Logo AVEPA

Clínica Veterinaria de Pequeños Animales

Revista oficial de AVEPA

  • Inicio
  • Último número
  • Archivo
  • Artículos
  • Para autores
  • Contacto
Cursos Junio-Septiembre 2026
ANUNCIO

Clínica Veterinaria de Pequeños Animales

Revista oficial de AVEPA

  • Inicio
  • Último número
  • Archivo
  • Artículos
  • Para autores
  • Contacto
Curso Oftalmología 2026
ANUNCIO
Clin Vet Peq Anim Vol. 41 • Nº 1 • marzo 2021

¿Cuál es tu diagnóstico?

¿Cuál es tu diagnóstico?

V. Silva-Utrera

Hospital Veterinario VETSIA. c/ Galileo 3. 28914 Leganés (Madrid).

A. Rodriguez-Cobos

Hospital Veterinario VETSIA. c/ Galileo 3. 28914 Leganés (Madrid).

S. Atencia-Fernández

Hospital Veterinario VETSIA. c/ Galileo 3. 28914 Leganés (Madrid).

E. López-Medina

Hospital Veterinario VETSIA. c/ Galileo 3. 28914 Leganés (Madrid).

M. Labayru-Prats

Hospital Veterinario VETSIA. c/ Galileo 3. 28914 Leganés (Madrid).

H. Fominaya-García

Hospital Veterinario VETSIA. c/ Galileo 3. 28914 Leganés (Madrid).

Contacto: silvautreravanesa@gmail.com
Descargar artículo

Historia clínica

Se refiere al hospital una perra mestiza hembra esterilizada, de 13 años, con historia de vómitos y regurgitaciones esporádicas, de un mes y medio de evolución. Tanto el examen físico como la analítica sanguínea fueron normales sin revelar ninguna alteración. Se realizó un estudio radiográfico torácico para la evaluación del esófago incluyendo dos proyecciones: lateral derecha y ventrodorsal (Fig. 1).

<p>Radiografías de tórax de un perro con vómitos y regurgitaciones esporádicas de un mes y medio de evolución. (<strong>A</strong>) Proyección lateral derecha. (<strong>B</strong>) Proyección ventrodorsal.</p>
Figura 1

Radiografías de tórax de un perro con vómitos y regurgitaciones esporádicas de un mes y medio de evolución. (A) Proyección lateral derecha. (B) Proyección ventrodorsal.

Describe las anormalidades radiográficas que se observan

Se observa una dilatación de la aorta intratorácica caudal con presencia de múltiples focos de mineralización distrófica en su pared, comprendidos entre la T8-T12. Ventral a T11 se evidencia otra estructura de morfología redondeada circunferencial con mineralización marcada de su pared. El esófago intratorácico presenta discreta dilatación con aire en su luz. La silueta cardíaca presenta disminución de su volumen. En la columna se evidencia espondilosis marcada en T4, T5, T6 (Fig. 2).

<p style=\"text-align:justify\">Mismas imágenes que Figura 1. (<strong>A</strong>, <strong>B</strong>) Se observa dilatación de la aorta intratorácica caudal (línea negra discontinua) con focos de mineralización distrófica en su pared entre la T8-T12 (flechas negras). (<strong>C</strong>) Ventral a T11 se evidencia una estructura circunferencial con mineralización de su pared (área delimitada en negro). (<strong>D</strong>) El esófago intratorácico presenta discreta dilatación con aire en su luz (asterisco blanco). Las flechas blancas señalan la espondilosis más marcada en T4, T5, T6.</p>
Figura 2

Mismas imágenes que Figura 1. (A, B) Se observa dilatación de la aorta intratorácica caudal (línea negra discontinua) con focos de mineralización distrófica en su pared entre la T8-T12 (flechas negras). (C) Ventral a T11 se evidencia una estructura circunferencial con mineralización de su pared (área delimitada en negro). (D) El esófago intratorácico presenta discreta dilatación con aire en su luz (asterisco blanco). Las flechas blancas señalan la espondilosis más marcada en T4, T5, T6.

¿Cuáles son los diagnósticos diferenciales con estos signos radiográficos?

La imagen radiológica es compatible con mineralización distrófica de la aorta intratorácica con presencia de lesión circunferencial mediastínica caudodorsal. Los diagnósticos diferenciales incluyen: aneurisma de la aorta intratorácica, granuloma mediastínico (cuerpo extraño, fúngico, parasitario) o neoplasia mediastínica mineralizada.

¿Qué otras técnicas de imagen realizarías para alcanzar el diagnóstico definitivo?

Se realizó una ecografía de abdomen por la historia de vómitos y regurgitaciones. Se observó una lesión en el aspecto medial del fundus gástrico, adyacente al cardias, de 22 mm de diámetro, homogénea con foco de mineralización (Vídeo complementario 1). Se identificó una masa redondeada, de 20 mm, hipoecoica, con focos de mineralización, que presentaba relación con la pared de la aorta intratorácica y el esófago, craneal al cardias (Vídeo complementario 2).

Video 1
Imagen ecográfica, corte longitudinal. Lesión en el aspecto medial del fundus gástrico, adyacente al cardias, homogénea con foco de mineralización (flechas).
Video 2
Imagen ecográfica, corte longitudinal. Masa redondeada e hipoecoica con focos de mineralización, que presentaba relación con la pared de la aorta intratorácica y el esófago, craneal al cardias (flechas).

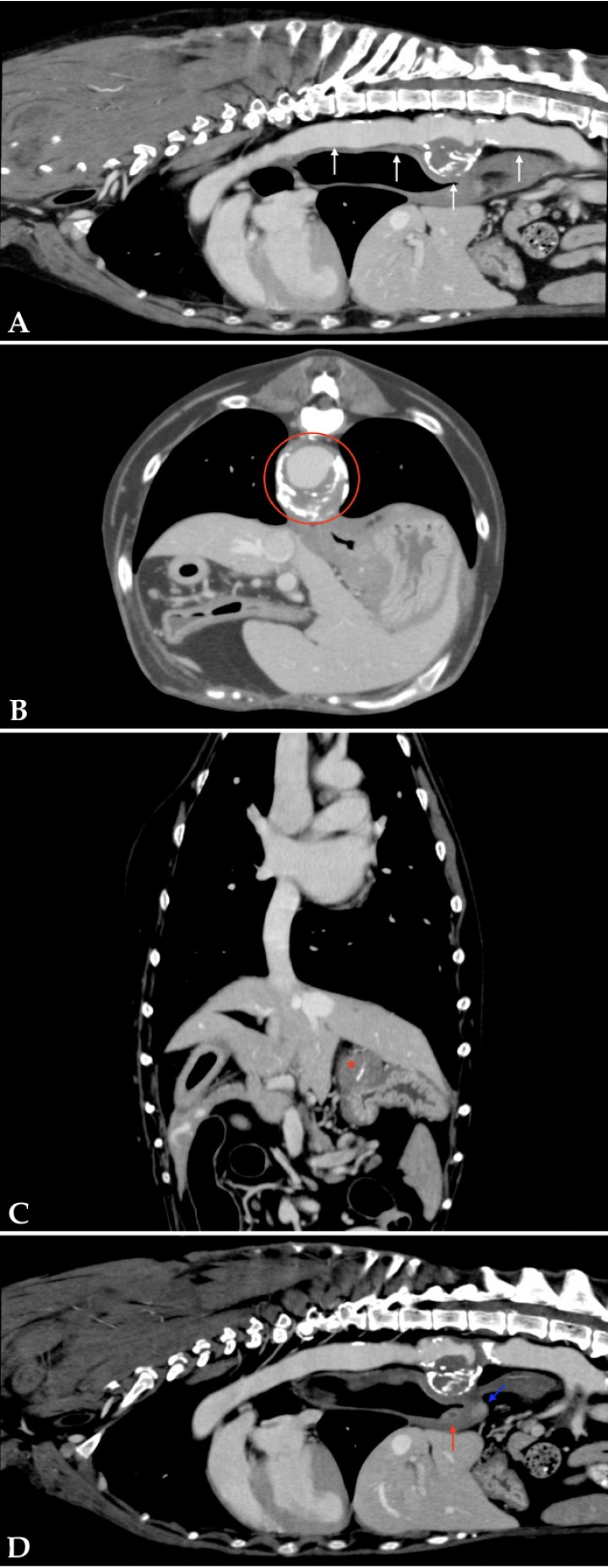
Se realizó una tomografía computarizada (TC) de tórax donde se observó dilatación de la aorta intratorácica caudal y de la aorta abdominal incluida en el estudio, con focos de mineralización distrófica en sus paredes. Además, se visualizó un aumento de espesor focal, circunferencial y asimétrico de su pared de 20 mm, ventral a T11. La aorta mostró una superficie irregular. Estos hallazgos confirmaron el diagnóstico de aneurisma aórtico.

En el aspecto craneomedial del fundus gástrico se observó una masa intramural isoatenuante de 23 mm, con márgenes irregulares y focos de mineralización distrófica, con captación pobre de contraste. También había dos nódulos intramurales e isoatenuantes, uno caudomedial al cardias de 10 mm con captación marcada de contraste y otro en pared medial esofágica, craneal al hiato, de 8 mm, con captación marcada de contraste en la periferia y pobre en su centro (Fig. 3). 

<p style=\"text-align:justify\">Imágenes de TC de tórax en ventana tejido blando postcontraste. (<strong>A</strong>, <strong>D</strong>) Plano sagital. (<strong>B</strong>) Plano transversal. (<strong>C</strong>) Plano dorsal. Se observa dilatación de la aorta caudal y abdominal (flechas blancas) y dilatación circunferencial con halo hipoatenuante a nivel de T11 (área delimitada en rojo). Masa intramural craneomedial al fundus gástrico con mineralización distrófica (asterisco rojo). Lesión nodular localizada caudal y medial al cardias (flecha azul) y otra en la pared medial del esófago, craneal al hiato esofágico (flecha roja).</p>
Figura 3

Imágenes de TC de tórax en ventana tejido blando postcontraste. (A, D) Plano sagital. (B) Plano transversal. (C) Plano dorsal. Se observa dilatación de la aorta caudal y abdominal (flechas blancas) y dilatación circunferencial con halo hipoatenuante a nivel de T11 (área delimitada en rojo). Masa intramural craneomedial al fundus gástrico con mineralización distrófica (asterisco rojo). Lesión nodular localizada caudal y medial al cardias (flecha azul) y otra en la pared medial del esófago, craneal al hiato esofágico (flecha roja).

La endoscopia esofágica corroboró la presencia de un nódulo de consistencia firme con una lesión puntiforme, localizado craneal al hiato esofágico. Su consistencia dura no permitió la toma de muestra para su estudio histopatológico (Fig. 4). La histopatología de la masa de fundus gástrico fue concluyente con un granuloma.

<p>Imagen de endoscopia esofágica. Lesión localizada craneal al hiato esofágico. Se observa un nódulo de consistencia firme con lesión puntiforme (flechas).</p>
Figura 4

Imagen de endoscopia esofágica. Lesión localizada craneal al hiato esofágico. Se observa un nódulo de consistencia firme con lesión puntiforme (flechas).

Comentario

El aneurisma aórtico ha sido raramente descrito en perros y gatos, y no siempre asociado a hipertensión.[ Ware WA: Systemic Hypertension. En Manson Publishing(ed): Cardiovascular Disease in Small Animal Medicine, USA,2011; 374. ] Se define como una dilatación patológica e irreversible de las arterias por debilitamiento de su pared o aumento de presión arterial. En perros está asociado tanto a etiologías infecciosas como no infecciosas. Se han descrito aneurismas aórticos por parásitos (Spirocerca lupi en el perro), hongos (Oomyctes sp., Aspergillus sp.),[ Gershenson RT, Melidone R, Sutherland-Smith J, Roger CL. Abdominal Aortic Aneurysm Associated with Systemic Fungal Infection in a German Sheperd Dog. J Am Anim Hosp Assoc. 2011; 47:45-49. [PubMed] ] conducto arterioso persistente o coartación aórtica.[ Chetboul V, Tessier D, Borenstein N et al. Familial aortic aneurysm in Leonberg dogs. J Am Vet Med Assoc. 2003; 223(8):1159-1162. [PubMed] ] No parece haber factores de riesgo predisponentes para su desarrollo.[ Gershenson RT, Melidone R, Sutherland-Smith J, Roger CL. Abdominal Aortic Aneurysm Associated with Systemic Fungal Infection in a German Sheperd Dog. J Am Anim Hosp Assoc. 2011; 47:45-49. [PubMed] ]

En el presente caso, se descartó una hipertensión arterial sistémica. Cabe destacar que el paciente vivió 8 años en la India.

La mineralización de la aorta es un hallazgo raro en perros de regiones no endémicas de espirocercosis. En la aorta caudal ha sido asociada con arterioesclerosis, enfermedad renal crónica, hipervitaminosis D y causas idiopáticas en perros. La asociación de las mineralizaciones con aneurismas aórticos y nódulo/masa esofágica las distingue de otras causas que no sean una espirocercosis.[ Robert M, Nerissa S, Nicky Cassel et al. Computed Tomographic and Radiographic Characteristics of Aortic Lesions in 42 Dogs With Spirocercosis. Vet Radiol Ultrasound. 2013; 54(3): 212-222. [pubMed] ]

Spirocerca lupi es una causa común de vómitos, regurgitación y muerte repentina en perros que viven en regiones tropicales o subtropicales, sur de África, Israel, Turquía, Grecia e India. Los perros son huéspedes definitivos y se infectan al ingerir al huésped intermediario o paraténico. Después de la ingestión, las larvas migran desde el estómago a través de la arteria celíaca a la aorta abdominal y luego intramuralmente a la aorta torácica caudal. Los adultos jóvenes penetran el esófago adyacente donde maduran y forman nódulos fibroblásticos que pueden progresar a sarcoma, pudiendo simular aneurismas aórticos en la radiografía. La mineralización distrófica y la metaplasia ósea de la capa muscular aórtica ocurren secundariamente a la destrucción del tejido.[ Robert M, Nerissa S, Nicky Cassel et al. Computed Tomographic and Radiographic Characteristics of Aortic Lesions in 42 Dogs With Spirocercosis. Vet Radiol Ultrasound. 2013; 54(3): 212-222. [pubMed] ]

Su diagnóstico puede confirmarse con la presencia de huevos en las heces; sin embargo, su sensibilidad es solo del 67 %.[ Robert M, Nerissa S, Nicky Cassel et al. Computed Tomographic and Radiographic Characteristics of Aortic Lesions in 42 Dogs With Spirocercosis. Vet Radiol Ultrasound. 2013; 54(3): 212-222. [pubMed] ]

La TC presenta mayor sensibilidad respecto a la radiografía para identificar lesiones patognomónicas como aneurismas aórticos, mineralización de la aorta, espondilitis de la vértebra y masa mediastínica caudodorsal.[ Robert M, Nerissa S, Nicky Cassel et al. Computed Tomographic and Radiographic Characteristics of Aortic Lesions in 42 Dogs With Spirocercosis. Vet Radiol Ultrasound. 2013; 54(3): 212-222. [pubMed] ]

En el presente caso la TC con contraste evidenció la dilatación de la aorta intratorácica caudal rodeada por contenido hipoatenuante que no captaba contraste sugerente de antigua hemorragia, lo cual indicaba la ruptura y cronicidad del proceso.

Mediante la endoscopia, la visualización de protuberancias de base ancha con lesión puntiforme en el esófago distal sugiere la presencia de granulomas por espirocercosis, siendo necesario la histopatología para el diagnóstico definitivo. La experiencia clínica en el sur de África ha permitido una correlación positiva entre la apariencia de los nódulos y la confirmación de S. lupi mediante helmintología e histopatología.[ Wayne L: Spirocerca lupi Esophageal Granulomas in 7 Dogs: Resolution after Treatment with Doramectin. J Vet Intern Med. 2000; 14(6): 609-612. [pubMed] ] En el presente caso no se obtuvieron huevos en las muestras recogidas. Según Mazaki-Tovi et al, el resultado del coprocultivo puede verse afectado por varios factores. El paso de huevos a heces ocurre en un periodo relativamente corto de la vida del gusano adulto hembra. En segundo lugar, solo se encontrarán los huevos cuando el gusano adulto hembra tenga un paso patente al tracto gastrointestinal y, por último, el pequeño tamaño de los huevos dificulta su detección.[ Mazaki-Tovi M, Baneth G, Aroch I et al. Canine spirocercosis: clinical, diagnostic, pathologic and epidemiologic characteristics. Vet Parasitol. 2002; 107(3): 235-250. [pubMed] ]

Aunque no se obtuvo un diagnóstico definitivo de S. lupi mediante histopatología, se puede concluir que la presencia de un aneurisma aórtico y de la mineralización distrófica de la aorta son hallazgos patognomónicos de la misma. En nuestro caso la imagen endoscópica fundamentaba los hallazgos radiológicos orientados hacia una espirocercosis.

Agradecimientos

Guadalupe Miró.

 

Fuente de financiación: este trabajo no se ha realizado con fondos comerciales, públicos o del sector privado.

Conflicto de intereses: los autores declaran que no existe conflicto de intereses.

Bibliografía

  1. [1] Ware WA: Systemic Hypertension. En Manson Publishing(ed): Cardiovascular Disease in Small Animal Medicine, USA,2011; 374.
  2. [2] Gershenson RT, Melidone R, Sutherland-Smith J, Roger CL. Abdominal Aortic Aneurysm Associated with Systemic Fungal Infection in a German Sheperd Dog. J Am Anim Hosp Assoc. 2011; 47:45-49. [PubMed]
  3. [3] Chetboul V, Tessier D, Borenstein N et al. Familial aortic aneurysm in Leonberg dogs. J Am Vet Med Assoc. 2003; 223(8):1159-1162. [PubMed]
  4. [4] Robert M, Nerissa S, Nicky Cassel et al. Computed Tomographic and Radiographic Characteristics of Aortic Lesions in 42 Dogs With Spirocercosis. Vet Radiol Ultrasound. 2013; 54(3): 212-222. [pubMed]
  5. [5] Wayne L: Spirocerca lupi Esophageal Granulomas in 7 Dogs: Resolution after Treatment with Doramectin. J Vet Intern Med. 2000; 14(6): 609-612. [pubMed]
  6. [6] Mazaki-Tovi M, Baneth G, Aroch I et al. Canine spirocercosis: clinical, diagnostic, pathologic and epidemiologic characteristics. Vet Parasitol. 2002; 107(3): 235-250. [pubMed]

Artículos recomendados

Estas recomendaciones se ofrecen de forma automática.

  • ¿Cuál es tu diagnóstico?
    L. Martín-Carrasco, E. Mínguez-Pereira, R. Salgüero-Fernández, et al.
    Clin Vet Peq Anim Vol. 46 - Nº 1 · MAR 2026 · ¿Cuál es tu diagnóstico?
  • ¿Cuál es tu diagnóstico?
    D. Marbella, A.M. Hernández-Guerra, L. Montalvà-Minguet
    Clin Vet Peq Anim Vol. 45 - Nº 4 · DIC 2025 · ¿Cuál es tu diagnóstico?
  • ¿Cuál es tu diagnóstico?

    J.D. Carrillo, M. Soler, M.S. Echalecu, et al.
    Clin Vet Peq Anim Vol. 45 - Nº 3 · SEP 2025 · ¿Cuál es tu diagnóstico?
  • Inicio
  • Historia clínica
  • Describe las anormalidades radiográficas que se observan
  • ¿Cuáles son los diagnósticos diferenciales con estos signos radiográficos?
  • ¿Qué otras técnicas de imagen realizarías para alcanzar el diagnóstico definitivo?
  • Comentario
  • Agradecimientos
  • Bibliografía
Artículo anterior Índice de la revista Artículo siguiente
ANUNCIO
Próximos cursos ATVs Elearning
Índice
Inicio Historia clínica Describe las anormalidades radiográficas que se observan ¿Cuáles son los diagnósticos diferenciales con estos signos radiográficos? ¿Qué otras técnicas de imagen realizarías para alcanzar el diagnóstico definitivo? Comentario Agradecimientos Bibliografía
Advance Affinity - Intolerance Duck
ANUNCIO

¿No eres socio de AVEPA y quieres recibir comunicación de las nuevas ediciones en tu correo?

Suscríbete

Suscríbete y te avisaremos cuando publiquemos un nuevo número

Suscribirme

Enlaces rápidos

  • Inicio
  • Último número
  • Archivo
  • Artículos

Información

  • Comité editorial
  • Política de cookies
  • Política de privacidad
  • Términos y condiciones

Contacto

  • info@imaginice.com
  • Envíanos tu artículo
© 2026 Ice Salud Vet SL. Todos los derechos reservados.

Usamos cookies para mejorar tu experiencia. Selecciona cuáles aceptas: