Logo AVEPA

Clínica Veterinaria de Pequeños Animales

Revista oficial de AVEPA

  • Inicio
  • Último número
  • Archivo
  • Artículos
  • Para autores
  • Contacto
Cursos Junio-Septiembre 2026
ANUNCIO

Clínica Veterinaria de Pequeños Animales

Revista oficial de AVEPA

  • Inicio
  • Último número
  • Archivo
  • Artículos
  • Para autores
  • Contacto
Curso Oftalmología 2026
ANUNCIO
Clin Vet Peq Anim Vol. 37 • Nº 2 • junio 2017

¿Cuál es tu diagnóstico?

¿Cuál es tu diagnóstico?

J. Santos-Corrales

Centro Veterinario Parla. Parla (Madrid).

C.E. Sandoval-Villalobos

Centro Veterinario Parla. Parla (Madrid).

R. García-García

Centro Veterinario Parla. Parla (Madrid).

H. Fominaya-García

Hospital Veterinario VETSIA. Leganés (Madrid).

V. Cervera-Castellanos

Hospital Veterinario VALENCIA SUR. Silla (Valencia).

J. Gutiérrez del Sol

VETMI. Cirugía Veterinaria de Mínima Invasión. Cáceres (Cáceres).

F.J. Pérez-Duarte

VETMI. Cirugía Veterinaria de Mínima Invasión. Cáceres (Cáceres).

F.J. Duque-Carrasco

Hospital Clínico Veterinario Universidad de Extremadura. Cáceres (Cáceres).

Contacto: jaimevet87@gmail.com
Descargar artículo

Historia clínica

Una gata de raza común Europeo de hábitos “indoor”, esterilizada, de 1,5 años y 3,5 kg de peso fue atendida por un cuadro de hematuria desde hacía 2 días. Durante la exploración física no se evidenciaron hallazgos relevantes.

Se realizó una analítica de orina que evidenció hematuria (250 eritrocitos/μl) y proteinuria (500 mg/dl). El estudio del sedimento urinario mostró escasos cristales amorfos y hematuria; en la tinción Diff-Quick® se observó leucocituria sin fagocitosis bacteriana. En la analítica sanguínea no se evidenciaron alteraciones significativas.

Se hizo un estudio radiológico del abdomen, con proyecciones lateral derecha (LD) y ventrodorsal (VD) (Fig. 1).

<p>(A) Proyección lateral derecha. (B) Proyección ventrodorsal de abdomen de una gata común Europeo de 2 años con un cuadro de hematuria.</p>
Figura 1

(A) Proyección lateral derecha. (B) Proyección ventrodorsal de abdomen de una gata común Europeo de 2 años con un cuadro de hematuria.

Describe las anormalidades radiográficas que se observan

En la proyección LD, las anormalidades radiográficas más relevantes fueron: en la zona de localización de las siluetas renales se apreció un aumento de opacidad en el centro de las mismas y se sospechó que los márgenes de la silueta renal izquierda eran irregulares (Fig. 2A); dorsal a la vejiga de la orina se observó una zona de opacidad tejido blando anormal con forma de lágrima a la altura de la sexta vértebra lumbar (L6) (Fig. 2A).

<p>Mismas imágenes que en la Fig. 1 (A) Proyección lateral derecha. Se observan las siluetas renales superpuestas y un aumento de opacidad en el centro de las mismas. Los márgenes de la silueta renal izquierda son irregulares (flecha roja). Dorsal a la vejiga de la orina hay una zona de opacidad tejido blando anormal, con forma de lágrima, a la altura de L6 (cabezas de flecha verdes). (B) Proyección ventrodorsal de abdomen. Se observa una evidente diferencia de tamaño entre el riñón derecho (normal) y el izquierdo (aumentado de tamaño), evidenciándose de manera más clara la irregularidad de sus márgenes y una zona de opacidad mineral en la zona de proyección de la pelvis renal (flecha roja). Al igual que en la proyección lateral, se observa la misma estructura de opacidad tejido blando con forma de lágrima (cabezas de flecha verdes).</p>
Figura 2

Mismas imágenes que en la Fig. 1 (A) Proyección lateral derecha. Se observan las siluetas renales superpuestas y un aumento de opacidad en el centro de las mismas. Los márgenes de la silueta renal izquierda son irregulares (flecha roja). Dorsal a la vejiga de la orina hay una zona de opacidad tejido blando anormal, con forma de lágrima, a la altura de L6 (cabezas de flecha verdes). (B) Proyección ventrodorsal de abdomen. Se observa una evidente diferencia de tamaño entre el riñón derecho (normal) y el izquierdo (aumentado de tamaño), evidenciándose de manera más clara la irregularidad de sus márgenes y una zona de opacidad mineral en la zona de proyección de la pelvis renal (flecha roja). Al igual que en la proyección lateral, se observa la misma estructura de opacidad tejido blando con forma de lágrima (cabezas de flecha verdes).

En la proyección VD se visualizó una evidente asimetría entre el riñón derecho (de tamaño normal) y el izquierdo (aumentado) (ratio RI/L2 2,8, rango normal para una gata castrada 1,9-2,6), el cual además presentó bordes irregulares (Fig. 2B). Además, se apreció una zona de opacidad mineral en la zona de proyección de la pelvis renal. Asimismo, se observó, a idéntica altura que en la proyección LD, la misma estructura de opacidad tejido blando con forma de lágrima, que se proyectaba hacia el lado izquierdo (Fig. 2B).

El resto de estructuras abdominales no presentaron cambios relevantes respecto a la normalidad.

¿Cuáles son los principales diagnósticos diferenciales que plantearías con los hallazgos observados?

El diagnóstico diferencial de renomegalia unilateral incluye hidronefrosis, hipertrofia compensadora, derrame subcapsular (orina, hematoma o pus), enfermedad renal aguda y enfermedades infiltrativas (inflamatorias vs. neoplásicas).   

La forma anormal del riñón podría sugerir, entre los diagnósticos diferenciales más frecuentes, un proceso neoplásico, lesión quística (solitaria o riñón poliquístico), absceso, granuloma o hematoma.

El aumento de opacidad en la región de la pelvis renal puede indicar (en este caso) nefrolitiasis o nefrocalcinosis (por distrofia o intoxicaciones) y, menos probablemente, la visualización fisiológica de las arterias circunflejas ilíacas profundas debido a mineralizaciones de sus paredes.

¿Qué otras técnicas realizarías para alcanzar el diagnóstico definitivo?

En este caso se realizó una ecografía abdominal, observándose un riñón derecho normal, con una longitud de 3,7 cm; no fue así en el caso del riñón izquierdo, que presentó una longitud de 4,1 cm (Fig. 3A) y una dilatación patológica de la pelvis renal (0,5 cm) con un adelgazamiento de su cortical renal (Fig. 3B). La vejiga de la orina no presentó alteraciones; sin embargo, en la unión ureterovesical se observó una dilatación del uréter (hidrouréter, 1,35 cm) (Figs. 3C y D) y dos líneas hiperecogénicas alrededor de la zona de inserción (Fig. 3D); en esta zona se observó un contenido anecógeno (orina) y una moderada cantidad de sedimento (Fig. 3D).

<p>Imágenes ecográficas del riñón y el uréter izquierdos. (A) Corte longitudinal del riñón, longitud aumentada (4,1 cm). (B) Corte transversal. Se observa pielectasia (0,5 cm). (C) Corte transversal del uréter. Se aprecia hidrouréter (1,35 cm). (D) Corte longitudinal a nivel de la unión ureterovesical. Se observa una dilatación en la unión y unas líneas hiperecogénicas en la desembocadura del uréter (flechas rojas), contenido anecogénico y cierta cantidad de sedimento (cabezas de flecha verdes).</p>
Figura 3

Imágenes ecográficas del riñón y el uréter izquierdos. (A) Corte longitudinal del riñón, longitud aumentada (4,1 cm). (B) Corte transversal. Se observa pielectasia (0,5 cm). (C) Corte transversal del uréter. Se aprecia hidrouréter (1,35 cm). (D) Corte longitudinal a nivel de la unión ureterovesical. Se observa una dilatación en la unión y unas líneas hiperecogénicas en la desembocadura del uréter (flechas rojas), contenido anecogénico y cierta cantidad de sedimento (cabezas de flecha verdes).

Para caracterizar estos hallazgos se realizó una tomografía computarizada (TC) abdominal en fases pre y postcontraste. En el estudio precontraste, se observaron dos nefrolitos de pequeño tamaño en pelvis renal izquierda (Fig. 4A), hidrouréter e hidronefrosis en riñón izquierdo (Fig. 4B) y una dilatación bulbosa máxima de 1,3 cm justo antes de la unión ureterovesical izquierda (Fig. 4C). Estos hallazgos hicieron que se descartara la presencia de engrosamientos o masas en la entrada a la vejiga de la orina, así como la presencia de uréter ectópico o ureterocele. En el estudio postcontraste se observó un drenaje deficiente del uréter izquierdo y ausencia de cálculos ureterales (Fig. 4D).

<p>(A) Imágenes de TC precontraste. Plano transversal. Se aprecia un nefrolito de pequeño tamaño (flecha verde). (B) Imágenes de TC postcontraste. Plano transversal. Se observa hidronefrosis e hidrouréter (flechas verdes) y dilatación bulbosa en la unión ureterovesical (flechas verdes). (C) Plano transversal. Ausencia de engrosamientos o masas (flechas verdes). (D) Plano dorsal. Drenaje deficiente del uréter izquierdo (flechas verdes).</p>
Figura 4

(A) Imágenes de TC precontraste. Plano transversal. Se aprecia un nefrolito de pequeño tamaño (flecha verde). (B) Imágenes de TC postcontraste. Plano transversal. Se observa hidronefrosis e hidrouréter (flechas verdes) y dilatación bulbosa en la unión ureterovesical (flechas verdes). (C) Plano transversal. Ausencia de engrosamientos o masas (flechas verdes). (D) Plano dorsal. Drenaje deficiente del uréter izquierdo (flechas verdes).

El hallazgo más relevante de la TC fue la evidencia de un hidrouréter izquierdo grave y crónico, asociado a hidronefrosis obstructiva desde la unión ureterovesical izquierda; no se evidenciaron cálculos ureterales o vesicales en dicha exploración. En este punto, descartadas las neoplasias y una ligadura iatrogénica del uréter, se consideraron la estenosis ureteral como causa más probable y una estenosis secundaria a episodios anteriores de urolitiasis (menos probable).

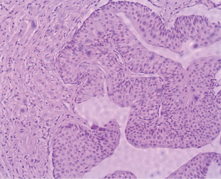
Se realizó una ureteronefrectomía laparoscópica (Fig. 5), así como la histopatología del riñón y uréter. El estudio histopatológico confirmó la hidronefrosis y, en la dilatación quística del uréter, se apreció un adelgazamiento de la pared con hiperplasia de la capa muscular y de su epitelio en la zona de resección. No se observaron cambios neoplásicos ni inflamatorios asociados (Fig. 6).

<p>Imagen macroscópica del riñón, uréter, dilatación bulbosa y unión ureterovesical tras ureteronefrectomía por laparoscopia.</p>
Figura 5

Imagen macroscópica del riñón, uréter, dilatación bulbosa y unión ureterovesical tras ureteronefrectomía por laparoscopia.

<p>Imagen histológica del uréter. Se observa una hiperplasia de la capa muscular y del epitelio transicional de revestimiento en la zona de resección. Tinción de Hematoxilina-Eosina (x100).</p>
Figura 6

Imagen histológica del uréter. Se observa una hiperplasia de la capa muscular y del epitelio transicional de revestimiento en la zona de resección. Tinción de Hematoxilina-Eosina (x100).

Comentario

En pacientes con hematuria es imprescindible el estudio radiográfico para valorar la presencia de cálculos radioopacos en la zona de proyección del sistema colector renal. En ocasiones es difícil diferenciar entre posibles cálculos y estructuras radioopacas incluidas en el colon o pequeñas mineralizaciones en las arterias circunflejas ilíacas profundas, que pueden superponerse a estas estructuras.[ Corzo, N. Sistema urinario. En A. Agut. Diagnóstico por imagen en pequeños animales. Ed. Multimédica, Barcelona. 2014; 336-337. ] Un hidrouréter sólo es visible por radiografías simples si el uréter está extremadamente dilatado, y normalmente va acompañado de un aumento de tamaño de la silueta renal debido a hidronefrosis.[ Corzo, N. Sistema urinario. En A. Agut. Diagnóstico por imagen en pequeños animales. Ed. Multimédica, Barcelona. 2014; 336-337. ] Desde un punto de vista clínico-práctico y para instaurar el tratamiento correcto se debe intentar distinguir si el hidrouréter es de carácter obstructivo o no.[ Corzo, N. Sistema urinario. En A. Agut. Diagnóstico por imagen en pequeños animales. Ed. Multimédica, Barcelona. 2014; 336-337. ]

Se considera que, combinando radiografía y ecografía, la sensibilidad para detectar urolitos en gatos puede alcanzar el 90 %.[ d´Anjou MA. Riñones y uréteres. En D. Penninck, M. A. d´Anjou. Small Animal Ultrasonography. Ed: Multimédica, Barcelona. 2015; 340. ] En nuestro caso, no se observaron estructuras compatibles con urolitos ureterales ni vesicales por radiografía, ecografía ni TC.

Una estenosis se define como un estrechamiento de una estructura hueca o tubular que suele deberse a una retracción cicatricial.[ Zaid MS, Berent AC, Weisse C, Caceres A. Feline Ureteral Structures: 10 cases (2007-2009). J Vet Inten Med 2011; 25: 222-229. ] Las causas predisponentes de estenosis ureteral descritas incluyen: cirugía ureteral, ureteroscopia, tránsito de cálculos, radioterapia, neoplasia (intrínseca o extrínseca al uréter), fibrosis retroperitoneal, enfermedad o anomalía congénita, tuberculosis, uréter circumcaval y administración de fármacos; también se ha descrito una estenosis ureteral primaria idiopática.[ Zaid MS, Berent AC, Weisse C, Caceres A. Feline Ureteral Structures: 10 cases (2007-2009). J Vet Inten Med 2011; 25: 222-229. ]

En nuestro caso, lo más probable es que se trate de la forma congénita o idiopática; sin embargo, no podemos descartar con toda garantía una estenosis secundaria a urolitiasis; el resto de causas se descartaron en la historia clínica y mediante las pruebas complementarias. Las descripciones de estenosis ureterales en gatos no son muy abundantes en la bibliografía y comprenden, entre otras, un caso de estenosis ureteral bilateral idiopática y múltiples casos debidos a ureterolitiasis.[ Zaid MS, Berent AC, Weisse C, Caceres A. Feline Ureteral Structures: 10 cases (2007-2009). J Vet Inten Med 2011; 25: 222-229. ]

La edad media de presentación de esta patología es de 12 años (con un rango de edad de 5-15 años)3 y en el 19 % de los casos se presenta de forma bilateral. La paciente descrita tenía 2 años en el momento del diagnóstico; este hecho indica la conveniencia de incluir la estenosis ureteral en gatos con obstrucción urinaria independientemente de la edad.

En el artículo citado,[ Zaid MS, Berent AC, Weisse C, Caceres A. Feline Ureteral Structures: 10 cases (2007-2009). J Vet Inten Med 2011; 25: 222-229. ] la concentración media de creatinina sérica en la población en estudio fue de 3,7 mg/dl, el tamaño medio de la pelvis renal fue de 11,75 mm (medida obtenida por ecografía) y la hematuria se presentó en un 30 % de los casos. Otro estudio[ Berent AC. Ureteral obstructions in dogs and cats: a review of traditional and new interventional diagnostic and therapeutic options. J Vet Emerg and Critic Care. 2011; 21(2) 86-103. [PubMed] ] demostró que la azotemia se presenta en el 83 % de los gatos con obstrucción ureteral, pudiendo aparecer también anemia en el 48 % de los casos; otras alteraciones electrolíticas que pueden aparecer son hiperfosfatemia, hipercalemia, hiper e hipocalcemia. Sólo en el 29 % de los casos se presenta la cristaluria. Los signos típicos descritos para estos casos (anorexia, letargo, vómito, diarrea, dolor abdominal y poliuria-polidipsia) no estuvieron presentes. En la analítica realizada a la gata descrita en este caso, los parámetros renales permanecieron dentro de los rangos de referencia para nuestro laboratorio, incluso el valor de SDMA (dimetilarginina simétrica, nuevo biomarcador que detecta enfermedad renal de forma más precoz que la creatinina); es muy probable que el riñón sano (derecho) hubiera compensado con una mayor tasa de filtrado glomerular la falta de funcionalidad del riñón afectado (izquierdo), y por este hecho no se desencadenó el cuadro clínico típico. En este sentido, un diagnóstico precoz puede ser importante a la hora de manejar este tipo de enfermedades y anticiparse al deterioro que pueden producir.

En el estudio ecográfico se observaron dos líneas hiperecogénicas en la unión ureterovesical. En un 60 % de las estenosis en la unión ureterovesical, se observa una zona hiperecogénica alrededor de la estenosis.[ Berent AC. Ureteral obstructions in dogs and cats: a review of traditional and new interventional diagnostic and therapeutic options. J Vet Emerg and Critic Care. 2011; 21(2) 86-103. [PubMed] ] Ecográficamente se apreció cierta cantidad de sedimento en la dilatación bulbosa del uréter. En la TC se observaron dos nefrolitos de tamaño muy pequeño. Estos hechos pueden explicarse por el estancamiento de la orina que se produce en el uréter y el riñón izquierdos como consecuencia del flujo retrógrado y, por consiguiente, el acúmulo de sustancias potencialmente agregantes. La combinación de radiografía y ecografía para la detección de urolitos en gatos podría no ser suficiente en los casos en los que éstos sean muy pequeños, a pesar de la sensibilidad descrita en algunos estudios.[ d´Anjou MA. Riñones y uréteres. En D. Penninck, M. A. d´Anjou. Small Animal Ultrasonography. Ed: Multimédica, Barcelona. 2015; 340. ]

En los casos en los que la ecografía no ofrece un diagnóstico concluyente, puede ser necesario realizar otras pruebas de imagen como la pielografía excretora o la TC.[ d´Anjou MA. Riñones y uréteres. En D. Penninck, M. A. d´Anjou. Small Animal Ultrasonography. Ed: Multimédica, Barcelona. 2015; 340. ] En este caso, la TC fue fundamental, ya que permitió evaluar detalladamente la anatomía del sistema colector, así como la relación con las estructuras que lo rodeaban, incluyendo las vasculares, con vistas a planear la posterior cirugía.

Caracterizar profundamente la hidronefrosis y el hidrouréter y, sobre todo, tener la seguridad de la ausencia de fallo renal en el momento del diagnóstico decidió la forma de afrontar quirúrgicamente el caso, eligiendo la laparoscopia como método mínimamente invasivo.

El diagnóstico de estenosis ureteral se realiza, idealmente, con hallazgos histopatológicos asociados con el estrechamiento de la luz ureteral. Los hallazgos histopatológicos de la estenosis ureteral en el gato incluyen tejido de granulación mural con alteración de las células epiteliales, ureteritis con fibrosis e inflamación, e hipertrofia de la capa muscular.[ Lee N, Choi M, Keh S et al. Bilateral congenital ureteral strictures in a young cat. Can Vet J. 2014; 55(9): 841 - 844. [PubMed] ]

Hoy en día, los procedimientos que se consideran estándar en cirugía humana se están aplicando en veterinaria. La radiología intervencionista, las técnicas endoscópicas intervencionistas (ureteropielografía), los tubos de nefrostomía percutánea, los stents ureterales y las derivaciones ureterales subcutáneas han ayudado a tratar las obstrucciones ureterales desde un punto de vista mínimamente invasivo en gatos.[ Berent AC. Management of feline ureteral obstructions: an interventionalist´s approach. ACVS proceedings. Chicago, 1-2 de noviembre de 2011; 139-144. [PubMed] ]

El pronóstico a largo plazo de esta enfermedad es favorable siempre que se trate de un problema unilateral y el tratamiento incluye algunas alternativas; recientemente, se han publicado estudios en los que la colocación de un stent ureteral se considera un tratamiento efectivo para las obstrucciones ureterales en gatos, incluso en animales con hidronefrosis que pueda ser reversible.[ Berent AC. Ureteral obstructions in dogs and cats: a review of traditional and new interventional diagnostic and therapeutic options. J Vet Emerg and Critic Care. 2011; 21(2) 86-103. [PubMed] ] El ”doble stent pigtail” es el stent de elección en los gatos; algunos estudios han demostrado una tasa de éxito del 95 % y pueden permanecer en el lugar de colocación a largo plazo; las tasas de mortalidad y morbilidad perioperatoria han sido inferiores a las demostradas con cirugía ureteral tradicional.[ Berent AC. Management of feline ureteral obstructions: an interventionalist´s approach. ACVS proceedings. Chicago, 1-2 de noviembre de 2011; 139-144. [PubMed] ] En estos casos, el pronóstico puede ser bueno si el procedimiento lo lleva a cabo personal especializado.[ Berent AC, Weisse CW, Todd K, Bagley DH. Technical and clinical outcomes of ureteral stenting in cats with benign ureteral obstruction: 69 cases (2006-2010). J Am Vet Med Assoc 2014; 244(5):559-76. [PubMed] ] En este sentido, conviene saber si hay una descompensación previa; si no se tiene acceso a este tipo de técnicas intervencionistas o hay concurrencia de hidrouréter con hidronefrosis, la técnica de elección debe ser la ureteronefrectomía, y llevarla a cabo con prontitud puede ser beneficioso, sobre todo cuando el riñón sano compense adecuadamente la falta de funcionalidad del riñón enfermo, ya que la hidronefrosis que se puede producir acarreará inexorablemente un fallo renal por agotamiento funcional del riñón sano (cuando se trate de un problema unilateral).[ Berent AC, Weisse CW, Todd K, Bagley DH. Technical and clinical outcomes of ureteral stenting in cats with benign ureteral obstruction: 69 cases (2006-2010). J Am Vet Med Assoc 2014; 244(5):559-76. [PubMed] ]

En conclusión, en casos de sospecha o diagnóstico de obstrucción ureteral, deben hacerse otras pruebas de diagnóstico por imagen (ecografía y/o TC) para identificar la causa exacta que la produce y poder hacer así un tratamiento adecuado.

 

Fuente de financiación: esta investigación no se realizó con fondos comerciales, públicos o del sector privado.
Conflicto de intereses: los autores declaran que no existe conflicto de intereses.

Bibliografía

  1. [1] Corzo, N. Sistema urinario. En A. Agut. Diagnóstico por imagen en pequeños animales. Ed. Multimédica, Barcelona. 2014; 336-337.
  2. [2] d´Anjou MA. Riñones y uréteres. En D. Penninck, M. A. d´Anjou. Small Animal Ultrasonography. Ed: Multimédica, Barcelona. 2015; 340.
  3. [3] Zaid MS, Berent AC, Weisse C, Caceres A. Feline Ureteral Structures: 10 cases (2007-2009). J Vet Inten Med 2011; 25: 222-229.
  4. [4] Berent AC. Ureteral obstructions in dogs and cats: a review of traditional and new interventional diagnostic and therapeutic options. J Vet Emerg and Critic Care. 2011; 21(2) 86-103. [PubMed]
  5. [5] Lee N, Choi M, Keh S et al. Bilateral congenital ureteral strictures in a young cat. Can Vet J. 2014; 55(9): 841 - 844. [PubMed]
  6. [6] Berent AC. Management of feline ureteral obstructions: an interventionalist´s approach. ACVS proceedings. Chicago, 1-2 de noviembre de 2011; 139-144. [PubMed]
  7. [7] Berent AC, Weisse CW, Todd K, Bagley DH. Technical and clinical outcomes of ureteral stenting in cats with benign ureteral obstruction: 69 cases (2006-2010). J Am Vet Med Assoc 2014; 244(5):559-76. [PubMed]

Artículos recomendados

Estas recomendaciones se ofrecen de forma automática.

  • ¿Cuál es tu diagnóstico?
    L. Martín-Carrasco, E. Mínguez-Pereira, R. Salgüero-Fernández, et al.
    Clin Vet Peq Anim Vol. 46 - Nº 1 · MAR 2026 · ¿Cuál es tu diagnóstico?
  • ¿Cuál es tu diagnóstico?
    D. Marbella, A.M. Hernández-Guerra, L. Montalvà-Minguet
    Clin Vet Peq Anim Vol. 45 - Nº 4 · DIC 2025 · ¿Cuál es tu diagnóstico?
  • ¿Cuál es tu diagnóstico?

    J.D. Carrillo, M. Soler, M.S. Echalecu, et al.
    Clin Vet Peq Anim Vol. 45 - Nº 3 · SEP 2025 · ¿Cuál es tu diagnóstico?
  • Inicio
  • Historia clínica
  • Describe las anormalidades radiográficas que se observan
  • ¿Cuáles son los principales diagnósticos diferenciales que plantearías con los hallazgos observados?
  • ¿Qué otras técnicas realizarías para alcanzar el diagnóstico definitivo?
  • Comentario
  • Bibliografía
Artículo anterior Índice de la revista Artículo siguiente
ANUNCIO
Próximos cursos ATVs Elearning
Índice
Inicio Historia clínica Describe las anormalidades radiográficas que se observan ¿Cuáles son los principales diagnósticos diferenciales que plantearías con los hallazgos observados? ¿Qué otras técnicas realizarías para alcanzar el diagnóstico definitivo? Comentario Bibliografía
Advance Affinity - Intolerance Duck
ANUNCIO

¿No eres socio de AVEPA y quieres recibir comunicación de las nuevas ediciones en tu correo?

Suscríbete

Suscríbete y te avisaremos cuando publiquemos un nuevo número

Suscribirme

Enlaces rápidos

  • Inicio
  • Último número
  • Archivo
  • Artículos

Información

  • Comité editorial
  • Política de cookies
  • Política de privacidad
  • Términos y condiciones

Contacto

  • info@imaginice.com
  • Envíanos tu artículo
© 2026 Ice Salud Vet SL. Todos los derechos reservados.

Usamos cookies para mejorar tu experiencia. Selecciona cuáles aceptas: