Logo AVEPA

Clínica Veterinaria de Pequeños Animales

Revista oficial de AVEPA

  • Inicio
  • Último número
  • Archivo
  • Artículos
  • Para autores
  • Contacto
Cursos Junio-Septiembre 2026
ANUNCIO

Clínica Veterinaria de Pequeños Animales

Revista oficial de AVEPA

  • Inicio
  • Último número
  • Archivo
  • Artículos
  • Para autores
  • Contacto
Curso Oftalmología 2026
ANUNCIO
Clin Vet Peq Anim Vol. 38 • Nº 2 • junio 2018

¿Cuál es tu diagnóstico?

¿Cuál es tu diagnóstico?

V. Silva-Utrera

Departamento de Diagnóstico por Imagen, Hospital Veterinario VETSIA, c/ Galileo, 3, 28914 Leganés, Madrid.

Otros artículos de V. Silva-Utrera:
  • ¿Cuál es tu diagnóstico?

    Clin Vet Peq Anim Vol. 38 • Nº 1 • marzo 2018
  • Diagnóstico por imagen de una comunicación esplenosistémica en un gato

    Clin Vet Peq Anim Vol. 38 • Nº 2 • junio 2018

E. López-Medina

Departamento de Diagnóstico por Imagen, Hospital Veterinario VETSIA, c/ Galileo, 3, 28914 Leganés, Madrid.

Otros artículos de E. López-Medina:
  • ¿Cuál es tu diagnóstico?

    Clin Vet Peq Anim Vol. 38 • Nº 1 • marzo 2018
  • Diagnóstico por imagen de una comunicación esplenosistémica en un gato

    Clin Vet Peq Anim Vol. 38 • Nº 2 • junio 2018

N. Israeliantz-Gunz

Departamento de Diagnóstico por Imagen, Hospital Veterinario VETSIA, c/ Galileo, 3, 28914 Leganés, Madrid.

Otros artículos de N. Israeliantz-Gunz:
  • ¿Cuál es tu diagnóstico?

    Clin Vet Peq Anim Vol. 38 • Nº 1 • marzo 2018

P. Battiato

Departamento de Diagnóstico por Imagen, Hospital Veterinario Valencia Sur, Av. de Picassent, 28, 46460 Silla, Valencia.

V. Cervera-Castellanos

Departamento de Diagnóstico por Imagen, Hospital Veterinario Valencia Sur, Av. de Picassent, 28, 46460 Silla, Valencia.

H. Fominaya-García

Departamento de Diagnóstico por Imagen, Hospital Veterinario VETSIA, c/ Galileo, 3, 28914 Leganés, Madrid.

Contacto: elenalopez.vet@gmail.com
Descargar artículo

Historia clínica

Se presenta un Galgo Español, hembra ovariohisterectomizada, de 3 años de edad y 20 kg de peso con un cuadro agudo de disnea inspiratoria con respiración superficial. A la auscultación se evidencia taquicardia y disminución de los sonidos broncovesiculares en hemitórax izquierdo en las zonas media y ventral. El hemograma y la bioquímica sanguínea no muestran hallazgos significativos. Se realizan radiografías torácicas bajo sedación en proyecciones lateral derecha y ventrodorsal (Fig. 1). Mediante drenaje pleural se obtiene un líquido de aspecto lechoso compatible con quilo.

<p>Radiografías de cavidad torácica de un Galgo de 3 años de edad. (<strong>A</strong>) Radiografía lateral derecha. (<strong>B</strong>) Radiografía ventrodorsal.</p>
Figura 1

Radiografías de cavidad torácica de un Galgo de 3 años de edad. (A) Radiografía lateral derecha. (B) Radiografía ventrodorsal.

Describe las anormalidades radiológicas observadas

En las proyecciones lateral derecha (Fig. 2A) y ventrodorsal (Fig. 2B) se observa un patrón broncointersticial difuso, así como aumento de la opacidad en el aspecto craneoventral del tórax y leve retracción de lóbulos pulmonares craneales, compatible con efusión pleural moderada y atelectasia pulmonar secundaria. En la proyección ventrodorsal la efusión es menos evidente. En la proyección lateral, en la zona media del tórax existe un aumento de la opacidad uniforme a nivel del aspecto caudal del lóbulo craneal izquierdo, correspondiente con un signo lobar. Dicha lesión presenta broncogramas aéreos (patrón alveolar), con el extremo apical del lóbulo dirigido cranealmente. Esta misma imagen se observa en la proyección ventrodorsal, donde la porción caudal del lóbulo craneal izquierdo aparece desplazada caudalmente con respecto a su localización anatómica habitual, con aumento de la opacidad difusa y superposición con el lado izquierdo de la silueta cardiaca. En la proyección lateral, a nivel ventral y entre la cuarta y quinta costilla, se aprecian bronquios dilatados en áreas periféricas, que podría indicar bronquiectasias que no se visualizan en la proyección ventrodorsal.

<p>Mismas radiografías que la Fig. 1. (<strong>A</strong>) Nótese en la zona craneoventral del tórax (puntas de flechas verdes) un aumento de opacidad, compatible con efusión pleural. Posibles bronquiectasias (flecha verde) en la zona ventral entre la 4ª y la 5ª costilla. Retracción de los lóbulos pulmonares con aumento de opacidad y presencia de broncograma aéreo (flechas rojas) en la zona de la porción caudal del lóbulo craneal izquierdo (señalada con flechas verdes en la Fig. 2B). (<strong>B</strong>) Desplazamiento caudal del lóbulo craneal izquierdo respecto a su zona de proyección anatómica, con aumento de opacidad y superposición parcial con el lado izquierdo del corazón (flechas verdes).</p>
Figura 2

Mismas radiografías que la Fig. 1. (A) Nótese en la zona craneoventral del tórax (puntas de flechas verdes) un aumento de opacidad, compatible con efusión pleural. Posibles bronquiectasias (flecha verde) en la zona ventral entre la 4ª y la 5ª costilla. Retracción de los lóbulos pulmonares con aumento de opacidad y presencia de broncograma aéreo (flechas rojas) en la zona de la porción caudal del lóbulo craneal izquierdo (señalada con flechas verdes en la Fig. 2B). (B) Desplazamiento caudal del lóbulo craneal izquierdo respecto a su zona de proyección anatómica, con aumento de opacidad y superposición parcial con el lado izquierdo del corazón (flechas verdes).

La colocación del drenaje torácico favorece la resolución del derrame pleural, persistiendo el signo lobar (broncogramas aéreos) que afecta al aspecto caudal del lóbulo craneal izquierdo y el desplazamiento de la zona apical hacia craneal.

¿Cuáles son los diagnósticos diferenciales con estos signos radiográficos?

El conjunto de los hallazgos observados incluye un patrón alveolar severo en la porción caudal del lóbulo craneal izquierdo, posición anómala y aumento de tamaño del mismo, así como efusión pleural, lo que sugiere los siguientes diagnósticos diferenciales: torsión de lóbulo pulmonar, neumonía/bronconeumonía, neoplasia y contusión torácica con hemorragia pulmonar. Una atelectasia, una trombosis o un edema se consideran menos probables.

¿Qué otras técnicas de diagnóstico realizarías para alcanzar el diagnóstico definitivo?

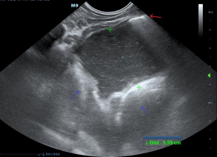
En el caso descrito se realizó una ecografía TFAST torácica (Fig. 3), en la que se observó efusión pleural moderada (material anecoico con ecos en suspensión) y colapso de lóbulos pulmonares adyacentes. Además, sirvió para monitorizar la colocación del drenaje torácico.

<div>
<p>Ecografía TFAST. Línea de reverberación compatible con signo de deslizamiento pleural (flecha roja), y espacio anecoico con ecos en suspensión, compatible con líquido pleural (punteado verde). En zonas más profundas se observa una zona pleural engrosada (flechas azules).</p>
</div>
Figura 3

Ecografía TFAST. Línea de reverberación compatible con signo de deslizamiento pleural (flecha roja), y espacio anecoico con ecos en suspensión, compatible con líquido pleural (punteado verde). En zonas más profundas se observa una zona pleural engrosada (flechas azules).

La prueba definitiva de diagnóstico fue la tomografía computarizada (TC). En el estudio se observó la porción caudal del lóbulo craneal izquierdo torsionada sobre sí misma a nivel del hilio. El lóbulo aparecía consolidado y aumentado de volumen, presentando una dirección caudodorsal anormal. El bronquio de este lóbulo estaba interrumpido a nivel del hilio (Fig. 4).

<p>(<strong>A</strong>) Corte transversal en ventana tejido blando. (<strong>B</strong>) Corte dorsal en ventana tejido blando. Se observa la porción caudal del lóbulo craneal izquierdo torsionada a nivel del hilio. El lóbulo aparece consolidado, aumentado de volumen y mal posicionado. El bronquio aparece interrumpido a nivel del hilio (flechas verdes).</p>
Figura 4

(A) Corte transversal en ventana tejido blando. (B) Corte dorsal en ventana tejido blando. Se observa la porción caudal del lóbulo craneal izquierdo torsionada a nivel del hilio. El lóbulo aparece consolidado, aumentado de volumen y mal posicionado. El bronquio aparece interrumpido a nivel del hilio (flechas verdes).

En el interior de la porción caudal del lóbulo craneal izquierdo se observó un patrón vesicular. Se evidenció un pequeño volumen de neumotórax, más acusado en hemitórax izquierdo, coincidiendo con la posición del drenaje pleural, así como un discreto neumomediastino y enfisema intersticial alrededor de la arteria pulmonar del lóbulo caudal derecho (Fig. 5).

<p>(<strong>A</strong>) Corte transversal en ventana pulmón. (<strong>B</strong>) Corte transversal en ventana tejido blando. Lóbulo pulmonar torsionado (flecha azul) con patrón vesicular visible en la porción caudal del lóbulo craneal izquierdo (círculo verde). Pequeño volumen de aire en espacio pleural (flechas verdes) y de enfisema intersticial alrededor de la arteria pulmonar del lóbulo caudal derecho (flecha roja).</p>
Figura 5

(A) Corte transversal en ventana pulmón. (B) Corte transversal en ventana tejido blando. Lóbulo pulmonar torsionado (flecha azul) con patrón vesicular visible en la porción caudal del lóbulo craneal izquierdo (círculo verde). Pequeño volumen de aire en espacio pleural (flechas verdes) y de enfisema intersticial alrededor de la arteria pulmonar del lóbulo caudal derecho (flecha roja).

El diagnóstico fue compatible con torsión aguda de la porción caudal del lóbulo craneal izquierdo del pulmón y moderada cantidad de efusión pleural secundaria, además de neumomediastino y neumotórax, que podrían estar asociados a la colocación del drenaje pleural.

Comentario

La torsión pulmonar afecta tanto a perros como a gatos. Aparece con mayor frecuencia en perros de razas grandes y tórax profundo, donde el lóbulo más predispuesto a sufrir dicha patología es el lóbulo medio del pulmón derecho, al presentar un pedículo más estrecho que le permite mayor movilidad y por tener una forma delgada y alargada con poca fijación al mediastino, a pared torácica y a los lóbulos craneal y caudal derechos adyacentes. En razas pequeñas, con frecuencia condrodistróficas de tórax ancho y poco profundo, especialmente Carlinos,[ Murphy KA, Brisson BA. Evaluation of lung lobe torsión in pugs: 7 cases (1991-2004). J Am Vet Med Assoc 2006; 228:86-90. [PubMed] , Seiler G, Schwarz T, Vignoli M, et al. Computed tomography features of lung lobe torsion. Vet Radiol Ultrasound 2008; 49:504-508. [PubMed] ] suele verse afectado mayoritariamente el lóbulo craneal izquierdo. En cualquier caso, cualquier lóbulo es susceptible de sufrir una torsión.[ Suárez-Bonnet A, Quesada-Canales O, Aguirre-Sanceledonio M, et al. Torsión de lóbulo pulmonar: Revisión de la bibliografía a propósito de un caso clínico. Rev Canaria de las Cien Vet. 2013; 8: 47-51. , Murphy KA, Brisson BA. Evaluation of lung lobe torsión in pugs: 7 cases (1991-2004). J Am Vet Med Assoc 2006; 228:86-90. [PubMed] ]

Cabe destacar que en el caso descrito fue la porción caudal del lóbulo craneal izquierdo la que resultó torsionada, lo que aparece poco documentado en la bibliografía, y que podría deberse en este caso a la presencia de una fisura profunda entre ambas partes.

La torsión de lóbulo pulmonar se produce cuando se alteran las relaciones espaciales normales entre lóbulos pulmonares, pared torácica o mediastino, incrementándose la movilidad pulmonar. Estos mecanismos se pueden producir de forma espontánea (en Carlinos),[ Murphy KA, Brisson BA. Evaluation of lung lobe torsión in pugs: 7 cases (1991-2004). J Am Vet Med Assoc 2006; 228:86-90. [PubMed] ] o secundaria a otras patologías respiratorias (bronquitis crónica, efusión pleural, neoplasia, hernia, cirugía previa, entre otras).

Las técnicas de diagnóstico por imagen son la clave para un diagnóstico correcto de la patología.

En la torsión se produce un colapso total de la vena y vasos linfáticos y un cierre parcial de arteria y bronquio, ya que sus paredes son de mayor grosor, dificultando el retorno venoso y provocando en un primer momento un aumento de tamaño del lóbulo afectado.[ Suárez-Bonnet A, Quesada-Canales O, Aguirre-Sanceledonio M, et al. Torsión de lóbulo pulmonar: Revisión de la bibliografía a propósito de un caso clínico. Rev Canaria de las Cien Vet. 2013; 8: 47-51. ] Radiográficamente los signos que se suelen observar son, por una parte, efusión pleural producida por hipertensión venosa y daño en el sistema linfático y, por otra, alteraciones del lóbulo afectado con patrón alveolar con broncogramas aéreos, patrón vesicular, retracción y cambio de posicionamiento del lóbulo.[ D’Anjou MA, Tidwell AS, Hecht S. Radiographic diagnosis of lung lobe torsion. Vet Radiol Ultrasound. 2005 Nov-Dec;46(6):478-84. [PubMed] , Seiler G, Schwarz T, Vignoli M, et al. Computed tomography features of lung lobe torsion. Vet Radiol Ultrasound 2008; 49:504-508. [PubMed] ]

Ecográficamente, el lóbulo afectado presenta colapso, enfisema, broncogramas aéreos y/o líquidos, derrame pleural y ausencia de flujo Doppler.

La técnica de elección para un correcto diagnóstico es la TC, donde los hallazgos son similares a los descritos en radiología, pero sin la superposición de estructuras, lo que permite un seguimiento correcto de bronquios y estructuras vasculares. Además, la TC ayuda a detectar posibles etiologías primarias, como neoplasias o patologías respiratorias diversas. También permite observar la ausencia de captación de contraste en el lóbulo afectado por torsión del plexo sanguíneo.[ Choi M, Lee N, KEH S, et al. Usefulness of CT imaging for segmental lung lobe torsion without typical radiographic imaging in a Pomeranian. J Vet Med Sci 2015. 77(2): 229-231. [PMC] ]

Se describe una alta mortalidad en esta patología, cuyo único tratamiento es quirúrgico con resección del lóbulo afectado (lobectomía).[ Neath PJ, Brockman DJ, King LG. Lung lobe torsion in dogs: 22 cases (1981–1999) J Am Vet Med Assoc. 2000 1; 217 (7): 1041-1044. [PubMed] ]

 

Fuente de financiación: esta investigación no se realizó con fondos comerciales, públicos o del sector privado.

Conflicto de intereses: los autores declaran que no existe conflicto de intereses.

Bibliografía

  1. [1] Suárez-Bonnet A, Quesada-Canales O, Aguirre-Sanceledonio M, et al. Torsión de lóbulo pulmonar: Revisión de la bibliografía a propósito de un caso clínico. Rev Canaria de las Cien Vet. 2013; 8: 47-51.
  2. [2] Murphy KA, Brisson BA. Evaluation of lung lobe torsión in pugs: 7 cases (1991-2004). J Am Vet Med Assoc 2006; 228:86-90. [PubMed]
  3. [3] D’Anjou MA, Tidwell AS, Hecht S. Radiographic diagnosis of lung lobe torsion. Vet Radiol Ultrasound. 2005 Nov-Dec;46(6):478-84. [PubMed]
  4. [4] Choi M, Lee N, KEH S, et al. Usefulness of CT imaging for segmental lung lobe torsion without typical radiographic imaging in a Pomeranian. J Vet Med Sci 2015. 77(2): 229-231. [PMC]
  5. [5] Neath PJ, Brockman DJ, King LG. Lung lobe torsion in dogs: 22 cases (1981–1999) J Am Vet Med Assoc. 2000 1; 217 (7): 1041-1044. [PubMed]
  6. [6] Seiler G, Schwarz T, Vignoli M, et al. Computed tomography features of lung lobe torsion. Vet Radiol Ultrasound 2008; 49:504-508. [PubMed]

Artículos recomendados

Estas recomendaciones se ofrecen de forma automática.

  • ¿Cuál es tu diagnóstico?
    L. Martín-Carrasco, E. Mínguez-Pereira, R. Salgüero-Fernández, et al.
    Clin Vet Peq Anim Vol. 46 - Nº 1 · MAR 2026 · ¿Cuál es tu diagnóstico?
  • Diagnóstico por imagen de una comunicación esplenosistémica en un gato

    H. Fominaya-García, V. Silva-Utrera, E. López-Medina, et al.
    Clin Vet Peq Anim Vol. 38 - Nº 2 · JUN 2018 · Artículo original referido a un solo caso clínico
  • ¿Cuál es tu diagnóstico?

    V. Silva-Utrera, E. López-Medina, P. Battiato, et al.
    Clin Vet Peq Anim Vol. 38 - Nº 1 · MAR 2018 · ¿Cuál es tu diagnóstico?
  • Inicio
  • Historia clínica
  • Describe las anormalidades radiológicas observadas
  • ¿Cuáles son los diagnósticos diferenciales con estos signos radiográficos?
  • ¿Qué otras técnicas de diagnóstico realizarías para alcanzar el diagnóstico definitivo?
  • Comentario
  • Bibliografía
Artículo anterior Índice de la revista Artículo siguiente
ANUNCIO
Próximos cursos ATVs Elearning
Índice
Inicio Historia clínica Describe las anormalidades radiológicas observadas ¿Cuáles son los diagnósticos diferenciales con estos signos radiográficos? ¿Qué otras técnicas de diagnóstico realizarías para alcanzar el diagnóstico definitivo? Comentario Bibliografía
Hill's - Reco Start
ANUNCIO

¿No eres socio de AVEPA y quieres recibir comunicación de las nuevas ediciones en tu correo?

Suscríbete

Suscríbete y te avisaremos cuando publiquemos un nuevo número

Suscribirme

Enlaces rápidos

  • Inicio
  • Último número
  • Archivo
  • Artículos

Información

  • Comité editorial
  • Política de cookies
  • Política de privacidad
  • Términos y condiciones

Contacto

  • info@imaginice.com
  • Envíanos tu artículo
© 2026 Ice Salud Vet SL. Todos los derechos reservados.

Usamos cookies para mejorar tu experiencia. Selecciona cuáles aceptas: