Logo AVEPA

Clínica Veterinaria de Pequeños Animales

Revista oficial de AVEPA

  • Inicio
  • Último número
  • Archivo
  • Artículos
  • Para autores
  • Contacto
Cursos Junio-Septiembre 2026
ANUNCIO

Clínica Veterinaria de Pequeños Animales

Revista oficial de AVEPA

  • Inicio
  • Último número
  • Archivo
  • Artículos
  • Para autores
  • Contacto
Curso Oftalmología 2026
ANUNCIO
Clin Vet Peq Anim Vol. 46 • Nº 1 • marzo 2026

¿Cuál es tu diagnóstico?

¿Cuál es tu diagnóstico?

L. Martín-Carrasco

Servicio de Diagnóstico por Imagen del Hospital Clínico Veterinario Complutense, Universidad Complutense de Madrid. Avenida Puerta de Hierro s/n. 28040 Madrid.

Otros artículos de L. Martín-Carrasco:
  • ¿Cuál es tu diagnóstico?

    Clin Vet Peq Anim Vol. 44 • Nº 2 • junio 2024

E. Mínguez-Pereira

(Departamento de Medicina y Cirugía Animal. Servicio de Diagnóstico por Imagen. Hospital Clínico Veterinario Complutense, Universidad Complutense de Madrid. Avenida Puerta de Hierro s/n. 28040 Madrid)

R. Salgüero-Fernández

(Departamento de Medicina y Cirugía Animal. Servicio de Diagnóstico por Imagen. Hospital Clínico Veterinario Complutense, Universidad Complutense de Madrid. Avenida Puerta de Hierro s/n. 28040 Madrid. Veterios Hospital Veterinario. Arrastaria 23. 28022 Madrid.)

E. Martínez de Merlo

Departamento de Medicina y Cirugía Animal. Servicio de Diagnóstico por Imagen. Hospital Clínico Veterinario Complutense, Universidad Complutense de Madrid. Avenida Puerta de Hierro s/n. 28040 Madrid.

M.I. García-Real

Departamento de Medicina y Cirugía Animal. Servicio de Diagnóstico por Imagen. Hospital Clínico Veterinario Complutense, Universidad Complutense de Madrid. Avenida Puerta de Hierro s/n. 28040 Madrid.

Contacto: lauram22@ucm.es
Descargar artículo

Historia

Acude a consulta de medicina general para segunda opinión una gata de raza común europeo de 4 años, con un cuadro de disnea y ruidos respiratorios de 3 meses de duración. En su centro veterinario se había instaurado un tratamiento con corticoides al inicio del proceso, con el que presentó una mejoría parcial temporal. La paciente era positiva al virus de la leucemia felina (FeLV).
En la exploración física se apreció respiración con boca semiabierta, así como estridores y sibilancias en la auscultación pulmonar, que se atenuaban con la hiperextensión del cuello. El análisis sanguíneo completo reveló que el hematocrito se encontraba en el límite inferior, siendo del 25 % (rango de referencia 25-45 %), sin otras alteraciones significativas a nivel hematológico ni bioquímico.
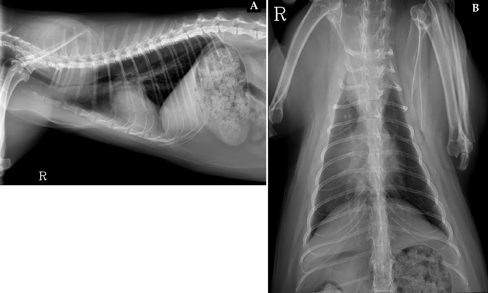
Se realizó un estudio radiográfico del tórax en proyecciones lateral derecha y dorsoventral (Fig. 1).
Radiografías de tórax de una gata hembra de 4 años. (A) Proyección lateral derecha. (B) Proyección dorsoventral.
Figura 1
Radiografías de tórax de una gata hembra de 4 años. (A) Proyección lateral derecha. (B) Proyección dorsoventral.

Describe las alteraciones radiográficas observadas

Ambas proyecciones mostraron la presencia de una masa de opacidad tejido blando-líquido localizada a nivel del mediastino craneodorsal a la altura de los espacios intercostales 1 a 3 (Fig. 2). La lesión medía aproximadamente 30 mm de anchura x 38 mm de longitud y rodeaba concéntricamente la luz traqueal, produciendo una estenosis marcada y localizada de la estructura, con un diámetro reducido de 1,2-4,4 mm, en comparación con los 6 mm observados en el resto de la región cervical y torácica.

Imágenes ampliadas de las radiografías de la Figura 1. (A) Proyección lateral derecha. (B) Proyección dorsoventral. Se observa una masa de opacidad tejido blando-líquido (flechas negras) afectando a la porción torácica de la tráquea. La masa se extiende a la altura del segmento vertebral T1-T3, causando una reducción significativa de la luz traqueal (asterisco negro) en comparación con el diámetro normal de la tráquea (asteriscos blancos).
Figura 2
Imágenes ampliadas de las radiografías de la Figura 1. (A) Proyección lateral derecha. (B) Proyección dorsoventral. Se observa una masa de opacidad tejido blando-líquido (flechas negras) afectando a la porción torácica de la tráquea. La masa se extiende a la altura del segmento vertebral T1-T3, causando una reducción significativa de la luz traqueal (asterisco negro) en comparación con el diámetro normal de la tráquea (asteriscos blancos).

¿Cuáles son los diagnósticos diferenciales compatibles con los signos radiográficos observados?

Dada la localización de la masa y la identificación de la tráquea con diámetro reducido en la zona central de la misma, se consideró el origen traqueal como el más probable.
El diagnóstico diferencial más frecuente de las masas traqueales es neoplasia, tanto benigna (p. ej., condroma, leiomioma) como maligna (p. ej., linfoma, fibrosarcoma, condrosarcoma, adenocarcinoma). Otros diagnósticos diferenciales a tener en cuenta son hematomas secundarios a traumatismos o alteraciones de la coagulación, amiloidosis, pólipos inflamatorios y granulomas secundarios a cuerpo extraño, infecciones por micobacterias y enfermedades parasitarias.[ Drees R. Canine and Feline Larynx and Trachea. En: Seiler GS, Thrall DE (eds): Textbook of Veterinary Diagnostic Radiology, 8th ed. Philadelphia, Saunders, 2024. pp: 592-607. ] En este caso, siendo un paciente positivo a FeLV y de edad relativamente joven, el diagnóstico diferencial más probable fue linfoma traqueal.

¿Es necesario realizar otras técnicas de diagnóstico por imagen o pruebas para alcanzar el diagnóstico definitivo?

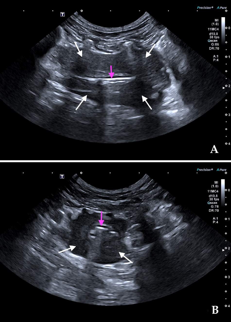
Para llegar al diagnóstico definitivo en este caso se realizó una ecografía torácica y una punción ecoguiada con aguja fina de la lesión. La ecografía mostró una masa concéntrica, hipoecoica y homogénea, de bordes ligeramente irregulares y bien definidos, rodeando la luz traqueal (Fig. 3), y que medía aproximadamente 40 mm de longitud y 18 mm de anchura, con grosores asimétricos desde 3 a 12 mm. Las muestras citológicas presentaban una población linfoide no muy abundante, constituida por linfocitos activados y linfoblastos, lo que confirmaba el diagnóstico diferencial más probable. Además, se realizó una ecografía abdominal que fue compatible con la normalidad.
Imágenes ecográficas en cortes longitudinal (A) y transversal (B) de la masa traqueal obtenidas con abordaje intercostal. Se observa una lesión tipo masa concéntrica, de bordes ligeramente irregulares y bien definidos, hipoecoica y homogénea (flechas blancas) rodeando la luz traqueal (flechas rosas).
Figura 3
Imágenes ecográficas en cortes longitudinal (A) y transversal (B) de la masa traqueal obtenidas con abordaje intercostal. Se observa una lesión tipo masa concéntrica, de bordes ligeramente irregulares y bien definidos, hipoecoica y homogénea (flechas blancas) rodeando la luz traqueal (flechas rosas).
Se instauró un tratamiento quimioterápico basado en un protocolo COP (ciclofosfamida, vincristina y prednisolona). Tras la primera semana de quimioterapia, el patrón respiratorio se normalizó por completo. Sin embargo, los tutores decidieron suspender el tratamiento tras la tercera sesión, por motivos económicos, manteniendo solo la prednisolona. A las dos semanas, la paciente tuvo que ser eutanasiada por empeoramiento severo del cuadro clínico.

Comentario

Las neoplasias traqueales son poco frecuentes en animales domésticos. En gatos se han descrito de manera esporádica, siendo los tumores más frecuentes el linfoma de células B y las neoplasias epiteliales malignas, como el adenocarcinoma, el carcinoma y el carcinoma de células escamosas. No obstante, también se han descrito tumores no epiteliales y lesiones inflamatorias.[ Berrocal A, Negrão Watanabe TT, Brinker EJ, Lui CC, Barrantes Murillo DF: Review of tracheal neoplasia in dogs and cats (1961–2024). Vet Pathol 2025; 62(6): 913-921. [PubMed] , Kanemoto H, Fujiwara-Igarashi A, Kobayashi T et al.: Retrospective study of feline tracheal mass lesions. J Feline Med Surg 2023; 25(5) 1098612X231164611. [PubMed] ]
La edad media de aparición de las neoplasias traqueales en gatos es de 10-11 años, aunque se ha descrito su aparición en gatos jóvenes positivos a FeLV en casos de linfoma.[ Berrocal A, Negrão Watanabe TT, Brinker EJ, Lui CC, Barrantes Murillo DF: Review of tracheal neoplasia in dogs and cats (1961–2024). Vet Pathol 2025; 62(6): 913-921. [PubMed] , Brown EM, Rademacher N, Gieger TL, et al.: What is your diagnosis? Tracheal lymphoma. J Am Vet Med Assoc. 2010; 236(9): 953-954. [PubMed] ] Estas masas pueden causar obstrucción de la vía aérea cuando alcanzan un tamaño determinado, por lo que la sintomatología más común incluye disnea o distrés respiratorio, seguido de sibilancias y ruidos respiratorios, tos y alteraciones en la vocalización.[ Kanemoto H, Fujiwara-Igarashi A, Kobayashi T et al.: Retrospective study of feline tracheal mass lesions. J Feline Med Surg 2023; 25(5) 1098612X231164611. [PubMed] ]
Un estudio realizado en 16 gatos reveló una mayor prevalencia de masas en la parte cervical que en la parte intratorácica de la tráquea, siendo menos frecuente el crecimiento a partir de la parte dorsal y ventral de la tráquea de manera simultánea.[ Kanemoto H, Fujiwara-Igarashi A, Kobayashi T et al.: Retrospective study of feline tracheal mass lesions. J Feline Med Surg 2023; 25(5) 1098612X231164611. [PubMed] ]
Para el diagnóstico de estas lesiones es imprescindible utilizar las técnicas de diagnóstico por imagen. El estudio radiográfico y ecográfico de la tráquea tiene gran utilidad en el diagnóstico de esta condición, si bien la tomografía computarizada proporciona una información más detallada de la extensión de la lesión tanto a nivel local como a distancia. Se ha descrito la apariencia ecográfica de estas lesiones como masas hipoecoicas adyacentes a la tráquea, que disminuyen la luz y ocasionalmente destruyen la pared.[ Kanemoto H, Fujiwara-Igarashi A, Kobayashi T et al.: Retrospective study of feline tracheal mass lesions. J Feline Med Surg 2023; 25(5) 1098612X231164611. [PubMed] ] En TC, suelen ser lesiones infiltrativas de densidad tejido blando originándose de la pared traqueal, tanto excéntricas como concéntricas, con moderado realce de contraste, que producen distintos grados de estrechamiento de la luz traqueal, dependiendo del tamaño y localización.[ Kanemoto H, Fujiwara-Igarashi A, Kobayashi T et al.: Retrospective study of feline tracheal mass lesions. J Feline Med Surg 2023; 25(5) 1098612X231164611. [PubMed] , Brown EM, Rademacher N, Gieger TL, et al.: What is your diagnosis? Tracheal lymphoma. J Am Vet Med Assoc. 2010; 236(9): 953-954. [PubMed] ]
Para establecer el diagnóstico definitivo es necesario tomar una muestra citológica o histopatológica de la lesión. Aunque en este caso fue posible tomar una muestra guiada por ecografía, en ocasiones es necesario que la muestra esté guiada por tomografía o no es posible acceder a la misma externamente. En estos pacientes, otras opciones incluyen realizar un lavado traqueal o tomar una biopsia por endoscopia.[ Kanemoto H, Fujiwara-Igarashi A, Kobayashi T et al.: Retrospective study of feline tracheal mass lesions. J Feline Med Surg 2023; 25(5) 1098612X231164611. [PubMed] ]
Las opciones de tratamiento para el linfoma traqueal solitario incluyen la escisión mediante cirugía, la quimioterapia, la radioterapia o una combinación de estas modalidades.[ Berrocal A, Negrão Watanabe TT, Brinker EJ, Lui CC, Barrantes Murillo DF: Review of tracheal neoplasia in dogs and cats (1961–2024). Vet Pathol 2025; 62(6): 913-921. [PubMed] ] La mayoría de los linfomas traqueales en gatos se han clasificado como de bajo grado, con un comportamiento similar al de los linfomas nasales, lo que se traduce en una mayor supervivencia media en comparación con otras neoplasias traqueales.[ Kanemoto H, Fujiwara-Igarashi A, Kobayashi T et al.: Retrospective study of feline tracheal mass lesions. J Feline Med Surg 2023; 25(5) 1098612X231164611. [PubMed] , Rodriguez-Piza I, Borrego JF, Treggiari E et al.: Clinical presentation, treatment and outcome in 23 cats with laryngeal or tracheal lymphoma. J Feline Med Surg 2023; 25(1):1098612X221143769. [PubMed] ]
En conclusión, las masas traqueales deben ser consideradas dentro del diagnóstico diferencial en gatos que presenten signos respiratorios crónicos, siendo fundamental el uso de las técnicas de diagnóstico por imagen para su diagnóstico.

Fuente de financiación: este trabajo no se ha realizado con fondos comerciales, públicos o del sector privado.
Conflicto de intereses: los autores declaran que no existe conflicto de intereses.

Bibliografía

  1. [1] Drees R. Canine and Feline Larynx and Trachea. En: Seiler GS, Thrall DE (eds): Textbook of Veterinary Diagnostic Radiology, 8th ed. Philadelphia, Saunders, 2024. pp: 592-607.
  2. [2] Berrocal A, Negrão Watanabe TT, Brinker EJ, Lui CC, Barrantes Murillo DF: Review of tracheal neoplasia in dogs and cats (1961–2024). Vet Pathol 2025; 62(6): 913-921. [PubMed]
  3. [3] Kanemoto H, Fujiwara-Igarashi A, Kobayashi T et al.: Retrospective study of feline tracheal mass lesions. J Feline Med Surg 2023; 25(5) 1098612X231164611. [PubMed]
  4. [4] Brown EM, Rademacher N, Gieger TL, et al.: What is your diagnosis? Tracheal lymphoma. J Am Vet Med Assoc. 2010; 236(9): 953-954. [PubMed]
  5. [5] Rodriguez-Piza I, Borrego JF, Treggiari E et al.: Clinical presentation, treatment and outcome in 23 cats with laryngeal or tracheal lymphoma. J Feline Med Surg 2023; 25(1):1098612X221143769. [PubMed]

Artículos recomendados

Estas recomendaciones se ofrecen de forma automática.

  • ¿Cuál es tu diagnóstico?
    D. Marbella, A.M. Hernández-Guerra, L. Montalvà-Minguet
    Clin Vet Peq Anim Vol. 45 - Nº 4 · DIC 2025 · ¿Cuál es tu diagnóstico?
  • ¿Cuál es tu diagnóstico?

    J.D. Carrillo, M. Soler, M.S. Echalecu, et al.
    Clin Vet Peq Anim Vol. 45 - Nº 3 · SEP 2025 · ¿Cuál es tu diagnóstico?
  • ¿Cuál es tu diagnóstico?

    L. Martín-Carrasco, R. Salgüero-Fernández
    Clin Vet Peq Anim Vol. 44 - Nº 2 · JUN 2024 · ¿Cuál es tu diagnóstico?
  • Inicio
  • Historia
  • Describe las alteraciones radiográficas observadas
  • ¿Cuáles son los diagnósticos diferenciales compatibles con los signos radiográficos observados?
  • ¿Es necesario realizar otras técnicas de diagnóstico por imagen o pruebas para alcanzar el diagnóstico definitivo?
  • Comentario
  • Bibliografía
Artículo anterior Índice de la revista Artículo siguiente
ANUNCIO
Próximos cursos ATVs Elearning
Índice
Inicio Historia Describe las alteraciones radiográficas observadas ¿Cuáles son los diagnósticos diferenciales compatibles con los signos radiográficos observados? ¿Es necesario realizar otras técnicas de diagnóstico por imagen o pruebas para alcanzar el diagnóstico definitivo? Comentario Bibliografía
Flexadin Vetoquinol
ANUNCIO

¿No eres socio de AVEPA y quieres recibir comunicación de las nuevas ediciones en tu correo?

Suscríbete

Suscríbete y te avisaremos cuando publiquemos un nuevo número

Suscribirme

Enlaces rápidos

  • Inicio
  • Último número
  • Archivo
  • Artículos

Información

  • Comité editorial
  • Política de cookies
  • Política de privacidad
  • Términos y condiciones

Contacto

  • info@imaginice.com
  • Envíanos tu artículo
© 2026 Ice Salud Vet SL. Todos los derechos reservados.

Usamos cookies para mejorar tu experiencia. Selecciona cuáles aceptas: