Logo AVEPA

Clínica Veterinaria de Pequeños Animales

Revista oficial de AVEPA

  • Inicio
  • Último número
  • Archivo
  • Artículos
  • Para autores
  • Contacto
Cursos Junio-Septiembre 2026
ANUNCIO

Clínica Veterinaria de Pequeños Animales

Revista oficial de AVEPA

  • Inicio
  • Último número
  • Archivo
  • Artículos
  • Para autores
  • Contacto
Curso Oftalmología 2026
ANUNCIO
Clin Vet Peq Anim Vol. 35 • Nº 3 • septiembre 2015

¿Cuál es tu diagnóstico?

¿Cuál es tu diagnóstico?

J. Murciano

Hospital Clínico Veterinario. Universidad de Murcia

M. Soler

Hospital Clínico Veterinario. Departamento de Medicina y Cirugía Animal. Universidad de Murcia

Otros artículos de M. Soler:
  • ¿Cuál es tu diagnóstico?
    Clin Vet Peq Anim Vol. 35 • Nº 4 • diciembre 2015
  • Hallazgos ecográficos, clínicos y laboratoriales del mucocele biliar en el perro: 37 casos
    Clin Vet Peq Anim Vol. 36 • Nº 4 • diciembre 2016

A. Navarro

Hospital Clínico Veterinario. Universidad de Murcia

A. Buendía

Hospital Clínico Veterinario. Universidad de Murcia

E. Belda

Departamento de Medicina y Cirugía Animal, Hospital Clínico Veterinario. Universidad de Murcia

Otros artículos de E. Belda:
  • Caso clínico de Anestesia

    Clin Vet Peq Anim Vol. 37 • Nº 2 • junio 2017

A. Agut

Hospital Clínico Veterinario. Departamento de Medicina y Cirugía Animal. Universidad de Murcia

Otros artículos de A. Agut:
  • ¿Cuál es tu diagnóstico?
    Clin Vet Peq Anim Vol. 35 • Nº 4 • diciembre 2015
  • Hallazgos ecográficos, clínicos y laboratoriales del mucocele biliar en el perro: 37 casos
    Clin Vet Peq Anim Vol. 36 • Nº 4 • diciembre 2016
  • Caso clínico de Cirugía

    Clin Vet Peq Anim Vol. 37 • Nº 1 • marzo 2017
  • ¿Cuál es tu diagnóstico?

    Clin Vet Peq Anim Vol. 40 • Nº 3 • septiembre 2020
Contacto: murciano@um.es
Descargar artículo

Historia clínica

Se presentó en la consulta de Traumatología del Hospital Clínico Veterinario de la Universidad de Murcia, un gato Siamés, de 6 kg de peso y dos años de edad, macho, castrado a los seis meses, con un cuadro de debilidad de las extremidades posteriores y reacio a saltar desde hacía unas semanas. El gato estaba siendo tratado con antiinflamatorios no esteroideos (meloxicam oral a dosis de 0,025 mg/kg/48horas) durante 15 días sin manifestar signos de mejoría.

En la exploración física, se apreció dolor a la extensión y flexión en ambas articulaciones coxofemorales, más evidenciable en la cadera derecha, así como atrofia muscular en dicha extremidad.

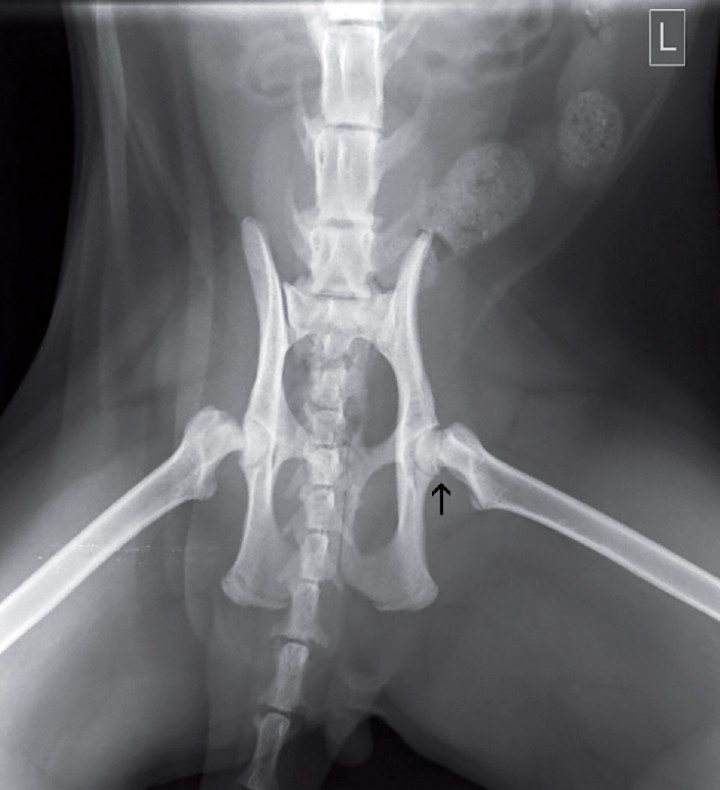
Se realizó una radiografía ventrodorsal de la cadera con los miembros en extensión (Fig. 1).

<p>Proyección ventrodorsal con los miembros en extensión de un gato Siamés, de 6 kg de peso y dos años de edad, macho, castrado que se presenta con un cuadro de debilidad de las extremidades posteriores y reacio a saltar desde hacía unas semanas.</p>
Figura 1

Proyección ventrodorsal con los miembros en extensión de un gato Siamés, de 6 kg de peso y dos años de edad, macho, castrado que se presenta con un cuadro de debilidad de las extremidades posteriores y reacio a saltar desde hacía unas semanas.

Describe las anormalidades radiográficas que se observan

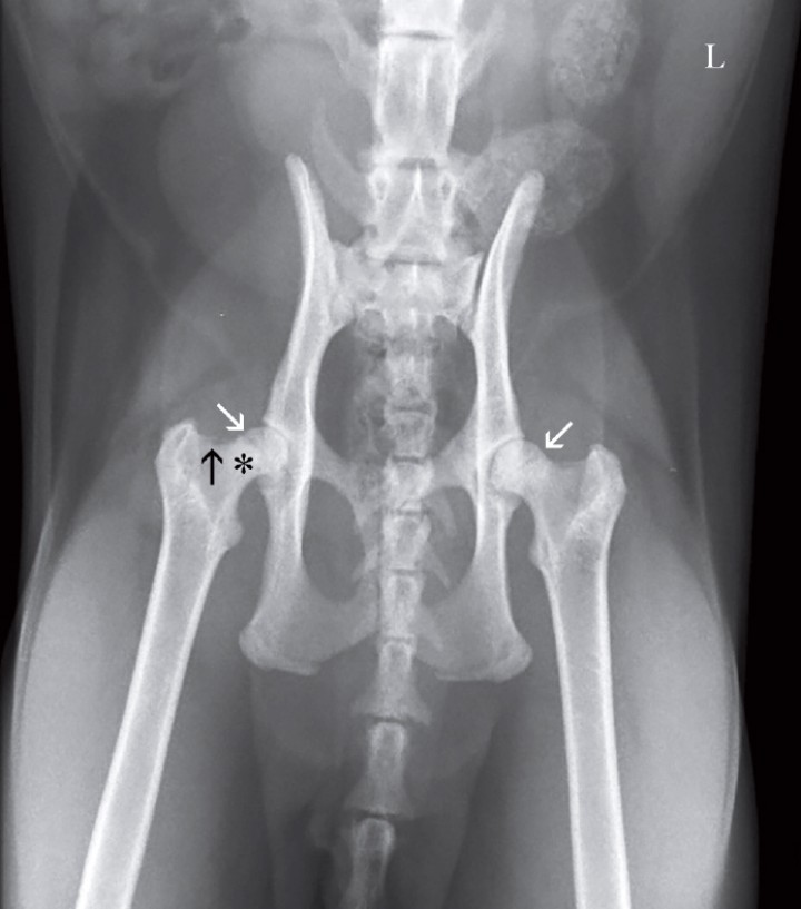
En ambas extremidades se observa una línea radiotransparente en la cabeza femoral, más evidenciable en la extremidad derecha, correspondientes al cartílago de crecimiento de la cabeza femoral. Además, en el cuello femoral derecho se visualiza osteofitosis y pequeñas áreas osteolíticas. Los cartílagos de crecimiento de las tuberosidades isquiáticas y la sínfisis pélvica permanecen sin fusionar (Fig. 2).

<p>Misma imagen que la Figura 1. Se aprecia en ambas extremidades una línea radiotransparente en la cabeza femoral, correspondientes al cartílago de crecimiento de la cabeza femoral (flechas blancas). En el cuello femoral derecho se visualizan osteofitos (flecha negra) y pequeñas áreas osteolíticas (asterisco). Los cartílagos de crecimiento de las tuberosidades isquiáticas y la sínfisis pélvica permanecen sin fusionar. L: izquierda.</p>
Figura 2

Misma imagen que la Figura 1. Se aprecia en ambas extremidades una línea radiotransparente en la cabeza femoral, correspondientes al cartílago de crecimiento de la cabeza femoral (flechas blancas). En el cuello femoral derecho se visualizan osteofitos (flecha negra) y pequeñas áreas osteolíticas (asterisco). Los cartílagos de crecimiento de las tuberosidades isquiáticas y la sínfisis pélvica permanecen sin fusionar. L: izquierda.

¿Cuáles son los diagnósticos diferenciales con estos signos radiográficos?

Los diagnósticos diferenciales más probables compatibles con dichos signos radiográficos son: fractura bilateral Salter-Harris I de la epífisis proximal femoral, displasia epifisaria de la cabeza del fémur bilateral y osteopatía metafisaria femoral bilateral.

¿Qué otras técnicas de diagnóstico realizarías para alcanzar el diagnóstico definitivo?

A veces, la proyección ventrodorsal con los miembros en extensión de la cadera no muestra anormalidades evidenciables de desplazamiento de la epífisis femoral proximal, porque la extensión de las extremidades provoca tensión en las fibras de colágeno de la cápsula articular manteniendo reducida la fractura o el desplazamiento epifisario e impidiendo su visualización. Sin embargo, la proyección ventrodorsal con las extremidades libremente en abducción o posicionamiento en rana (Fig. 3), permitió la observación del desplazamiento entre la epífisis proximal femoral derecha y la metáfisis, así como la mala congruencia entre el cuello femoral y la epífisis proximal izquierda. No obstante, el diagnóstico definitivo no se alcanzó únicamente con el examen radiográfico.

<p>Proyección ventrodorsal con las extremidades en abducción. Se observa un desplazamiento entre la epífisis proximal femoral derecha y la metáfisis, así como la mala congruencia entre el cuello femoral y la epífisis proximal izquierda (flecha). L: izquierda.</p>
Figura 3

Proyección ventrodorsal con las extremidades en abducción. Se observa un desplazamiento entre la epífisis proximal femoral derecha y la metáfisis, así como la mala congruencia entre el cuello femoral y la epífisis proximal izquierda (flecha). L: izquierda.

Comentario

El tratamiento recomendado en este paciente fue la artroplastia bilateral del cuello y cabeza femoral, abordándose en primer lugar la articulación derecha.

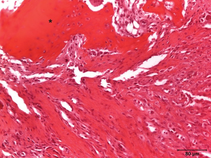
En el estudio histológico de la cabeza y cuello femoral escindidos, se apreció un tejido conectivo denso muy rico en fibroblastos en sustitución del tejido óseo normal, así como la presencia de tejido óseo normal (Fig. 4) lo que nos permitió confirmar el diagnóstico definitivo de displasia epifisaria femoral.[ Craig LE. Physeal displasia with slipped capital femoral epiphysis in 13 cats. Vet Pathol 2001; 38:92-97. [PubMed] , Newton AL, Craig LE. Multicentric physeal displasia in two cats. Vet Pathol 2006; 43:388-390. [PubMed] ]

<p>Imagen microscópica de la epífisis proximal del fémur. Se aprecia la presencia de un tejido conectivo denso muy rico en fibroblastos que sustituye al tejido óseo típico. En la parte superior (asterisco) se observa el resto de una espícula ósea aparentemente normal (Hematoxilina & Eosina).</p>
Figura 4

Imagen microscópica de la epífisis proximal del fémur. Se aprecia la presencia de un tejido conectivo denso muy rico en fibroblastos que sustituye al tejido óseo típico. En la parte superior (asterisco) se observa el resto de una espícula ósea aparentemente normal (Hematoxilina & Eosina).

Las fracturas espontáneas fisarias capitales de fémur también conocidas como deslizamiento de la epífisis capital felina o síndrome de displasia epifisaria felina[ Craig LE. Physeal displasia with slipped capital femoral epiphysis in 13 cats. Vet Pathol 2001; 38:92-97. [PubMed] ] tienden a ser crónicas e insidiosas sin ningún antecedente traumático.[ Lafuente P. Young, male, neutered, obese, lame? Non-traumatic fractures of the femoral head and neck. J Feline Med Surgery 2011; 13:498-507. [PubMed] ] Mientras que las fracturas traumáticas provocadas por caídas, saltos o atropellos que afectan a gatos jóvenes generalmente presentan una cojera aguda unilateral de la extremidad posterior.[ Schwartz G. Spontaneous capital femoral physeal fracture in a cat. Can Vet J 2013, 54:698-700. [PubMed] ]

Las fracturas espontáneas de la epífisis capital de fémur, afectan generalmente a gatos jóvenes menores de dos años, machos, castrados, obesos y suele ser bilateral,[ Newton AL, Craig LE. Multicentric physeal displasia in two cats. Vet Pathol 2006; 43:388-390. [PubMed] , Lafuente P. Young, male, neutered, obese, lame? Non-traumatic fractures of the femoral head and neck. J Feline Med Surgery 2011; 13:498-507. [PubMed] , Schwartz G. Spontaneous capital femoral physeal fracture in a cat. Can Vet J 2013, 54:698-700. [PubMed] , McNicholas WT, Wilkens BE, Blevins WE et al. Spontaneous femoral capital physeal fractures in adult cats: 26 cases (1996-2001). J Am Vet Med Assoc 2002; 221:1731-1736. [PubMed] ] como el caso que presentamos. Se ha descrito la relación entre la castración en animales muy jóvenes, menores de 7 meses, y la displasia epifisaria felina, debida a la interacción entre los esteroides gonadales con el cierre de las fisis.[ Schwartz G. Spontaneous capital femoral physeal fracture in a cat. Can Vet J 2013, 54:698-700. [PubMed] ] Los estrógenos y la testosterona influyen en la maduración del cartílago de la placa de crecimiento. Así, una disminución de los niveles de estos provoca un retraso en la maduración del cartílago fisario y cierre posterior.[ Newton AL, Craig LE. Multicentric physeal displasia in two cats. Vet Pathol 2006; 43:388-390. [PubMed] , Lafuente P. Young, male, neutered, obese, lame? Non-traumatic fractures of the femoral head and neck. J Feline Med Surgery 2011; 13:498-507. [PubMed] ]

Los gatos que presentan síndrome de displasia epifisaria suelen tener sobrepeso.[ Newton AL, Craig LE. Multicentric physeal displasia in two cats. Vet Pathol 2006; 43:388-390. [PubMed] ] Sin embargo, algunos autores no encontraron relación entre la edad de la castración y la prevalencia en la obesidad, aunque los gatos no castrados pesan menos significativamente y tienen menos grasa falciforme que los castrados con menos de 7 meses.[ Schwartz G. Spontaneous capital femoral physeal fracture in a cat. Can Vet J 2013, 54:698-700. [PubMed] ]

Las fracturas patológicas del cuello femoral en gatos pueden ser secundarias a la osteopatía metafisaria, teniendo muchas características comunes con las fracturas espontáneas fisarias de la cabeza femoral, tales como las que afectan a gatos jóvenes castrados y obesos, por lo que su diferenciación puede ser dificultosa.[ Lafuente P. Young, male, neutered, obese, lame? Non-traumatic fractures of the femoral head and neck. J Feline Med Surgery 2011; 13:498-507. [PubMed] ]

En el estudio radiográfico de la osteopatía metafisaria se observa, generalmente, una osteolisis del cuello femoral que da lugar a la separación epifisaria.[ Schwartz G. Spontaneous capital femoral physeal fracture in a cat. Can Vet J 2013, 54:698-700. [PubMed] ] La osteolisis y esclerosis ocurren también secundariamente a la fractura fisaria, por lo que la osteopatía metafisaria pudiera ser un estado crónico y más avanzado de las displasias femorales felinas o de los desplazamientos de las epífisis proximales femorales.[ Lafuente P. Young, male, neutered, obese, lame? Non-traumatic fractures of the femoral head and neck. J Feline Med Surgery 2011; 13:498-507. [PubMed] , McNicholas WT, Wilkens BE, Blevins WE et al. Spontaneous femoral capital physeal fractures in adult cats: 26 cases (1996-2001). J Am Vet Med Assoc 2002; 221:1731-1736. [PubMed] ] No está claro si la osteopatía metafisaria es una patología en sí misma o una consecuencia de la fractura primaria y remodelación ósea subsiguiente.[ Lafuente P. Young, male, neutered, obese, lame? Non-traumatic fractures of the femoral head and neck. J Feline Med Surgery 2011; 13:498-507. [PubMed] ]

En conclusión, en los gatos jóvenes, castrados, obesos, con cojera insidiosa crónica de ambas extremidades hay que realizar el diagnóstico diferencial entre fracturas espontáneas de la epífisis capital de fémur y osteopatía metafisaria, recomendando la proyección radiográfica ventrodorsal en posición de rana o con las extremidades libremente en abducción para poder visualizar el deslizamiento del cuello respecto a la cabeza femoral y un estudio histológico para llegar al diagnóstico definitivo.

 

Fuente de financiación: Este trabajo no se ha realizado con fondos comerciales, públicos o del sector privado.

Conflicto de intereses: Los autores declaran que no existe conflicto de intereses.

Bibliografía

  1. [1] Craig LE. Physeal displasia with slipped capital femoral epiphysis in 13 cats. Vet Pathol 2001; 38:92-97. [PubMed]
  2. [2] Newton AL, Craig LE. Multicentric physeal displasia in two cats. Vet Pathol 2006; 43:388-390. [PubMed]
  3. [3] Lafuente P. Young, male, neutered, obese, lame? Non-traumatic fractures of the femoral head and neck. J Feline Med Surgery 2011; 13:498-507. [PubMed]
  4. [4] Schwartz G. Spontaneous capital femoral physeal fracture in a cat. Can Vet J 2013, 54:698-700. [PubMed]
  5. [5] McNicholas WT, Wilkens BE, Blevins WE et al. Spontaneous femoral capital physeal fractures in adult cats: 26 cases (1996-2001). J Am Vet Med Assoc 2002; 221:1731-1736. [PubMed]

Artículos recomendados

Estas recomendaciones se ofrecen de forma automática.

  • ¿Cuál es tu diagnóstico?

    A. Agut, B. Mena-Moros, M. Soler, et al.
    Clin Vet Peq Anim Vol. 40 - Nº 3 · SEP 2020 · ¿Cuál es tu diagnóstico?
  • Caso clínico de Anestesia

    E. Belda, M. Martínez, J.D. Carrillo, et al.
    Clin Vet Peq Anim Vol. 37 - Nº 2 · JUN 2017 · Caso Clínico de...
  • Caso clínico de Cirugía

    A. Agut, J. D. Carrillo, M. Escobar, et al.
    Clin Vet Peq Anim Vol. 37 - Nº 1 · MAR 2017 · Caso Clínico de...
  • Inicio
  • Historia clínica
  • Describe las anormalidades radiográficas que se observan
  • ¿Cuáles son los diagnósticos diferenciales con estos signos radiográficos?
  • ¿Qué otras técnicas de diagnóstico realizarías para alcanzar el diagnóstico definitivo?
  • Comentario
  • Bibliografía
Artículo anterior Índice de la revista Artículo siguiente
ANUNCIO
Próximos cursos ATVs Elearning
Índice
Inicio Historia clínica Describe las anormalidades radiográficas que se observan ¿Cuáles son los diagnósticos diferenciales con estos signos radiográficos? ¿Qué otras técnicas de diagnóstico realizarías para alcanzar el diagnóstico definitivo? Comentario Bibliografía
Hill's - Reco Start
ANUNCIO

¿No eres socio de AVEPA y quieres recibir comunicación de las nuevas ediciones en tu correo?

Suscríbete

Suscríbete y te avisaremos cuando publiquemos un nuevo número

Suscribirme

Enlaces rápidos

  • Inicio
  • Último número
  • Archivo
  • Artículos

Información

  • Comité editorial
  • Política de cookies
  • Política de privacidad
  • Términos y condiciones

Contacto

  • info@imaginice.com
  • Envíanos tu artículo
© 2026 Ice Salud Vet SL. Todos los derechos reservados.

Usamos cookies para mejorar tu experiencia. Selecciona cuáles aceptas: