Logo AVEPA

Clínica Veterinaria de Pequeños Animales

Revista oficial de AVEPA

  • Inicio
  • Último número
  • Archivo
  • Artículos
  • Para autores
  • Contacto
Cursos Junio-Septiembre 2026
ANUNCIO

Clínica Veterinaria de Pequeños Animales

Revista oficial de AVEPA

  • Inicio
  • Último número
  • Archivo
  • Artículos
  • Para autores
  • Contacto
Curso Oftalmología 2026
ANUNCIO
Clin Vet Peq Anim Vol. 36 • Nº 1 • marzo 2016

Tratamiento quirúrgico y quimioterápico adyuvante en un caso de hemangiosarcoma retroperitoneal en el perro

Surgical treatment and adjuvant chemotherapy of a retroperitoneal hemangiosarcoma in a dog

Artículo original referido a un solo caso clínico

G. Carbonell-Rosselló

AUNA Especialidades Veterinarias. C/ Algespser 22 - 1 P.E. Táctica, 46980 Paterna (Valencia)

Otros artículos de G. Carbonell-Rosselló:
  • Diagnóstico, tratamiento y seguimiento de cavitaciones leptomeníngeas espinales en 14 perros
    Clin Vet Peq Anim Vol. 36 • Nº 2 • junio 2016

M. Jiménez-Peláez

AUNA Especialidades Veterinarias. C/ Algespser 22 - 1 P.E. Táctica, 46980 Paterna (Valencia)

I. Guerrero-Pérez

Ecografista ambulante

J. F. Borrego-Massó

AUNA Especialidades Veterinarias. C/ Algespser 22 - 1 P.E. Táctica, 46980 Paterna (Valencia). Instituto Veterinario de Oncología Comparada (IVOC). Hospital Veterinario. Facultad de Veterinaria Universidad Católica de Valencia “San Vicente Mártir”

Contacto: gabrielcarbros@gmail.com
Palabras clave: Hemangiosarcoma, Retroperitoneal, Tumor, Cirugía, Quimioterapia, Perro.
Keywords: Hemangiosarcoma, Retroperitoneal, Tumour, Surgery, Chemotherapy, Dog.
Clin. Vet. Peq. Anim, 2016, 36 (1): 23-27
Descargar artículo

Resumen

Las neoplasias retroperitoneales son en general infrecuentes en nuestros animales de compañía. En el siguiente caso clínico describimos la historia, diagnóstico, tratamiento y seguimiento de un perro con hemangiosarcoma retroperitoneal diagnosticado mediante ecografía abdominal y tomografía computarizada (TC). El tratamiento consistió en cirugía y tratamiento quimioterápico adyuvante, con unos resultados de supervivencia muy superiores a lo descrito en la bibliografía, pudiéndose deber a la detección y tratamiento precoz, ausencia de invasión local, resección quirúrgica completa y a la combinación de fármacos adyuvantes utilizada.

Abstract

Normally, retroperitoneal tumors are rare in our pet patients. In the following case we describe the history, diagnosis, treatment and follow up of a dog with a retroperitoneal hemangiosarcoma diagnosed by abdominal ultrasound and computed tomography (CT). Treatment consisted of surgery and adjuvant chemotherapy with a much higher survival result than that described in the literature, maybe due to early detection and treatment, absence of local invasion, complete surgical resection and the combination of adjuvant drugs.

AVEPA Elearning

La presencia de este logo en un artículo de la revista indica que se publicará un examen sobre el mismo en la plataforma AVEPA Elearning. Su resolución aporta 0,15 créditos dentro del sistema de acreditaciones de especialidades veterinarias de AVEPA.

Introducción

Los hemangiosarcomas (HSA) son neoplasias malignas originadas en el endotelio vascular.[ Douglas H. T: Hemangiosarcoma. En Withrow and MacEwen’s Small animal Clinical Oncology. 4th ed. St. Louis: Missouri; Saunders/ElSevier 2013. ] Recientemente ha sido demostrado un posible origen en las células hematopoyéticas.[ Gorden BHm Kim JH, Sarver AL et al. Identification of three molecular and functional subtypes in canine hemangiosarcoma through gene expression profiling and progenitor cell characterization. Am J of Pathol 2014; 184: 985-995. [PubMed] ] Se presentan con mayor frecuencia en el bazo, seguido de localizaciones menos frecuentes como la cutánea-subcutánea, cardiaca, hepática, renal y retroperitoneal, siendo esta última localización muy rara.[ Douglas H. T: Hemangiosarcoma. En Withrow and MacEwen’s Small animal Clinical Oncology. 4th ed. St. Louis: Missouri; Saunders/ElSevier 2013. ] El pronóstico en estos tumores ha sido clásicamente asociado al tamaño de la masa, la invasión local y a la presencia de metástasis a distancia.[ Schultheiss C.P. A Retrospective Study of Visceral and Nonvisceral Hemangiosarcoma and Hemangiomas in Domestic Animals. J Vet Diag Invest 2004; 16:522-626. [PubMed] ]

El objetivo del presente artículo es la descripción del diagnóstico, tratamiento quirúrgico y médico en un caso clínico de hemangiosarcoma retroperitoneal con larga supervivencia en el perro.

Caso clínico

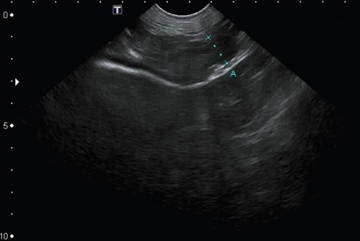
Remiten al servicio de cirugía un Bóxer hembra de 10 años, esterilizada, para evaluación y tratamiento de una masa vascularizada y encapsulada de 2,23cm x 4,74cm, caudal al riñón izquierdo, diagnosticada por ecografía abdominal en su veterinario remitente (Fig. 1).

<p>Imagen ecográfica en la que observamos la masa encapsulada hipoecogénica de 2,23 x 4,74 cm.</p>
Figura 1

Imagen ecográfica en la que observamos la masa encapsulada hipoecogénica de 2,23 x 4,74 cm.

El motivo de la ecografía abdominal fue una historia de poliuria/polidipsia (PU/PD), sin otros síntomas. Las analíticas incluyeron un hemograma y perfil bioquímico, sin mostrar cambios significativos. El examen clínico general resultó normal.

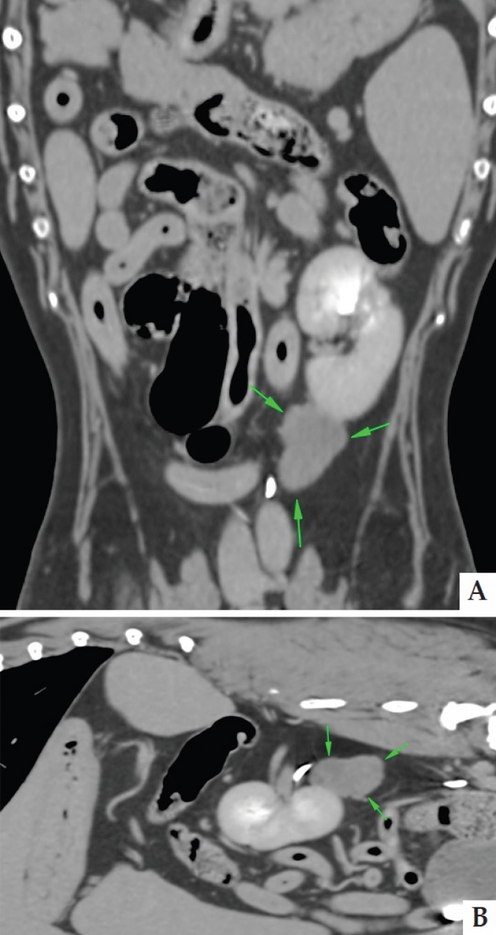
Se decidió realizar una tomografía computarizada (Toshiba Aquilion® 16 cortes, modelo CBTB-016A, 3-200V, 50/60Hz 1.2 KvA, California) de abdomen y tórax con contraste intravenoso (IV) iodado no iónico iomerol 400 mgl/kg (Iomeron® 250 mg/ml, s.p.a Milán). Este examen complementario se realizó para determinar la localización exacta de la masa y su relación con los tejidos circundantes, así como para descartar metástasis. Se observó una masa retroperitoneal izquierda localizada en íntimo contacto con el polo caudal del riñón izquierdo a nivel caudo-dorsal y medial. Esta masa irregular en su forma era avascular (Fig. 2). Entre la fase pre-contraste y las fases post-contraste arterial y venosa, no se encuentran diferencias de atenuación basadas en mediciones de unidades Hounsfield (entre 25-41 en las distintas partes de la masa). En la fase venosa se observó el uréter izquierdo relleno de contraste, justo dorsal a la masa, sin evidencias claras de adherencias. El resto del abdomen y el tórax no presentaron anomalías.

<p>Imágenes de tomografía computerizada post-contraste: A. Reconstrucción dorsal. B. Reconstrucción sagital en ventana de tejido blando en fase arterial, donde se observa la localización caudo-medial de la masa en contacto con el polo caudal del riñón izquierdo.</p>
Figura 2

Imágenes de tomografía computerizada post-contraste: A. Reconstrucción dorsal. B. Reconstrucción sagital en ventana de tejido blando en fase arterial, donde se observa la localización caudo-medial de la masa en contacto con el polo caudal del riñón izquierdo.

Dada la localización profunda retroperitoneal de la masa, se decidió no realizar una punción con aguja fina o biopsia para limitar el riesgo de hemorragia y de diseminación celular en el caso de ser de origen maligno. El protocolo anestésico utilizado para la intervención quirúrgica constó de: premedicación con metadona 0,2 mg/kg subcutánea (SC) (Metasedin®, Esteve, Barcelona), inducción con propofol 5 mg/kg IV (Vetofol®, Esteve, Barcelona) y mantenimiento anestésico con oxígeno 100% e isofluorano (IsoFlo®, Esteve, Barcelona).

El paciente se preparó de forma aséptica convencional para cirugía abdominal por línea media. La cirugía empezó con una laparoscopia exploratoria con dos puertos en línea alba de 10 mm (puerto laparoscopio) y 5 mm (puerto instrumental) (Fig. 3). Dada la localización de difícil acceso en la zona retroperitoneal caudo-medial al riñón izquierdo, el aspecto macroscópico altamente vascular y friable de la masa, sin poder evidenciar su origen preciso, y con la posibilidad de tener un comportamiento biológico maligno, se decidió convertir a cirugía abierta para limitar los riesgos de diseminación celular y hemorragia en caso de efracción capsular de la masa, altamente posible en esas circunstancias. Se practicó una laparotomía exploratoria convencional por línea alba desde la apófisis xifoides al pubis. Tras la apertura del retroperitoneo de la zona adyacente a la masa mediante electrocirugía bipolar, se confirmó que la masa tenía una cápsula extremadamente fina y que no había invasión local (Fig. 3). Utilizando una combinación de disección roma con torundas quirúrgicas y pinzas bipolares, la masa pudo ser disecada y retirada en su totalidad. En ningún momento la masa fue manipulada directamente con instrumentos, ni traccionada con suturas de apoyo, para limitar el riesgo de ruptura capsular y consecuente sangrado y diseminación celular. Aunque no se observó infiltración, esta masa estaba en contacto con el uréter izquierdo y su vascularización, pudiendo ser disecados y preservados (Figs. 4 y 5), usando dos hemoclips para el aislamiento vascular de la masa y estas estructuras. Entre la fase de escisión y cierre se realizó cambio de instrumental y guantes para así disminuir el riesgo de diseminación celular. Durante la intervención no se observaron complicaciones anestésicas y/o quirúrgicas. La evolución postquirúrgica previa al alta fue de 24 horas de hospitalización bajo observación y tratamiento médico con: cefazolina 22 mg/kg IV (Cefazolina Normon 1 g solución parenteral, Laboratorios Normon, Madrid, España), metadona 0,2 mg/kg SC (Metasedin®, Esteve, Barcelona). El paciente evolucionó favorablemente sin complicaciones postoperatorias hasta su alta hospitalaria.

<p>Imagen de laparoscopia exploratoria con dos puertos en línea alba de 10 mm (puerto laparoscopio) y 5 mm (puerto instrumental).</p>
Figura 3

Imagen de laparoscopia exploratoria con dos puertos en línea alba de 10 mm (puerto laparoscopio) y 5 mm (puerto instrumental).

<p>Imagen quirúrgica intraoperatoria tras la apertura del retroperitoneo y localización de la masa.</p>
Figura 4

Imagen quirúrgica intraoperatoria tras la apertura del retroperitoneo y localización de la masa.

<p>Imagen quirúrgica intraoperatoria de la zona donde se situaba el tumor justo después de la extirpación completa de la masa retroperitoneal.</p>
Figura 5

Imagen quirúrgica intraoperatoria de la zona donde se situaba el tumor justo después de la extirpación completa de la masa retroperitoneal.

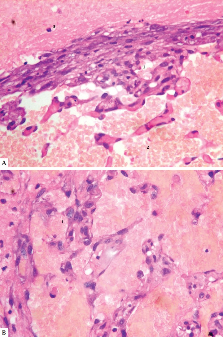
La masa íntegra (Fig. 6) se envió para su examen histopatológico, que confirmó un hemangiosarcoma, con extirpación aparentemente completa (Fig. 7).

<p>Aspecto macroscópico de la masa retroperitoneal ya extirpada.</p>
Figura 6

Aspecto macroscópico de la masa retroperitoneal ya extirpada.

<p>Células endoteliales de pleomorfismo moderado, mostrando núcleo redondo u ovoide con anisocariosis moderada (1), formando luces vasculares irregulares con abundante número de eritrocitos (2) y escasa cantidad de fibrina, plasma y leucocitos (3). Hematoxilina & Eosina. 400x.</p>
Figura 7

Células endoteliales de pleomorfismo moderado, mostrando núcleo redondo u ovoide con anisocariosis moderada (1), formando luces vasculares irregulares con abundante número de eritrocitos (2) y escasa cantidad de fibrina, plasma y leucocitos (3). Hematoxilina & Eosina. 400x.

Dada la agresividad y alta tasa de metástasis que presentan, se comenzó un protocolo de quimioterapia consistente en doxorubicina 30 mg/m2 cada 3 semanas por un total de 4 dosis, acompañadas por controles analíticos, radiografías torácicas y ecocardiografía. Una vez terminado el protocolo de doxorubicina se comenzó una terapia antiangiogénica con el fármaco fosfato de toceranib (Palladia®, Zoetis, Alcobendas, Madrid) a 2,5 mg/Kg, lunes, miércoles y viernes con una duración de 6 meses.[ Bernabe LF, Roberta P, Sandra N, et al. Evaluation of the adverse event profile and pharmacodynamics of toceranib phosphate administered to dogs with solid tumors at doses below the maximum tolerated dose. BMC Vet Res 2013; 9:190-200. [PubMed] ] La monitorización del paciente se llevó a cabo mediante analíticas generales, ecografía abdominal y radiografías torácicas cada 3 meses durante el primer año, pasando a cada 4 meses el segundo año, sin detectar signos clínicos, metástasis o recidivas 17 meses después de la intervención.

Discusión

Los sarcomas retroperitoneales son neoplasias muy poco frecuentes en perros, siendo el más frecuente el hemangiosarcoma, seguido por el osteosarcoma y condrosarcoma.[ Schultheiss C.P. A Retrospective Study of Visceral and Nonvisceral Hemangiosarcoma and Hemangiomas in Domestic Animals. J Vet Diag Invest 2004; 16:522-626. [PubMed] ] Estos tumores se han descrito en medicina humana definiéndose como neoplasias mesenquimatosas originadas en el espacio retroperitoneal, sin incluir las que se originan en órganos retroperitoneales como uréteres, glándulas adrenales y riñones.[ Smith AN. Hemangiosarcoma in dogs and cats. Vet Clin North Am Small Anim Pract 2003; 33: 533–552. [PubMed] ] A diferencia de los perros, la neoplasia retroperitoneal más frecuente en medicina humana es el liposarcoma.[ Smith AN. Hemangiosarcoma in dogs and cats. Vet Clin North Am Small Anim Pract 2003; 33: 533–552. [PubMed] ]

Tanto en medicina humana como en veterinaria ha sido demostrado que estos tumores retroperitoneales y en particular el hemangiosarcoma, son localmente muy invasivos, con una tasa de metástasis y de recidivas locales muy elevadas.[ Schultheiss C.P. A Retrospective Study of Visceral and Nonvisceral Hemangiosarcoma and Hemangiomas in Domestic Animals. J Vet Diag Invest 2004; 16:522-626. [PubMed] ]

Cuando la resección quirúrgica completa es posible y no existe evidencia de metástasis distantes, el tratamiento recomendado consiste en cirugía marginal sin efracción capsular y quimioterapia adyuvante.[ Douglas H. T: Hemangiosarcoma. En Withrow and MacEwen’s Small animal Clinical Oncology. 4th ed. St. Louis: Missouri; Saunders/ElSevier 2013. , Schultheiss C.P. A Retrospective Study of Visceral and Nonvisceral Hemangiosarcoma and Hemangiomas in Domestic Animals. J Vet Diag Invest 2004; 16:522-626. [PubMed] , Liptak JM, William S. D, Eugene J. E, et al. Retroperitoneal Sarcomas in dogs: 14 cases (1992-2002). J Am Vet Med Assoc 2004; 224:1471-1477. [PubMed] , Tobias KM, Johnson SA. Textbook of Veterinary Surgery: Small Animal. Saunders, Philadelphia. 2012. ]

La imagen avanzada, como la tomografía computerizada y la resonancia magnética nuclear, han facilitado enormemente el trabajo de acercamiento inicial y estadificación tumoral, siendo actualmente indispensable en la tipificación tumoral, el grado de invasión local y la localización de metástasis hacia los nódulos linfáticos y metástasis distantes.[ Tobias KM, Johnson SA. Textbook of Veterinary Surgery: Small Animal. Saunders, Philadelphia. 2012. ] Recientes estudios tomográficos han remarcado la heterogenicidad pre y post contraste de estos tumores, además de la invasión local que los caracteriza, contrariamente al caso descrito en esta publicación. Los hemangiosarcomas, han mostrado en un 76% de los casos, un aumento en la captación de contraste focal. Este hallazgo es producido por acumulación de contraste en los canales vasculares de dichos tumores, al contrario de otros sarcomas de tejido blando.[ Fukuda S, Kobayashi T, Robertson ID, et al. Computed tomographic features of canine non parenchymal hemangiosarcoma. Vet Radiol Ultrasound 2014, 55: 374-379. [PubMed] ] En el caso descrito no se observó captación de contraste, ya que en el momento de la tomografía la masa se caracterizó como avascular.

Según los principios de cirugía oncológica, la mejor oportunidad para la resección completa es el primer intento. Con esa premisa toda cirugía oncológica debe ir planificada y precedida de una identificación y determinación del estadio tumoral. El tumor debe siempre ser retirado de manera completa. Dependiendo del tipo, localización del tumor y objetivo de la cirugía, el margen quirúrgico puede ser marginal, amplio o radical. En el caso que el tumor afecte a órganos o estructuras encapsuladas, como en este caso, lo más importante es preservar la cápsula intacta, sin necesidad de resecar márgenes extracapsulares cuando el tumor no atraviesa la cápsula. Es importante asegurar un buen control de la hemostasia, realizar cambio de instrumental y guantes entre la escisión y el cierre, limitar la manipulación tumoral y no comprometer la integridad del tumor para así disminuir el riesgo de diseminación celular. El marcaje del tumor para facilitar al patólogo la descripción de márgenes quirúrgicos, será indispensable a la hora de la interpretación de los resultados de los márgenes.[ Tobias KM, Johnson SA. Textbook of Veterinary Surgery: Small Animal. Saunders, Philadelphia. 2012. ] En este caso, al tratarse de una masa abdominal encapsulada, lo primordial es conservar la integridad capsular sin necesidad de marcado tumoral.[ Kamstock DA, Ehrhart EJ, Getzy DM, et al. Recommended guidelines for submission, trimming, margin evaluation and reporting of tumor biopsy specimens in veterinary surgical pathology. Vet Pathol 2011;48:19-31. [PubMed] ]

La terapia adyuvante más utilizada es la doxorubicina, que se considera el fármaco de elección en hemangiosarcoma de cualquier localización.[ Douglas H. T: Hemangiosarcoma. En Withrow and MacEwen’s Small animal Clinical Oncology. 4th ed. St. Louis: Missouri; Saunders/ElSevier 2013. ] Se ha demostrado que la mayoría de HSA caninos expresan el receptor de la tirosin quinasa KIT y el factor de crecimiento del endotelio vascular VEGFR2,[ Sabattini S, Bettini G. An immunohistochemical analysis of canine haemangioma and haemangiosarcoma. J Comp Pathol 2009; 140:158-68. [PubMed] ] así como el receptor para el factor derivado de las plaquetas (PDGF-β) en humana,[ Asa SA, Murai A, Murakami. M, et al. Expression of platelet-derived growth factor and its receptors in spontaneous canine hemangiosarcoma and cutaneous hemangioma. Histol Histopathol 2012; 27:601-7. [PubMed] ] tratándose de dianas del inhibidor de la tirosina quinasa fosfato de toceranib. Además, se ha demostrado que la señalización de VEGFR2 y KIT pueden bloquearse en las células tumorales de HSA, y que el bloqueo de estas vías en modelos de ratón de HSA canino puede ralentizar el crecimiento tumoral. Por lo tanto, la investigación clínica de los inhibidores de VEGFR2/KIT como terapia para los perros con HSA es el siguiente paso lógico y una practica habitual en los últimos años en oncología medica veterinaria, donde se ha recomendado de manera generalizada el uso de terapias antiangiogénicas una vez finalizados los protocolos de quimioterapia basados en doxorubicina para HSA. La elección de Palladia® (Zoetis, Alcobendas, Madrid) como terapia antiangiogénica en nuestro caso, se basó en la evidencia de estos estudios clínicos y la decisión del dueño de intentar algún tipo de terapia que pudiese aumentar la expectativa de vida del paciente, siendo conscientes de la ausencia de literatura científica que demuestre su beneficio clínico, pero al mismo tiempo del mal pronostico histórico del diagnóstico de hemangiosarcoma retroperitoneal.[ Alvarez FJ, Hosoya. K, Lara-Garcia. A, et al. VAC Protocol for Treatment of Dogs with Stage III Hemangiosarcoma. J Am Anim Hosp Assoc 2013; 49:370–377. [PubMed] , Finotello R, Stefanello. D, Zini. E, et al. Comparasion of doxarrubicin-cyclophosphamide with doxorrubicin-dacarbazine for the adjuvant treatment of canine hemangiosarcoma. Vet and Comp Oncol 2015; 26. [PubMed] ]

Las opciones terapéuticas en el grado II donde tenemos ligera invasión local, afectación de nódulos linfáticos y ausencia de metástasis, debería constar de resección tumoral macroscópica completa acompañada siempre de quimioterapia adyuvante. En grado III, cuando la metástasis distante se ha instaurado y la invasión local es agresiva, se ha descrito una tasa de éxito en la resección quirúrgica radical de únicamente el 50%, sin por ello mejorar el pronóstico, por lo que la opción quirúrgica no se recomienda cuando la resección completa es improbable.[ Douglas H. T: Hemangiosarcoma. En Withrow and MacEwen’s Small animal Clinical Oncology. 4th ed. St. Louis: Missouri; Saunders/ElSevier 2013. , Liptak JM, William S. D, Eugene J. E, et al. Retroperitoneal Sarcomas in dogs: 14 cases (1992-2002). J Am Vet Med Assoc 2004; 224:1471-1477. [PubMed] ] El grado tumoral y la resección quirúrgica completa siguen siendo los factores pronósticos más importantes.[ Douglas H. T: Hemangiosarcoma. En Withrow and MacEwen’s Small animal Clinical Oncology. 4th ed. St. Louis: Missouri; Saunders/ElSevier 2013. ] La aplicación de tratamientos multimodales ha sido relacionada con las mejores tasas de supervivencia y tiempos libre de enfermedad.[ Douglas H. T: Hemangiosarcoma. En Withrow and MacEwen’s Small animal Clinical Oncology. 4th ed. St. Louis: Missouri; Saunders/ElSevier 2013. ]

En la mayoría de los casos de hemangiosarcoma retroperitoneal descritos, la muerte es causada por la neoplasia; y en un estudio realizado en perros,[ Liptak JM, William S. D, Eugene J. E, et al. Retroperitoneal Sarcomas in dogs: 14 cases (1992-2002). J Am Vet Med Assoc 2004; 224:1471-1477. [PubMed] ] la supervivencia media es de 37,5 días. Cabe destacar que nuestro paciente se encuentra libre de enfermedad 510 días después del diagnóstico, pudiéndose deber a la detección precoz, ausencia de invasión local, resección quirúrgica completa y combinación de fármacos adyuvantes utilizada.

Al no observase ninguna relación entre los limitados signos clínicos del paciente y la presencia del tumor, se consideró un hallazgo ecográfico casual ante una investigación de la subjetiva PU/PD.

Agradecimientos

El autor agradece a Isabel Martinez la remisión de este caso. De igual modo agradece al servicio de histopatología de Histovet las imágenes cedidas.

 

Fuente de financiación: Privada.

Conflicto de intereses: Los autores declaran que no existe ningún conflicto de intereses.

Bibliografía

  1. [1] Douglas H. T: Hemangiosarcoma. En Withrow and MacEwen’s Small animal Clinical Oncology. 4th ed. St. Louis: Missouri; Saunders/ElSevier 2013.
  2. [2] Gorden BHm Kim JH, Sarver AL et al. Identification of three molecular and functional subtypes in canine hemangiosarcoma through gene expression profiling and progenitor cell characterization. Am J of Pathol 2014; 184: 985-995. [PubMed]
  3. [3] Schultheiss C.P. A Retrospective Study of Visceral and Nonvisceral Hemangiosarcoma and Hemangiomas in Domestic Animals. J Vet Diag Invest 2004; 16:522-626. [PubMed]
  4. [4] Bernabe LF, Roberta P, Sandra N, et al. Evaluation of the adverse event profile and pharmacodynamics of toceranib phosphate administered to dogs with solid tumors at doses below the maximum tolerated dose. BMC Vet Res 2013; 9:190-200. [PubMed]
  5. [5] Smith AN. Hemangiosarcoma in dogs and cats. Vet Clin North Am Small Anim Pract 2003; 33: 533–552. [PubMed]
  6. [6] Liptak JM, William S. D, Eugene J. E, et al. Retroperitoneal Sarcomas in dogs: 14 cases (1992-2002). J Am Vet Med Assoc 2004; 224:1471-1477. [PubMed]
  7. [7] Tobias KM, Johnson SA. Textbook of Veterinary Surgery: Small Animal. Saunders, Philadelphia. 2012.
  8. [8] Fukuda S, Kobayashi T, Robertson ID, et al. Computed tomographic features of canine non parenchymal hemangiosarcoma. Vet Radiol Ultrasound 2014, 55: 374-379. [PubMed]
  9. [9] Kamstock DA, Ehrhart EJ, Getzy DM, et al. Recommended guidelines for submission, trimming, margin evaluation and reporting of tumor biopsy specimens in veterinary surgical pathology. Vet Pathol 2011;48:19-31. [PubMed]
  10. [10] Sabattini S, Bettini G. An immunohistochemical analysis of canine haemangioma and haemangiosarcoma. J Comp Pathol 2009; 140:158-68. [PubMed]
  11. [11] Asa SA, Murai A, Murakami. M, et al. Expression of platelet-derived growth factor and its receptors in spontaneous canine hemangiosarcoma and cutaneous hemangioma. Histol Histopathol 2012; 27:601-7. [PubMed]
  12. [12] Alvarez FJ, Hosoya. K, Lara-Garcia. A, et al. VAC Protocol for Treatment of Dogs with Stage III Hemangiosarcoma. J Am Anim Hosp Assoc 2013; 49:370–377. [PubMed]
  13. [13] Finotello R, Stefanello. D, Zini. E, et al. Comparasion of doxarrubicin-cyclophosphamide with doxorrubicin-dacarbazine for the adjuvant treatment of canine hemangiosarcoma. Vet and Comp Oncol 2015; 26. [PubMed]

Artículos recomendados

Estas recomendaciones se ofrecen de forma automática.

  • Síndrome faloidiano por intoxicación con Lepiota brunneoincarnata en un perro

    P. Álvarez, I. Vigueras, C. Torrente
    Clin Vet Peq Anim Vol. 37 - Nº 1 · MAR 2017 · Artículo original referido a un solo caso clínico
  • Osteosarcoma maxilar en un perro
    M. Blanco-Nieto, S. Reina de Blas
    Clin Vet Peq Anim Vol. 36 - Nº 4 · DIC 2016 · Artículo original referido a un solo caso clínico
  • Resultados del test intradérmico en perros con dermatitis atópica: estudio retrospectivo de 176 casos en Andalucía
    M. Pérez-Aranda, B. Blanco, E. Hernández, et al.
    Clin Vet Peq Anim Vol. 36 - Nº 4 · DIC 2016 · Artículo original referido a múltiples casos clínicos
  • Inicio
  • Introducción
  • Caso clínico
  • Discusión
  • Agradecimientos
  • Bibliografía
Artículo anterior Índice de la revista Artículo siguiente
ANUNCIO
Próximos cursos ATVs Elearning
Índice
Inicio Introducción Caso clínico Discusión Agradecimientos Bibliografía
Yumove Distrivet
ANUNCIO

¿No eres socio de AVEPA y quieres recibir comunicación de las nuevas ediciones en tu correo?

Suscríbete

Suscríbete y te avisaremos cuando publiquemos un nuevo número

Suscribirme

Enlaces rápidos

  • Inicio
  • Último número
  • Archivo
  • Artículos

Información

  • Comité editorial
  • Política de cookies
  • Política de privacidad
  • Términos y condiciones

Contacto

  • info@imaginice.com
  • Envíanos tu artículo
© 2026 Ice Salud Vet SL. Todos los derechos reservados.

Usamos cookies para mejorar tu experiencia. Selecciona cuáles aceptas: