashi E, Goyama T, Kobayashi Y: Retroperitoneal teratoma in a ferret. J Japan Vet Med Assoc 2013; 4:253-256. [J-Stage] ] Dentro de esta última localización, 4 de los teratomas se correspondían con la forma benigna o madura, mientras que el restante fue diagnosticado como la forma inmadura y se asoció a metástasis hepática. Este último animal presentaba teratoma adrenal bilateral.

El teratoma descrito en el presente artículo se correspondía con la forma madura o benigna del tumor. Pese a ello, el rápido crecimiento de este tipo de neoplasias y su capacidad para envolver y/o presionar órganos adyacentes puede desencadenar la aparición de signos clínicos asociados y agravar el pronóstico. En el caso descrito, el riñón izquierdo se hallaba envuelto por el teratoma y presentaba un tamaño menor al habitual. La presencia de infiltrado inflamatorio linfoplasmocitario en riñón se ha descrito en otros casos de teratoma adrenal.[ Williams BH, Yantis LD, Craig SL, Geske RS, Li X, Nye R: Adrenal teratoma in four domestic ferrets (Mustela putorius furo). Vet Pathol 2001; 38(3):328-331. [PubMed] , Oohashi E, Goyama T, Kobayashi Y: Retroperitoneal teratoma in a ferret. J Japan Vet Med Assoc 2013; 4:253-256. [J-Stage] ] Aun así, resulta difícil determinar la asociación directa de este infiltrado con la neoplasia.

De los siete casos de teratomas descritos en hurones, tres correspondían a pacientes menores de 18 meses,[ Williams BH, Yantis LD, Craig SL, Geske RS, Li X, Nye R: Adrenal teratoma in four domestic ferrets (Mustela putorius furo). Vet Pathol 2001; 38(3):328-331. [PubMed] , Keller DL, Schneider LK, Chamberlin T, Ellison M, Steiberg H: Intramedullary lumbosacral teratoma in a domestic ferret (Mustela putorius furo). J Vet Diagn Invest. 2012; 24(3):621-624. [ReserchGate] ] como ocurre en el caso de la hurona de este caso clínico. Aunque las neoplasias en hurones jóvenes son infrecuentes, debería considerarse la posibilidad de aparición de este tipo de tumores.

Las patologías asociadas a las glándulas adrenales son frecuentes en hurones, siendo las neoplasias adrenocorticales el segundo tumor más frecuente.[ Williams BH, Weiss CA: Neoplasia. En Carpenter JW, Quesenberry KE (ed): Ferrets, Rabbits and Rodents: Clinical medicine and surgery, Missouri, Saunders, 91-106. , Schoemaker NJ: Ferrets: endocrine and neoplastic disease. En Keeble E, Meredith A (ed): BSAVA Manual of rodents and ferrets, Gloucester, 2009, 320-329. , Williams BH, Yantis LD, Craig SL, Geske RS, Li X, Nye R: Adrenal teratoma in four domestic ferrets (Mustela putorius furo). Vet Pathol 2001; 38(3):328-331. [PubMed] ] Este tipo de neoplasias provocan principalmente un aumento de la producción de hormonas sexuales, lo cual da lugar a patologías de tipo dermatológico, reproductivo y comportamental, entre otros. En el caso de los teratomas adrenales, puesto que la neoplasia reemplaza el tejido glandular normal, no es esperable que presenten signos clínicos asociados a la producción de estrógenos. La paciente del caso descrito, del mismo modo que el resto de hurones de las referencias publicadas, no presentaba signos de enfermedad adrenocortical.

Debido al rápido crecimiento descrito en este tipo de neoplasias, un diagnóstico precoz puede facilitar enormemente la extirpación quirúrgica y mejorar así el pronóstico. Sólo uno de los casos descritos en hurones revela la incidencia de metástasis asociada a teratomas.[ Williams BH, Yantis LD, Craig SL, Geske RS, Li X, Nye R: Adrenal teratoma in four domestic ferrets (Mustela putorius furo). Vet Pathol 2001; 38(3):328-331. [PubMed] ] Por lo tanto, una extirpación completa del tumor podría suponer a priori la resolución de la enfermedad.

Los casos publicados de teratomas en hurones describen la presencia de hueso en el interior del tumor.[ Williams BH, Yantis LD, Craig SL, Geske RS, Li X, Nye R: Adrenal teratoma in four domestic ferrets (Mustela putorius furo). Vet Pathol 2001; 38(3):328-331. [PubMed] , Rodríguez JL, Martín de las Mulas J, Espinosa de los Monteros A, Rodríguez F, Fernández A: Ovarian teratoma in a ferret (Mustela putorius furo): a morphological and inmunohistochemical study. J Zoo Wild Med 1994; 2:294-299. [JSTOR] , Keller DL, Schneider LK, Chamberlin T, Ellison M, Steiberg H: Intramedullary lumbosacral teratoma in a domestic ferret (Mustela putorius furo). J Vet Diagn Invest. 2012; 24(3):621-624. [ReserchGate] , Oohashi E, Goyama T, Kobayashi Y: Retroperitoneal teratoma in a ferret. J Japan Vet Med Assoc 2013; 4:253-256. [J-Stage] ] Por consiguiente, los teratomas deberían incluirse en el diagnóstico diferencial de masas abdominales de crecimiento rápido, principalmente si hay evidencias de presencia de calcificaciones o zonas de opacidad hueso en los resultados de las pruebas de imagen.

 

Fuente de financiación: este trabajo no se realizó con fondos comerciales, públicos o del sector privado.

Conflicto de intereses: los autores declaran que no existe conflicto de intereses.

Bibliografía

  1. [1] Williams BH, Weiss CA: Neoplasia. En Carpenter JW, Quesenberry KE (ed): Ferrets, Rabbits and Rodents: Clinical medicine and surgery, Missouri, Saunders, 91-106.
  2. [2] Schoemaker NJ: Ferrets: endocrine and neoplastic disease. En Keeble E, Meredith A (ed): BSAVA Manual of rodents and ferrets, Gloucester, 2009, 320-329.
  3. [3] Williams BH, Yantis LD, Craig SL, Geske RS, Li X, Nye R: Adrenal teratoma in four domestic ferrets (Mustela putorius furo). Vet Pathol 2001; 38(3):328-331. [PubMed]
  4. [4] Rodríguez JL, Martín de las Mulas J, Espinosa de los Monteros A, Rodríguez F, Fernández A: Ovarian teratoma in a ferret (Mustela putorius furo): a morphological and inmunohistochemical study. J Zoo Wild Med 1994; 2:294-299. [JSTOR]
  5. [5] Keller DL, Schneider LK, Chamberlin T, Ellison M, Steiberg H: Intramedullary lumbosacral teratoma in a domestic ferret (Mustela putorius furo). J Vet Diagn Invest. 2012; 24(3):621-624. [ReserchGate]
  6. [6] Oohashi E, Goyama T, Kobayashi Y: Retroperitoneal teratoma in a ferret. J Japan Vet Med Assoc 2013; 4:253-256. [J-Stage]

Artículos recomendados

Estas recomendaciones se ofrecen de forma automática.

  • Pseudoaneurisma venoso de presunto origen yatrogénico causado al realizar una biopsia ósea

    F. Osorio, L. Feo, J. Puig
    Clin Vet Peq Anim Vol. 45 - Nº 1 · MAR 2025 · Artículo original referido a un solo caso clínico
  • Interpretación de las alteraciones del proteinograma en trece hurones (Mustela putorius furo)

    O. Miñana-Morant, A. Moya-Vázquez
    Clin Vet Peq Anim Vol. 42 - Nº 1 · MAR 2022 · Artículo original referido a múltiples casos clínicos
  • Mesotelioma peritoneal en una rata (Rattus norvegicus) mascota

    R. Domingo, J. Jiménez, C. Moragas
    Clin Vet Peq Anim Vol. 39 - Nº 2 · JUN 2019 · Artículo original referido a un solo caso clínico
  • Inicio
  • Introducción
  • Caso clínico
  • Discusión
  • Bibliografía
Artículo anterior Índice de la revista Artículo siguiente
ANUNCIO
Próximos cursos ATVs Elearning
Índice
Inicio Introducción Caso clínico Discusión Bibliografía
Dechra - DuOtic
ANUNCIO

¿No eres socio de AVEPA y quieres recibir comunicación de las nuevas ediciones en tu correo?

Suscríbete

Suscríbete y te avisaremos cuando publiquemos un nuevo número

Suscribirme

Enlaces rápidos

  • Inicio
  • Último número
  • Archivo
  • Artículos

Información

  • Comité editorial
  • Política de cookies
  • Política de privacidad
  • Términos y condiciones

Contacto

  • info@imaginice.com
  • Envíanos tu artículo
© 2026 Ice Salud Vet SL. Todos los derechos reservados.

Usamos cookies para mejorar tu experiencia. Selecciona cuáles aceptas: