Logo AVEPA

Clínica Veterinaria de Pequeños Animales

Revista oficial de AVEPA

  • Inicio
  • Último número
  • Archivo
  • Artículos
  • Para autores
  • Contacto
Cursos Junio-Septiembre 2026
ANUNCIO

Clínica Veterinaria de Pequeños Animales

Revista oficial de AVEPA

  • Inicio
  • Último número
  • Archivo
  • Artículos
  • Para autores
  • Contacto
Curso Oftalmología 2026
ANUNCIO
Clin Vet Peq Anim Vol. 42 • Nº 2 • junio 2022

Osteosarcoma intraocular asociado a glaucoma y uveítis crónicos en una cobaya (Cavia porcellus)

Intraocular Osteosarcoma Associated With Chronic Glaucoma and Uveitis in a Guinea Pig (Cavia porcellus)

Artículo original referido a un solo caso clínico

M. Ramos-Sánchez

Hispalvet Veterinarios. c/ José Luis Navarro 14. 41940 Tomares (Sevilla).

M.J. Gallinato-García

Hispalvet Veterinarios. c/ José Luis Navarro 14. 41940 Tomares (Sevilla).

A. Moya-Vázquez

Hispalvet Veterinarios. c/ José Luis Navarro 14. 41940 Tomares (Sevilla).

A. Ramis-Salvá

Departament de Sanitat i d´Anatomia Animals-Anatomia Patològica. Facultat de Veterinària. Universitat Autònoma de Barcelona. Edifici V, Travessera dels Turons. 08193 Bellaterra (Barcelona).

M. Guerrero-Campuzano

Clínica Veterinaria Petiberia. c/ Kanna 17. 28400 Collado Villalba (Madrid).

Contacto: myriamrasavet@gmail.com
Palabras clave: osteosarcoma intraocular, uveítis, cobaya, Cavia porcellus, hueso heterotópico, glaucoma.
Keywords: intraocular osteosarcoma, uveitis, guinea pig, Cavia porcellus, heterotopic bone, glaucoma.

Clin Vet Peq Anim 2022, 42 (2): 91-96

Descargar artículo

Resumen

Se visitó en consulta una cobaya, macho no castrado de 3 años de edad, debido a alteraciones en su ojo derecho de varios meses de evolución. La exploración oftalmológica evidenció, entre otras alteraciones, bulftalmia, formación de hueso heterotópico en cuerpos ciliares y glaucoma. La ecografía ocular reveló alteraciones compatibles con catarata hipermadura y dos estructuras en cámara anterior, una de ellas en la zona del ángulo iridocorneal, que dificultaba probablemente el drenaje del humor acuoso. Tras 22 meses de tratamiento médico sin control veterinario, el cuadro empeoró con una perforación en la esclera ventral y se procedió a la enucleación del globo ocular. El estudio histopatológico concluyó en un diagnóstico de osteosarcoma intraocular, con elevado poder invasivo. Tres meses más tarde, el paciente acudió a consulta con un cuadro de disnea aguda. Las radiografías de tórax mostraron una imagen compatible con metástasis pulmonar, y se procedió a la eutanasia humanitaria del animal. Las neoplasias intraoculares (principalmente sarcomas), y concretamente el osteosarcoma en presencia de hueso heterotópico, deben incluirse dentro del diagnóstico diferencial de enfermedad intraocular en cobayas. Como en otras especies, las inflamaciones intraoculares crónicas pueden inducir la aparición de este tipo de neoplasias.

Abstract

A 3-year-old guinea pig was presented with chronic right eye disease. The ophthalmologic examination showed buphthalmia, heterotopic bone formation in the ciliary bodies, and glaucoma. Ocular ultrasound demonstrated changes compatible with a hypermature cataract, and two structures located in the anterior chamber. One of these structures occupied the iridocorneal angle, and probably limited drainage of the aqueous humor. After 22 months of medical management without control of the disease, the right eye developed a perforation in the ventral sclera, and eyeball enucleation was performed. Histopathology concluded diagnosis of a high invasive intraocular osteosarcoma. Three months later, the patient was presented with an episode of acute dyspnoea. Thoracic X-rays findings were suggestive of pulmonary metastasis, and the animal was euthanized. Intraocular neoplasia (mainly sarcomas), and specifically osteosarcoma in the presence of heterotopic bone, should be included in the differential diagnosis of intraocular disease in guinea pigs. As in other species, chronic intraocular inflammation could induce the development of this type of neoplasm.

AVEPA Elearning

La presencia de este logo en un artículo de la revista indica que se publicará un examen sobre el mismo en la plataforma AVEPA Elearning. Su resolución aporta 0,15 créditos dentro del sistema de acreditaciones de especialidades veterinarias de AVEPA.

Introducción

Los sarcomas son neoplasias malignas derivadas de estructuras mesenquimales, en cuyo desarrollo se ha demostrado la implicación de procesos inflamatorios crónicos.[ Radons J: The role of inflammation in sarcoma. Adv Exp Med Biol 2014; 816: 259-313. [PubMed] ] Las descripciones de sarcomas asociados a tejidos óseos en cobaya son escasos y entre ellas se incluyen sarcoma osteogénico en vértebras lumbares en dos cobayas (una de ellas con afectación de pulmones, páncreas, hígado, estómago, riñones y testículos),[ Hong C, Liu P: Osteogenic sarcoma in 2 Guinea Pigs. Lab Anim 1981; 15: 49-521. [PubMed] ] osteosarcoma condroblástico en el oído medio[ Cojean O. et al: Chondroblastic osteosarcoma of the middle ear in a guinea pig (Cavia porcellus). Can Vet J 2018; 59 (8): 855-859. [PubMed] ] y osteosarcoma intraocular primario.[ Gomez-Rios JA et al: Primary intraocular osteosarcoma with pulmonary metastasis in a guinea pig (Cavia porcellus). J Exotic Pet Med 2019; 28: 121-127. ]

En el presente artículo se describe un caso de osteosarcoma intraocular, asociado a hueso heterotópico y secundario a la presencia de glaucoma e inflamación intraocular (uveítis) crónicos.

Caso clínico

Se atendió en consulta a una cobaya, macho no castrado de 3 años de edad, debido a un problema ocular de varios meses de duración. Según los propietarios, este se inició con la formación de un halo blanquecino alrededor de la córnea del ojo derecho (OD), con posterior aparición de dos manchas blancas en su interior. Los propietarios no evidenciaron anomalías en el comportamiento del animal. La dieta del animal se basaba en heno ad libitum, verdura fresca y pienso tipo mixtura: maíz, pipas blancas, pellets de alfalfa, cereales en copos (trigo, maíz y guisantes verdes), cacahuetes pelados, brotes de alfalfa, algarrobas, croquetas expandidas de verduras (verduras, cereales y zanahoria) y heno extrusionado.

El examen físico general en la consulta resultó normal. El paciente presentaba buena condición corporal (3,5/5), temperatura rectal 38,5 °C, frecuencia respiratoria 80 rpm y frecuencia cardíaca 280 lpm. Se realizó un examen oftalmológico completo que consistió en test de Schirmer I (Schirmer tear test Eickemeyer®), exploración con lámpara de hendidura (Keeler® 3010-P-500), tonometría (Tonovet®), exploración del fondo de ojo con oftalmoscopio indirecto (Keeler® Vantage Plus) y test de fluoresceína (tiras de fluoresceina Jorvet®). El OD aparecía levemente buftálmico. Se evidenció la existencia de congestión conjuntival bulbar, edema corneal difuso y vascularización corneal. Existía una estructura anular blanquecina en la cámara anterior, cerca del ángulo iridocorneal, que rodeaba completamente el iris. Asimismo, se observaron dos estructuras blanquecinas en la cámara anterior que impedían explorar tanto el cristalino como el segmento posterior (Fig. 1). La medición de la presión intraocular (PIO) con tonómetro de rebote (Tonovet®) resultó aumentada (18 mmHg) en OD (13,20 ± 1,28mmHg).[ Cairó M. Leiva M: Assessment of intraocular pressure by applanation and rebound tonometry in guinea pig of different ages. J Exot Pet Med 2018; 27: 25-31. ] La exploración oftalmológica del ojo izquierdo (OS) no reveló anomalías.

<p>Aspecto externo del globo ocular en la primera consulta. Existe buftalmia, congestión conjuntival bulbar, edema corneal difuso y vascularización corneal. En la cámara anterior se observan estructuras blanquecinas, una de ellas de forma anular y dos en la zona ventral que dificultan la exploración del cristalino y del segmento posterior.</p>
Figura 1

Aspecto externo del globo ocular en la primera consulta. Existe buftalmia, congestión conjuntival bulbar, edema corneal difuso y vascularización corneal. En la cámara anterior se observan estructuras blanquecinas, una de ellas de forma anular y dos en la zona ventral que dificultan la exploración del cristalino y del segmento posterior.

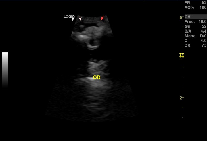
Se realizó una ecografía ocular (OD) (Scil Logic F3 con sonda micro-cóncava de 10 MHz) en la que se observó que el cristalino presentaba hiperecogenicidad e irregularidades, compatibles con una catarata hipermadura. De las dos estructuras localizadas en la cámara anterior, una de ellas se encontraba en la zona del ángulo iridocorneal, que dificultaba probablemente el drenaje del humor acuoso (Fig. 2). No existían alteraciones en la cámara posterior.

<p>Imagen de ecografía ocular (OD). Se aprecian dos masas en la cámara anterior (flechas), una de ellas en la zona del ángulo iridocorneal (flecha roja).</p>
Figura 2

Imagen de ecografía ocular (OD). Se aprecian dos masas en la cámara anterior (flechas), una de ellas en la zona del ángulo iridocorneal (flecha roja).

Tras los resultados del examen oftalmoscópico, se establecieron como hallazgos patológicos la formación de hueso heterotópico en los cuerpos ciliares, buftalmia, edema y vascularización corneal, catarata hipermadura, glaucoma y dos masas en la cámara anterior compatibles con hipopion, granulomas o neoplasia. Se inició un tratamiento tópico ocular con colirios, consistente en moxifloxacino hidrocloruro 1 gota q8h (Vigamox 5 mg/ml Colirio en solución, Alcon Cusí S.A., Barcelona), ketorolaco trometamol 1 gota q8h (Acular 5 mg/ml Colirio en solución, Allergan S.A., Madrid), dorzolamida 1 gota q8h (Trusopt 2% Colirio en suspensión, Santen Pharmaceutical Spain S.L., Madrid), y meloxicam oral 0,5 mg/kg PO q12h (Metacam oral 0,5 mg/ml, Boerhinger Ingelheim Vetmedica GmbH, Rhein, Alemania).

Tras 7 días de tratamiento, la PIO (OD) se había normalizado (14 mmHg). El OD presentaba en ese momento neovascularización corneal, edema corneal difuso y úlcera corneal central epitelial (test de fluoresceína positivo). El examen oftalmológico no evidenció cambios significativos de las masas intraoculares. Se continuó el tratamiento, reduciendo la pauta de ketorolaco trometamol 1 gota q12h, y se añadieron lágrimas artificiales en gel a base de carbómero, EDTA y cetrimida (Lubrithal gel, Dechra Veterinary Products, Uldum) con una frecuencia mínima de 4 veces al día. Se citó al paciente para revisión en 7 días, pero no acudió a consulta.

Pasados 22 meses, el paciente acudió a consulta debido al aumento de tamaño del OD. Los propietarios habían modificado la medicación según criterio propio, manteniendo la aplicación de lágrimas artificiales en gel de una a dos veces al día. En la exploración oftalmológica, el OD aparecía buftálmico sin respuesta a la retropulsión, y existía congestión conjuntival palpebral y bulbar, así como queratitis. Las estructuras de la cámara anterior habían aumentado de tamaño e impedían la valoración intraocular. Existía también elevación de la PIO (40 mmHg). Se realizó un test de fluoresceína con resultado negativo. No se hallaron otras anomalías en la exploración general del paciente. En este punto se incluyó la neoplasia como principal sospecha y se recomendó a los propietarios la realización de pruebas diagnósticas (ecografía ocular y toma de biopsia mediante punción ecoguiada, pruebas de imagen avanzadas), pero declinaron dicha opción. Se pautó un tratamiento tópico con dorzolamida 1 gota q8h, dexametasona 1 gota q8h (Maxidex 1 mg/ml colirio en suspensión, Alcon Cusí S.A., Barcelona), y continuar con gel oftálmico hidratante.

Durante las primeras dos semanas de tratamiento el paciente mostró leve mejoría con disminución del tamaño de OD (tras conversación telefónica con los propietarios). A la tercera semana el paciente acudió a consulta debido a la aparición de perforación en la esclera ventral del OD, con tejido uveal sobresaliendo de la lesión (Fig. 3).

<p>Imagen del globo ocular. Se observa perforación en zona de la esclera ventral con tejido uveal sobresaliente de la lesión.</p>
Figura 3

Imagen del globo ocular. Se observa perforación en zona de la esclera ventral con tejido uveal sobresaliente de la lesión.

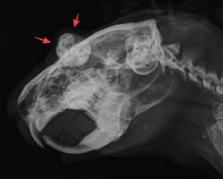
Debido al mal pronóstico de las lesiones en el globo ocular, se decidió realizar la enucleación del mismo. La analítica sanguínea prequirúrgica resultó normal. Se realizaron radiografías de cuerpo entero (sin alteraciones reseñables) y de cráneo, las cuales evidenciaron radiopacidad heterogénea del OD con silueta redondeada irregular (Figs. 4 y 5). El protocolo anestésico consistió en una combinación de midazolam 1 mg/kg IM (Midazolam Normon 15 mg/3ml Solución inyectable, Normon, Madrid), buprenorfina 0,03 mg/kg IM (Buprecare 0,3 mg/ml solución inyectable, Haupt Pharma Livron, Francia), ketamina 3 mg/kg IM (Anesketin 100 mg/ml solución inyectable, Dechra Veterinary Products SLU, Barcelona) y dexmedetomidina 0,05 mg/kg IM (Dexdomitor 0,5 mg/ml solución inyectable, Orion Corporation, Espoo). Se realizó la inducción mediante mascarilla con sevofluorano (Sevoflo 100% líquido, Zoetis, Bélgica) al 4% en oxígeno. El mantenimiento de la anestesia se realizó mediante mascarilla con sevofluorano al 2% en oxígeno. Se llevó a cabo la enucleación del globo ocular mediante el método transconjuntival. El animal se mantuvo estable durante todo el procedimiento quirúrgico y su recuperación postquirúrgica resultó sin complicaciones. Se procedió al alta del paciente con tratamiento ambulatorio consistente en marbofloxacino 5 mg/kg PO q24h durante 10 días (Efex 10 mg comprimidos, Ceva S.A., Barcelona), meloxicam oral 0,5 mg/kg PO q12h durante 7 días, ranitidina 2,5 mg/kg PO q12h durante 7 días (Ranitidina 25 mg/ml, formulación magistral) y alimentación forzada en caso necesario con papilla 10 ml/kg q4-6h (Critical Care Herbivores, Oxbow Animal Health, Omaha, EE.UU.).

<p>Radiografía dorsoventral del cráneo. Se observa imagen radiopaca en OD (flechas rojas) compatible con calcificación del globo ocular derecho.</p>
Figura 4

Radiografía dorsoventral del cráneo. Se observa imagen radiopaca en OD (flechas rojas) compatible con calcificación del globo ocular derecho.

<p>Radiografía latero-lateral del cráneo. Se aprecia densidad radiopaca del globo ocular derecho (flechas rojas) compatible con calcificación del mismo.</p>
Figura 5

Radiografía latero-lateral del cráneo. Se aprecia densidad radiopaca del globo ocular derecho (flechas rojas) compatible con calcificación del mismo.

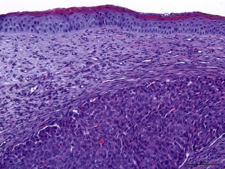
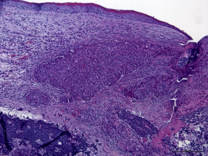
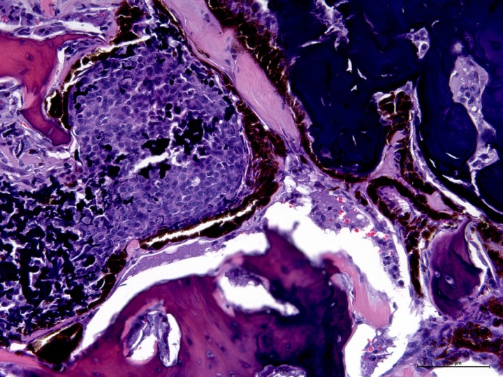
En la disección del globo ocular, las estructuras intraoculares se hallaban ocupadas por tejido calcificado no diferenciable (Fig. 6). El examen histopatológico evidenció la existencia de una proliferación neoplásica mesenquimatosa, moderadamente celular que crecía de forma infiltrativa y ocupando el vítreo, las cámaras anterior y posterior, y reemplazaba la coroides, atravesando la esclera y alcanzando la conjuntiva en la zona del limbo (Fig. 7). Las células neoplásicas crecían en trabéculas y, multifocalmente, de forma más sólida en paquetes densos sobre el estroma fibrovascular, produciendo abundante matriz osteoide que se mineralizaba de forma difusa, con osificación de las mismas, y con lagunas y osteocitos evidentes. La morfología de estas células era poligonal y fusiforme (10-15 μm) con bordes pobremente definidos. El citoplasma era de tamaño variable, eosinófilo homogéneo y con restos de matriz osteoide en algunas de las células. El núcleo era central, de gran tamaño y redondeado con cromatina finamente granular y un nucleolo eosinófilo evidente. El grado de anisocitosis y anisocariosis era moderado y el índice mitótico elevado (2-8 mitosis/40x), siendo algunas de las mitosis aberrantes (Figs. 8 y 9). Algunas células eran bi y trinucleadas. Se observaron extensas áreas de necrosis de las células neoplásicas. Se realizó tinción de inmunoperoxidasa para vimentina con resultado positivo (Fig. 10). La histopatología concluyó un diagnóstico de osteosarcoma ocular y signos de queratitis ulcerativa difusa subaguda grave.

<p>Disección del globo ocular tras la enucleación. Las estructuras intraoculares se hallaban infiltradas de tejido calcificado no diferenciable.</p>
Figura 6

Disección del globo ocular tras la enucleación. Las estructuras intraoculares se hallaban infiltradas de tejido calcificado no diferenciable.

<p>Histopatología. Córnea invadida por un crecimiento sólido e infiltrativo de células neoplásicas que substituyen parcialmente el estroma corneal. El epitelio corneal presenta una marcada hiperqueratosis. H&E (x10).</p>
Figura 7

Histopatología. Córnea invadida por un crecimiento sólido e infiltrativo de células neoplásicas que substituyen parcialmente el estroma corneal. El epitelio corneal presenta una marcada hiperqueratosis. H&E (x10).

<p>Histopatología. En la córnea se observan algunas de las características citológicas de las células neoplásicas: morfología poligonal y fusiforme con bordes pobremente definidos, citoplasma de tamaño variable y eosinófilo, y núcleo central con un nucléolo evidente. El grado de anisocitosis y anisocariosis es moderado y el índice mitótico elevado, con algunas mitosis aberrantes. H&E (x20).</p>
Figura 8

Histopatología. En la córnea se observan algunas de las características citológicas de las células neoplásicas: morfología poligonal y fusiforme con bordes pobremente definidos, citoplasma de tamaño variable y eosinófilo, y núcleo central con un nucléolo evidente. El grado de anisocitosis y anisocariosis es moderado y el índice mitótico elevado, con algunas mitosis aberrantes. H&E (x20).

<div class=\"Basic-Text-Frame\">
<p>Histopatología. En la úvea se observan las trabéculas de células neoplásicas dispuestas en paquetes densos y dando lugar a formación de hueso con lagunas óseas y osteocitos evidentes. H&E (x20).</p>
</div>
Figura 9

Histopatología. En la úvea se observan las trabéculas de células neoplásicas dispuestas en paquetes densos y dando lugar a formación de hueso con lagunas óseas y osteocitos evidentes. H&E (x20).

<div class=\"Basic-Text-Frame\">
<p>Histopatología. Trabéculas de células neoplásicas que presentan positividad frente al anticuerpo anti-vimentina. IHQ Vimentina (x20).</p>
</div>
Figura 10

Histopatología. Trabéculas de células neoplásicas que presentan positividad frente al anticuerpo anti-vimentina. IHQ Vimentina (x20).

El paciente se recuperó adecuadamente, pero tres meses más tarde acudió a consulta con un cuadro agudo de disnea. En la exploración en consulta del animal se detectó disnea de tipo espiratorio y pérdida de peso (920 g). Se realizaron radiografías que mostraron un patrón nodular pulmonar con punteado difuso de densidad radiopaca, compatible con metástasis (Figs. 11 y 12). Los propietarios decidieron la eutanasia humanitaria del animal y no accedieron a la realización de necropsia.

<p>Radiografía de tórax. Proyección latero-lateral. Se observa un patrón nodular difuso que ocupa todo el campo pulmonar, compatible con metástasis.</p>
Figura 11

Radiografía de tórax. Proyección latero-lateral. Se observa un patrón nodular difuso que ocupa todo el campo pulmonar, compatible con metástasis.

<p>Radiografía de tórax. Proyección ventrodorsal. Se observa un patrón nodular difuso que ocupa todo el campo pulmonar, compatible con metástasis.</p>
Figura 12

Radiografía de tórax. Proyección ventrodorsal. Se observa un patrón nodular difuso que ocupa todo el campo pulmonar, compatible con metástasis.

Discusión

Las patologías oculares constituyen uno de los principales motivos de consulta en cobayas.[ Willian D, Sullivan A: Ocular disease in the guinea pig (Cavia porcellus): a survey of 1000 animals. Vet Ophtalmol 2010; 13: 54-62. [PubMed] ] Sin embargo, las referencias bibliográficas relativas a neoplasias intraoculares en esta especie son anecdóticas (osteosarcoma,[ Gomez-Rios JA et al: Primary intraocular osteosarcoma with pulmonary metastasis in a guinea pig (Cavia porcellus). J Exotic Pet Med 2019; 28: 121-127. ] linfoma de células T[ Steinberg H: Disseminated T-Cell linfoma in a guinea pig with bilateral ocular involvement. J Vet Diagn Invest 2000; 12: 459-462. [PubMed] ]).

En la experiencia de los autores, la presencia de hueso heterotópico (formación de tejido óseo histológicamente normal en lugares aberrantes) en cuerpos ciliares es un hallazgo frecuente en cobayas, especialmente aquellas de edad media o avanzada. Muchos de estos pacientes no presentan otras alteraciones en el examen oftalmológico, mientras que otros pueden mostrar cambios (aumentos de presión intraocular, uveítis) subclínicos o evidenciables por parte del propietario. Un estudio realizado en cobayas (postmortem) considera la presencia de hueso heterotópico como causa predisponente a la aparición de glaucoma.[ Schaffer EH, Pfleghaar S: Secondary open angle glaucoma from osseous choristoma of the ciliary body in guinea pigs. Tierarztl Prax 1995; 23: 410-414. [PubMed] ] Tanto en el presente caso como en la única referencia publicada de osteosarcoma ocular en cobaya[ Gomez-Rios JA et al: Primary intraocular osteosarcoma with pulmonary metastasis in a guinea pig (Cavia porcellus). J Exotic Pet Med 2019; 28: 121-127. ] existía hueso heterotópico asociado, que puede considerarse el posible origen de la neoplasia (en ambos casos la arquitectura de las estructuras oculares se hallaba alterada debido al carácter expansivo de la misma). En aves, que presentan osículos óseos de forma fisiológica, existen descripciones de osteosarcomas oculares.[ Fordham M, Rosenthal K, Durham A et al: Case report: Intraocular osteosarcoma in an Umbrella Cockatoo (Cacatua alba). Vet Ophtalmol 2010; 13: 103-108. [PubMed] ]

Las inflamaciones crónicas se consideran causa predisponente en el desarrollo de sarcomas en múltiples localizaciones,[ Radons J: The role of inflammation in sarcoma. Adv Exp Med Biol 2014; 816: 259-313. [PubMed] , Petterino C, Modesto P, Strata D et al: A case of interscapular fibrosarcoma in a dwarf rabbit (Oryctolagus cuniculus). J Vet Diagn Invest 2009; 21(6): 900-905. [PubMed] , Murray J: Vaccine injection-site sarcoma in a ferret. J Am Vet Med Assoc 1998; 213 (7): 955. [PubMed] , Moya A et al: Fibrosarcoma asociado al sitio de inyección de un implante de deslorelina en un hurón doméstico (Mustela putorius furo). SEVC 2016. ] incluidas las estructuras oculares (traumatismos,[ Wood C, Scott EM: Feline ocular post-traumatic sarcomas: Current understanding, treatment and monitoring. J Feline Med Surg 2019 ; 21(9): 835-842. [PubMed] ] rotura de cristalino,[ Dickinson R, Bauer B, Guardhouse S, Grahn B: Intraocular sarcoma associated with a rupture lens in a rabbit (Oryctolagus cuniculus). Vet Ophthalmol 2013; 16 Suppl 1:168-172. [PubMed] ] uveítis por Encephalitozoon cuniculi[ Mikiewicz M, Pazdior-Czapula K, Gesek M et al: Intraocular Chondrosarcoma in a Rabbit. J Comp Pathol 2020; 179: 41-44. [PubMed] ]). El paciente del presente caso presentaba inflamación intraocular y glaucoma en el momento de la primera consulta y al menos durante 22 meses antes de la enucleación del globo ocular, momento en el cual existía un empeoramiento del cuadro clínico y una alteración importante de todas las estructuras oculares. Se considera improbable que existiera un proceso neoplásico en el momento de la primera exploración, debido a la mejoría clínica inicial del paciente y al carácter agresivo de los osteosarcomas, y existen motivos plausibles para pensar que la inflamación y el glaucoma crónicos indujeran la aparición del mismo. En la anterior descripción de osteosarcoma intraocular en cobaya[ Gomez-Rios JA et al: Primary intraocular osteosarcoma with pulmonary metastasis in a guinea pig (Cavia porcellus). J Exotic Pet Med 2019; 28: 121-127. ] no se referencian cambios ni estructurales ni clínicos desde el momento de la presentación hasta la enucleación (5 meses más tarde), por lo que se desconoce (y no se describe) la posible implicación de un cuadro crónico de uveítis en la aparición del osteosarcoma.

Se decidió realizar enucleación mediante método transconjuntival, ya que es una técnica que permite una mejor visualización del globo ocular para una disección más cuidadosa, con especial indicación en pacientes de pequeño tamaño. Así mismo, el riesgo de sangrado es menor en comparación con la técnica transparpebral.[ Gellat KN, Whitley RD: Surgery of the orbit. En Gellat KN and Peterson Gelatt J (ed): Veterinary Ophthalmic Surgery, Elsevier Saunder, 2011, 51-89. ,

Diehl KA, McKinnon JA: Eye removal surgeries in exotic pets. Vet Clin North Am Exot Anim Pract 2016; 19(1): 245-267.
[PubMed] ]

Aunque no existían alteraciones radiográficas en los estudios previos a la enucleación del paciente, este desarrolló complicaciones respiratorias compatibles con metástasis pulmonar. Las principales localizaciones de metástasis en cobayas incluyen los pulmones,[ Gomez-Rios JA et al: Primary intraocular osteosarcoma with pulmonary metastasis in a guinea pig (Cavia porcellus). J Exotic Pet Med 2019; 28: 121-127. ] riñones y bazo,[ Steinberg H: Disseminated T-Cell linfoma in a guinea pig with bilateral ocular involvement. J Vet Diagn Invest 2000; 12: 459-462. [PubMed] ] aunque otros tejidos pueden verse afectados. En pacientes con sospecha de neoplasia intraocular como el del caso descrito, podría ser recomendable la realización de pruebas de imagen avanzada (tomografía computarizada) con una mayor sensibilidad para la detección de posibles focos metastásicos.

En conclusión, debe incluirse la neoplasia intraocular (principalmente sarcomas) dentro del diagnóstico diferencial de patología intraocular en cobayas, y específicamente el osteosarcoma en presencia de hueso heterotópico. Las inflamaciones intraoculares crónicas pueden inducir la aparición de este tipo de neoplasias, por lo que el diagnóstico precoz y tratamiento adecuados de las mismas resultan fundamentales. Debería realizarse un seguimiento oftalmológico exhaustivo de aquellas cobayas con presencia de hueso heterotópico ante la posibilidad de aparición de uveítis y/o glaucoma inicialmente subclínicos.

 

Fuentes de financiación: este trabajo no se realizó con fondos comerciales, públicos o del sector privado.

Conflicto de intereses: los autores declaran que no existe conflicto de intereses.

Bibliografía

  1. [1] Radons J: The role of inflammation in sarcoma. Adv Exp Med Biol 2014; 816: 259-313. [PubMed]
  2. [2] Hong C, Liu P: Osteogenic sarcoma in 2 Guinea Pigs. Lab Anim 1981; 15: 49-521. [PubMed]
  3. [3] Cojean O. et al: Chondroblastic osteosarcoma of the middle ear in a guinea pig (Cavia porcellus). Can Vet J 2018; 59 (8): 855-859. [PubMed]
  4. [4] Gomez-Rios JA et al: Primary intraocular osteosarcoma with pulmonary metastasis in a guinea pig (Cavia porcellus). J Exotic Pet Med 2019; 28: 121-127.
  5. [5] Cairó M. Leiva M: Assessment of intraocular pressure by applanation and rebound tonometry in guinea pig of different ages. J Exot Pet Med 2018; 27: 25-31.
  6. [6] Willian D, Sullivan A: Ocular disease in the guinea pig (Cavia porcellus): a survey of 1000 animals. Vet Ophtalmol 2010; 13: 54-62. [PubMed]
  7. [7] Steinberg H: Disseminated T-Cell linfoma in a guinea pig with bilateral ocular involvement. J Vet Diagn Invest 2000; 12: 459-462. [PubMed]
  8. [8] Schaffer EH, Pfleghaar S: Secondary open angle glaucoma from osseous choristoma of the ciliary body in guinea pigs. Tierarztl Prax 1995; 23: 410-414. [PubMed]
  9. [9] Fordham M, Rosenthal K, Durham A et al: Case report: Intraocular osteosarcoma in an Umbrella Cockatoo (Cacatua alba). Vet Ophtalmol 2010; 13: 103-108. [PubMed]
  10. [10] Petterino C, Modesto P, Strata D et al: A case of interscapular fibrosarcoma in a dwarf rabbit (Oryctolagus cuniculus). J Vet Diagn Invest 2009; 21(6): 900-905. [PubMed]
  11. [11] Murray J: Vaccine injection-site sarcoma in a ferret. J Am Vet Med Assoc 1998; 213 (7): 955. [PubMed]
  12. [12] Moya A et al: Fibrosarcoma asociado al sitio de inyección de un implante de deslorelina en un hurón doméstico (Mustela putorius furo). SEVC 2016.
  13. [13] Wood C, Scott EM: Feline ocular post-traumatic sarcomas: Current understanding, treatment and monitoring. J Feline Med Surg 2019 ; 21(9): 835-842. [PubMed]
  14. [14] Dickinson R, Bauer B, Guardhouse S, Grahn B: Intraocular sarcoma associated with a rupture lens in a rabbit (Oryctolagus cuniculus). Vet Ophthalmol 2013; 16 Suppl 1:168-172. [PubMed]
  15. [15] Mikiewicz M, Pazdior-Czapula K, Gesek M et al: Intraocular Chondrosarcoma in a Rabbit. J Comp Pathol 2020; 179: 41-44. [PubMed]
  16. [16] Gellat KN, Whitley RD: Surgery of the orbit. En Gellat KN and Peterson Gelatt J (ed): Veterinary Ophthalmic Surgery, Elsevier Saunder, 2011, 51-89.
  17. [17] Diehl KA, McKinnon JA: Eye removal surgeries in exotic pets. Vet Clin North Am Exot Anim Pract 2016; 19(1): 245-267. [PubMed]

Artículos recomendados

Estas recomendaciones se ofrecen de forma automática.

  • Cataratas en pequeños animales: actualización en el tratamiento, complicaciones y pronóstico

    Y. López, E. Fenollosa, D. Costa
    Clin Vet Peq Anim Vol. 41 - Nº 1 · MAR 2021 · Artículos de Revisión
  • Cataratas en pequeños animales: actualización en la anatomía, fisiopatología, clasificación y diagnóstico

    Y. López, E. Fenollosa-Romero, D. Costa
    Clin Vet Peq Anim Vol. 40 - Nº 4 · DIC 2020 · Artículos de Revisión
  • Estudio retrospectivo de condrosarcoma en cobayas (Cavia porcellus)

    C.B. Montoya, C. Juan-Sallés, M. Máinez, et al.
    Clin Vet Peq Anim Vol. 38 - Nº 3 · SEP 2018 · Artículo original referido a múltiples casos clínicos
  • Inicio
  • Introducción
  • Caso clínico
  • Discusión
  • Bibliografía
Artículo anterior Índice de la revista Artículo siguiente
ANUNCIO
Próximos cursos ATVs Elearning
Índice
Inicio Introducción Caso clínico Discusión Bibliografía
Virbac - Movoflex
ANUNCIO

¿No eres socio de AVEPA y quieres recibir comunicación de las nuevas ediciones en tu correo?

Suscríbete

Suscríbete y te avisaremos cuando publiquemos un nuevo número

Suscribirme

Enlaces rápidos

  • Inicio
  • Último número
  • Archivo
  • Artículos

Información

  • Comité editorial
  • Política de cookies
  • Política de privacidad
  • Términos y condiciones

Contacto

  • info@imaginice.com
  • Envíanos tu artículo
© 2026 Ice Salud Vet SL. Todos los derechos reservados.

Usamos cookies para mejorar tu experiencia. Selecciona cuáles aceptas: