Logo AVEPA

Clínica Veterinaria de Pequeños Animales

Revista oficial de AVEPA

  • Inicio
  • Último número
  • Archivo
  • Artículos
  • Para autores
  • Contacto
Cursos Junio-Septiembre 2026
ANUNCIO

Clínica Veterinaria de Pequeños Animales

Revista oficial de AVEPA

  • Inicio
  • Último número
  • Archivo
  • Artículos
  • Para autores
  • Contacto
Curso Oftalmología 2026
ANUNCIO
Clin Vet Peq Anim Vol. 39 • Nº 3 • septiembre 2019

¿Cuál es tu diagnóstico?

¿Cuál es tu diagnóstico?

L. Ruiz de Alejos

Hospital de la Fundación Clínica Veterinaria. Universidad de Murcia. Campus Universitario de Espinardo. 30100 Murcia (España).

M. Soler

Hospital de la Fundación Clínica Veterinaria. Universidad de Murcia. Campus Universitario de Espinardo. 30100 Murcia (España).

A. Fages

Ospedale Didattico Veterinario “M. Modenato”. Dipartimento de Scienze Veterinarie. Università dei Pisa. Viale delle Piagge 2. 56124 Pisa (Italia).

M. Degani

Ospedale Didattico Veterinario “M. Modenato”. Dipartimento de Scienze Veterinarie. Università dei Pisa. Viale delle Piagge 2. 56124 Pisa (Italia).

A. Agut

Hospital de la Fundación Clínica Veterinaria. Universidad de Murcia. Campus Universitario de Espinardo. 30100 Murcia (España).

Contacto: alejoslaura@um.es
Descargar artículo

Historia clínica

Acude a consulta un cachorro de 7 meses, macho, mestizo que presentaba episodios de vómitos, anorexia y apatía desde hacía 24 horas. El examen físico fue normal y no se observaron alteraciones relevantes en las analíticas sanguíneas. Se realizaron radiografías lateral derecha (Fig. 1A), izquierda (Fig. 1B) y ventrodorsal (Fig. 1C) de la cavidad abdominal.

<p>Radiografías de abdomen. (<strong>A</strong>) Lateral derecha. (<strong>B</strong>) Lateral izquierda. (<strong>C</strong>) Ventrodorsal.</p>
Figura 1

Radiografías de abdomen. (A) Lateral derecha. (B) Lateral izquierda. (C) Ventrodorsal.

Describe las anormalidades radiológicas que se observan

Se visualizan varias asas de intestino delgado dilatadas y apiladas localizadas en abdomen craneal y medio, con contenido de opacidad gas y tejido blando en su interior (Fig. 2) y otras que mantienen su tamaño normal. Una de estas asas, localizada entre abdomen medio-caudal (Figs. 2A y B) y en el lado derecho (Fig. 2C), se encuentra dilatada con un ratio de diámetro del asa respecto a altura del cuerpo de la vértebra L5 de 2,8 (ratio normal 1), con un contenido de opacidad tejido blando y presencia de gas dispuesto en un patrón de líneas radiolúcidas y moteado. Este contenido se extiende a lo largo del asa desde la cuarta vértebra lumbar hasta el sacro.

<p>Mismas radiografías que la Figura 1. Se observan varias asas de intestino delgado dilatadas y apiladas localizadas en abdomen craneal y medio, con contenido de opacidad gas y tejido blando en su interior (flechas negras). En abdomen medio-caudal (<strong>A</strong> y <strong>B</strong>) y en el lado derecho (<strong>C</strong>), se visualiza otra asa dilatada con un ratio de diámetro del asa respecto a altura del cuerpo de la vértebra L5 de 2,8, con un contenido de opacidad tejido blando y presencia de gas dispuesto en un patrón de líneas radiolúcidas y moteado (flechas blancas).</p>
Figura 2

Mismas radiografías que la Figura 1. Se observan varias asas de intestino delgado dilatadas y apiladas localizadas en abdomen craneal y medio, con contenido de opacidad gas y tejido blando en su interior (flechas negras). En abdomen medio-caudal (A y B) y en el lado derecho (C), se visualiza otra asa dilatada con un ratio de diámetro del asa respecto a altura del cuerpo de la vértebra L5 de 2,8, con un contenido de opacidad tejido blando y presencia de gas dispuesto en un patrón de líneas radiolúcidas y moteado (flechas blancas).

¿Cuáles son los diagnósticos diferenciales con estos signos radiológicos?

El hallazgo radiográfico de asas de intestino delgado de tamaño normal y otras dilatadas, alcanzando un ratio diámetro del asa respecto a la altura central del cuerpo de la vértebra L5 mayor a 2, es altamente sugestivo de la presencia de una obstrucción intestinal de tipo mecánica. Ésta puede deberse a un cuerpo extraño, intususcepción, pólipo, granuloma, absceso, vólvulo intestinal, adherencias o, con menor probabilidad, neoplasia. La presencia de un asa de intestino delgado dilatada con contenido de opacidad tejido blando en su interior con rayas o punteado radiolúcido es compatible con un cuerpo extraño textil localizado en la luz intestinal.

¿Qué otras pruebas recomendarías para alcanzar el diagnóstico definitivo?

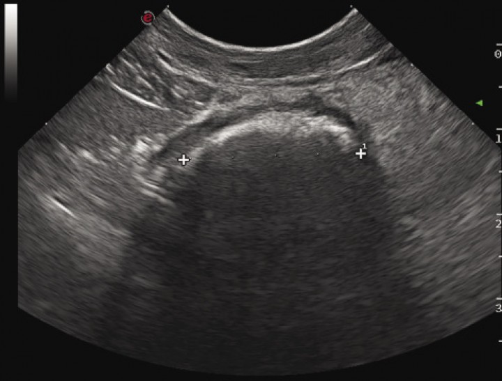
Para corroborar el diagnóstico presuntivo de obstrucción intestinal mecánica se procedió a la realización de una ecografía de abdomen en la que se observó distensión de varias asas intestinales sin motilidad y contenido ecogénico; en el interior de un asa de yeyuno se apreció una estructura hiperecogénica de al menos 4 cm de longitud con una marcada sombra acústica (Fig. 3). También se observó el peritoneo levemente hiperecogénico en la región adyacente al asa que contenía la sombra acústica, y los linfonodos yeyunales se observaban con ecotextura heterogénea y levemente aumentados de tamaño.

<p>Imagen ecográfica del asa intestinal con presencia de una estructura hiperecogénica con marcada sombra acústica en su interior.</p>
Figura 3

Imagen ecográfica del asa intestinal con presencia de una estructura hiperecogénica con marcada sombra acústica en su interior.

Estos hallazgos eran compatibles, más probablemente, con un cuerpo extraño, peritonitis o esteatitis focal leve y linfadenopatía reactiva, aunque también podía deberse, con menor probabilidad, a la hiperplasia de los linfonodos yeyunales debido a la edad del paciente.

Se recomendó la realización de una laparatomía exploratoria, localizándose un cuerpo extraño en el interior del yeyuno que se extrajo mediante enterotomía y que resultó ser un calcetín.

Comentario

La obstrucción intestinal se define como un fallo del paso del contenido intestinal a través del tracto intestinal. Ésta puede ser de tipo mecánica, secundaria a una obstrucción física del contenido intestinal, o de tipo funcional, secundaria al cese del peristaltismo intestinal debido a alteraciones vasculares o neuromusculares a nivel de la pared intestinal. En ambos casos se produce una distensión de las asas intestinales que se visualizan dilatadas con gas, líquido o ambos.[ Agut A, Reyes A, Soler M: Signos radiográficos de la obstrucción intestinal mecánica. Canis et Felis, 2015 136:34-56. ]

La dilatación generalizada de asas es más compatible con una obstrucción de tipo funcional o de localización muy distal, mientras que si la dilatación de asas es focal, con asas dilatadas y otras normales, es más consistente con una obstrucción mecánica. En el caso de obstrucciones funcionales, las asas suelen contener más cantidad de gas que en las obstrucciones mecánicas, en las que encontraremos tanto gas como líquido.[ Agut A, Reyes A, Soler M: Signos radiográficos de la obstrucción intestinal mecánica. Canis et Felis, 2015 136:34-56. ]

A nivel radiológico se utilizan diversas referencias anatómicas para valorar el diámetro de la luz intestinal. El diámetro de un asa de intestino delgado en el perro no debe exceder de dos veces el diámetro del resto de asas de intestino delgado o de dos veces la anchura de la doceava costilla.[ Agut A, Soler M. Sistema gastrointestinal. En Diagnóstico por Imagen en pequeños animales. Ed Agut A. Multimédica Ediciones Veterinarias. Barcelona, 2014. 403-420. ] Si el ratio de diámetro del asa respecto a la altura central del cuerpo vertebral de L5 excede de 1,6 este hallazgo es sugestivo de obstrucción intestinal.[ Dennis R, Kirberger RM, Barr F, Wrigley RH. Handbook of Small Animal Radiology and Ultrasound. Saunders Elsevier. Croydon (UK), 2010, 277-287. ] Por otro lado, también se ha descrito que con un valor de este ratio de 1,73 la probabilidad de que haya una obstrucción intestinal es de un 50 %, y con valores iguales o superiores a 1,95 la probabilidad es de un 80 % o mayor.[ Graham JP, Lord PF, Harrison JM: Quantitative estimation of intestinal dilation as a predictor of obstruction in the dog. J Small Anim Practic 1998, 39:521-524. [PubMed] ] En un estudio más reciente señalan que con un ratio de 1,95 la probabilidad de obstrucción intestinal es de un 77 %, mientras que con un valor de 2,07 es de un 86 %.[ Ciasca TC, David FH, Lamb CR: Does measurement of small intestinal diameter increase diagnostic accuracy of radiography in dogs with suspected intestinal obstruction? Vet Radiol & Ultrasound 2013, 54: 207-211. [PubMed] ] En este mismo estudio se indica, además, que muchos de los casos en los que la obstrucción intestinal se confirmó quirúrgicamente no presentaban dilatación intestinal en radiografía; este dato también se recoge en otros estudios en los que no se observaba dilatación intestinal en un 30 %[ Sharma A, Thompson MS, Scrivani PV, Dykes NL, Yeager AE, Freer SR, Hollis N. Erb HN: Comparison of radiography and ultrasonography for diagnosing small-intestinal mechanical obstruction in vomiting dogs. Vet Radiol & Ultrasound 2011, 52: 248-255. [PubMed] ] y hasta en un 45 % de los casos con obstrucción intestinal confirmada, por lo que el uso de las radiografías por sí solas no tendría una precisión diagnóstica. En nuestro caso la sospecha principal era de una obstrucción de tipo mecánico, debido a que radiográficamente se visualizó, además de asas de tamaño normal, una dilatación severa de algunas asas de intestino delgado, con un ratio que alcanzó un valor de 2,8 y presencia de contenido tanto gaseoso como líquido.

Las causas de la obstrucción mecánica se pueden clasificar en intraluminales (cuerpos extraños, intususcepciones), murales (neoplasias, pólipos, granulomas) o extraluminales (adherencias, hernias, masas de origen no intestinal, vólvulos intestinales).[ Dennis R, Kirberger RM, Barr F, Wrigley RH. Handbook of Small Animal Radiology and Ultrasound. Saunders Elsevier. Croydon (UK), 2010, 277-287. ]

Los cuerpos extraños son una de las causas más comunes de obstrucción intestinal mecánica, y el aspecto radiológico varía según su composición. Así, los cuerpos extraños radiopacos se observan en las radiografías simples, mientras que los radiolúcidos requieren de estudios de contraste para ser visualizados, aunque algunos cuerpos extraños radiolúcidos presentan un patrón radiográfico característico que permite identificarlos sin necesidad de contraste.

En nuestro caso, debido al patrón de opacidad tejido blando en su interior con rayas o punteado radiolúcido, el diagnóstico más probable fue de un cuerpo extraño textil. Este patrón se produce por el aire que queda atrapado en su interior y que se dispone en forma de motas o rayas radiolúcidas.

Aunque los hallazgos radiológicos eran bastante concluyentes de obstrucción mecánica debido a un cuerpo extraño textil, se realizó una ecografía abdominal donde se corroboró el diagnóstico, ya que se observaron asas intestinales dilatadas sin motilidad y una estructura hiperecogénica con sombra acústica.

Se ha demostrado que la ecografía de abdomen es más sensible en la detección de obstrucción intestinal que la realización de las tres proyecciones radiográficas de abdomen (96 % de casos de obstrucción detectado mediante ecografía y 52 % mediante radiografía). Sin embargo, en todos los casos la causa de la obstrucción fue un cuerpo extraño, por lo que se desconoce si estos porcentajes pueden ser aplicados a las diferentes etiologías de obstrucción mecánica.[ Sharma A, Thompson MS, Scrivani PV, Dykes NL, Yeager AE, Freer SR, Hollis N. Erb HN: Comparison of radiography and ultrasonography for diagnosing small-intestinal mechanical obstruction in vomiting dogs. Vet Radiol & Ultrasound 2011, 52: 248-255. [PubMed] ]

En conclusión, las radiografías y ecografías abdominales son buenos métodos para diagnosticar una obstrucción mecánica de intestino delgado, aunque la ecografía abdominal resulta más precisa que la radiografía para el diagnóstico de obstrucción intestinal, ya que la ausencia de dilatación intestinal en la radiografía no descarta la existencia de una obstrucción intestinal; con todo, también hay que tener en cuenta que la ecografía es una técnica dependiente del operador, lo cual puede influir en el diagnóstico definitivo.

 

Fuente de financiación: este trabajo no se ha realizado con fondos comerciales, públicos o del sector privado.

Conflicto de intereses: los autores declaran que no existe conflicto de intereses.

Bibliografía

  1. [1] Agut A, Reyes A, Soler M: Signos radiográficos de la obstrucción intestinal mecánica. Canis et Felis, 2015 136:34-56.
  2. [2] Agut A, Soler M. Sistema gastrointestinal. En Diagnóstico por Imagen en pequeños animales. Ed Agut A. Multimédica Ediciones Veterinarias. Barcelona, 2014. 403-420.
  3. [3] Dennis R, Kirberger RM, Barr F, Wrigley RH. Handbook of Small Animal Radiology and Ultrasound. Saunders Elsevier. Croydon (UK), 2010, 277-287.
  4. [4] Graham JP, Lord PF, Harrison JM: Quantitative estimation of intestinal dilation as a predictor of obstruction in the dog. J Small Anim Practic 1998, 39:521-524. [PubMed]
  5. [5] Ciasca TC, David FH, Lamb CR: Does measurement of small intestinal diameter increase diagnostic accuracy of radiography in dogs with suspected intestinal obstruction? Vet Radiol & Ultrasound 2013, 54: 207-211. [PubMed]
  6. [6] Sharma A, Thompson MS, Scrivani PV, Dykes NL, Yeager AE, Freer SR, Hollis N. Erb HN: Comparison of radiography and ultrasonography for diagnosing small-intestinal mechanical obstruction in vomiting dogs. Vet Radiol & Ultrasound 2011, 52: 248-255. [PubMed]

Artículos recomendados

Estas recomendaciones se ofrecen de forma automática.

  • ¿Cuál es tu diagnóstico?
    L. Martín-Carrasco, E. Mínguez-Pereira, R. Salgüero-Fernández, et al.
    Clin Vet Peq Anim Vol. 46 - Nº 1 · MAR 2026 · ¿Cuál es tu diagnóstico?
  • ¿Cuál es tu diagnóstico?
    D. Marbella, A.M. Hernández-Guerra, L. Montalvà-Minguet
    Clin Vet Peq Anim Vol. 45 - Nº 4 · DIC 2025 · ¿Cuál es tu diagnóstico?
  • ¿Cuál es tu diagnóstico?

    J.D. Carrillo, M. Soler, M.S. Echalecu, et al.
    Clin Vet Peq Anim Vol. 45 - Nº 3 · SEP 2025 · ¿Cuál es tu diagnóstico?
  • Inicio
  • Historia clínica
  • Describe las anormalidades radiológicas que se observan
  • ¿Cuáles son los diagnósticos diferenciales con estos signos radiológicos?
  • ¿Qué otras pruebas recomendarías para alcanzar el diagnóstico definitivo?
  • Comentario
  • Bibliografía
Artículo anterior Índice de la revista Artículo siguiente
ANUNCIO
Próximos cursos ATVs Elearning
Índice
Inicio Historia clínica Describe las anormalidades radiológicas que se observan ¿Cuáles son los diagnósticos diferenciales con estos signos radiológicos? ¿Qué otras pruebas recomendarías para alcanzar el diagnóstico definitivo? Comentario Bibliografía
Purina Calming Care
ANUNCIO

¿No eres socio de AVEPA y quieres recibir comunicación de las nuevas ediciones en tu correo?

Suscríbete

Suscríbete y te avisaremos cuando publiquemos un nuevo número

Suscribirme

Enlaces rápidos

  • Inicio
  • Último número
  • Archivo
  • Artículos

Información

  • Comité editorial
  • Política de cookies
  • Política de privacidad
  • Términos y condiciones

Contacto

  • info@imaginice.com
  • Envíanos tu artículo
© 2026 Ice Salud Vet SL. Todos los derechos reservados.

Usamos cookies para mejorar tu experiencia. Selecciona cuáles aceptas: