Logo AVEPA

Clínica Veterinaria de Pequeños Animales

Revista oficial de AVEPA

  • Inicio
  • Último número
  • Archivo
  • Artículos
  • Para autores
  • Contacto
Cursos Junio-Septiembre 2026
ANUNCIO

Clínica Veterinaria de Pequeños Animales

Revista oficial de AVEPA

  • Inicio
  • Último número
  • Archivo
  • Artículos
  • Para autores
  • Contacto
Curso Oftalmología 2026
ANUNCIO
Clin Vet Peq Anim Vol. 36 • Nº 2 • junio 2016

¿Cuál es tu diagnóstico?

¿Cuál es tu diagnóstico?

M. Vila-Pastor

Departamento de Ciencias Clínicas Veterinarias. Universidad de Santiago de Compostela. Hospital Clínico Veterinario Rof Codina s/n. 27002 Lugo

Otros artículos de M. Vila-Pastor:
  • Hallazgos tomográficos y tratamiento de un absceso retrobulbar asociado a una sialodenitis cigomática en un perro
    Clin Vet Peq Anim Vol. 36 • Nº 1 • marzo 2016

J. D. Barreiro-Vázquez

Servicio de DPI- HVU Rof Codina / Facultad de Veterinaria- USC (Lugo)

Otros artículos de J. D. Barreiro-Vázquez:
  • Próximos retos en el diagnóstico por imagen de la clínica de pequeños animales: Medicina Nuclear

    Clin Vet Peq Anim Vol. 39 • Nº 2 • junio 2019

A. Seoane-Mojón

Servicio de DPI- HVU Rof Codina / Facultad de Veterinaria- USC (Lugo)

A. Barreiro-Lois

Servicio de DPI- HVU Rof Codina / Facultad de Veterinaria- USC (Lugo)

Contacto: josedaniel.barreiro@usc.es
Descargar artículo

Historia clínica

Se presenta en consulta un perro macho de 8 años de raza Drahthaar, utilizado en caza mayor, por cojera. Desde hace unos meses los propietarios notan que tiene distintos grados de cojera en función del ejercicio y que se agrava cada vez más. Actualmente le notan un abultamiento en la extremidad anterior izquierda.

A la exploración no manifiesta dolor evidente en ninguna articulación. Se localiza el abultamiento que refieren los propietarios sobre el cúbito-radio distal izquierdo, presentando algo de calor a la palpación.

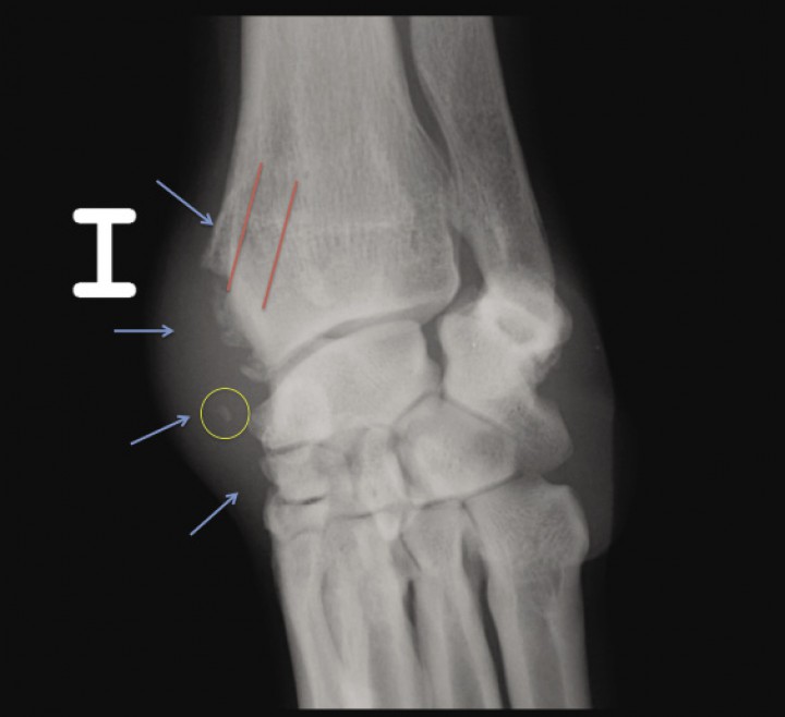
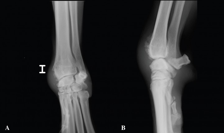
Se realizan dos proyecciones ortogonales de la región del carpo izquierdo incluyendo mitad distal de cúbito y radio (Fig. 1).

<p>Radiografías. A. Anteroposterior (AP), B. Medio Lateral (ML), de carpo izquierdo.</p>
Figura 1

Radiografías. A. Anteroposterior (AP), B. Medio Lateral (ML), de carpo izquierdo.

Describe las anormalidades radiográficas que se observan

Analizando ambas proyecciones radiográficas podemos apreciar un marcado engrosamiento de los tejidos blandos asociados a la cara dorsomedial de la epífisis distal del radio y del carpo izquierdos (Fig. 2). Asimismo, se observa neoformación ósea irregular bien definida, subyacente al engrosamiento de tejidos blandos, desde la cara dorsomedial de la epífisis distal del radio distal (asociada al surco del tendón abductor del primer dedo) así como en el recorrido y la inserción del citado tendón en la parte medial del carpo (en la porción proximomedial del primer metacarpiano). En los tejidos blandos asociados al recorrido del tendón podemos apreciar una pequeña opacidad hueso homogénea con forma ovalada y bordes redondeados a nivel de la fila proximal del carpo.

<p>Mismas radiografías que en la Figura 1A. En la proyección AP se observa la localización del surco radial (líneas rojas), el engrosamiento de tejido blando medial (flechas azules) y la opacidad hueso en el transcurso del tendón abductor <em>pollicis longus</em> (círculo amarillo).</p>
Figura 2

Mismas radiografías que en la Figura 1A. En la proyección AP se observa la localización del surco radial (líneas rojas), el engrosamiento de tejido blando medial (flechas azules) y la opacidad hueso en el transcurso del tendón abductor pollicis longus (círculo amarillo).

¿Cuáles son los posibles diagnósticos diferenciales que plantearías en este caso?

Como diagnóstico diferencial de una neoformación ósea a nivel de cúbito-radio distal que afecta a varios huesos, incluidos los huesos carpianos, pero no de manera generalizada, podríamos incluir:

- Tenosinovitis crónica proliferativa del tendón abductor pollicis longus o del primer dedo;

- Osteítis/ periostitis secundaria a traumatismo antiguo;

- Neoplasia de tejidos blandos con afección ósea secundaria (menos probable).

Las artropatías quedarían descartadas al no observarse cambios articulares compatibles.

¿Qué otras técnicas realizarías para llegar a un diagnóstico definitivo?

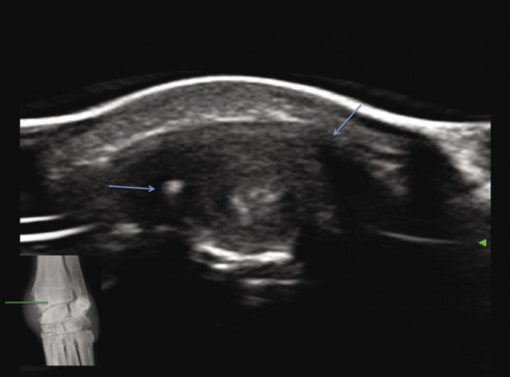
Para corroborar nuestras sospechas de afección del tendón abductor pollicis longus se realiza una ecografía con transductor lineal de alta frecuencia (Esaote MyLab Class C, 4- 13 MHz). Sobre un corte longitudinal de la cara dorsomedial del radio distal (Fig. 3) apreciamos marcado engrosamiento del tendón abductor pollicis longus sin pérdida del patrón de fibras (flecha amarilla) así como del tejido periférico que lo engloba (flechas azules), con presencia de efusión dentro de la vaina tendinosa (asterisco rojo). La superficie ósea se aprecia irregular, indicando reactividad del hueso cortical subyacente (flecha naranja). No se observan indicios de inflamación intrarticular o presencia de osteofitosis en la articulación radiocarpiana, intercarpiana o carpometacarpiana (Fig. 3). Estos hallazgos se observan de manera clara mediante cortes transversales a lo largo del tendón (Fig. 4), donde se puede identificar la neoformación ósea “englobando” el tendón abductor especialmente en la inserción de la vaina tendinosa al radio distal.

<p>Imagen ecográfica en corte longitudinal mostrando el recorrido del tendón abductor <em>pollicis longus</em> (flecha amarilla) sobre el radio distal (A) y el carpo-metacarpo medial (B) donde se inserta sobre el primer metacarpiano. Obsérvese el engrosamiento de la vaina tendinosa (flechas azules), la proliferación ósea cortical (flecha roja) y la efusión peritendinosa (*).</p>
Figura 3

Imagen ecográfica en corte longitudinal mostrando el recorrido del tendón abductor pollicis longus (flecha amarilla) sobre el radio distal (A) y el carpo-metacarpo medial (B) donde se inserta sobre el primer metacarpiano. Obsérvese el engrosamiento de la vaina tendinosa (flechas azules), la proliferación ósea cortical (flecha roja) y la efusión peritendinosa (*).

<p>Imagen en corte transversal del radio distal donde se aprecia neoformación ósea periférica (flechas azules) al surco por donde discurre el tendón tendón abductor <em>pollicis longus</em> y su vaina, marcadamente engrosada.</p>
Figura 4

Imagen en corte transversal del radio distal donde se aprecia neoformación ósea periférica (flechas azules) al surco por donde discurre el tendón tendón abductor pollicis longus y su vaina, marcadamente engrosada.

Comentario

El músculo abductor del primer dedo (pollicis longus) es un músculo supinador de la articulación radiocarpiana que posee reducida importancia a nivel locomotor en el perro. Su tendón, revestido de una vaina tendinosa, cruza de lateral a medial en la parte distal del radio, atravesando el surco radial, recorriendo el carpo medial cerca del ligamento colateral medial y para finalmente fijarse a la porción proximal del primer metacarpiano.[ Okamura Y, Okamoto Y, Morita T, Minami S. Enthesiopathy with an abductor pollicis longus dysfunction in a Rough Collie dog. Aust Vet J 2007; 85(8):329-331. [PubMed] ] A pesar de su importancia secundaria en la locomoción del perro, puede ser causa de cojera tanto aguda como crónica, mostrando diferentes grados de dolor a la flexión según el caso. Las tenopatías crónicas provocan una cojera significativa cuando los tejidos peritendinosos proliferan, hasta el punto que generan síndrome de compartimentalización del tendón, generando una cojera en frío manifiesta. En la bibliografía se refieren a este síndrome como tendinopatía estenosante, que atrapa y traumatiza el tendón al pasar a través de la vaina tendinosa engrosada.[ Okamura Y, Okamoto Y, Morita T, Minami S. Enthesiopathy with an abductor pollicis longus dysfunction in a Rough Collie dog. Aust Vet J 2007; 85(8):329-331. [PubMed] ]

La apariencia radiológica de esta patología varía en función de la cantidad de neoformación ósea presente, que puede alcanzar dimensiones considerables -como en este caso- o ser una pequeña proyección del surco del radio distal.[ Hittmair KM, Goressl V, Mayrhofer E. Radiographic and ultrasonographic diagnosis of stenosing tenosynovitis of the abductor pollicis longus muscle in dogs. Vet Radiol Ultrasound 2012; 53(2):135-141. [PubMed] ]

La ecografía nos permite caracterizar fácilmente las alteraciones musculoesqueléticas que se producen en esta región, localizando y graduando las tenopatías y desmopatías carpianas. Asociadas al tendón abductor podemos encontrarnos desmopatías del ligamento colateral medial y tenopatías del extensor carporradial y digital común, que pueden ser diferenciadas fácilmente con una exploración ecográfica rápida, sin necesidad de sedación, y técnicas de imagen más caras.[ Hittmair KM, Goressl V, Mayrhofer E. Radiographic and ultrasonographic diagnosis of stenosing tenosynovitis of the abductor pollicis longus muscle in dogs. Vet Radiol Ultrasound 2012; 53(2):135-141. [PubMed] ]

La resolución de estos problemas tendinosos, en función de si el curso es agudo o crónico, varía desde la infiltración con dexametasona y vendaje inmovilizador, hasta cirugía (tenotomía/ desbridamiento) con pronóstico favorable en la mayoría de los casos.[ Okamura Y, Okamoto Y, Morita T, Minami S. Enthesiopathy with an abductor pollicis longus dysfunction in a Rough Collie dog. Aust Vet J 2007; 85(8):329-331. [PubMed] , Moores AP, Comerford EJ. What is your diagnosis? Stenosing tenosynovitis of the tendon of the abductor pollicis longus muscle. J Small Anim Pract 2005; 46(1):41-43. [PubMed] ]

 

Fuente de financiación: Esta investigación no se realizó con fondos comerciales, públicos o del sector privado.

Conflicto de intereses: Los autores declaran que no existe conflicto de intereses.

Bibliografía

  1. [1] Okamura Y, Okamoto Y, Morita T, Minami S. Enthesiopathy with an abductor pollicis longus dysfunction in a Rough Collie dog. Aust Vet J 2007; 85(8):329-331. [PubMed]
  2. [2] Hittmair KM, Goressl V, Mayrhofer E. Radiographic and ultrasonographic diagnosis of stenosing tenosynovitis of the abductor pollicis longus muscle in dogs. Vet Radiol Ultrasound 2012; 53(2):135-141. [PubMed]
  3. [3] Moores AP, Comerford EJ. What is your diagnosis? Stenosing tenosynovitis of the tendon of the abductor pollicis longus muscle. J Small Anim Pract 2005; 46(1):41-43. [PubMed]

Artículos recomendados

Estas recomendaciones se ofrecen de forma automática.

  • ¿Cuál es tu diagnóstico?
    L. Martín-Carrasco, E. Mínguez-Pereira, R. Salgüero-Fernández, et al.
    Clin Vet Peq Anim Vol. 46 - Nº 1 · MAR 2026 · ¿Cuál es tu diagnóstico?
  • Próximos retos en el diagnóstico por imagen de la clínica de pequeños animales: Medicina Nuclear

    J. D. Barreiro-Vázquez
    Clin Vet Peq Anim Vol. 39 - Nº 2 · JUN 2019 · Editorial
  • Hallazgos tomográficos y tratamiento de un absceso retrobulbar asociado a una sialodenitis cigomática en un perro
    N. Miño-Fariña, A. González-Cantalapiedra, M. Vila-Pastor, et al.
    Clin Vet Peq Anim Vol. 36 - Nº 1 · MAR 2016 · Artículo original referido a un solo caso clínico
  • Inicio
  • Historia clínica
  • Describe las anormalidades radiográficas que se observan
  • ¿Cuáles son los posibles diagnósticos diferenciales que plantearías en este caso?
  • ¿Qué otras técnicas realizarías para llegar a un diagnóstico definitivo?
  • Comentario
  • Bibliografía
Artículo anterior Índice de la revista Artículo siguiente
ANUNCIO
Próximos cursos ATVs Elearning
Índice
Inicio Historia clínica Describe las anormalidades radiográficas que se observan ¿Cuáles son los posibles diagnósticos diferenciales que plantearías en este caso? ¿Qué otras técnicas realizarías para llegar a un diagnóstico definitivo? Comentario Bibliografía
Hill's - Reco Start
ANUNCIO

¿No eres socio de AVEPA y quieres recibir comunicación de las nuevas ediciones en tu correo?

Suscríbete

Suscríbete y te avisaremos cuando publiquemos un nuevo número

Suscribirme

Enlaces rápidos

  • Inicio
  • Último número
  • Archivo
  • Artículos

Información

  • Comité editorial
  • Política de cookies
  • Política de privacidad
  • Términos y condiciones

Contacto

  • info@imaginice.com
  • Envíanos tu artículo
© 2026 Ice Salud Vet SL. Todos los derechos reservados.

Usamos cookies para mejorar tu experiencia. Selecciona cuáles aceptas: