Logo AVEPA

Clínica Veterinaria de Pequeños Animales

Revista oficial de AVEPA

  • Inicio
  • Último número
  • Archivo
  • Artículos
  • Para autores
  • Contacto
Cursos Junio-Septiembre 2026
ANUNCIO

Clínica Veterinaria de Pequeños Animales

Revista oficial de AVEPA

  • Inicio
  • Último número
  • Archivo
  • Artículos
  • Para autores
  • Contacto
Curso Oftalmología 2026
ANUNCIO
Clin Vet Peq Anim Vol. 41 • Nº 3 • septiembre 2021

¿Cuál es tu diagnóstico?

¿Cuál es tu diagnóstico?

L. Librán

Hospital Veterinario Universitario Rof Codina. Estrada da Granxa 51. 27002 Lugo.

M. Vila

Hospital Veterinario Universitario Rof Codina. Estrada da Granxa 51. 27002 Lugo.

J. D. Barreiro

Hospital Veterinario Universitario Rof Codina. Estrada da Granxa 51. 27002 Lugo.

A. Seoane

Hospital Veterinario Universitario Rof Codina. Estrada da Granxa 51. 27002 Lugo.

A. Barreiro

Hospital Veterinario Universitario Rof Codina. Estrada da Granxa 51. 27002 Lugo.

M. L. Suárez

Hospital Veterinario Universitario Rof Codina. Estrada da Granxa 51. 27002 Lugo.

Contacto: lauralibran@hotmail.com
Descargar artículo

Historia clínica

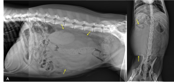
Se presenta en consulta un Golden Retriever de 1 año, macho no castrado, con un cuadro de hematuria e infecciones de orina recurrentes desde cachorro, manejadas con antibioterapia. Actualmente en tratamiento con ciprofloxacino. La exploración general y el hemograma son normales, observándose únicamente niveles bajos de globulinas (2,5 g/dl; referencia: 2,8-5,1 g/dl), urea (13,8 mg/dl; referencia: 16-36 mg/dl) y fósforo (2,32 mg/dl; referencia: 3,1-7,5 mg/dl) en la bioquímica. Se realizan radiografías de abdomen lateral derecha (LLD) y ventrodorsal (VD), en dos secciones (abdomen craneal y caudal) debido al gran tamaño del paciente (Fig. 1).

<p>Radiografías del abdomen tomadas en dos secciones (debido al gran tamaño del animal). (<strong>A</strong>) Proyección lateral derecha. (<strong>B</strong>) Proyección ventrodorsal.</p>
Figura 1

Radiografías del abdomen tomadas en dos secciones (debido al gran tamaño del animal). (A) Proyección lateral derecha. (B) Proyección ventrodorsal.

Descripción de las alteraciones radiográficas observadas

Se evidencia una lesión retroperitoneal de opacidad tejido blando, ovoide, de gran tamaño (25 cm aproximadamente) que provoca un efecto masa y desplazamiento del paquete intestinal craneoventralmente y a la izquierda. Existe buen detalle de la serosa y no se evidencian alteraciones en las estructuras óseas o tejido blando periférico (Fig. 2).

<div class=\"Basic-Text-Frame\">
<p>Mismas radiografías de la Figura 1. Se observa una lesión retroperitoneal de opacidad tejido blando (flechas amarillas) que provoca efecto masa y desplazamiento del paquete intestinal craneoventralmente y a la izquierda.</p>
</div>
Figura 2

Mismas radiografías de la Figura 1. Se observa una lesión retroperitoneal de opacidad tejido blando (flechas amarillas) que provoca efecto masa y desplazamiento del paquete intestinal craneoventralmente y a la izquierda.

Diagnósticos compatibles con los signos radiográficos observados (diagnóstico diferencial)

Los hallazgos radiográficos sugieren una masa renal derecha (hidronefrosis grave, quiste perinéfrico, neoplasia o absceso renal) o tumor retroperitoneal primario.

¿Es necesario realizar otras técnicas de diagnóstico por imagen o pruebas para alcanzar el diagnóstico definitivo?

La ecografía abdominal permite evaluar la morfología renal y su relación con las vísceras abdominales, lo que ayuda a reducir los diagnósticos diferenciales y permite la toma de muestras ecoguiada. Otras pruebas avanzadas de imagen como la TC y la urografía excretora también estarían indicadas.

Se realiza una ecografía abdominal mediante sonda microcónvex que evidencia una severa dilatación de la pelvis renal derecha, con contenido anecoico, que provoca una reducción grave de la capa cortical (atrofia cortical) (Fig. 3A), asociada con un hidrouréter derecho (dilatación de hasta 15 mm) y con su inserción anómala en la uretra prostática (Fig. 3B). El riñón izquierdo presenta una arquitectura ecográfica normal, con buena definición corticomedular, sin alteraciones en el sistema colector y sin alteraciones asociadas con el uréter izquierdo.

<p>Imágenes ecográficas. (<strong>A</strong>) Hidronefrosis en riñón derecho con resto de cortical. (<strong>B</strong>) Dilatación grave del uréter derecho hacia su desembocadura en la uretra prostática (asterisco amarillo).</p>
Figura 3

Imágenes ecográficas. (A) Hidronefrosis en riñón derecho con resto de cortical. (B) Dilatación grave del uréter derecho hacia su desembocadura en la uretra prostática (asterisco amarillo).

Por lo tanto, el estudio ecográfico es compatible con hidronefrosis con hidrouréter y ectopia ureteral derecha.

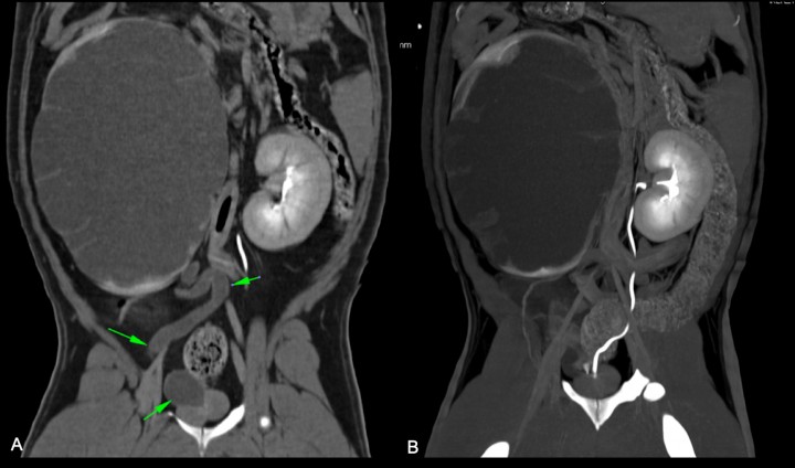
Como planificación quirúrgica, se realiza con el paciente en decúbito esternal una tomografía computarizada abdominal pre y postcontraste endovenoso (120 KVp, 150 mA 1 s/rotación, pitch 0,9, espesor de corte 1,25 y 2,5 mm con filtros de hueso y tejido blando, respectivamente). El estudio tomográfico revela una distensión grave del riñón derecho con un fino resto cortical que presenta realce postcontraste. El uréter derecho se encuentra distendido moderadamente con un recorrido tortuoso hasta su desembocadura en la uretra prostática (Fig. 4A). El riñón izquierdo presenta una arquitectura normal, pero su uréter desemboca también en la uretra prostática (Fig. 4B), lo cual aporta una información relevante no observada en la ecografía. No se evidencian otras alteraciones en las estructuras incluidas en el estudio.

<p>Imágenes tomográficas. (<strong>A</strong>) Corte dorsal del trayecto tortuoso del uréter derecho sin contraste (flechas verdes). (<strong>B</strong>) Corte dorsal del trayecto y desembocadura en la uretra prostática del uréter izquierdo.</p>
Figura 4

Imágenes tomográficas. (A) Corte dorsal del trayecto tortuoso del uréter derecho sin contraste (flechas verdes). (B) Corte dorsal del trayecto y desembocadura en la uretra prostática del uréter izquierdo.

Se realiza una ureteronefrectomía derecha y, tras cuatro semanas de recuperación, se planifica la reinserción del uréter izquierdo, con evolución favorable.

Comentario

La ectopia ureteral consiste en una alteración embriológica por la cual se altera la desembocadura de los uréteres en el tracto urinario inferior.[ Anders K J, McLoughlin MA, Samii VF et al.: Ectopic Ureters in Male Dogs: Review of 16 Clinical Cases. J Am Anim Hosp Assoc 2012; 48(6):390-398. [PubMed] ] Esta puede ser intramural o extramural[ Reichler I M, Eckrich C, Hubler M, et al.: Ectopic Ureters in Dogs: Clinical Features, Surgical Techniques and Outcome. Vet Surg 2012; 41(4):515-522. [PubMed] ] dependiendo del recorrido que tome. Los lugares de unión suelen ser el trígono distal, la unión vesiculouretral y la uretra preprostática y prostática.[ Anders K J, McLoughlin MA, Samii VF et al.: Ectopic Ureters in Male Dogs: Review of 16 Clinical Cases. J Am Anim Hosp Assoc 2012; 48(6):390-398. [PubMed] ] Se ha observado una predisposición racial en las razas de Labrador Retriever, Golden Retriever, Husky Siberiano, West Highland o Caniche, entre otras.[ Anders K J, McLoughlin MA, Samii VF et al.: Ectopic Ureters in Male Dogs: Review of 16 Clinical Cases. J Am Anim Hosp Assoc 2012; 48(6):390-398. [PubMed] ]

Se trata de la causa más común de incontinencia urinaria en hembras jóvenes, aunque también se ha descrito en machos. En perros machos hay menos signos de incontinencia urinaria debido a la mayor longitud de su uretra, el aumento de presión en el lumen de la uretra prostática y el mecanismo del esfínter externo.[ Anders K J, McLoughlin MA, Samii VF et al.: Ectopic Ureters in Male Dogs: Review of 16 Clinical Cases. J Am Anim Hosp Assoc 2012; 48(6):390-398. [PubMed] ] Es lo que ocurre en el caso descrito, donde el paciente presenta la inserción de uréteres en la uretra prostática, probablemente craneal al esfínter uretral externo, lo que explica el control sobre la micción, presentando únicamente infecciones urinarias recurrentes y hematuria. Además, su diagnóstico se suele realizar a edades más tardías (3-4 años) con una clínica silenciosa o una incontinencia a edades avanzadas.[ Reichler I M, Eckrich C, Hubler M, et al.: Ectopic Ureters in Dogs: Clinical Features, Surgical Techniques and Outcome. Vet Surg 2012; 41(4):515-522. [PubMed] ]

Los signos clínicos asociados a la patología en machos son enfermedad del tracto urinario inferior, incontinencia urinaria o, incluso, hallazgo incidental.[ Anders K J, McLoughlin MA, Samii VF et al.: Ectopic Ureters in Male Dogs: Review of 16 Clinical Cases. J Am Anim Hosp Assoc 2012; 48(6):390-398. [PubMed] ] La presencia de hidrouréter, hidronefrosis (como es el caso descrito) y pielectasia suele asociarse con infecciones recurrentes o proceso obstructivo/semiobstructivo, secundario a la inserción anómala del uréter, lo que provoca un aumento de la presión intraluminal que impide el flujo normal de la orina.[ Anders K J, McLoughlin MA, Samii VF et al.: Ectopic Ureters in Male Dogs: Review of 16 Clinical Cases. J Am Anim Hosp Assoc 2012; 48(6):390-398. [PubMed] ] En la mayoría de los casos no se observan alteraciones analíticas ni en el urianálisis.[ Anders K J, McLoughlin MA, Samii VF et al.: Ectopic Ureters in Male Dogs: Review of 16 Clinical Cases. J Am Anim Hosp Assoc 2012; 48(6):390-398. [PubMed] ]

Tanto la radiografía simple como la urografía excretora convencional y la ecografía permiten una aproximación diagnóstica bastante exacta, siendo la Tomografía Computarizada (TC) con contraste, también llamada TC con urografía excretora, la técnica actual de elección, puesto que permite una mejor visualización del lugar de inserción ureteral al evitarse la superimposición de estructuras con la visualización de la imagen en distintos planos, facilitando así una buena planificación quirúrgica.

Se recomienda colocar al paciente en decúbito esternal con la pelvis dirigida hacia caudal y ligeramente elevada, lo cual nos permite una mejor visualización del jet ureteral.[ Schwarz T, Bommer N, Parys M, et al.: Four-dimensional CT excretory urography is an accurate technique for diagnosis of canine ureteral ectopia. Vet Radiol Ultrasound 2021; 62:190-198. [PubMed] ] El protocolo incluye una fase simple seguida de una fase postcontraste a los 40 segundos y a los 120 segundos, donde se realiza la adquisición dinámica de la unión urovesical y, por último, se realiza una serie convencional a los 180 segundos después de la administración de contraste.[ Schwarz T, Bommer N, Parys M, et al.: Four-dimensional CT excretory urography is an accurate technique for diagnosis of canine ureteral ectopia. Vet Radiol Ultrasound 2021; 62:190-198. [PubMed] ]

En hembras se deben considerar técnicas como la cistoscopia, ya que, además de la capacidad de realizar un tratamiento mínimamente invasivo en el momento del diagnóstico, permite la identificación adicional de anormalidades vestibulares/vaginales. En los machos esta técnica se encuentra limitada por la escasa visibilidad que ofrece la endoscopia flexible y, en cierta medida, por la dificultad que supone la distinción entre los conductos prostáticos, que se abren en la uretra proximal, y las aberturas ureterales anormales.[

Owen L.J: Ureteral ectopia and urethral sphincter mechanism incompetence: an update on diagnosis and management options. Small Anim Pract. 2019; 60(1):3-17.
[PubMed] ]

En el caso descrito, la radiografía simple permitió evidenciar inicialmente una masa retroperitoneal y la ecografía confirmó la presencia de hidronefrosis con hidrouréter derecho, secundaria a ectopia ureteral del mismo. Sin embargo, fue la TC con urografía la que permitió el diagnóstico definitivo de ectopia ureteral bilateral con hidronefrosis e hidrouréter derecho secundario.

En conclusión, si bien pruebas de imagen más comunes en la clínica diaria nos aportan mucha información, la realización de pruebas avanzadas de imagen es de vital importancia a la hora de la planificación quirúrgica de estos pacientes.

 

Fuente de financiación: este trabajo no se realizó con fondos comerciales, públicos o del sector privado.

Conflicto de intereses: los autores declaran que no existen conflictos de intereses.

Bibliografía

  1. [1] Anders K J, McLoughlin MA, Samii VF et al.: Ectopic Ureters in Male Dogs: Review of 16 Clinical Cases. J Am Anim Hosp Assoc 2012; 48(6):390-398. [PubMed]
  2. [2] Reichler I M, Eckrich C, Hubler M, et al.: Ectopic Ureters in Dogs: Clinical Features, Surgical Techniques and Outcome. Vet Surg 2012; 41(4):515-522. [PubMed]
  3. [3] Schwarz T, Bommer N, Parys M, et al.: Four-dimensional CT excretory urography is an accurate technique for diagnosis of canine ureteral ectopia. Vet Radiol Ultrasound 2021; 62:190-198. [PubMed]
  4. [4] Owen L.J: Ureteral ectopia and urethral sphincter mechanism incompetence: an update on diagnosis and management options. Small Anim Pract. 2019; 60(1):3-17. [PubMed]

Artículos recomendados

Estas recomendaciones se ofrecen de forma automática.

  • ¿Cuál es tu diagnóstico?
    L. Martín-Carrasco, E. Mínguez-Pereira, R. Salgüero-Fernández, et al.
    Clin Vet Peq Anim Vol. 46 - Nº 1 · MAR 2026 · ¿Cuál es tu diagnóstico?
  • ¿Cuál es tu diagnóstico?
    D. Marbella, A.M. Hernández-Guerra, L. Montalvà-Minguet
    Clin Vet Peq Anim Vol. 45 - Nº 4 · DIC 2025 · ¿Cuál es tu diagnóstico?
  • ¿Cuál es tu diagnóstico?

    J.D. Carrillo, M. Soler, M.S. Echalecu, et al.
    Clin Vet Peq Anim Vol. 45 - Nº 3 · SEP 2025 · ¿Cuál es tu diagnóstico?
  • Inicio
  • Historia clínica
  • Descripción de las alteraciones radiográficas observadas
  • Diagnósticos compatibles con los signos radiográficos observados (diagnóstico diferencial)
  • ¿Es necesario realizar otras técnicas de diagnóstico por imagen o pruebas para alcanzar el diagnóstico definitivo?
  • Comentario
  • Bibliografía
Artículo anterior Índice de la revista Artículo siguiente
ANUNCIO
Próximos cursos ATVs Elearning
Índice
Inicio Historia clínica Descripción de las alteraciones radiográficas observadas Diagnósticos compatibles con los signos radiográficos observados (diagnóstico diferencial) ¿Es necesario realizar otras técnicas de diagnóstico por imagen o pruebas para alcanzar el diagnóstico definitivo? Comentario Bibliografía
Milbeprazin
ANUNCIO

¿No eres socio de AVEPA y quieres recibir comunicación de las nuevas ediciones en tu correo?

Suscríbete

Suscríbete y te avisaremos cuando publiquemos un nuevo número

Suscribirme

Enlaces rápidos

  • Inicio
  • Último número
  • Archivo
  • Artículos

Información

  • Comité editorial
  • Política de cookies
  • Política de privacidad
  • Términos y condiciones

Contacto

  • info@imaginice.com
  • Envíanos tu artículo
© 2026 Ice Salud Vet SL. Todos los derechos reservados.

Usamos cookies para mejorar tu experiencia. Selecciona cuáles aceptas: