Logo AVEPA

Clínica Veterinaria de Pequeños Animales

Revista oficial de AVEPA

  • Inicio
  • Último número
  • Archivo
  • Artículos
  • Para autores
  • Contacto
Cursos Junio-Septiembre 2026
ANUNCIO

Clínica Veterinaria de Pequeños Animales

Revista oficial de AVEPA

  • Inicio
  • Último número
  • Archivo
  • Artículos
  • Para autores
  • Contacto
Curso Oftalmología 2026
ANUNCIO
Clin Vet Peq Anim Vol. 38 • Nº 1 • marzo 2018

Caso clínico de Oftalmología

Caso Clínico de...

M. Martínez

Hospital Clínico Veterinario FUVEUM. Universidad de Murcia (UM). Campus de Espinardo. Murcia.

Otros artículos de M. Martínez:
  • Síndrome de dilatación-vólvulo gástrico (DVG)
    Clin Vet Peq Anim Vol. 36 • Nº 3 • septiembre 2016

E. Giménez

Hospital Clínico Veterinario. Campus de Espinardo, edificio número 16, 30100, Murcia.

Otros artículos de E. Giménez:
  • ¿Cuál es tu diagnóstico?

    Clin Vet Peq Anim Vol. 37 • Nº 3 • septiembre 2017

J. Cerón

Hospital Clínico Veterinario. Campus de Espinardo, edificio número 16, 30100, Murcia.

C. Naranjo

IDEXX Laboratorios. c/ Plom 2, 08038 Barcelona.

J.D. García-Martínez

Hospital Clínico Veterinario. Campus de Espinardo, edificio número 16, 30100, Murcia.

A. Bayón

Hospital Clínico Veterinario. Campus de Espinardo, edificio número 16, 30100, Murcia.

Contacto: eva.gimenez@um.es
Descargar artículo

Historia

Se remite al servicio de oftalmología un paciente canino, podenco, macho de año y medio y diez kilos de peso, por ceguera bilateral desde hace varias semanas. El animal se encuentra correctamente vacunado y desparasitado. En la anamnesis el dueño comenta que el animal se encuentra apático desde hace varias semanas, con anorexia y vómito intermitente. El examen físico reveló mucosas rosadas con un relleno capilar menor de dos segundos, pulso regular y fuerte, taquicardia, deshidratación del 6 % y temperatura de 37 ºC. A la palpación del abdomen se puso de manifiesto una masa de un tamaño de 5-6 cm, de consistencia rugosa y con dolor a la palpación. En el examen neurológico el animal presentaba tetraparesia.

En el examen oftalmológico a distancia se observó una leve protrusión de la membrana nictitante en ambos ojos (OU) y midriasis bilateral. En el examen neurooftalmológico, tanto la respuesta de amenaza y el reflejo de deslumbramiento (dazzle), como el reflejo pupilar directo (RP) e indirecto (RPI) fueron negativos en ambos ojos. El test de Schirmer I (Schirmer Tear Test Strips®, Eickemeyer, Tuttlingen) mostró unos valores de 10 mm/min en ojo derecho (OD) y de 6 mm/min en ojo izquierdo (OS), y la tonometría por aplanamiento (Tonopen XL, Mentor Medical Systems, Madrid) fue de 12 mmHg OU.

En la exploración mediante lámpara de hendidura (Topcon SL-7F, Tokio) se puso de manifiesto hiperemia conjuntival y midriasis en OU, siendo el resto de la exploración del segmento anterior normal (Fig. 1). Asimismo, se realizó un examen oftalmoscópico (Figs. 2A, 2B y 2C).

<p>Exploración a distancia del paciente donde podemos valorar una leve protrusión de ambas membranas nictitantes y midriasis bilateral.</p>
Figura 1

Exploración a distancia del paciente donde podemos valorar una leve protrusión de ambas membranas nictitantes y midriasis bilateral.

<p>(A) Exploración mediante oftalmoscopia directa OD. (B) Exploración mediante oftalmoscopia directa OS. (C) Detalle del OD.</p>
Figura 2

(A) Exploración mediante oftalmoscopia directa OD. (B) Exploración mediante oftalmoscopia directa OS. (C) Detalle del OD.

En función del examen neurooftalmológico y los hallazgos en el polo anterior, ¿dónde se localiza la lesión y cuál es la etiopatogenia más probable?

Cuando se valora el examen neurooftalmológico, se deben tener en cuenta las diferentes vías que participan en el reflejo pupilar (RP), en el de deslumbramiento y la respuesta a la amenaza. Los RP están presentes tras la apertura de los párpados, unos 10-16 días tras el nacimiento, aunque no responden como en un ojo adulto hasta que la retina está madura (aproximadamente a los 28 días de vida). Al ser un reflejo subcortical, pueden ser normales en animales sin visión. Su vía aferente se corresponde con el II par craneal (nervio óptico) y transcurre hasta cruzar el quiasma y sinaptar con las neuronas localizadas en el núcleo pretectal (PTN), cuyos núcleos se localizan en la zona de transición entre el diencéfalo y tronco encefálico. Los axones procedentes del PTN alcanzan los núcleos parasimpáticos derecho e izquierdo del par craneal III, siendo el nervio oculomotor la vía eferente. En los RP hay que tener en cuenta la decusación, una de ellas a nivel del quiasma óptico (75 % en el perro) y otra más adelante, a la salida del núcleo pretectal; por ello, la contracción pupilar directa es mayor que la indirecta en el caso de los perros.

El reflejo de deslumbramiento (dazzle) es muy útil en caso de no poder valorarse los RP debido a edemas corneales severos o hifemas. Al incidir con un foco de luz, se desencadena un rápido reflejo de parpadeo de origen subcortical, donde la vía aferente se corresponde con el nervio óptico y la eferente con el VII par craneal (nervio facial).

La respuesta de amenaza aparece sobre las 4 semanas de vida en los cachorros. Su vía aferente se corresponde con el nervio óptico y tras transcurrir por el quiasma, tracto óptico, núcleo geniculado lateral y radiaciones ópticas alcanza el córtex occipital, en donde tiene lugar la integración e interpretación. Se genera la respuesta motora llevada a cabo por el nervio facial, el cual transmite la señal eferente a los músculos del párpado.[ Webb AA y Cullen CL. Neuro-ophthalmology. En Gelatt KN, Gilger BC and Kern TJ (ed): Veterinary Ophthalmology, Iowa, Wiley-Blackwell, 2013; 1820-1896. ]

Una vez repasadas las diferentes vías se debe formular un diagnóstico diferencial. En este caso, la ausencia de RP, dazzle y amenaza fue bilateral y el tiempo de aparición de los signos clínicos fue de forma aguda (varias semanas). En la Figura 3 se valora la etiología de las alteraciones neurológicas en función de la evolución de los signos clínicos y el tiempo transcurrido; en nuestro caso los procesos inflamatorios, nutricionales y degenerativos son de mayor probabilidad, debido a la progresión de los signos clínicos desde su inicio. Según los resultados del examen neurooftalmológico, la localización de la lesión es amplia y podría situarse a nivel ocular, donde estaría afectada la retina y cabeza del nervio óptico, o puede tratarse de un proceso que involucre estructuras postretinales, como el quiasma y córtex occipital.

<p>Progresión de los signos clínicos a lo largo del tiempo en función de la causa de la alteración neurológica (fuente: Imagen Platt & Olby 2004).</p>
Figura 3

Progresión de los signos clínicos a lo largo del tiempo en función de la causa de la alteración neurológica (fuente: Imagen Platt & Olby 2004).

El examen oftalmoscópico muestra unas lesiones en ambas retinas (Figs. 4A, 4B y 4C). ¿Cómo las describirías y cuál sería el plan diagnóstico?

<p>Mismas imágenes que la figura 2. (A) Exploración mediante oftalmoscopia directa OD. Se observa desprendimiento de retina por acúmulo de exudado (asterisco) y lesiones multifocales en la zona tapetal (flecha). (B) Exploración mediante oftalmoscopia directa OS. En la zona tapetal se observan lesiones hiporreflectivas debido al exudado activo (flecha). (C) Detalle del OD, en el que el nervio óptico muestra signos de inflamación.</p>
Figura 4

Mismas imágenes que la figura 2. (A) Exploración mediante oftalmoscopia directa OD. Se observa desprendimiento de retina por acúmulo de exudado (asterisco) y lesiones multifocales en la zona tapetal (flecha). (B) Exploración mediante oftalmoscopia directa OS. En la zona tapetal se observan lesiones hiporreflectivas debido al exudado activo (flecha). (C) Detalle del OD, en el que el nervio óptico muestra signos de inflamación.

La Figura 4A se corresponde con OD del animal y se puede observar, en la zona tapetal, unas áreas redondeadas hiporreflectivas que se corresponden con granulomas subretinales multifocales y, en la zona medial, una elevación de la retina compatible con un desprendimiento parcial exudativo. En la Figura 4B, que se corresponde con OS, se observan zonas rodeadas de un halo hiporreflectivo debido al exudado activo. En la Figura 4C se observa la cabeza del nervio óptico, la cual manifiesta signos de inflamación al adquirir forma redondeada y por la elevación de los vasos retinianos a su paso por ella.

Los signos de lesiones observadas en las imágenes se corresponden con una coriorretinitis y neuritis óptica, tal como se había discutido en el apartado anterior. Debido a la edad del animal y a las alteraciones sistémicas, la causa infecciosa es la principal sospecha, en donde se deben distinguir procesos víricos (moquillo canino, herpesvirus), bacterianos (Leptospira spp., Brucella spp.), micóticos (blastomicosis, aspergilosis, histoplasmosis, criptococosis, coccidiomicosis), algas (Prototheca spp.), protozoos (toxoplasmosis, leishmaniosis, neosporosis) y por picadura de garrapata (ehrlichiosis canina).[ Narfström K y Petersen-Jones SM. Diseases of the Canine Ocular Fundus. En Gelatt KN, Gilger BC and Kern TJ (ed): Veterinary Ophthalmology, Iowa, Wiley-Blackwell, 2013; 1820-1896. ] En este caso, las imágenes de la oftalmoscopia son compatibles con una coriorretinitis secundaria a un proceso micótico, siendo criptococosis, blastomicosis y coccidioidomicosis los principales hongos dentro de nuestro diagnóstico diferencial.

¿Qué pruebas complementarias realizarías en este caso?

Además de la realización de la hematología y la bioquímica, junto con pruebas de imagen, en este caso se recomendaría realizar vitreocentesis por sospecha de un proceso infeccioso agudo en el polo posterior.

Los resultados de la analítica de sangre mostraron una leucocitosis marcada (32,72 x 103/mm3, valores de referencia: 5,20-14) y un aumento de las proteínas de fase aguda (CRP 67 μg/ml, valores de referencia >12; ferritina 538 μg/l, valores de referencia: 60-190), resultado compatible con un proceso de inflamación activa e infeccioso. En la ecografía abdominal se visualizaron, a nivel retroperitoneal, numerosos nódulos hipoecogénicos de ecotextura heterogénea y de diferentes tamaños. Los nódulos linfáticos ilíacos mediales se observaron aumentados de tamaño, pero manteniendo el ratio eje corto-eje largo dentro de los valores normales. En abdomen medio se apreció una masa de gran tamaño (6 x 5 cm), hipoecogénica, de ecotextura heterogénea y bordes mal definidos y el tejido de alrededor se encontraba hiperecogénico siendo compatible, por la localización, con los nódulos linfáticos yeyunales. Además, distribuidas por toda la serosa parietal (pared abdominal, principalmente), se visualizaron pequeñas masas hipoecogénicas, delimitadas por áreas hiperecogénicas. Los hallazgos ecográficos eran compatibles con granulomas fúngicos (criptococomas), peritonitis encapsulante esclerosante y, menos probable, con neoplasia (metastásica). La linfadenopatía abdominal generalizada era compatible con un proceso reactivo o metastásico. También se realizaron radiografías de la cavidad torácica, que no revelaron ninguna alteración.

La vitreocentesis requiere de experiencia y sólo se debería realizar si no se ha podido confirmar el diagnóstico con otros aspirados y citologías a nivel de otras estructuras.[ Krohne SH. Canine systemic fungal infections. En Stiles J (ed): The Veterinary Clinics of North America. Small Animal Practice, Philadelphia, WB Saunders, 2000; 1063-1090. ] Para realizar la vitreocentesis se debe usar una aguja de 26 G e introducirla a unos 5-7 mm por detrás del limbo, aspirar de 0,1 a 0,3 ml y reponer el volumen con suero salino balanceado o Ringer Lactato. Las diferentes pruebas que se pueden realizar al aspirado son, entre otras, citologías, PCR y cultivos, siendo las citologías positivas en el 75 % de los casos de los animales con criptococosis.[ Taboada J. Systemic mycoses. En Ettinger SJ, Feldman EC (ed): Textbook of Veterinary Internal Medicina, ed 5, Philadelphia, WB. Saunders, 2000; 453-476. ] También se recomienda realizar dichas pruebas analíticas en líquido cefalorraquídeo (LCR) en caso de que el animal presente síntomas neurológicos.

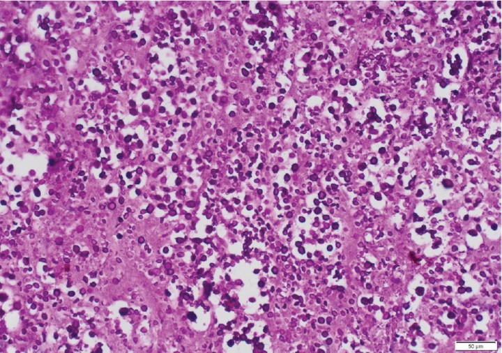
En este caso se anestesió al animal para la extracción de LCR, del cual se realizó cultivo y citología del vítreo aspirado mediante vitreocentesis. La Figura 5 se corresponde con la citología del vítreo, donde se puede observar unos organismos redondeados, rodeados por una cápsula gruesa, que se corresponden con Cryptococcus spp. y no con Blastomyces spp., pues estos últimos carecen de ella.[ Lester SJ, Malik R, Bartlett KH, Duncan CG. Cryptococcosis: update and emergence of Cryptococcus gattii. Vet Clin Pathol 2011; 40(1): 4-17. [PubMed] ] El resultado del cultivo del LCR fue de C. neoformans.

<div class=\"Basic-Text-Frame\">
<p>Citología (x100) del vítreo aspirado mediante vitreocentesis en la que se puede identificar <em>Cryptococcus</em> spp (flecha).</p>
</div>
Figura 5

Citología (x100) del vítreo aspirado mediante vitreocentesis en la que se puede identificar Cryptococcus spp (flecha).

¿Qué tratamiento instaurarías?

En este caso, como tratamiento específico se utilizó itraconazol (Itrafungol®, Norvet, Barcelona) a una dosis de 5 mg/kg/12 horas vía oral (PO). La terapia de soporte consistió en fluidoterapia (Ringer Lactato®, Braun, Barcelona) a un ritmo de 40 ml/hora, pantoprazol a una dosis de 0,7 mg/kg (Anagastra®, Takeda, Madrid), maropitant a una dosis de 1 mg/kg (Cerenia®, Zoetis, Madrid) y meloxicam a una dosis de 0,2 mg/kg (Metacam®, Boehringer Ingelheim, Barcelona) por vía intravenosa, además de acetato de prednisolona (Pred-Forte®, Allergan, Madrid) y ketorolaco (Acular®, Allergan, Madrid) tópicos.

Tras 3 días hospitalizado el animal no mejoró y los dueños decidieron realizar la eutanasia, tras la cual se realizó el estudio histopatológico del globo ocular, en el que se observaron numerosas formas fúngicas en levadura entre 15 y 30 micras a nivel de la coroides, que se extendían hacia el espacio subretiniano y se infiltraban también en la retina adyacente (Fig. 6).

<p>Tinción PAS (x100) de la coroides, en la que <em>Cryptococcus</em> spp. adquiere un tono magenta al entrar en contacto el colorante con la cápsula de este.</p>
Figura 6

Tinción PAS (x100) de la coroides, en la que Cryptococcus spp. adquiere un tono magenta al entrar en contacto el colorante con la cápsula de este.

Discusión

La criptococosis es una enfermedad micótica de distribución mundial, que afecta tanto a animales como a personas, causada por una levadura encapsulada del género Cryptococcus y que muestra predilección por el sistema nervioso y respiratorio. Aunque se conocen 37 especies de Cryptococcus a nivel mundial, C. neoformans y C. gattii son las que originan la mayoría de las infecciones en perros.[ Lester SJ, Malik R, Bartlett KH, Duncan CG. Cryptococcosis: update and emergence of Cryptococcus gattii. Vet Clin Pathol 2011; 40(1): 4-17. [PubMed] ] En gatos, la localización principal es a nivel nasal o cutáneo, mientras que en los perros se describe una mayor diseminación sistémica. C. neoformans se localiza en América del Sur y Europa, mientras que C. gattii está ganando importancia en América del Norte. El principal nicho para C. neoformans son las poblaciones de palomas, ya que sus heces contienen sustancias ricas en nitrógeno que favorecen el crecimiento del hongo, junto con un clima cálido (termotolerancia hasta 37 ºC). Nuestro caso fue diagnosticado de C. neoformans y, aunque en la anamnesis el dueño no comentó que el animal tuviera un contacto directo con palomas, sí que el paciente se usa para la caza y vive en un clima cálido y semiárido, clasificado como subtropical estepario. El ciclo de este organismo es asexual y sexual, lo que le permite adaptarse a los cambios de las condiciones ambientales y, además, presenta una cápsula de polisacáridos que le permite protegerse frente a la inmunidad sistémica del hospedador, ya que es antifagocítica e inhibe la respuesta inflamatoria del animal.[ref=6 ]

En la mayoría de los casos afecta a animales jóvenes, menores de 6 años, y no hay predisposición sexual, pero se ha visto en América del Norte que el American Cocker Spaniel y, en Australia, el Pastor Alemán y Doberman Pinscher, presentan mayor predisposición que otras razas, a diferencia de Europa donde no existen datos. En nuestro caso el animal, de año y medio, entra dentro del rango de edad. Los signos clínicos dependen de los órganos o sistemas afectados entre los que destacan el sistema nervioso central (SNC), los ojos, el tracto gastrointestinal, el miocardio, las glándulas adrenales y el páncreas, y se ha observado que un 80 % de casos con la enfermedad diseminada presenta fundamentalmente alteraciones en el SNC.[ Berthelin CF, Bailey CS, Kass PH et al. Cryptococcus of the nervous system in dogs, part 1: epidemiologic, clinical and neuropathologic features. Prog Vet Neurol 1994; 5: 88-97. ] Los síntomas neurológicos tienen lugar debido a la meningitis o meningoencefalitis que se origina al alcanzar dicho organismo el SNC por vía hematógena o a través de la lámina cribosa hasta el bulbo olfatorio. Otros signos clínicos menos específicos en animales con diseminación sistémica son depresión y anorexia, siendo la fiebre menos común. Las lesiones oculares aparecen en el 20 % al 40 % de los casos, e incluyen neuritis óptica y coriorretinitis multifocal granulomatosa o piogranulomatosa, además de otras menos frecuentes como uveítis, edema corneal, hifema y masas retrobulbares.[ Vorathavorn VI, Sykes JE and Feldman DG. Cryptococcosis as an emerging systemic micosis in dogs. J Vet Emerg Crit Care 2013; 23(5): 489-497. [PubMed] ] En base a los signos clínicos nuestro paciente presentaba una diseminación sistémica, con afección del SNC, tracto gastrointestinal y ocular.

En el perro, en caso de diseminación sistémica, las pruebas a realizar son hemograma, bioquímica, urianálisis, radiografía de tórax y ecografía de abdomen que pueden ayudar a localizar las lesiones para la toma de muestras. En este caso se observó una leucocitosis con desviación a la izquierda que confirmó el proceso de inflamación activa discutido previamente. Los hallazgos ecográficos fueron compatibles con criptococomas, que son acúmulos de dicho microorganismo y que pueden confundirse con una neoplasia. En medicina humana, los pacientes inmunodeprimidos e infectados con C. gattii tienden a desarrollar criptococomas en el pulmón.[ Vorathavorn VI, Sykes JE and Feldman DG. Cryptococcosis as an emerging systemic micosis in dogs. J Vet Emerg Crit Care 2013; 23(5): 489-497. [PubMed] ]

El diagnóstico definitivo se realiza demostrando la presencia del microorganismo por citología, histología o cultivo para Cryptococcus spp. En este caso se realizó citología del vítreo, cultivo del LCR y, por último, histología post mortem del globo ocular. El estudio anatomopatológico mostró numerosas formas fúngicas en levadura entre 15 y 30 micras a nivel de la coroides, que se extendían hacia el espacio subretiniano y se infiltraban también en la retina adyacente. Dichos microorganismos se identificaban, asimismo, en las meninges del nervio óptico, mientras que la úvea anterior mantenía su morfología sin alteraciones. Se usó la tinción PAS para confirmar los microorganismos observados, con un resultado altamente positivo a dicha tinción que confirmó Cryptococcus spp. Esta tinción, al entrar en contacto con la cápsula del microorganismo, hace que este adquiera un tono magenta.

El tratamiento se basa en la administración de antifúngicos, concretamente de la familia de los azoles. El fluconazol es el azol de primera elección en animales con afección a nivel ocular y SNC, ya que presenta una mejor penetración a nivel del fluido cerebroespinal y, además, posee menos efectos tóxicos, ya que el 70 % se excreta por orina. La dosis es de 5 mg/kg/ PO o IV cada 12 horas y su coste es más elevado que el itraconazol. El itraconazol tiene una menor penetración al SNC, pero se ha usado de forma satisfactoria en animales con afección a nivel de la meninges y del globo ocular. Se sospecha que es debido a que el proceso inflamatorio compromete tanto la barrera hematoencefálica como la hematoocular, favoreciendo así la penetración del fármaco. La dosis recomendada del itraconazol es de 5 mg/kg /PO cada 12 o 24 horas y debe administrarse junto con la comida para una mejor absorción.[ Berthelin CF, Bailey CS, Kass PH et al. Cryptococcus of the nervous system in dogs, part 2: diagnosis, treatment, monitoring and prognosis. Prog Vet Neurol 1994; 5: 136-146. ]

El tratamiento ocular consiste en la utilización de antiinflamatorios sistémicos en caso de inflamación moderada o severa en polo posterior, y tópicos para el control de la inflamación del segmento anterior. Los agentes tópicos recomendados son dexametasona 0,1 % o acetato de prednisolona 1 %, además de atropina 1 %.[ Krohne SH. Canine systemic fungal infections. En Stiles J (ed): The Veterinary Clinics of North America. Small Animal Practice, Philadelphia, WB Saunders, 2000; 1063-1090. ] En este caso se usó un antiinflamatorio no esteroideo sistémico en vez de una terapia con glucocorticoides, ya que, aunque no es tan efectivo frente a la reacción celular inmunomediada que causa el desprendimiento de retina piogranulomatoso, evita la posible inmunosupresión que pueden generar los glucocorticoides favoreciendo la proliferación del microorganismo.

El pronóstico de esta enfermedad es reservado y variable, además de requerir tratamientos largos de al menos 6 meses. En un estudio en perros que presentaban afección del SNC, el tiempo medio de supervivencia desde el diagnóstico, a pesar del tratamiento antifúngico, fue de 12 días, viéndose una asociación entre el estado mental alterado y un peor pronóstico de la enfermedad.[ Sykes JE, Sturges BK, Cannon MS et al. Clinical signs, imaging features, neuropathology, and outcome in cats and dogs with central nervous system cryptococcosis from California. J Vet Intern Med 2010; 24(6): 1427-1438. [PubMed] ] En este caso, tras 3 días hospitalizado, el animal fue eutanasiado.

 

Fuente de financiación: este trabajo no se ha realizado con fondos comerciales, públicos o del sector privado.

Conflicto de intereses: los autores declaran que no existe conflicto de intereses en los datos publicados.

Bibliografía

  1. [1] Webb AA y Cullen CL. Neuro-ophthalmology. En Gelatt KN, Gilger BC and Kern TJ (ed): Veterinary Ophthalmology, Iowa, Wiley-Blackwell, 2013; 1820-1896.
  2. [2] Narfström K y Petersen-Jones SM. Diseases of the Canine Ocular Fundus. En Gelatt KN, Gilger BC and Kern TJ (ed): Veterinary Ophthalmology, Iowa, Wiley-Blackwell, 2013; 1820-1896.
  3. [3] Krohne SH. Canine systemic fungal infections. En Stiles J (ed): The Veterinary Clinics of North America. Small Animal Practice, Philadelphia, WB Saunders, 2000; 1063-1090.
  4. [4] Taboada J. Systemic mycoses. En Ettinger SJ, Feldman EC (ed): Textbook of Veterinary Internal Medicina, ed 5, Philadelphia, WB. Saunders, 2000; 453-476.
  5. [5] Lester SJ, Malik R, Bartlett KH, Duncan CG. Cryptococcosis: update and emergence of Cryptococcus gattii. Vet Clin Pathol 2011; 40(1): 4-17. [PubMed]
  6. [6] Buchanan KL, Murphy JW. What makes Cryptococcus neoformans a pathogen? Emerg Infect Dis 1998; 4(1): 71-83. [PubMed]
  7. [7] Berthelin CF, Bailey CS, Kass PH et al. Cryptococcus of the nervous system in dogs, part 1: epidemiologic, clinical and neuropathologic features. Prog Vet Neurol 1994; 5: 88-97.
  8. [8] Vorathavorn VI, Sykes JE and Feldman DG. Cryptococcosis as an emerging systemic micosis in dogs. J Vet Emerg Crit Care 2013; 23(5): 489-497. [PubMed]
  9. [9] Berthelin CF, Bailey CS, Kass PH et al. Cryptococcus of the nervous system in dogs, part 2: diagnosis, treatment, monitoring and prognosis. Prog Vet Neurol 1994; 5: 136-146.
  10. [10] Sykes JE, Sturges BK, Cannon MS et al. Clinical signs, imaging features, neuropathology, and outcome in cats and dogs with central nervous system cryptococcosis from California. J Vet Intern Med 2010; 24(6): 1427-1438. [PubMed]

Artículos recomendados

Estas recomendaciones se ofrecen de forma automática.

  • Caso clínico de… Urgencias

    I. Sunyer
    Clin Vet Peq Anim Vol. 45 - Nº 2 · JUN 2025 · Caso Clínico de...
  • ¿Cuál es tu diagnóstico?

    J. J. Camarasa, J. D. Carrillo, E. Giménez, et al.
    Clin Vet Peq Anim Vol. 37 - Nº 3 · SEP 2017 · ¿Cuál es tu diagnóstico?
  • Síndrome de dilatación-vólvulo gástrico (DVG)
    J. D. Carrillo, M. Escobar, M. Martínez, et al.
    Clin Vet Peq Anim Vol. 36 - Nº 3 · SEP 2016 · Artículos de Revisión
  • Inicio
  • Historia
  • En función del examen neurooftalmológico y los hallazgos en el polo anterior, ¿dónde se localiza la lesión y cuál es la etiopatogenia más probable?
  • El examen oftalmoscópico muestra unas lesiones en ambas retinas (Figs. 4A, 4B y 4C). ¿Cómo las describirías y cuál sería el plan diagnóstico?
  • ¿Qué pruebas complementarias realizarías en este caso?
  • ¿Qué tratamiento instaurarías?
  • Discusión
  • Bibliografía
Artículo anterior Índice de la revista Artículo siguiente
ANUNCIO
Próximos cursos ATVs Elearning
Índice
Inicio Historia En función del examen neurooftalmológico y los hallazgos en el polo anterior, ¿dónde se localiza la lesión y cuál es la etiopatogenia más probable? El examen oftalmoscópico muestra unas lesiones en ambas retinas (Figs. 4A, 4B y 4C). ¿Cómo las describirías y cuál sería el plan diagnóstico? ¿Qué pruebas complementarias realizarías en este caso? ¿Qué tratamiento instaurarías? Discusión Bibliografía
Flexadin Vetoquinol
ANUNCIO

¿No eres socio de AVEPA y quieres recibir comunicación de las nuevas ediciones en tu correo?

Suscríbete

Suscríbete y te avisaremos cuando publiquemos un nuevo número

Suscribirme

Enlaces rápidos

  • Inicio
  • Último número
  • Archivo
  • Artículos

Información

  • Comité editorial
  • Política de cookies
  • Política de privacidad
  • Términos y condiciones

Contacto

  • info@imaginice.com
  • Envíanos tu artículo
© 2026 Ice Salud Vet SL. Todos los derechos reservados.

Usamos cookies para mejorar tu experiencia. Selecciona cuáles aceptas: