Logo AVEPA

Clínica Veterinaria de Pequeños Animales

Revista oficial de AVEPA

  • Inicio
  • Último número
  • Archivo
  • Artículos
  • Para autores
  • Contacto
Cursos Junio-Septiembre 2026
ANUNCIO

Clínica Veterinaria de Pequeños Animales

Revista oficial de AVEPA

  • Inicio
  • Último número
  • Archivo
  • Artículos
  • Para autores
  • Contacto
Curso Oftalmología 2026
ANUNCIO
Clin Vet Peq Anim Vol. 40 • Nº 3 • septiembre 2020

Caso clínico de Cirugía

Caso Clínico de...

J.C. Montero

Clínica Veterinaria Natura. Avda. Pinatar n.º 34. 30730 San Javier (Murcia).

A. Segarra

V-IMAGEN (Servicio de ecografía ambulante).

L. Pardo-Martín

Análisis Clínicos de la Universidad de Murcia (Interlab-UMU).

E. Cruz

Clínica Veterinaria Natura. Avda. Pinatar n.º 34. 30730 San Javier (Murcia).

J.D. Carrillo

Departamento de Medicina y Cirugía Animal. Facultad de Veterinaria. c/ Campus Universitario 7. 30100 Murcia.

Contacto: cvnatura@yahoo.es
Descargar artículo

Historia clínica

Se presenta en la consulta un perro proveniente de una protectora, macho, mestizo de 1 año y medio de edad, castrado y 35 kg de peso, con sintomatología de vómitos crónicos y adelgazamiento de dos semanas de evolución. En el examen físico se apreció una marcada deshidratación (7,5 %), taquicardia (120 lpm), mucosas congestivas, dolor abdominal y dos trayectos fistulosos con secreción purulenta en la pared abdominal ventral en el lado derecho del prepucio, compatibles con una herida por mordedura. En el análisis sanguíneo se observó una elevada leucocitosis de 32 x 109/L (valores de referencia: 6-17 x 109/L) e hipoalbuminemia de 1,9 g/dl (valores de referencia: 2,5-3,6 g/dl). Se realizó un examen radiográfico de la cavidad abdominal (Figs. 1A y B).

<p>Imagen radiográfica de la cavidad abdominal de un perro mestizo de un año y medio de edad, con historia clínica de vómitos crónicos y adelgazamiento de dos semanas de evolución. (<strong>A</strong>) Proyección lateral. (<strong>B</strong>) Proyección ventrodorsal.</p>
Figura 1

Imagen radiográfica de la cavidad abdominal de un perro mestizo de un año y medio de edad, con historia clínica de vómitos crónicos y adelgazamiento de dos semanas de evolución. (A) Proyección lateral. (B) Proyección ventrodorsal.

¿Cuáles serían los diagnósticos diferenciales más probables?

La causa más común en un animal con un cuadro crónico de vómitos y basándonos en las imágenes radiográficas (Fig. 2), en las que se aprecia una marcada dilatación de asas intestinales con contenido gaseoso, es la ingestión de un cuerpo extraño,[ Brown DC. Small Intestine. En: Tobias KM, Johnston SA (eds). Veterinary Surgery Small Animal. St Louis, Elsevier; 2012. 1513-1541. ] aunque otros diagnósticos diferenciales a tener en cuenta son intususcepción, vólvulo o torsión, incarceración intestinal, adherencias, estenosis, absceso, granuloma, neoplasia intestinal y hematoma.

<p>Imagen radiográfica de la cavidad abdominal. (<strong>A</strong>) Proyección lateral. (<strong>B</strong>) Proyección ventrodorsal. Se observa una marcada dilatación de las asas de intestino delgado (asteriscos), localizadas principalmente en la zona caudolateral derecha.</p>
Figura 2

Imagen radiográfica de la cavidad abdominal. (A) Proyección lateral. (B) Proyección ventrodorsal. Se observa una marcada dilatación de las asas de intestino delgado (asteriscos), localizadas principalmente en la zona caudolateral derecha.

¿Qué técnica(s) diagnóstica(s) sería(n) de utilidad para aproximarnos al diagnóstico definitivo?

La técnica diagnóstica de primera elección ante la sospecha de la presencia de un cuerpo extraño o neoplasia en el tracto gastrointestinal es el estudio radiográfico simple de la cavidad abdominal, aunque la información que aporta es limitada y normalmente requiere el apoyo de un examen ecográfico.[ Brown DC. Small Intestine. En: Tobias KM, Johnston SA (eds). Veterinary Surgery Small Animal. St Louis, Elsevier; 2012. 1513-1541. ] En cuanto al uso de técnicas de radiografía con contraste no estaría indicado el uso de contraste de bario si hay evidencia de una obstrucción intestinal.[ Riedesel EA. Small bowel. En: Thrall DE (ed). Textbook of veterinary diagnostic radiology. Seventh edition. St Louis, Elsevier; 2018. 926-954. ]

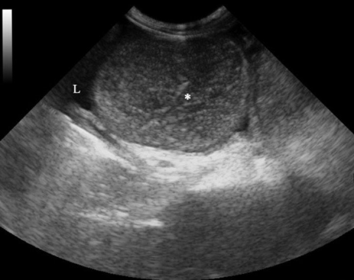
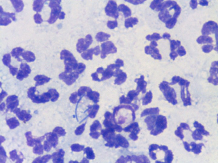
Por otra parte, la ecografía nos puede aportar información sobre la motilidad intestinal, la presencia de perforación y una peritonitis,[ Brown DC. Small Intestine. En: Tobias KM, Johnston SA (eds). Veterinary Surgery Small Animal. St Louis, Elsevier; 2012. 1513-1541. , Riedesel EA. Small bowel. En: Thrall DE (ed). Textbook of veterinary diagnostic radiology. Seventh edition. St Louis, Elsevier; 2018. 926-954. ] aunque la observación de un cuerpo extraño se ve dificultada cuando existe gran contenido de gas en el tracto gastrointestinal. En nuestro caso, en la ecografía abdominal (Fig. 3) se evidenció líquido libre anecogénico con abundantes ecos en suspensión y asas intestinales dilatadas con contenido en su interior y sin motilidad. En base a estos hallazgos, la siguiente prueba diagnóstica a realizar sería el estudio citológico del líquido libre abdominal, el cual evidenció abundante cantidad de neutrófilos degenerados con algunas bacterias fagocitadas en su interior (Fig. 4).

<p>Imagen ecográfica de la cavidad abdominal, en la que se visualiza líquido libre anecogénico y una asa intestinal en corte transversal, dilatada y con contenido heterogéneo e hipoecogénico en su interior (*).</p>
Figura 3

Imagen ecográfica de la cavidad abdominal, en la que se visualiza líquido libre anecogénico y una asa intestinal en corte transversal, dilatada y con contenido heterogéneo e hipoecogénico en su interior (*).

<p>Imagen de la citología que evidencia la presencia de neutrófilos degenerados y algunas bacterias fagocitadas. 100x. Tinción panóptico rápido.</p>
Figura 4

Imagen de la citología que evidencia la presencia de neutrófilos degenerados y algunas bacterias fagocitadas. 100x. Tinción panóptico rápido.

A pesar de que la radiografía y la ecografía abdominal son las principales técnicas de imagen para evaluar el tracto gastrointestinal en el perro y en el gato,[ Agut A, Soler M. Sistema gastrointestinal. En: Agut A (ed). Diagnóstico por imagen en pequeños animales. Barcelona, Multimédica Ediciones Veterinarias; 2014. 403-420. ] el caso presentado se podría haber beneficiado de la realización de una tomografía computarizada (TC) de la cavidad abdominal, la cual habría permitido la evaluación del paquete intestinal sin la superposición de las estructuras adyacentes.[ Agut A, Soler M. Sistema gastrointestinal. En: Agut A (ed). Diagnóstico por imagen en pequeños animales. Barcelona, Multimédica Ediciones Veterinarias; 2014. 403-420. ] También se habría obtenido mayor información de la etiología de la obstrucción y perforación intestinal, siendo muy útil para la planificación del procedimiento quirúrgico, pero no fue posible dado el grave estado de sepsis del paciente.

El diagnóstico presuntivo que nos aporta la sintomatología junto con los hallazgos encontrados en este caso es de una obstrucción intestinal con presencia de peritonitis por perforación intestinal, estando el paciente en un estado de sepsis, aunque no fue posible localizar la causa.

¿Cuál sería el plan terapéutico a realizar?

En este caso, la laparotomía exploratoria es el tratamiento de elec­ción con la finalidad de resolver la obstrucción intestinal, realizar enterectomía de la(s) zona(s) perforada(s) y poder hacer un lavado abdominal.[ Brown DC. Small Intestine. En: Tobias KM, Johnston SA (eds). Veterinary Surgery Small Animal. St Louis, Elsevier; 2012. 1513-1541. , Radlinsky MG. Surgery of Small Intestine. En: Small Animal Surgery. Fossum TW , Dewey CW, Horn CV, Johnson AL, MacPhail CM, Radlinsky MG, Schulz KS, Willard MD (eds). St Louis, Elsevier; 2013. 497-533. ] Antes de realizar la cirugía es importante estabilizar al animal. En nuestro caso el tratamiento instaurado para la estabilización fue a base de cristaloides y coloides para corregir el shock y antibioterapia debido al estado de sepsis. El tratamiento antibiótico fue ampicilina i.v. (Gobemicina, Normon, Madrid) 25 mg/kg/8h y enrofloxacino s.c. (Baytril, Bayer, Barcelona) 5 mg/kg/12 h. Los parámetros que se monitorizaron para decidir el momento óptimo de la cirugía fueron: estado mental, presión arterial, temperatura, glucosa, tiempo de relleno capilar, color de mucosas, calidad del pulso, frecuencia cardiaca, pliegue cutáneo y aclaramiento del lactato.

Durante la cirugía se observó presencia de líquido libre en cavidad abdominal de color verdoso. En la zona de la piel donde se localizaban las fístulas al lado del prepucio, por su cara interna en la pared abdominal, se evidenciaba un pequeño defecto de menos de 1 cm, en el que se hallaba incarcerado un fragmento de yeyuno (Figs. 5A y B), que se encontraba perforado, viéndose la fuga de contenido intestinal hacia la cavidad abdominal. Se hizo la disección roma de la zona intestinal incarcerada y posteriormente, debido a su aspecto congestivo y a la presencia de perforación en su pared, se practicó una enterectomía y omentalización. No fue necesario cerrar el defecto de la pared abdominal, ya que quedó estanco tras retirar el segmento incarcerado. Para finalizar la cirugía, se realizó el lavado de la cavidad abdominal con abundante cantidad de suero salino fisiológico atemperado, colocándose un drenaje activo (Jackson Pratt®, Everest tecnología veterinaria. Barcelona.

<p>Imágenes de la intervención quirúrgica. (<strong>A</strong>) Detalle del asa intestinal incarcerada (Y) en la que se observa cómo se introduce hacia un defecto en la pared abdominal (asterisco), adyacente a la vejiga de la orina (V). (<strong>B</strong>) Asa intestinal incarcerada, una vez liberada de su incarceración en la pared abdominal. (<strong>C</strong>) Defecto de la pared abdominal, en el lateral derecho del prepucio, donde se encontraba incarcerada el asa intestinal.</p>
Figura 5

Imágenes de la intervención quirúrgica. (A) Detalle del asa intestinal incarcerada (Y) en la que se observa cómo se introduce hacia un defecto en la pared abdominal (asterisco), adyacente a la vejiga de la orina (V). (B) Asa intestinal incarcerada, una vez liberada de su incarceración en la pared abdominal. (C) Defecto de la pared abdominal, en el lateral derecho del prepucio, donde se encontraba incarcerada el asa intestinal.

Durante el periodo de hospitalización el paciente falleció debido al estado de sepsis y un síndrome de fallo multiorgánico.

Discusión

La obstrucción de intestino delgado por estrangulación es una patología poco frecuente en el perro, aunque ha sido descrita con mayor incidencia en el caballo.[ Hosgood G, Bunge M, Dorfman M. Jejunal incarceration by an omental tear in a dog. J Am Vet Med Assoc. 1992; 200(7): 947-950. [PubMed] ] Los escasos casos de incarceración intestinal descritos en el perro se han asociado a fractura coccígea,[ Gaskell CJ, Pass MA, Biery DN. Intestinal obstruction in a dog due to incarceration of small intestine in a coccygeal fracture. J Small Anim Pract. 1973; 14(2): 101-105. [PubMed] ] ruptura del ligamento duodenocólico,[ Hassinger KA. Intestinal entrapment and strangulation caused by rupture of the duodenocolic ligament in four dogs. Vet Surg. 1997; 26(4): 275-280. [PubMed] ] rasgado de omento por un traumatismo[ Hosgood G, Bunge M, Dorfman M. Jejunal incarceration by an omental tear in a dog. J Am Vet Med Assoc. 1992; 200(7): 947-950. [PubMed] ] y a una hernia inguinal.[ Stelmach DK, Jiménez DA, Andrade N, Clarke KM. What is your diagnosis?. J Am Vet Med Assoc 2016; 248(2): 149-151. ] En el caso presentado, el defecto en la pared abdominal probablemente se produjo en el momento del traumatismo (quizás una mordedura de otro perro), aunque se desconoce cuándo pudo incarcerarse el asa intestinal, si en el momento del trauma o posteriormente.

La sintomatología clínica de la incarceración intestinal puede variar según la cronicidad del proceso, el grado de obstrucción y la localización, y los signos más comunes son vómitos, anorexia, diarrea, depresión, dolor abdominal, shock y reacción sistémica severa.[ Brown DC. Small Intestine. En: Tobias KM, Johnston SA (eds). Veterinary Surgery Small Animal. St Louis, Elsevier; 2012. 1513-1541. , Hosgood G, Bunge M, Dorfman M. Jejunal incarceration by an omental tear in a dog. J Am Vet Med Assoc. 1992; 200(7): 947-950. [PubMed] , Stelmach DK, Jiménez DA, Andrade N, Clarke KM. What is your diagnosis?. J Am Vet Med Assoc 2016; 248(2): 149-151. ] En nuestro caso, el animal presentaba vómito, adelgazamiento, dolor abdominal y shock.

El diagnóstico se basa en la historia clínica, el examen físico, los signos clínicos y en el apoyo con pruebas de imagen como radiografías y ecografía.[ Brown DC. Small Intestine. En: Tobias KM, Johnston SA (eds). Veterinary Surgery Small Animal. St Louis, Elsevier; 2012. 1513-1541. , Riedesel EA. Small bowel. En: Thrall DE (ed). Textbook of veterinary diagnostic radiology. Seventh edition. St Louis, Elsevier; 2018. 926-954. , Agut A, Soler M. Sistema gastrointestinal. En: Agut A (ed). Diagnóstico por imagen en pequeños animales. Barcelona, Multimédica Ediciones Veterinarias; 2014. 403-420. , Radlinsky MG. Surgery of Small Intestine. En: Small Animal Surgery. Fossum TW , Dewey CW, Horn CV, Johnson AL, MacPhail CM, Radlinsky MG, Schulz KS, Willard MD (eds). St Louis, Elsevier; 2013. 497-533. ] En este caso, las pruebas de imagen realizadas nos aportaron el diagnóstico de obstrucción intestinal y peritonitis, pero no fue posible conocer el origen de la patología sin la laparotomía exploratoria.

El tratamiento de elección ante la sospecha de una estrangulación o necrosis intestinal es la estabilización del animal y la realización, lo antes posible, de una laparotomía exploratoria con resolución quirúrgica del problema.[ Brown DC. Small Intestine. En: Tobias KM, Johnston SA (eds). Veterinary Surgery Small Animal. St Louis, Elsevier; 2012. 1513-1541. , Radlinsky MG. Surgery of Small Intestine. En: Small Animal Surgery. Fossum TW , Dewey CW, Horn CV, Johnson AL, MacPhail CM, Radlinsky MG, Schulz KS, Willard MD (eds). St Louis, Elsevier; 2013. 497-533. ] En este caso, debido al estado séptico del paciente, una vez estabilizado se decidió realizar una laparotomía exploratoria de urgencia.

El pronóstico de las incarceraciones intestinales depende del grado de compromiso vascular y de la consiguiente respuesta inflamatoria sistémica.[ Brown DC. Small Intestine. En: Tobias KM, Johnston SA (eds). Veterinary Surgery Small Animal. St Louis, Elsevier; 2012. 1513-1541. ] En el presente caso el animal murió en las primeras 24 horas del postoperatorio debido a la peritonitis séptica.

Como conclusión, la incarceración intestinal, a pesar de ser una patología de baja incidencia en veterinaria, debería ser considerada dentro del diagnóstico diferencial en aquellos casos en los que se presenten signos de obstrucción intestinal.

Agradecimientos

Análisis Clínicos de la Universidad de Murcia (Interlab-UMU).

 

Fuente de financiación: este trabajo no ha recibido financiación.

Conflicto de intereses: los autores declaran la inexistencia de un conflicto de intereses.

Bibliografía

  1. [1] Brown DC. Small Intestine. En: Tobias KM, Johnston SA (eds). Veterinary Surgery Small Animal. St Louis, Elsevier; 2012. 1513-1541.
  2. [2] Riedesel EA. Small bowel. En: Thrall DE (ed). Textbook of veterinary diagnostic radiology. Seventh edition. St Louis, Elsevier; 2018. 926-954.
  3. [3] Agut A, Soler M. Sistema gastrointestinal. En: Agut A (ed). Diagnóstico por imagen en pequeños animales. Barcelona, Multimédica Ediciones Veterinarias; 2014. 403-420.
  4. [4] Radlinsky MG. Surgery of Small Intestine. En: Small Animal Surgery. Fossum TW , Dewey CW, Horn CV, Johnson AL, MacPhail CM, Radlinsky MG, Schulz KS, Willard MD (eds). St Louis, Elsevier; 2013. 497-533.
  5. [5] Hosgood G, Bunge M, Dorfman M. Jejunal incarceration by an omental tear in a dog. J Am Vet Med Assoc. 1992; 200(7): 947-950. [PubMed]
  6. [6] Gaskell CJ, Pass MA, Biery DN. Intestinal obstruction in a dog due to incarceration of small intestine in a coccygeal fracture. J Small Anim Pract. 1973; 14(2): 101-105. [PubMed]
  7. [7] Hassinger KA. Intestinal entrapment and strangulation caused by rupture of the duodenocolic ligament in four dogs. Vet Surg. 1997; 26(4): 275-280. [PubMed]
  8. [8] Stelmach DK, Jiménez DA, Andrade N, Clarke KM. What is your diagnosis?. J Am Vet Med Assoc 2016; 248(2): 149-151.

Artículos recomendados

Estas recomendaciones se ofrecen de forma automática.

  • Caso clínico de… Urgencias

    I. Sunyer
    Clin Vet Peq Anim Vol. 45 - Nº 2 · JUN 2025 · Caso Clínico de...
  • Caso clínico de… Cirugía de tejidos blandos

    N. Jurado, L. Fresno, L. Santos
    Clin Vet Peq Anim Vol. 44 - Nº 1 · MAR 2024 · Caso Clínico de...
  • Caso clínico de… Urgencias

    M. Solana, C. Gómez-Ullate, J.L. Puchol, et al.
    Clin Vet Peq Anim Vol. 43 - Nº 4 · DIC 2023 · Caso Clínico de...
  • Inicio
  • Historia clínica
  • ¿Cuáles serían los diagnósticos diferenciales más probables?
  • ¿Qué técnica(s) diagnóstica(s) sería(n) de utilidad para aproximarnos al diagnóstico definitivo?
  • ¿Cuál sería el plan terapéutico a realizar?
  • Discusión
  • Agradecimientos
  • Bibliografía
Artículo anterior Índice de la revista Artículo siguiente
ANUNCIO
Próximos cursos ATVs Elearning
Índice
Inicio Historia clínica ¿Cuáles serían los diagnósticos diferenciales más probables? ¿Qué técnica(s) diagnóstica(s) sería(n) de utilidad para aproximarnos al diagnóstico definitivo? ¿Cuál sería el plan terapéutico a realizar? Discusión Agradecimientos Bibliografía
Boehringer - NexGard
ANUNCIO

¿No eres socio de AVEPA y quieres recibir comunicación de las nuevas ediciones en tu correo?

Suscríbete

Suscríbete y te avisaremos cuando publiquemos un nuevo número

Suscribirme

Enlaces rápidos

  • Inicio
  • Último número
  • Archivo
  • Artículos

Información

  • Comité editorial
  • Política de cookies
  • Política de privacidad
  • Términos y condiciones

Contacto

  • info@imaginice.com
  • Envíanos tu artículo
© 2026 Ice Salud Vet SL. Todos los derechos reservados.

Usamos cookies para mejorar tu experiencia. Selecciona cuáles aceptas: