Logo AVEPA

Clínica Veterinaria de Pequeños Animales

Revista oficial de AVEPA

  • Inicio
  • Último número
  • Archivo
  • Artículos
  • Para autores
  • Contacto
Cursos Junio-Septiembre 2026
ANUNCIO

Clínica Veterinaria de Pequeños Animales

Revista oficial de AVEPA

  • Inicio
  • Último número
  • Archivo
  • Artículos
  • Para autores
  • Contacto
Curso Oftalmología 2026
ANUNCIO
Clin Vet Peq Anim Vol. 40 • Nº 1 • marzo 2020

¿Cuál es tu diagnóstico?

¿Cuál es tu diagnóstico?

A. Segarra

V. Imagen. Servicio de ecografía itinerante. 30560 Molina de Segura (Murcia).

A. Carrión

V. Imagen. Servicio de ecografía itinerante. 30560 Molina de Segura (Murcia).

S. Sánchez

Hospital de la Fundación Clínica Veterinaria. Universidad de Murcia. Campus de Espinardo. 30100 Murcia.

C. Ródenas

Hospital de la Fundación Clínica Veterinaria. Universidad de Murcia. Campus de Espinardo. 30100 Murcia.

J. Carrillo

Hospital de la Fundación Clínica Veterinaria. Universidad de Murcia. Campus de Espinardo. 30100 Murcia.

M. Soler

Hospital de la Fundación Clínica Veterinaria. Universidad de Murcia. Campus de Espinardo. 30100 Murcia.

Contacto: amayasega@hotmail.com
Descargar artículo

Historia clínica

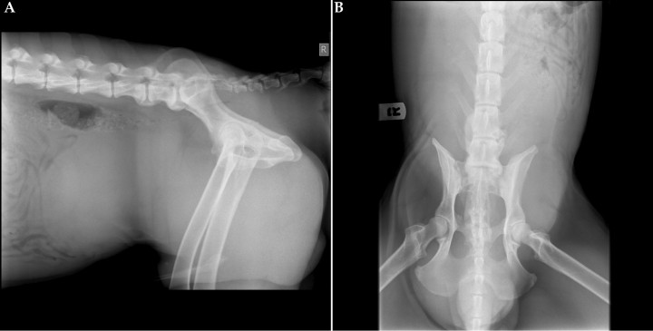
Se presentó en la consulta un perro de raza Weimaraner, macho no castrado de 3 años de edad, por una protrusión de la zona perineal izquierda, así como una historia de disuria y estreñimiento crónico desde hace una semana. En el examen físico se apreció distensión abdominal. Se hizo un estudio radiológico del abdomen, con proyecciones lateral derecha (Fig. 1A) y ventrodorsal (Fig. 1B).

<p>(<strong>A</strong>) Proyección lateral derecha. (<strong>B</strong>) Proyección ventrodorsal de abdomen de un perro de tres años de edad que se presenta con historia de disuria, estreñimiento y protusión perineal.</p>
Figura 1

(A) Proyección lateral derecha. (B) Proyección ventrodorsal de abdomen de un perro de tres años de edad que se presenta con historia de disuria, estreñimiento y protusión perineal.

Describe las anormalidades radiográficas que se observan

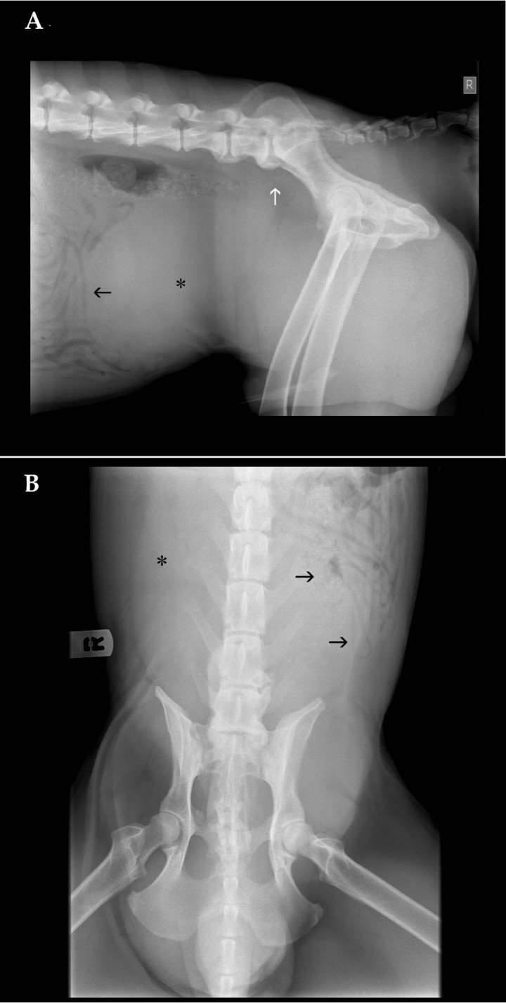
Se visualiza una masa redondeada de opacidad tejido blando ocupando el abdomen caudal desde L4 a L7, además de pérdida de definición de serosas. Produce efecto masa con desplazamiento craneal y hacia el lado izquierdo de asas intestinales, así como desplazamiento dorsal del colon descendente, produciendo una estenosis de su luz a nivel de L7 que se continúa caudalmente hasta la primera vértebra coccígea (Fig. 2A y 2B). Además, se visualiza una estructura de opacidad tejido blando que se extiende desde abdomen caudal hacia el canal pélvico, protruyendo hacia la región perineal. Puede observarse también osteoartrosis a nivel de L6-S1 (Fig. 2A).

<p>Mismas imágenes que en Figura 1. (<strong>A</strong>) Proyección lateral derecha. Se observa una estructura de opacidad tejido blando ocupando el abdomen caudal (asterisco), con desplazamiento craneal de las asas intestinales (flecha negra) y desplazamiento dorsal del colon descendente, produciendo estenosis de su luz a nivel de L7 (flecha blanca). (<strong>B</strong>) Proyección ventrodorsal. Al igual que en la proyección lateral, se observa la misma estructura de opacidad tejido blando (asterisco), así como el desplazamiento de las asas intestinales (flechas negras).</p>
Figura 2

Mismas imágenes que en Figura 1. (A) Proyección lateral derecha. Se observa una estructura de opacidad tejido blando ocupando el abdomen caudal (asterisco), con desplazamiento craneal de las asas intestinales (flecha negra) y desplazamiento dorsal del colon descendente, produciendo estenosis de su luz a nivel de L7 (flecha blanca). (B) Proyección ventrodorsal. Al igual que en la proyección lateral, se observa la misma estructura de opacidad tejido blando (asterisco), así como el desplazamiento de las asas intestinales (flechas negras).

¿Cuáles son los diagnósticos diferenciales con estos signos radiográficos?

Ante una masa abdominal en el abdomen caudal, con desplazamiento craneal y hacia el lado izquierdo del intestino delgado y dorsal del colon descendente, consideramos los siguientes diagnósticos diferenciales: distensión o masa en la vejiga, prostatomegalia (p. ej., hiperplasia prostática benigna, prostatitis, absceso o neoplasia prostática), quistes paraprostáticos, tumor en abdomen caudal (p. ej., lipoma, sarcoma, carcinoma). En cuanto a la región perineal, el diagnóstico diferencial más probable sería quiste paraprostático intrapélvico, hernia perineal con inclusión de la vejiga, la próstata y/o un divertículo rectal conteniendo heces, masa uretral o de otro tipo de tejido blando como neoplasia de glándulas anales o rectal.[ Dennis R, Kirberger R.M, Barr F, Wrigley R.H. Handbook of Small Animal Radiology and Ultrasound. Saunders. Elsevier. Second edition. Croydon (UK), 2010; 255-262. ]

¿Qué otras técnicas realizarías para alcanzar el diagnóstico definitivo?

En este caso se realizó una ecografía abdominal en la que se observó un aumento de tamaño y ecogenicidad de la próstata y una estructura de apariencia quística que parecía originarse de la misma y que seguía un crecimiento en dirección laterocraneal. Dicha estructura presentaba unas dimensiones aproximadas de 5 x 7 cm y, en su interior, contenido ecogénico, por lo que podía ser compatible con un quiste o absceso prostático o quiste paraprostático. Además, se visualizaron otras dos estructuras de apariencia quística craneales a la próstata de 7 x 8 cm y 5 x 6 cm, respectivamente, con contenido líquido hipoecogénico así como una estructura ecogénica redondeada dentro (Fig. 3A). En el interior de la zona perineal izquierda se visualizó una estructura quística con contenido anecógeno (Fig. 3B).

<p>Imágenes ecográficas de los quistes paraprostáticos. (<strong>A</strong>) Corte longitudinal de un quiste abdominal con contenido hipoecogénico y centro ecogénico. (<strong>B</strong>) Corte transversal de quiste paraprostático en la zona perineal, con contenido anecógeno en su interior.</p>
Figura 3

Imágenes ecográficas de los quistes paraprostáticos. (A) Corte longitudinal de un quiste abdominal con contenido hipoecogénico y centro ecogénico. (B) Corte transversal de quiste paraprostático en la zona perineal, con contenido anecógeno en su interior.

El estudio ecográfico de la cavidad abdominal fue compatible con presencia de quistes paraprostáticos, quistes o abscesos prostáticos, granulomas, hematomas o, con menor probabilidad, neoplasia prostática. Con respecto a la zona perineal, las imágenes ecográficas fueron compatibles con un desplazamiento caudal y protrusión hacia la zona perineal de un quiste paraprostático.[ Dennis R, Kirberger R.M, Barr F, Wrigley R.H. Handbook of Small Animal Radiology and Ultrasound. Saunders. Elsevier. Second edition. Croydon (UK), 2010; 255-262. ]

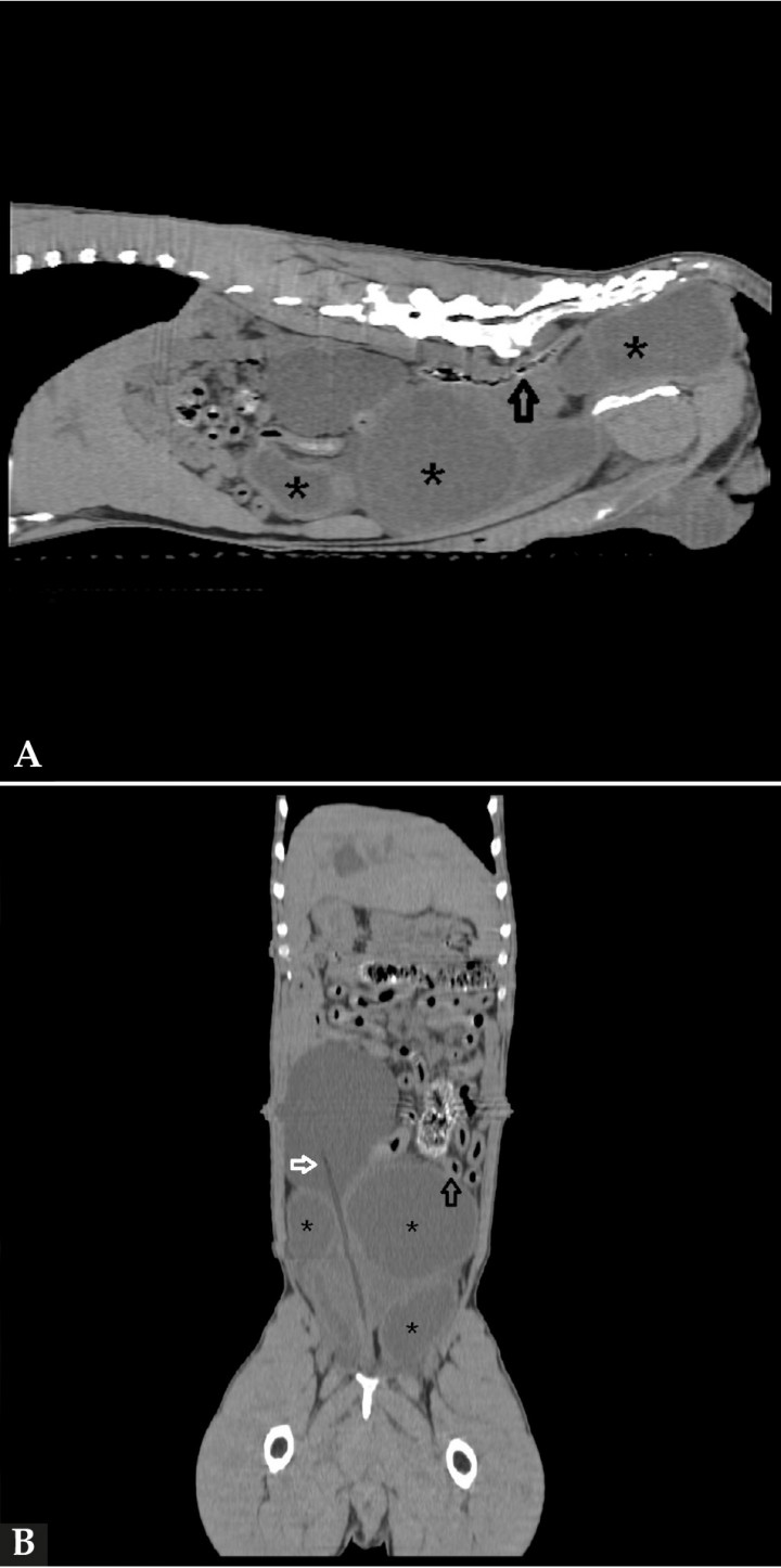
Para caracterizar estos hallazgos y plantear una cirugía, se realizó una tomografía computarizada (TC) de cavidad abdominal con fases de pre y poscontraste. Se realizó con el paciente sondado con catéter urinario para facilitar la localización de la vejiga. En el estudio de TC se confirmó la presencia de múltiples quistes que presentaban unas dimensiones de 11,5 x 7,5 cm CrCd, 17 x 9 cm DV y 11 x 9 cm LL, respectivamente, siendo más grandes que en el estudio ecográfico anterior y produciendo un desplazamiento marcado de las asas intestinales y el colon, así como el riñón derecho al cual la vejiga comprimía y desplazaba dorsalmente. Otros hallazgos fueron el aumento del ganglio linfático ilíaco medial izquierdo y la próstata aumentada de tamaño y con textura heterogénea (Fig. 4). En base a las imágenes obtenidas, el diagnóstico presuntivo fue de prostatitis y presencia de quistes paraprostáticos con desplazamiento de uno de ellos hacia la zona perineal izquierda y herniación del mismo.

<p>Imágenes de tomografía computarizada. (<strong>A</strong>) Reconstrucción en plano sagital en ventana de tejidos blandos. Se visualizan los quistes paraprostáticos (asteriscos) y el desplazamiento del colon (flecha negra) (<strong>B</strong>) Reconstrucción en plano dorsal en ventana de tejidos blandos. Diferenciamos los quistes paraprostáticos (asteriscos) de la vejiga de la orina con presencia del catéter urinario (flecha blanca). Además se evidencia el desplazamiento de las asas intestinales (flecha negra).</p>
Figura 4

Imágenes de tomografía computarizada. (A) Reconstrucción en plano sagital en ventana de tejidos blandos. Se visualizan los quistes paraprostáticos (asteriscos) y el desplazamiento del colon (flecha negra) (B) Reconstrucción en plano dorsal en ventana de tejidos blandos. Diferenciamos los quistes paraprostáticos (asteriscos) de la vejiga de la orina con presencia del catéter urinario (flecha blanca). Además se evidencia el desplazamiento de las asas intestinales (flecha negra).

Se procedió a la resolución quirúrgica de la hernia perineal mediante la recolocación del quiste paraprostático en la cavidad abdominal y aplicación de una malla de polipropileno. Como tratamiento de los quistes paraprostáticos se procedió a su drenaje y omentalización. Se tomaron muestras de la pared de los quistes paraprostáticos, confirmándose su diagnóstico mediante un estudio histopatológico.

Comentario

Los quistes paraprostáticos o pseudoquistes son cavidades que se originan muy próximas a la próstata y pueden alcanzar grandes dimensiones. Son más probables en razas grandes y en animales de edad avanzada. A diferencia de las cavidades quísticas prostáticas, los quistes paraprostáticos presentan una comunicación estructural mínima con la próstata y no tienen comunicación con la uretra. Su origen puede ser debido a la oclusión ductal por metaplasia escamosa, evolución de un hematoma prostático o un remanente del sistema del conducto Mulleriano lleno de líquido.[ Hecht S, Pollard R. Male reproductive tract. En Penninck D, d’Anjou MA (ed): Altas of small animal ultrasonography . Wiley Blackwell. Second edition. Iowa (USA), 2015; 423-452. ]

La apariencia radiográfica del quiste paraprostático es de una estructura redondeada de opacidad tejido blando en abdomen caudal, similar a la vejiga. Puede diferenciarse de ésta mediante técnicas de contraste radiográfico. En la ecografía la apariencia de los quistes prostáticos y paraprostáticos puede ser muy similar, presentando normalmente una pared hiperecogénica,[ Renfrew H, Barrett EL, Bradley KJ, Barr FJ. Radiographic and ultrasonographic features of canine paraprostatic cysts. Vet Radiol & Ultrasound 2008; 49: 444-448. [pubMed] ] variable en grosor y con un contenido que puede variar de anecógeno a hiperecogénico. Pueden ser de gran tamaño, contener septos internos o incluso mineralizaciones.[ Hecht S, Pollard R. Male reproductive tract. En Penninck D, d’Anjou MA (ed): Altas of small animal ultrasonography . Wiley Blackwell. Second edition. Iowa (USA), 2015; 423-452. ] Además, pueden presentar tejido sólido en su interior, como se detectó en uno de los quistes de nuestro caso clínico.[ Renfrew H, Barrett EL, Bradley KJ, Barr FJ. Radiographic and ultrasonographic features of canine paraprostatic cysts. Vet Radiol & Ultrasound 2008; 49: 444-448. [pubMed] ]

La ecografía ha demostrado ser menos útil a la hora de determinar la localización de los quistes paraprostáticos y su relación espacial con las estructuras adyacentes cuando éstos son de gran tamaño. Otras técnicas de diagnóstico por imagen, como el contraste radiográfico o la tomografía computarizada, pueden aportar mayor información.[ Renfrew H, Barrett EL, Bradley KJ, Barr FJ. Radiographic and ultrasonographic features of canine paraprostatic cysts. Vet Radiol & Ultrasound 2008; 49: 444-448. [pubMed] ]

La presencia de quistes paraprostáticos localizados en una hernia perineal ha sido descrita en el perro.[ Renfrew H, Barrett EL, Bradley KJ, Barr FJ. Radiographic and ultrasonographic features of canine paraprostatic cysts. Vet Radiol & Ultrasound 2008; 49: 444-448. [pubMed] ] Además, se ha relacionado la presencia de quistes paraprostáticos y el desarrollo de las hernias perineales, ya que se observó que los quistes paraprostáticos presentaban en su interior una mayor concentración de la hormona relaxina. Cuando esta hormona es liberada en el área próxima a los quistes causa debilidad de los ligamentos pélvicos y de la musculatura del diafragma pélvico, lo cual aumenta la probabilidad de que se produzca una herniación a ese nivel.[ Niebaver G.W, Shibly S, Seltenhammer M, Pirker A, Brandt S. Relaxin of prostatic origin might be linked to perineal hernia formation in dogs. Ann NY Acad Sci 2005; 1041: 415-22. [PubMed] ]

En este caso se realizó un drenaje terapéutico de los quistes durante la primera exploración ecográfica. Este procedimiento alivia temporalmente la incomodidad del paciente y permite su estabilización médica en caso de tratarse de un absceso. El drenaje ecoguiado junto con la castración para reducir el tamaño y la función secretora de la próstata se ha descrito como tratamiento efectivo en caso de quistes y abscesos prostáticos.[ Boland LE, Hardie RJ, Gregory SP, Lamb CR. Ultrasound-guided percutaneous drainage as the primary treatment for prostatic abscesses and cysts in dogs. J. Am Anim Hosp Assoc 2003; 39: 151-159. [pubMed] ] No obstante, el llenado recurrente requiere cirugía en una etapa posterior.[ Hecht S, Pollard R. Male reproductive tract. En Penninck D, d’Anjou MA (ed): Altas of small animal ultrasonography . Wiley Blackwell. Second edition. Iowa (USA), 2015; 423-452. ]

En conclusión, la radiografía y la ecografía son técnicas de imagen útiles a la hora de valorar problemas del sistema genitourinario causantes de disuria o estreñimiento, aunque en el caso de los quistes paraprostáticos de gran tamaño puede ser útil valorar el uso de técnicas de imagen avanzadas como la TC, así como la histología, para alcanzar un diagnóstico más preciso y poder instaurar un tratamiento adecuado en cada paciente.

Agradecimientos

A la clínica veterinaria La Bruja de la Villa (Murcia) por la remisión del caso clínico.

 

Fuente de financiación: este trabajo no se realizó con fondos comerciales, públicos o del sector privado.

Conflicto de intereses: los autores declaran que no existen conflictos de intereses.

Bibliografía

  1. [1] Dennis R, Kirberger R.M, Barr F, Wrigley R.H. Handbook of Small Animal Radiology and Ultrasound. Saunders. Elsevier. Second edition. Croydon (UK), 2010; 255-262.
  2. [2] Hecht S, Pollard R. Male reproductive tract. En Penninck D, d’Anjou MA (ed): Altas of small animal ultrasonography . Wiley Blackwell. Second edition. Iowa (USA), 2015; 423-452.
  3. [3] Renfrew H, Barrett EL, Bradley KJ, Barr FJ. Radiographic and ultrasonographic features of canine paraprostatic cysts. Vet Radiol & Ultrasound 2008; 49: 444-448. [pubMed]
  4. [4] Niebaver G.W, Shibly S, Seltenhammer M, Pirker A, Brandt S. Relaxin of prostatic origin might be linked to perineal hernia formation in dogs. Ann NY Acad Sci 2005; 1041: 415-22. [PubMed]
  5. [5] Boland LE, Hardie RJ, Gregory SP, Lamb CR. Ultrasound-guided percutaneous drainage as the primary treatment for prostatic abscesses and cysts in dogs. J. Am Anim Hosp Assoc 2003; 39: 151-159. [pubMed]

Artículos recomendados

Estas recomendaciones se ofrecen de forma automática.

  • ¿Cuál es tu diagnóstico?
    L. Martín-Carrasco, E. Mínguez-Pereira, R. Salgüero-Fernández, et al.
    Clin Vet Peq Anim Vol. 46 - Nº 1 · MAR 2026 · ¿Cuál es tu diagnóstico?
  • ¿Cuál es tu diagnóstico?
    D. Marbella, A.M. Hernández-Guerra, L. Montalvà-Minguet
    Clin Vet Peq Anim Vol. 45 - Nº 4 · DIC 2025 · ¿Cuál es tu diagnóstico?
  • ¿Cuál es tu diagnóstico?

    J.D. Carrillo, M. Soler, M.S. Echalecu, et al.
    Clin Vet Peq Anim Vol. 45 - Nº 3 · SEP 2025 · ¿Cuál es tu diagnóstico?
  • Inicio
  • Historia clínica
  • Describe las anormalidades radiográficas que se observan
  • ¿Cuáles son los diagnósticos diferenciales con estos signos radiográficos?
  • ¿Qué otras técnicas realizarías para alcanzar el diagnóstico definitivo?
  • Comentario
  • Agradecimientos
  • Bibliografía
Artículo anterior Índice de la revista Artículo siguiente
ANUNCIO
Próximos cursos ATVs Elearning
Índice
Inicio Historia clínica Describe las anormalidades radiográficas que se observan ¿Cuáles son los diagnósticos diferenciales con estos signos radiográficos? ¿Qué otras técnicas realizarías para alcanzar el diagnóstico definitivo? Comentario Agradecimientos Bibliografía
Yumove Distrivet
ANUNCIO

¿No eres socio de AVEPA y quieres recibir comunicación de las nuevas ediciones en tu correo?

Suscríbete

Suscríbete y te avisaremos cuando publiquemos un nuevo número

Suscribirme

Enlaces rápidos

  • Inicio
  • Último número
  • Archivo
  • Artículos

Información

  • Comité editorial
  • Política de cookies
  • Política de privacidad
  • Términos y condiciones

Contacto

  • info@imaginice.com
  • Envíanos tu artículo
© 2026 Ice Salud Vet SL. Todos los derechos reservados.

Usamos cookies para mejorar tu experiencia. Selecciona cuáles aceptas: