Logo AVEPA

Clínica Veterinaria de Pequeños Animales

Revista oficial de AVEPA

  • Inicio
  • Último número
  • Archivo
  • Artículos
  • Para autores
  • Contacto
Cursos Junio-Septiembre 2026
ANUNCIO

Clínica Veterinaria de Pequeños Animales

Revista oficial de AVEPA

  • Inicio
  • Último número
  • Archivo
  • Artículos
  • Para autores
  • Contacto
Curso Oftalmología 2026
ANUNCIO
Clin Vet Peq Anim Vol. 39 • Nº 4 • diciembre 2019

¿Cuál es tu diagnóstico?

¿Cuál es tu diagnóstico?

E. Veiga-Soria

Hospital Veterinario Universitario Rof Codina, Facultad de Veterinaria, Universidad de Santiago de Compostela. Estrada da Granxa, s/n, 27002 Lugo

M. Vila-Pastor

Hospital Veterinario Universitario Rof Codina, Facultad de Veterinaria, Universidad de Santiago de Compostela. Estrada da Granxa, s/n, 27002 Lugo

J. D. Barreiro-Vázquez

Hospital Veterinario Universitario Rof Codina, Facultad de Veterinaria, Universidad de Santiago de Compostela. Estrada da Granxa, s/n, 27002 Lugo

A. Seoane-Mojón

Hospital Veterinario Universitario Rof Codina, Facultad de Veterinaria, Universidad de Santiago de Compostela. Estrada da Granxa, s/n, 27002 Lugo

A. Barreiro-Lois

Hospital Veterinario Universitario Rof Codina, Facultad de Veterinaria, Universidad de Santiago de Compostela. Estrada da Granxa, s/n, 27002 Lugo

M. Pereiro-González

Hospital Veterinario Universitario Rof Codina, Facultad de Veterinaria, Universidad de Santiago de Compostela. Estrada da Granxa, s/n, 27002 Lugo

Contacto: eva_veiga_soria@hotmail.com
Descargar artículo

Historia clínica

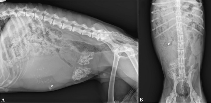
Se presenta en consulta una perra Setter Inglés de 18 kg, adulta, de edad desconocida, procedente de una protectora de animales, con sintomatología inespecífica, ligera apatía y sospecha de gestación. Los hallazgos clínicos más relevantes fueron mucosas ligeramente congestivas, frecuencia cardiaca dentro de la normalidad (88 lpm), pulso femoral fuerte, temperatura de 38,2 ºC, abdomen distendido sin signos de dolor y sin descarga vaginal apreciable. El hemograma reveló una leve anemia (hematocrito 35 %; valor de referencia: 37,3-61,7 %) y no se observaron alteraciones en la bioquímica sérica. Se realizaron radiografías de la cavidad abdominal (Fig. 1).

<p>Radiografías del abdomen. (<strong>A</strong>) Proyección laterolateral derecha. (<strong>B</strong>) Proyección ventrodorsal.</p>
Figura 1

Radiografías del abdomen. (A) Proyección laterolateral derecha. (B) Proyección ventrodorsal.

Describe las alteraciones radiográficas observadas

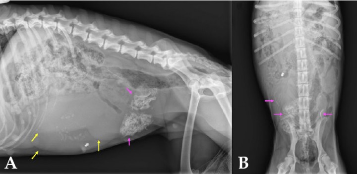
En ambas proyecciones se visualiza buena definición de serosas y se aprecian varias masas de morfología tubular y opacidad tejido blando que ocupan gran parte del abdomen medio y caudal, produciendo un efecto masa con desplazamiento dorsocraneal de estómago, asas intestinales y colon. A nivel del abdomen medio ventral y caudal se observan unas estructuras de opacidad hueso, así como otra de opacidad metal cuya morfología es compatible con la de un balín localizado en abdomen medio ventral, en el lado derecho (Fig. 2).

<div>
<div class=\"Basic-Text-Frame\">
<p>Mismas radiografías de la Figura 1. Se observan masas de morfología tubular y opacidad tejido blando que generan efecto masa (flechas amarillas), así como estructuras de opacidad hueso (flechas rosas) en su interior.</p>
</div>
</div>
Figura 2

Mismas radiografías de la Figura 1. Se observan masas de morfología tubular y opacidad tejido blando que generan efecto masa (flechas amarillas), así como estructuras de opacidad hueso (flechas rosas) en su interior.

¿Qué diagnóstico diferencial se realizará en base a estos signos radiográficos?

Los signos radiográficos son compatibles lo más probable con distensión uterina (piometra/ mucometra/ hemometra) asociados a muerte fetal o masa uterina (neoplasia/ granuloma). Teniendo en cuenta la ausencia de sintomatología intestinal, la opción de un segmento intestinal dilatado por obstrucción con cuerpos extraños mineralizados parece menos probable, aunque debe incluirse en el diferencial.

¿Qué otras pruebas complementarias de imagen solicitarías para alcanzar un diagnóstico definitivo?

En este caso se realizó una ecografía abdominal en la que se observó el útero distendido con contenido hipoecoico con marcada celularidad (Fig. 3A). No se visualizaron fetos formados, aunque en el interior del útero se observaron estructuras hiperecogénicas que generaban sombra acústica, compatibles con restos óseos (Fig. 3B). Al seguir el recorrido del cuerno uterino izquierdo se apreció signo de remolino (whirlpool sign) que involucraba la vascularización uterina, indicativo de torsión (Vídeo 1). El Doppler color ayudó a la visualización de este patrón en espiral al resaltar el flujo sanguíneo de los vasos implicados, comprobándose posteriormente en la cirugía (Fig. 4).

<div class=\"Basic-Text-Frame\">
<p>Imágenes ecográficas. (<strong>A</strong>) Se observa contenido uterino hipoecoico con marcada celularidad. (<strong>B</strong>) Se observan estructuras hiperecogénicas que generan sombra acústica compatibles con restos óseos intrauterinos.</p>
</div>
Figura 3

Imágenes ecográficas. (A) Se observa contenido uterino hipoecoico con marcada celularidad. (B) Se observan estructuras hiperecogénicas que generan sombra acústica compatibles con restos óseos intrauterinos.

Video 1
<p>(<strong>A</strong>) Ecografía Doppler con signo de remolino indicativo de torsión. (<strong>B</strong>) Tomografia computerizada con signo de remolino. (<strong>C</strong>) Imagen intraquirúrgica que evidencia la torsión del cuerno uterino izquierdo.</p>
Figura 4

(A) Ecografía Doppler con signo de remolino indicativo de torsión. (B) Tomografia computerizada con signo de remolino. (C) Imagen intraquirúrgica que evidencia la torsión del cuerno uterino izquierdo.

Para una valoración completa del abdomen y descartar posibles complicaciones no visibles en la ecografía, se recomendó la realización de una tomografía computerizada (TC) abdominal prequirúrgica en la que se observó el útero muy distendido con contenido líquido y estructuras hiperatenuantes mineralizadas, apreciándose el mismo patrón en espiral o signo de remolino característico de torsión visto en ecografía, que afectaba al cuerno uterino izquierdo (Fig. 5) (Vídeo 2), sin otros hallazgos significativos.

<p>Tomografías computerizadas prequirúrgicas del abdomen. (<strong>A</strong>) Corte sagital. (<strong>B</strong>) Corte dorsal. Se observa una gran distensión uterina con contenido líquido (flechas amarillas) y estructuras hiperatenuantes mineralizadas en su interior (flechas rosas).</p>
Figura 5

Tomografías computerizadas prequirúrgicas del abdomen. (A) Corte sagital. (B) Corte dorsal. Se observa una gran distensión uterina con contenido líquido (flechas amarillas) y estructuras hiperatenuantes mineralizadas en su interior (flechas rosas).

Video 2

Comentario

La torsión uterina se define como la rotación de uno o ambos cuernos uterinos sobre su eje longitudinal, siendo más frecuente la afección unilateral. Se trata de una condición rara de la que existen pocos casos descritos en pequeños animales, siendo más frecuente en la especie bovina.[ K Misumi, M Fujiki, N Miura and H Sakamoto. Uterine horn torsion in two non-gravid bitches. J Small Anim Pract 2000; 41:468-471. [PubMed] ]

La etiología de la torsión uterina no se conoce con exactitud. Se ha descrito que existe mayor incidencia en hembras que se encuentran en la segunda mitad de la gestación o en el momento del parto, lo que sugiere que el peso del útero o las contracciones pueden influir en el desarrollo de la torsión. Otros factores asociados a la gestación que se han considerado como posibles causantes de la torsión uterina son: movimiento fetal excesivo, falta de tono uterino, laxitud de los ligamentos uterinos por gestaciones previas o por debilidad hereditaria, abortos parciales, traumatismos o hiperactividad de la madre (movimientos bruscos) y administración de fármacos inductores del parto (oxitocina).[ Babu M, Renukaradya G J, Sahadev A, Gunaranjan K S, Rashmi S and Nethra R. Unilateral uterine torsion in a Labrador pregnant dog. Intern J of Science, Envirement and Technol 2018,7:1356-1360. ] La torsión del útero no grávido es menos frecuente y ha sido descrita asociada a otras patologías uterinas como hiperplasia endometrial quística, piometra, hemometra y masas uterinas.[ Barrand KR. Unilateral uterine torsion associated with haematometra and cystic endometrial hyperplasia in a bitch. Vet Rec 2009; 164:19-20. [PubMed] ]

El grado de la torsión uterina puede variar desde 180º a 2160º (6 vueltas de 360º) y este influye en la gravedad de los signos clínicos, así como en el pronóstico. De este modo la presentación clínica puede variar desde síntomas inespecíficos como apatía, ataxia, anorexia y emesis hasta shock e incluso la muerte. El diagnóstico temprano es de vital importancia, ya que en los casos en los que existe una torsión grave y mantenida en el tiempo se produce un compromiso circulatorio que puede dar como resultado trombosis, rotura de vasos uterinos, congestión, shock, muerte fetal y/o materna.[ Babu M, Renukaradya G J, Sahadev A, Gunaranjan K S, Rashmi S and Nethra R. Unilateral uterine torsion in a Labrador pregnant dog. Intern J of Science, Envirement and Technol 2018,7:1356-1360. ]

El tratamiento de elección en caso de torsión uterina es la resolución quirúrgica mediante ovariohisterectomía. Se recomienda no corregir la torsión durante la cirugía para evitar las complicaciones de reperfusión.[ BA Chambers, MA Laksito, F Long and GD Yates. Unilateral uterine torsion secondary to an inflammatory endometrial polyp in the bitch. Austral Vet J 2011; 89:380-384. [PubMed] ]

En nuestro caso se realizó la ovariohisterectomía tras comprobar la presencia de torsión unilateral izquierda. Se determinó un grado de torsión de aproximadamente 1440º (4 vueltas completas de 360º). Sorprende en este caso que, a pesar de presentar un grado de torsión muy grave, la sintomatología de la paciente no se correspondía con la de un abdomen agudo, lo que nos hace pensar que la torsión era reciente. La cirugía se llevó a cabo sin complicaciones y la evolución fue muy favorable. Con respecto a las estructuras de opacidad hueso observadas en las radiografías, y cuya localización intrauterina fue diagnosticada mediante ecografía y TC, se confirmó que se trataba de restos fetales momificados. Como la muerte del feto ocurrió una vez iniciada la mineralización de su esqueleto, una completa reabsorción fetal no fue posible y en su lugar se produjo la momificación.

El signo de remolino visto en ecografía y TC fue el factor clave para alcanzar el diagnóstico. Este patrón en espiral indicativo de torsión no siempre es visible y debemos tener en cuenta que la ausencia de este signo no descarta la presencia de una torsión.

En conclusión, el diagnóstico de torsión uterina se beneficia del uso de pruebas complementarias de imagen como la ecografía y/o la tomografía computerizada.

 

Fuente de financiación: este trabajo no se realizó con fondos comerciales, públicos o del sector privado.

Conflicto de intereses: los autores declaran que no existen conflictos de intereses.

Bibliografía

  1. [1] K Misumi, M Fujiki, N Miura and H Sakamoto. Uterine horn torsion in two non-gravid bitches. J Small Anim Pract 2000; 41:468-471. [PubMed]
  2. [2] Babu M, Renukaradya G J, Sahadev A, Gunaranjan K S, Rashmi S and Nethra R. Unilateral uterine torsion in a Labrador pregnant dog. Intern J of Science, Envirement and Technol 2018,7:1356-1360.
  3. [3] Barrand KR. Unilateral uterine torsion associated with haematometra and cystic endometrial hyperplasia in a bitch. Vet Rec 2009; 164:19-20. [PubMed]
  4. [4] BA Chambers, MA Laksito, F Long and GD Yates. Unilateral uterine torsion secondary to an inflammatory endometrial polyp in the bitch. Austral Vet J 2011; 89:380-384. [PubMed]

Artículos recomendados

Estas recomendaciones se ofrecen de forma automática.

  • ¿Cuál es tu diagnóstico?
    L. Martín-Carrasco, E. Mínguez-Pereira, R. Salgüero-Fernández, et al.
    Clin Vet Peq Anim Vol. 46 - Nº 1 · MAR 2026 · ¿Cuál es tu diagnóstico?
  • ¿Cuál es tu diagnóstico?
    D. Marbella, A.M. Hernández-Guerra, L. Montalvà-Minguet
    Clin Vet Peq Anim Vol. 45 - Nº 4 · DIC 2025 · ¿Cuál es tu diagnóstico?
  • ¿Cuál es tu diagnóstico?

    J.D. Carrillo, M. Soler, M.S. Echalecu, et al.
    Clin Vet Peq Anim Vol. 45 - Nº 3 · SEP 2025 · ¿Cuál es tu diagnóstico?
  • Inicio
  • Historia clínica
  • Describe las alteraciones radiográficas observadas
  • ¿Qué diagnóstico diferencial se realizará en base a estos signos radiográficos?
  • ¿Qué otras pruebas complementarias de imagen solicitarías para alcanzar un diagnóstico definitivo?
  • Comentario
  • Bibliografía
Artículo anterior Índice de la revista Artículo siguiente
ANUNCIO
Próximos cursos ATVs Elearning
Índice
Inicio Historia clínica Describe las alteraciones radiográficas observadas ¿Qué diagnóstico diferencial se realizará en base a estos signos radiográficos? ¿Qué otras pruebas complementarias de imagen solicitarías para alcanzar un diagnóstico definitivo? Comentario Bibliografía
Boehringer - NexGard
ANUNCIO

¿No eres socio de AVEPA y quieres recibir comunicación de las nuevas ediciones en tu correo?

Suscríbete

Suscríbete y te avisaremos cuando publiquemos un nuevo número

Suscribirme

Enlaces rápidos

  • Inicio
  • Último número
  • Archivo
  • Artículos

Información

  • Comité editorial
  • Política de cookies
  • Política de privacidad
  • Términos y condiciones

Contacto

  • info@imaginice.com
  • Envíanos tu artículo
© 2026 Ice Salud Vet SL. Todos los derechos reservados.

Usamos cookies para mejorar tu experiencia. Selecciona cuáles aceptas: