Logo AVEPA

Clínica Veterinaria de Pequeños Animales

Revista oficial de AVEPA

  • Inicio
  • Último número
  • Archivo
  • Artículos
  • Para autores
  • Contacto
Cursos Junio-Septiembre 2026
ANUNCIO

Clínica Veterinaria de Pequeños Animales

Revista oficial de AVEPA

  • Inicio
  • Último número
  • Archivo
  • Artículos
  • Para autores
  • Contacto
Curso Oftalmología 2026
ANUNCIO
Clin Vet Peq Anim Vol. 43 • Nº 3 • septiembre 2023

¿Cuál es tu diagnóstico?

¿Cuál es tu diagnóstico?

M. Calderón

Hospital SOS Animal. c/ Spengler 15. 29007 Málaga.

E. López

SONNAR Diagnóstico Veterinario. Málaga.

Contacto: sonia.ortiz@anicura.es
Descargar artículo

Historia clínica

Fue remitido al servicio de diagnóstico por imagen un paciente canino, macho, mestizo, de 10 años de edad, castrado antes del año de edad y con índice de condición corporal de 1/5, por hematuria, debilidad, postración y edema en extremidad posterior izquierda.

Tres semanas atrás se le realizó una cistotomía por urolitos vesicales. Antes de la cirugía presentaba síntomas de hematuria, polaquiuria y disuria, además de apatía, hiporexia y adelgazamiento. Sin embargo, la evolución no fue favorable.

Fueron realizadas radiografías de abdomen en proyección latero-lateral derecha (LL) y ventrodorsal (VD) (Fig. 1), además de un hemograma y una bioquímica sanguínea. Los resultados mostraron una leucocitosis neutrofílica, anemia regenerativa y trombocitopenia, así como elevación de ALT 133 U/l (10-25 U/l), ALKP 220 U/l (23-212 U/l) y TBIL 1,9 mg/dl (0,0-0,9 mg/dl).

<p>Radiografías de abdomen de paciente canino en proyecciones lateral derecha (<strong>A</strong>) y ventrodorsal (<strong>B</strong>).</p>
Figura 1

Radiografías de abdomen de paciente canino en proyecciones lateral derecha (A) y ventrodorsal (B).

Descripción de las alteraciones radiográficas observadas

A nivel de las estructuras óseas, se aprecian reacciones periósticas irregulares con bordes bien definidos en los márgenes ventrales de los cuerpos vertebrales de L5, L6 y L7, así como en las superficies ventral y lateral del ilion derecho y en la rama craneal del pubis derecho (Fig. 2). Dichas neoformaciones no provocan discontinuidad de las superficies óseas.

<p>Mismas imágenes que la Figura 1. En ambas proyecciones (<strong>A</strong> y <strong>B</strong>) se observan 3 urolitos en vejiga de la orina (flecha verde), prostatomegalia (línea roja) y lesiones osteoproliferativas en el borde ventral de los cuerpo vertebrales de L5-L6-L7, ilion y pubis (flechas amarillas). En proyección lateral derecha (<strong>A</strong>) se aprecia un aumento focal del tamaño y opacidad del retroperitoneo ventralmente a L6-L7 (flechas azules).</p>
Figura 2

Mismas imágenes que la Figura 1. En ambas proyecciones (A y B) se observan 3 urolitos en vejiga de la orina (flecha verde), prostatomegalia (línea roja) y lesiones osteoproliferativas en el borde ventral de los cuerpo vertebrales de L5-L6-L7, ilion y pubis (flechas amarillas). En proyección lateral derecha (A) se aprecia un aumento focal del tamaño y opacidad del retroperitoneo ventralmente a L6-L7 (flechas azules).

Ventralmente a los cuerpos vertebrales de L6 y L7 se visualiza un aumento focal de tamaño del espacio retroperitoneal con opacidad tejido blando que provoca desplazamiento ventral del colon descendente.

La vejiga de la orina, parcialmente distendida, presenta 3 estructuras redondeadas y de opacidad mineral. Caudalmente a la misma, se visualiza la silueta de la próstata aumentada de tamaño, excediendo el 70 % de la distancia entre el promontorio del sacro y el pubis.

Diagnósticos diferenciales con los signos radiográficos observados

Entre los diagnósticos diferenciales contemplados se encuentran:

- Metástasis óseas en cuerpos vertebrales de L5, L6 y L7, ilion y pubis, siendo menos probable la espondilosis, por el tipo de reacción perióstica y su localización.[ Dennis R, Kirberger RM, Barr F, Wrigley RH: Urogenital tract. En Dennis R., Kirberger RM., Barr F. & Wrigley RH. (2ª ed.): Handbook of small animal radiology and ultrasound, UK, Elsevier Saunders, 2010; 297-330. , Campuzano-Granados J, Mancera-Padilla MY, Reyes-Matute A: Carcinoma prostático en perro: Informe de un caso. Veterinaria México 2012; 43(2): 175-183. ]

- Urolitiasis vesical, que daría respuesta únicamente a la hematuria. Los cálculos radiopacos son compatibles con cálculos de oxalato cálcico, fosfato de calcio, sílice y estruvita.[ Corzo N: Sistema urinario. En Agut A. (1ª ed.): Diagnóstico por imagen en pequeños animales, Barcelona-España, Multimédica, 2014; 321-352. ]

- Respecto a la prostatomegalia,[ Atalan, G., Barr, F. J., & Holt, P. E. (1999). Comparison of ultrasonographic and radiographic measurements of canine prostate dimensions. Veterinary radiology & ultrasound, 40(4), 408-412. [PubMed] ] los diferenciales serían neoplasia prostática, prostatitis, hiperplasia prostática benigna, quistes o abscesos intraprostáticos y metaplasia escamosa.[ Dennis R, Kirberger RM, Barr F, Wrigley RH: Urogenital tract. En Dennis R., Kirberger RM., Barr F. & Wrigley RH. (2ª ed.): Handbook of small animal radiology and ultrasound, UK, Elsevier Saunders, 2010; 297-330. ]

¿Son necesarias otras técnicas de diagnóstico por imagen o pruebas para alcanzar un diagnóstico definitivo?

En vista de los hallazgos presentes, se recomendó la realización de una ecografía abdominal (Fig. 3).

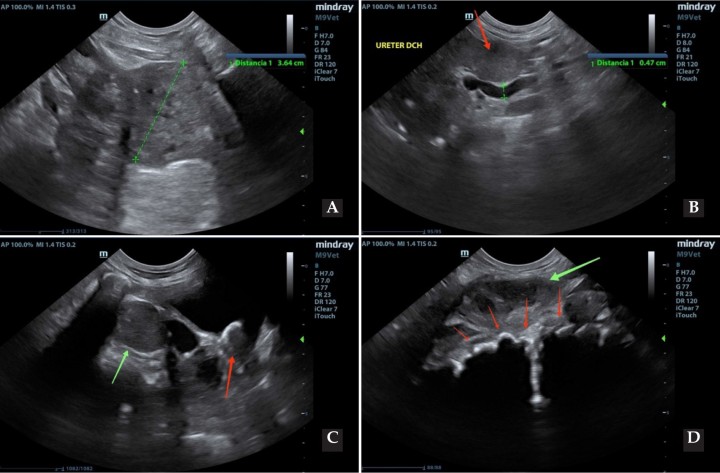
<p>Imágenes ecográficas de prostatomegalia (línea verde) y alteración del parénquima (<strong>A</strong>), hidrouréter (línea verde) y adenopatía aórtica (flecha roja) (<strong>B</strong>), adenopatía iliaca (flecha verde) y urolito hiperecoico (flecha roja) en vejiga (<strong>C</strong>) y adenopatía iliaca medial (flecha verde) con sobrecrecimiento de los cuerpos vertebrales (flechas rojas) (<strong>D</strong>).</p>
Figura 3

Imágenes ecográficas de prostatomegalia (línea verde) y alteración del parénquima (A), hidrouréter (línea verde) y adenopatía aórtica (flecha roja) (B), adenopatía iliaca (flecha verde) y urolito hiperecoico (flecha roja) en vejiga (C) y adenopatía iliaca medial (flecha verde) con sobrecrecimiento de los cuerpos vertebrales (flechas rojas) (D).

Se visualizó la vejiga de la orina escasamente distendida con estructuras hiperecoicas productoras de sombras acústicas.

Se evidenció prostatomegalia, con parénquima heterogéneo y focos hiperecoicos, y uretra prostática hiperecogénica. Asimismo, los linfonodos ilíacos mediales aparecían redondeados e hipoecoicos, aumentados de tamaño y con reacción focal hiperecoica del retroperitoneo. Se tomaron muestras de próstata y linfonodos mediante aspiración con aguja fina (PAF) ecoguiada[ Ferré-Dolcet L: Abordaje clínico de las enfermedades prostáticas en el perro. Argos: Informativo Veterinario 2020; 219: 58-62. ] para su estudio citológico.

Además, se apreciaron irregularidades de las superficies óseas ventrales de los últimos cuerpos vertebrales y sacro, así como dilatación de la pelvis renal derecha y uréter derecho, el cual mantenía el mismo grado de dilatación hasta una lesión adyacente a la vejiga, de aspecto cavitada, sin poder evidenciar su entrada en el trígono vesical.

Complementamos con radiografías de tórax en proyecciones LL y VD (Fig. 4) que revelaron múltiples nódulos de opacidad tejido blando, menores de 3 mm, afectando mayormente a los lóbulos pulmonares caudales, compatibles con un patrón intersticial estructurado o nodular miliar sugerente de nódulos metastásicos o neumonía granulomatosa fúngica o parasitaria.[ Thrall DE: Canine and feline lung. En Thrall D.E. (7ª ed.): Textbook of Veterinary Diagnostic Radiology, Estados Unidos, Elsevier Saunders, 2018; 710-734. ]

<p>Radiografías lateral derecha (<strong>A</strong>) y ventrodorsal (<strong>B</strong>) con patrón intersticial nodular miliar (círculos rojos).</p>
Figura 4

Radiografías lateral derecha (A) y ventrodorsal (B) con patrón intersticial nodular miliar (círculos rojos).

Se realizó lavado traqueobronquial mediante sonda con suero fisiológico y se remitieron muestras a laboratorio para citología y cultivo cuyos resultados no presentaron celularidad, por lo que podría estar relacionado con un error de la técnica o presencia de lesiones poco exfoliativas (incluyendo neoplasias localizadas en zona intersticial pulmonar), degenerativas o localizadas en el árbol broncoalveolar.

La citología prostática[ Ferré-Dolcet L: Abordaje clínico de las enfermedades prostáticas en el perro. Argos: Informativo Veterinario 2020; 219: 58-62. ] diagnosticó un carcinoma/adenocarcinoma con inflamación neutrofílica y necrosis asociada, y el estudio citológico del linfonodo concluyó una metástasis de neoplasia epitelial con inflamación neutrofílica y necrosis.

Antes de recibir los resultados del laboratorio y debido a la mala evolución del paciente, los propietarios decidieron realizar la eutanasia humanitaria del mismo.

Comentario

El carcinoma/adenocarcinoma primario es la neoplasia prostática mas frecuente en machos castrados tempranamente, como el paciente descrito, probablemente por el efecto protector de las hormonas testiculares sobre el tejido prostático. No es un factor etiológico, pero sí predisponente.[ Ferré-Dolcet L: Abordaje clínico de las enfermedades prostáticas en el perro. Argos: Informativo Veterinario 2020; 219: 58-62. ]

Los signos clínicos suelen ser hematuria, tenesmo, dolor, pérdida de peso, constipación, estranguria e, incluso, ataxia.[ Campuzano-Granados J, Mancera-Padilla MY, Reyes-Matute A: Carcinoma prostático en perro: Informe de un caso. Veterinaria México 2012; 43(2): 175-183. , Ferré-Dolcet L: Abordaje clínico de las enfermedades prostáticas en el perro. Argos: Informativo Veterinario 2020; 219: 58-62. ] De todos ellos, los 4 primeros aparecen en el caso descrito.

Los hallazgos laboratoriales no son muy relevantes, aunque nuestra hematología sí mostró cambios significativos.

La mayoría de los tumores prostáticos son localmente invasivos y metastásicos, siendo las localizaciones más frecuentes los linfonodos, los pulmones y el esqueleto axial.[ Dennis R, Kirberger RM, Barr F, Wrigley RH: Urogenital tract. En Dennis R., Kirberger RM., Barr F. & Wrigley RH. (2ª ed.): Handbook of small animal radiology and ultrasound, UK, Elsevier Saunders, 2010; 297-330. , Campuzano-Granados J, Mancera-Padilla MY, Reyes-Matute A: Carcinoma prostático en perro: Informe de un caso. Veterinaria México 2012; 43(2): 175-183. , Thrall DE: Canine and feline lung. En Thrall D.E. (7ª ed.): Textbook of Veterinary Diagnostic Radiology, Estados Unidos, Elsevier Saunders, 2018; 710-734. ] Aunque la afectación del parénquima pulmonar fue dudoso, los linfonodos se encontraban afectados y las estructuras óseas mencionadas eran altamente sospechosas de verse también afectadas. Las metástasis de estos linfonodos pueden provenir de tumores primarios intrapelvianos, como son neoplasias prostáticas, vaginales, vesicales, rectales, uretrales o de las glándulas perianales,[ Campuzano-Granados J, Mancera-Padilla MY, Reyes-Matute A: Carcinoma prostático en perro: Informe de un caso. Veterinaria México 2012; 43(2): 175-183. ] así como de huesos pélvicos, miembros posteriores o cola.[ Dennis R, Kirberger RM, Barr F, Wrigley RH: Urogenital tract. En Dennis R., Kirberger RM., Barr F. & Wrigley RH. (2ª ed.): Handbook of small animal radiology and ultrasound, UK, Elsevier Saunders, 2010; 297-330. ]

Los signos radiológicos descritos en esta patología y que fueron encontrados en el caso expuesto fueron prostatomegalia,[ Atalan, G., Barr, F. J., & Holt, P. E. (1999). Comparison of ultrasonographic and radiographic measurements of canine prostate dimensions. Veterinary radiology & ultrasound, 40(4), 408-412. [PubMed] ] proliferación ósea, reacción perióstica y aumento de densidad retroperitoneal, con lesión ocupante de espacio. En ocasiones, se pueden visualizar áreas de calcificación en la silueta prostática, hallazgo no encontrado en nuestro paciente.

Aunque las técnicas de imagen nos acercan al diagnóstico, será necesaria la confirmación citológica mediante PAF ecoguiada, realizado en nuestro caso, o lavado prostático.[ Ferré-Dolcet L: Abordaje clínico de las enfermedades prostáticas en el perro. Argos: Informativo Veterinario 2020; 219: 58-62. ]

En conclusión, debemos incluir las lesiones óseas a nivel de la columna lumbosacra, pelvis y extremidades posteriores, de aspecto similar a las descritas, en el diagnóstico diferencial de metástasis de neoplasias abdominales y, más concretamente, retroperitoneales e intrapélvicas, ya que podrían ayudar a alcanzar un diagnóstico más temprano y poder ofrecer opciones terapéuticas.

 

Fuente de financiación: este trabajo no se ha realizado con fondos comerciales, públicos o del sector privado.

Conflicto de intereses: los autores declaran que no existe conflicto de intereses.

Bibliografía

  1. [1] Dennis R, Kirberger RM, Barr F, Wrigley RH: Urogenital tract. En Dennis R., Kirberger RM., Barr F. & Wrigley RH. (2ª ed.): Handbook of small animal radiology and ultrasound, UK, Elsevier Saunders, 2010; 297-330.
  2. [2] Campuzano-Granados J, Mancera-Padilla MY, Reyes-Matute A: Carcinoma prostático en perro: Informe de un caso. Veterinaria México 2012; 43(2): 175-183.
  3. [3] Corzo N: Sistema urinario. En Agut A. (1ª ed.): Diagnóstico por imagen en pequeños animales, Barcelona-España, Multimédica, 2014; 321-352.
  4. [4] Atalan, G., Barr, F. J., & Holt, P. E. (1999). Comparison of ultrasonographic and radiographic measurements of canine prostate dimensions. Veterinary radiology & ultrasound, 40(4), 408-412. [PubMed]
  5. [5] Ferré-Dolcet L: Abordaje clínico de las enfermedades prostáticas en el perro. Argos: Informativo Veterinario 2020; 219: 58-62.
  6. [6] Thrall DE: Canine and feline lung. En Thrall D.E. (7ª ed.): Textbook of Veterinary Diagnostic Radiology, Estados Unidos, Elsevier Saunders, 2018; 710-734.

Artículos recomendados

Estas recomendaciones se ofrecen de forma automática.

  • ¿Cuál es tu diagnóstico?
    L. Martín-Carrasco, E. Mínguez-Pereira, R. Salgüero-Fernández, et al.
    Clin Vet Peq Anim Vol. 46 - Nº 1 · MAR 2026 · ¿Cuál es tu diagnóstico?
  • ¿Cuál es tu diagnóstico?
    D. Marbella, A.M. Hernández-Guerra, L. Montalvà-Minguet
    Clin Vet Peq Anim Vol. 45 - Nº 4 · DIC 2025 · ¿Cuál es tu diagnóstico?
  • ¿Cuál es tu diagnóstico?

    J.D. Carrillo, M. Soler, M.S. Echalecu, et al.
    Clin Vet Peq Anim Vol. 45 - Nº 3 · SEP 2025 · ¿Cuál es tu diagnóstico?
  • Inicio
  • Historia clínica
  • Descripción de las alteraciones radiográficas observadas
  • Diagnósticos diferenciales con los signos radiográficos observados
  • ¿Son necesarias otras técnicas de diagnóstico por imagen o pruebas para alcanzar un diagnóstico definitivo?
  • Comentario
  • Bibliografía
Artículo anterior Índice de la revista Artículo siguiente
ANUNCIO
Próximos cursos ATVs Elearning
Índice
Inicio Historia clínica Descripción de las alteraciones radiográficas observadas Diagnósticos diferenciales con los signos radiográficos observados ¿Son necesarias otras técnicas de diagnóstico por imagen o pruebas para alcanzar un diagnóstico definitivo? Comentario Bibliografía
Hill's - Reco Start
ANUNCIO

¿No eres socio de AVEPA y quieres recibir comunicación de las nuevas ediciones en tu correo?

Suscríbete

Suscríbete y te avisaremos cuando publiquemos un nuevo número

Suscribirme

Enlaces rápidos

  • Inicio
  • Último número
  • Archivo
  • Artículos

Información

  • Comité editorial
  • Política de cookies
  • Política de privacidad
  • Términos y condiciones

Contacto

  • info@imaginice.com
  • Envíanos tu artículo
© 2026 Ice Salud Vet SL. Todos los derechos reservados.

Usamos cookies para mejorar tu experiencia. Selecciona cuáles aceptas: