Logo AVEPA

Clínica Veterinaria de Pequeños Animales

Revista oficial de AVEPA

  • Inicio
  • Último número
  • Archivo
  • Artículos
  • Para autores
  • Contacto
Cursos Junio-Septiembre 2026
ANUNCIO

Clínica Veterinaria de Pequeños Animales

Revista oficial de AVEPA

  • Inicio
  • Último número
  • Archivo
  • Artículos
  • Para autores
  • Contacto
Curso Oftalmología 2026
ANUNCIO
Clin Vet Peq Anim Vol. 39 • Nº 2 • junio 2019

¿Cuál es tu diagnóstico?

¿Cuál es tu diagnóstico?

C. Pagá-Casanova

Hospital Veterinario Universitario Rof Codina, Facultade de Veterinaria, Universidade de Santiago de Compostela. Estrada da Granxa, n.º 51, 27002 Lugo.

J. D. Barreiro-Vázquez

Hospital Veterinario Universitario Rof Codina, Facultade de Veterinaria, Universidade de Santiago de Compostela. Estrada da Granxa, n.º 51, 27002 Lugo.

M. Vila-Pastor

Hospital Veterinario Universitario Rof Codina, Facultade de Veterinaria, Universidade de Santiago de Compostela. Estrada da Granxa, n.º 51, 27002 Lugo.

A. Seoane-Mojón

Hospital Veterinario Universitario Rof Codina, Facultade de Veterinaria, Universidade de Santiago de Compostela. Estrada da Granxa, n.º 51, 27002 Lugo.

A. Barreiro-Lois

Hospital Veterinario Universitario Rof Codina, Facultade de Veterinaria, Universidade de Santiago de Compostela. Estrada da Granxa, n.º 51, 27002 Lugo.

Contacto: imaxeveterinaria@gmail.com
Descargar artículo

Historia clínica

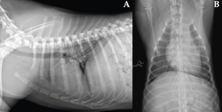
Se presenta un perro joven, macho entero, American Pitbull de 20 kg de peso. Acude a urgencias por sospecha de atropello, ya que fue encontrado junto a una carretera incapaz de mantenerse en estación. En la exploración física se observa taquipnea, disminución de los sonidos respiratorios a la auscultación, dolor a la manipulación del hombro izquierdo y lesiones cutáneas superficiales traumáticas. Las alteraciones analíticas encontradas son anemia leve (hematocrito 36,7 %; valor de referencia: 37,3-61,7 %), leucocitosis (24,63 K/µl; valor de referencia: 5,05-16,76 K/µl), neutrofilia (20,5 K/µl; valor de referencia: 2,95-11,64 K/µl) e incremento de la ALT (206 U/l; valor de referencia: 10-125 U/l). Se realizan radiografías de la cavidad torácica (Fig. 1).

<p>Radiografías del tórax. (<strong>A</strong>) Proyección laterolateral derecha. (<strong>B</strong>) Proyección ventrodorsal.</p>
Figura 1

Radiografías del tórax. (A) Proyección laterolateral derecha. (B) Proyección ventrodorsal.

Describe las anormalidades radiográficas que se observan

Se aprecia un patrón intersticial de forma generalizada con áreas focales de patrón alveolar con presencia de broncogramas aéreos de forma bilateral y asimétrica. El mediastino craneal está marcadamente ensanchado por una opacidad tejido blando que provoca desplazamiento de los lóbulos pulmonares craneales hacia lateral y caudal. El repliegue mediastínico caudal está ligeramente ensanchado y se visualiza leve retracción del campo pulmonar respecto de la pared costal en ambos hemitórax. A nivel de estómago se observan múltiples opacidades óseas intraluminales entremezcladas con patrón alimentario normal, sin distensión patológica del mismo. Se observa fisis de crecimiento de la cabeza humeral. No se aprecian lesiones óseas ni de tejidos blandos en las estructuras extratorácicas (Fig. 2).

<p>Radiografías de la Figura 1. Se observan lesiones focales de patrón alveolar con broncogramas aéreos (círculos negros), ensanchamiento del mediastino craneal por opacidad tejido blando (flechas negras) que desplaza los lóbulos pulmonares craneales, ligero ensanchamiento del repliegue mediastínico caudal y leve retracción pulmonar (flechas blancas). Se aprecia la fisis del húmero proximal todavía abierta (puntas de flecha blancas).</p>
Figura 2

Radiografías de la Figura 1. Se observan lesiones focales de patrón alveolar con broncogramas aéreos (círculos negros), ensanchamiento del mediastino craneal por opacidad tejido blando (flechas negras) que desplaza los lóbulos pulmonares craneales, ligero ensanchamiento del repliegue mediastínico caudal y leve retracción pulmonar (flechas blancas). Se aprecia la fisis del húmero proximal todavía abierta (puntas de flecha blancas).

¿Cuáles son los diagnósticos diferenciales con estos signos radiográficos?

Los hallazgos radiográficos son compatibles con masa mediastínica craneal, efusión pleural y mediastínica leves con patrón intersticial y focos de consolidación. El diagnóstico diferencial de masa mediastínica craneal incluye hematoma mediastínico o tímico en caso de animales jóvenes, neoplasia, quiste, absceso, granuloma, dilatación esofágica por anomalía del anillo vascular y aneurisma de aurícula derecha. Para el patrón pulmonar descrito el diferencial incluye neumonía infecciosa, parasitaria o eosinofílica, edema pulmonar no cardiogénico, neoplasia difusa y tromboembolismo. La naturaleza del derrame no puede ser determinada mediante los hallazgos radiográficos y debe definirse mediante análisis laboratorial del líquido.

Teniendo en cuenta el probable traumatismo reflejado en la historia clínica del paciente y los hallazgos radiográficos descritos, el diagnóstico presuntivo es de hematoma mediastínico craneal/tímico, hemorragia pulmonar difusa y leve hemotórax.

Estas radiografías nos sirven, además, para estimar la edad de este perro en 10-14 meses de edad, ya que son visibles las fisis del húmero proximal próximas a su cierre definitivo.

¿Qué otras técnicas de imagen realizarías para alcanzar el diagnóstico definitivo?

Se realizó ecografía para caracterizar la masa mediastínica craneal y la efusión pleural, observando una gran masa redondeada, de márgenes bien definidos, hipoecoica y de aspecto glandular, craneal al corazón. A la exploración Doppler no se evidenció vascularización significativa. La pequeña cantidad de líquido pleural observado en las radiografías era hipoecoico, sin reactividad de las membranas pleurales. El corazón no presentaba alteraciones reseñables. (Fig. 3). En base a la imagen ecográfica se acotó el diferencial a hematoma, granuloma y neoplasia tímica. La ausencia de neovascularización, la arquitectura glandular y la historia clínica hacen más probable un hematoma tímico.

<div>
<p>(<strong>A</strong> y <strong>B</strong>) Cortes longitudinales de la ecografía torácica a diferentes niveles de tórax craneal. Se observa una gran masa heterogénea de aspecto glandular (puntas de flecha) en contacto con el polo craneal del corazón (*).</p>
</div>
Figura 3

(A y B) Cortes longitudinales de la ecografía torácica a diferentes niveles de tórax craneal. Se observa una gran masa heterogénea de aspecto glandular (puntas de flecha) en contacto con el polo craneal del corazón (*).

La ecografía permite asimismo la obtención de muestras para valoración histopatológica que permitan establecer un diagnóstico definitivo. En este caso el estado clínico del paciente desaconsejaba la realización de las mismas, por lo que se decidió esperar a su evolución. Otras técnicas de imagen avanzada no se consideraron necesarias, aunque pueden aportar información en aquellos pacientes con hallazgos equívocos.

En este caso se optó por un tratamiento conservador, consiguiendo una evolución favorable, tal como se observa en las radiografías de control (Figs. 4 y 5). Aunque no se dispone de confirmación histopatológica, la evolución clínica y radiológica refuerza el diagnóstico de hematoma tímico, hemotórax y hemorragia pulmonar difusa.

<p>Radiografías realizadas a los 4 días. (<strong>A</strong>) Proyección laterolateral derecha. (<strong>B</strong>) Proyección ventrodorsal. Se aprecia reducción de tamaño de la masa mediastínica y resolución casi completa de la hemorragia pulmonar, con persistencia leve de patrón intersticial difuso y leve efusión pleural.</p>
Figura 4

Radiografías realizadas a los 4 días. (A) Proyección laterolateral derecha. (B) Proyección ventrodorsal. Se aprecia reducción de tamaño de la masa mediastínica y resolución casi completa de la hemorragia pulmonar, con persistencia leve de patrón intersticial difuso y leve efusión pleural.

<p>Radiografías realizadas a los 6 meses. (<strong>A</strong>) Proyección laterolateral derecha. (<strong>B</strong>) Proyección ventrodorsal. La resolución de los hallazgos radiográficos es completa.</p>
Figura 5

Radiografías realizadas a los 6 meses. (A) Proyección laterolateral derecha. (B) Proyección ventrodorsal. La resolución de los hallazgos radiográficos es completa.

Comentario

La hemorragia pulmonar y el hemotórax son dos hallazgos comúnmente asociados a traumatismo, mientras que el hematoma tímico es una lesión escasamente descrita en el perro. Esta lesión se ha relacionado con traumatismos, intoxicación por rodenticidas, neoplasia, rotura de quiste y aneurisma disecante de la aorta o idiopático. Se han sugerido diversos factores que podrían predisponer a hemorragias en el timo, como su gran tamaño en animales jóvenes, la presión negativa de la cavidad torácica, los movimientos cardiacos y respiratorios continuos, trastornos de la involución y vasculitis.[ Stallwood J, Allen S, Allerton F, Adamantos S, Black V: Spontaneous haemothorax in juvenile dogs: a case series. Comp Anim 2019; 24(1):14-18. , Vangrinsven E, Girod M, Etienne AL, Gommeren K: Thymic haemorrhage due to ingestion of human anticoagulant medication in a puppy. Vet Rec Case Rep 2017; 5(4):1-4. , Van der Linde-Sipman JS, van Dijk JE: Hematomas in the thymus in dogs. Vet Pathol 1987; 24(1):59-61. [PubMed] ]

Las masas mediastínicas se acompañan en muchas ocasiones de efusión mediastínica y/o pleural, por lo que pueden estar ocultas en radiografía simple. La ecografía es especialmente útil tanto para confirmar el origen mediastínico de las masas, cuyas características son variables, como para la obtención de muestras para histopatología. En caso de masas mediastínicas se observa cómo los pulmones se deslizan respecto de la lesión (“gliding sign”), a diferencia de lo que ocurre con las masas de origen pulmonar.[ Baines E: The mediastinum. En: Schwarz T, Johnson V (Ed.): BSAVA Manual of canine and feline thoracic imaging, Gloucester, British Small Animal Veterinary Association, 2008, 177-199. ]

En conclusión, debe tenerse en cuenta la posibilidad de hematoma mediastínico y/o tímico en animales jóvenes con historia de traumatismo o intoxicación por rodenticidas, entre otras causas.[ Van der Linde-Sipman JS, van Dijk JE: Hematomas in the thymus in dogs. Vet Pathol 1987; 24(1):59-61. [PubMed] ] Éste se puede diagnosticar generalmente por radiografía y/o ecografía, siendo interesante conocer sus características ecográficas en aquellos casos en que la presencia de derrame no permita un diagnóstico o en animales inestables que no toleren un adecuado posicionamiento radiográfico.

 

Fuente de financiación: este trabajo no se ha realizado con fondos comerciales, públicos o del sector privado.

Conflicto de intereses: los autores declaran que no existe conflicto de intereses.

Bibliografía

  1. [1] Stallwood J, Allen S, Allerton F, Adamantos S, Black V: Spontaneous haemothorax in juvenile dogs: a case series. Comp Anim 2019; 24(1):14-18.
  2. [2] Vangrinsven E, Girod M, Etienne AL, Gommeren K: Thymic haemorrhage due to ingestion of human anticoagulant medication in a puppy. Vet Rec Case Rep 2017; 5(4):1-4.
  3. [3] Van der Linde-Sipman JS, van Dijk JE: Hematomas in the thymus in dogs. Vet Pathol 1987; 24(1):59-61. [PubMed]
  4. [4] Baines E: The mediastinum. En: Schwarz T, Johnson V (Ed.): BSAVA Manual of canine and feline thoracic imaging, Gloucester, British Small Animal Veterinary Association, 2008, 177-199.

Artículos recomendados

Estas recomendaciones se ofrecen de forma automática.

  • ¿Cuál es tu diagnóstico?
    L. Martín-Carrasco, E. Mínguez-Pereira, R. Salgüero-Fernández, et al.
    Clin Vet Peq Anim Vol. 46 - Nº 1 · MAR 2026 · ¿Cuál es tu diagnóstico?
  • ¿Cuál es tu diagnóstico?
    D. Marbella, A.M. Hernández-Guerra, L. Montalvà-Minguet
    Clin Vet Peq Anim Vol. 45 - Nº 4 · DIC 2025 · ¿Cuál es tu diagnóstico?
  • ¿Cuál es tu diagnóstico?

    J.D. Carrillo, M. Soler, M.S. Echalecu, et al.
    Clin Vet Peq Anim Vol. 45 - Nº 3 · SEP 2025 · ¿Cuál es tu diagnóstico?
  • Inicio
  • Historia clínica
  • Describe las anormalidades radiográficas que se observan
  • ¿Cuáles son los diagnósticos diferenciales con estos signos radiográficos?
  • ¿Qué otras técnicas de imagen realizarías para alcanzar el diagnóstico definitivo?
  • Comentario
  • Bibliografía
Artículo anterior Índice de la revista Artículo siguiente
ANUNCIO
Próximos cursos ATVs Elearning
Índice
Inicio Historia clínica Describe las anormalidades radiográficas que se observan ¿Cuáles son los diagnósticos diferenciales con estos signos radiográficos? ¿Qué otras técnicas de imagen realizarías para alcanzar el diagnóstico definitivo? Comentario Bibliografía
Purina Calming Care
ANUNCIO

¿No eres socio de AVEPA y quieres recibir comunicación de las nuevas ediciones en tu correo?

Suscríbete

Suscríbete y te avisaremos cuando publiquemos un nuevo número

Suscribirme

Enlaces rápidos

  • Inicio
  • Último número
  • Archivo
  • Artículos

Información

  • Comité editorial
  • Política de cookies
  • Política de privacidad
  • Términos y condiciones

Contacto

  • info@imaginice.com
  • Envíanos tu artículo
© 2026 Ice Salud Vet SL. Todos los derechos reservados.

Usamos cookies para mejorar tu experiencia. Selecciona cuáles aceptas: