Logo AVEPA

Clínica Veterinaria de Pequeños Animales

Revista oficial de AVEPA

  • Inicio
  • Último número
  • Archivo
  • Artículos
  • Para autores
  • Contacto
Cursos Junio-Septiembre 2026
ANUNCIO

Clínica Veterinaria de Pequeños Animales

Revista oficial de AVEPA

  • Inicio
  • Último número
  • Archivo
  • Artículos
  • Para autores
  • Contacto
Curso Oftalmología 2026
ANUNCIO
Clin Vet Peq Anim Vol. 37 • Nº 4 • diciembre 2017

¿Cuál es tu diagnóstico?

¿Cuál es tu diagnóstico?

J. D. Barreiro-Vázquez

Servicio de DPI- HVU Rof Codina.

M. Vila-Pastor

Servicio de DPI- HVU Rof Codina.

A. Seoane-Mojón

Servicio de DPI- HVU Rof Codina.

A. Barreiro-Lois

Servicio de DPI- HVU Rof Codina.

A. González-Cantalapiedra

Servicio de Cirugía- HVU Rof Codina. Facultad de Veterinaria - USC. Avda. Carballo Calero s/n. 27002 Lugo.

J.L. González-Fraga

Clínica Veterinaria Laracha. Rúa Santa Lucía, 42. 15145 A Laracha (A Coruña).

Contacto: josedaniel.barreiro@usc.es
Descargar artículo

Historia clínica

Se presenta en consulta un gato macho, no castrado, de 1,5 años con historial de anorexia y apatía de aparición aguda (hace 2 días), sin vómitos ni diarrea, que tiene acceso al exterior. Las vacunaciones y las desparasitaciones están al día. En la exploración física el único hallazgo reseñable es fiebre con dolor de origen indeterminado en la palpación abdominal. En la analítica sanguínea se observa linfocitosis marcada en el hemograma (18,6 x 109/l, rango 0,8-7 x 109/l), con bioquímica normal.

Se realizan radiografías de abdomen lateral (L) y ventrodorsal (Fig. 1) para investigar posibles causas del dolor abdominal y la fiebre asociada.

<p>(A) Radiografía lateral y (B) ventrodorsal de abdomen de un gato que se presenta con dolor abdominal.</p>
Figura 1

(A) Radiografía lateral y (B) ventrodorsal de abdomen de un gato que se presenta con dolor abdominal.

Describe las anormalidades radiográficas que se observan

El paciente presenta buena definición de serosas gracias al abundante tejido adiposo intraabdominal (Fig. 2). El tracto gastrointestinal tiene un patrón de contenido gaseoso-mucoso, con heces formadas en intestino grueso sin tramos de distensión patológica. El bazo presenta un incremento marcado de tamaño, con bordes regulares redondeados, silueta y opacidad homogéneas en la pared izquierda del abdomen (asterisco), ocupando una posición más ventral de lo esperado debido a su incremento de tamaño.

<p>Mismas radiografías que en la Figura 1. Las flechas amarillas demarcan la extensión de la opacidad tejido blando asociada a la musculatura espinal desde el nivel del ilion derecho hasta la parte ventral de T12 (flecha naranja), desplazando el riñón derecho ventrolateralmente. El bazo (*) presenta un marcado aumento de tamaño con bordes regulares y homogéneos.</p>
Figura 2

Mismas radiografías que en la Figura 1. Las flechas amarillas demarcan la extensión de la opacidad tejido blando asociada a la musculatura espinal desde el nivel del ilion derecho hasta la parte ventral de T12 (flecha naranja), desplazando el riñón derecho ventrolateralmente. El bazo (*) presenta un marcado aumento de tamaño con bordes regulares y homogéneos.

Podemos apreciar una opacidad tejido blando con bordes homogéneos y bien definidos lateral y ventralmente, con signo de silueta positivo asociada al dorso de la cavidad abdominal (flechas amarillas), que desplaza ambos riñones ventralmente (el derecho también lo desplaza lateralmente, visible en la proyección VD), así como el borde caudodorsal de los lóbulos pulmonares caudales (flecha naranja). La opacidad se extiende por la porción derecha del tejido blando paraespinal desde el nivel de la T12 hasta L7. No se aprecian signos de reactividad ósea asociados a la opacidad tejido blando. El resto de la exploración no presenta alteraciones significativas.

¿Cuáles son los posibles diagnósticos diferenciales que plantearías en este caso?

Las dos principales alteraciones son la esplenomegalia y la masa tejido blando asociada al tejido blando espinal derecho. La masa de tejido blando observada adherida al tejido blando paraespinal debe incluir absceso, neoplasia y granuloma. Dentro de la esplenomegalia a nivel radiológico los hallazgos son inespecíficos por lo que el diferencial es muy extenso (esplenomegalia congestiva, inflamatoria, infiltrativa; toxemia; hematopoyesis extramedular, etc.). Teniendo en cuenta la historia clínica del paciente (gato con acceso al exterior con leucocitosis y una masa paraespinal apreciable sin reacción ósea asociada), el diagnóstico diferencial más probable es el de absceso paraespinal con esplenomegalia reactiva al proceso infeccioso.

¿Qué otras técnicas realizarías para llegar a un diagnóstico definitivo?

El diagnóstico radiológico presuntivo puede ser confirmado fácilmente mediante ecografía, así como obteniendo muestras ecoguiadas para su estudio histopatológico. Las técnicas tomográficas (Tomografía Computarizada (TC) y Resonancia Magnética (RM)) son asimismo útiles y permiten, aparte de confirmar el diagnóstico, planificar el abordaje quirúrgico en caso necesario.

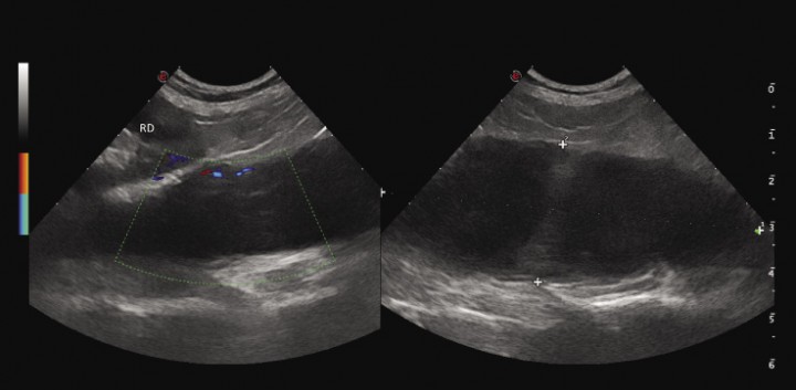
En la exploración ecográfica (Fig. 3) se observó una estructura de contenido hipo-anecoico (sin un claro refuerzo posterior) con cápsula bien definida, asociada a la porción derecha del paquete muscular sublumbar, que se extendía cranealmente hasta la cúpula diafragmática, no pudiendo observar claramente su límite (tamaño difícil de evaluar en corte longitudinal, excede de los 8 cm) y sin cuerpos extraños apreciables. No se apreció neovascularización significativa asociada a la lesión. Se corroboró la posición relativa desplazada de los riñones, por lo demás normales ecográficamente, sin líquido perirrenal apreciable. La grasa retroperitoneal estaba ligeramente hiperecogénica sin atenuación significativa del haz de ultrasonidos. El bazo presentaba ecotextura homogénea e hiperecogénica, sin alteración de la arquitectura parenquimatosa, con cápsula bien definida y regular. Tampoco se hallaron linfadenopatías, reactividad peritoneal ni líquido libre asociado. La exploración ecográfica confirma, por tanto, la sospecha de absceso asociado a la musculatura axial, declinándose el aspirado ecoguiado del líquido debido al peligro de rotura hacia cavidad peritoneal del probable absceso.

<p>Corte sagital en ecografía mediante un abordaje lateral derecho del dorso del abdomen, donde se observa una gran cantidad de líquido encapsulado, con algo de celularidad en suspensión, yuxtapuesto a las vértebras lumbares y dorsal al riñón derecho (RD), que no muestra alteraciones por su parte. En la exploración Doppler sólo se observa neovascularización en la cápsula de la lesión.</p>
Figura 3

Corte sagital en ecografía mediante un abordaje lateral derecho del dorso del abdomen, donde se observa una gran cantidad de líquido encapsulado, con algo de celularidad en suspensión, yuxtapuesto a las vértebras lumbares y dorsal al riñón derecho (RD), que no muestra alteraciones por su parte. En la exploración Doppler sólo se observa neovascularización en la cápsula de la lesión.

Ante la dificultad de establecer unos límites claros de la lesión se decide hacer una TC prequirúrgica (Fig. 4). La opacidad radiográfica tejido blando presentaba un contenido densidad líquido con una cápsula bien definida en la periferia de la mayor parte de la lesión, realzando de manera marcada desde la fase arterial de contraste. Los límites del absceso se extendían lateral y dorsalmente afectando a la musculatura, fascias y tejido adiposo paraespinal, con leve reactividad de la grasa perilesional. La cavidad pleural y el parénquima pulmonar no estaban afectados. No se identificó ningún cuerpo extraño que pudiera justificar el cuadro.

<p>Imágenes de Tomografía Computarizada en (A) corte sagital y (B) dorsal de la cavidad abdominal post-contraste ventana de tejido blando mostrando el absceso en su extensión máxima (flechas amarillas). Se observa la cápsula con marcado realce en la mayor parte de la extensión de la lesión, que no sólo se circunscribe a la porción ventral de la musculatura espinal, sino que también se proyecta dorsal entre los procesos transversos de las vértebras lumbares 3 a 5 aproximadamente.</p>
Figura 4

Imágenes de Tomografía Computarizada en (A) corte sagital y (B) dorsal de la cavidad abdominal post-contraste ventana de tejido blando mostrando el absceso en su extensión máxima (flechas amarillas). Se observa la cápsula con marcado realce en la mayor parte de la extensión de la lesión, que no sólo se circunscribe a la porción ventral de la musculatura espinal, sino que también se proyecta dorsal entre los procesos transversos de las vértebras lumbares 3 a 5 aproximadamente.

Tras el drenaje quirúrgico del absceso se encontró un fragmento vegetal (espiga) en su interior, por lo que el origen del absceso fue debido a un cuerpo extraño vegetal que migró, probablemente, tras clavarse en la piel (Fig. 5). El paciente se recuperó completamente tras el tratamiento.

<p>Detalle del fragmento de espiga encontrado en la cirugía comparado con el tamaño de una aguja azul.</p>
Figura 5

Detalle del fragmento de espiga encontrado en la cirugía comparado con el tamaño de una aguja azul.

Comentario

Los cuerpos extraños vegetales pueden ser difíciles de detectar por técnicas de imagen, ya que a nivel radiológico tienen una opacidad tejido blando similar al tejido normal, necesitando en muchos casos la combinación de diferentes técnicas para su localización.[ Haghnegahdar A, Shakibafard A, Khosravifard N. Comparison between computed tomography and ultrasonography in detecting foreign bodies regarding their composition and depth: an in vitro study. J Dent Shiraz Univ Med Sci 2016;17(3):177-184. [PubMed] ] Ecográficamente estos cuerpos extraños vegetales forman sombra acústica en muchos casos, permitiendo su localización y extracción incluso guiada por imagen;[ Staudte KL, Hopper BJ, Gibson NR, Read RA. Use of ultrasonography to facilitate surgical removal of non-enteric foreign bodies in 17 dogs. J Small Anim Pract 2004; 45:395-400. [PMC] ] por este motivo, debemos realizar un examen concienzudo, una vez confirmado un absceso o trayecto fistuloso, para intentar localizar el origen del problema. La ecografía y la TC han demostrado ser técnicas de elección a la hora de localizar cuerpos extraños de esta naturaleza.[ Ober y col. Comparison of ultrasound, computed tomography, and magnetic resonance imaging in detection of acute wooden foreign bodies in the canine manus. Vet Radiol Ultrasound 2008;49(5):411-418. ]

Los abscesos lumbares y paralumbares suelen estar causados por heridas penetrantes traumáticas o bien por cuerpos extraños que, tras atravesar la piel, migran en diferentes direcciones extendiendo la infección a distintos niveles y pudiendo afectar incluso a la médula espinal, el riñón y otras estructuras más alejadas.[ Dennis, R. Handbook of small animal radiology and ultrasonography: Techniques and differential diagnosis. 2ª ed. Croydon (Reino Unido): Elsevier- Saunders, 2010. , O´Brien R. y Barr, F. BSAVA Manual of canine and feline abdominal imaging. Gloucester (Reino Unido). 2009. , Thrall D. Textbook of veterinary radiology. 6ª ed. St. Louis, Missouri (EE.UU.): Elsevier- Saunders, 2013. , Appleby R, Zur Linden A, Singh A, Finck C, Crawford E. Computed tomography diagnosis of a thoracic and abdominal penetrating foreign body in a dog. Can Vet J 2015; 56:1149-1152. [PMC] ]

En conclusión, la combinación de las diferentes técnicas de imagen permite localizar, caracterizar y planificar los problemas infecciosos asociados a los cuerpos extraños vegetales, tan comunes en la clínica diaria, incluso cuando afectan a localizaciones anatómicas inusuales como la expuesta en este caso clínico.

 

Fuente de financiación: esta investigación no se realizó con fondos comerciales, públicos o del sector privado.

Conflicto de intereses: los autores declaran que no existe conflicto de intereses.

Bibliografía

  1. [1] Haghnegahdar A, Shakibafard A, Khosravifard N. Comparison between computed tomography and ultrasonography in detecting foreign bodies regarding their composition and depth: an in vitro study. J Dent Shiraz Univ Med Sci 2016;17(3):177-184. [PubMed]
  2. [2] Staudte KL, Hopper BJ, Gibson NR, Read RA. Use of ultrasonography to facilitate surgical removal of non-enteric foreign bodies in 17 dogs. J Small Anim Pract 2004; 45:395-400. [PMC]
  3. [3] Ober y col. Comparison of ultrasound, computed tomography, and magnetic resonance imaging in detection of acute wooden foreign bodies in the canine manus. Vet Radiol Ultrasound 2008;49(5):411-418.
  4. [4] Dennis, R. Handbook of small animal radiology and ultrasonography: Techniques and differential diagnosis. 2ª ed. Croydon (Reino Unido): Elsevier- Saunders, 2010.
  5. [5] O´Brien R. y Barr, F. BSAVA Manual of canine and feline abdominal imaging. Gloucester (Reino Unido). 2009.
  6. [6] Thrall D. Textbook of veterinary radiology. 6ª ed. St. Louis, Missouri (EE.UU.): Elsevier- Saunders, 2013.
  7. [7] Appleby R, Zur Linden A, Singh A, Finck C, Crawford E. Computed tomography diagnosis of a thoracic and abdominal penetrating foreign body in a dog. Can Vet J 2015; 56:1149-1152. [PMC]

Artículos recomendados

Estas recomendaciones se ofrecen de forma automática.

  • ¿Cuál es tu diagnóstico?
    L. Martín-Carrasco, E. Mínguez-Pereira, R. Salgüero-Fernández, et al.
    Clin Vet Peq Anim Vol. 46 - Nº 1 · MAR 2026 · ¿Cuál es tu diagnóstico?
  • ¿Cuál es tu diagnóstico?
    D. Marbella, A.M. Hernández-Guerra, L. Montalvà-Minguet
    Clin Vet Peq Anim Vol. 45 - Nº 4 · DIC 2025 · ¿Cuál es tu diagnóstico?
  • ¿Cuál es tu diagnóstico?

    J.D. Carrillo, M. Soler, M.S. Echalecu, et al.
    Clin Vet Peq Anim Vol. 45 - Nº 3 · SEP 2025 · ¿Cuál es tu diagnóstico?
  • Inicio
  • Historia clínica
  • Describe las anormalidades radiográficas que se observan
  • ¿Cuáles son los posibles diagnósticos diferenciales que plantearías en este caso?
  • ¿Qué otras técnicas realizarías para llegar a un diagnóstico definitivo?
  • Comentario
  • Bibliografía
Artículo anterior Índice de la revista Artículo siguiente
ANUNCIO
Próximos cursos ATVs Elearning
Índice
Inicio Historia clínica Describe las anormalidades radiográficas que se observan ¿Cuáles son los posibles diagnósticos diferenciales que plantearías en este caso? ¿Qué otras técnicas realizarías para llegar a un diagnóstico definitivo? Comentario Bibliografía
Alivira - Vominil
ANUNCIO

¿No eres socio de AVEPA y quieres recibir comunicación de las nuevas ediciones en tu correo?

Suscríbete

Suscríbete y te avisaremos cuando publiquemos un nuevo número

Suscribirme

Enlaces rápidos

  • Inicio
  • Último número
  • Archivo
  • Artículos

Información

  • Comité editorial
  • Política de cookies
  • Política de privacidad
  • Términos y condiciones

Contacto

  • info@imaginice.com
  • Envíanos tu artículo
© 2026 Ice Salud Vet SL. Todos los derechos reservados.

Usamos cookies para mejorar tu experiencia. Selecciona cuáles aceptas: