Logo AVEPA

Clínica Veterinaria de Pequeños Animales

Revista oficial de AVEPA

  • Inicio
  • Último número
  • Archivo
  • Artículos
  • Para autores
  • Contacto
Cursos Junio-Septiembre 2026
ANUNCIO

Clínica Veterinaria de Pequeños Animales

Revista oficial de AVEPA

  • Inicio
  • Último número
  • Archivo
  • Artículos
  • Para autores
  • Contacto
Curso Oftalmología 2026
ANUNCIO
Clin Vet Peq Anim Vol. 38 • Nº 1 • marzo 2018

¿Cuál es tu diagnóstico?

¿Cuál es tu diagnóstico?

V. Silva-Utrera

Departamento de Diagnóstico por Imagen, Hospital Veterinario VETSIA, c/ Galileo, 3, 28914 Leganés, Madrid.

Otros artículos de V. Silva-Utrera:
  • Diagnóstico por imagen de una comunicación esplenosistémica en un gato

    Clin Vet Peq Anim Vol. 38 • Nº 2 • junio 2018
  • ¿Cuál es tu diagnóstico?

    Clin Vet Peq Anim Vol. 38 • Nº 2 • junio 2018

E. López-Medina

Departamento de Diagnóstico por Imagen, Hospital Veterinario VETSIA, c/ Galileo, 3, 28914 Leganés, Madrid.

Otros artículos de E. López-Medina:
  • Diagnóstico por imagen de una comunicación esplenosistémica en un gato

    Clin Vet Peq Anim Vol. 38 • Nº 2 • junio 2018
  • ¿Cuál es tu diagnóstico?

    Clin Vet Peq Anim Vol. 38 • Nº 2 • junio 2018

P. Battiato

Departamento de Diagnóstico por Imagen, Hospital Veterinario VETSIA. c/ Galileo, 3, 28914 Leganés (Madrid)

Otros artículos de P. Battiato:
  • Diagnóstico por imagen de una comunicación esplenosistémica en un gato

    Clin Vet Peq Anim Vol. 38 • Nº 2 • junio 2018

N. Israeliantz-Gunz

Departamento de Diagnóstico por Imagen, Hospital Veterinario VETSIA, c/ Galileo, 3, 28914 Leganés, Madrid.

Otros artículos de N. Israeliantz-Gunz:
  • ¿Cuál es tu diagnóstico?

    Clin Vet Peq Anim Vol. 38 • Nº 2 • junio 2018

H. Fominaya-García

Hospital Veterinario VETSIA. c/ Galileo, 3, 28914 Leganés (Madrid)

V. Cervera-Castellanos

Hospital Veterinario Valencia Sur, Av. de Picassent, 28, 46460 Silla (Valencia)

Contacto: silvautreravanesa@gmail.com
Descargar artículo

Historia clínica

Se refiere al hospital de referencia un Bóxer macho castrado, de 8 años de edad, con signos de decaimiento, inapetencia y fatiga en los últimos cuatro meses, agravándose el cuadro en las tres últimas semanas con episodios de tos no productiva, sin respuesta al tratamiento: prednisona en dosis de 1 mg/kg SID (Dacortin®, Merck, Madrid) y doxiciclina en dosis de 10 mg/kg SID (Ronaxan®, Merial, Barcelona) durante 10 días.

La exploración física reveló sonido pulmonar atenuado a la auscultación en el lóbulo caudal izquierdo. La analítica sanguínea no reveló ninguna anormalidad.

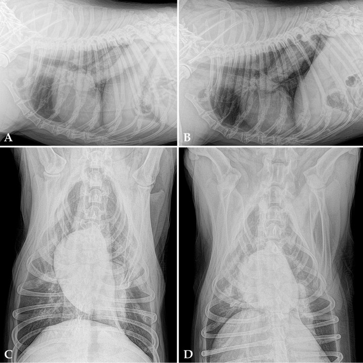
Se realizó un estudio radiográfico de la cavidad torácica, incluyendo cuatro proyecciones: lateral derecha, izquierda, ventrodorsal y dorsoventral (Fig. 1).

<p>Radiografías de tórax en un perro con decaimiento, inapetencia y fatiga de cuatro meses de evolución y episodios de tos no productiva en las últimas tres semanas. (A) Proyección lateral derecha. (B) Proyección lateral izquierda. (C) Proyección ventrodorsal. (D) Proyección dorsoventral.</p>
Figura 1

Radiografías de tórax en un perro con decaimiento, inapetencia y fatiga de cuatro meses de evolución y episodios de tos no productiva en las últimas tres semanas. (A) Proyección lateral derecha. (B) Proyección lateral izquierda. (C) Proyección ventrodorsal. (D) Proyección dorsoventral.

Describe las anormalidades radiográficas que se observan

Se observa una masa de opacidad tejido blando, cilíndrica y de márgenes irregulares en el lóbulo caudal izquierdo, extendiéndose desde la carina hacia caudodorsal. El resto de estructuras intratorácicas no muestran alteraciones radiológicas significativas. A nivel extratorácico se evidencia una severa espondilosis, más acusada en T11, T12, T13, L1 (Fig. 2).

<div>
<p>Mismas imágenes que la Figura 1. Se observa una masa de opacidad tejido blando cilíndrica de márgenes irregulares en el lóbulo caudal izquierdo, extendiéndose desde la carina hacia caudodorsal (área delimitada en blanco). El área negra señala la espondilosis severa en T11, T12, T13, L1.</p>
</div>
Figura 2

Mismas imágenes que la Figura 1. Se observa una masa de opacidad tejido blando cilíndrica de márgenes irregulares en el lóbulo caudal izquierdo, extendiéndose desde la carina hacia caudodorsal (área delimitada en blanco). El área negra señala la espondilosis severa en T11, T12, T13, L1.

¿Cuáles son los diagnósticos diferenciales con estos signos radiográficos?

La imagen radiológica es compatible con una masa en lóbulo caudal izquierdo. Los diagnósticos diferenciales incluyen: neoplasia pulmonar primaria (carcinoma, sarcoma) y granuloma pulmonar (cuerpo extraño, eosinofílico, fúngico).

¿Qué otras técnicas de imagen realizarías para alcanzar el diagnóstico definitivo?

En este caso se realizó una tomografía computarizada de tórax (TC), en la que se observó una masa isoatenuante con mineralización distrófica, cilíndrica, que obstruía y expandía la práctica totalidad de la luz del bronquio caudal izquierdo (Fig. 3), extendiéndose hacia bronquiolos secundarios, con captación de contraste intravenoso pobre y heterogénea. No se observaron nódulos de metástasis en el parénquima pulmonar, linfadenopatía traqueobronquial ni efusión pleural asociadas (Fig. 4) Dada su localización en el lóbulo caudal y su distribución broncocéntrica, así como la ausencia de otras alteraciones en el parénquima pulmonar, bronquios o linfonodos, el diagnóstico diferencial que se consideró más probable fue el de una neoplasia pulmonar primaria y, concretamente, un carcinoma broncoalveolar. Se recomendó su estudio histopatológico para su caracterización definitiva.

<div>
<p>Reconstrucción 3D del pulmón izquierdo. La flecha blanca señala el bronquio caudal izquierdo invadido por la masa.</p>
</div>
Figura 3

Reconstrucción 3D del pulmón izquierdo. La flecha blanca señala el bronquio caudal izquierdo invadido por la masa.

<p>Imágenes de TC de tórax en ventana de pulmón postcontraste. (A) Plano axial. (B) Plano sagital. (C) Plano dorsal. La luz del bronquio caudal izquierdo se encuentra prácticamente obstruida por una masa isoatenuante con mineralización distrófica y cilíndrica (flechas negras) que se extiende hacia bronquiolos secundarios (flechas blancas). La captación de contraste intravenoso es pobre y heterogénea.</p>
Figura 4

Imágenes de TC de tórax en ventana de pulmón postcontraste. (A) Plano axial. (B) Plano sagital. (C) Plano dorsal. La luz del bronquio caudal izquierdo se encuentra prácticamente obstruida por una masa isoatenuante con mineralización distrófica y cilíndrica (flechas negras) que se extiende hacia bronquiolos secundarios (flechas blancas). La captación de contraste intravenoso es pobre y heterogénea.

La broncoscopia con toma de biopsia corroboró la presencia de una masa en el bronquio izquierdo, con crecimiento intraluminal y obliteración completa de la luz. El bronquio principal derecho y la tráquea permanecían intactos. La biopsia reveló el diagnóstico de condrosarcoma pulmonar de bajo grado de malignidad.

Se optó por un tratamiento quirúrgico con lobectomía del lóbulo caudal izquierdo. La histopatología confirmó la existencia de un condrosarcoma pulmonar con exéresis completa (Fig. 5).

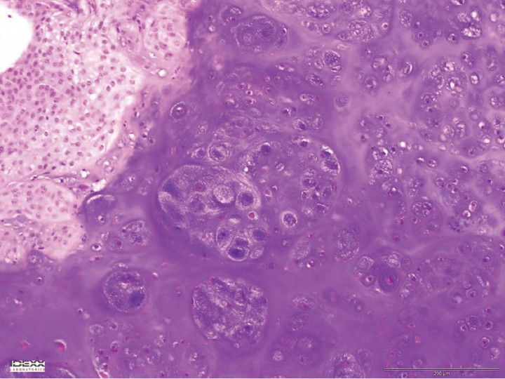
<p>Imagen microscópica de la lesión. Se observa una proliferación de células mesenquimatosas con abundante depósito de matriz condroide, lagunas con una o varias células de redondas a estrelladas, con bordes indefinidos, citoplasma moderadamente eosinófilo, núcleo redondo, cromatina granular gruesa y nucleolo central redondo, pequeño y basófilo (tinción HE x10).</p>
Figura 5

Imagen microscópica de la lesión. Se observa una proliferación de células mesenquimatosas con abundante depósito de matriz condroide, lagunas con una o varias células de redondas a estrelladas, con bordes indefinidos, citoplasma moderadamente eosinófilo, núcleo redondo, cromatina granular gruesa y nucleolo central redondo, pequeño y basófilo (tinción HE x10).

Comentario

Las neoplasias pulmonares primarias son infrecuentes. Los animales afectados pueden presentarse con disnea, tos, letargia y anorexia. Sin embargo, no es raro que se trate de hallazgos incidentales.[ Barret et al. Radiographic characterization of primary lung tumors in 74 dogs. Vet Radiol Ultrasound. 2014 Sep-Oct;55(5):480-7. [PubMed] ] La edad media de presentación es de 10 años, sin preferencia de sexo ni raza. La contaminación ambiental y la exposición a agentes cancerígenos parecen ser factores predisponentes.[ Stephen J. Withrow. Tumors of the Respiratory System. En Vail D(ed): Withrow and MacEwen´s Small Animal Clinical Oncology, United States, Saunders,2007; 517-524. ]

El pulmón puede ser asiento de neoplasias de origen primario pulmonar o metastásicas.

Las neoplasias malignas primarias de pulmón son, mayoritariamente, de origen epitelial (carcinomas y adenocarcinomas) y raramente de naturaleza mesenquimal (sarcomas).[ Stephen J. Withrow. Tumors of the Respiratory System. En Vail D(ed): Withrow and MacEwen´s Small Animal Clinical Oncology, United States, Saunders,2007; 517-524. ]

Los sarcomas primarios pulmonares son tumores mesenquimales que se originan de sus diversos elementos histológicos. Así, los hay de histogénesis vascular, fibrosa o histiocítica, muscular, de la vaina de los nervios periféricos y cartilaginosa.[ Rebolledo PV, Varela JI: Condrosarcoma de pulmón reporte de un caso. Rev Venez Oncol. 2011; 23:190-195. ]

Los condrosarcomas pulmonares, aunque detectados ocasionalmente en personas en parénquima pulmonar y bronquios,[ Gladish GW, Sabloff BM, Munden RF, et al. Primary Thoracic Sarcomas. RadioGraphics 2002; 22: 621-637. [PubMed] ] se han descrito muy raramente en perros. Los condrosarcomas extraesqueléticos se comportan como tumores bien delimitados que presentan un crecimiento lento en el tiempo, con rara incidencia de metástasis extratorácicas.[ Shah ND, Diwanji SR: Primary chondrosarcoma of the lung with cutaneous and skeletal metastases. Singapore Med J. 2007; 48:e196-199. [PubMed] ]

Radiológicamente, los tumores pulmonares primarios se presentan típicamente como masas solitarias y bien delimitadas en la periferia del lóbulo caudal. También se han descrito formas consolidadas y difusas. La mayoría se localiza en la porción central o en la periferia de los bronquios. Los sarcomas pulmonares muestran una disposición en el hilio y se han descrito dos casos extendiéndose desde el hilio a lo largo del bronquio. La mayoría de los tumores primarios no presentan mineralización interna.[ Marolf AJ, Gibbons DS, Podell BK, Park RD: Computed tomographic appearance of primary lung tumors in dogs. Vet Radiol Ultrasound 2011; 52:168-72. [PubMed] ]

Los condrosarcomas pulmonares son extremadamente raros en medicina veterinaria y la bibliografía tan solo recoge tres casos en perros.[ Young NL, Houseright RA, Robat CS: What is your diagnosis? Pulmonary mass in a dog. Vet Clin Pathol. 2016; 45:717-718. [PubMed] ] La tos ha sido descrita en el 52-93 % de los perros con condrosarcoma pulmonar por obstrucción del árbol bronquial y hasta un 30 % de ellos fue diagnosticado en ausencia de signos clínicos.[ Young NL, Houseright RA, Robat CS: What is your diagnosis? Pulmonary mass in a dog. Vet Clin Pathol. 2016; 45:717-718. [PubMed] ]

En este caso, el diagnóstico diferencial más probable contemplado en un primer momento, en base a las pruebas de imagen, fue carcinoma broncoalveolar por las características tomográficas, su localización y por ser la neoplasia pulmonar primaria de mayor incidencia en perros. Sin embargo, el diagnóstico definitivo debe obtenerse mediante el estudio histopatológico de la lesión,[ Stephen J. Withrow. Tumors of the Respiratory System. En Vail D(ed): Withrow and MacEwen´s Small Animal Clinical Oncology, United States, Saunders,2007; 517-524. ] tal y como se hizo aquí.

En perros, el tratamiento de elección de tumores pulmonares primarios solitarios sin evidencia de metástasis es la resección del lóbulo pulmonar afectado.[ Stephen J. Withrow. Tumors of the Respiratory System. En Vail D(ed): Withrow and MacEwen´s Small Animal Clinical Oncology, United States, Saunders,2007; 517-524. ] A día de hoy, no conocemos los beneficios del uso de la quimioterapia o cirugía en perros con este tipo de neoplasia, debido al escaso número de casos descritos.

En conclusión, aunque el condrosarcoma pulmonar no es una neoplasia pulmonar frecuente, debe ser contemplada como diagnóstico diferencial cuando existen lesiones pulmonares solitarias de distribución en lóbulos caudales y de localización central o periférica de los bronquios. Su caracterización definitiva debe obtenerse mediante el estudio histopatológico de la lesión.

 

Fuente de financiación: esta investigación no se realizó con fondos comerciales, públicos o del sector privado.

Conflicto de intereses: los autores declaran que no existe conflicto de intereses.

Bibliografía

  1. [1] Barret et al. Radiographic characterization of primary lung tumors in 74 dogs. Vet Radiol Ultrasound. 2014 Sep-Oct;55(5):480-7. [PubMed]
  2. [2] Stephen J. Withrow. Tumors of the Respiratory System. En Vail D(ed): Withrow and MacEwen´s Small Animal Clinical Oncology, United States, Saunders,2007; 517-524.
  3. [3] Rebolledo PV, Varela JI: Condrosarcoma de pulmón reporte de un caso. Rev Venez Oncol. 2011; 23:190-195.
  4. [4] Gladish GW, Sabloff BM, Munden RF, et al. Primary Thoracic Sarcomas. RadioGraphics 2002; 22: 621-637. [PubMed]
  5. [5] Shah ND, Diwanji SR: Primary chondrosarcoma of the lung with cutaneous and skeletal metastases. Singapore Med J. 2007; 48:e196-199. [PubMed]
  6. [6] Marolf AJ, Gibbons DS, Podell BK, Park RD: Computed tomographic appearance of primary lung tumors in dogs. Vet Radiol Ultrasound 2011; 52:168-72. [PubMed]
  7. [7] Young NL, Houseright RA, Robat CS: What is your diagnosis? Pulmonary mass in a dog. Vet Clin Pathol. 2016; 45:717-718. [PubMed]

Artículos recomendados

Estas recomendaciones se ofrecen de forma automática.

  • ¿Cuál es tu diagnóstico?
    L. Martín-Carrasco, E. Mínguez-Pereira, R. Salgüero-Fernández, et al.
    Clin Vet Peq Anim Vol. 46 - Nº 1 · MAR 2026 · ¿Cuál es tu diagnóstico?
  • Diagnóstico por imagen de una comunicación esplenosistémica en un gato

    H. Fominaya-García, V. Silva-Utrera, E. López-Medina, et al.
    Clin Vet Peq Anim Vol. 38 - Nº 2 · JUN 2018 · Artículo original referido a un solo caso clínico
  • ¿Cuál es tu diagnóstico?

    V. Silva-Utrera, E. López-Medina, N. Israeliantz-Gunz, et al.
    Clin Vet Peq Anim Vol. 38 - Nº 2 · JUN 2018 · ¿Cuál es tu diagnóstico?
  • Inicio
  • Historia clínica
  • Describe las anormalidades radiográficas que se observan
  • ¿Cuáles son los diagnósticos diferenciales con estos signos radiográficos?
  • ¿Qué otras técnicas de imagen realizarías para alcanzar el diagnóstico definitivo?
  • Comentario
  • Bibliografía
Artículo anterior Índice de la revista Artículo siguiente
ANUNCIO
Próximos cursos ATVs Elearning
Índice
Inicio Historia clínica Describe las anormalidades radiográficas que se observan ¿Cuáles son los diagnósticos diferenciales con estos signos radiográficos? ¿Qué otras técnicas de imagen realizarías para alcanzar el diagnóstico definitivo? Comentario Bibliografía
Purina Calming Care
ANUNCIO

¿No eres socio de AVEPA y quieres recibir comunicación de las nuevas ediciones en tu correo?

Suscríbete

Suscríbete y te avisaremos cuando publiquemos un nuevo número

Suscribirme

Enlaces rápidos

  • Inicio
  • Último número
  • Archivo
  • Artículos

Información

  • Comité editorial
  • Política de cookies
  • Política de privacidad
  • Términos y condiciones

Contacto

  • info@imaginice.com
  • Envíanos tu artículo
© 2026 Ice Salud Vet SL. Todos los derechos reservados.

Usamos cookies para mejorar tu experiencia. Selecciona cuáles aceptas: